Comparing Clinicopathological and Immunohistochemical Features of Colorectal Carcinoma between Young and Old Age Groups
Abstract
1. Introduction
2. Materials and Methods
2.1. Study Design and Ethical Issues
2.2. Tissue Microarray
2.3. Immunohistochemical Analysis
2.4. Statistical Analysis
3. Results
3.1. Cases
3.2. Histopathological Features
3.3. Mismatch Repair Protein (MMR) Status
3.4. Immunohistochemical Analysis
4. Discussion
5. Conclusions
Author Contributions
Funding
Institutional Review Board Statement
Informed Consent Statement
Data Availability Statement
Conflicts of Interest
References
- Sung, H.; Ferlay, J.; Siegel, R.L.; Laversanne, M.; Soerjomataram, I.; Jemal, A.; Bray, F. Global Cancer Statistics 2020: GLOBOCAN Estimates of Incidence and Mortality Worldwide for 36 Cancers in 185 Countries. CA Cancer J. Clin. 2021, 71, 209–249. [Google Scholar] [CrossRef] [PubMed]
- Arnold, M.; Abnet, C.C.; Neale, R.E.; Vignat, J.; Giovannucci, E.L.; McGlynn, K.A.; Bray, F. Global Burden of 5 Major Types of Gastrointestinal Cancer. Gastroenterology 2020, 159, 335–349.e15. [Google Scholar] [CrossRef]
- Stoffel, E.M.; Murphy, C.C. Epidemiology and Mechanisms of the Increasing Incidence of Colon and Rectal Cancers in Young Adults. Gastroenterology 2020, 158, 341–353. [Google Scholar] [CrossRef]
- Zhang, Y.; Wang, Y.; Liu, X.; Chen, B.; Zhuang, J.; Li, S.; Yang, Y.; Su, Y.; Guan, G. Worse prognosis in young patients with locally advanced rectal cancer following neoadjuvant chemoradiotherapy: A comparative study. Medicine 2020, 99, e21304. [Google Scholar] [CrossRef]
- Akimoto, N.; Ugai, T.; Zhong, R.; Hamada, T.; Fujiyoshi, K.; Giannakis, M.; Wu, K.; Cao, Y.; Ng, K.; Ogino, S. Rising incidence of early-onset colorectal cancer—A call to action. Nat. Rev. Clin. Oncol. 2020, 18, 230–243. [Google Scholar] [CrossRef] [PubMed]
- Anderson, C.; Nichols, H.B. Trends in Late Mortality Among Adolescent and Young Adult Cancer Survivors. J. Natl. Cancer Inst. 2020, 112, 994–1002. [Google Scholar] [CrossRef]
- Campos, F.G. Colorectal cancer in young adults: A difficult challenge. World J. Gastroenterol. 2017, 23, 5041–5044. [Google Scholar] [CrossRef]
