Endovascular Stenting for Idiopathic Stenosis of the Superior Mesenteric Vein: A Case Report
Abstract
1. Introduction
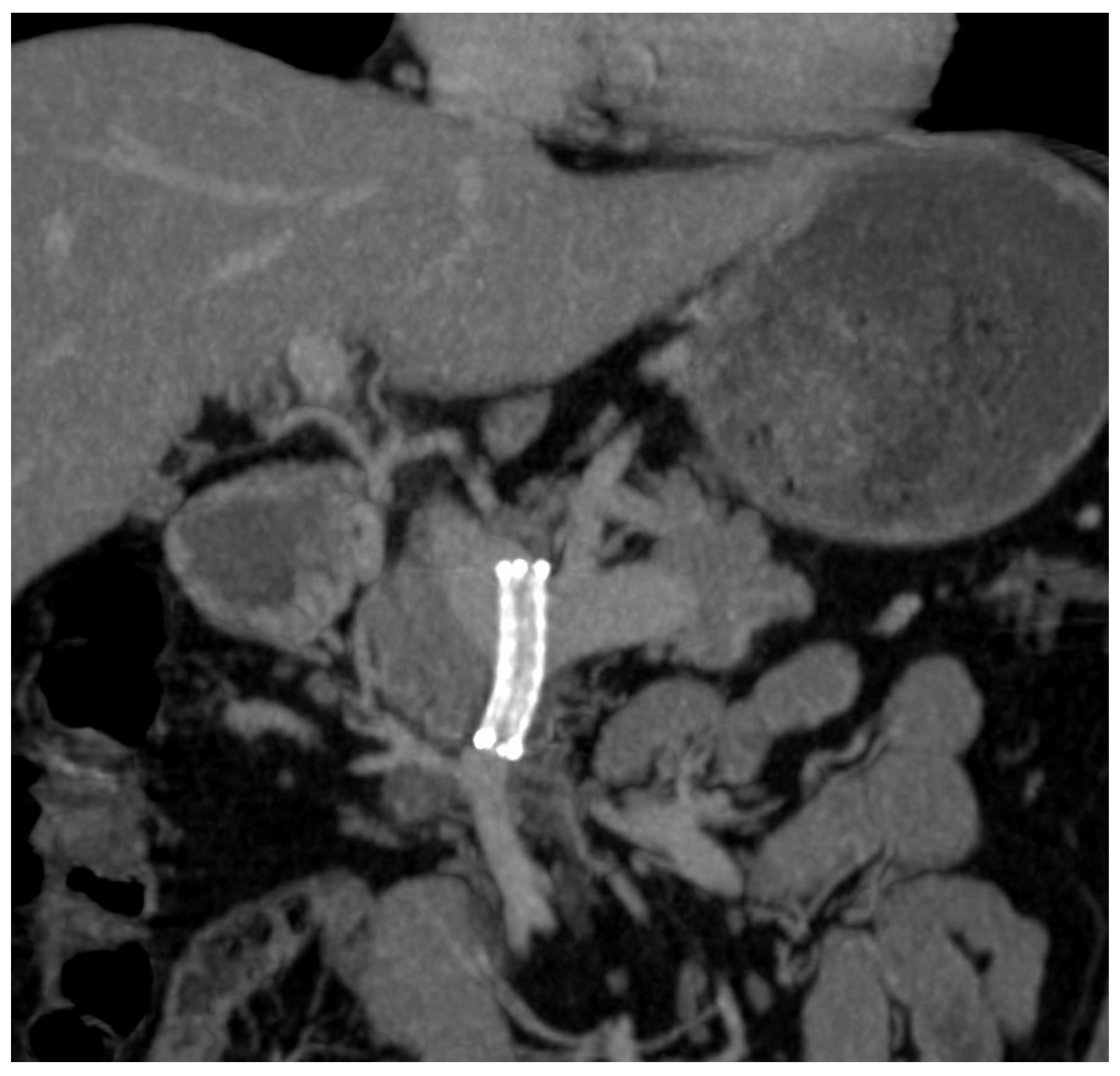
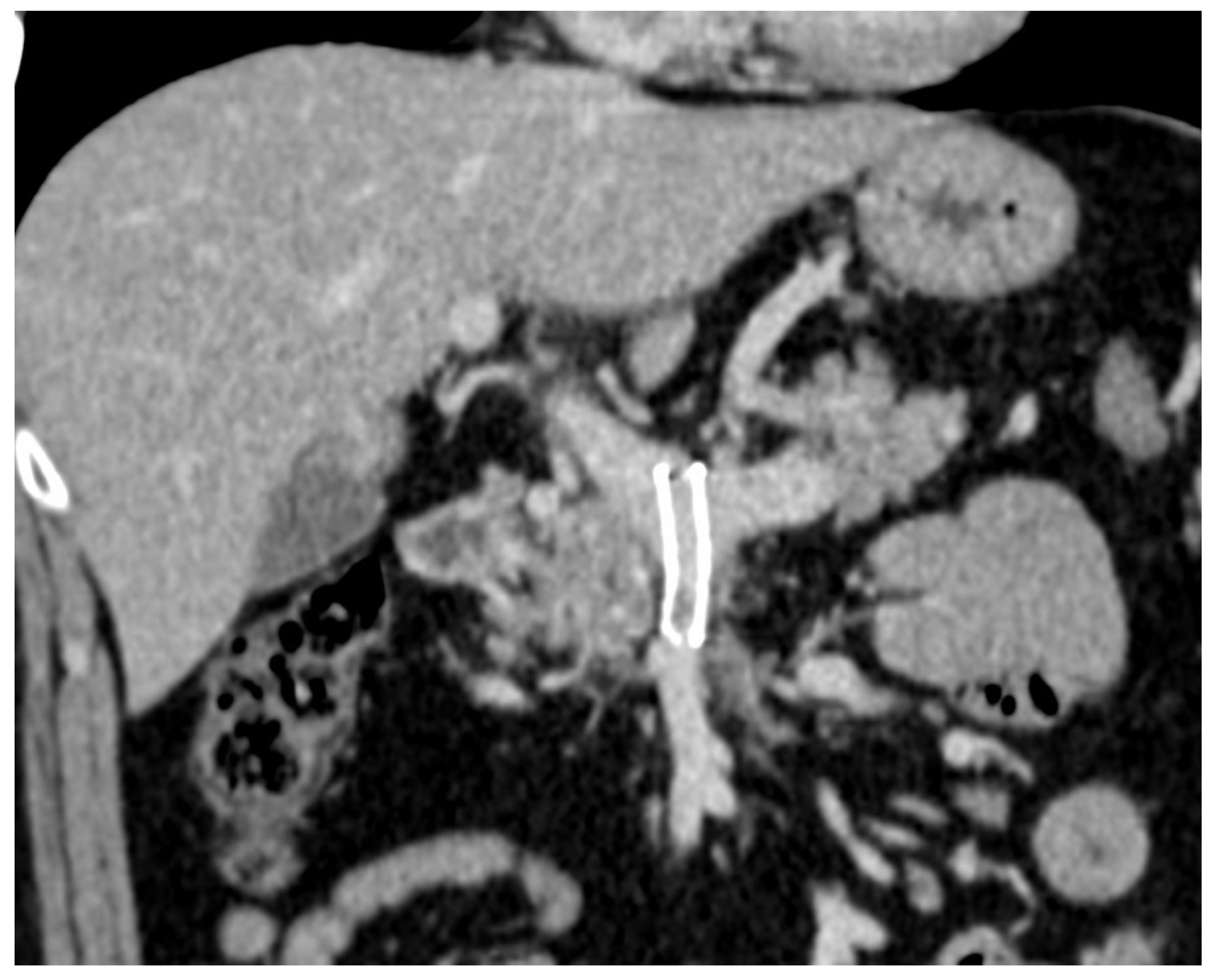
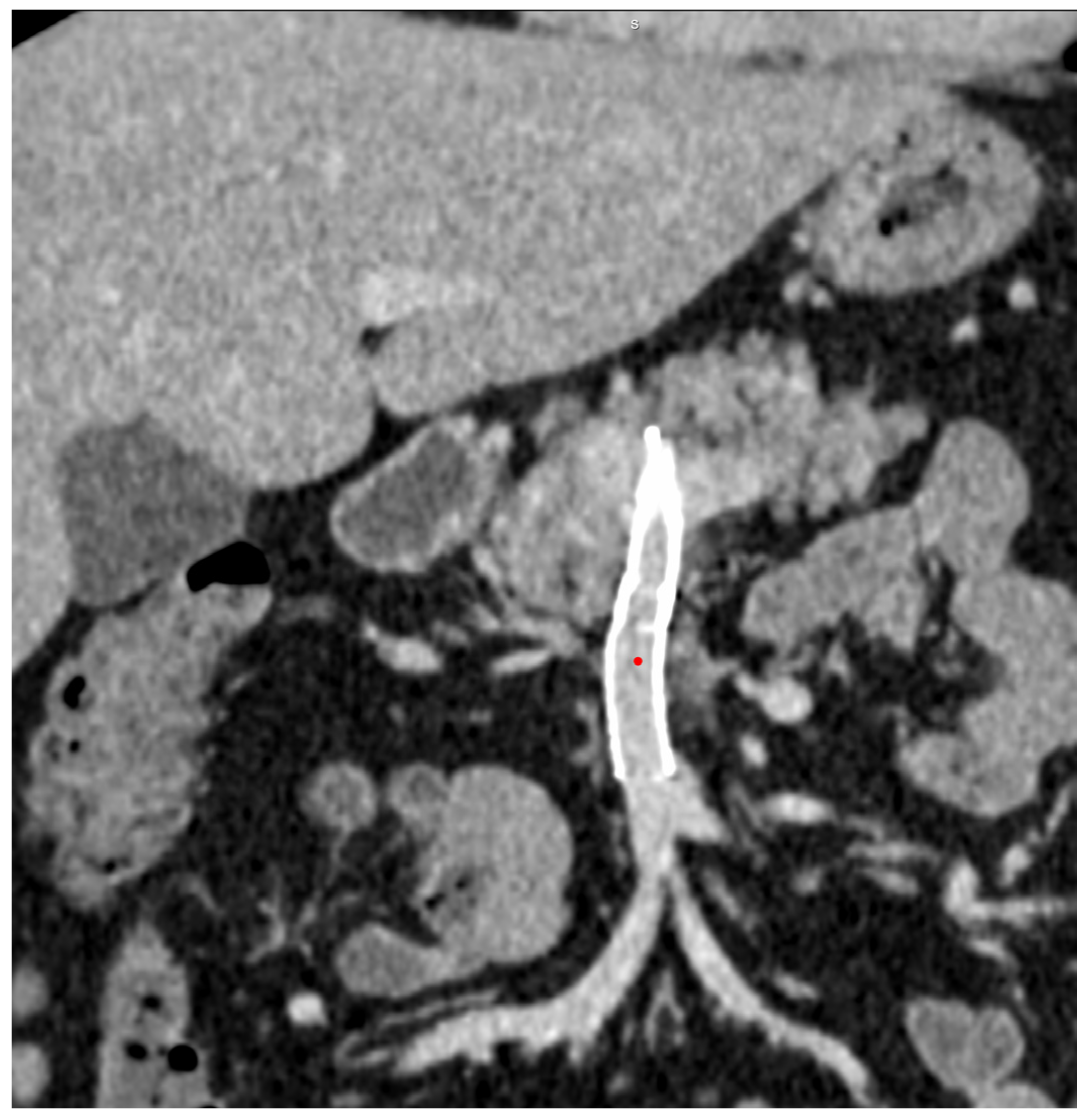
2. Case Report
3. Review of the Literature
4. Discussion
5. Conclusions
Author Contributions
Funding
Institutional Review Board Statement
Informed Consent Statement
Data Availability Statement
Conflicts of Interest
References
- Tilsed, J.V.T.; Casamassima, A.; Kurihara, H.; Mariani, D.; Martinez, I.; Pereira, J.; Ponchietti, L.; Shamiyeh, A.; al-Ayoubi, F.; Barco, L.A.B.; et al. ESTES Guidelines: Acute Mesenteric Ischaemia. Eur. J. Trauma. Emerg. Surg. 2016, 42, 253–270. [Google Scholar] [CrossRef]
- Beyer, L.P.; Wohlgemuth, W.A.; Uller, W.; Pregler, B.; Goessmann, H.; Niessen, C.; Haimerl, M.; Stroszczynski, C.; Müller-Wille, R. Percutaneous Treatment of Symptomatic Superior Mesenteric Vein Stenosis Using Self-Expanding Nitinol Stents. Eur. J. Radiol. 2015, 84, 1964–1969. [Google Scholar] [CrossRef]
- Hellman, P.; Hessman, O.; Åkerström, G.; Stålberg, P.; Hennings, J.; Björck, M.; Eriksson, L.G. Stenting of the Superior Mesenteric Vein in Midgut Carcinoid Disease with Large Mesenteric Masses. World J. Surg. 2010, 34, 1373–1379. [Google Scholar] [CrossRef]
- Chawla, Y.; Duseja, A.; Dhiman, R.K. Review Article: The Modern Management of Portal Vein Thrombosis. Aliment. Pharmacol. Ther. 2009, 30, 881–894. [Google Scholar] [CrossRef]
- Lin, W.C.; Chen, J.H.; Westphalen, A.C.; Liao, C.H.; Chen, C.H.; Chen, C.M.; Lin, C.H. The Role of CT in Predicting the Need for Surgery in Patients Diagnosed with Mesenteric Phlebosclerosis. Medicine 2016, 95, e5139. [Google Scholar] [CrossRef]
