Metastatic Nodular Melanoma with Angiosarcomatous Transdifferentiation—A Case Report and Review of the Literature
Abstract
1. Introduction
2. Materials and Methods
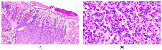
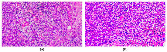
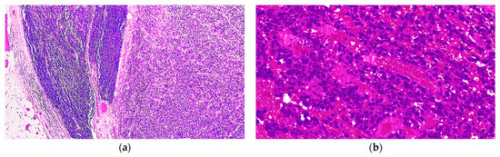
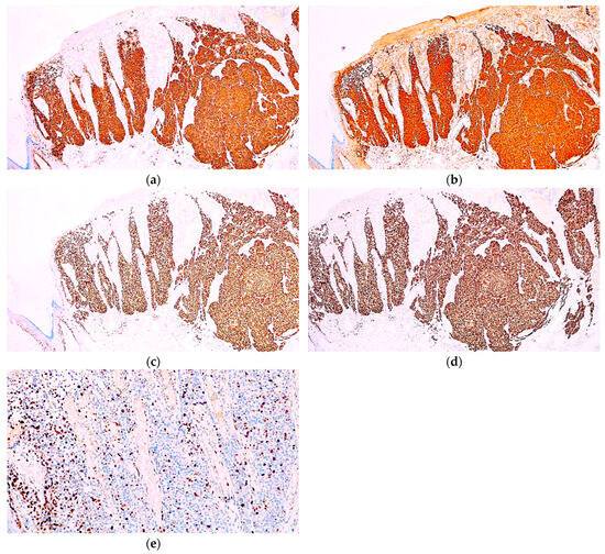
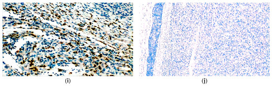
3. Case Presentation
4. Discussion
5. Conclusions
Author Contributions
Funding
Institutional Review Board Statement
Informed Consent Statement
Data Availability Statement
Acknowledgments
Conflicts of Interest
References
- Davis, L.E.; Shalin, S.C.; Tackett, A.J. Current state of melanoma diagnosis and treatment. Cancer Biol. Ther. 2019, 20, 1366–1379. [Google Scholar] [CrossRef] [PubMed]
- Țăpoi, D.A.; Gheorghișan-Gălățeanu, A.-A.; Dumitru, A.V.; Ciongariu, A.M.; Furtunescu, A.R.; Marin, A.; Costache, M. Primary Undifferentiated/Dedifferentiated Cutaneous Melanomas—A Review on Histological, Immunohistochemical, and Molecular Features with Emphasis on Prognosis and Treatment. Int. J. Mol. Sci. 2023, 24, 9985. [Google Scholar] [CrossRef] [PubMed]
- Sgouros, D.; Lallas, A.; Kittler, H.; Zarras, A.; Kyrgidis, A.; Papageorgiou, C.; Puig, S.; Scope, A.; Argenziano, G.; Zalaudek, I.; et al. Dermatoscopic features of thin (≤2 mm Breslow thickness) vs. thick (>2 mm Breslow thickness) nodular melanoma and predictors of nodular melanoma versus nodular non-melanoma tumours: A multicentric collaborative study by the International Dermoscopy Society. J. Eur. Acad. Dermatol. Venereol. 2020, 34, 2541–2547. [Google Scholar] [CrossRef]
- Kalkhoran, S.; Milne, O.; Zalaudek, I.; Puig, S.; Malvehy, J.; Kelly, J.W.; Marghoob, A.A. Historical, Clinical, and Dermoscopic Characteristics of Thin Nodular Melanoma. Arch. Dermatol. 2010, 146, 311–318. [Google Scholar] [CrossRef] [PubMed]
- Liu, W.; Dowling, J.P.; Murray, W.K.; McArthur, G.A.; Thompson, J.F.; Wolfe, R.; Kelly, J.W. Rate of growth in melanomas: Characteristics and associations of rapidly growing melanomas. Arch. Dermatol. 2006, 142, 1551–1558. [Google Scholar] [CrossRef]
- Corneli, P.; Zalaudek, I.; Rizzi, G.M.; di Meo, N. Improving the early diagnosis of early nodular melanoma: Can we do better? Expert Rev. Anticancer. Ther. 2018, 18, 1007–1012. [Google Scholar] [CrossRef] [PubMed]
- Mar, V.; Roberts, H.; Wolfe, R.; English, D.R.; Kelly, J.W. Nodular melanoma: A distinct clinical entity and the largest contributor to melanoma deaths in Victoria, Australia. J. Am. Acad. Dermatol. 2013, 68, 568–575. [Google Scholar] [CrossRef]
- Warycha, M.A.; Christos, P.J.; Mazumdar, M.; Darvishian, F.; Shapiro, R.L.; Berman, R.S.; Pavlick, A.C.; Kopf, A.W.; Polsky, D.; Osman, I. Changes in the presentation of nodular and superficial spreading melanomas over 35 years. Cancer 2008, 113, 3341–3348. [Google Scholar] [CrossRef]
- Țăpoi, D.A.; Derewicz, D.; Gheorghișan-Gălățeanu, A.-A.; Dumitru, A.V.; Ciongariu, A.M.; Costache, M. The Impact of Clinical and Histopathological Factors on Disease Progression and Survival in Thick Cutaneous Melanomas. Biomedicines 2023, 11, 2616. [Google Scholar] [CrossRef] [PubMed]
