Extraosseous Plasmacytomas: A Radiologist’s Perspective—A Narrative Review of the Literature
Abstract
1. Introduction
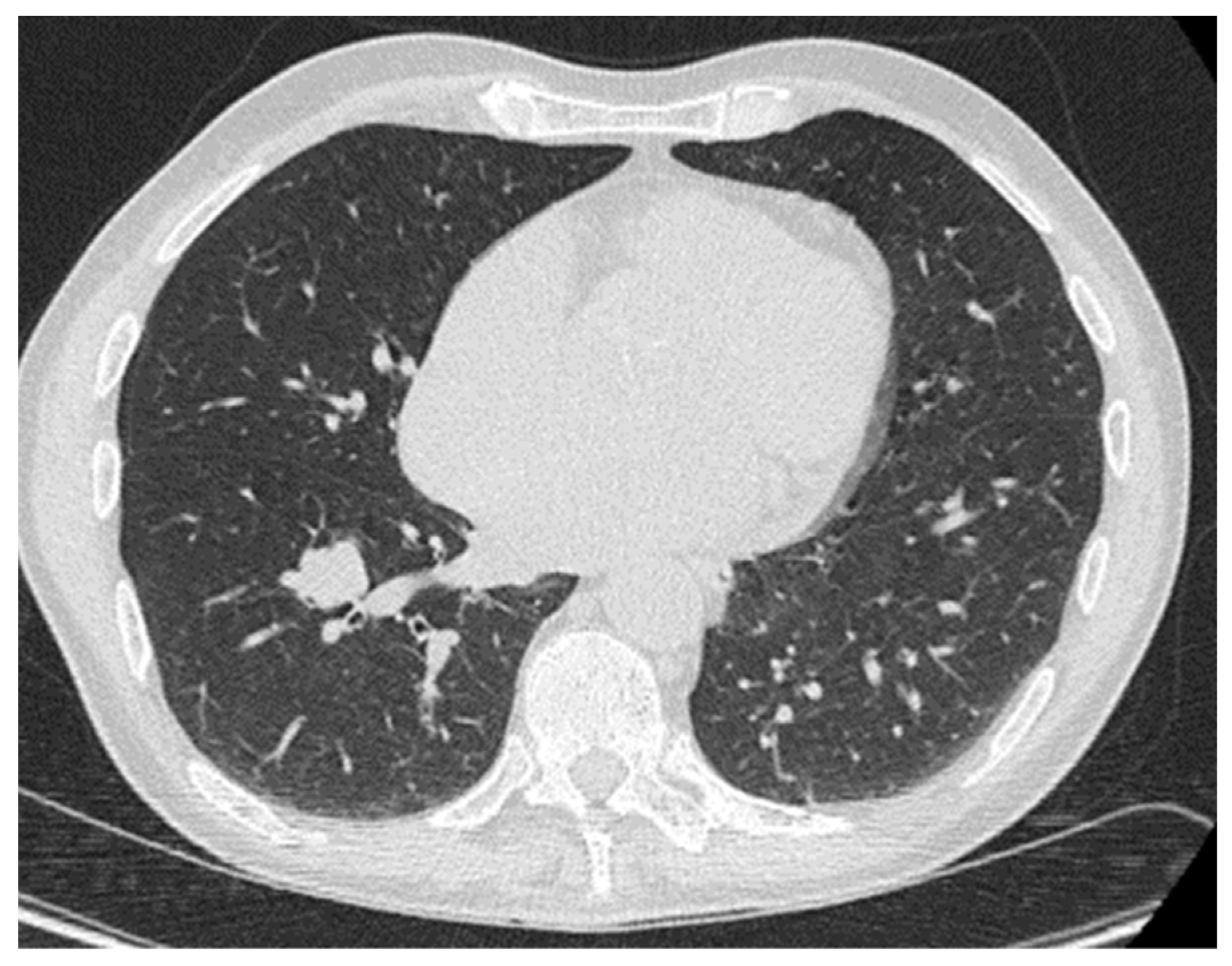
2. Lung
3. Mediastinum
4. Breast
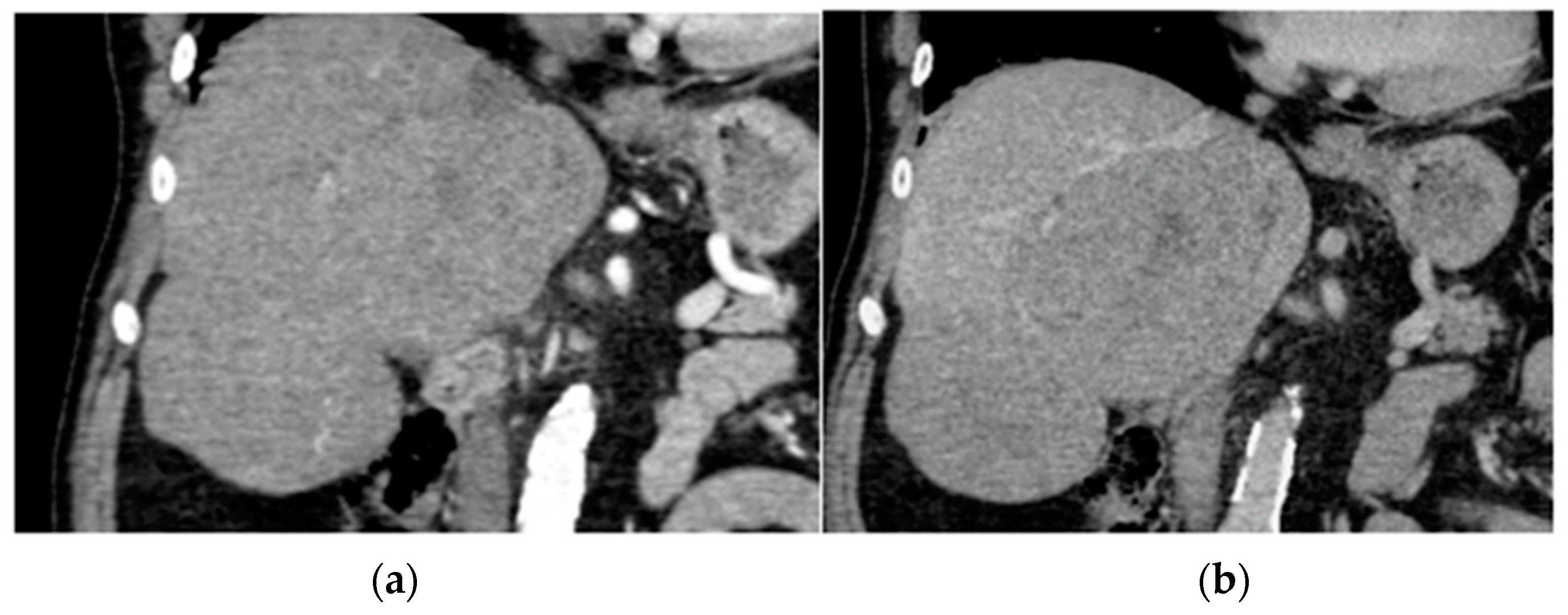
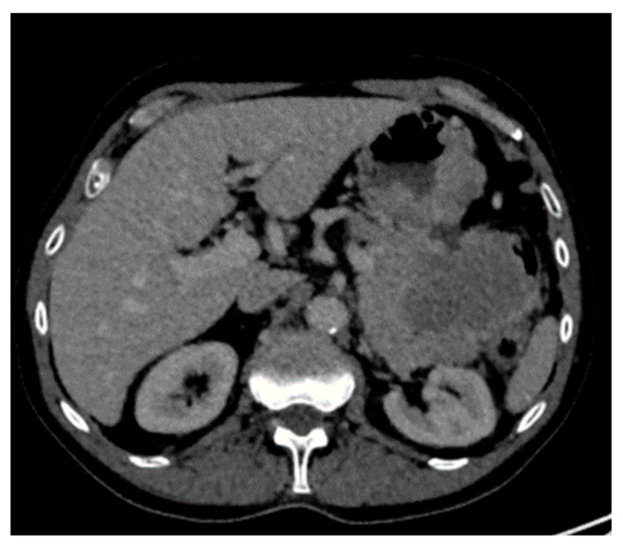
5. Liver
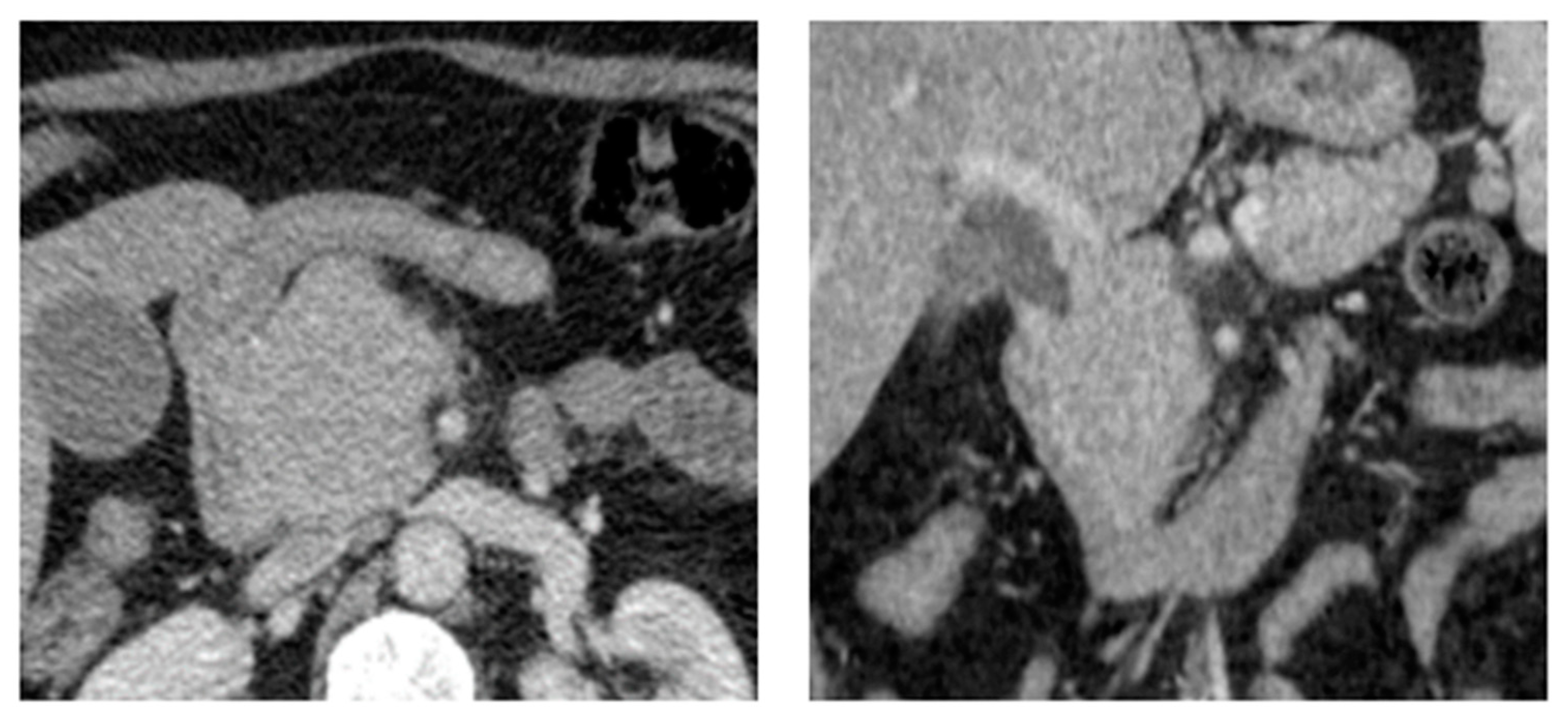
6. Pancreas
7. Stomach
8. Mesentery
9. Renal
10. Small and Large Bowel
11. Testis
12. Soft Tissue
13. Conclusions
Author Contributions
Funding
Informed Consent Statement
Conflicts of Interest
References
- Sevcikova, S.; Minarik, J.; Stork, M.; Jelinek, T.; Pour, L.; Hajek, R. Extramedullary disease in multiple myeloma—Controversies and future directions. Blood Rev. 2019, 36, 32–39. [Google Scholar] [CrossRef]
- Weinstock, M.; Ghobrial, I.M. Extramedullary multiple myeloma. Leuk. Lymphoma 2013, 54, 1135–1141. [Google Scholar] [CrossRef]
- Touzeau, C.; Moreau, P. How I treat extramedullary myeloma. Blood 2016, 127, 971–976. [Google Scholar] [CrossRef]
- International Myeloma Working, G. Criteria for the classification of monoclonal gammopathies, multiple myeloma and related disorders: A report of the International Myeloma Working Group. Br. J. Haematol. 2003, 121, 749–757. [Google Scholar] [CrossRef]
- Gozdziuk, K.; Kedra, M.; Rybojad, P.; Sagan, D. A rare case of solitary plasmacytoma mimicking a primary lung tumor. Ann. Thorac. Surg. 2009, 87, e25–e26. [Google Scholar] [CrossRef]
- Kim, S.H.; Kim, T.H.; Sohn, J.W.; Yoon, H.J.; Shin, D.H.; Kim, I.S.; Park, S.S. Primary pulmonary plasmacytoma presents as multiple lung nodules. Korean J. Intern. Med. 2012, 27, 111–113. [Google Scholar] [CrossRef] [PubMed]
- Luh, S.P.; Lai, Y.S.; Tsai, C.H.; Tsao, T.C. Extramedullary plasmacytoma (EMP): Report of a case manifested as a mediastinal mass and multiple pulmonary nodules and review of literature. World J. Surg. Oncol. 2007, 5, 123. [Google Scholar] [CrossRef]
- Mohammad Taheri, Z.; Mohammadi, F.; Karbasi, M.; Seyfollahi, L.; Kahkoei, S.; Ghadiany, M.; Fayazi, N.; Mansouri, D. Primary pulmonary plasmacytoma with diffuse alveolar consolidation: A case report. Patholog Res. Int. 2010, 2010, 463465. [Google Scholar] [CrossRef]
- Nie, S.; Peng, D.C.; Gong, H.H.; Ye, C.L.; Nie, X.; Li, H.J. Primary pulmonary plasmacytoma: A case report introduction. World J. Surg. Oncol. 2016, 14, 205. [Google Scholar] [CrossRef] [PubMed]
- Park, Y.M. Imaging Findings of Plasmacytoma of Both Breasts as a Preceding Manifestation of Multiple Myeloma. Case Rep. Med. 2016, 2016, 6595610. [Google Scholar] [CrossRef][Green Version]
- Wang, J.; Yang, X.; Liu, X.; He, T.; Liu, B.; Yang, L.; Yuan, F.; Li, J. Solitary extramedullary plasmacytoma in the lung misdiagnosed as lung cancer: A case report and literature review. Front. Oncol. 2022, 12, 950383. [Google Scholar] [CrossRef] [PubMed]
- Wei, S.; Li, X.; Song, Z.; Zhao, H.; Qiu, X.; Gong, L.; Chen, J.; Zhou, Q. Primary endobronchial plasmacytoma involving local lymph nodes and presenting with rare immunoglobulin G lambda monoclonal gammopathy. Can. Respir. J. 2012, 19, e28–e30. [Google Scholar] [CrossRef] [PubMed]
