Choroidal and Retinal Thicknesses in Healthy Eyes Measured with Ultra-Wide-Field Optical Coherence Tomography
Abstract
1. Introduction
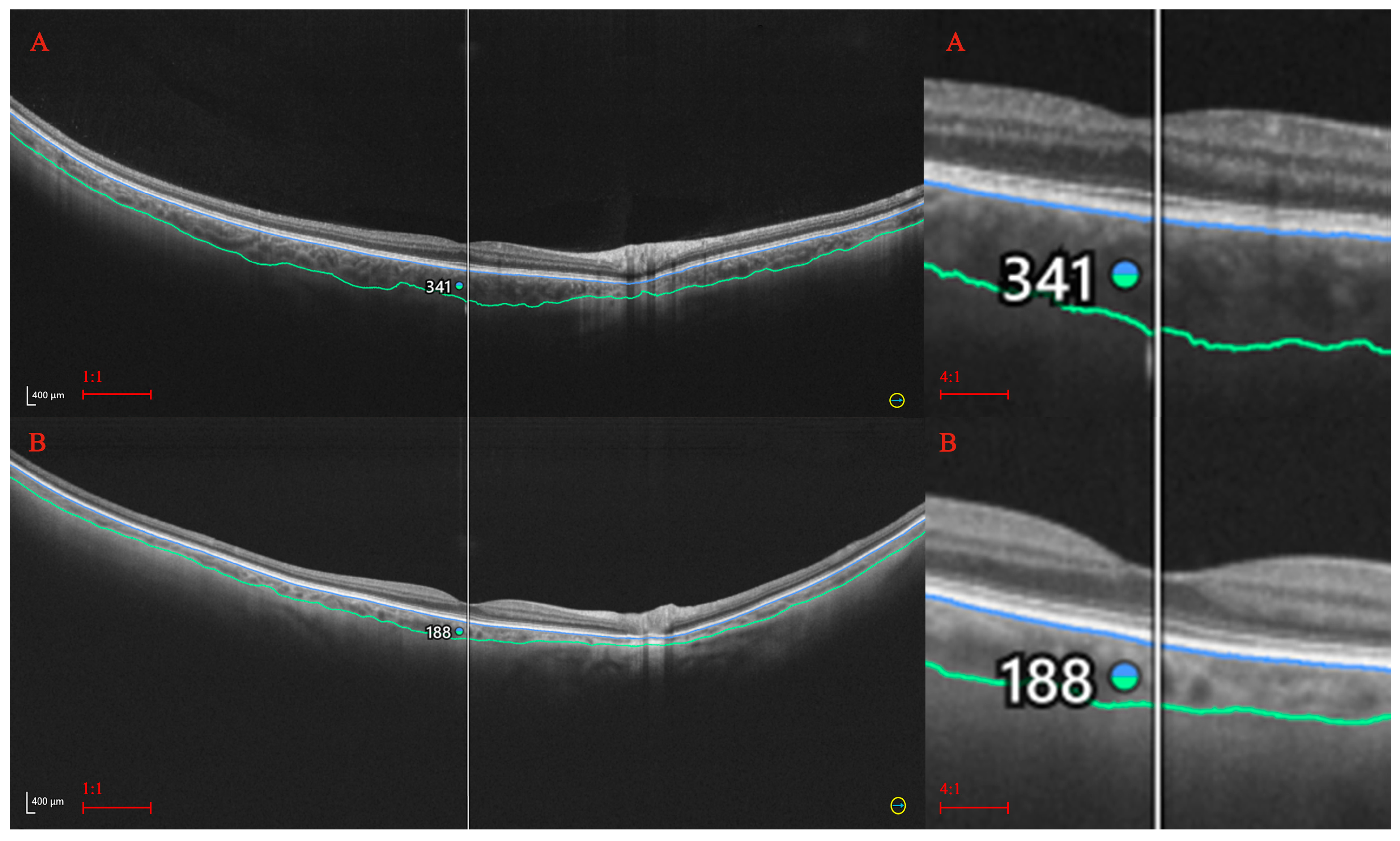
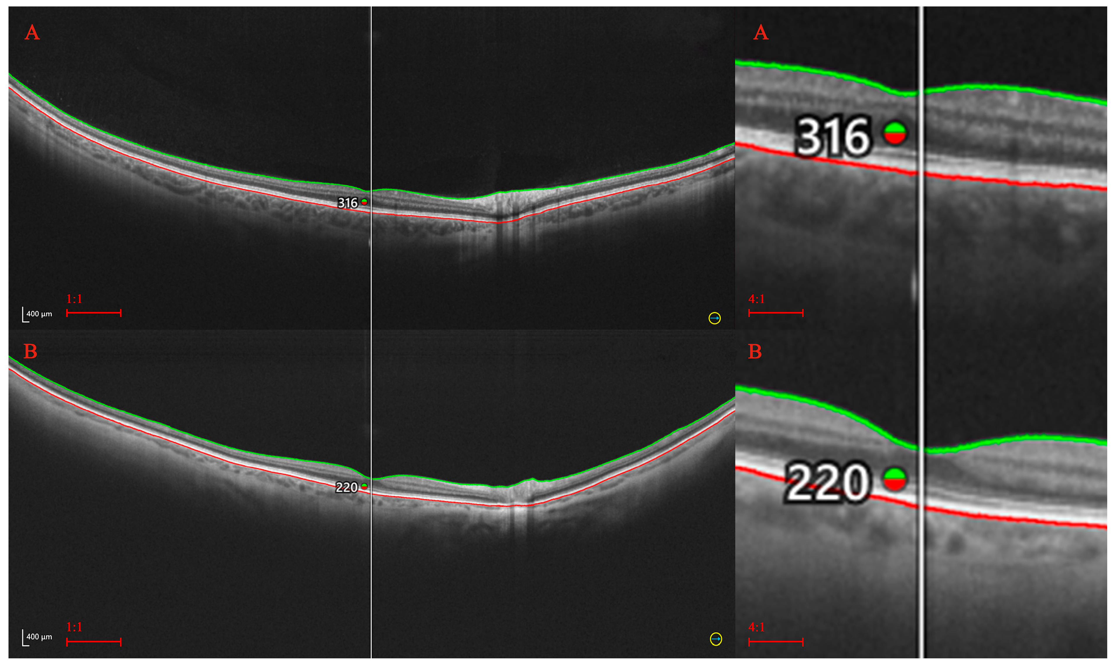
2. Materials and Methods
Statistical Procedures
3. Results
4. Discussion
4.1. Gender-Related Variations in RT and CT
4.2. Age-Related Variations in RT and CT
4.3. Axial Length and the RT and CT
4.4. CT and RT and Ocular Diseases
4.5. Limitations of the Study
5. Conclusions
Author Contributions
Funding
Institutional Review Board Statement
Informed Consent Statement
Data Availability Statement
Conflicts of Interest
References
- Realini, T.; Zangwill, L.M.; Flanagan, J.G.M.; Garway-Heath, D.F.; Patella, V.M.O.; Johnson, C.A.; Artes, P.H.M.; Gaddie, I.B.O.; Fingeret, M.O. Normative Databases for Imaging Instrumentation. J. Glaucoma 2015, 24, 480–483. [Google Scholar] [CrossRef] [PubMed]
- Nakayama, L.F.; Zago Ribeiro, L.; de Oliveira, J.A.E.; de Matos, J.C.R.G.; Mitchell, W.G.; Malerbi, F.K.; Celi, L.A.; Regatieri, C.V.S. Fairness and generalizability of OCT normative databases: A comparative analysis. Int. J. Retin. Vitr. 2023, 9, 48. [Google Scholar] [CrossRef] [PubMed]
- Palazon-Cabanes, A.; Palazon-Cabanes, B.; Rubio-Velazquez, E.; Lopez-Bernal, M.D.; Garcia-Medina, J.J.; Villegas-Perez, M.P. Normative Database for All Retinal Layer Thicknesses Using SD-OCT Posterior Pole Algorithm and the Effects of Age, Gender and Axial Lenght. J. Clin. Med. 2020, 9, 3317. [Google Scholar] [CrossRef]
- Invernizzi, A.; Pellegrini, M.; Acquistapace, A.; Benatti, E.; Erba, S.; Cozzi, M.; Cigada, M.; Viola, F.; Gillies, M.; Staurenghi, G. Normative Data for Retinal-Layer Thickness Maps Generated by Spectral-Domain OCT in a White Population. Ophthalmol. Retin. 2018, 2, 808–815.e1. [Google Scholar] [CrossRef] [PubMed]
- Cortes, D.A.; Roca, D.; Navarro, P.I.; Rodriguez, F.J. Macular and choroidal thicknesses in a healthy Hispanic population evaluated by high-definition spectral-domain optical coherence tomography (SD-OCT). Int. J. Retin. Vitr. 2020, 6, 66. [Google Scholar] [CrossRef] [PubMed]
- Karimi, S.; Entezari, M.; Ramezani, A.; Nikkhah, H.; Fekri, Y.; Kheiri, B. Choroidal Thickness in Healthy Subjects. J. Ophthalmic Vis. Res. 2018, 13, 39–43. [Google Scholar] [CrossRef] [PubMed]
