Prediction of Bone Marrow Metastases Using Computed Tomography (CT) Radiomics in Patients with Gastric Cancer: Uncovering Invisible Metastases
Abstract
1. Introduction
2. Materials and Methods
2.1. Patient Selection
2.2. Tissue Sampling and Pathologic Confirmation
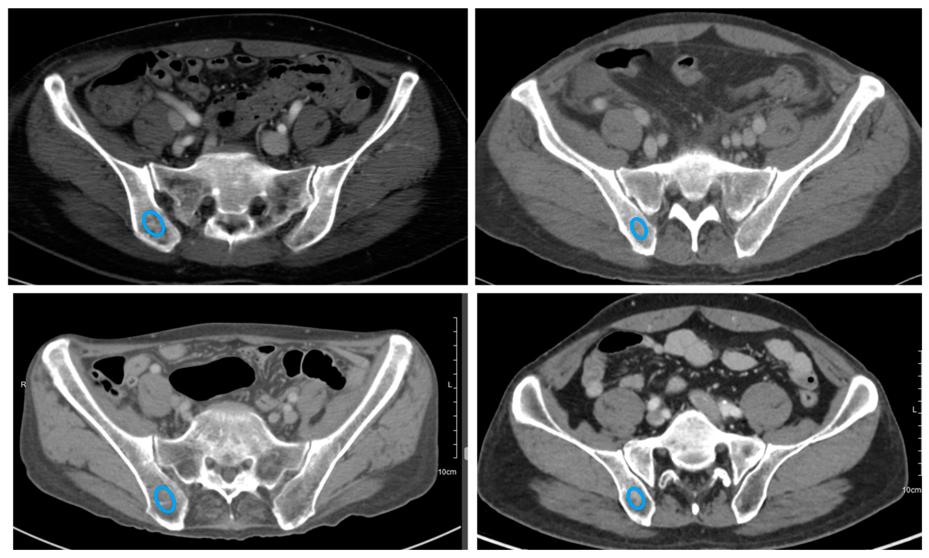
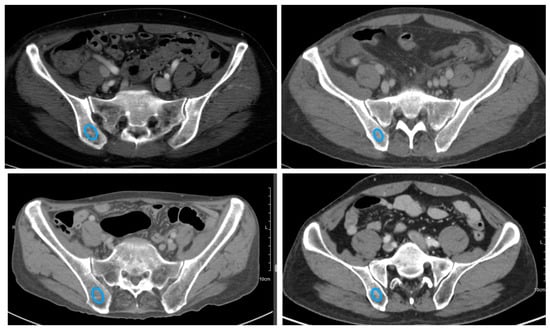
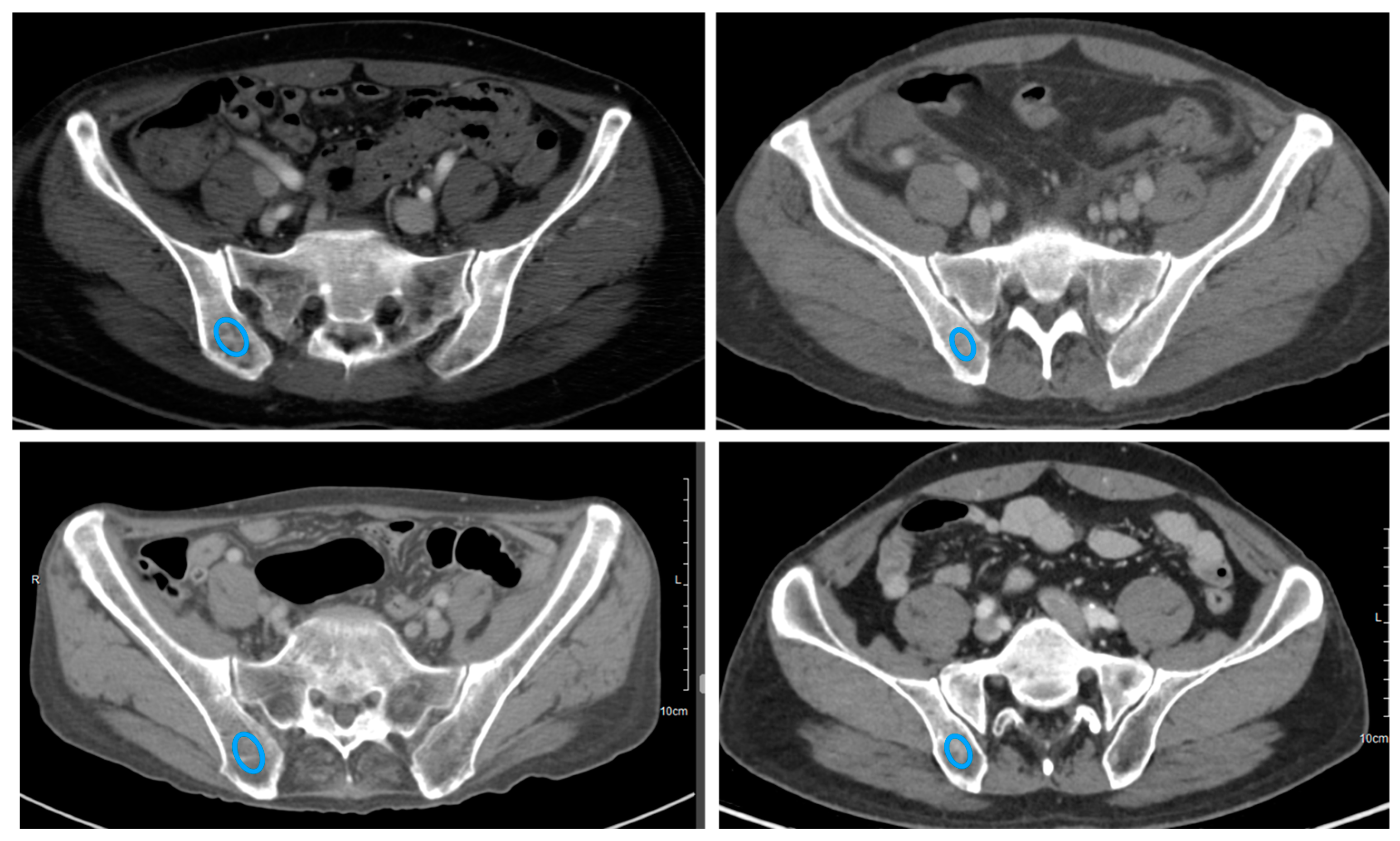
2.3. Assessment of APCT Images
2.4. Region of Interest (ROI) Segmentation, Preprocessing, and Radiomic Feature Extraction
2.5. Feature Categorization and Dimension Reduction
2.6. Development of Bone Marrow Metastasis Prediction Model
2.7. Assessment of Bone Marrow Metastasis Prediction Model Performance with the External Validation Group
2.8. Statistical Analysis
3. Results
3.1. Patient Characteristics
3.2. Diagnostic Performance of the Bone Marrow Metastasis Prediction Models
3.2.1. In the Entire Patient Population
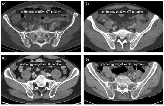
3.2.2. In the Pathology-Positive CT-Negative Group
3.2.3. In the External Validation Cohort
4. Discussion
5. Conclusions
Supplementary Materials
Author Contributions
Funding
Institutional Review Board Statement
Informed Consent Statement
Data Availability Statement
Acknowledgments
Conflicts of Interest
References
- Thrift, A.P.; Wenker, T.N.; El-Serag, H.B. Global burden of gastric cancer: Epidemiological trends, risk factors, screening and prevention. Nat. Rev. Clin. Oncol. 2023, 20, 338–349. [Google Scholar] [CrossRef] [PubMed]
- Rugge, M.; Fassan, M.; Graham, D.Y. Epidemiology of gastric cancer. World J. Gastroenterol. WJG 2006, 12, 354. [Google Scholar]
- Kong, J.H.; Lee, J.; Yi, C.A.; Park, S.H.; Park, J.O.; Park, Y.S.; Lim, H.Y.; Park, K.W.; Kang, W.K. Lung metastases in metastatic gastric cancer: Pattern of lung metastases and clinical outcome. Gastric Cancer 2012, 15, 292–298. [Google Scholar] [CrossRef] [PubMed]
- Wang, C.; Zhang, Y.; Zhang, Y.; Li, B. A bibliometric analysis of gastric cancer liver metastases: Advances in mechanisms of occurrence and treatment options. Int. J. Surg. 2024, 110, 2288–2299. [Google Scholar] [CrossRef] [PubMed]
- Nakamura, K.; Tomioku, M.; Nabeshima, K.; Yasuda, S. Clinicopathologic features and clinical outcomes of gastric cancer patients with bone metastasis. Tokai J. Exp. Clin. Med. 2014, 39, 193–198. [Google Scholar] [PubMed]
