Early Diagnosis of Problems Related to the Self-Organization of the Cardiovascular System Based on the Interplay between RR and JT Cardiac Intervals
Abstract
1. Introduction
2. Materials and Methods
2.1. Ethical Statement
2.2. Experiment Protocol
2.3. Experiment Conditions
2.4. Participants
2.5. The Algorithm for the Computation of Time-Delay Patterns
2.6. The Description of Panels A–F in the Figures
2.6.1. Description of Panels A and B
Original and Denoised and Cardiac Intervals
2.6.2. Description of Panel C
Normalization
2.6.3. Description of Panel D
The Difference Signal and the Velocity of Adaptation Index,
2.6.4. Description of Panel E
The Modified Adaptation Index during the Recovery Phase,
2.6.5. Description of Panel F
2.7. The Statistical Analysis
2.7.1. Step A
2.7.2. Step B
- (1)
- Shan wavelet analysis is performed for the signal. The resulting pattern of Shan wavelet coefficients is divided into three segments in such a way that the first segment represents the first 900 data values, the second section represents the next 900 data values, and the last section comprises all the remaining data points. Such a division of the pattern into three segments guarantees that the moment of the load termination falls into the second segment (note that this moment is different for each individual and depends on many factors characterizing the physical performance of that individual).
- (2)
- The mean of each of the three segments is computed for each individual (for the entire cohort including healthy and unhealthy individuals) and labelled as , , and (see Table 3).
- (3)
- A quadratic equation is interpolated through three points in a plane: , , . The equation of the parabola reads . We are interested only in the parameter because it defines whether the branches of the parabola move up or down. In other words, we are interested in whether the values of the Shan wavelet coefficients are smaller in the middle segment of the pattern. In this way, parameter becomes a significant indicator distinguishing the healthy and unhealthy persons within the cohort. The computation of the value of parameter is straightforward: .
- (4)
- Step 3 yields parameter for each individual. Repeating the process for the whole cohort yields the minimum and maximum values for the entire cohort (see Table 3).
- (5)
- Indicator is defined as follows: , where is the minimum value of and is the maximum value of for the whole cohort (including healthy and unhealthy individuals).
- (6)
- Finally, the parameter representing the health status of an individual’s cardiovascular system is computed as (see Table 4).
| Mean of Wavelet for First Slot, | Mean of Wavelet for Second Slot, | Mean of Wavelet for Last Time Slot, | Equation of Parabola, | Parameter, |
|---|---|---|---|---|
| 0.0536 | 0.0252 | 0.0587 | 3.09 * | 100 |
| 0.0308 | 0.0063 | 0.0183 | 1.82 | 66.8 |
| 0.0322 | 0.0159 | 0.0203 | 1.03 | 46.2 |
| 0.0302 | 0.0103 | 0.0346 | 2.21 | 77.02 |
| 0.0174 | 0.0253 | 0.0183 | −0.74 ** | 0 |