- Kim, H.J.; Ko, Y.T.; Lim, J.W.; Lee, D.H. Radiologic Anatomy of the Superior Mesenteric Vein and Branching Patterns of the First Jejunal Trunk: Evaluation Using Multi-Detector Row CT Venography. Surg. Radiol. Anat. 2007, 29, 67–75. [Google Scholar] [CrossRef]
- Kang, H.K.; Jeong, Y.Y.; Choi, J.H.; Choi, S.; Chung, T.W.; Seo, J.J.; Kim, J.K.; Yoon, W.; Park, J.G. Three-Dimensional Multi-Detector Row CT Portal Venography in the Evaluation of Portosystemic Collateral Vessels in Liver Cirrhosis. Radiographics 2002, 22, 1053–1061. [Google Scholar] [CrossRef]
- Nesgaard, J.M.; Stimec, B.V.; Bakka, A.O.; Edwin, B.; Ignjatovic, D.; Oresland, T.; Frden, A.E.; Thorsen, Y.; Andersen, S.; Negaard, A.; et al. Navigating the Mesentery: A Comparative Pre- and per-Operative Visualization of the Vascular Anatomy. Color. Dis. 2015, 17, 810–818. [Google Scholar] [CrossRef]
- Sakaguchi, T.; Suzuki, S.; Morita, Y.; Oishi, K.; Suzuki, A.; Fukumoto, K.; Inaba, K.; Kamiya, K.; Ota, M.; Setoguchi, T.; et al. Analysis of Anatomic Variants of Mesenteric Veins by 3-Dimensional Portography Using Multidetector-Row Computed Tomography. Am. J. Surg. 2010, 200, 15–22. [Google Scholar] [CrossRef]
- Maruyama, H.; Shiina, S. Collaterals in Portal Hypertension: Anatomy and Clinical Relevance. Quant. Imaging Med. Surg. 2021, 11, 3867–3881. [Google Scholar] [CrossRef]
- Argirò, R.; Vattermoli, L.; Di Pietro, F.; Crociati, S.; Funari, L.; Perlangeli, V.; Floris, R. Percutaneous Transhepatic Stent for Chronic Intestinal Bleeding from Jejunal Varices in Primary Idiophatic Superior Mesenteric Vein Stenosis: A Case Report. Radiol. Case Rep. 2022, 17, 1271–1275. [Google Scholar] [CrossRef]