- Yadav, R.; Sun, L.; Cheema, A.; Yadav, V.; Wang, J.C. Amyloidoma and Plasmacytoma Presented as a Solitary Lung Nodule in a Patient of Multiple Myeloma With AL-Amyloidosis: A Case Report and Review of Literature. J. Investig. Med. High. Impact Case Rep. 2023, 11, 23247096231184768. [Google Scholar] [CrossRef]
- Horiuchi, T.; Hirokawa, M.; Oyama, Y.; Kitabayashi, A.; Satoh, K.; Shindoh, T.; Miura, A.B. Diffuse pulmonary infiltrates as a roentgenographic manifestation of primary pulmonary plasmacytoma. Am. J. Med. 1998, 105, 72–74. [Google Scholar] [CrossRef]
- Niitsu, N.; Kohri, M.; Hayama, M.; Nakamine, H.; Nakamura, N.; Bessho, M.; Higashihara, M. Primary pulmonary plasmacytoma involving bilateral lungs and marked hypergammaglobulinemia: Differentiation from extranodal marginal zone B-cell lymphoma of mucosa-associated lymphoid tissue. Leuk. Res. 2005, 29, 1361–1364. [Google Scholar] [CrossRef] [PubMed]
- Ali, H.O.E.; Nasir, Z.; Marzouk, A. Multiple Myeloma Breast Involvement: A Case Report. Case Rep. Radiol. 2019, 2019, 2079439. [Google Scholar] [CrossRef][Green Version]
- Park, J.I.; Lee, Y.Y.; Lee, S.S.; Ahn, J.H. A rare case of primary solitary endobronchial plasmacytoma. Thorac. Cancer 2021, 12, 958–961. [Google Scholar] [CrossRef]
- Lazarevic, V.; Cemerikic-Martinovic, V.; Suvajdzic, N.; Subotic, D.; Colovic, M. Diffuse primary plasmacytoma of the lung. Haematologia 2001, 31, 161–165. [Google Scholar] [CrossRef] [PubMed]
- Mulita, F.; Liolis, E.; Kehagias, D.; Tchabashvili, L.; Kaplanis, C.; Iliopoulos, F.; Perdikaris, I.; Kehagias, I. An enormous pelvic tumor in a 46-year-old woman with an elevated serum CA 125 level, what lies beneath it? Investigation of uterine tumors in postmenopausal women. Prz. Menopauzalny. 2021, 20, 154–157. [Google Scholar] [CrossRef]
- Lee, S.Y.; Kim, J.H.; Shin, J.S.; Shin, C.; In, K.H.; Kang, K.H.; Yoo, S.H. A case of extramedullary plasmacytoma arising from the posterior mediastinum. Korean J. Intern. Med. 2005, 20, 173–176. [Google Scholar] [CrossRef]
- Ganesh, M.; Sankar, N.S.; Jagannathan, R. Extramedullary plasmacytoma presenting as upper back pain. J. R. Soc. Promot. Health 2000, 120, 262–265. [Google Scholar] [CrossRef] [PubMed]
- Heo, D.; Boo, K.Y.; Jwa, H.; Lee, H.Y.; Kim, J.; Kim, S.T.; Seo, H.M.; Han, S.H.; Maeng, Y.H.; Lee, J.H. A Case of Posterior Mediastinal Plasmacytoma Confounded by Community-Acquired Pneumonia. Tuberc. Respir. Dis. 2015, 78, 262–266. [Google Scholar] [CrossRef]
- Mulita, F.; Verras, G.I.; Liolis, E.; Tchabashvili, L.; Kehagias, D.; Kaplanis, C.; Perdikaris, I.; Kehagias, I. Recurrent retroperitoneal liposarcoma: A case report and literature review. Clin Case Rep. 2021, 9, e04717. [Google Scholar] [CrossRef]
- Masood, A.; Hudhud, K.H.; Hegazi, A.; Syed, G. Mediastinal plasmacytoma with multiple myeloma presenting as a diagnostic dilemma. Cases J. 2008, 1, 116. [Google Scholar] [CrossRef] [PubMed]
- Sato, K.; Fumimoto, S.; Fukada, T.; Ichihashi, Y.; Ochi, K.; Satomi, H.; Morita, T.; Hanaoka, N.; Okada, Y.; Katsumata, T. Extramedullary Plasmacytoma Arising From the Anterior Mediastinum. Ann. Thorac. Surg. 2017, 103, e393–e395. [Google Scholar] [CrossRef] [PubMed]