| 0.0139 | 0.0056 | 0.0100 | 0.63 | 35.7 |
| 0.0188 | 0.0206 | 0.0217 | −0.03 | 18.5 |
| 0.0192 | 0.0215 | 0.0144 | −0.47 | 7.04 |
| Evaluation of the Health Status of an Individual Cardiovascular System, | ||
|---|---|---|
| 56.17 | 100 | 78.08 |
| 63.18 | 66.8 | 64.99 |
| 100 | 46.2 | 73.1 |
| 0.41 | 77.02 | 38.71 |
| 45.97 | 0 | 22.98 |
| 18.93 | 35.7 | 27.31 |
| 69.98 | 18.5 | 44.24 |
| 0 | 7.04 | 3.52 |
3. Results and Discussion
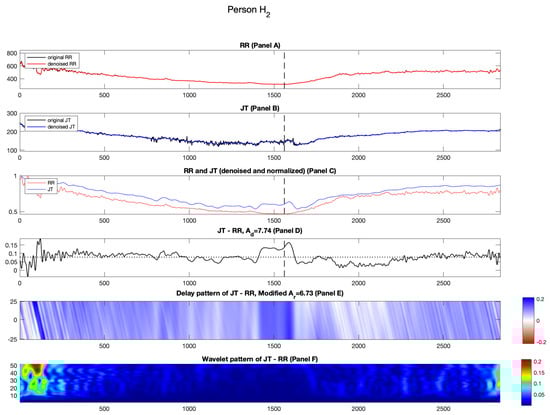
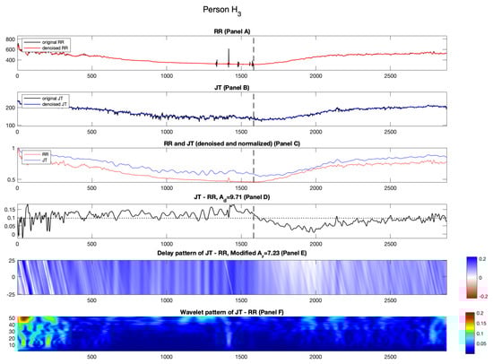
3.1. Healthy Cohort




3.2. Unhealthy Cohort
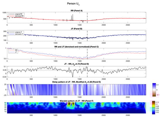
3.2.1. Candidate U1

3.2.2. Candidate U2

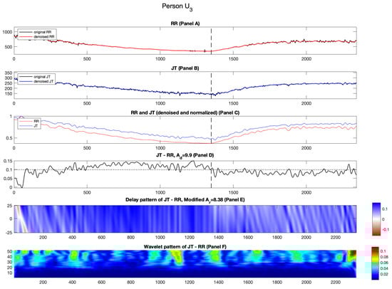
3.2.3. Candidate U3

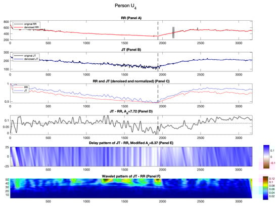
3.2.4. Candidate U4



3.3. Limitations
3.4. Conclusions
Author Contributions
Funding
Institutional Review Board Statement
Informed Consent Statement
Data Availability Statement
Conflicts of Interest
Abbreviations
| CNS | central nervous system |
| ABP | arterial blood pressure |
| HR | heart rate |
| MET | metabolic equivalent |
| SV | stroke volume |
| ABP (sys) | systolic arterial blood pressure |
| ABP (dis) | diastolic arterial blood pressure |
| JTa | amplitude of the JT interval |
| JTd | the duration of the JT interval |
| ECG | electrocardiogram |
| AHA | American Heart Association |
References
- Zareba, W.; McNitt, S.; Polonsky, S.; Couderc, J.-P. JT interval: What does this interval mean? J. Electrocardiol. 2017, 50, 748–751. [Google Scholar] [CrossRef]
- Thuraisingham, R.A. Preprocessing RR interval time series for heart rate variability analysis and estimates of standard deviation of RR intervals. Comput. Methods Programs Biomed. 2006, 83, 78–82. [Google Scholar] [CrossRef]
- Yeh, S.-Y.; Forsythe, A.; Hon, E.H. Quantification of fetal heart beat-to-beat interval differences. Obstet. Gynecol. 1973, 41, 355–363. [Google Scholar]
- Tulppo, M.P.; Makikallio, T.H.; Takala, T.; Seppanen, T.; Huikuri, H.V. Quantitative beat-to-beat analysis of heart rate dynamics during exercise. Am. J. Physiol.-Heart Circ. Physiol. 1996, 271, H244–H252. [Google Scholar] [CrossRef]
- Cheung, M.N. Detection of and recovery from errors in cardiac interbeat intervals. Psychophysiology 1981, 18, 341–346. [Google Scholar] [CrossRef]
- Qammar, N.W.; Šiaučiūnaitė, V.; Zabiela, V.; Vainoras, A.; Ragulskis, M. Detection of atrial fibrillation episodes based on 3D algebraic relationships between cardiac intervals. Diagnostics 2022, 12, 2919. [Google Scholar] [CrossRef]
- Cripps, T.; Malik, M.; Farrell, T.; Camm, A. Prognostic value of reduced heart rate variability after myocardial infarction: Clinical evaluation of a new analysis method. Heart 1991, 65, 14–19. [Google Scholar] [CrossRef]
- Massetani, R.; Strata, G.; Galli, R.; Gori, S.; Gneri, C.; Limbruno, U.; Di Santo, D.; Mariani, M.; Murri, L. Alteration of cardiac function in patients with temporal lobe epilepsy: Different roles of EEG-ECG monitoring and spectral analysis of RR variability. Epilepsia 1997, 38, 363–369. [Google Scholar] [CrossRef]
