Differential Analysis of Venous Sinus Diameters: Unveiling Vascular Alterations in Patients with Multiple Sclerosis
Abstract
1. Introduction
2. Materials and Methods
2.1. Study Population
2.2. MRI Protocol
2.3. Statistical Analysis
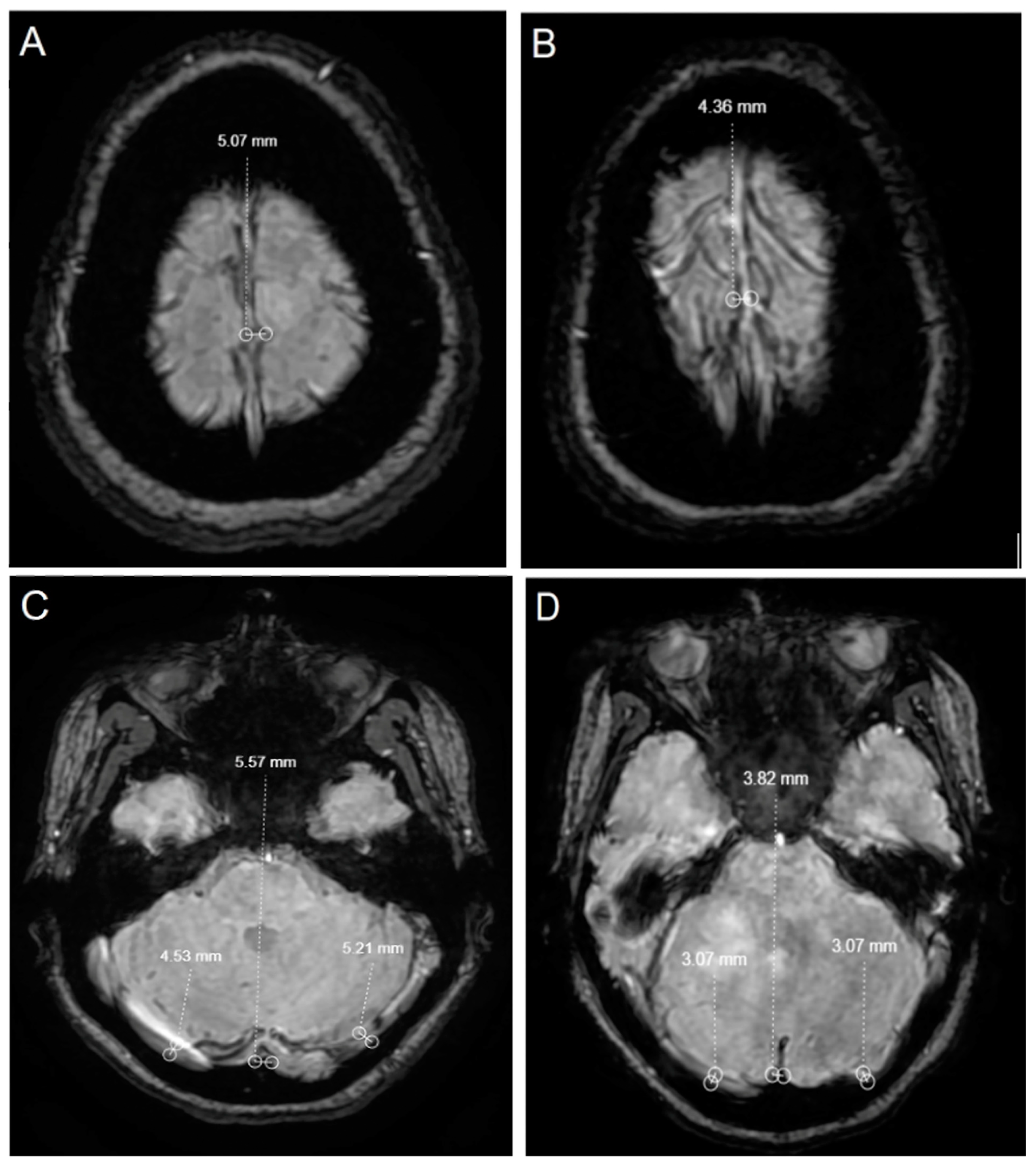
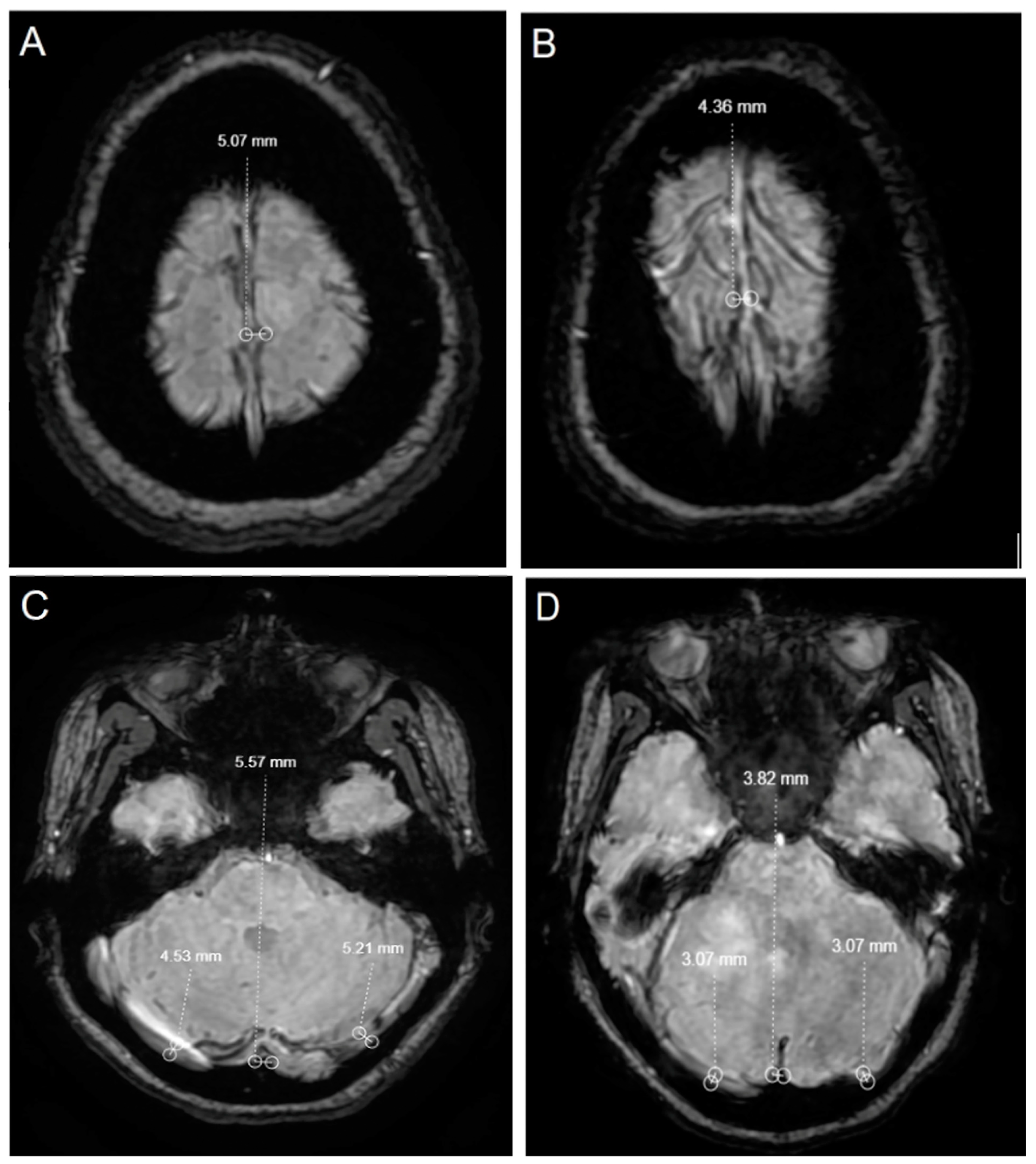
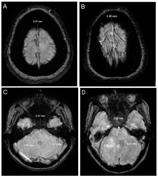
3. Results
Study Population and Demographics
4. Discussion
5. Conclusions
Supplementary Materials
Author Contributions
Funding
Institutional Review Board Statement
Informed Consent Statement
Data Availability Statement
Conflicts of Interest
References
- Bateman, G.A. Pulse wave encephalopathy: A spectrum hypothesis incorporating Alzheimer’s disease, vascular dementia and normal pressure hydrocephalus. Med. Hypotheses 2004, 62, 182–187. [Google Scholar] [CrossRef] [PubMed]
- Filippi, M.; Bar-Or, A.; Piehl, F.; Preziosa, P.; Solari, A.; Vukusic, S.; Rocca, M.A. Multiple sclerosis. Nat. Rev. Dis. Primers 2018, 4, 43. [Google Scholar] [CrossRef] [PubMed]
- Olsson, T.; Barcellos, L.F.; Alfredsson, L. Interactions between genetic, lifestyle and environmental risk factors for multiple sclerosis. Nat. Rev. Neurol. 2017, 13, 25–36. [Google Scholar] [CrossRef] [PubMed]
- Rimkus, C.M.; Otsuka, F.S.; Nunes, D.M.; Chaim, K.T.; Otaduy, M.C.G. Central Vein Sign and Paramagnetic Rim Lesions: Susceptibility Changes in Brain Tissues and Their Implications for the Study of Multiple Sclerosis Pathology. Diagnostics 2024, 14, 1362. [Google Scholar] [CrossRef] [PubMed]
- Nistri, R.; Ianniello, A.; Pozzilli, V.; Giannì, C.; Pozzilli, C. Advanced MRI Techniques: Diagnosis and Follow-Up of Multiple Sclerosis. Diagnostics 2024, 14, 1120. [Google Scholar] [CrossRef] [PubMed]
- Kim, S.; Lee, E.K.; Song, C.J.; Sohn, E. Iron Rim Lesions as a Specific and Prognostic Biomarker of Multiple Sclerosis: 3T-Based Susceptibility-Weighted Imaging. Diagnostics 2023, 13, 1866. [Google Scholar] [CrossRef] [PubMed]