- Chang, G.J.; You, Y.N.Y.; Russell, C.A.; Tierno, M.B.; Turner, M.; Bennett, J.P.; Lau, A.; Hochster, H.S. Young-Onset Colon Cancer and Recurrence Risk by Gene Expression. J. Natl. Cancer Inst. 2020, 112, 1170–1173. [Google Scholar] [CrossRef] [PubMed]
- Chambers, A.C.; Dixon, S.W.; White, P.; Williams, A.C.; Thomas, M.G.; Messenger, D.E. Demographic trends in the incidence of young-onset colorectal cancer: A population-based study. Br. J. Surg. 2020, 107, 595–605. [Google Scholar] [CrossRef]
- Feletto, E.; Yu, X.Q.; Lew, J.B.; St John, D.J.B.; Jenkins, M.A.; Macrae, F.A.; Mahady, S.E.; Canfell, K. Trends in Colon and Rectal Cancer Incidence in Australia from 1982 to 2014: Analysis of Data on Over 375,000 Cases. Cancer Epidemiol. Biomark. Prev. 2019, 28, 83–90. [Google Scholar] [CrossRef]
- Vuik, F.E.; Nieuwenburg, S.A.; Bardou, M.; Lansdorp-Vogelaar, I.; Dinis-Ribeiro, M.; Bento, M.J.; Zadnik, V.; Pellise, M.; Esteban, L.; Kaminski, M.F.; et al. Increasing incidence of colorectal cancer in young adults in Europe over the last 25 years. Gut 2019, 68, 1820–1826. [Google Scholar] [CrossRef] [PubMed]
- Ueno, A.; Yokota, M.; Ueno, M.; Kawamoto, K. Colorectal cancer in adolescent and young adults: Epidemiology in Japan and narrative review. J. Gastrointest. Oncol. 2023, 14, 1856–1868. [Google Scholar] [CrossRef] [PubMed]
- Abou-Zeid, A.A.; Jumuah, W.A.; Ebied, E.F.; Abd El Samee Atia, K.S.; El Ghamrini, Y.; Somaie, D.A. Hereditary factors are unlikely behind unusual pattern of early—Onset colorectal cancer in Egyptians: A study of family history and pathology features in Egyptians with large bowel cancer (cross-sectional study). Int. J. Surg. 2017, 44, 71–75. [Google Scholar] [CrossRef] [PubMed]
- Kim, B.J.; Hanna, M.H. Colorectal cancer in young adults. J. Surg. Oncol. 2023, 127, 1247–1251. [Google Scholar] [CrossRef] [PubMed]
- Fabregas, J.C.; Ramnaraign, B.; George, T.J. Clinical Updates for Colon Cancer Care in 2022. Clin. Color. Cancer 2022, 21, 198–203. [Google Scholar] [CrossRef] [PubMed]
- Weinberg, B.A.; Marshall, J.L. Colon Cancer in Young Adults: Trends and Their Implications. Curr. Oncol. Rep. 2019, 21, 3. [Google Scholar] [CrossRef] [PubMed]