- Turkoz, F.P.; Solak, M.; Kilickap, S.; Ulas, A.; Esbah, O.; Oksuzoglu, B.; Yalcin, S. Bone metastasis from gastric cancer: The incidence, clinicopathological features, and influence on survival. J. Gastric Cancer 2014, 14, 164–172. [Google Scholar] [CrossRef] [PubMed]
- Lee, J.; Lim, T.; Uhm, J.E.; Park, K.W.; Park, S.H.; Lee, S.C.; Park, J.O.; Park, Y.S.; Lim, H.Y.; Sohn, T.S.; et al. Prognostic model to predict survival following first-line chemotherapy in patients with metastatic gastric adenocarcinoma. Ann. Oncol. 2007, 18, 886–891. [Google Scholar] [CrossRef] [PubMed]
- Park, H.S.; Rha, S.Y.; Kim, H.S.; Hyung, W.J.; Park, J.S.; Chung, H.C.; Noh, S.H.; Jeung, H.C. A prognostic model to predict clinical outcome in gastric cancer patients with bone metastasis. Oncology 2011, 80, 142–150. [Google Scholar] [CrossRef] [PubMed]
- Ahn, J.B.; Ha, T.K.; Kwon, S.J. Bone metastasis in gastric cancer patients. J. Gastric Cancer 2011, 11, 38–45. [Google Scholar] [CrossRef]
- Kim, H.S.; Yi, S.Y.; Jun, H.J.; Lee, J.; Park, J.O.; Park, Y.S.; Jang, J.; Kim, H.J.; Ko, Y.; Lim, H.Y.; et al. Clinical outcome of gastric cancer patients with bone marrow metastases. Oncology 2007, 73, 192–197. [Google Scholar] [CrossRef]
- Lim, S.M.; Kim, Y.N.; Park, K.H.; Kang, B.; Chon, H.J.; Kim, C.; Kim, J.H.; Rha, S.Y. Bone alkaline phosphatase as a surrogate marker of bone metastasis in gastric cancer patients. BMC Cancer 2016, 16, 1–7. [Google Scholar] [CrossRef]
- Lee, S.C.; Jain, P.A.; Jethwa, S.C.; Tripathy, D.; Yamashita, M.W. Radiologist’s role in breast cancer staging: Providing key information for clinicians. Radiographics 2014, 34, 330–342. [Google Scholar] [CrossRef] [PubMed]
- Hallinan, J.T.; Venkatesh, S.K. Gastric carcinoma: Imaging diagnosis, staging and assessment of treatment response. Cancer Imaging 2013, 13, 212–227. [Google Scholar] [CrossRef]
- Rybak, L.D.; Rosenthal, D.I. Radiological imaging for the diagnosis of bone metastases. Q. J. Nucl. Med. 2001, 45, 53–64. [Google Scholar]
- Papac, R.J. Bone marrow metastases. A review. Cancer 1994, 74, 2403–2413. [Google Scholar] [CrossRef]
- Zach, O.; Lutz, D. Tumor cell detection in peripheral blood and bone marrow. Curr. Opin. Oncol. 2006, 18, 48–56. [Google Scholar] [CrossRef] [PubMed]