- Magliozzi, R.; Fadda, G.; Brown, R.A.; Bar-Or, A.; Howell, O.W.; Hametner, S.; Marastoni, D.; Poli, A.; Nicholas, R.; Calabrese, M.; et al. “Ependymal-in” Gradient of Thalamic Damage in Progressive Multiple Sclerosis. Ann. Neurol. 2022, 92, 670–685. [Google Scholar] [CrossRef] [PubMed]
- Jankowska, A.; Chwojnicki, K.; Grzywińska, M.; Trzonkowski, P.; Szurowska, E. Choroid Plexus Volume Change-A Candidate for a New Radiological Marker of MS Progression. Diagnostics 2023, 13, 2668. [Google Scholar] [CrossRef] [PubMed]
- Nicholas, R.; Magliozzi, R.; Marastoni, D.; Howell, O.; Roncaroli, F.; Muraro, P.; Reynolds, R.; Friede, T. High Levels of Perivascular Inflammation and Active Demyelinating Lesions at Time of Death Associated with Rapidly Progressive Multiple Sclerosis Disease Course: A Retrospective Postmortem Cohort Study. Ann. Neurol. 2024, 95, 706–719. [Google Scholar] [CrossRef]
- Papadaki, E.Z.; Mastorodemos, V.C.; Amanakis, E.Z.; Tsekouras, K.C.; Papadakis, A.E.; Tsavalas, N.D.; Simos, P.G.; Karantanas, A.H.; Plaitakis, A.; Maris, T.G. White matter and deep gray matter hemodynamic changes in multiple sclerosis patients with clinically isolated syndrome. Magn. Reson. Med. 2012, 68, 1932–1942. [Google Scholar] [CrossRef]
- Bateman, G.A.; Bateman, A.R.; Lechner-Scott, J. Dilatation of the bridging cerebral veins in multiple sclerosis correlates with fatigue and suggests an increase in pressure. Mult. Scler. Relat. Disord. 2023, 76, 104843. [Google Scholar] [CrossRef] [PubMed]
- Bateman, G.A.; Lechner-Scott, J.; Lea, R.A. A comparison between the pathophysiology of multiple sclerosis and normal pressure hydrocephalus: Is pulse wave encephalopathy a component of MS? Fluids Barriers CNS 2016, 13, 18. [Google Scholar] [CrossRef] [PubMed][Green Version]
- Bateman, G.A.; Lechner-Scott, J.; Copping, R.; Moeskops, C.; Yap, S.L. Comparison of the sagittal sinus cross-sectional area between patients with multiple sclerosis, hydrocephalus, intracranial hypertension and spontaneous intracranial hypotension: A surrogate marker of venous transmural pressure? Fluids Barriers CNS 2017, 14, 18. [Google Scholar] [CrossRef] [PubMed]