- Garcia, M.C.; Ahlenstiel, G.; Mahajan, H.; Van Der Poorten, D. Small Bowel Varices Secondary to Chronic Superior Mesenteric Vein Thrombosis in a Patient with Heterozygous Factor V Leiden Mutation: A Case Report. J. Med. Case Rep. 2015, 9, 210. [Google Scholar] [CrossRef]
- Kujovich, J.L. Factor V Leiden Thrombophilia. Genet. Med. 2011, 13, 1–16. [Google Scholar] [CrossRef]
- Yadav, A.; Gangwani, G.; Mishra, N.; Gupta, A. Percutaneous Transhepatic Approach for Recanalization of Superior Mesenteric and Portal Vein in a Patient With Pancreatic Neuroendocrine Tumor Presenting With Bleeding Duodenal Varices: A Brief Case Report. J. Clin. Exp. Hepatol. 2018, 8, 318–320. [Google Scholar] [CrossRef]
- Cao, G.; Ko, G.Y.; Sung, K.B.; Yoon, H.K.; Gwon, D.I.; Kim, J.H. Treatment of Postoperative Main Portal Vein and Superior Mesenteric Vein Thrombosis with Balloon Angioplasty and/or Stent Placement. Acta Radiol. 2013, 54, 526–532. [Google Scholar] [CrossRef]
- Mugu, V.K.; Thompson, S.M.; Fleming, C.J.; Yohanathan, L.; Truty, M.J.; Kendrick, M.L.; Andrews, J.C. Evaluation of Technical Success, Efficacy, and Safety of Portomesenteric Venous Intervention Following Nontransplant Hepatobiliary or Pancreatic Surgery. J. Vasc. Interv. Radiol. 2020, 31, 416–424.e2. [Google Scholar] [CrossRef]
- Chua, T.C.; Wang, F.; Maher, R.; Gananadha, S.; Mittal, A.; Samra, J.S. Endovascular Stenting of Mesenterico-Portal Vein Stenosis to Reduce Blood Flow through Venous Collaterals Prior to Pancreatoduodenectomy. Langenbecks Arch. Surg. 2015, 400, 629–631. [Google Scholar] [CrossRef]