- Ravi, V.; Poudyal, A.; Khanal, S.; Khalil, C.; Vij, A.; Sanders, D.; Larsen, T.; Trohman, R.G.; Aksu, T.; Tung, R. A systematic review and meta-analysis comparing radiofrequency catheter ablation with medical therapy for ventricular tachycardia in patients with ischemic and non-ischemic cardiomyopathies. J. Interv. Card. Electrophysiol. 2023, 66, 161–175. [Google Scholar] [CrossRef]
- Bazett, H. An Analysis of the Time-Relations of Electrocardiograms. Ann. Noninvasive Electrocardiol. 1997, 2, 177–194. [Google Scholar] [CrossRef]
- Crow, R.S.; Hannan, P.J.; Folsom, A.R. Prognostic significance of corrected QT and corrected JT interval for incident coronary heart disease in a general population sample stratified by presence or absence of wide QRS complex: The ARIC Study with 13 years of follow-up. Circulation 2003, 108, 1985–1989. [Google Scholar] [CrossRef]
- Berul, C.I.; Sweeten, T.L.; Dubin, A.M.; Shah, M.J.; Vetter, V.L. Use of the rate-corrected JT interval for prediction of repolarization abnormalities in children. Am. J. Cardiol. 1994, 74, 1254–1257. [Google Scholar] [CrossRef]
- Danesi, R.; Del Tacca, M.; Bernardini, N.; Cardini, G.; Bellini, O. Evaluation of the JT and corrected JT intervals as a new ECG method for monitoring doxorubicin cardiotoxicity in the dog. J. Pharmacol. Methods 1989, 21, 317–327. [Google Scholar] [CrossRef]
- Moss, A.J. Measurement of the QT interval and the risk associated with QTc interval prolongation: A review. Am. J. Cardiol. 1993, 72, B23–B25. [Google Scholar] [CrossRef]
- Tabatabaei, P.; Keikhavani, A.; Haghjoo, M.; Fazelifar, A.; Emkanjoo, Z.; Zeighami, M.; Bakhshandeh, H.; Ghadrdoost, B.; Alizadeh, A. Assessment of QT and JT intervals in patients with left bundle branch block. Res. Cardiovasc. Med. 2016, 5, e31528. [Google Scholar]
- Ziaukas, P.; Alabdulgader, A.; Vainoras, A.; Navickas, Z.; Ragulskis, M. New approach for visualization of relationships between RR and JT intervals. PLoS ONE 2017, 12, e0174279. [Google Scholar] [CrossRef]
- Qammar, N.W.; Orinaitė, U.; Šiaučiūnaitė, V.; Vainoras, A.; Šakalytė, G.; Ragulskis, M. The Complexity of the Arterial Blood Pressure Regulation during the Stress Test. Diagnostics 2022, 12, 1256. [Google Scholar] [CrossRef]
- Poderys, J.; Buliuolis, A.; Poderytė, K.; Sadzevičienė, R. Mobilization of cardiovascular function during the constant-load and all-out exercise tests. Medicina 2005, 41, 1048–1053. [Google Scholar]
- Kligfield, P.; Lauer, M.S. Exercise electrocardiogram testing: Beyond the ST segment. Circulation 2006, 114, 2070–2082. [Google Scholar] [CrossRef]
- Fletcher, G.F.; Ades, P.A.; Kligfield, P.; Arena, R.; Balady, G.J.; Bittner, V.A.; Coke, L.A.; Fleg, J.L.; Forman, D.E.; Gerber, T.C. Exercise standards for testing and training: A scientific statement from the American Heart Association. Circulation 2013, 128, 873–934. [Google Scholar] [CrossRef]
