Cone-Beam Computed Tomography (CBCT)-Based Diagnosis of Dental Bone Defects
Abstract
1. Introduction
2. Role of CBCT in Bone Anomalies
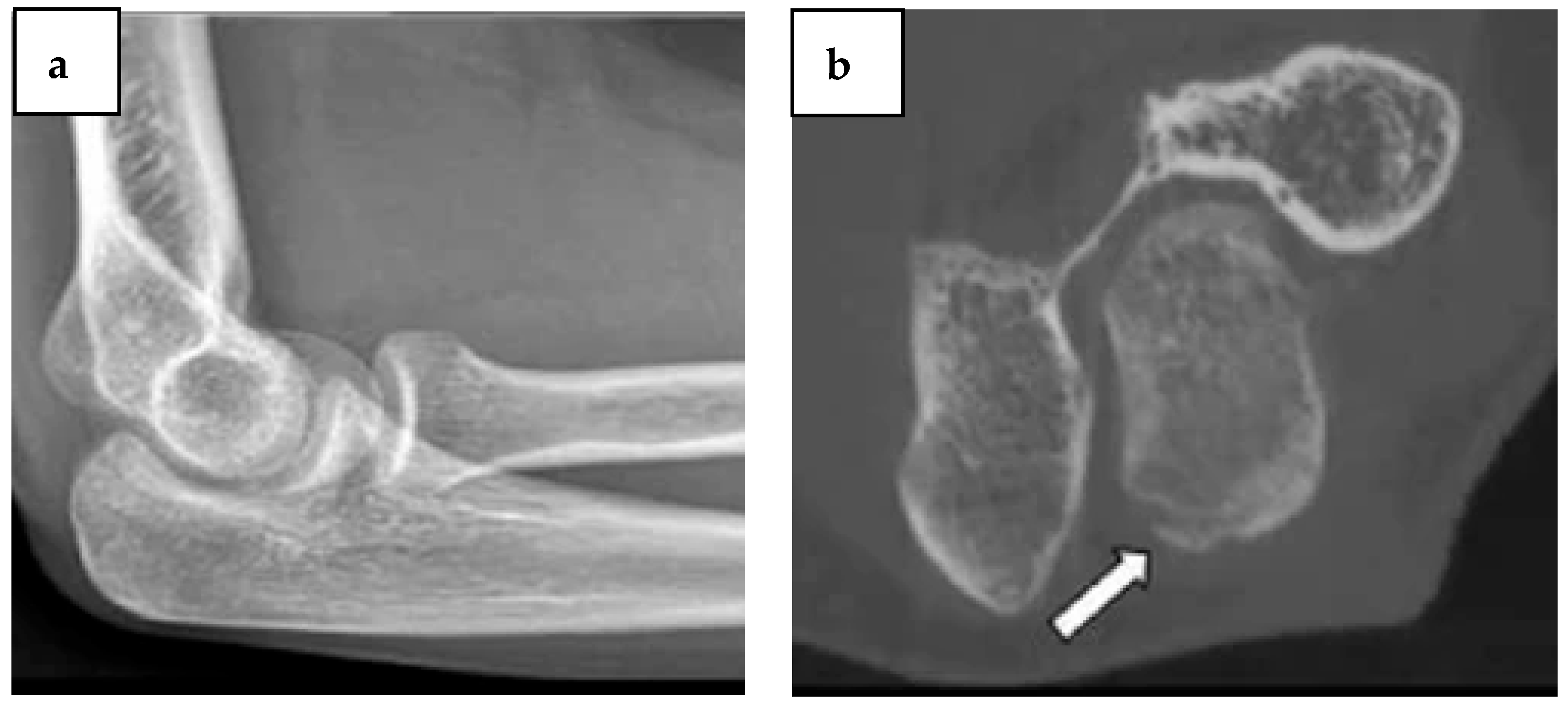
Bone Dislocations and Fractures
3. Role of CBCT in Facial Trauma
3.1. Mandibular Bone Fractures
3.2. Dentoalveolar Fractures
3.3. Facial Fractures
4. Role of CBCT in Dental Disorders
4.1. Endodontics
4.2. Orthodontics
4.3. Periodontics
4.4. Current Trend of CBCT in Periodontology Therapies
4.5. Dental Implant Placement
5. Comparison of CBCT with Conventional Technologies
6. Future Recommendations
7. Conclusions
Funding
Conflicts of Interest
List of Abbreviations
| CT | Computed Tomography |
| CBCT | Cone-Beam Computed Tomography |
| 3D | Three-Dimensional |
| 2D | Two-Dimensional |
| MDCT | Multidetector Computed Tomography |
| MRI | Magnetic Resonance Imaging |
| ALARA | As Low as Reasonably Achievable |
| MTF | Modulation-Transfer Function |
| CR | Computed Radiography |
| mm | Micrometer |
| ZMC | Zygomaticomaxillary Complex |
| IOR | Intraoral Radiography |
| CEJ | Cementoenamel Junction |
| AAP | American Academy of Periodontology |
| BEC | Best Evidence Consensus |
| ED | Effective Dose |
| CR | Conventional Radiography |
| FOV | Field of View |
References
- Nieminen, M.T.; Casula, V.; Nevalainen, M.T.; Saarakkala, S. Osteoarthritis year in review 2018: Imaging. Osteoarthr. Cartil. 2019, 27, 401–411. [Google Scholar] [CrossRef]
- Roemer, F.W.; Demehri, S.; Omoumi, P.; Link, T.M.; Kijowski, R.; Saarakkala, S.; Crema, M.D.; Guermazi, A. State of the Art: Imaging of Osteoarthritis—Revisited 2020. Radiology 2020, 296, 5–21. [Google Scholar] [CrossRef] [PubMed]
- Roemer, F.W.; Engelke, K.; Li, L.; Laredo, J.D.; Guermazi, A. MRI underestimates presence and size of knee osteophytes using CT as a reference standard. Osteoarthr. Cartil. 2023, 31, 656–668. [Google Scholar] [CrossRef] [PubMed]
- Baeza-Pagador, A.; Tejero-Martínez, A.; Salom-Alonso, L.; Camañes-Gonzalvo, S.; García-Sanz, V.; Paredes-Gallardo, V. Diagnostic Methods for the Prenatal Detection of Cleft Lip and Palate: A Systematic Review. J. Clin. Med. 2024, 13, 2090. [Google Scholar] [CrossRef]
- MacDonald-Jankowski, D.S.; Orpe, E.C. Computed tomography for oral and maxillofacial surgeons. Part 2: Cone-beam computed tomography. Asian J. Oral Maxillofac. Surg. 2006, 18, 85–92. [Google Scholar] [CrossRef]
- Segal, N.A.; Li, S. WBCT and its evolving role in OA research and clinical practice. Osteoarthr. Imaging 2022, 2, 100083. [Google Scholar] [CrossRef]
- Zachiu, C.; de Senneville, B.D.; Tijssen, R.H.N.; Kotte, A.N.T.J.; Houweling, A.C.; Kerkmeijer, L.G.W.; Lagendijk, J.J.W.; Moonen, C.T.W.; Ries, M. Non-rigid CT/CBCT to CBCT registration for online external beam radiotherapy guidance. Phys. Med. Biol. 2018, 63, 015027. [Google Scholar] [CrossRef]
- Vitéz, S.; Kovács, B.; Ederer, J.; Schulte, A.-C.; Partovi, S.; Bilecen, D.; Hügli, R. Cone beam CT for identifying fractures of the wrist and hand—An alternative to plain radiography? Trauma 2021, 24, 212–217. [Google Scholar] [CrossRef]
- Brüllmann, D.; Schulze, R.K.W. Spatial resolution in CBCT machines for dental/maxillofacial applications—What do we know today? Dentomaxillofacial Radiol. 2015, 44, 20140204. [Google Scholar] [CrossRef]
- Verdun, F.R.; Racine, D.; Ott, J.G.; Tapiovaara, M.J.; Toroi, P.; Bochud, F.O.; Veldkamp, W.J.H.; Schegerer, A.; Bouwman, R.W.; Giron, I.H.; et al. Image quality in CT: From physical measurements to model observers. Phys. Medica Eur. J. Med. Phys. 2015, 31, 823–843. [Google Scholar] [CrossRef]
- Huda, W.; Abrahams, R.B. X-Ray-Based Medical Imaging and Resolution. Am. J. Roentgenol. 2015, 204, W393–W397. [Google Scholar] [CrossRef] [PubMed]
