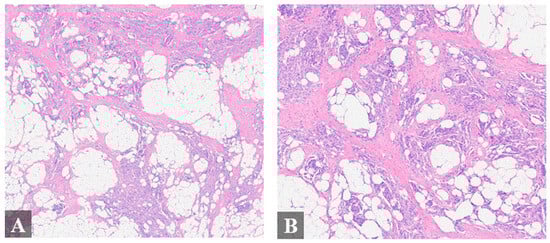
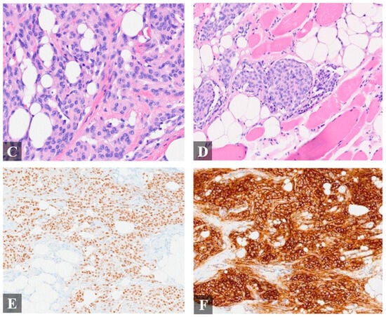
Posttraumatic Cutaneous Meningioma with a “Meningiolipoma” Pattern Presenting as a Nasal Bridge Mass
Abstract
Author Contributions
Funding
Institutional Review Board Statement
Informed Consent Statement
Data Availability Statement
Conflicts of Interest
References
- Ostrom, Q.T.; Gittleman, H.; Farah, P.; Ondracek, A.; Chen, Y.; Wolinsky, Y.; Stroup, N.E.; Kruchko, C.; Barnholtz-Sloan, J.S. CBTRUS statistical report: Primary brain and central nervous system tumors diagnosed in the United States in 2006–2010. Neuro-oncology 2013, 15 (Suppl. S2), ii1–ii56. [Google Scholar] [CrossRef] [PubMed]
- Agaimy, A.; Buslei, R.; Coras, R.; Rubin, B.P.; Mentzel, T. Comparative study of soft tissue perineurioma and meningioma using a five-marker immunohistochemical panel. Histopathology 2014, 65, 60–70. [Google Scholar] [CrossRef] [PubMed]
- Koutlas, I.G.; Scheithauer, B.W.; Folpe, A.L. Intraoral perineurioma, soft tissue type: Report of five cases, including 3 intraosseous examples, and review of the literature. Head Neck Pathol. 2010, 4, 113–120. [Google Scholar] [CrossRef] [PubMed][Green Version]
- Liu, H.; Qian, H.; Li, X.; Zuo, F.; Meng, X.; Liu, S.; Wan, J. Clinial Features, Individualized Treatment and Long-Term Surgical Outcomes of Skull Base Meningiomas with Extracranial Extensions. Front. Oncol. 2020, 10, 1054. [Google Scholar] [CrossRef] [PubMed]
- Simpson, M.T.; Sneddon, K.J. Extracranial meningioma of the oral cavity. Br. J. Oral Maxillofac. Surg. 1987, 25, 520–525. [Google Scholar] [CrossRef] [PubMed]
- Miedema, J.R.; Zedek, D. Cutaneous meningioma. Arch. Pathol. Lab. Med. 2012, 136, 208–211. [Google Scholar] [CrossRef] [PubMed]
- Zeikus, P.; Robinson-Bostom, L.; Stopa, E. Primary cutaneous meningioma in association with a sinus pericranii. J. Am. Acad. Dermatol. 2006, 54 (Suppl. S2), S49–S50. [Google Scholar] [CrossRef] [PubMed]
- Arnold, M.; Cleaver, D.; Cleaver, N. Type II Cutaneous Meningioma. Dermatol. Surg. 2020, 46, 1449–1451. [Google Scholar] [CrossRef] [PubMed]



Disclaimer/Publisher’s Note: The statements, opinions and data contained in all publications are solely those of the individual author(s) and contributor(s) and not of MDPI and/or the editor(s). MDPI and/or the editor(s) disclaim responsibility for any injury to people or property resulting from any ideas, methods, instructions or products referred to in the content. |
© 2024 by the authors. Licensee MDPI, Basel, Switzerland. This article is an open access article distributed under the terms and conditions of the Creative Commons Attribution (CC BY) license (https://creativecommons.org/licenses/by/4.0/).
Share and Cite
Ren, D.; Lou, J.; Kuan, E.; Perez-Rosendahl, M.; Yong, W.H. Posttraumatic Cutaneous Meningioma with a “Meningiolipoma” Pattern Presenting as a Nasal Bridge Mass. Diagnostics 2024, 14, 1731. https://doi.org/10.3390/diagnostics14161731
Ren D, Lou J, Kuan E, Perez-Rosendahl M, Yong WH. Posttraumatic Cutaneous Meningioma with a “Meningiolipoma” Pattern Presenting as a Nasal Bridge Mass. Diagnostics. 2024; 14(16):1731. https://doi.org/10.3390/diagnostics14161731
Chicago/Turabian StyleRen, Dong, Jerry Lou, Edward Kuan, Mari Perez-Rosendahl, and William H. Yong. 2024. "Posttraumatic Cutaneous Meningioma with a “Meningiolipoma” Pattern Presenting as a Nasal Bridge Mass" Diagnostics 14, no. 16: 1731. https://doi.org/10.3390/diagnostics14161731
APA StyleRen, D., Lou, J., Kuan, E., Perez-Rosendahl, M., & Yong, W. H. (2024). Posttraumatic Cutaneous Meningioma with a “Meningiolipoma” Pattern Presenting as a Nasal Bridge Mass. Diagnostics, 14(16), 1731. https://doi.org/10.3390/diagnostics14161731