- Silva, P.S.; Cavallerano, J.D.; Haddad, N.M.N.; Kwak, H.; Dyer, K.H.; Omar, A.F.; Shikari, H.; Sun, J.K.; Aiello, L.P. Peripheral Lesions Identified on Ultrawide Field Imaging Predict Increased Risk of Diabetic Retinopathy Progression over 4 Years. Ophthalmology 2015, 122, 949–956. [Google Scholar] [CrossRef] [PubMed]
- Ashraf, M.; Cavallerano, J.D.; Sun, J.K.; Silva, P.S.; Aiello, L.P. Ultrawide Field Imaging in Diabetic Retinopathy: Exploring the Role of Quantitative Metrics. J. Clin. Med. 2021, 10, 3300. [Google Scholar] [CrossRef] [PubMed]
- Orski, M.; Gawęcki, M. Current Management Options in Irvine-Gass Syndrome: A Systemized Review. J. Clin. Med. 2021, 10, 4375. [Google Scholar] [CrossRef]
- Pongsachareonnont, P.; Somkijrungroj, T.; Assavapongpaiboon, B.; Chitamara, T.; Chuntarapas, M.; Suwajanakorn, D. Foveal and parafoveal choroidal thickness pattern measuring by swept source optical coherence tomography. Eye 2019, 33, 1443–1451. [Google Scholar] [CrossRef]
- Hirano, M.; Muraoka, Y.; Kogo, T.; Ishikura, M.; Nishigori, N.; Ueda-Arakawa, N.; Miyata, M.; Hata, M.; Takahashi, A.; Miyake, M.; et al. Analysis of widefield choroidal thickness maps of healthy eyes using swept source optical coherence tomography. Sci. Rep. 2023, 13, 11904. [Google Scholar] [CrossRef] [PubMed]
- Kim, M.-S.; Lim, H.-B.; Lee, W.-H.; Kim, K.-M.; Nam, K.Y.; Kim, J.-Y. Wide-Field Swept-Source Optical Coherence Tomography Analysis of Interocular Symmetry of Choroidal Thickness in Healthy Young Individuals. Investig. Ophthalmol. Vis. Sci. 2021, 62, 5. [Google Scholar] [CrossRef]
- Wang, J.; Gao, X.; Huang, W.; Wang, W.; Chen, S.; Du, S.; Li, X.; Zhang, X. Swept-source optical coherence tomography imaging of macular retinal and choroidal structures in healthy eyes. BMC Ophthalmol. 2015, 15, 122. [Google Scholar] [CrossRef]
- Rasheed, M.A.; Singh, S.R.; Invernizzi, A.; Cagini, C.; Goud, A.; Sahoo, N.K.; Cozzi, M.; Lupidi, M.; Chhablani, J. Wide-field choroidal thickness profile in healthy eyes. Sci. Rep. 2018, 8, 17166. [Google Scholar] [CrossRef]
- Touhami, S.; Philippakis, E.; Mrejen, S.; Couturier, A.; Casteran, C.; Levent, P.; Tadayoni, R.; Gaudric, A. Topographic Variations of Choroidal Thickness in Healthy Eyes on Swept-Source Optical Coherence Tomography. Investig. Ophthalmol. Vis. Sci. 2020, 61, 38. [Google Scholar] [CrossRef] [PubMed]
