The Correlation between Cardiac Magnetic Resonance Findings and Post-COVID-19: The Impact of Myocardial Injury on Quality of Life
Abstract
1. Introduction
2. Materials and Methods
2.1. Study Population
2.2. Cardiac MRI: Protocol and Image Analysis
2.3. Statistical Analysis
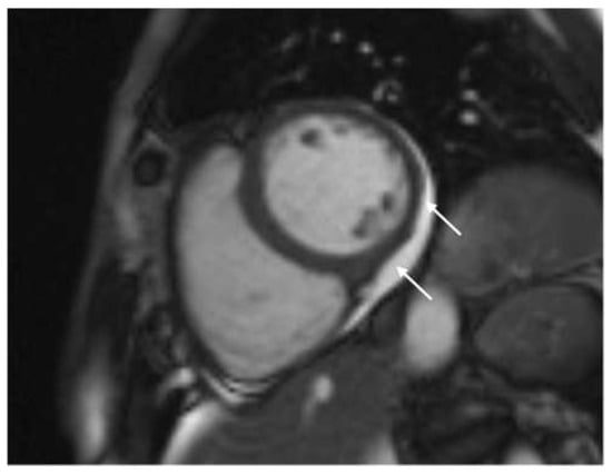
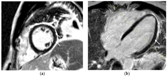
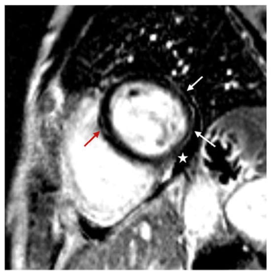
3. Results
4. Discussion
5. Conclusions
Author Contributions
Funding
Institutional Review Board Statement
Informed Consent Statement
Data Availability Statement
Conflicts of Interest
References
- Wojtowicz, D.; Dorniak, K.; Ławrynowicz, M.; Wąż, P.; Fijałkowska, J.; Kulawiak-Gałąska, D.; Rejszel-Baranowska, J.; Knut, R.; Haberka, M.; Szurowska, E.; et al. Cardiac Magnetic Resonance Findings in Patients Recovered from COVID-19 Pneumonia and Presenting with Persistent Cardiac Symptoms: The TRICITY-CMR Trial. Biology 2022, 11, 1848. [Google Scholar] [CrossRef] [PubMed]
- Duda-Seiman, D.; Kundnani, N.R.; Dugaci, D.; Man, D.E.; Velimirovici, D.; Dragan, S.R. COVID-19 Related Myocarditis and Myositis in a Patient with Undiagnosed Antisynthetase Syndrome. Biomedicines 2022, 11, 95. [Google Scholar] [CrossRef] [PubMed]
- Bandyopadhyay, D.; Akhtar, T.; Hajra, A.; Gupta, M.; Das, A.; Chakraborty, S.; Pal, I.; Patel, N.; Amgai, B.; Ghosh, R.K.; et al. COVID-19 Pandemic: Cardiovascular Complications and Future Implications. Am. J. Cardiovasc. Drugs 2020, 20, 311–324. [Google Scholar] [CrossRef]
- Huang, L.; Zhao, P.; Tang, D.; Zhu, T.; Han, R.; Zhan, C.; Liu, W.; Zeng, H.; Tao, Q.; Xia, L. Cardiac Involvement in Patients Recovered From COVID-2019 Identified Using Magnetic Resonance Imaging. JACC Cardiovasc. Imaging 2020, 13, 2330–2339. [Google Scholar] [CrossRef]
- Halfmann, M.C.; Luetkens, J.A.; Langenbach, I.L.; Kravchenko, D.; Wenzel, P.; Emrich, T.; Isaak, A. Cardiac MRI Findings in Patients Clinically Referred for Evaluation of Post-Acute Sequelae of SARS-CoV-2 Infection. Diagnostics 2023, 13, 2172. [Google Scholar] [CrossRef]
- Siripanthong, B.; Asatryan, B.; Hanff, T.C.; Chatha, S.R.; Khanji, M.Y.; Ricci, F.; Muser, D.; Ferrari, V.A.; Nazarian, S.; Santangeli, P.; et al. The Pathogenesis and Long-Term Consequences of COVID-19 Cardiac Injury. JACC Basic Transl. Sci. 2022, 7, 294–308. [Google Scholar] [CrossRef]
- Petersen, S.E.; Friedrich, M.G.; Leiner, T.; Elias, M.D.; Ferreira, V.M.; Fenski, M.; Flamm, S.D.; Fogel, M.; Garg, R.; Halushka, M.K.; et al. Cardiovascular Magnetic Resonance for Patients With COVID-19. JACC Cardiovasc. Imaging. 2022, 15, 685–699. [Google Scholar] [CrossRef]
- Ferreira, V.M.; Plein, S.; Wong, T.C.; Tao, Q.; Raisi-Estabragh, Z.; Jain, S.S.; Han, Y.; Ojha, V.; Bluemke, D.A.; Hanneman, K.; et al. Cardiovascular magnetic resonance for evaluation of cardiac involvement in COVID-19: Recommendations by the Society for Cardiovascular Magnetic Resonance. J. Cardiovasc. Magn. Reson. 2023, 25, 21. [Google Scholar] [CrossRef] [PubMed]
- Antoncecchi, V.; Antoncecchi, E.; Orsini, E.; D’Ascenzo, G.; Oliviero, U.; Savino, K.; Aloisio, A.; Casalino, L.; Lillo, A.; Chiuini, E.; et al. High prevalence of cardiac post-acute sequelae in patients recovered from Covid-19. Results from the ARCA post-COVID study. Int. J. Cardiol. Cardiovasc. Risk Prev. 2024, 21, 200267. [Google Scholar] [CrossRef]