- Cardoso, F.; Paluch-Shimon, S.; Senkus, E.; Curigliano, G.; Aapro, M.S.; Andre, F.; Barrios, C.H.; Bergh, J.; Bhattacharyya, G.S.; Biganzoli, L.; et al. 5th eso-esmo international consensus guidelines for advanced breast cancer (abc 5). Ann. Oncol. 2020, 31, 1623–1649. [Google Scholar] [CrossRef] [PubMed]
- Kosmin, M.; Padhani, A.R.; Gogbashian, A.; Woolf, D.; Ah-See, M.L.; Ostler, P.; Sutherland, S.; Miles, D.; Noble, J.; Koh, D.M.; et al. Comparison of whole-body mri, ct, and bone scintigraphy for response evaluation of cancer therapeutics in metastatic breast cancer to bone. Radiology 2020, 297, 622–629. [Google Scholar] [CrossRef]
- Ahmed, F.; Muzaffar, R.; Fernandes, H.; Tu, Y.; Albalooshi, B.; Osman, M.M. Skeletal metastasis as detected by 18f-fdg pet with negative ct of the pet/ct: Frequency and impact on cancer staging and/or management. Front. Oncol. 2016, 6, 208. [Google Scholar] [CrossRef]
- Piatek, C.I.; Liebman, H.A. Thrombocytopenia in patients with solid tumors or hematologic malignancies. In Platelets in Thrombotic and Non-Thrombotic Disorders: Pathophysiology, Pharmacology and Therapeutics: An Update; Springer: Berlin/Heidelberg, Germany, 2017; pp. 841–850. [Google Scholar]
- Varghese, B.A.; Cen, S.Y.; Hwang, D.H.; Duddalwar, V.A. Texture analysis of imaging: What radiologists need to know. Am. J. Roentgenol. 2019, 212, 520–528. [Google Scholar] [CrossRef]
- Wagner, M.W.; Namdar, K.; Biswas, A.; Monah, S.; Khalvati, F.; Ertl-Wagner, B.B. Radiomics, machine learning, and artificial intelligence-what the neuroradiologist needs to know. Neuroradiology 2021, 63, 1957–1967. [Google Scholar] [CrossRef] [PubMed]
- Obermeyer, Z.; Emanuel, E.J. Predicting the future - big data, machine learning, and clinical medicine. N. Engl. J. Med. 2016, 375, 1216–1219. [Google Scholar] [CrossRef] [PubMed]
- Acar, E.; Leblebici, A.; Ellidokuz, B.E.; Basbinar, Y.; Kaya, G.C. Machine learning for differentiating metastatic and completely responded sclerotic bone lesion in prostate cancer: A retrospective radiomics study. Br. J. Radiol. 2019, 92, 20190286. [Google Scholar] [CrossRef] [PubMed]
- Zhang, W.; Mao, N.; Wang, Y.; Xie, H.; Duan, S.; Zhang, X.; Wang, B. A radiomics nomogram for predicting bone metastasis in newly diagnosed prostate cancer patients. Eur. J. Radiol. 2020, 128, 109020. [Google Scholar] [CrossRef] [PubMed]