- Rodriguez Perojo, A.; Raboso Moreno, B.; Garcia, S.P.; Somolinos De Marcos, M.N.; Gil Alcalde, M.; Rio Ramirez, M.T. Posterior Mediastinum Plasmocytoma: An Infrequent Location. Open Respir. Arch. 2023, 5, 100227. [Google Scholar] [CrossRef] [PubMed]
- Zhang, H.; Miao, Q.; Liu, J.; Li, X.; Deng, H. Complete resection of a mediastinal solitary extramedullary plasmacytoma and reconstruction of right pulmonary artery and superior vena cava. Ann. Thorac. Surg. 2011, 92, 2244–2246. [Google Scholar] [CrossRef]
- Green, J.; Attwood, C.; Robbie, H.; Stefanidis, K. Rare multifocal manifestation of solitary extramedullary plasmacytomas. BMJ Case Rep. 2019, 12, e232273. [Google Scholar] [CrossRef]
- Vrettou, A.R.; Heffner, L.T.; Rossi, P.J.; Clements, S.D., Jr. Cardiac plasmacytoma: A rare clinical entity. Tex. Heart Inst. J. 2014, 41, 554–557. [Google Scholar] [CrossRef]
- Andrea, R.; Irene, C.; Armando, F.; De Vivo, D.; Simonetti, G. Primary extramedullary plasmacytoma of the heart: A rare manifestation of plasmacellular tumor. Case Rep. Radiol. 2013, 2013, 290849. [Google Scholar] [CrossRef]
- Alexiou, C.; Kau, R.J.; Dietzfelbinger, H.; Kremer, M.; Spiess, J.C.; Schratzenstaller, B.; Arnold, W. Extramedullary plasmacytoma.Tumor occurrence and therapeutic concepts. Cancers 1999, 85, 2305–2314. [Google Scholar] [CrossRef]
- Ben-Yehuda, A.; Steiner-Saltz, D.; Libson, E.; Polliack, A. Plasmacytoma of the breast. Unusual initial presentation of myeloma: Report of two cases and review of the literature. Blut 1989, 58, 169–170. [Google Scholar] [CrossRef]
- Lamy, O.; von Bremen, K.; Burckhardt, P. Breast plasmacy-toma. Leuk. Lymphoma 2000, 37, 611–615. [Google Scholar] [CrossRef]
- Taylor, L.; Aziz, M.; Klein, P.; Mazumder, A.; Jagannath, S.; Axelrod, D. Plasmacytoma in the breast with axillary lymph node involvement: A case report. Clin. Breast Cancer 2006, 7, 81–84. [Google Scholar] [CrossRef]
- Momiyama, N.; Ishikawa, T.; Doi, T.; Ishiyama, A.; Kouno, T.; Takimoto, A.; Yamaoka, H.; Ogawa, K.; Kubo, A.; Nakatani, Y.; et al. Extramedullary plasmacytoma of the breast with serum IgD monoclonal protein: A case report and review of the literature. Breast Cancer 1999, 6, 217–221. [Google Scholar] [CrossRef]
- Yang, W.T.; Muttarak, M.; Ho, L.W.C. Nonmammary malignancies of the breast: Ultrasound CT and MRI. In Seminars in Ultrasound, CT and MRI 2000 Oct 1; WB Saunders: Philadelphia, PA, USA, 2000; Volume 21, pp. 375–394. [Google Scholar]
- Strojan, P.; Soba, E.; Lamovec, J.; Munda, A. Extramedullary plasmacytoma: Clinical and histopathologic study. Int. J. Radiat. Biol. Phys. 2002, 53, 692–701. [Google Scholar] [CrossRef] [PubMed]
- Lee, H.S.; Kim, J.Y.; Kang, C.S.; Kim, S.H.; Kang, J.H. Imaging features of bilateral breast plasmacytoma as unusual initial presentation of multiple myeloma: Case report and literature review. Acta Radiol. Short. Rep. 2014, 3, 2047981614557666. [Google Scholar] [CrossRef]