- Đorđević Brlek, Z.; Jurakić Tončić, R.; Radoš, J.; Marinović, B. Dermoscopy of Nodular Melanoma: Review of the Literature and Report of 3 Cases. Acta Dermatovenerol. Croat. 2016, 24, 203–208. [Google Scholar]
- Moynihan, G.D. The 3 Cs of melanoma: Time for a change? J. Am. Acad. Dermatol. 1994, 30, 510–511. [Google Scholar] [CrossRef] [PubMed]
- Argenziano, G.; Longo, C.; Cameron, A.; Cavicchini, S.; Gourhant, J.-Y.; Lallas, A.; McColl, I.; Rosendahl, C.; Thomas, L.; Tiodorovic-Zivkovic, D.; et al. Blue-black rule: A simple dermoscopic clue to recognize pigmented nodular melanoma. Br. J. Dermatol. 2011, 165, 1251–1255. [Google Scholar] [CrossRef] [PubMed]
- Moscarella, E.; Piana, S.; Specchio, F.; Kyrgidis, A.; Nazzaro, G.; Eliceche, M.L.; Savoia, F.; Bugatti, L.; Filosa, G.; Zalaudek, I.; et al. Dermoscopy features of atypical fibroxanthoma: A multicenter study of the International Dermoscopy Society. Australas. J. Dermatol. 2018, 59, 309–314. [Google Scholar] [CrossRef] [PubMed]
- Agaimy, A.; Specht, K.; Stoehr, R.; Lorey, T.; Märkl, B.; Niedobitek, G.; Straub, M.; Hager, T.; Reis, A.C.; Schilling, B.; et al. Metastatic Malignant Melanoma with Complete Loss of Differentiation Markers (Undifferentiated/Dedifferentiated Melanoma): Analysis of 14 Patients Emphasizing Phenotypic Plasticity and the Value of Molecular Testing as Surrogate Diagnostic Marker. Am. J. Surg. Pathol. 2016, 40, 181–191. [Google Scholar] [CrossRef] [PubMed]
- Campbell, K.; Kumarapeli, A.R.; Gokden, N.; Cox, R.M.; Hutchins, L.; Gardner, J.M. Metastatic melanoma with dedifferentiation and extensive rhabdomyosarcomatous heterologous component. J. Cutan. Pathol. 2018, 45, 360–364. [Google Scholar] [CrossRef] [PubMed]
- Kilsdonk, M.J.; Romeijn, T.R.; Kelder, W.; van Kempen, L.C.; Diercks, G.F. Angiosarcomatous transdifferentiation of metastatic melanoma. J. Cutan. Pathol. 2020, 47, 1211–1214. [Google Scholar] [CrossRef] [PubMed]
- Berro, J.; Abdul Halim, N.; Khaled, C.; Assi, H.I. Malignant melanoma with metaplastic cartilaginous transdifferentiation: A case report. J. Cutan. Pathol. 2019, 46, 935–941. [Google Scholar] [CrossRef] [PubMed]
- Yousef, S.; Joy, C.; Velaiutham, S.; Maclean, F.M.; Harraway, J.; Gill, A.J.; Vargas, A.C. Dedifferentiated melanoma with MDM2 gene amplification mimicking dedifferentiated liposarcoma. Pathology 2022, 54, 371–374. [Google Scholar] [CrossRef]
- Agaimy, A.; Stoehr, R.; Hornung, A.; Popp, J.; Erdmann, M.; Heinzerling, L.; Hartmann, A. Dedifferentiated and Undifferentiated Melanomas: Report of 35 New Cases with Literature Review and Proposal of Diagnostic Criteria. Am. J. Surg. Pathol. 2021, 45, 240–254. [Google Scholar] [CrossRef]
- Arozarena, I.; Wellbrock, C. Phenotype plasticity as enabler of melanoma progression and therapy resistance. Nat. Rev. Cancer 2019, 19, 377–391. [Google Scholar] [CrossRef]
- Diazzi, S.; Tartare-Deckert, S.; Deckert, M. The mechanical phenotypic plasticity of melanoma cell: An emerging driver of therapy cross-resistance. Oncogenesis 2023, 12, 7. [Google Scholar] [CrossRef] [PubMed]
- Massi, D.; Mihic-Probst, D.; Schadendorf, D.; Dummer, R.; Mandalà, M. Dedifferentiated melanomas: Morpho-phenotypic profile, genetic reprogramming and clinical implications. Cancer Treat. Rev. 2020, 88, 102060. [Google Scholar] [CrossRef] [PubMed]