- Makhluf, H.; Madany, H.; Kim, K. Long COVID: Long-Term Impact of SARS-CoV-2. Diagnostics 2024, 14, 711. [Google Scholar] [CrossRef]
- Golzardi, M.; Hromić-Jahjefendić, A.; Šutković, J.; Aydin, O.; Ünal-Aydın, P.; Bećirević, T.; Redwan, E.M.; Rubio-Casillas, A.; Uversky, V.N. The Aftermath of COVID-19: Exploring the Long-Term Effects on Organ Systems. Biomedicines 2024, 12, 913. [Google Scholar] [CrossRef] [PubMed]
- Rosca, C.I.; Branea, H.S.; Sharma, A.; Nicoras, V.A.; Borza, C.; Lighezan, D.F.; Morariu, S.I.; Kundnani, N.R. Rhythm Disturbances in Post-Acute COVID-19 Syndrome in Young Men without Pre-Existing Known Cardiovascular Disease—A Case Series. Biomedicines 2023, 11, 1146. [Google Scholar] [CrossRef] [PubMed]
- Wahlgren, C.; Forsberg, G.; Divanoglou, A.; Östholm Balkhed, Å.; Niward, K.; Berg, S.; Levi, R. Two-year follow-up of patients with post-COVID-19 condition in Sweden: A prospective cohort study. Lancet Reg. Health-Eur. 2023, 28, 100595. [Google Scholar] [CrossRef] [PubMed]
- Składanek, J.A.; Leśkiewicz, M.; Gumiężna, K.; Baruś, P.; Piasecki, A.; Klimczak-Tomaniak, D.; Sygitowicz, G.; Kochman, J.; Grabowski, M.; Tomaniak, M. Long COVID and its cardiovascular consequences: What is known? Adv. Clin. Exp. Med. 2023, 33, 299–308. [Google Scholar] [CrossRef] [PubMed]
- Karamitsos, T.D.; Arvanitaki, A.; Karvounis, H.; Neubauer, S.; Ferreira, V.M. Myocardial Tissue Characterization and Fibrosis by Imaging. JACC Cardiovasc. Imaging 2020, 13, 1221–1234. [Google Scholar] [CrossRef]
- Luetkens, J.A.; Faron, A.; Isaak, A.; Dabir, D.; Kuetting, D.; Feisst, A.; Schmeel, F.C.; Sprinkart, A.M.; Thomas, D. Comparison of Original and 2018 Lake Louise Criteria for Diagnosis of Acute Myocarditis: Results of a Validation Cohort. Radiol. Cardiothorac. Imaging 2019, 1, e190010. [Google Scholar] [CrossRef]
- Li, S.; Duan, X.; Feng, G.; Sirajuddin, A.; Yin, G.; Zhuang, B.; He, J.; Xu, J.; Yang, W.; Wu, W.; et al. Multiparametric Cardiovascular Magnetic Resonance in Acute Myocarditis: Comparison of 2009 and 2018 Lake Louise Criteria With Endomyocardial Biopsy Confirmation. Front. Cardiovasc. Med. 2021, 8, 739892. Available online: www.frontiersin.org (accessed on 16 July 2024). [CrossRef]
- Sozzi, F.B.; Gherbesi, E.; Faggiano, A.; Gnan, E.; Maruccio, A.; Schiavone, M.; Lacuzio, L.; Carugo, S. Viral Myocarditis: Classification, Diagnosis, and Clinical Implications. Front. Cardiovasc. Med. 2022, 9, 908663. [Google Scholar] [CrossRef]
- World Medical Association. World Medical Association Declaration of Helsinki. JAMA 2013, 310, 2191. [Google Scholar] [CrossRef]
- Cerqueira, M.D.; Weissman, N.J.; Dilsizian, V.; Jacobs, A.K.; Kaul, S.; Laskey, W.K.; Pennell, D.J.; Rumberger, J.A.; Ryan, T.; Verani, M.S.; et al. Standardized Myocardial Segmentation and Nomenclature for Tomographic Imaging of the Heart. Circulation 2002, 105, 539–542. [Google Scholar] [CrossRef]
- Haaf, P.; Garg, P.; Messroghli, D.R.; Broadbent, D.A.; Greenwood, J.P.; Plein, S. Cardiac T1 Mapping and Extracellular Volume (ECV) in clinical practice: A comprehensive review. J. Cardiovasc. Magn. Reson. 2017, 18, 89. [Google Scholar] [CrossRef]
- Wang, H.; Li, R.; Zhou, Z.; Jiang, H.; Yan, Z.; Tao, X.; Li, H.; Xu, L. Cardiac involvement in COVID-19 patients: Mid-term follow up by cardiovascular magnetic resonance. J. Cardiovasc. Magn. Reson. 2021, 23, 14. [Google Scholar] [CrossRef] [PubMed]