- Surov, A.; Holzhausen, H.J.; Ruschke, K.; Arnold, D.; Spielmann, R.P. Breast plasmacytoma. Acta Radiol. 2010, 51, 498–504. [Google Scholar] [CrossRef] [PubMed]
- Mulita, F.; Oikonomou, N.; Tchabashvili, L.; Liolis, E.; Kehagias, I. A giant ovarian mucinous tumor in a 58-year-old postmenopausal patient with persistent abdominal pain and high serum levels of CA 19-9. Pan. Afr. Med. J. 2020, 37, 76. [Google Scholar] [CrossRef]
- Kaviani, A.; Djamali-Zavareie, M.; Noparast, M.; Keyhani-Rofagha, S. Recurrence of primary extramedullary plasmacytoma in breast both simulating primary breast carcinoma. World J. Surg. Oncol. 2004, 2, 29. [Google Scholar] [CrossRef] [PubMed]
- Yuan, H.; Lei, H.; Gu, P.; Ma, L.; Qiu, L. A Rare Case of Extramedullary Multiple Myeloma Presenting as Masses on the Breast and Chest Wall Complicated with Sjogren’s Syndrome. Int. J. Gen. Med. 2021, 14, 51–55. [Google Scholar] [CrossRef] [PubMed]
- Seviar, D.; AlshiekhAli, Z.; Howlett, D. Extramedullary relapse of multiple myeloma presenting as a breast lump. BMJ Case Rep. 2021, 14, e239504. [Google Scholar] [CrossRef] [PubMed]
- Chalopin, T.; Barillot, I.; Biny, J.P.; Arbion, F.; Besson, M.; Santiago-Ribeiro, M.; Piver, E.; Herault, O.; Gyan, E.; Benboubker, L. Primary solitary plasmacytoma of the liver—Successful treatment with fractionated stereotactic radiotherapy (Cyberknife(R)): A case report. J. Med. Case Rep. 2017, 11, 193. [Google Scholar] [CrossRef] [PubMed]
- Moulopoulos, L.A.; Granfield, C.A.; Dimopoulos, M.A.; Kim, E.E.; Alexanian, R.; Libshitz, H.I. Extraosseous multiple myeloma: Imaging features. AJR Am. J. Roentgenol. 1993, 161, 1083–1087. [Google Scholar] [CrossRef] [PubMed]
- Oshima, K.; Kanda, Y.; Nannya, Y.; Kaneko, M.; Hamaki, T.; Suguro, M.; Yamamoto, R.; Chizuka, A.; Matsuyama, T.; Takezako, N.; et al. Clinical and pathologic findings in 52 consecutively autopsied cases with multiple myeloma. Am. J. Hematol. 2001, 67, 1–5. [Google Scholar] [CrossRef] [PubMed]
- Mathieu, D.; Elouaer-Blanc, L.; Diviné, M.; René, E.; Vasile, N. Hepatic plasmocytoma. J. Comput. Assist. Tomogr. 1986, 10, 144–145. [Google Scholar] [CrossRef] [PubMed]
- Nguyen, B.D.; Dash, N.; Lupetin, A.R. MR imaging of hepatic plasmacytoma: A case report. Clin. Imaging 1992, 16, 98–101. [Google Scholar] [CrossRef] [PubMed]
- Kelekis, N.L.; Semelka, R.C.; Warshauer, D.M.; Sallah, S. Nodular liver involvement in light chain multiple myeloma: Appearance on US and MRI. Clin. Imaging 1997, 21, 207–209. [Google Scholar] [CrossRef] [PubMed]
- Ng, P.; Slater, S.; Radvan, G.; Price, A. Hepatic plasmacytomas: Case report and review of imaging features. Australas. Radiol. 1999, 43, 98–101. [Google Scholar] [CrossRef]
- Patlas, M.; Khalili, K.; Dill-Macky, M.J.; Wilson, S.R. Spectrum of imaging findings in abdominal extraosseous myeloma. AJR Am. J. Roentgenol. 2004, 183, 929–932. [Google Scholar] [CrossRef]
- Monill, J.; Pernas, J.; Montserrat, E.; Pérez, C.; Clavero, J.; Martinez-Noguera, A.; Guerrero, R.; Torrubia, S. CT features of abdominal plasma cell neoplasms. Eur. Radiol. 2005, 15, 1705–1712. [Google Scholar] [CrossRef] [PubMed]