- Ramos-Rodríguez, G.; Ortiz-Hidalgo, C. Primary angiomatoid melanoma as an exceptional morphologic pattern in cutaneous melanoma. A case report and review of the literature. Actas Dermo-Sifiliograficas 2015, 106, e13–e17. [Google Scholar] [CrossRef] [PubMed]
- Ambrogio, F.; Colagrande, A.; Cascardi, E.; Grandolfo, M.; Filotico, R.; Foti, C.; Lupo, C.; Casatta, N.; Ingravallo, G.; Cazzato, G. Partially Dedifferentiated Primitive Malignant Melanoma with Pseudo-Angiomatous Features: A Case Report with Review of the Literature. Diagnostics 2023, 13, 495. [Google Scholar] [CrossRef] [PubMed]
- Fonda-Pascual, P.; Moreno-Arrones, O.M.; Alegre-Sanchez, A.; Garcia-Del Real, C.M.; Miguel-Gomez, L.; Martin-Gonzalez, M. Primary cutaneous angiomatoid melanoma. J. Dtsch. Dermatol. Ges. 2018, 16, 345–347. [Google Scholar] [CrossRef] [PubMed]
- Baron, J.A.; Monzon, F.; Galaria, N.; Murphy, G.F. Angiomatoid melanoma: A novel pattern of differentiation in invasive periocular desmoplastic malignant melanoma. Hum. Pathol. 2000, 31, 1520–1522. [Google Scholar] [CrossRef] [PubMed]
- Adler, M.J.; Beckstead, J.; White, C.R., Jr. Angiomatoid Melanoma: A Case of Metastatic Melanoma Mimicking a Vascular Malignancy. Am. J. Dermatopathol. 1997, 19, 606–609. [Google Scholar] [CrossRef] [PubMed]
- Zelger, B.G.; Zelger, B. Angiomatoid Metastatic Melanoma. Dermatol. Surg. 2004, 30, 336–340. [Google Scholar] [PubMed]
- Mehta, A.; Sharma, A.; Gupta, G. Rhabdoid melanoma: A diagnostic ordeal. Indian J. Cancer 2020, 57, 473–477. [Google Scholar] [CrossRef]
- Ferreira, I.; Arends, M.J.; van der Weyden, L.; Adams, D.J.; Brenn, T. Primary de-differentiated, trans-differentiated and undifferentiated melanomas: Overview of the clinicopathological, immunohistochemical and molecular spectrum. Histopathology 2022, 80, 135–149. [Google Scholar] [CrossRef]
- Lefferts, J.A.; Loehrer, A.P.; Yan, S.; Green, D.C.; Deharvengt, S.J.; LeBlanc, R.E. CD10 and p63 expression in a sarcomatoid undifferentiated melanoma: A cautionary (and molecularly annotated) tale. J. Cutan. Pathol. 2020, 47, 541–547. [Google Scholar] [CrossRef] [PubMed]
- Valiga, A.A.; Fuller, C.G.; Doyle, J.A.; Lee, J.B. Sarcomatoid Dedifferentiated Melanoma: The Diagnostic Role of Next-Generation Sequencing. Am. J. Dermatopathol. 2022, 44, 282–286. [Google Scholar] [CrossRef] [PubMed]
- Ferreira, I.; Droop, A.; Edwards, O.; Wong, K.; Harle, V.; Habeeb, O.; Gharpuray-Pandit, D.; Houghton, J.; Wiedemeyer, K.; Mentzel, T.; et al. The clinicopathologic spectrum and genomic landscape of de-/trans-differentiated melanoma. Mod. Pathol. 2021, 34, 2009–2019. [Google Scholar] [CrossRef] [PubMed]
- Oba, J.; Nakahara, T.; Hashimoto-Hachiya, A.; Liu, M.; Abe, T.; Hagihara, A.; Yokomizo, T.; Furue, M. CD10-Equipped Melanoma Cells Acquire Highly Potent Tumorigenic Activity: A Plausible Explanation of Their Significance for a Poor Prognosis. PLoS ONE 2016, 11, e0149285. [Google Scholar] [CrossRef] [PubMed]
- Ramos-Rodríguez, C.; García-Arpa, M.; Relea-Calatayud, M.F.; González-López, L.; Romero-Aguilera, G. Metastatic Melanoma Negative for 5 Melanocytic Markers, Complete Regressed Primary Cutaneous Melanoma, and Melanoma-Associated Leukoderma in the Same Patient. Am. J. Dermatopathol. 2020, 42, 956–960. [Google Scholar] [CrossRef] [PubMed]