- Lambin, P.; Rios-Velazquez, E.; Leijenaar, R.; Carvalho, S.; van Stiphout, R.G.; Granton, P.; Zegers, C.M.; Gillies, R.; Boellard, R.; Dekker, A.; et al. Radiomics: Extracting more information from medical images using advanced feature analysis. Eur. J. Cancer 2012, 48, 441–446. [Google Scholar] [CrossRef] [PubMed]
- Park, J.; Kim, M.J.; Yoon, J.H.; Han, K.; Kim, E.K.; Sohn, J.H.; Lee, Y.H.; Yoo, Y. Machine learning predicts pathologic complete response to neoadjuvant chemotherapy for er+her2- breast cancer: Integrating tumoral and peritumoral mri radiomic features. Diagnostics 2023, 13, 3031. [Google Scholar] [CrossRef] [PubMed]
- Davnall, F.; Yip, C.S.; Ljungqvist, G.; Selmi, M.; Ng, F.; Sanghera, B.; Ganeshan, B.; Miles, K.A.; Cook, G.J.; Goh, V. Assessment of tumor heterogeneity: An emerging imaging tool for clinical practice? Insights Imaging 2012, 3, 573–589. [Google Scholar] [CrossRef]
- Fisher, R.; Pusztai, L.; Swanton, C. Cancer heterogeneity: Implications for targeted therapeutics. Br. J. Cancer 2013, 108, 479–485. [Google Scholar] [CrossRef]
- Vallieres, M.; Freeman, C.R.; Skamene, S.R.; El Naqa, I. A radiomics model from joint fdg-pet and mri texture features for the prediction of lung metastases in soft-tissue sarcomas of the extremities. Phys. Med. Biol. 2015, 60, 5471–5496. [Google Scholar] [CrossRef]
- Hanley, J.A.; McNeil, B.J. The meaning and use of the area under a receiver operating characteristic (roc) curve. Radiology 1982, 143, 29–36. [Google Scholar] [CrossRef]
- Taha, A.A.; Hanbury, A. Metrics for evaluating 3d medical image segmentation: Analysis, selection, and tool. BMC Med. Imaging 2015, 15, 29. [Google Scholar] [CrossRef] [PubMed]
- Wang, H.; Chen, H.; Duan, S.; Hao, D.; Liu, J. Radiomics and machine learning with multiparametric preoperative mri may accurately predict the histopathological grades of soft tissue sarcomas. J. Magn. Reson. Imaging 2020, 51, 791–797. [Google Scholar] [CrossRef] [PubMed]
- Park, C.J.; Kim, S.; Han, K.; Ahn, S.S.; Kim, D.; Park, Y.W.; Chang, J.H.; Kim, S.H.; Lee, S.K. Diffusion- and perfusion-weighted mri radiomics for survival prediction in patients with lower-grade gliomas. Yonsei Med. J. 2024, 65, 283–292. [Google Scholar] [CrossRef] [PubMed]