- Tan, C.H.; Wang, M.; Fu, W.J.; Vikram, R. Nodular extramedullary multiple myeloma: Hepatic involvement presenting as hypervascular lesions on CT. Ann. Acad. Med. Singap. 2011, 40, 329–331. [Google Scholar] [CrossRef] [PubMed]
- Cook, J.; Song, S.; Ventimiglia, A.; Luhrs, C. Incidental Discovery of Multiorgan Extramedullary Plasmacytomas in the Setting of Newly Diagnosed Multiple Myeloma and Delayed Hemolytic Transfusion Reaction. Case Rep. Hematol. 2017, 2017, 4531858. [Google Scholar] [CrossRef] [PubMed]
- Marcon, M.; Cereser, L.; Girometti, R.; Cataldi, P.; Volpetti, S.; Bazzocchi, M. Liver involvement by multiple myeloma presenting as hypervascular focal lesions in a patient with chronic hepatitis B infection. BJR Case Rep. 2016, 2, 20150013. [Google Scholar] [CrossRef] [PubMed]
- Kumar, K.; Singh, S.; Nayak, J.; Dhingra, G.; Nath, U.K. Hepatic Plasmacytoma With DEL13q14 Positive on Fluorescent In Situ Hybridization (FISH) on Tissue Biopsy. Cureus 2022, 14, e33197. [Google Scholar] [CrossRef] [PubMed]
- Lee, J.Y.; Won, J.H.; Kim, H.J.; Bae, S.B.; Kim, C.K.; Kim, J.H.; Lee, N.S.; Lee, K.T.; Park, S.K.; Jin, S.Y.; et al. Solitary extramedullary plasmacytoma of the liver without systemic monoclonal gammopathy. J. Korean Med. Sci. 2007, 22, 754–757. [Google Scholar] [CrossRef] [PubMed]
- Mulita, F.; Parchas, N.; Germanos, S.; Papadoulas, S.; Maroulis, I. Case Report of a Local Recurrence of Spindle Cell Embryonal Rhabdomyosarcoma. Med. Arch. 2020, 74, 240–242. [Google Scholar] [CrossRef] [PubMed]
- Mulita, F.; Tavlas, P.; Maroulis, I. A giant ovarian mass in a 68-year-old female with persistent abdominal pain and elevated serum CA-125 level. Prz. Menopauzalny. 2020, 19, 108–110. [Google Scholar] [CrossRef]
- Tiu, A.C.; Potdar, R.; Arguello-Gerra, V.; Morginstin, M. Multiple Liver Nodules Mimicking Metastatic Disease as Initial Presentation of Multiple Myeloma. Case Rep. Hematol. 2018, 2018, 7954816. [Google Scholar] [CrossRef]
- Gupta, P.; Rice, G.D.; Abraham, K.; Ghole, V.; Ketkar, M. Extramedullary plasmacytoma of the pancreas and jejunum. Clin. Imaging 2009, 33, 240–243. [Google Scholar] [CrossRef]
- Kim, J.H.; Paik, W.H.; Joo, M.; Kim, J.G.; Kim, J.W.; Bae, W.K.; Kim, N.H.; Kim, K.A.; Lee, J.S. Extramedullary plasmacytoma mimicking pancreatic cancer: A case report and literature review. Endosc. Ultrasound 2017, 6, 269–272. [Google Scholar] [PubMed]
- Smith, A.; Hal, H.; Frauenhoffer, E. Extramedullary plasmacytoma of the pancreas: A rare entity. Case Rep. Radiol. 2012, 2012, 798264. [Google Scholar] [CrossRef] [PubMed]
- Wang, X.; Xie, H.; Zhang, L. Multiple myeloma with onset of pancreas involvement: A case report. Medicine 2019, 98, e16567. [Google Scholar] [CrossRef] [PubMed]
- Hatem, M.; So, B.; Gray, R.; Wong, J. Plasmocytoma presented as pancreatic head mass. Radiol. Case Rep. 2015, 10, 81–87. [Google Scholar] [CrossRef] [PubMed]
- Le, M.; Surapaneni, B.K.; Jain, V.; Vinayek, R.; Dutta, S.K. Pancreatic Extramedullary Plasmacytoma Presenting as a Pancreatic Mass. Clin. Med. Insights Gastroenterol. 2018, 11, 1179552218801603. [Google Scholar] [CrossRef] [PubMed]