- Buja, L.M.; Wolf, D.A.; Zhao, B.; Akkanti, B.; McDonald, M.; Lelenwa, L.; Reilly, N.; Ottaviani, G.; Elghetany, M.T.; Trujillo, D.O.; et al. The emerging spectrum of cardiopulmonary pathology of the coronavirus disease 2019 (COVID-19): Report of 3 autopsies from Houston, Texas, and review of autopsy findings from other United States cities. Cardiovasc. Pathol. 2020, 48, 107233. [Google Scholar] [CrossRef] [PubMed]
- Han, H.; Xie, L.; Liu, R.; Yang, J.; Liu, F.; Wu, K.; Chen, L.; Hou, W.; Feng, Y.; Zhu, C. Analysis of heart injury laboratory parameters in 273 COVID-19 patients in one hospital in Wuhan, China. J. Med. Virol. 2020, 92, 819–823. [Google Scholar] [CrossRef] [PubMed]
- Ansari Ramandi, M.M.; Baay, M.; Naderi, N. Does the novel coronavirus 2019 like heart more than the other family members of coronaviruses? J. Cardiovasc. Thorac. Res. 2020, 12, 156–157. [Google Scholar] [CrossRef] [PubMed]
- Bajaj, R.; Sinclair, H.C.; Patel, K.; Low, B.; Pericao, A.; Manisty, C.; Guttmann, O.; Zemrak, F.; Miller, O.; Longhi, P.; et al. Delayed-onset myocarditis following COVID-19. Lancet Respir. Med. 2021, 9, e32–e34. [Google Scholar] [CrossRef]
- Nicol, M.; Cacoub, L.; Baudet, M.; Nahmani, Y.; Cacoub, P.; Cohen-Solal, A.; Henry, P.; Adle-Biassette, H.; Logeart, D. Delayed acute myocarditis and COVID-19-related multisystem inflammatory syndrome. ESC Heart Fail. 2020, 7, 4371–4376. [Google Scholar] [CrossRef]
- Breitbart, P.; Alexander, K.; Schmidt, M.; Magedanz, A.; Lindhoff-Last, E.; Voigtländer, T.; Schmermund, A.; Mehta, R.H.; Eggebrecht, H. Clinical and cardiac magnetic resonance findings in post-COVID patients referred for suspected myocarditis. Clin. Res. Cardiol. 1929, 110, 1832–1840. [Google Scholar] [CrossRef]
- Li, W.; Moore, M.J.; Vasilieva, N.; Sui, J.; Wong, S.K.; Berne, M.A.; Somasundaran, M.; Sullivan, J.L.; Luzuriaga, K.; Greenough, T.C.; et al. Angiotensin-converting enzyme 2 is a functional receptor for the SARS coronavirus. Nature 2003, 426, 450–454. [Google Scholar] [CrossRef]
- Turner, A.J.; Hiscox, J.A.; Hooper, N.M. ACE2: From vasopeptidase to SARS virus receptor. Trends Pharmacol. Sci. 2004, 25, 291–294. [Google Scholar] [CrossRef]
- Pober, J.S.; Sessa, W.C. Evolving functions of endothelial cells in inflammation. Nat. Rev. Immunol. 2007, 7, 803–815. [Google Scholar] [CrossRef] [PubMed]
- Ali-Ahmed, F.; Dalgaard, F.; Al-Khatib, S.M. Sudden cardiac death in patients with myocarditis: Evaluation, risk stratification, and management. Am. Heart J. 2020, 220, 29–40. [Google Scholar] [CrossRef] [PubMed]
- Puntmann, V.O.; Ludovica Carerj, M.; Wieters, I.; Fahim, M.; Arendt, C.; Hoffmann, J.; Shchendrygina, A.; Escher, F.; Vasa-Nicotera, M.; Zeiher, A.M.; et al. Outcomes of Cardiovascular Magnetic Resonance Imaging in Patients Recently Recovered From Coronavirus Disease 2019 (COVID-19). JAMA Cardiol. 2020, 5, 1265–1273. [Google Scholar] [CrossRef] [PubMed]
- Gyöngyösi, M.; Hasimbegovic, E.; Han, E.; Zlabinger, K.; Spannbauer, A.; Riesenhuber, M.; Hamzaraj, K.; Bergler-Klein, J.; Hengstenberg, C.; Kammerlander, A.; et al. Improvement of Symptoms and Cardiac Magnetic Resonance Abnormalities in Patients with Post-Acute Sequelae of SARS-CoV-2 Cardiovascular Syndrome (PASC-CVS) after Guideline-Oriented Therapy. Biomedicines 2023, 11, 3312. [Google Scholar] [CrossRef]