- Tran, T.A.N.; Linos, K.; de Abreu, F.B.; Carlson, J.A. Undifferentiated Sarcoma as Intermediate Step in the Progression of Malignant Melanoma to Rhabdomyosarcoma: Histologic, Immunohistochemical, and Molecular Studies of a New Case of Malignant Melanoma with Rhabdomyosarcomatous Differentiation. Am. J. Dermatopathol. 2019, 41, 221–229. [Google Scholar] [CrossRef] [PubMed]
- Gosman, L.M.; Țăpoi, D.-A.; Costache, M. Cutaneous Melanoma: A Review of Multifactorial Pathogenesis, Immunohistochemistry, and Emerging Biomarkers for Early Detection and Management. Int. J. Mol. Sci. 2023, 24, 15881. [Google Scholar] [CrossRef] [PubMed]
- Hornick, J.L.; Plaza, J.A.; Mentzel, T.; Gru, A.A.; Brenn, T. PRAME Expression Is a Useful Tool in the Diagnosis of Primary and Metastatic Dedifferentiated and Undifferentiated Melanoma. Am. J. Surg. Pathol. 2023, 47, 1390–1397. [Google Scholar] [CrossRef]
- Wiedemeyer, K.; Brenn, T. Dedifferentiated and undifferentiated melanomas: A practical approach to a challenging diagnosis. Hum. Pathol. 2023, 140, 22–31. [Google Scholar] [CrossRef]
- Cilento, M.A.; Kim, C.; Chang, S.; Farshid, G.; Brown, M.P. Three cases of BRAF-mutant melanoma with divergent differentiation masquerading as sarcoma. Pathologica 2022, 114, 217–220. [Google Scholar] [CrossRef]
- Hench, J.; Mihic-Probst, D.; Agaimy, A.; Frank, S.; Meyer, P.; Hultschig, C.; Simi, S.; Alos, L.; Balamurugan, T.; Blokx, W.; et al. Clinical, histopathological and molecular features of dedifferentiated melanomas: An EORTC Melanoma Group Retrospective Analysis. Eur. J. Cancer 2023, 187, 7–14. [Google Scholar] [CrossRef] [PubMed]
- Rothrock, A.T.; Hameed, N.; Cho, W.C.; Nagarajan, P.; Ivan, D.; Torres-Cabala, C.A.; Prieto, V.G.; Curry, J.L.; Aung, P.P. BRAF V600E immunohistochemistry as a useful tool in the diagnosis of melanomas with ambiguous morphologies and immunophenotypes. J. Cutan. Pathol. 2023, 50, 223–229. [Google Scholar] [CrossRef] [PubMed]
- Meevassana, J.; Anothaisatapon, K.; Subbalekha, S.; Kamolratanakul, S.; Siritientong, T.; Ruangritchankul, K.; Pungrasami, P.; Hamill, K.J.; Angsapatt, A.; Kitkumthorn, N. BRAF V600E Immunohistochemistry Predicts Prognosis of Patients with Cutaneous Melanoma in Thai population. Plast. Reconstr. Surg. Glob. Open 2022, 10, 4605. [Google Scholar] [CrossRef] [PubMed]
- Long-Mira, E.; Picard-Gauci, A.; Lassalle, S.; Hofman, V.; Lalvée, S.; Tanga, V.; Zahaf, K.; Bonnetaud, C.; Lespinet, V.; Camuzard, O.; et al. Comparison of Two Rapid Assays for the Detection of BRAF V600 Mutations in Metastatic Melanoma including Positive Sentinel Lymph Nodes. Diagnostics 2022, 12, 751. [Google Scholar] [CrossRef] [PubMed]
- Vallée, A.; Denis-Musquer, M.; Herbreteau, G.; Théoleyre, S.; Bossard, C.; Denis, M.G. Prospective evaluation of two screening methods for molecular testing of metastatic melanoma: Diagnostic performance of BRAF V600E immunohistochemistry and of a NRAS-BRAF fully automated real-time PCR-based assay. PLoS ONE 2019, 14, 221123. [Google Scholar] [CrossRef]