- Anam, C.; Fujibuchi, T.; Budi, W.S.; Haryanto, F.; Dougherty, G. An algorithm for automated modulation transfer function measurement using an edge of a PMMA phantom: Impact of field of view on spatial resolution of CT images. J. Appl. Clin. Med. Phys. 2018, 19, 244–252. [Google Scholar] [CrossRef]
- Vanhoenacker, F.M.; Desimpel, J. Cone Beam CT of Trauma of Small Bones and Joints. Semin Musculoskelet Radiol 2017, 21, 290–302. [Google Scholar] [CrossRef] [PubMed]
- Czarnecki, P.; Siemionow, M.; Baek, G.H.; Górecki, M.; Romanowski, L. Hand and wrist–what the hand surgeon wants to know from the radiologist. Pol. J. Radiol. 2024, 89, e70. [Google Scholar] [CrossRef] [PubMed]
- Edlund, R.; Skorpil, M.; Lapidus, G.; Bäcklund, J. Cone-Beam CT in diagnosis of scaphoid fractures. Skelet. Radiol. 2016, 45, 197–204. [Google Scholar] [CrossRef] [PubMed]
- De Smet, E.; De Praeter, G.; Verstraete, K.L.A.; Wouters, K.; De Beuckeleer, L.; Vanhoenacker, F.M.H.M. Direct comparison of conventional radiography and cone-beam CT in small bone and joint trauma. Skelet. Radiol. 2015, 44, 1111–1117. [Google Scholar] [CrossRef] [PubMed]
- Carrino, J.A.; Al Muhit, A.; Zbijewski, W.; Thawait, G.K.; Stayman, J.W.; Packard, N.; Senn, R.; Yang, D.; Foos, D.H.; Yorkston, J.; et al. Dedicated Cone-Beam CT System for Extremity Imaging. Radiology 2013, 270, 816–824. [Google Scholar] [CrossRef] [PubMed]
- Posadzy, M.; Desimpel, J.; Vanhoenacker, F. Cone beam CT of the musculoskeletal system: Clinical applications. Insights Into Imaging 2018, 9, 35–45. [Google Scholar] [CrossRef] [PubMed]
- Huang, A.J.; Chang, C.Y.; Thomas, B.J.; MacMahon, P.J.; Palmer, W.E. Using cone-beam CT as a low-dose 3D imaging technique for the extremities: Initial experience in 50 subjects. Skelet. Radiol. 2015, 44, 797–809. [Google Scholar] [CrossRef]
- Sheng, K. Radiological investigation of acute mandibular injury. Natl. J. Maxillofac. Surg. 2022, 13, 165–171. [Google Scholar] [CrossRef]
- Mallya, S.; Lam, E. White and Pharoah’s Oral Radiology E-book: Principles and Interpretation: Second South Asia Edition E-Book; Elsevier India: New Delhi, India, 2019. [Google Scholar]
- Yilmaz, S.Y.; Misirlioglu, M.; Adisen, M.Z. A Diagnosis of Maxillary Sinus Fracture with Cone-Beam CT: Case Report and Literature Review. Craniomaxillofacial Trauma Reconstr. 2014, 7, 85–91. [Google Scholar] [CrossRef] [PubMed]
- Yousefi, F.; Shokri, A.; Farhadian, M.; Vafaei, F.; Forutan, F. Accuracy of maxillofacial prototypes fabricated by different 3-dimensional printing technologies using multi-slice and cone-beam computed tomography. Imaging Sci. Dent. 2021, 51, 41. [Google Scholar] [CrossRef] [PubMed]
- Alali, Y.; Mohammed, W.; Aldrees, A.; Alshamrani, A.; Alabdullatif, M.; Alhajri, S. Comparative efficacy of digital panoramic radiograph and cone beam computed tomography in locating mandibular foramen. Eur. Rev. Med. Pharmacol. Sci. 2024, 28, 2996–3005. [Google Scholar] [PubMed]
- Heller, Z.A.; Hogge, M.; Ragan, M.R.; Portnof, J.E. Applications of Cone Beam Computed Tomography Scans in Dental Medicine and Potential Medicolegal Issues. Dent. Clin. 2024, 68, 55–65. [Google Scholar] [CrossRef] [PubMed]
- Yari, A.; Fasih, P.; Hosseini Hooshiar, M.; Goodarzi, A.; Fattahi, S.F. Detection and classification of mandibular fractures in panoramic radiography using artificial intelligence. Dentomaxillofacial Radiol. 2024, twae018. [Google Scholar] [CrossRef]
- de Carvalho, M.; Vieira, J.N.M.; Figueiredo, R.; Reher, P.; Chrcanovic, B.R.; Chaves, M.d.G.A.M. Validity of computed tomography in diagnosing midfacial fractures. Int. J. Oral Maxillofac. Surg. 2021, 50, 471–476. [Google Scholar] [CrossRef]
- Kaeppler, G.; Cornelius, C.-P.; Ehrenfeld, M.; Mast, G. Diagnostic efficacy of cone-beam computed tomography for mandibular fractures. Oral Surg. Oral Med. Oral Pathol. Oral Radiol. 2013, 116, 98–104. [Google Scholar] [CrossRef]