- Xie, J.; Ye, L.; Chen, Q.; Shi, Y.; Hu, G.; Yin, Y.; Zou, H.; Zhu, J.; Fan, Y.; He, J.; et al. Choroidal Thickness and Its Association With Age, Axial Length, and Refractive Error in Chinese Adults. Investig. Ophthalmol. Vis. Sci. 2022, 63, 34. [Google Scholar] [CrossRef]
- Zhang, C.; Tatham, A.J.; Medeiros, F.A.; Zangwill, L.M.; Yang, Z.; Weinreb, R.N. Assessment of choroidal thickness in healthy and glaucomatous eyes using swept source optical coherence tomography. PLoS ONE 2014, 9, e109683. [Google Scholar] [CrossRef]
- Yang, H.; Luo, H.; Gardiner, S.K.; Hardin, C.; Sharpe, G.P.; Caprioli, J.; Demirel, S.; Girkin, C.A.; Liebmann, J.M.; Mardin, C.Y.; et al. Factors Influencing Optical Coherence Tomography Peripapillary Choroidal Thickness: A Multicenter Study. Investig. Ophthalmol. Vis. Sci. 2019, 60, 795–806. [Google Scholar] [CrossRef] [PubMed]
- Mansoori, T.; Charan, A.R.; Nagalla, B. Topography and Choroidal Thickness Measurement in Healthy Asian Indian Subjects using RTVue XR 100 Optical Coherence Tomography. Middle East Afr. J. Ophthalmol. 2024, 30, 19–23. [Google Scholar] [CrossRef]
- Yao, Y.; Fu, J.; Liu, J.; Li, L.; Chen, W.; Meng, Z. Assessment of macular choroidal and retinal thickness: A cohort study in Tibetan healthy children. Sci. Rep. 2024, 14, 1383. [Google Scholar] [CrossRef]
- Abbey, A.M.; Kuriyan, A.E.; Modi, Y.S.; Thorell, M.R.; Nunes, R.P.; Goldhardt, R.; Yehoshua, Z.; Gregori, G.; Feuer, W.; Rosenfeld, P.J. Optical coherence tomography measurements of choroidal thickness in healthy eyes: Correlation with age and axial length. Ophthalmic Surg. Lasers Imaging Retin. 2015, 46, 18–24. [Google Scholar] [CrossRef] [PubMed]
- Nadeem, S. Macular choroidal thickness and correlations in a healthy pediatric South Asian cohort: A spectral domain optical coherence tomography study. J. Biophotonics 2023, 16, e202300039. [Google Scholar] [CrossRef] [PubMed]
- Jiang, J.; Liu, Y.; Chen, Y.; Ma, B.; Qian, Y.; Zhang, Z.; Zhu, D.; Wang, Z.; Xu, X. Analysis of Changes in Retinal Thickness in Type 2 Diabetes without Diabetic Retinopathy. J. Diabetes Res. 2018, 2018, 3082893. [Google Scholar] [CrossRef] [PubMed]
- Boned-Murillo, A.; Fernández-Espinosa, G.; Orduna-Hospital, E.; Díaz-Barreda, M.D.; Sánchez-Cano, A.; Sopeña-Pinilla, M.; Bielsa-Alonso, S.; Pinilla, I. Changes in Inner Retina Thickness and Macular Sensitivity in Patients with Type 2 Diabetes with Moderate Diabetic Retinopathy. Biomedicines 2023, 11, 2972. [Google Scholar] [CrossRef] [PubMed]