- Bateman, G.A.; Lechner-Scott, J.; Carey, M.F.; Bateman, A.R.; Lea, R.A. Possible Markers of Venous Sinus Pressure Elevation in Multiple Sclerosis: Correlations with Gender and Disease Progression. Mult. Scler. Relat. Disord. 2021, 55, 103207. [Google Scholar] [CrossRef] [PubMed]
- Gilli, F.; DiSano, K.D.; Pachner, A.R. SeXX Matters in Multiple Sclerosis. Front. Neurol. 2020, 11, 616. [Google Scholar] [CrossRef] [PubMed]
- Ribbons, K.A.; McElduff, P.; Boz, C.; Trojano, M.; Izquierdo, G.; Duquette, P.; Girard, M.; Grand’Maison, F.; Hupperts, R.; Grammond, P.; et al. Male Sex Is Independently Associated with Faster Disability Accumulation in Relapse-Onset MS but Not in Primary Progressive MS. PLoS ONE 2015, 10, e0122686. [Google Scholar] [CrossRef] [PubMed]
- Thompson, A.J.; Banwell, B.L.; Barkhof, F.; Carroll, W.M.; Coetzee, T.; Comi, G.; Correale, J.; Fazekas, F.; Filippi, M.; Freedman, M.S.; et al. Diagnosis of multiple sclerosis: 2017 revisions of the McDonald criteria. Lancet Neurol. 2018, 17, 162–173. [Google Scholar] [CrossRef] [PubMed]
- Prajjwal, P.; Shree, A.; Das, S.; Inban, P.; Ghosh, S.; Senthil, A.; Gurav, J.; Kundu, M.; Marsool Marsool, M.D.; Gadam, S.; et al. Vascular multiple sclerosis: Addressing the pathogenesis, genetics, pro-angiogenic factors, and vascular abnormalities, along with the role of vascular intervention. Ann. Med. Surg. 2023, 85, 4928–4938. [Google Scholar] [CrossRef] [PubMed]
- Beggs, C.B. Venous hemodynamics in neurological disorders: An analytical review with hydrodynamic analysis. BMC Med. 2013, 11, 142. [Google Scholar] [CrossRef]
- Lapucci, C.; Tazza, F.; Rebella, S.; Boffa, G.; Sbragia, E.; Bruschi, N.; Mancuso, E.; Mavilio, N.; Signori, A.; Roccatagliata, L.; et al. Central vein sign and diffusion MRI differentiate microstructural features within white matter lesions of multiple sclerosis patients with comorbidities. Front. Neurol. 2023, 14, 1084661. [Google Scholar] [CrossRef]