- Dhakal, B.P.; Sweitzer, N.K.; Indik, J.H.; Acharya, D.; William, P. SARS-CoV-2 Infection and Cardiovascular Disease: COVID-19 Heart. Heart Lung Circ. 2020, 29, 973–987. [Google Scholar] [CrossRef]
- Babapoor-Farrokhran, S.; Gill, D.; Walker, J.; Rasekhi, R.T.; Bozorgnia, B.; Amanullah, A. Myocardial injury and COVID-19: Possible mechanisms. Life Sci. 2020, 253, 117723. [Google Scholar] [CrossRef] [PubMed]
- Clark, D.E.; Aggarwal, S.K.; Phillips, N.J.; Soslow, J.H.; Dendy, J.M.; Hughes, S.G. Cardiac Magnetic Resonance in the Evaluation of COVID-19. Card. Fail. Rev. 2022, 8, e09. [Google Scholar] [CrossRef]
- Luetkens, J.A.; Homsi, R.; Dabir, D.; Kuetting, D.L.; Marx, C.; Doerner, J.; Schlesinger-Irsch, U.; Andrié, R.; Sprinkart, A.M.; Schmeel, F.C.; et al. Comprehensive Cardiac Magnetic Resonance for Short-Term Follow-Up in Acute Myocarditis. J. Am. Heart Assoc. 2016, 5, e003603. [Google Scholar] [CrossRef]
- Zagrosek, A.; Abdel-Aty, H.; Boyé, P.; Wassmuth, R.; Messroghli, D.; Utz, W.; Rudolph, A.; Bohl, S.; Dietz, R.; Schulz-Menger, J. Cardiac Magnetic Resonance Monitors Reversible and Irreversible Myocardial Injury in Myocarditis. JACC Cardiovasc. Imaging 2009, 2, 131–138. [Google Scholar] [CrossRef]
- Barone-Rochette, G.; Augier, C.; Rodière, M.; Quesada, J.; Foote, A.; Bouvaist, H.; Marlière, S.; Fagret, D.; Baguet, J.P.; Vanzetto, G. Potentially simple score of late gadolinium enhancement cardiac MR in acute myocarditis outcome. J. Magn. Reson. Imaging 2014, 40, 1347–1354. [Google Scholar] [CrossRef]
- Gräni, C.; Eichhorn, C.; Bière, L.; Murthy, V.L.; Agarwal, V.; Kaneko, K.; Cuddy, S.; Aghayev, A.; Steigner, M.; Blankstein, R.; et al. Prognostic Value of Cardiac Magnetic Resonance Tissue Characterization in Risk Stratifying Patients With Suspected Myocarditis. J. Am. Coll. Cardiol. 2017, 70, 1964–1976. [Google Scholar] [CrossRef] [PubMed]
- Aquaro, G.D.; Perfetti, M.; Camastra, G.; Monti, L.; Dellegrottaglie, S.; Moro, C.; Pepe, A.; Todiere, G.; Lanzillo, C.; Scatteia, A.; et al. Cardiac MR With Late Gadolinium Enhancement in Acute Myocarditis With Preserved Systolic Function. J. Am. Coll. Cardiol. 2017, 70, 1977–1987. [Google Scholar] [CrossRef]
- Brito, D.; Meester, S.; Yanamala, N.; Patel, H.B.; Balcik, B.J.; Casaclang-Verzosa, G.; Seetharam, K.; Riveros, D.; Beto, R.J., 2nd; Balla, S.; et al. High Prevalence of Pericardial Involvement in College Student Athletes Recovering From COVID-19. JACC Cardiovasc. Imaging 2021, 14, 541–555. [Google Scholar] [CrossRef]
- Saraç, İ.; Aydın, S.Ş.; Özmen, M.; Doru, H.İ.; Tonkaz, G.; Çırçır, M.N.; Akpınar, F.; Zengin, O.; Delice, O.; Aydınyılmaz, F. Prevalence, Risk Factors, Prognosis, and Management of Pericardial Effusion in COVID-19. J. Cardiovasc. Dev. Dis. 2023, 10, 368. [Google Scholar] [CrossRef]
- Mitrani, R.D.; Dabas, N.; Alfadhli, J.; Lowery, M.H.; Best, T.M.; Hare, J.M.; Myerburg, R.J.; Goldberger, J.J. Long-term cardiac surveillance and outcomes of COVID-19 patients. Trends Cardiovasc. Med. 2022, 32, 465–475. [Google Scholar] [CrossRef]