- Wolf, A.M.D.; Fontham, E.T.H.; Church, T.R.; Flowers, C.R.; Guerra, C.E.; LaMonte, S.J.; Etzioni, R.; McKenna, M.T.; Oeffinger, K.C.; Shih, Y.T.; et al. Colorectal cancer screening for average-risk adults: 2018 guideline update from the American Cancer Society. CA Cancer J. Clin. 2018, 68, 250–281. [Google Scholar] [CrossRef] [PubMed]
- Siegel, R.L.; Miller, K.D.; Goding Sauer, A.; Fedewa, S.A.; Butterly, L.F.; Anderson, J.C.; Cercek, A.; Smith, R.A.; Jemal, A. Colorectal cancer statistics, 2020. CA Cancer J. Clin. 2020, 70, 145–164. [Google Scholar] [CrossRef] [PubMed]
- Lingas, E.C. Early-Onset Colon Cancer: A Narrative Review of Its Pathogenesis, Clinical Presentation, Treatment, and Prognosis. Cureus 2023, 15, e45404. [Google Scholar] [CrossRef]
- Carr, P.R.; Amitay, E.L.; Jansen, L.; Alwers, E.; Roth, W.; Herpel, E.; Kloor, M.; Schneider, M.; Bläker, H.; Chang-Claude, J.; et al. Association of BMI and major molecular pathological markers of colorectal cancer in men and women. Am. J. Clin. Nutr. 2020, 111, 562–569. [Google Scholar] [CrossRef]
- Ballester, V.; Rashtak, S.; Boardman, L. Clinical and molecular features of young-onset colorectal cancer. World J. Gastroenterol. 2016, 22, 1736–1744. [Google Scholar] [CrossRef] [PubMed]
- Aguiar Junior, S.; Oliveira, M.M.; Silva, D.; Mello, C.A.L.; Calsavara, V.F.; Curado, M.P. Survival of patients with colorectal cancer in a cancer center. Arq. Gastroenterol. 2020, 57, 172–177. [Google Scholar] [CrossRef] [PubMed]
- Chen, J.N.; Zhang, Q.W.; Pan, Y.B.; Wang, Q.W.; Zhang, X.T.; Li, X.B. Young-Onset Early Colorectal Cancer Had Similar Relative Survival to but Better Overall Survival Than Conventional Early Colorectal Cancer: A Large Population-Based Study. Front. Oncol. 2020, 10, 96. [Google Scholar] [CrossRef] [PubMed]
- Amri, R.; Bordeianou, L.G.; Berger, D.L. The conundrum of the young colon cancer patient. Surgery 2015, 158, 1696–1703. [Google Scholar] [CrossRef] [PubMed]
- Kasi, P.M.; Shahjehan, F.; Cochuyt, J.J.; Li, Z.; Colibaseanu, D.T.; Merchea, A. Rising Proportion of Young Individuals With Rectal and Colon Cancer. Clin. Color. Cancer 2019, 18, e87–e95. [Google Scholar] [CrossRef] [PubMed]