- Uguen, A.; Talagas, M.; Costa, S.; Samaison, L.; Paule, L.; Alavi, Z.; De Braekeleer, M.; Le Marechal, C.; Marcorelles, P. NRAS (Q61R), BRAF (V600E) immunohistochemistry: A concomitant tool for mutation screening in melanomas. Diagn. Pathol. 2015, 10, 121. [Google Scholar] [CrossRef][Green Version]
- Ilie, M.; Long-Mira, E.; Funck-Brentano, E.; Lassalle, S.; Butori, C.; Lespinet-Fabre, V.; Bordone, O.; Gay, A.; Zahaf, K.; Poissonnet, G.; et al. Immunohistochemistry as a potential tool for routine detection of the NRAS Q61R mutation in patients with metastatic melanoma. J. Am. Acad. Dermatol. 2015, 72, 786–793. [Google Scholar] [CrossRef]
- Flaherty, K.T.; Infante, J.R.; Daud, A.; Gonzalez, R.; Kefford, R.F.; Sosman, J.; Hamid, O.; Schuchter, L.; Cebon, J.; Ibrahim, N.; et al. Combined BRAF and MEK inhibition in melanoma with BRAF V600 mutations. N. Engl. J. Med. 2012, 367, 1694–1703. [Google Scholar] [CrossRef] [PubMed]
- Garbe, C.; Amaral, T.; Peris, K.; Hauschild, A.; Arenberger, P.; Basset-Seguin, N.; Bastholt, L.; Bataille, V.; del Marmol, V.; Dréno, B.; et al. European Dermatology Forum (EDF), the European Association of Dermato-Oncology (EADO), and the European Organization for Research and Treatment of Cancer (EORTC). European consensus-based interdisciplinary guideline for melanoma. Part 1: Diagnostics: Update 2022. Eur. J. Cancer 2022, 170, 236–255. [Google Scholar] [CrossRef]
- Garbe, C.; Amaral, T.; Peris, K.; Hauschild, A.; Arenberger, P.; Basset-Seguin, N.; Bastholt, L.; Bataille, V.; del Marmol, V.; Dréno, B.; et al. European consensus-based interdisciplinary guideline for melanoma. Part 2: Treatment—Update 2022. Eur. J. Cancer 2022, 170, 256–284. [Google Scholar] [CrossRef]
- Lakshmi, A.; Shah, R.; Begaj, A.; Jayarajan, R.; Ramachandran, S.; Morgan, B.; Faust, G.; Patel, N. NICE 2022 guidelines on the management of melanoma: Update and implications. J. Plast. Reconstr. Aesthetic Surg. 2023, 85, 401–413. [Google Scholar] [CrossRef]
- Keilholz, U.; Ascierto, P.; Dummer, R.; Robert, C.; Lorigan, P.; van Akkooi, A.; Arance, A.; Blank, C.; Sileni, V.C.; Donia, M.; et al. ESMO consensus conference recommendations on the management of metastatic melanoma: Under the auspices of the ESMO Guidelines Committee. Ann. Oncol. 2020, 31, 1435–1448. [Google Scholar] [CrossRef]
- Seth, R.; Agarwala, S.S.; Messersmith, H.; Alluri, K.C.; Ascierto, P.A.; Atkins, M.B.; Bollin, K.; Chacon, M.; Davis, N.; Faries, M.B.; et al. Systemic Therapy for Melanoma: ASCO Guideline Update. J. Clin. Oncol. 2023, 41, 4794–4820. [Google Scholar] [CrossRef]
- Kato, R.; Haratani, K.; Hayashi, H.; Sakai, K.; Sakai, H.; Kawakami, H.; Tanaka, K.; Takeda, M.; Yonesaka, K.; Nishio, K.; et al. Nintedanib promotes antitumour immunity and shows antitumour activity in combination with PD-1 blockade in mice: Potential role of cancer-associated fibroblasts. Br. J. Cancer 2021, 124, 914–924. [Google Scholar] [CrossRef]
- Isaak, A.J.; Clements, G.R.; Buenaventura, R.G.M.; Merlino, G.; Yu, Y. Development of Personalized Strategies for Precisely Battling Malignant Melanoma. Int. J. Mol. Sci. 2024, 25, 5023. [Google Scholar] [CrossRef]