- Alden, D.; Dudiy, Y.; Nassiri, N.; Friedland, R.J.; Amatulle, P.; Rosen, R.J. Direct Percutaneous Transhepatic Portomesenteric Venous Stenting in Management of Locally Advanced Pancreatic Cancer. Am. J. Clin. Oncol. Cancer Clin. Trials 2015, 38, 127–129. [Google Scholar] [CrossRef]
- Hodgson, R.S.; Jackson, J.E.; Taylor-Robinson, S.D.; Walters, J.R.F. Superior Mesenteric Vein Stenosis Complicating Crohn’s Disease. Gut 1999, 45, 459–462. [Google Scholar] [CrossRef]
- Ito, S.; Higashiyama, M.; Horiuchi, K.; Mizoguchi, A.; Soga, S.; Tanemoto, R.; Nishii, S.; Terada, H.; Wada, A.; Sugihara, N.; et al. Atypical Clinical Presentation of Crohn’s Disease with Superior Mesenteric Vein Obstruction and Protein-Losing Enteropathy. Intern. Med. 2019, 58, 369–374. [Google Scholar] [CrossRef]
- Vietti Violi, N.; Schoepfer, A.M.; Fournier, N.; Guiu, B.; Bize, P.; Denys, A. Prevalence and Clinical Importance of Mesenteric Venous Thrombosis in the Swiss Inflammatory Bowel Disease Cohort. Am. J. Roentgenol. 2014, 203, 62–69. [Google Scholar] [CrossRef]
- Baerlocher, M.O.; Kennedy, S.A.; Ward, T.J.; Nikolic, B.; Bakal, C.W.; Lewis, C.A.; Winick, A.B.; Niedzwiecki, G.A.; Haskal, Z.J.; Matsumoto, A.H. Society of Interventional Radiology: Resource and Environment Recommended Standards for IR. J. Vasc. Interv. Radiol. 2017, 28, 513–516. [Google Scholar] [CrossRef]
- Wei, B.J.; Zhai, R.Y.; Wang, J.F.; Dai, D.K.; Yu, P. Percutaneous Portal Venoplasty and Stenting for Anastomotic Stenosis after Liver Transplantation. World J. Gastroenterol. 2009, 15, 1880. [Google Scholar] [CrossRef]