- Fayaz, M.S.; Demian, G.A.; Eissa, H.E.; Abu-Zlouf, S. Colon Cancer in Patients below Age of 50 Years: Kuwait Cancer Control Center Experience. Gulf J. Oncol. 2018, 1, 38–44. [Google Scholar]
- Rodriguez, L.; Brennan, K.; Karim, S.; Nanji, S.; Patel, S.V.; Booth, C.M. Disease Characteristics, Clinical Management, and Outcomes of Young Patients With Colon Cancer: A Population-based Study. Clin. Color. Cancer 2018, 17, e651–e661. [Google Scholar] [CrossRef] [PubMed]
- Khan, H.; Olszewski, A.J.; Somasundar, P. Lymph node involvement in colon cancer patients decreases with age; a population based analysis. Eur. J. Surg. Oncol. 2014, 40, 1474–1480. [Google Scholar] [CrossRef] [PubMed]
- Anele, C.C.; Askari, A.; Navaratne, L.; Patel, K.; Jenkin, J.T.; Faiz, O.D.; Latchford, A. The association of age with the clinicopathological characteristics and prognosis of colorectal cancer: A UK single-centre retrospective study. Color. Dis. 2020, 22, 289–297. [Google Scholar] [CrossRef]
- Venugopal, A.; Carethers, J.M. Epidemiology and biology of early onset colorectal cancer. EXCLI J. 2022, 21, 162–182. [Google Scholar] [CrossRef]
- Available online: https://diagnostics.roche.com/global/en/products/instruments/benchmark-ultra-ins-2099.html (accessed on 29 June 2024).
- Taieb, J.; Svrcek, M.; Cohen, R.; Basile, D.; Tougeron, D.; Phelip, J.M. Deficient mismatch repair/microsatellite unstable colorectal cancer: Diagnosis, prognosis and treatment. Eur. J. Cancer 2022, 175, 136–157. [Google Scholar] [CrossRef] [PubMed]
- Kintsler, S.; Cassataro, M.A.; Drosch, M.; Holenya, P.; Knuechel, R.; Braunschweig, T. Expression of programmed death ligand (PD-L1) in different tumors. Comparison of several current available antibody clones and antibody profiling. Ann. Diagn. Pathol. 2019, 41, 24–37. [Google Scholar] [CrossRef] [PubMed]
- Dvorak, K.; Aggeler, B.; Palting, J.; McKelvie, P.; Ruszkiewicz, A.; Waring, P. Immunohistochemistry with the anti-BRAF V600E (VE1) antibody: Impact of pre-analytical conditions and concordance with DNA sequencing in colorectal and papillary thyroid carcinoma. Pathology 2014, 46, 509–517. [Google Scholar] [CrossRef] [PubMed]