- Rizk, R.C.; Weisberg, E.M.; Fishman, E.K. Solitary plasmacytoma of the pancreas: A rare case report. Radiol. Case Rep. 2024, 19, 1806–1809. [Google Scholar] [CrossRef] [PubMed]
- Oliveira, R.C.; Amaro, P.; Juliao, M.J.; Cipriano, M.A. Primary gastric plasmacytoma: A rare entity. BMJ Case Rep. 2017, 2017, bcr2016218967. [Google Scholar] [CrossRef] [PubMed]
- Kwak, H.S.; Jin, G.Y.; Lee, J.M. Radiologic findings of multiple myeloma with gastric involvement: A case report. Korean J. Radiol. 2002, 3, 133–135. [Google Scholar] [CrossRef] [PubMed]
- Spagnoli, I.; Gattoni, F.; Mazzoni, R.; Uslenghi, C. Primary gastrointestinal plasmacytoma. Report of three cases. Diagn. Imaging 1983, 52, 23–27. [Google Scholar] [PubMed]
- Yoon, S.E.; Ha, H.K.; Lee, Y.S.; Kim, P.N.; Lee, M.G.; Yu, E.; Auh, Y.H. Upper gastrointestinal series and CT findings of primary gastric plasmacytoma: Report of two cases. AJR Am. J. Roentgenol. 1999, 173, 1266–1268. [Google Scholar] [CrossRef]
- Zhao, Z.H.; Yang, J.F.; Wang, J.D.; Wei, J.G.; Liu, F.; Wang, B.Y. Imaging findings of primary gastric plasmacytoma: A case report. World J. Gastroenterol. 2014, 20, 10202–10207. [Google Scholar] [CrossRef]
- Mitropoulou, G.; Zizi-Sermpetzoglou, A.; Moschouris, H.; Kountourogiannis, A.; Myoteri, D.; Dellaportas, D. Solitary Plasmacytoma of the Mesentery: A Systematic Clinician’s Diagnosis. Case Rep. Oncol. Med. 2017, 2017, 5901503. [Google Scholar] [CrossRef]
- Galhotra, R.; Saggar, K.; Gupta, K.; Singh, P. Primary isolated extramedullary plasmacytoma of mesentry: A rare case report. Gulf J. Oncolog. 2012, 12, 81–84. [Google Scholar]
- Thambi, S.M.; Nair, S.G.; Benson, R. Plasmacytoma of the mesentery. J. Postgrad. Med. 2018, 64, 255–257. [Google Scholar] [CrossRef] [PubMed]
- Rosic, T.; Ross, D.; Nethathe, G.D. Mesenteric plasmacytoma: An unusual cause of an abdominal mass. S Afr. J. Surg. 2014, 52, 61–62. [Google Scholar] [CrossRef]
- Makis, W.; Ciarallo, A.; Hickeson, M.; Lisbona, R. Gastric recurrence of a primary colon plasmacytoma: Staging and evaluating response to therapy with 18F-FDG PET/CT. Br. J. Radiol. 2012, 85, e4–e9. [Google Scholar] [CrossRef] [PubMed] [PubMed Central]
- Mei, Y.H.; Yu, J.P.; Li, G. An extramedullary plasmacytoma in the kidney of a 14-year-old girl: Case report and review of the literature. Medicine 2017, 96, e6092. [Google Scholar] [CrossRef] [PubMed]
- Spence, R.A.; Thwaini, A.; O’Rourke, D.M. Primary plasmacytoma of the kidney. Case Rep. Urol. 2013, 2013, 239580. [Google Scholar] [CrossRef]
- Zhang, S.Q.; Dong, P.; Zhang, Z.L.; Wu, S.; Guo, S.J.; Yao, K.; Li, Y.H.; Liu, Z.W.; Han, H.; Qin, Z.K.; et al. Renal plasmacytoma: Report of a rare case and review of the literature. Oncol. Lett. 2013, 5, 1839–1843. [Google Scholar] [CrossRef] [PubMed]
- Parnell, K.; Ahmed, M.; Smalligan, R.D.; Nadesan, S. Extramedullary plasmacytoma mimicking colon carcinoma: An unusual presentation and review of the literature. BMJ Case Rep. 2015, 2015, bcr2015210973. [Google Scholar] [CrossRef]