- Lin, C.; Wang, Z.-Y.; Dong, L.-B.; Wang, Z.-W.; Li, Z.-H.; Wang, W.-B. Percutaneous Transhepatic Stenting for Acute Superior Mesenteric Vein Stenosis after Pancreaticoduodenectomy with Portal Vein Reconstruction: A Case Report. World J. Gastrointest. Surg. 2024, 16, 1195. [Google Scholar] [CrossRef]
- Sacks, D.; McClenny, T.E.; Cardella, J.F.; Lewis, C.A. Society of Interventional Radiology Clinical Practice Guidelines. J. Vasc. Interv. Radiol. 2003, 14, S199–S202. [Google Scholar] [CrossRef]
- Mauri, G.; Monti, L.; Pedicini, V. Interventional Management of In-Stent Thrombosis after Superior Mesenteric Vein Stenting. Eur. J. Vasc. Endovasc. Surg. 2011, 42, 555. [Google Scholar] [CrossRef]
- Shiozaki, S.; Matsugu, Y.; Hamaoka, M.; Ishimoto, T. Superior Mesenteric Vein to the Right Testicular Vein Shunt Operation for Jejunal Varices Bleeding Associated with Extrahepatic Portal Vein Obstruction after Pancreaticoduodenectomy: A Case Report. Surg. Case Rep. 2022, 8, 1–6. [Google Scholar] [CrossRef]
- Saad, W.E.A. Portal Interventions in Liver Transplant Recipients. Semin. Interv. Radiol. 2012, 29, 99. [Google Scholar] [CrossRef]
- Funaki, B.; Rosenblum, J.D.; Leef, J.A.; Zaleski, G.X.; Farrell, T.; Lorenz, J.; Brady, L. Percutaneous Treatment of Portal Venous Stenosis in Children and Adolescents with Segmental Hepatic Transplants: Long-Term Results. Radiology 2000, 215, 147–151. [Google Scholar] [CrossRef]
- Uller, W.; Müller-Wille, R.; Grothues, D.; Schelling, J.; Zausig, N.; Loss, M.; Stroszczynski, C.; Wohlgemuth, W. Gelfoam for Closure of Large Percutaneous Transhepatic and Transsplenic Puncture Tracts in Pediatric Patients. RöFo -Fortschritte Auf Dem Geb. Der Röntgenstrahlen Und Der Bildgeb. Verfahr. 2014, 186, 693–697. [Google Scholar] [CrossRef]