- Bateman, G.A.; Lechner-Scott, J.; Bateman, A.R.; Attia, J.; Lea, R.A. The Incidence of Transverse Sinus Stenosis in Multiple Sclerosis: Further Evidence of Pulse Wave Encephalopathy. Mult. Scler. Relat. Disord. 2020, 46, 102524. [Google Scholar] [CrossRef]
- Luchetti, S.; van Eden, C.G.; Schuurman, K.; van Strien, M.E.; Swaab, D.F.; Huitinga, I. Gender differences in multiple sclerosis: Induction of estrogen signaling in male and progesterone signaling in female lesions. J. Neuropathol. Exp. Neurol. 2014, 73, 123–135. [Google Scholar] [CrossRef]
- Alvarez-Sanchez, N.; Dunn, S.E. Potential biological contributers to the sex difference in multiple sclerosis progression. Front. Immunol. 2023, 14, 1175874. [Google Scholar] [CrossRef] [PubMed]
- Huang, Z.; Tu, X.; Lin, Q.; Zhan, Z.; Tang, L.; Liu, J. Increased internal cerebral vein diameter is associated with age. Clin. Imaging 2021, 78, 187–193. [Google Scholar] [CrossRef]
- Monaco, S.; Nicholas, R.; Reynolds, R.; Magliozzi, R. Intrathecal Inflammation in Progressive Multiple Sclerosis. Int. J. Mol. Sci. 2020, 21, 8217. [Google Scholar] [CrossRef]
- Pezzini, F.; Pisani, A.; Mazziotti, V.; Marastoni, D.; Tamanti, A.; Borroni, E.; Magon, S.; Zinnhardt, B.; Magliozzi, R.; Calabrese, M. Intrathecal versus Peripheral Inflammatory Protein Profile in MS Patients at Diagnosis: A Comprehensive Investigation on Serum and CSF. Int. J. Mol. Sci. 2023, 24, 3768. [Google Scholar] [CrossRef] [PubMed]
- James, R.E.; Schalks, R.; Browne, E.; Eleftheriadou, I.; Munoz, C.P.; Mazarakis, N.D.; Reynolds, R. Persistent elevation of intrathecal pro-inflammatory cytokines leads to multiple sclerosis-like cortical demyelination and neurodegeneration. Acta Neuropathol. Commun. 2020, 8, 66. [Google Scholar] [CrossRef]
- Haacke, E.M.; Ge, Y.; Sethi, S.K.; Buch, S.; Zamboni, P. An Overview of Venous Abnormalities Related to the Development of Lesions in Multiple Sclerosis. Front. Neurol. 2021, 12, 561458. [Google Scholar] [CrossRef]