- Kundu, A.; Sen, A.; Choudhury, S.; Mandal, T.K.; Guha, D.; Lahiry, S. Immunohistochemical analysis of beta-catenin expression: A probable prognostic marker and potential therapeutic target in renal cell carcinoma. Med. Pharm. Rep. 2021, 94, 65–72. [Google Scholar] [CrossRef] [PubMed]
- Awad, H.; Saleh, T.; Alhesa, A.; Al Shboul, S.; Yousef, R.; Obeid, A.; Qteish, A.; Obeid, J. Beta Catenin Expression in Colorectal Carcinoma and its relation to survival and prognostic factors. Ann. Cancer Res. Ther. 2024, 32, 10–16. [Google Scholar] [CrossRef]
- Liu, Q.; Ran, D.; Wang, L.; Feng, J.; Deng, W.; Mei, D.; Peng, Y.; Du, C. Association between Ki67 expression and therapeutic outcome in colon cancer. Oncol. Lett. 2023, 25, 272. [Google Scholar] [CrossRef]
- Michel, M.; Kaps, L.; Maderer, A.; Galle, P.R.; Moehler, M. The Role of p53 Dysfunction in Colorectal Cancer and Its Implication for Therapy. Cancers 2021, 13, 2296. [Google Scholar] [CrossRef] [PubMed]
- Nagao, K.; Koshino, A.; Sugimura-Nagata, A.; Nagano, A.; Komura, M.; Ueki, A.; Ebi, M.; Ogasawara, N.; Tsuzuki, T.; Kasai, K.; et al. The Complete Loss of p53 Expression Uniquely Predicts Worse Prognosis in Colorectal Cancer. Int. J. Mol. Sci. 2022, 23, 3252. [Google Scholar] [CrossRef] [PubMed]
- Baran, B.; Mert Ozupek, N.; Yerli Tetik, N.; Acar, E.; Bekcioglu, O.; Baskin, Y. Difference Between Left-Sided and Right-Sided Colorectal Cancer: A Focused Review of Literature. Gastroenterol. Res. 2018, 11, 264–273. [Google Scholar] [CrossRef]
- Maraqa, B.; Al-Shbool, G.; Abu-Shawer, O.; Souleiman, M.; Alshakhatreh, O.; Al-Omari, A.; Abdelkhaleq, H.; Taqash, A.; Al-Hussaini, M. Frequency of Mismatch Repair Protein (MMRP) Deficiency among Young Jordanians Diagnosed with Colorectal Carcinoma (CRC). Gastroenterol. Res. Pract. 2020, 2020, 5632984. [Google Scholar] [CrossRef]
- Awad, H.A.; Sughayer, M.A.; Obeid, J.M.; Heilat, Y.N.; Alhesa, A.S.; Yousef, R.M.; Hasasna, N.M.; Masoud, S.A.; Saleh, T. PD-L1 Expression in Colorectal Carcinoma: A Comparison of 3 Scoring Methods in a Cohort of Jordanian Patients. Appl. Immunohistochem. Mol. Morphol. 2023, 31, 379–389. [Google Scholar] [CrossRef] [PubMed]
- Malki, A.; ElRuz, R.A.; Gupta, I.; Allouch, A.; Vranic, S.; Al Moustafa, A.E. Molecular Mechanisms of Colon Cancer Progression and Metastasis: Recent Insights and Advancements. Int. J. Mol. Sci. 2020, 22, 130. [Google Scholar] [CrossRef] [PubMed]