- Dollinger, M.; Goessmann, H.; Mueller-Wille, R.; Wohlgemuth, W.A.; Stroszczynski, C.; Heiss, P. Percutaneous Transhepatic and Transsplenic Portal Vein Access: Embolization of the Puncture Tract Using Amplatzer Vascular Plugs Perkutaner Transhepatischer Und Transsplenischer Pfortaderzugang: Embolisation Des Punktionskanales Mittels Amplatzer Vascular Plugs. Rofo 2014, 186, 142–150. [Google Scholar] [CrossRef]
- Agarwal, H.; Kumar, V.; Kumar, A.; Priyadarshini, P.; Gamanagatti, S.; Kumar, S. Control of Traumatic Superior Mesenteric Vein Pseudoaneurysm With a Covered Endovascular Stent Using Transhepatic Approach. Am. Surg. 2023, 89, 1156–1159. [Google Scholar] [CrossRef]
- Jeon, U.B.; Kim, C.W.; Kim, T.U.; Choo, K.S.; Jang, J.Y.; Nam, K.J.; Chu, C.W.; Ryu, J.H. Therapeutic Efficacy and Stent Patency of Transhepatic Portal Vein Stenting after Surgery. World J. Gastroenterol. 2016, 22, 9822. [Google Scholar] [CrossRef]
- Li, H.; Shu, H.; Zhang, H.; Cui, M.; Gao, Y.; Tian, F. Idiopathic Myointimal Hyperplasia of the Mesenteric Veins: A Case Report and Scoping Review of Previously Reported Cases From Clinical Features to Treatment. Front. Med. 2022, 9, 855335. [Google Scholar] [CrossRef]
- Akpinar, E.; Turkbey, B.; Karcaaltincaba, M.; Karaosmanoglu, D.; Akata, D. MDCT of Inferior Mesenteric Vein: Normal Anatomy and Pathology. Clin. Radiol. 2008, 63, 819–823. [Google Scholar] [CrossRef]