- Imai, K.; Sato, H.; Hori, M.; Kusuoka, H.; Ozaki, H.; Yokoyama, H.; Takeda, H.; Inoue, M.; Kamada, T. Vagally mediated heart rate recovery after exercise is accelerated in athletes but blunted in patients with chronic heart failure. J. Am. Coll. Cardiol. 1994, 24, 1529–1535. [Google Scholar] [CrossRef]
- Cole, C.R.; Blackstone, E.H.; Pashkow, F.J.; Snader, C.E.; Lauer, M.S. Heart-rate recovery immediately after exercise as a predictor of mortality. N. Engl. J. Med. 1999, 341, 1351–1357. [Google Scholar] [CrossRef]
- Gospodinov, M.; Gospodinova, E.; Georgieva-Tsaneva, G. Mathematical methods of ECG data analysis. In Healthcare Data Analytics and Management; Elsevier: Amsterdam, The Netherlands, 2019; pp. 177–209. [Google Scholar]
- Rodriguez, E.; Echeverria, J.C.; Alvarez-Ramirez, J. Detrended fluctuation analysis of heart intrabeat dynamics. Phys. A Stat. Mech. Its Appl. 2007, 384, 429–438. [Google Scholar] [CrossRef]
- Jafari, A. Sleep apnoea detection from ECG using features extracted from reconstructed phase space and frequency domain. Biomed. Signal Process. Control 2013, 8, 551–558. [Google Scholar] [CrossRef]
- Casaleggio, A.; Braiotta, S.; Corana, A. Study of the Lyapunov exponents of ECG signals from MIT-BIH database. In Proceedings of the Computers in Cardiology, Vienna, Austria, 10–13 September 1995; IEEE: Piscataway, NJ, USA, 1995; pp. 697–700. [Google Scholar]
- Übeyli, E.D. Detecting variabilities of ECG signals by Lyapunov exponents. Neural Comput. Appl. 2009, 18, 653–662. [Google Scholar] [CrossRef]
- Casaleggio, A.; Corana, A.; Ridella, S. Correlation dimension estimation from electrocardiograms. Chaos Solitons Fractals 1995, 5, 713–726. [Google Scholar] [CrossRef]
- Acharya, R.; Lim, C.; Joseph, P. Heart rate variability analysis using correlation dimension and detrended fluctuation analysis. ITBM-RBM 2002, 23, 333–339. [Google Scholar] [CrossRef]
- Fojt, O.; Holcik, J. Applying nonlinear dynamics to ECG signal processing. IEEE Eng. Med. Biol. Mag. 1998, 17, 96–101. [Google Scholar] [CrossRef]
- Houshyarifar, V.; Amirani, M.C. Early detection of sudden cardiac death using Poincaré plots and recurrence plot-based features from HRV signals. Turk. J. Electr. Eng. Comput. Sci. 2017, 25, 1541–1553. [Google Scholar] [CrossRef]
- Smidtaite, R.; Saunoriene, L.; Ragulskis, M. Detection of lag synchronization based on matrices of delayed differences. Commun. Nonlinear Sci. Numer. Simul. 2023, 116, 106864. [Google Scholar] [CrossRef]
- Gu, D.; Mi, Y.; Lin, A. Application of time-delay multiscale symbolic phase compensated transfer entropy in analyzing cyclic alternating pattern (CAP) in sleep-related pathological data. Commun. Nonlinear Sci. Numer. Simul. 2021, 99, 105835. [Google Scholar] [CrossRef]
- Olanrewaju, R.F.; Ibrahim, S.N.; Asnawi, A.L.; Altaf, H. Classification of ECG signals for detection of arrhythmia and congestive heart failure based on continuous wavelet transform and deep neural networks. Indones. J. Electr. Eng. Comput. Sci. 2021, 22, 1520–1528. [Google Scholar] [CrossRef]