- Geiersbach, K.B.; Samowitz, W.S. Microsatellite instability and colorectal cancer. Arch. Pathol. Lab. Med. 2011, 135, 1269–1277. [Google Scholar] [CrossRef] [PubMed]
- Chang, D.T.; Pai, R.K.; Rybicki, L.A.; Dimaio, M.A.; Limaye, M.; Jayachandran, P.; Koong, A.C.; Kunz, P.A.; Fisher, G.A.; Ford, J.M.; et al. Clinicopathologic and molecular features of sporadic early-onset colorectal adenocarcinoma: An adenocarcinoma with frequent signet ring cell differentiation, rectal and sigmoid involvement, and adverse morphologic features. Mod. Pathol. 2012, 25, 1128–1139. [Google Scholar] [CrossRef] [PubMed]
- Sina, M.; Ghorbanoghli, Z.; Abedrabbo, A.; Al-Mulla, F.; Sghaier, R.B.; Buisine, M.P.; Cortas, G.; Goshayeshi, L.; Hadjisavvas, A.; Hammoudeh, W.; et al. Identification and management of Lynch syndrome in the Middle East and North African countries: Outcome of a survey in 12 countries. Fam. Cancer 2021, 20, 215–221. [Google Scholar] [CrossRef] [PubMed]
- Nakayama, Y.; Kobayashi, H.; Kawamura, H.; Matsunaga, R.; Todate, Y.; Takano, Y.; Takahashi, K.; Yamauchi, S.; Sugihara, K.; Honda, M. The long-term outcomes in adolescent and young adult patients with colorectal cancer -A multicenter large-scale cohort study. J. Cancer 2020, 11, 3180–3185. [Google Scholar] [CrossRef] [PubMed]
- Mao, J.; He, Y.; Chu, J.; Hu, B.; Yao, Y.; Yan, Q.; Han, S. Analysis of clinical characteristics of mismatch repair status in colorectal cancer: A multicenter retrospective study. Int. J. Color. Dis. 2024, 39, 100. [Google Scholar] [CrossRef]
- Ho, H.L.; Chou, T.Y.; Yang, S.H.; Jiang, J.K.; Chen, W.S.; Chao, Y.; Teng, H.W. PD-L1 is a double-edged sword in colorectal cancer: The prognostic value of PD-L1 depends on the cell type expressing PD-L1. J. Cancer Res. Clin. Oncol. 2019, 145, 1785–1794. [Google Scholar] [CrossRef]
- Roberts, J.; Salaria, S.N.; Cates, J.; Wang, Y.; Vnencak-Jones, C.; Berlin, J.; Shi, C. PD-L1 Expression Patterns in Microsatellite Instability-High Intestinal Adenocarcinoma Subtypes. Am. J. Clin. Pathol. 2019, 152, 384–391. [Google Scholar] [CrossRef]