- Suh, Y.J.; Han, K.; Kwon, Y.; Kim, H.; Lee, S.; Hwang, S.H.; Kim, M.H.; Shin, H.J.; Lee, C.Y.; Shim, H.S. Computed tomography radiomics for preoperative prediction of spread through air spaces in the early stage of surgically resected lung adenocarcinomas. Yonsei Med. J. 2024, 65, 163–173. [Google Scholar] [CrossRef] [PubMed]
- Lisson, C.S.; Lisson, C.G.; Flosdorf, K.; Mayer-Steinacker, R.; Schultheiss, M.; von Baer, A.; Barth, T.F.E.; Beer, A.J.; Baumhauer, M.; Meier, R.; et al. Diagnostic value of mri-based 3d texture analysis for tissue characterisation and discrimination of low-grade chondrosarcoma from enchondroma: A pilot study. Eur. Radiol. 2018, 28, 468–477. [Google Scholar] [CrossRef] [PubMed]
- Kim, H.S.; Kim, J.H.; Yoon, Y.C.; Choe, B.K. Tumor spatial heterogeneity in myxoid-containing soft tissue using texture analysis of diffusion-weighted mri. PLoS ONE 2017, 12, e0181339. [Google Scholar] [CrossRef]
- Hong, J.H.; Jung, J.Y.; Jo, A.; Nam, Y.; Pak, S.; Lee, S.Y.; Park, H.; Lee, S.E.; Kim, S. Development and validation of a radiomics model for differentiating bone islands and osteoblastic bone metastases at abdominal ct. Radiology 2021, 299, 626–632. [Google Scholar] [CrossRef]
- Corino, V.D.A.; Montin, E.; Messina, A.; Casali, P.G.; Gronchi, A.; Marchiano, A.; Mainardi, L.T. Radiomic analysis of soft tissues sarcomas can distinguish intermediate from high-grade lesions. J. Magn. Reson. Imaging 2018, 47, 829–840. [Google Scholar] [CrossRef]
- Zhang, Y.; Zhu, Y.; Shi, X.; Tao, J.; Cui, J.; Dai, Y.; Zheng, M.; Wang, S. Soft tissue sarcomas: Preoperative predictive histopathological grading based on radiomics of mri. Acad. Radiol. 2019, 26, 1262–1268. [Google Scholar] [CrossRef]
- Peeken, J.C.; Spraker, M.B.; Knebel, C.; Dapper, H.; Pfeiffer, D.; Devecka, M.; Thamer, A.; Shouman, M.A.; Ott, A.; von Eisenhart-Rothe, R.; et al. Tumor grading of soft tissue sarcomas using mri-based radiomics. EBioMedicine 2019, 48, 332–340. [Google Scholar] [CrossRef]
- Spraker, M.B.; Wootton, L.S.; Hippe, D.S.; Ball, K.C.; Peeken, J.C.; Macomber, M.W.; Chapman, T.R.; Hoff, M.N.; Kim, E.Y.; Pollack, S.M.; et al. Mri radiomic features are independently associated with overall survival in soft tissue sarcoma. Adv. Radiat. Oncol. 2019, 4, 413–421. [Google Scholar] [CrossRef] [PubMed]