- Parums, D.V. Editorial: First Regulatory Approval for Adoptive Cell Therapy with Autologous Tumor-Infiltrating Lymphocytes (TILs)—Lifileucel (Amtagvi). Med. Sci. Monit. 2024, 30, e944927. [Google Scholar] [CrossRef]








| Author | Age | Gender | Tumour Location | Immunohistochemistry | Genetics |
|---|---|---|---|---|---|
| Ramos-Rodríguez G. et al. [22] | 59 | Male | Thigh | Positive: S100, HMB45, MiTF1, D2-40 Negative: CD31, p63, AE1/AE3 Ki-67: 5–10% | N/A |
| Ambrogio F. et al. [23] | 87 | Male | Cutaneous | Differentiated component:
| BRAF V600E mutation |
| Fonda-Pascual P. et al. [24] | 63 | Female | Scapular region | Positive: S100, SOX9, HMB45 Negative: AE1/AE3, D2-40, CD31 | BRAF V600E mutation |
| Baron J.A. et al. [25] | 84 | Male | Forehead | Positive: S100 Negative: HMB45 | N/A |
| Adler M.J. et al. [26] | 44 | Male | Forehead metastases | Positive: S100, HMB 45, and vimentin | N/A |
| Zelger B.G. et al. [27] | 56 | Female | Subcutaneous metastases | Positive: S100, HMB45, MelanA, CD56 | N/A |
| 61 | Male | Axillary lymph node metastases | Positive: S100, CD56 | N/A | |
| Kilsdonk M.J. et al. [15] | 69 | Male | Inguinal lymph node metastases | Differentiated component:
| NRAS c.181_182delinsAG p mutation |
Disclaimer/Publisher’s Note: The statements, opinions and data contained in all publications are solely those of the individual author(s) and contributor(s) and not of MDPI and/or the editor(s). MDPI and/or the editor(s) disclaim responsibility for any injury to people or property resulting from any ideas, methods, instructions or products referred to in the content. |
© 2024 by the authors. Licensee MDPI, Basel, Switzerland. This article is an open access article distributed under the terms and conditions of the Creative Commons Attribution (CC BY) license (https://creativecommons.org/licenses/by/4.0/).
Share and Cite
Dumitru, A.V.; Țăpoi, D.A.; Costache, M.; Ciongariu, A.M.; Ionescu, A.I.; Liscu, H.D.; Alius, C.; Tampa, M.; Marin, A.; Furtunescu, A.R. Metastatic Nodular Melanoma with Angiosarcomatous Transdifferentiation—A Case Report and Review of the Literature. Diagnostics 2024, 14, 1323. https://doi.org/10.3390/diagnostics14131323
Dumitru AV, Țăpoi DA, Costache M, Ciongariu AM, Ionescu AI, Liscu HD, Alius C, Tampa M, Marin A, Furtunescu AR. Metastatic Nodular Melanoma with Angiosarcomatous Transdifferentiation—A Case Report and Review of the Literature. Diagnostics. 2024; 14(13):1323. https://doi.org/10.3390/diagnostics14131323
Chicago/Turabian StyleDumitru, Adrian Vasile, Dana Antonia Țăpoi, Mariana Costache, Ana Maria Ciongariu, Andreea Iuliana Ionescu, Horia Dan Liscu, Catalin Alius, Mircea Tampa, Andrei Marin, and Andreea Roxana Furtunescu. 2024. "Metastatic Nodular Melanoma with Angiosarcomatous Transdifferentiation—A Case Report and Review of the Literature" Diagnostics 14, no. 13: 1323. https://doi.org/10.3390/diagnostics14131323
APA StyleDumitru, A. V., Țăpoi, D. A., Costache, M., Ciongariu, A. M., Ionescu, A. I., Liscu, H. D., Alius, C., Tampa, M., Marin, A., & Furtunescu, A. R. (2024). Metastatic Nodular Melanoma with Angiosarcomatous Transdifferentiation—A Case Report and Review of the Literature. Diagnostics, 14(13), 1323. https://doi.org/10.3390/diagnostics14131323