- Bai, L.; Li, L.; Su, K.; Bleyer, A.; Zhang, Y.; Ji, P. 3D reconstruction images of cone beam computed tomography applied to maxillofacial fractures: A case study and mini review. J. X-ray Sci. Technol. 2018, 26, 115–123. [Google Scholar] [CrossRef]
- Rashid, A.; Feinberg, L.; Fan, K. The Application of Cone Beam Computed Tomography (CBCT) on the Diagnosis and Management of Maxillofacial Trauma. Diagnostics 2024, 14, 373. [Google Scholar] [CrossRef]
- Rozylo-Kalinowska, I.; Rozylo-Kalinowska, I. Dental Cone-Beam Computed Tomography (CBCT). In Imaging Techniques in Dental Radiology: Acquisition, Anatomic Analysis and Interpretation of Radiographic Images; Springer Nature: Berlin/Heidelberg, Germany, 2020; pp. 65–77. [Google Scholar]
- Tatli, U.; Evlice, B. Cone-beam computed tomography for oral and maxillofacial imaging. In Computed Tomography: Advanced Applications; IntechOpen: London, UK, 2017; Volume 139. [Google Scholar]
- Ma, R.H.; Ge, Z.P.; Li, G. Detection accuracy of root fractures in cone-beam computed tomography images: A systematic review and meta-analysis. Int. Endod. J. 2016, 49, 646–654. [Google Scholar] [CrossRef] [PubMed]
- PradeepKumar, A.R.; Shemesh, H.; Nivedhitha, M.S.; Hashir, M.M.J.; Arockiam, S.; Maheswari, T.N.U.; Natanasabapathy, V. Diagnosis of vertical root fractures by cone-beam computed tomography in root-filled teeth with confirmation by direct visualization: A systematic review and meta-analysis. J. Endod. 2021, 47, 1198–1214. [Google Scholar] [CrossRef]
- Long, H.; Zhou, Y.; Ye, N.; Liao, L.; Jian, F.; Wang, Y.; Lai, W. Diagnostic accuracy of CBCT for tooth fractures: A meta-analysis. J. Dent. 2014, 42, 240–248. [Google Scholar] [CrossRef] [PubMed]
- Yiğit Özer, S. Detection of Vertical Root Fractures by Using Cone Beam Computed Tomography with Variable Voxel Sizes in an In Vitro Model. J. Endod. 2011, 37, 75–79. [Google Scholar] [CrossRef] [PubMed]
- da Silveira, P.F.; Vizzotto, M.B.; Liedke, G.S.; da Silveira, H.L.D.; Montagner, F.; da Silveira, H.E.D. Detection of vertical root fractures by conventional radiographic examination and cone beam computed tomography—An in vitro analysis. Dent. Traumatol. 2013, 29, 41–46. [Google Scholar] [CrossRef] [PubMed]
- Bragatto, F.P.; Iwaki Filho, L.; Kasuya, A.V.; Chicarelli, M.; Queiroz, A.F.; Takeshita, W.M.; Iwaki, L.C. Accuracy in the diagnosis of vertical root fractures, external root resorptions, and root perforations using cone-beam computed tomography with different voxel sizes of acquisition. J. Conserv. Dent. 2016, 19, 573–577. [Google Scholar] [CrossRef] [PubMed]
- Parrone, M.T.; Bechara, B.; Deahl, S.T., II; Ruparel, N.B.; Katkar, R.; Noujeim, M. Cone beam computed tomography image optimization to detect root fractures in endodontically treated teeth: An in vitro (phantom) study. Oral Surg. Oral Med. Oral Pathol. Oral Radiol. 2017, 123, 613–620. [Google Scholar] [CrossRef] [PubMed]
- Habibzadeh, S.; Ghoncheh, Z.; Kabiri, P.; Mosaddad, S.A. Diagnostic efficacy of cone-beam computed tomography for detection of vertical root fractures in endodontically treated teeth: A systematic review. BMC Med. Imaging 2023, 23, 68. [Google Scholar] [CrossRef] [PubMed]
- Uysal, S.; Akcicek, G.; Yalcin, E.D.; Tuncel, B.; Dural, S. The influence of voxel size and artifact reduction on the detection of vertical root fracture in endodontically treated teeth. Acta Odontol. Scand. 2021, 79, 354–358. [Google Scholar] [CrossRef]
- Salineiro, F.C.S.; Kobayashi-Velasco, S.; Braga, M.M.; Cavalcanti, M.G.P. Radiographic diagnosis of root fractures: A systematic review, meta-analyses and sources of heterogeneity. Dentomaxillofacial Radiol. 2017, 46, 20170400. [Google Scholar] [CrossRef]