- Kirk, S.; Frank, J.A.; Karlik, S. Angiogenesis in multiple sclerosis: Is it good, bad or an epiphenomenon? J. Neurol. Sci. 2004, 217, 125–130. [Google Scholar] [CrossRef] [PubMed]
- Luchicchi, A.; Muñoz-Gonzalez, G.; Halperin, S.T.; Strijbis, E.; van Dijk, L.H.M.; Foutiadou, C.; Uriac, F.; Bouman, P.M.; Schouten, M.A.N.; Plemel, J.; et al. Micro-diffusely abnormal white matter: An early multiple sclerosis lesion phase with intensified myelin blistering. Ann. Clin. Transl. Neurol. 2024, 11, 973–988. [Google Scholar] [CrossRef]
- Aglamis, S.; Gönen, M. Flow volume measurement of arterial venous and cerebrospinal fluid in patients with multiple sclerosis. Arq. Neuropsiquiatr. 2022, 80, 706–711. [Google Scholar] [CrossRef] [PubMed]

| Variables | n (%) or Mean ± SD |
|---|---|
| MS disease duration (years) | 7.1 ± 5.4 |
| Clinical Form | |
| PPMS | 1 (1.3%) |
| RRMS | 69 (87.3%) |
| SPMS | 9 (11.4%) |
| Used DMTs | |
| None | 2 (2.5%) |
| Alemtuzumab | 2 (2.5%) |
| Dimethyl fumarate | 17 (21.5%) |
| Fingolimod | 24 (30.4%) |
| Glatiramer acetate | 5 (6.3%) |
| Interferon beta 1a | 2 (2.5%) |
| Natalizumab | 3 (3.8%) |
| Ocrelizumab | 16 (20.3%) |
| Teriflunomide | 8 (10.1%) |
| EDSS | 2.2 ± 1.8 |
| Patients with brainstem lesion | 37 (47.4%) |
| Patients with spinal lesion | 63 (80.8%) |
| CSF | |
| OCB positive | 59 (92.2%) |
| OCB negative | 5 (7.8%) |
| IgG Index | 0.9 ± 0.4 |
| Number of OCBs | 10.6 ± 5.2 |
| Brainstem functional system score | 0.2 ± 0.5 |
| Lesion diameter (>1 cm) | 62 (78.5%) |
| Number of lesions (>1 cm) | 4.8 ± 4.6 |
| Total number of lesions | 18.5 ± 12.3 |
| Number of gadolinium-enhancing lesions | 0.5 ± 3 |
| Number of periventricular lesions | 11.2 ± 6.8 |
| Central extinction | 0.3 ± 0.7 |
| Variables | Total (n = 146) | Healthy Control (n = 67) | MS (n = 79) | p-Value | p-Value * |
|---|---|---|---|---|---|
| Gender | 0.913 | ||||
| Female | 116 (79.5%) | 54 (80.6%) | 62 (78.5%) | ||