- Yin, S.; Cui, Y.; Jiao, W.; Zhao, B. Potential Prognostic Indicators for Patients with Retinal Vein Occlusion. Front. Med. 2022, 9, 839082. [Google Scholar] [CrossRef] [PubMed]
- Hua, R.; Duan, J.; Zhang, M. Pachychoroid Spectrum Disease: Underlying Pathology, Classification, and Phenotypes. Curr. Eye Res. 2021, 46, 1437–1448. [Google Scholar] [CrossRef] [PubMed]
- Safi, H.; Ahmadieh, H.; Hassanpour, K.; Safi, S. Multimodal imaging in pachychoroid spectrum. Surv. Ophthalmol. 2022, 67, 579–590. [Google Scholar] [CrossRef] [PubMed]
- Baek, J.; Lee, J.H.; Jung, B.J.; Kook, L.; Lee, W.K. Morphologic features of large choroidal vessel layer: Age-related macular degeneration, polypoidal choroidal vasculopathy, and central serous chorioretinopathy. Graefe’s Arch. Clin. Exp. Ophthalmol. 2018, 256, 2309–2317. [Google Scholar] [CrossRef]
- Sabbaghi, H.; Ahmadieh, H.; Jalili, J.; Behnaz, N.; Fakhri, M.; Suri, F.; Rajabpour, M.; Entezari, M.; Daftarian, N. Choroidal Thickness in Different Types of Inherited Retinal Dystrophies. J. Ophthalmic Vis. Res. 2020, 15, 351–361. [Google Scholar] [CrossRef]
- Abdolrahimzadeh, S.; Di Pippo, M.; Ciancimino, C.; Di Staso, F.; Lotery, A.J. Choroidal vascularity index and choroidal thickness: Potential biomarkers in retinitis pigmentosa. Eye 2023, 37, 1766–1773. [Google Scholar] [CrossRef]
- Baltmr, A.; Lightman, S.; Tomkins-Netzer, O. Examining the choroid in ocular inflammation: A focus on enhanced depth imaging. J. Ophthalmol. 2014, 2014, 459136. [Google Scholar] [CrossRef] [PubMed]
- Dalvin, L.A.; Shields, C.L.; Ancona-Lezama, D.A.; Michael, D.Y.; Di Nicola, M.; Williams, B.K., Jr.; Lucio-Alvarez, J.A.; Ang, S.M.; Maloney, S.M.; Welch, R.J.; et al. Combination of multimodal imaging features predictive of choroidal nevus transformation into melanoma. Br. J. Ophthalmol. 2019, 103, 1441–1447. [Google Scholar] [CrossRef] [PubMed]
- Agarwal, A.; Aggarwal, K.; Pichi, F.; Meng, T.; Munk, M.R.; Bazgain, K.; Bansal, R.; Agrawal, R.; Gupta, V. Clinical and Multimodal Imaging Clues in Differentiating Between Tuberculomas and Sarcoid Choroidal Granulomas. Am. J. Ophthalmol. 2021, 226, 42–55. [Google Scholar] [CrossRef] [PubMed]
- Li, Y.; Shen, F.; Hu, L.; Lang, Z.; Liu, Q.; Cai, F.; Fu, L. A Stare-Down Video-Rate High-Throughput Hyperspectral Imaging System and Its Applications in Biological Sample Sensing. IEEE Sens. J. 2023, 23, 23629–23637. [Google Scholar] [CrossRef]