Disclaimer/Publisher’s Note: The statements, opinions and data contained in all publications are solely those of the individual author(s) and contributor(s) and not of MDPI and/or the editor(s). MDPI and/or the editor(s) disclaim responsibility for any injury to people or property resulting from any ideas, methods, instructions or products referred to in the content. |
© 2024 by the authors. Licensee MDPI, Basel, Switzerland. This article is an open access article distributed under the terms and conditions of the Creative Commons Attribution (CC BY) license (https://creativecommons.org/licenses/by/4.0/).
Share and Cite
Grasu, M.C.; Dumitru, R.L.; Rusu-Munteanu, G.-I.; Mihaila, M.; Manuc, M.; Lupescu, I.G. Endovascular Stenting for Idiopathic Stenosis of the Superior Mesenteric Vein: A Case Report. Diagnostics 2024, 14, 1187. https://doi.org/10.3390/diagnostics14111187
Grasu MC, Dumitru RL, Rusu-Munteanu G-I, Mihaila M, Manuc M, Lupescu IG. Endovascular Stenting for Idiopathic Stenosis of the Superior Mesenteric Vein: A Case Report. Diagnostics. 2024; 14(11):1187. https://doi.org/10.3390/diagnostics14111187
Chicago/Turabian StyleGrasu, Mugur Cristian, Radu Lucian Dumitru, Gina-Ionela Rusu-Munteanu, Mariana Mihaila, Mircea Manuc, and Ioana Gabriela Lupescu. 2024. "Endovascular Stenting for Idiopathic Stenosis of the Superior Mesenteric Vein: A Case Report" Diagnostics 14, no. 11: 1187. https://doi.org/10.3390/diagnostics14111187
APA StyleGrasu, M. C., Dumitru, R. L., Rusu-Munteanu, G.-I., Mihaila, M., Manuc, M., & Lupescu, I. G. (2024). Endovascular Stenting for Idiopathic Stenosis of the Superior Mesenteric Vein: A Case Report. Diagnostics, 14(11), 1187. https://doi.org/10.3390/diagnostics14111187