- Palmisano, A.; Vignale, D.; Bruno, E.; Peretto, G.; De Luca, G.; Campochiaro, C.; Tomelleri, A.; Agricola, E.; Montorfano, M.; Esposito, A. Cardiac magnetic resonance findings in acute and post-acute COVID-19 patients with suspected myocarditis. J. Clin. Ultrasound 2023, 51, 613–621. [Google Scholar] [CrossRef] [PubMed]
- Raman, B.; Bluemke, D.A.; Lüscher, T.F.; Neubauer, S. Long COVID: Post-acute sequelae of COVID-19 with a cardiovascular focus. Eur. Heart J. 2022, 43, 1157–1172. [Google Scholar] [CrossRef] [PubMed]





| Variable | (n = 85) |
|---|---|
| Age, mean ± sd | 42.5 ± 13.4 |
| Gender, n (%) | |
| Male | 26 (30.6) |
| Female | 59 (69.4) |
| BMI, mean ± sd | 25.9 ± 4.3 |
| Hypertension, n (%) | 17 (20.0) |
| Diabetes mellitus, n (%) | 10 (11.8) |
| COPD, n (%) | 1 (1.2) |
| Systemic connective tissue or inflammatory diseases, n (%) | 2 (2.4) |
| Variable | |
|---|---|
| Number of days from onset of symptoms to CMR, median (interquartile range) | 120 (51–209) |
| Number of days with cardiovascular problems | |
| <12 weeks | 7 (8.2) |
| ≥12 weeks | 78 (91.8) |
| Treatment, n (%) | |
| Home treatment | 46 (54.1) |
| Hospital treatment | 39 (45.9) |
| Oxygen therapy, n (%) | 30 (35.3) |
| Mechanic ventilation, n (%) | 2 (2.4) |
| Pneumonia as a part of COVID-19 infection, n (%) | 47 (55.3) |
| The main cardiac symptoms in post-COVID-19 period, n (%) | |
| Palpitations | 53 (62.4) |
| Irregular heartbeat | 38 (44.7) |
| Fatigue | 69 (81.2) |
| Shortness or loss of breath | 28 (32.9) |
| Chest pain | 22 (25.9) |
| Fever | 11 (12.9) |
| Dizziness and fainting | 6 (7.1) |
| Unconsciousness | 2 (2.4) |
| Recurrent episode of hospitalization during the period of cardiac symptoms, n (%) | 9 (10.6) |
| Quality of life, mean (95% CI) | 5.2 (4.7-5.8) |
| Severeness of symptoms, n (%) | |
| During acute infection | 36 (42.4) |
| Post-COVID-19 | 49 (57.6) |
| Variable | |
|---|---|
| EF LV, mean ± sd, % | 61.43 ± 5.87 |
| EF RV, mean ± sd, % | 60.65 ± 7.83 |
| EDVI LV, n (%) | |
| Elevated | 20 (23.5) |
| SVI LV, n (%) | |
| Decreased | 3 (3.5) |
| CI LV, n (%) | |
| Decreased | 1 (1.2) |
| Myocardial mass index LV in ED, n (%) | |
| Increased | 0 (0.0) |
| Average myocardial mass index LV, n (%) | |
| Increased | 0 (0.0) |
| Variable | |
|---|---|
| LGE, n (%) | 67 (78.8) |
| Myocardial segments involved by LGE, n (%) | |
| Basal anterior | 5 (5.9) |
| Basal anteroseptal | 3 (3.5) |
| Basal inferoseptal | 6 (7.1) |
| Basal inferior | 17 (20.0) |
| Basal inferolateral | 22 (25.9) |
| Basal anterolateral | 11 (12.9) |
| Mid anterior | 2 (2.4) |
| Mid anteroseptal | 5 (5.9) |
| Mid inferoseptal | 10 (11.8) |
| Mid inferior | 10 (11.8) |
| Mid inferolateral | 40 (47.1) |
| Mid anterolateral | 29 (34.1) |
| Apical anterior | 1 (1.2) |
| Apical septal | 0 (0.0) |
| Apical inferior | 3 (3.5) |
| Apical lateral | 3 (3.5) |
| Quantification of LGE (%) | |
| 0 | 18 (21.7) |
| 1 | 37 (44.6) |
| 2 | 23 (27.7) |
| 3 | 5 (6.0) |
| Distribution of LGE, n (%) | |
| Subepicardial | 27 (31.8) |
| Mid-wall | 7 (8.2) |
| Transmural | 1 (1.2) |
| Subepicardial and mid-wall | 32 (37.6) |
| Late pericardial enhancement, n (%) | 34 (40.0) |
| Variable | |
|---|---|
| Mean native T1 value (diffuse), mean ± sd | 1020 ± 35 |
| Mean T2 value (diffuse), mean ± sd | 47 ± 3 |
| Highest mean native T1 value (focal), mean ± sd | 1174 ± 106 |
| Highest mean T2 value (focal), mean ± sd | 58 ± 9 |
| ECV, mean ± sd | 25.7 ± 1.9 |