| Stain | Antibody Used | Positive Control | Staining Pattern |
|---|---|---|---|
| MSH 6 | Clone 44 (Roche) (Basel, Switzerland) | Colon | Nuclear |
| MLH 1 | Clone M1 (Roche) | Colon | Nuclear |
| MSH 2 | Clone G219-1129 (Roche) | Colon | Nuclear |
| PMS 2 | Clone EPR3947 (Roche) | Colon | Nuclear |
| PD-L1 | Clone 22C.3 (Dako) (Glostrup, Denmark) | Placenta and tonsil | Membranous in tumor cells. Membranous or cytoplasmic in TILs |
| BRAF | BRAF V600E (VE1) (Roche) | Melanoma | Cytoplasmic |
| Ki67 | Clone 30-9 (Roche) | Lymphoma | Nuclear |
| P53 | Clone DO7, (Roche) | Ovarian tumor | Nuclear |
| Beta catenin | Clone 14 (Sigma-Aldrich) (Burlington, MA, USA) | Colonic cancer | Nuclear |
| Young Group Total: 90 | Old Group Total: 90 | ||
|---|---|---|---|
| Characteristic | Number (%) | Number (%) | p Value |
| Gender | 0.73 | ||
| Female | 37 (41) | 35 (39) | |
| Male | 53 (59) | 45 (61) | |
| Site | 0.03 | ||
| Rt colon | 55 (61) | 40 (44.4) | |
| Lt colon | 35 (38.9) | 50 (55.6) | |
| Histological type | 0.01 | ||
| Adenocarcinoma | 70 (77.8) | 81 (90) | |
| Mucinous | 20 (22.2) | 9 (10) | |
| Grade | 0.00 | ||
| Low grade | 60 (66.7) | 82 (91.1) | |
| High grade | 30 (33.3) | 8 (8.9) | |
| LVA | 0.76 | ||
| Present | 31 | 33 | |
| Absent | 59 | 57 | |
| Perineural invasion | 0.28 | ||
| Present | 75 (83.3) | 80 (88.9) | |
| Absent | 15 (16.7) | 10 (11.1) | |
| T stage | 0.11 | ||
| T1/T2 | 11 (12.2) | 19 (21.1) | |
| T3/T4 | 79 (87.8) | 71 (78.9) | |
| N stage | 0.88 | ||
| N0 | 41 | 40 (44.4) | |
| N1/N2 | 49 | 50 (55.6) | |
| M stage * | 0.24 | ||
| M1 | 10 (33.3) | 17 (29.8) | |
| M2 | 20 (66.7) | 40 (70.2) |
| Young Group Total: 45 | Old Group Total: 45 | ||
|---|---|---|---|
| Stain | Number (%) | Number (%) | p Value |
| dMMR | 20 (44.4) | 5 (11.1) | 0.00 |
| pMMR | 25 (55.6) | 40 (88.9) | |
| PD-L1 in tumor cells | 0.04 | ||
| Positive | 14 (31.1) | 6 (13.3) | |
| negative | 31 (68.9) | 39 (86.7) | |
| PD-L1 in TILs | 0.67 | ||
| Positive | 23 (51.1) | 21 (46.7) | |
| Negative | 22 (48.9) | 24 (53.3) | |
| BRAF | 1.00 | ||
| Positive | 7 (15.6) | 7 (15.6) | |
| Negative | 38 (84.4) | 38 (84.4) | |
| Nuclear beta catenin | 0.15 | ||
| Positive | 9 (20) | 15 (33.3) | |