- Rhodes, L.A.; Huisingh, C.; Johnstone, J.; Fazio, M.A.; Smith, B.; Wang, L.; Clark, M.E.; Downs, J.C.; Owsley, C.; Girard, M.J.A.; et al. Peripapillary choroidal thickness variation with age and race in normal eyes. Investig. Ophthalmol. Vis. Sci. 2015, 56, 1872–1879. [Google Scholar] [CrossRef]



| Analyzed Trait | No. (Percentage in %) |
|---|---|
| No. of participants | 75 (50.68) |
| No. of eyes | 125 (43.60) |
| Gender: | |
| 48 (64.00) |
| 27 (36.00) |
| Age group (years): | |
| 24 (19.20) |
| 12 (9.60) |
| 33 (26.40) |
| 20 (16.00) |
| 36 (28.80) |
| Retinal Thickness (µm) | Statistical Parameter | p-Value * | |||
|---|---|---|---|---|---|
| M | SD | Me | Q1–Q3 | ||
| Central | 335.08 | 20.69 | 335.00 | 324.00–348.00 | <0.0001 |
| ST | 271.90 | 14.10 | 273.75 | 262.00–282.00 | |
| SN | 309.65 | 16.69 | 311.50 | 299.00–320.25 | |
| IN | 300.99 | 17.91 | 302.50 | 289.25–311.50 | |
| IT | 267.42 | 16.51 | 268.75 | 259.00–278.00 | |
| STp | 212.32 | 10.60 | 212.00 | 205.00–220.00 | |
| SNp | 242.94 | 16.29 | 243.50 | 232.00–254.50 | |
| INp | 220.38 | 15.42 | 219.50 | 210.00–230.00 | |
| ITp | 205.52 | 11.69 | 206.00 | 199.00–214.00 | |
| Choroidal Thickness (µm) | Statistical Parameter | p-Value * | |||
|---|---|---|---|---|---|
| M | SD | Me | Q1–Q3 | ||
| Central | 293.90 | 87.10 | 300.00 | 223.00–357.00 | <0.0001 |
| ST | 283.94 | 77.20 | 285.00 | 223.25–348.00 | |
| SN | 244.60 | 75.52 | 245.25 | 184.00–307.75 | |
| IN | 218.72 | 75.10 | 204.25 | 162.75–289.25 | |
| IT | 256.65 | 79.29 | 246.00 | 192.00–312.75 | |
| STp | 225.16 | 54.80 | 219.00 | 183.50–261.50 | |
| SNp | 192.38 | 57.77 | 189.00 | 151.50–237.50 | |
| INp | 139.98 | 39.78 | 129.50 | 107.50–163.00 | |
| ITp | 188.75 | 48.50 | 179.00 | 150.00–226.00 | |
| RT | Central | ST | SN | IN | IT | STp | SNp | INp |
|---|---|---|---|---|---|---|---|---|
| ST | <0.0001 | |||||||
| SN | <0.0001 | <0.0001 | ||||||
| IN | <0.0001 | <0.0001 | <0.0001 | |||||
| IT | <0.0001 | <0.0001 | <0.0001 | <0.0001 | ||||
| STp | <0.0001 | <0.0001 | <0.0001 | <0.0001 | <0.0001 | |||
| SNp | <0.0001 | <0.0001 | <0.0001 | <0.0001 | <0.0001 | <0.0001 | ||
| INp | <0.0001 | <0.0001 | <0.0001 | <0.0001 | <0.0001 | <0.0001 | <0.0001 | |
| ITp | <0.0001 | <0.0001 | <0.0001 | <0.0001 | <0.0001 | <0.0001 | <0.0001 | <0.0001 |
| CT | Central | ST | SN | IN | IT | STp | SNp | INp |
|---|---|---|---|---|---|---|---|---|
| ST | =0.0148 | |||||||