| Pericardial effusion, n (%) | 44 (51.8) |
| Variable | Oxygen Therapy, MV, or Pneumonia | p Value | |
|---|---|---|---|
| No (n = 36) | Yes (n = 49) | ||
| Age, mean ± sd | 34.3 ± 10.4 | 48.5 ± 12.2 | <0.001 |
| Gender, n (%) | |||
| Male | 11 (30.6) | 15 (30.6) | 0.996 |
| Female | 25 (69.4) | 34 (69.4) | |
| BMI, mean ± sd | 24.3 ± 3.2 | 27.1 ± 4.5 | 0.002 |
| Hypertension, n (%) | 2 (5.6) | 15 (30.6) | 0.004 |
| Diabetes mellitus, n (%) | 1 (2.8) | 9 (18.4) | 0.028 |
| COPD, n (%) | 0 (0.0) | 1 (2.0) | 1.000 |
| Systemic connective tissue or inflammatory diseases, n (%) | 0 (0.0) | 2 (4.1) | 0.506 |
| Quality of life, mean (95% CI) | 5.5 (4.5–6.5) | 5.0 (4.3–5.8) | 0.437 |
| EF LV, mean ± sd | 61.7 ± 5.6 | 61.2 ± 6.1 | 0.699 |
| EF RV, mean ± sd | 60.2 ± 6.1 | 61.0 ± 8.9 | 0.646 |
| LGE, n (%) | 31 (86.1) | 36 (73.5) | 0.159 |
| Number of segments with LGE, median (interquartile range) | 2 (1–3) | 2 (0–3) | 0.796 |
| Myocardial segments involved by LGE, n (%) | |||
| Basal anterior | 5 (13.9) | 0 (0.0) | 0.007 |
| Basal anteroseptal | 1 (2.8) | 2 (4.1) | 0.748 |
| Basal inferoseptal | 1 (2.8) | 5 (10.2) | 0.187 |
| Basal inferior | 7 (19.4) | 10 (20.4) | 0.913 |
| Basal inferolateral | 7 (19.4) | 15 (30.6) | 0.245 |
| Basal anterolateral | 6 (16.7) | 5 (10.2) | 0.380 |
| Mid anterior | 0 (0.0) | 2 (4.1) | 0.220 |
| Mid anteroseptal | 2 (5.6) | 3 (6.1) | 0.913 |
| Mid inferoseptal | 5 (13.9) | 5 (10.2) | 0.602 |
| Mid inferior | 5 (13.9) | 5 (10.2) | 0.602 |
| Mid inferolateral | 17 (47.2) | 23 (46.9) | 0.979 |
| Mid anterolateral | 15 (41.7) | 14 (28.6) | 0.208 |
| Apical anterior | 1 (2.8) | 0 (0.0) | 0.241 |
| Apical inferior | 0 (0.0) | 3 (6.1) | 0.131 |
| Apical lateral | 0 (0.0) | 3 (6.1) | 0.131 |
| Quantification of LGE (%) | |||
| ≤1 | 24 (66.7) | 31 (66.0) | 0.946 |
| >1 | 12 (33.3) | 16 (34.0) | |
| Late pericardial enhancement, n (%) | 15 (41.7) | 19 (38.8) | 0.788 |
| Mean native T1 value (diffuse), mean ± sd | 1015.7 ± 36.0 | 1022.4 ± 34.3 | 0.386 |
| Mean T2 value (diffuse), mean ± sd | 46.7 ± 2.8 | 47.6 ± 3.9 | 0.270 |
| Highest mean native T1 value (focal), mean ± sd | 1162.5 ± 117.4 | 1181.6 ± 96.4 | 0.412 |
| Highest mean T2 value (focal), mean ± sd | 58.6 ± 10.2 | 57.8 ± 7.1 | 0.647 |
| ECV, mean ± sd | 25.7 ± 1.9 | 25.6 ± 1.9 | 0.819 |
| Pericardial effusion, n (%) | 22 (61.1) | 22 (44.9) | 0.139 |
| Variable | Pericardial Effusion | p Value | |
|---|---|---|---|
| No (n = 41) | Yes (n = 44) | ||
| Age, mean ± sd | 46.2 ± 12.9 | 39.0 ± 13.1 | 0.013 |
| Gender, n (%) | |||
| Male | 19 (46.3) | 7 (15.9) | 0.002 |
| Female | 22 (53.7) | 37 (84.1) | |
| BMI, mean ± sd | 27.5 ± 4.4 | 24.5 ± 3.6 | 0.001 |
| Hypertension, n (%) | 13 (31.7) | 4 (9.1) | 0.009 |
| Diabetes mellitus, n (%) | 6 (14.6) | 4 (9.1) | 0.428 |
| COPD, n (%) | 1 (2.4) | 0 (0.0) | 0.297 |
| Systemic connective tissue or inflammatory diseases, n (%) | 0 (0.0) | 2 (4.5) | 0.167 |
| Quality of life, mean (95% CI) | 5.8 (5.0–6.7) | 4.7 (3.9–5.5) | 0.049 |
| EF LV, mean ± sd | 61.7 ± 7.2 | 61.2 ± 4.4 | 0.720 |
| EF RV, mean ± sd | 58.4 ± 8.9 | 62.6 ± 6.1 | 0.019 |
| EDVI LV, n (%) | |||
| Decreased/normal values | 32 (80.0) | 32 (72.7) | 0.434 |
| Elevated | 8 (20.0) | 12 (27.3) | |
| SVI LV, n (%) | |||
| Decreased/normal values | 38 (95.0) | 40 (90.9) | 0.467 |