| Negative | 36 (80) | 30 (66.7) | |
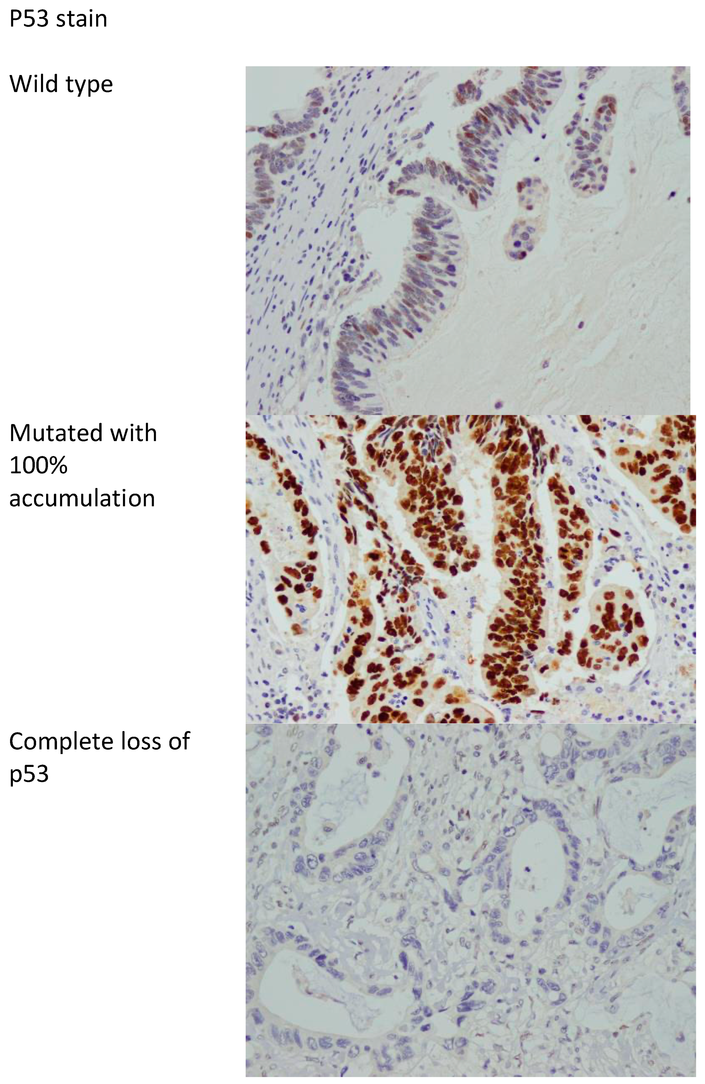
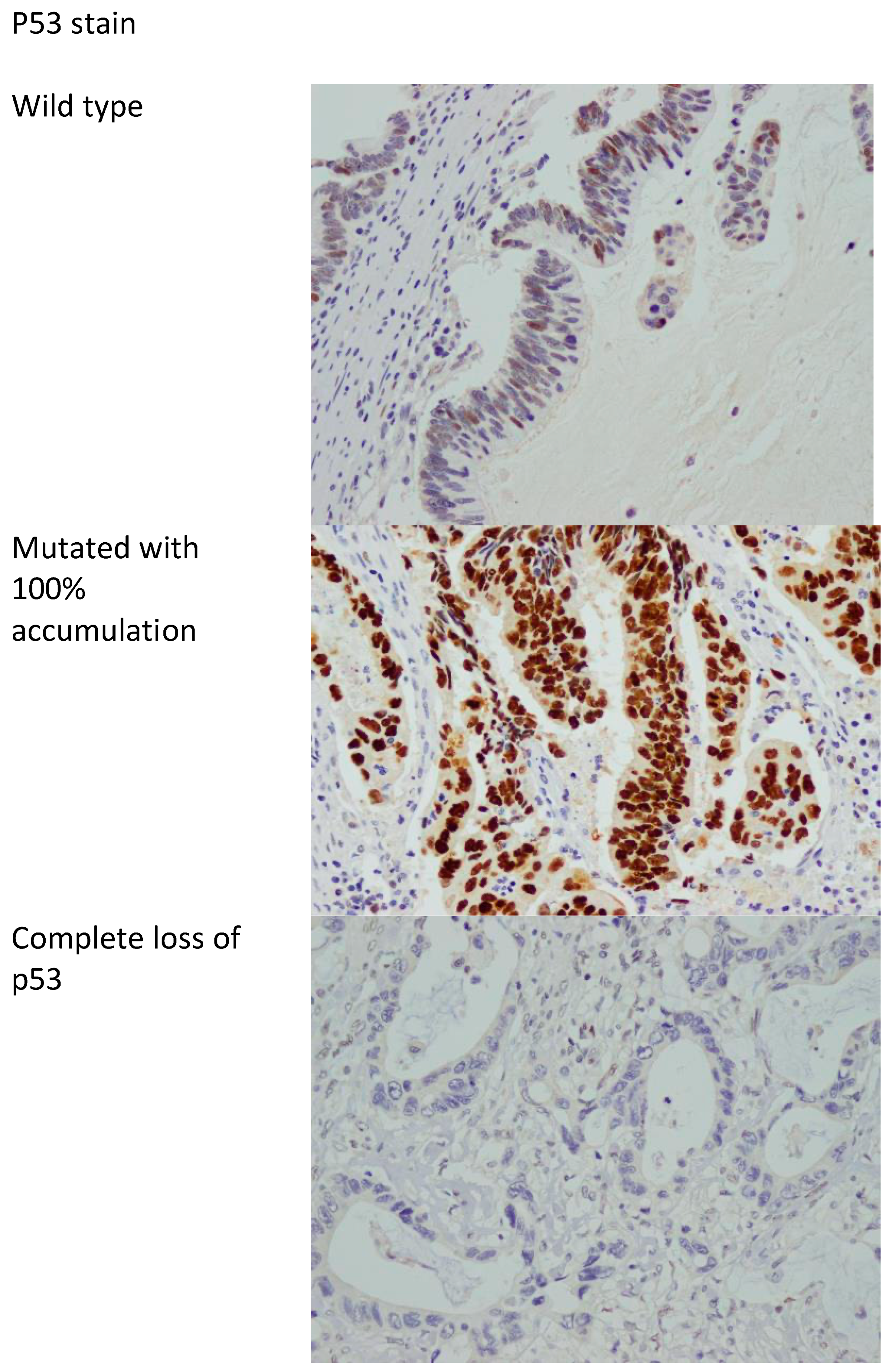
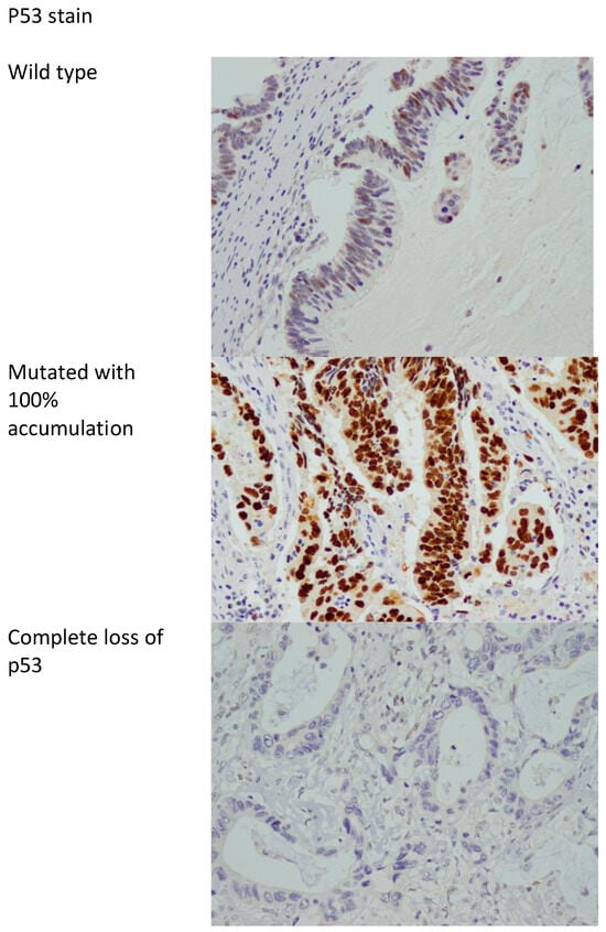
| P53 | 0.00 | ||
| Lost or mutated | 18 (40) | 36 (80) | |
| Wild type | 27 (60) | 9 (20) | |
| Ki67 | 0.83 | ||
| High >50% | 23 (51.1) | 22 (48.9) | |
| Low | 22 (48.9) | 23 (51.1) |
Disclaimer/Publisher’s Note: The statements, opinions and data contained in all publications are solely those of the individual author(s) and contributor(s) and not of MDPI and/or the editor(s). MDPI and/or the editor(s) disclaim responsibility for any injury to people or property resulting from any ideas, methods, instructions or products referred to in the content. |
© 2024 by the authors. Licensee MDPI, Basel, Switzerland. This article is an open access article distributed under the terms and conditions of the Creative Commons Attribution (CC BY) license (https://creativecommons.org/licenses/by/4.0/).
Share and Cite
Awad, H.; Elshebli, S.; Hasan, K.; Eid, Y.; Obeidat, F.; Alzyoud, M.; Alakhras, B.; AlShammas, F. Comparing Clinicopathological and Immunohistochemical Features of Colorectal Carcinoma between Young and Old Age Groups. Diagnostics 2024, 14, 1743. https://doi.org/10.3390/diagnostics14161743
Awad H, Elshebli S, Hasan K, Eid Y, Obeidat F, Alzyoud M, Alakhras B, AlShammas F. Comparing Clinicopathological and Immunohistochemical Features of Colorectal Carcinoma between Young and Old Age Groups. Diagnostics. 2024; 14(16):1743. https://doi.org/10.3390/diagnostics14161743
Chicago/Turabian StyleAwad, Heyam, Sanad Elshebli, Khaled Hasan, Yousef Eid, Fatima Obeidat, Mohammad Alzyoud, Basheer Alakhras, and Faris AlShammas. 2024. "Comparing Clinicopathological and Immunohistochemical Features of Colorectal Carcinoma between Young and Old Age Groups" Diagnostics 14, no. 16: 1743. https://doi.org/10.3390/diagnostics14161743
APA StyleAwad, H., Elshebli, S., Hasan, K., Eid, Y., Obeidat, F., Alzyoud, M., Alakhras, B., & AlShammas, F. (2024). Comparing Clinicopathological and Immunohistochemical Features of Colorectal Carcinoma between Young and Old Age Groups. Diagnostics, 14(16), 1743. https://doi.org/10.3390/diagnostics14161743