| SN | <0.0001 | <0.0001 | ||||||
| IN | <0.0001 | <0.0001 | <0.0001 | |||||
| IT | <0.0001 | <0.0001 | <0.0001 | <0.0001 | ||||
| STp | <0.0001 | <0.0001 | <0.0001 | =0.1744 | <0.0001 | |||
| SNp | <0.0001 | <0.0001 | <0.0001 | <0.0001 | <0.0001 | <0.0001 | ||
| INp | <0.0001 | <0.0001 | <0.0001 | <0.0001 | <0.0001 | <0.0001 | <0.0001 | |
| ITp | <0.0001 | <0.0001 | <0.0001 | <0.0001 | <0.0001 | <0.0001 | =0.2615 | <0.0001 |
| Analyzed Trait | Gender | Statistical Parameter * | p-Value ** | |||
|---|---|---|---|---|---|---|
| M | SD | Me | Q1–Q3 | |||
| Central RT (µm) | Male | 340.43 | 23.86 | 342.50 | 332.00–360.00 | =0.0191 |
| Female | 332.17 | 18.26 | 334.00 | 323.00–345.00 | ||
| ST | Male | 274.93 | 14.61 | 276.62 | 262.12–283.88 | =0.0007 |
| Female | 270.26 | 13.62 | 272.25 | 262.00–278.50 | ||
| SN | Male | 312.35 | 17.05 | 313.87 | 301.87–324.63 | =0.0013 |
| Female | 308.18 | 16.41 | 311.00 | 297.75–319.75 | ||
| IN | Male | 306.52 | 16.79 | 305.62 | 296.62–317.75 | =0.0148 |
| Female | 297.98 | 17.87 | 299.00 | 287.75–310.25 | ||
| IT | Male | 271.19 | 16.67 | 273.25 | 260.37–280.38 | =0.0145 |
| Female | 265.44 | 16.17 | 267.00 | 258.75–275.00 | ||
| STp | Male | 216.30 | 10.23 | 217.00 | 208.00–223.75 | =0.1218 |
| Female | 210.17 | 10.23 | 210.00 | 203.50–215.50 | ||
| SNp | Male | 249.59 | 15.53 | 250.25 | 238.00–259.75 | =0.0241 |
| Female | 239.32 | 15.63 | 238.50 | 228.00–247.50 | ||
| INp | Male | 227.05 | 12.61 | 227.25 | 217.75–232.25 | =0.5537 |
| Female | 216.75 | 15.66 | 216.00 | 205.50–227.50 | ||
| ITp | Male | 209.75 | 10.18 | 211.50 | 201.25–217.00 | =0.3419 |
| Female | 203.23 | 11.87 | 203.00 | 197.00–212.00 | ||
| Central CT (µm) | Male | 284.70 | 79.44 | 289.00 | 218.00–343.50 | =0.5435 |
| Female | 298.89 | 91.08 | 300.00 | 227.00–359.00 | ||
| ST | Male | 263.13 | 68.92 | 265.87 | 208.50–318.38 | <0.0001 |
| Female | 295.25 | 79.48 | 301.50 | 237.25–359.50 | ||
| SN | Male | 239.19 | 73.25 | 232.75 | 175.12–293.38 | =0.0009 |
| Female | 247.53 | 77.02 | 247.25 | 197.50–309.75 | ||
| IN | Male | 218.36 | 66.08 | 213.87 | 161.12–281.13 | =0.0005 |
| Female | 218.91 | 79.98 | 200.50 | 162.75–291.25 | ||
| IT | Male | 239.76 | 65.72 | 240.75 | 186.12–281.88 | <0.0001 |
| Female | 265.82 | 84.74 | 251.75 | 195.25–336.50 | ||
| STp | Male | 211.97 | 44.98 | 209.50 | 180.75–248.25 | <0.0001 |
| Female | 232.33 | 58.48 | 232.00 | 184.50–269.50 | ||