| Elevated | 2 (5.0) | 4 (9.1) | |
| CI LV, n (%) | |||
| Decreased/normal values | 35 (87.5) | 39 (88.6) | 0.872 |
| Elevated | 5 (12.5) | 5 (11.4) | |
| Myocardial mass index LV in ED, n (%) | |||
| Decreased | 22 (55.0) | 23 (52.3) | 0.802 |
| Normal values | 18 (45.0) | 21 (47.7) | |
| Average myocardial mass index LV, n (%) | |||
| Decreased | 24 (60.0) | 26 (59.1) | 0.932 |
| Normal values | 16 (40.0) | 18 (40.9) | |
| LGE, n (%) | 31 (75.6) | 36 (81.8) | 0.484 |
| Number of segments with LGE, median (interquartile range) | 2 (1–3) | 2 (1–3) | 0.673 |
| Myocardial segments involved by LGE, n (%) | |||
| Basal anterior | 2 (4.9) | 3 (6.8) | 0.704 |
| Basal anteroseptal | 2 (4.9) | 1 (2.3) | 0.515 |
| Basal inferoseptal | 3 (7.3) | 3 (6.8) | 0.929 |
| Basal inferior | 9 (22.0) | 8 (18.2) | 0.664 |
| Basal inferolateral | 14 (34.1) | 8 (18.2) | 0.093 |
| Basal anterolateral | 6 (14.6) | 5 (11.4) | 0.654 |
| Mid anterior | 2 (4.9) | 0 (0.0) | 0.138 |
| Mid anteroseptal | 2 (4.9) | 3 (6.8) | 0.704 |
| Mid inferoseptal | 1 (2.4) | 9 (20.5) | 0.010 |
| Mid inferior | 4 (9.8) | 6 (13.6) | 0.579 |
| Mid inferolateral | 16 (39.0) | 24 (54.5) | 0.152 |
| Mid anterolateral | 15 (36.6) | 14 (31.8) | 0.643 |
| Apical anterior | 0 (0.0) | 1 (2.3) | 0.332 |
| Apical inferior | 0 (0.0) | 3 (6.8) | 0.089 |
| Apical lateral | 2 (4.9) | 1 (2.3) | 0.515 |
| Quantification of LGE (%) | |||
| ≤1 | 27 (67.5) | 28 (65.1) | 0.818 |
| >1 | 13 (32.5) | 15 (34.9) | |
| Late pericardial enhancement, n (%) | 13 (31.7) | 21 (47.7) | 0.132 |
| Mean native T1 value (diffuse), mean ± sd | 1011 ± 30.4 | 1027.5 ± 37.3 | 0.029 |
| Mean T2 value (diffuse), mean ± sd | 47.3 ± 3.8 | 47.1 ± 3.2 | 0.836 |
| Highest mean native T1 value (focal), mean ± sd | 1186.1 ± 94.4 | 1161.8 ± 114.9 | 0.292 |
| Highest mean T2 value (focal), mean ± sd | 58.1 ± 6.6 | 58.2 ± 10.0 | 0.965 |
| ECV, mean ± sd | 25.5 ± 1.4 | 25.9 ± 2.2 | 0.399 |
| Variable | More Severe Symptoms | p Value | |
|---|---|---|---|
| COVID-19 (n = 36) | POST-COVID-19 (n = 49) | ||
| Age, mean ± sd | 46.4 ± 13.3 | 39.6 ± 13.0 | 0.022 |
| Gender, n (%) | |||
| Male | 16 (44.4) | 10 (20.4) | 0.017 |
| Female | 20 (55.6) | 39 (79.6) | |
| BMI, mean ± sd | 27.1 ± 3.1 | 25.0 ± 4.8 | 0.023 |
| Hypertension, n (%) | 12 (33.3) | 5 (10.2) | 0.008 |
| Diabetes mellitus, n (%) | 6 (16.7) | 4 (8.2) | 0.229 |
| COPD, n (%) | 0 (0.0) | 1 (2.0) | 0.389 |
| Systemic connective tissue or inflammatory diseases, n (%) | 1 (2.8) | 1 (2.0) | 0.825 |
| Quality of life, mean (95% CI) | 6.4 (5.5–7.3) | 4.4 (3.7–5.1) | <0.001 |
| EF LV, mean ± sd | 61.7 ± 4.1 | 61.3 ± 6.9 | 0.755 |
| EF RV, mean ± sd | 58.9 ± 7.2 | 62.0 ± 8.1 | 0.081 |
| LGE, n (%) | 30 (83.3) | 37 (75.5) | 0.383 |
| Number of segments with LGE, median (interquartile range) | 2 (1–3) | 2 (1–3) | 0.380 |
| Myocardial segments involved by LGE, n (%) | |||
| Basal anterior | 0 (0.0) | 5 (10.2) | 0.048 |
| Basal anteroseptal | 2 (5.6) | 1 (2.0) | 0.386 |
| Basal inferoseptal | 3 (8.3) | 3 (6.1) | 0.694 |
| Basal inferior | 7 (19.4) | 10 (20.4) | 0.913 |
| Basal inferolateral | 12 (33.3) | 10 (20.4) | 0.179 |
| Basal anterolateral | 5 (13.9) | 6 (12.2) | 0.823 |
| Mid anterior | 1 (2.8) | 1 (2.0) | 0.825 |
| Mid anteroseptal | 3 (8.3) | 2 (4.1) | 0.410 |
| Mid inferoseptal | 2 (5.6) | 8 (16.3) | 0.128 |