- Baageel, T.M.; Allah, E.H.; Bakalka, G.T.; Jadu, F.; Yamany, I.; Jan, A.M.; Bogari, D.F.; Alhazzazi, T.Y. Vertical root fracture: Biological effects and accuracy of diagnostic imaging methods. J. Int. Soc. Prev. Community Dent. 2016, 6, S93–S104. [Google Scholar] [PubMed]
- Dawood, E.S.; Ashmawy, M.S.; Ahmed, N.F. Impact of field of view on Cone Beam Computed Tomography voxel density value: A Systematic review. Egypt. Dent. J. 2024, 70, 209–219. [Google Scholar] [CrossRef]
- Dias, D.R.; Iwaki, L.C.; de Oliveira, A.C.; Martinhão, F.S.; Rossi, R.M.; Araújo, M.G.; Hayacibara, R.M. Accuracy of high-resolution small-volume cone-beam computed tomography in the diagnosis of vertical root fracture: An in vivo analysis. J. Endod. 2020, 46, 1059–1066. [Google Scholar] [CrossRef] [PubMed]
- Avsever, H.; Gunduz, K.; Orhan, K.; Uzun, İ.; Ozmen, B.; Egrioglu, E.; Midilli, M. Comparison of intraoral radiography and cone-beam computed tomography for the detection of horizontal root fractures: An in vitro study. Clin. Oral Investig. 2014, 18, 285–292. [Google Scholar] [CrossRef] [PubMed]
- Schnetzke, M.; Fuchs, J.; Vetter, S.Y.; Beisemann, N.; Keil, H.; Grützner, P.-A.; Franke, J. Intraoperative 3D imaging in the treatment of elbow fractures—A retrospective analysis of indications, intraoperative revision rates, and implications in 36 cases. BMC Med. Imaging 2016, 16, 24. [Google Scholar] [CrossRef] [PubMed]
- Manson, P.N. Computed Tomography Use and Repair of Orbitozygomatic Fractures. Arch. Facial Plast. Surg. 1999, 1, 25–26. [Google Scholar] [CrossRef] [PubMed]
- Pohlenz, P.; Blake, F.; Blessmann, M.; Smeets, R.; Habermann, C.; Begemann, P.; Schmelzle, R.; Heiland, M. Intraoperative Cone-Beam Computed Tomography in Oral and Maxillofacial Surgery Using a C-Arm Prototype: First Clinical Experiences After Treatment of Zygomaticomaxillary Complex Fractures. J. Oral Maxillofac. Surg. 2009, 67, 515–521. [Google Scholar] [CrossRef] [PubMed]
- Singh, M.; Ricci, J.A.; Caterson, E.J. Use of Intraoperative Computed Tomography for Revisional Procedures in Patients with Complex Maxillofacial Trauma. Plast. Reconstr. Surg. 2015, 3, e463. [Google Scholar] [CrossRef] [PubMed]
- Assouline, S.L.; Meyer, C.; Weber, E.; Chatelain, B.; Barrabe, A.; Sigaux, N.; Louvrier, A. How useful is intraoperative cone beam computed tomography in maxillofacial surgery? An overview of the current literature. Int. J. Oral Maxillofac. Surg. 2021, 50, 198–204. [Google Scholar] [CrossRef]
- Gander, T.; Blumer, M.; Rostetter, C.; Wagner, M.; Zweifel, D.; Schumann, P.; Wiedemeier, D.B.; Rücker, M.; Essig, H. Intraoperative 3-dimensional cone beam computed tomographic imaging during reconstruction of the zygoma and orbit. Oral Surg. Oral Med. Oral Pathol. Oral Radiol. 2018, 126, 192–197. [Google Scholar] [CrossRef]
- Cuddy, K.; Khatib, B.; Bell, R.B.; Cheng, A.; Patel, A.; Amundson, M.; Dierks, E.J. Use of Intraoperative Computed Tomography in Craniomaxillofacial Trauma Surgery. J. Oral Maxillofac. Surg. 2018, 76, 1016–1025. [Google Scholar] [CrossRef] [PubMed]
- Chugal, N.; Assad, H.; Markovic, D.; Mallya, S.M. Applying the American Association of Endodontists and American Academy of Oral and Maxillofacial Radiology guidelines for cone-beam computed tomography prescription: Impact on endodontic clinical decisions. J. Am. Dent. Assoc. 2024, 155, 48–58. [Google Scholar] [CrossRef] [PubMed]
- Mazzi-Chaves, J.F.; Camargo, R.V.; Borges, A.F.; Silva, R.G.; Pauwels, R.; Silva-Sousa, Y.T.C.; Sousa-Neto, M.D. Cone-beam computed tomography in endodontics—State of the art. Curr. Oral Health Rep. 2021, 8, 9–22. [Google Scholar] [CrossRef]