- Ahmed, N.; Zhu, Y. Early detection of atrial fibrillation based on ECG signals. Bioengineering 2020, 7, 16. [Google Scholar] [CrossRef] [PubMed]

| Candidate | Day/Month/Year | Local Time (Eastern European Time) | |
|---|---|---|---|
| Start of Experiment | End of Experiment | ||
| H1 | 04/06/2022 | 09:00 | 10:00 |
| H2 | 04/06/2022 | 10:05 | 11:05 |
| H3 | 04/06/2022 | 11:05 | 12:05 |
| Break hour | |||
| H4 | 04/06/2022 | 13:05 | 14:05 |
| U1 | 04/06/2022 | 14:05 | 15:05 |
| U2 | 04/06/2022 | 15:05 | 16:05 |
| U3 | 04/06/2022 | 16:05 | 17:05 |
| U4 | 04/06/2022 | 17:05 | 18:05 |
| Persons from Cohort | Velocity of Adaptation Index, | Modified Velocity of Adaptation Index, | Formulization, | Parameter, |
|---|---|---|---|---|
| 14.34 | 12.81 | 10.66 | 56.17 | |
| 7.74 | 6.73 | 13.04 | 63.18 | |
| 9.71 | 7.23 | 25.54 * | 100 | |
| 15.83 | 17.14 | −8.27 | 0.41 | |
| 4.72 | 4.38 | 7.20 | 45.97 | |
| 9.56 | 9.75 | −1.98 | 18.93 | |
| 9.9 | 8.38 | 15.35 | 69.98 | |
| 7.72 | 8.37 | −8.41 ** | 0 |
Disclaimer/Publisher’s Note: The statements, opinions and data contained in all publications are solely those of the individual author(s) and contributor(s) and not of MDPI and/or the editor(s). MDPI and/or the editor(s) disclaim responsibility for any injury to people or property resulting from any ideas, methods, instructions or products referred to in the content. |
© 2024 by the authors. Licensee MDPI, Basel, Switzerland. This article is an open access article distributed under the terms and conditions of the Creative Commons Attribution (CC BY) license (https://creativecommons.org/licenses/by/4.0/).
Share and Cite
Qammar, N.W.; Ragulskis, M.; Saunoriene, L.; Smidtaite, R.; Vainoras, A.; Jaruševičius, G. Early Diagnosis of Problems Related to the Self-Organization of the Cardiovascular System Based on the Interplay between RR and JT Cardiac Intervals. Diagnostics 2024, 14, 1410. https://doi.org/10.3390/diagnostics14131410
Qammar NW, Ragulskis M, Saunoriene L, Smidtaite R, Vainoras A, Jaruševičius G. Early Diagnosis of Problems Related to the Self-Organization of the Cardiovascular System Based on the Interplay between RR and JT Cardiac Intervals. Diagnostics. 2024; 14(13):1410. https://doi.org/10.3390/diagnostics14131410
Chicago/Turabian StyleQammar, Naseha Wafa, Minvydas Ragulskis, Loreta Saunoriene, Rasa Smidtaite, Alfonsas Vainoras, and Gediminas Jaruševičius. 2024. "Early Diagnosis of Problems Related to the Self-Organization of the Cardiovascular System Based on the Interplay between RR and JT Cardiac Intervals" Diagnostics 14, no. 13: 1410. https://doi.org/10.3390/diagnostics14131410
APA StyleQammar, N. W., Ragulskis, M., Saunoriene, L., Smidtaite, R., Vainoras, A., & Jaruševičius, G. (2024). Early Diagnosis of Problems Related to the Self-Organization of the Cardiovascular System Based on the Interplay between RR and JT Cardiac Intervals. Diagnostics, 14(13), 1410. https://doi.org/10.3390/diagnostics14131410