| Mid inferior | 3 (8.3) | 7 (14.3) | 0.400 |
| Mid inferolateral | 19 (52.8) | 21 (42.9) | 0.365 |
| Mid anterolateral | 15 (41.7) | 14 (28.6) | 0.208 |
| Apical anterior | 0 (0.0) | 1 (2.0) | 0.389 |
| Apical inferior | 1 (2.8) | 2 (4.1) | 0.748 |
| Apical lateral | 3 (8.3) | 0 (0.0) | 0.040 |
| Quantification of LGE (%) | |||
| ≤1 | 22 (62.9) | 33 (68.8) | 0.575 |
| >1 | 13 (37.1) | 15 (31.3) | |
| Late pericardial enhancement, n (%) | 15 (41.7) | 19 (38.8) | 0.788 |
| Mean native T1 value (diffuse), mean ± sd | 1014.5 ± 35.7 | 1023.2 ± 34.3 | 0.261 |
| Mean T2 value (diffuse), mean ± sd | 46.5 ± 3.1 | 47.7 ± 3.7 | 0.135 |
| Highest mean native T1 value (focal), mean ± sd | 1186.1 ± 91.5 | 1164.2 ± 114.9 | 0.348 |
| Highest mean T2 value (focal), mean ± sd | 57.9 ± 6.2 | 58.3 ± 9.9 | 0.797 |
| ECV, mean ± sd | 25.3 ± 1.0 | 26.0 ± 1.0 | 0.106 |
| Pericardial effusion, n (%) | 11 (30.6) | 33 (67.3) | 0.001 |
| Variable | Multivariate Linear Regression Analysis | ||
|---|---|---|---|
| β | t | p Value | |
| Irregular heartbeat | −0.232 | −2.228 | 0.039 |
| Cardiovascular problems that lasts longer than 12 weeks | −0.251 | −2.408 | 0.018 |
| Pericardial effusion | −0.218 | −2.117 | 0.037 |
Disclaimer/Publisher’s Note: The statements, opinions and data contained in all publications are solely those of the individual author(s) and contributor(s) and not of MDPI and/or the editor(s). MDPI and/or the editor(s) disclaim responsibility for any injury to people or property resulting from any ideas, methods, instructions or products referred to in the content. |
© 2024 by the authors. Licensee MDPI, Basel, Switzerland. This article is an open access article distributed under the terms and conditions of the Creative Commons Attribution (CC BY) license (https://creativecommons.org/licenses/by/4.0/).
Share and Cite
Popovic, M.; Cvetic, V.; Popadic, V.; Ilic, K.; Radojevic, A.; Klasnja, A.; Milic, N.; Rajovic, N.; Lasica, R.; Gostiljac, D.; et al. The Correlation between Cardiac Magnetic Resonance Findings and Post-COVID-19: The Impact of Myocardial Injury on Quality of Life. Diagnostics 2024, 14, 1937. https://doi.org/10.3390/diagnostics14171937
Popovic M, Cvetic V, Popadic V, Ilic K, Radojevic A, Klasnja A, Milic N, Rajovic N, Lasica R, Gostiljac D, et al. The Correlation between Cardiac Magnetic Resonance Findings and Post-COVID-19: The Impact of Myocardial Injury on Quality of Life. Diagnostics. 2024; 14(17):1937. https://doi.org/10.3390/diagnostics14171937
Chicago/Turabian StylePopovic, Maja, Vladimir Cvetic, Viseslav Popadic, Kristina Ilic, Aleksandra Radojevic, Andrea Klasnja, Natasa Milic, Nina Rajovic, Ratko Lasica, Drasko Gostiljac, and et al. 2024. "The Correlation between Cardiac Magnetic Resonance Findings and Post-COVID-19: The Impact of Myocardial Injury on Quality of Life" Diagnostics 14, no. 17: 1937. https://doi.org/10.3390/diagnostics14171937
APA StylePopovic, M., Cvetic, V., Popadic, V., Ilic, K., Radojevic, A., Klasnja, A., Milic, N., Rajovic, N., Lasica, R., Gostiljac, D., Klasnja, S., Mahmutovic, E., & Zdravkovic, M. (2024). The Correlation between Cardiac Magnetic Resonance Findings and Post-COVID-19: The Impact of Myocardial Injury on Quality of Life. Diagnostics, 14(17), 1937. https://doi.org/10.3390/diagnostics14171937