- Patil, S.; Prasad, B.K.; Shashikala, K. Cone beam computed tomography: Adding three dimensions to endodontics. Int. Dent. Med. J. Adv. Res. 2015, 1, 84–88. [Google Scholar] [CrossRef]
- Ihlis, R.L.; Giovanos, C.; Liao, H.; Ring, I.; Malmgren, O.; Tsilingaridis, G.; Benchimol, D.; Shi, X.Q. Cone beam computed tomography indications for interdisciplinary therapy planning of impacted canines. Oral Surg. Oral Med. Oral Pathol. Oral Radiol. 2023, 135, e1–e9. [Google Scholar] [CrossRef] [PubMed]
- Siiskonen, T.; Gallagher, A.; Bjelac, O.C.; Novak, L.; Merce, M.S.; Farah, J.; Dabin, J.; Malchair, F.; Knežević, Ž.; Kortesniemi, M. A European perspective on dental cone beam computed tomography systems with a focus on optimisation utilising diagnostic reference levels. J. Radiol. Prot. 2021, 41, 442. [Google Scholar] [CrossRef]
- Al Amri, M.S.; Sabban, H.M.; Alsaggaf, D.H.; Alsulaimani, F.F.; Al-Turki, G.A.; Al-Zahrani, M.S.; Zawawi, K.H. Anatomical consideration for optimal position of orthodontic miniscrews in the maxilla: A CBCT appraisal. Ann. Saudi Med. 2020, 40, 330–337. [Google Scholar] [CrossRef]
- Shukla, S.; Chug, A.; Afrashtehfar, K.I. Role of Cone Beam Computed Tomography in Diagnosis and Treatment Planning in Dentistry: An Update. J. Int. Soc. Prev. Community Dent. 2017, 7, S125–S136. [Google Scholar]
- Friedlander-Barenboim, S.; Hamed, W.; Zini, A.; Yarom, N.; Abramovitz, I.; Chweidan, H.; Finkelstein, T.; Almoznino, G. Patterns of cone-beam computed tomography (CBCT) utilization by various dental specialties: A 4-year retrospective analysis from a dental and maxillofacial specialty center. Healthcare 2021, 9, 1042. [Google Scholar] [CrossRef]
- Afrashtehfar, K.I.; Cárdenas-Bahena, J.T.; Afrashtehfar, C.D. Immediate Loading of Mandibular Implants. Tex. Dent. J. 2013, 130, 596–607. [Google Scholar]
- Ye, M.; Liu, W.; Cheng, S.; Yan, L. Immediate vs conventional loading of mandibular overdentures: A comprehensive systematic review and meta-analysis of randomized controlled trials. J. Oral Implantol. 2022, 48, 64–73. [Google Scholar] [CrossRef] [PubMed]
- Eshraghi, V.T.; Malloy, K.A.; Tahmasbi, M. Role of Cone-Beam Computed Tomography in the Management of Periodontal Disease. Dent. J. 2019, 7, 57. [Google Scholar] [CrossRef] [PubMed]
- Braun, X.; Ritter, L.; Jervøe-Storm, P.M.; Frentzen, M. Diagnostic accuracy of CBCT for periodontal lesions. Clin. Oral Investig. 2014, 18, 1229–1236. [Google Scholar] [CrossRef] [PubMed]
- Bagis, N.; Kolsuz, M.E.; Kursun, S.; Orhan, K. Comparison of intraoral radiography and cone-beam computed tomography for the detection of periodontal defects: An in vitro study. BMC Oral Health 2015, 15, 64. [Google Scholar] [CrossRef]
- Bayat, S.; Talaeipour, A.R.; Sarlati, F. Detection of simulated periodontal defects using cone-beam CT and digital intraoral radiography. Dentomaxillofacial Radiol. 2016, 45, 20160030. [Google Scholar] [CrossRef]
- Suphanantachat, S.; Tantikul, K.; Tamsailom, S.; Kosalagood, P.; Nisapakultorn, K.; Tavedhikul, K. Comparison of clinical values between cone beam computed tomography and conventional intraoral radiography in periodontal and infrabony defect assessment. Dentomaxillofacial Radiol. 2017, 46, 20160461. [Google Scholar] [CrossRef] [PubMed]
- Walter, C.; Kaner, D.; Berndt, D.C.; Weiger, R.; Zitzmann, N.U. Three-dimensional imaging as a pre-operative tool in decision making for furcation surgery. J. Clin. Periodontol. 2009, 36, 250–257. [Google Scholar] [CrossRef] [PubMed]
- Alotaibi, R.A., 3rd; Abdulaziz, R.; Bery, N.; Alotaibi, M.A.; Kolarkodi, S.H. Assessing the Accuracy and Reliability of Cone-Beam Computed Tomography (CBCT) in Diagnosing Grade II and III Furcation Involvement Compared to Traditional Clinical Examination Methods. Cureus 2024, 16, e55117. [Google Scholar] [CrossRef] [PubMed]