| Male | 30 (20.5%) | 13 (19.4%) | 17 (21.5%) | ||
| Age (years) | 36 ± 10 | 34 ± 10 | 38 ± 10 | 0.011 | |
| SSS | 5.4 ± 0.9 | 4.8 ± 0.6 | 5.9 ± 0.8 | <0.001 | <0.001 |
| Sinus rectus | 4.6 ± 0.8 | 4 ± 0.7 | 5 ± 0.5 | <0.001 | <0.001 |
| Right transverse sinus | 5.2 ± 1.6 | 4.8 ± 1.4 | 5.5 ± 1.7 | 0.020 | 0.015 |
| Left transverse sinus | 4.1 ± 1.6 | 3.7 ± 1.4 | 4.4 ± 1.7 | 0.005 | 0.003 |
| Variables | Superior Sagittal Sinus Diameter | Sinus Rectus Diameter | Right Transverse Sinus Diameter | Left Transverse Sinus Diameter | ||||
|---|---|---|---|---|---|---|---|---|
| Mean ± SD | p-Value | Mean ± SD | p-Value | Mean ± SD | p-Value | Mean ± SD | p-Value | |
| Gender | 0.574 | 0.169 | 0.431 | 0.960 | ||||
| Female | 5.9 ± 0.8 | 5 ± 0.5 | 5.6 ± 1.6 | 4.5 ± 1.6 | ||||
| Male | 6 ± 0.8 | 5.2 ± 0.6 | 5.2 ± 2 | 4.5 ± 1.5 | ||||
| OCB | 0.839 | 0.798 | 0.680 | 0.434 | ||||
| Positive | 5.9 ± 0.8 | 5.1 ± 0.6 | 5.6 ± 1.8 | 4.5 ± 1.6 | ||||
| Negative | 6 ± 0.9 | 5.1 ± 0.3 | 5.2 ± 2.2 | 3.8 ± 1.9 | ||||
| Brainstem lesion | 0.583 | 0.497 | 0.323 | 0.054 | ||||
| Present | 5.9 ± 0.8 | 5.1 ± 0.6 | 5.7 ± 1.8 | 4.9 ± 1.7 | ||||
| Absent | 5.8 ± 0.8 | 5 ± 0.5 | 5.3 ± 1.6 | 4.2 ± 1.4 | ||||
| Spinal lesion | 0.010 | 0.021 | 0.441 | 0.255 | ||||
| Present | 6 ± 0.8 | 5.1 ± 0.5 | 5.6 ± 1.7 | 4.6 ± 1.5 | ||||
| Absent | 5.4 ± 0.5 | 4.7 ± 0.5 | 5.2 ± 1.8 | 4.1 ± 1.9 |
| Variables | SSS Diameter | Sinus Rectus Diameter | Right Transverse Sinus Diameter | Left Transverse Sinus Diameter |
|---|---|---|---|---|
| r/p | r/p | r/p | r/p | |
| EDSS | −0.006/0.959 | −0.122/0.323 | 0.025/0.841 | −0.046/0.708 |
| Age (years) | −0.100/0.415 | −0.133/0.275 | −0.270/0.025 | −0.146/0.233 |
| IgG index | 0.106/0.665 | 0.301/0.211 | −0.062/0.799 | 0.059/0.811 |
| Brainstem functional system score | −0.126/0.306 | −0.154/0.210 | 0.092/0.454 | 0.139/0.259 |
| Number of OCBs | −0.058/0.874 | 0.203/0.574 | 0.145/0.688 | 0.220/0.541 |
| Total number of lesions | 0.008/0.949 | −0.079/0.520 | −0.041/0.737 | 0.158/0.195 |