| SNp | Male | 179.68 | 44.73 | 171.50 | 145.50–202.00 | =0.0106 |
| Female | 199.28 | 62.94 | 195.00 | 151.50–243.00 | ||
| INp | Male | 133.90 | 27.82 | 127.75 | 112.50–151.00 | =0.0131 |
| Female | 143.28 | 44.79 | 130.00 | 107.00–175.50 | ||
| ITp | Male | 175.33 | 41.51 | 159.75 | 144.50–217.75 | <0.0001 |
| Female | 196.04 | 50.67 | 185.00 | 155.50–230.50 | ||
| Analyzed Trait | Age Group (Years) | Statistical Parameter * | p-Value ** | |||
|---|---|---|---|---|---|---|
| M | SD | Me | Q1–Q3 | |||
| Central RT (µm) | Up to 40 | 336.55 | 15.16 | 340.50 | 324.25–348.58 | =0.0388 |
| 41–50 | 337.58 | 12.00 | 342.50 | 326.42–247.58 | ||
| 51–60 | 344.00 | 17.88 | 344.50 | 336.08–353.58 | ||
| 61–70 | 338.30 | 25.51 | 334.00 | 328.00–352.67 | ||
| Over 70 | 326.67 | 21.97 | 330.50 | 311.42–338.17 | ||
| ST | Up to 40 | 276.91 | 18.78 | 279.62 | 276.46–283.79 | =0.0017 |
| 41–50 | 275.44 | 10.82 | 277.12 | 268.60–284.44 | ||
| 51–60 | 278.27 | 6.82 | 277.75 | 272.35–283.17 | ||
| 61–70 | 271.39 | 13.18 | 267.75 | 260.83–280.58 | ||
| Over 70 | 265.12 | 13.34 | 263.12 | 256.85–272.42 | ||
| SN | Up to 40 | 315.90 | 19.36 | 320.00 | 303.48–328.65 | =0.0041 |
| 41–50 | 314.85 | 14.70 | 315.50 | 308.87–321.88 | ||
| 51–60 | 314.96 | 9.75 | 315.12 | 306.29–319.75 | ||
| 61–70 | 307.53 | 15.16 | 308.25 | 298.25–317.08 | ||
| Over 70 | 302.87 | 17.29 | 301.00 | 291.56–318.00 | ||
| IN | Up to 40 | 304.12 | 23.71 | 312.12 | 288.60–321.83 | =0.0072 |
| 41–50 | 306.54 | 13.08 | 309.62 | 303.92–315.44 | ||
| 51–60 | 307.06 | 11.99 | 304.12 | 297.31–315.21 | ||
| 61–70 | 301.45 | 17.19 | 299.50 | 291.67–310.33 | ||
| Over 70 | 293.10 | 17.31 | 294.00 | 282.25–307.42 | ||
| IT | Up to 40 | 270.44 | 22.21 | 274.62 | 269.67–282.31 | =0.0129 |
| 41–50 | 271.71 | 11.37 | 272.87 | 262.35–279.46 | ||
| 51–60 | 272.56 | 7.98 | 270.37 | 267.00–278.85 | ||
| 61–70 | 269.33 | 15.00 | 267.00 | 258.67–279.25 | ||
| Over 70 | 259.56 | 17.13 | 260.25 | 249.31–268.33 | ||
| STp | Up to 40 | 213.00 | 11.78 | 212.00 | 209.92–220.25 | =0.1967 |
| 41–50 | 213.73 | 9.33 | 210.75 | 206.42–222.17 | ||
| 51–60 | 214.00 | 7.48 | 214.50 | 206.92–220.79 | ||
| 61–70 | 214.15 | 11.27 | 214.50 | 205.00–220.67 | ||
| Over 70 | 208.78 | 10.64 | 208.25 | 200.00–216.38 | ||
| SNp | Up to 40 | 244.43 | 18.35 | 245.00 | 236.63–250.96 | =0.0141 |
| 41–50 | 243.81 | 14.66 | 244.50 | 233.13–257.83 | ||