- Padmanabhan, S.; Dommy, A.; Guru, S.R.; Joseph, A. Comparative Evaluation of Cone-beam Computed Tomography versus Direct Surgical Measurements in the Diagnosis of Mandibular Molar Furcation Involvement. Contemp. Clin. Dent. 2017, 8, 439–445. [Google Scholar] [CrossRef]
- Banodkar, A.B.; Gaikwad, R.P.; Gunjikar, T.U.; Lobo, T.A. Evaluation of accuracy of cone beam computed tomography for measurement of periodontal defects: A clinical study. J. Indian Soc. Periodontol. 2015, 19, 285–289. [Google Scholar] [CrossRef]
- Zhao, H.; Wang, H.; Pan, Y.; Pan, C.; Jin, X. The relationship between root concavities in first premolars and chronic periodontitis. J. Periodontal Res. 2014, 49, 213–219. [Google Scholar] [CrossRef] [PubMed]
- Nikolic-Jakoba, N.; Spin-Neto, R.; Wenzel, A. Cone-Beam Computed Tomography for Detection of Intrabony and Furcation Defects: A Systematic Review Based on a Hierarchical Model for Diagnostic Efficacy. J. Periodontol. 2016, 87, 630–644. [Google Scholar] [CrossRef] [PubMed]
- Shahbazi, A.; Windisch, P.; Tubbs, R.S.; Decater, T.; Urbán, I.A.; Baksa, G.; Iwanaga, J. The Clinical Relevance of the Lingual Branch in Ridge Augmentation of the Posterior Mandible: A Pilot Cadaver Study. Int. J. Periodontics Restor. Dent. 2024, 44, 213–218. [Google Scholar] [CrossRef] [PubMed]
- Yilmaz, H.G.; Boke, F.; Ayali, A. Cone-beam computed tomography evaluation of the soft tissue thickness and greater palatine foramen location in the palate. J. Clin. Periodontol. 2015, 42, 458–461. [Google Scholar] [CrossRef] [PubMed]
- Amid, R.; Mirakhori, M.; Safi, Y.; Kadkhodazadeh, M.; Namdari, M. Assessment of gingival biotype and facial hard/soft tissue dimensions in the maxillary anterior teeth region using cone beam computed tomography. Arch. Oral Biol. 2017, 79, 1–6. [Google Scholar] [CrossRef] [PubMed]
- Su, S.; Jia, X.; Zhan, L.; Gao, S.; Zhang, Q.; Huang, X. Automatic tooth periodontal ligament segmentation of cone beam computed tomography based on instance segmentation network. Heliyon 2024, 10, e24097. [Google Scholar] [CrossRef] [PubMed]
- Guo, Y.-J.; Ge, Z.-p.; Ma, R.-h.; Hou, J.-x.; Li, G. A six-site method for the evaluation of periodontal bone loss in cone-beam CT images. Dentomaxillofacial Radiol. 2016, 45, 20150265. [Google Scholar] [CrossRef] [PubMed]
- Reddy, M.S.; Aichelmann-Reidy, M.E.; Avila-Ortiz, G.; Klokkevold, P.R.; Murphy, K.G.; Rosen, P.S.; Schallhorn, R.G.; Sculean, A.; Wang, H.-L. Periodontal Regeneration—Furcation Defects: A Consensus Report From the AAP Regeneration Workshop. J. Periodontol. 2015, 86, S131–S133. [Google Scholar] [CrossRef]
- Mandelaris, G.A.; Scheyer, E.T.; Evans, M.; Kim, D.; McAllister, B.; Nevins, M.L.; Rios, H.F.; Sarment, D. American Academy of Periodontology Best Evidence Consensus Statement on Selected Oral Applications for Cone-Beam Computed Tomography. J. Periodontol. 2017, 88, 939–945. [Google Scholar] [CrossRef]
- Ismail, A.; Al Yafi, F. The Role of Radiographic Imaging in the Diagnosis and Management of Periodontal and Peri-Implant Diseases. Dent. Clin. 2024, 68, 247–258. [Google Scholar] [CrossRef]
- Verma, N.; Kamboj, G.; Lata, J.; Singh, P.; Gowda, S. Cone Beam Computed Tomography-Based Evaluation of the Accuracy of Implant Surgery with Conventional (Free Hand) Implant Placement vs Computer Fabricated 3D Guide Implant Placement. J. Maxillofac. Oral Surg. 2023, 22, 1115–1122. [Google Scholar] [CrossRef] [PubMed]
- Jurić, B.; Matijaš, T. The role of CBCT in the field of dental implantology. Radiološki Vjesn. Radiol. Radioter. Nukl. Med. 2023, 47, 16–27. [Google Scholar] [CrossRef]
- Hartshorne, J. Essential guidelines for using cone beam computed tomography (CBCT) in implant dentistry. Part 2: Clinical considerations. Int. Dent. Afr. Ed. 2018, 8, 19. [Google Scholar]