- Crombe, A.; Perier, C.; Kind, M.; De Senneville, B.D.; Le Loarer, F.; Italiano, A.; Buy, X.; Saut, O. T2-based mri delta-radiomics improve response prediction in soft-tissue sarcomas treated by neoadjuvant chemotherapy. J. Magn. Reson. Imaging 2019, 50, 497–510. [Google Scholar] [CrossRef] [PubMed]
- Banys, M.; Solomayer, E.F.; Becker, S.; Krawczyk, N.; Gardanis, K.; Staebler, A.; Neubauer, H.; Wallwiener, D.; Fehm, T. Disseminated tumor cells in bone marrow may affect prognosis of patients with gynecologic malignancies. Int. J. Gynecol. Cancer 2009, 19, 948–952. [Google Scholar] [CrossRef] [PubMed]
- Fischer, B.M.; Mortensen, J.; Langer, S.W.; Loft, A.; Berthelsen, A.K.; Petersen, B.I.; Daugaard, G.; Lassen, U.; Hansen, H.H. A prospective study of pet/ct in initial staging of small-cell lung cancer: Comparison with ct, bone scintigraphy and bone marrow analysis. Ann. Oncol. 2007, 18, 338–345. [Google Scholar] [CrossRef]
- Bubnovskaya, L.; Kovelskaya, A.; Gumenyuk, L.; Ganusevich, I.; Mamontova, L.; Mikhailenko, V.; Osinsky, D.; Merentsev, S.; Osinsky, S. Disseminated tumor cells in bone marrow of gastric cancer patients: Correlation with tumor hypoxia and clinical relevance. J. Oncol. 2014, 2014, 582140. [Google Scholar] [CrossRef]






| Pathology Bone Mets + | No Pathology Bone Mets − | ||||
|---|---|---|---|---|---|
| All Patients | CT (+) | CT (−) | CT (+) | CT (−) | |
| Variables | (n = 96) | (n = 28, 29.2%) | (n = 12, 12.5%) | (n = 13, 13.5%) | (n = 43, 44.8%) |
| Age, y | 58.4 ± 13.4 | 51.4 ± 12.9 | 57.4 ± 9.7 | 65.6 ± 11.6 | 61.3 ± 13.5 |
| Gender M:F | 53:43 | 11:17 | 10:2 | 9:4 | 23:20 |
| PLT, k | 48.1 ± 37.0 | 32.5 ± 20.9 | 27.4 ± 19.6 | 63.3 ± 46.1 | 60.4 ± 40.4 |
| Patho-Dx, d | 1060.0 ± 1351.2 | 1099.7 ± 1778.7 | 889.0 ± 973.2 | 904.2 ± 1284.2 | 1129.3 ± 1170.9 |
| Patho-CT, d | 34.6 ± 70.4 | 8.7 ± 9.0 | 46.5 ± 60.1 | 87.8 ± 161.6 | 33.0 ± 44.7 |
| Patho-PLT, d | 22.3 ± 99.1 | 2.3 ± 2.4 | 3.8 ± 6.7 | 9.6 ± 25.5 | 44.4 ± 145.3 |
| Dataset Type | Model | AUC | Accuracy | Sensitivity | Specificity | Precision | F1-Score |
|---|---|---|---|---|---|---|---|
| Radiomics + attenuation | RandomForest | 0.959 | 0.846 | 0.813 | 0.870 | 0.813 | 0.846 |
| Attenuation | KNeighbors | 0.913 | 0.821 | 0.813 | 0.826 | 0.765 | 0.821 |
| Radiomics | KNeighbors | 0.788 | 0.667 | 0.438 | 0.826 | 0.636 | 0.652 |