- Zihni, I.; Dinc, R.; Canpolat, S.; Cengiz, F.; Uslu, A. Extramedullary plasmacytoma of the colon: A case report. Ulus. Cerrahi Derg. 2014, 30, 231–233. [Google Scholar] [CrossRef]
- Fagkrezos, D.; Manes, K.; Paraskeva, K.; Lenos, M.; Triantopoulou, C.; Apessou, D.; Maniatis, P. Secondary extramedullary plasmacytoma of sigmoid colon in a patient with multiple myeloma: A case report. J. Med. Case Rep. 2018, 12, 379. [Google Scholar] [CrossRef]
- Kitamura, F.; Doi, K.; Ishiodori, H.; Ohchi, T.; Baba, H. Primary extramedullary plasmacytoma of the sigmoid colon with perforation: A case report. Surg. Case Rep. 2018, 4, 28. [Google Scholar] [CrossRef] [PubMed]
- Ariyarathenam, A.; Galvin, N.; Akoh, J.A. Secondary extramedullary plasmacytoma causing small bowel intussusception in a patient with multiple myeloma—A case report. Int. J. Surg. Case Rep. 2013, 4, 486–488. [Google Scholar] [CrossRef] [PubMed][Green Version]
- Dzierzanowski, M.; Porter, G.A. An unusual presentation of a secondary extramedullary plasmacytoma in a patient with multiple myeloma. Can. J. Surg. 2005, 48, 75–76. [Google Scholar]
- Karam, A.R.; Semaan, R.J.; Buch, K.; Shankar, S. Extramedullary duodenal plasmacytoma presenting with gastric outlet obstruction and painless jaundice. J. Radiol. Case Rep. 2010, 4, 22–28. [Google Scholar] [CrossRef] [PubMed]
- Mwinyogle, A.A.; Bhatt, A.; Kapisoda, K.; Somerville, J.; Cunningham, S.C. Plasmacytoma as a cause of small bowel obstruction in a virgin abdomen in a patient with multiple myeloma: A case report. J. Med. Case Rep. 2019, 13, 148. [Google Scholar] [CrossRef]
- Berrondo, C.; Gorman, T.E.; Yap, R.L. Primary plasmacytoma of the testicle: A case report. J. Med. Case Rep. 2011, 5, 494. [Google Scholar] [CrossRef] [PubMed]
- Bude, R.O. Testicular plasmacytoma: Appearance on gray-scale and power Doppler sonography. J. Clin. Ultrasound 1999, 27, 345–346. [Google Scholar] [CrossRef]
- Hathaway, A.R. Incidental discovery of a testicular plasmacytoma at initial presentation of multiple myeloma. Case Rep. Hematol. 2013, 2013, 752921. [Google Scholar] [CrossRef]
- Bortolotto, C.; Ori-Belometti, G.; Rodolico, G.; Draghi, F. Plasmacytoma of the testis in a patient with previous multiple myeloma: Sonographic appearance. J. Ultrasound 2016, 19, 153–155. [Google Scholar] [CrossRef] [PubMed]
- Lue, K.; Emtage, J.B.; Parinas, M.A.; Dhillon, J.; Pow-Sang, J. An extramedullary plasmacytoma in the testicle: A case report and review of the literature. Can. Urol. Assoc. J. 2015, 9, E240–E242. [Google Scholar] [CrossRef] [PubMed]
- Ames, J.; Al-Samaraee, A.; Takahashi, T. Extraosseous Multiple Myeloma: Case Report of Presentation in the Lower Extremity Soft Tissues with Literature Review. Case Rep. Radiol. 2017, 2017, 9159035. [Google Scholar] [CrossRef] [PubMed]
- Wallace, E.; Stewart, Z.; Theriot, D.; Shaffer, W.; Guillory, S.; Hanemann, M.; Danrad, R.; Spieler, B. Atypical Presentation of Extramedullary Plasmacytoma. Ochsner J. 2018, 18, 101–103. [Google Scholar] [PubMed]