- Demehri, S.; Muhit, A.; Zbijewski, W.; Stayman, J.W.; Yorkston, J.; Packard, N.; Senn, R.; Yang, D.; Foos, D.; Thawait, G.K.; et al. Assessment of image quality in soft tissue and bone visualization tasks for a dedicated extremity cone-beam CT system. Eur. Radiol. 2015, 25, 1742–1751. [Google Scholar] [CrossRef] [PubMed]
- Pugmire, B.S.; Shailam, R.; Sagar, P.; Liu, B.; Li, X.; Palmer, W.E.; Huang, A.J. Initial Clinical Experience With Extremity Cone-Beam CT of the Foot and Ankle in Pediatric Patients. Am. J. Roentgenol. 2016, 206, 431–435. [Google Scholar] [CrossRef]
- Al Abduwani, J.; ZilinSkiene, L.; Colley, S.; Ahmed, S. Cone beam CT paranasal sinuses versus standard multidetector and low dose multidetector CT studies. Am. J. Otolaryngol. 2016, 37, 59–64. [Google Scholar] [CrossRef]
- Koivisto, J.; Kiljunen, T.; Kadesjö, N.; Shi, X.-Q.; Wolff, J. Effective radiation dose of a MSCT, two CBCT and one conventional radiography device in the ankle region. J. Foot Ankle Res. 2015, 8, 8. [Google Scholar] [CrossRef]
- Chai, L.; Cheng, Z.; Duan, Y.; Xu, J.; Jing, Y.; Cui, X.; Li, H.; Li, K. Effective radiation dose reduction in total body PET/CT while improving diagnostic value. Res. Sq. 2024. preprint. [Google Scholar] [CrossRef]
- Siewerdsen, J.H. Cone-Beam CT Systems. In Computed Tomography; Springer: Cham, Switzerland, 2020; pp. 11–26. [Google Scholar] [CrossRef]
- Agrawal, H.; Hietanen, A.; Särkkä, S. Metal artifact correction in cone beam computed tomography using synthetic X-ray data. Arxiv Prepr. 2022, arXiv:2208.08288. [Google Scholar] [CrossRef]
- Richter, M.; Seidl, B.; Zech, S.; Hahn, S. PedCAT for 3D-imaging in standing position allows for more accurate bone position (angle) measurement than radiographs or CT. Foot Ankle Surg. 2014, 20, 201–207. [Google Scholar] [CrossRef]
- Rousseau, J.; Dreuil, S.; Bassinet, C.; Cao, S.; Elleaume, H. Surgivisio® and O-arm® O2 cone beam CT mobile systems for guidance of lumbar spine surgery: Comparison of patient radiation dose. Phys. Medica 2021, 85, 192–199. [Google Scholar] [CrossRef]
- Cazzato, R.L.; Garnon, J.; Tsoumakidou, G.; Koch, G.; Palussière, J.; Gangi, A.; Buy, X. Percutaneous image-guided screws meditated osteosynthesis of impeding and pathological/insufficiency fractures of the femoral neck in non-surgical cancer patients. Eur. J. Radiol. 2017, 90, 1–5. [Google Scholar] [CrossRef] [PubMed]
- Kroes, M.W.; Busser, W.M.H.; Hoogeveen, Y.L.; de Lange, F.; Schultze Kool, L.J. Laser Guidance in C-Arm Cone-Beam CT-Guided Radiofrequency Ablation of Osteoid Osteoma Reduces Fluoroscopy Time. CardioVascular Interv. Radiol. 2017, 40, 728–734. [Google Scholar] [CrossRef] [PubMed]
- Thakor, A.S.; Patel, P.A.; Gu, R.; Rea, V.; Amaral, J.; Connolly, B.L. MR cone-beam CT fusion image overlay for fluoroscopically guided percutaneous biopsies in pediatric patients. Pediatr. Radiol. 2016, 46, 407–412. [Google Scholar] [CrossRef] [PubMed]
- Fahrig, R.; Jaffray, D.A.; Sechopoulos, I.; Webster Stayman, J. Flat-panel conebeam CT in the clinic: History and current state. J. Med. Imaging 2021, 8, 052115. [Google Scholar] [CrossRef] [PubMed]





| Parameter | CBCT | MDCT |
|---|---|---|
| Initial Equipment Cost | Usually Lower | Generally higher because of complex technology |
| Maintenance Cost | Lower | Higher |
| Radiation Dose | Lower | Higher |
| Image Quality for Bone Structures | High (sufficient for dental/maxillofacial) | Very High (detailed cross-sectional images) |
| Image Quality for Soft Tissue | Limited | High (excellent soft tissue contrast) |
| Scan Time | Short (few seconds) | Variable, usually longer |
| Operational Training Requirement | Moderate | High due to complexity |