| Dataset Type | Model | AUC | Accuracy | Sensitivity | Specificity | Precision | F1-Score |
|---|---|---|---|---|---|---|---|
| Radiomics + Attenuation | RandomForest | 0.933 | 0.826 | 0.800 | 0.833 | 0.571 | 0.835 |
| Attenuation | KNeighbors | 0.800 | 0.783 | 0.800 | 0.778 | 0.500 | 0.798 |
| Radiomics | KNeighbors | 0.661 | 0.609 | 0.000 | 0.778 | 0.000 | 0.592 |
| Dataset Type | Model | AUC | Accuracy | Sensitivity | Specificity | Precision |
|---|---|---|---|---|---|---|
| Internal validation | 0.959 | 0.846 | 0.813 | 0.870 | 0.813 | 0.846 |
| External validation | 0.958 | 0.857 | 0.875 | 0.833 | 0.875 | 0.857 |
Disclaimer/Publisher’s Note: The statements, opinions and data contained in all publications are solely those of the individual author(s) and contributor(s) and not of MDPI and/or the editor(s). MDPI and/or the editor(s) disclaim responsibility for any injury to people or property resulting from any ideas, methods, instructions or products referred to in the content. |
© 2024 by the authors. Licensee MDPI, Basel, Switzerland. This article is an open access article distributed under the terms and conditions of the Creative Commons Attribution (CC BY) license (https://creativecommons.org/licenses/by/4.0/).
Share and Cite
Park, J.; Jung, M.; Kim, S.K.; Lee, Y.H. Prediction of Bone Marrow Metastases Using Computed Tomography (CT) Radiomics in Patients with Gastric Cancer: Uncovering Invisible Metastases. Diagnostics 2024, 14, 1689. https://doi.org/10.3390/diagnostics14151689
Park J, Jung M, Kim SK, Lee YH. Prediction of Bone Marrow Metastases Using Computed Tomography (CT) Radiomics in Patients with Gastric Cancer: Uncovering Invisible Metastases. Diagnostics. 2024; 14(15):1689. https://doi.org/10.3390/diagnostics14151689
Chicago/Turabian StylePark, Jiwoo, Minkyu Jung, Sang Kyum Kim, and Young Han Lee. 2024. "Prediction of Bone Marrow Metastases Using Computed Tomography (CT) Radiomics in Patients with Gastric Cancer: Uncovering Invisible Metastases" Diagnostics 14, no. 15: 1689. https://doi.org/10.3390/diagnostics14151689
APA StylePark, J., Jung, M., Kim, S. K., & Lee, Y. H. (2024). Prediction of Bone Marrow Metastases Using Computed Tomography (CT) Radiomics in Patients with Gastric Cancer: Uncovering Invisible Metastases. Diagnostics, 14(15), 1689. https://doi.org/10.3390/diagnostics14151689