| Number of GD enhancing lesions | 0.075/0.538 | 0.039/0.752 | −0.063/0.607 | −0.008/0.946 |
| Number of periventricular lesions | 0.108/0.398 | 0.008/0.953 | 0.118/0.358 | 0.125/0.327 |
| Central extinction | 0.189/0.139 | −0.140/0.275 | −0.070/0.588 | −0.154/0.229 |
Disclaimer/Publisher’s Note: The statements, opinions and data contained in all publications are solely those of the individual author(s) and contributor(s) and not of MDPI and/or the editor(s). MDPI and/or the editor(s) disclaim responsibility for any injury to people or property resulting from any ideas, methods, instructions or products referred to in the content. |
© 2024 by the authors. Licensee MDPI, Basel, Switzerland. This article is an open access article distributed under the terms and conditions of the Creative Commons Attribution (CC BY) license (https://creativecommons.org/licenses/by/4.0/).
Share and Cite
Tunç, A.; Danisan, G.; Taydas, O.; Kara, A.B.; Öncel, S.; Özdemir, M. Differential Analysis of Venous Sinus Diameters: Unveiling Vascular Alterations in Patients with Multiple Sclerosis. Diagnostics 2024, 14, 1760. https://doi.org/10.3390/diagnostics14161760
Tunç A, Danisan G, Taydas O, Kara AB, Öncel S, Özdemir M. Differential Analysis of Venous Sinus Diameters: Unveiling Vascular Alterations in Patients with Multiple Sclerosis. Diagnostics. 2024; 14(16):1760. https://doi.org/10.3390/diagnostics14161760
Chicago/Turabian StyleTunç, Abdulkadir, Gurkan Danisan, Onur Taydas, Ahmet Burak Kara, Samet Öncel, and Mustafa Özdemir. 2024. "Differential Analysis of Venous Sinus Diameters: Unveiling Vascular Alterations in Patients with Multiple Sclerosis" Diagnostics 14, no. 16: 1760. https://doi.org/10.3390/diagnostics14161760
APA StyleTunç, A., Danisan, G., Taydas, O., Kara, A. B., Öncel, S., & Özdemir, M. (2024). Differential Analysis of Venous Sinus Diameters: Unveiling Vascular Alterations in Patients with Multiple Sclerosis. Diagnostics, 14(16), 1760. https://doi.org/10.3390/diagnostics14161760