| Patient Throughput | High (quick scans, efficient workflow) | Moderate (longer scan and processing times) |
| Space Requirements | Smaller footprint (16.5 m2–33 m2) | Larger footprint (36 m2–52 m2) |
| Versatility | Limited (primarily dental/maxillofacial) | High (broad applications across body) |
| Reimbursement Rates | Generally lower | Higher due to broader applications |
| Overall Cost per Scan | Lower | Higher |
| Patient Comfort | Higher (shorter and quieter scans) | Moderate |
| Availability and Accessibility | High in dental practices | High in hospitals and imaging centres |
| Regulatory Requirements | Moderate | High due to radiation dose and application |
| Parameter | CT | CBCT | MDCT | CR | MRI |
|---|---|---|---|---|---|
| Primary Use | Broad diagnostic imaging | Detailed bone imaging, dental/maxillofacial | Comprehensive body imaging | Basic bone imaging | Soft tissue and bone imaging |
| Versatility | High (multiple applications) | Limited (primarily musculoskeletal, dental) | Very high (multiple applications) | Limited (primarily bone) | Very high (multiple applications) |
| Image Resolution (Bone) | High | High (excellent for bone structures) | Very high | Moderate | Moderate |
| Radiation Dose | Higher than CR, lower than MDCT | Lower than CT/MDCT | Higher than CR and CBCT | Very low | None |
| Space Requirements | High | Moderate | High | Very low | High |
| Artifacts | Moderate | Moderate (metallic artifacts common) | Moderate (metallic artifacts common) | Minimal | Susceptible to metal and motion artifacts |
| Operational Training | High | Moderate | High | Low | Very high |
| Patient Comfort | Moderate | High (quick and quiet scans) | Moderate | High | Low (longer, noisy scans) |
| Suitability for Implants | Good | High | High | Poor | Moderate (depending on the implant) |
| Scan Time | Moderate | Short (few seconds) | Moderate | Very short (seconds) | Long |
| Image Resolution (Soft Tissue) | Moderate | Limited | High | Poor | Excellent |
| Cost | High | Moderate | High | Low | Very high |
| Availability | High | Increasing in dental practices and clinics | High | Very high | High |
| Detailed Bone Structure | Excellent | Excellent (3D imaging) | Excellent | Limited (2D imaging) | Good |
| Soft Tissue Contrast | Moderate | Limited | High | Poor | Excellent |
| Patient Throughput | Moderate | High (quick scans, efficient workflow) | Moderate | Very high | Low (longer scan times) |
Disclaimer/Publisher’s Note: The statements, opinions and data contained in all publications are solely those of the individual author(s) and contributor(s) and not of MDPI and/or the editor(s). MDPI and/or the editor(s) disclaim responsibility for any injury to people or property resulting from any ideas, methods, instructions or products referred to in the content. |
© 2024 by the author. Licensee MDPI, Basel, Switzerland. This article is an open access article distributed under the terms and conditions of the Creative Commons Attribution (CC BY) license (https://creativecommons.org/licenses/by/4.0/).
Share and Cite
Alshomrani, F. Cone-Beam Computed Tomography (CBCT)-Based Diagnosis of Dental Bone Defects. Diagnostics 2024, 14, 1404. https://doi.org/10.3390/diagnostics14131404
Alshomrani F. Cone-Beam Computed Tomography (CBCT)-Based Diagnosis of Dental Bone Defects. Diagnostics. 2024; 14(13):1404. https://doi.org/10.3390/diagnostics14131404
Chicago/Turabian StyleAlshomrani, Faisal. 2024. "Cone-Beam Computed Tomography (CBCT)-Based Diagnosis of Dental Bone Defects" Diagnostics 14, no. 13: 1404. https://doi.org/10.3390/diagnostics14131404
APA StyleAlshomrani, F. (2024). Cone-Beam Computed Tomography (CBCT)-Based Diagnosis of Dental Bone Defects. Diagnostics, 14(13), 1404. https://doi.org/10.3390/diagnostics14131404