- Usmani, S.Z.; Heuck, C.; Mitchell, A.; Szymonifka, J.; Nair, B.; Hoering, A.; Alsayed, Y.; Waheed, S.; Haider, S.; Restrepo, A.; et al. Extramedullary disease portends poor prognosis in multiple myeloma and is over-represented in high-risk disease even in the era of novel agents. Haematologica 2012, 97, 1761–1767. [Google Scholar] [CrossRef] [PubMed]
- Lonial, S.; Boise, L.H.; Kaufman, J. How I treat high-risk myeloma. Blood 2015, 126, 1536–1543. [Google Scholar] [CrossRef] [PubMed]
- Jyothirmayi, R.; Gangadharan, V.P.; Nair, M.K.; Rajan, B. Radiotherapy in the treatment of solitary plasmacytoma. Br. J. Radiol. 1997, 70, 511–516. [Google Scholar] [CrossRef] [PubMed]
- Deng, S.; Xu, Y.; An, G.; Sui, W.; Zou, D.; Zhao, Y.; Qi, J.; Li, F.; Hao, M.; Qiu, L. Features of extramedullary disease of multiple myeloma: High frequency of p53 deletion and poor survival: A retrospective single-center study of 834 cases. Clin. Lymphoma Myeloma Leuk. 2015, 15, 286–291. [Google Scholar] [CrossRef]
- Grammatico, S.; Scalzulli, E.; Petrucci, M.T. Solitary Plasmacytoma. Mediterr. J. Hematol. Infect. Dis. 2017, 9, e2017052. [Google Scholar] [CrossRef]











Disclaimer/Publisher’s Note: The statements, opinions and data contained in all publications are solely those of the individual author(s) and contributor(s) and not of MDPI and/or the editor(s). MDPI and/or the editor(s) disclaim responsibility for any injury to people or property resulting from any ideas, methods, instructions or products referred to in the content. |
© 2024 by the authors. Licensee MDPI, Basel, Switzerland. This article is an open access article distributed under the terms and conditions of the Creative Commons Attribution (CC BY) license (https://creativecommons.org/licenses/by/4.0/).
Share and Cite
Stefanidis, K.; Yusuf, G.; Mulita, F.; Tsalikidis, C.; Mitsala, A.; Konstantelou, E.; Kotsopoulou, M.; Koletsis, E.; Pitiakoudis, M.; Dimopoulos, P. Extraosseous Plasmacytomas: A Radiologist’s Perspective—A Narrative Review of the Literature. Diagnostics 2024, 14, 1788. https://doi.org/10.3390/diagnostics14161788
Stefanidis K, Yusuf G, Mulita F, Tsalikidis C, Mitsala A, Konstantelou E, Kotsopoulou M, Koletsis E, Pitiakoudis M, Dimopoulos P. Extraosseous Plasmacytomas: A Radiologist’s Perspective—A Narrative Review of the Literature. Diagnostics. 2024; 14(16):1788. https://doi.org/10.3390/diagnostics14161788
Chicago/Turabian StyleStefanidis, Konstantinos, Gibran Yusuf, Francesk Mulita, Christos Tsalikidis, Athanasia Mitsala, Elissavet Konstantelou, Maria Kotsopoulou, Efstratios Koletsis, Michail Pitiakoudis, and Platon Dimopoulos. 2024. "Extraosseous Plasmacytomas: A Radiologist’s Perspective—A Narrative Review of the Literature" Diagnostics 14, no. 16: 1788. https://doi.org/10.3390/diagnostics14161788
APA StyleStefanidis, K., Yusuf, G., Mulita, F., Tsalikidis, C., Mitsala, A., Konstantelou, E., Kotsopoulou, M., Koletsis, E., Pitiakoudis, M., & Dimopoulos, P. (2024). Extraosseous Plasmacytomas: A Radiologist’s Perspective—A Narrative Review of the Literature. Diagnostics, 14(16), 1788. https://doi.org/10.3390/diagnostics14161788