| 51–60 | 247.29 | 12.61 | 250.50 | 236.13–255.67 | ||
| 61–70 | 248.82 | 18.22 | 251.00 | 232.50–259.67 | ||
| Over 70 | 234.68 | 12.33 | 233.50 | 228.00–241.79 | ||
| INp | Up to 40 | 220.88 | 18.49 | 224.00 | 210.45–231.29 | =0.3508 |
| 41–50 | 218.46 | 11.94 | 218.75 | 210.00–228.29 | ||
| 51–60 | 220.21 | 9.37 | 221.00 | 212.46–228.75 | ||
| 61–70 | 226.53 | 17.96 | 227.50 | 212.17–238.67 | ||
| Over 70 | 215.79 | 13.45 | 215.75 | 206.42–225.75 | ||
| ITp | Up to 40 | 206.23 | 16.14 | 206.50 | 200.71–216.67 | =0.3770 |
| 41–50 | 206.75 | 9.39 | 204.75 | 200.21–212.29 | ||
| 51–60 | 205.67 | 6.50 | 205.75 | 199.75–210.38 | ||
| 61–70 | 208.11 | 11.17 | 209.50 | 199.33–217.00 | ||
| Over 70 | 201.90 | 11.68 | 202.25 | 194.71–213.29 | ||
| Central CT (µm) | Up to 40 | 345.20 | 84.63 | 348.50 | 309.17–395.50 | <0.0001 |
| 41–50 | 329.00 | 68.41 | 321.50 | 289.17–373.25 | ||
| 51–60 | 288.50 | 111.02 | 259.00 | 196.75–394.42 | ||
| 61–70 | 286.33 | 66.65 | 281.00 | 260.00–338.33 | ||
| Over 70 | 250.72 | 87.46 | 229.50 | 181.75–325.83 | ||
| ST | Up to 40 | 339.04 | 70.66 | 345.37 | 297.31–380.81 | =0.0002 |
| 41–50 | 311.45 | 73.91 | 306.50 | 254.85–388.38 | ||
| 51–60 | 278.58 | 80.97 | 262.75 | 196.27–359.00 | ||
| 61–70 | 269.54 | 53.54 | 266.25 | 235.25–314.33 | ||
| Over 70 | 249.98 | 80.54 | 238.37 | 190.44–310.13 | ||
| SN | Up to 40 | 274.55 | 74.53 | 293.37 | 226.90–340.08 | =0.0809 |
| 41–50 | 260.87 | 63.83 | 239.12 | 212.60–321.88 | ||
| 51–60 | 251.52 | 84.97 | 246.37 | 175.87–329.33 | ||
| 61–70 | 241.94 | 65.57 | 247.50 | 206.00–274.67 | ||
| Over 70 | 217.24 | 82.63 | 204.62 | 144.60–286.25 | ||
| IN | Up to 40 | 252.46 | 63.59 | 270.00 | 218.17–299.73 | =0.0217 |
| 41–50 | 239.48 | 69.80 | 211.75 | 174.79–309.83 | ||
| 51–60 | 223.12 | 89.06 | 194.12 | 146.98–284.35 | ||
| 61–70 | 212.36 | 92.93 | 204.50 | 183.67–263.50 | ||
| Over 70 | 190.48 | 81.63 | 160.75 | 128.77–227.73 | ||
| IT | Up to 40 | 299.30 | 72.50 | 292.62 | 257.08–342.94 | =0.0021 |
| 41–50 | 289.04 | 77.39 | 272.75 | 222.00–355.63 | ||
| 51–60 | 258.87 | 107.23 | 218.50 | 182.62–653.60 | ||
| 61–70 | 242.96 | 62.02 | 240.25 | 201.67–274.67 | ||
| Over 70 | 223.15 | 72.54 | 193.87 | 155.35–257.23 | ||
| STp | Up to 40 | 274.23 | 40.18 | 259.25 | 240.08–313.71 | <0.0001 |
| 41–50 | 240.98 | 54.80 | 237.75 | 199.42–271.88 | ||
| 51–60 | 224.79 | 46.28 | 234.75 | 180.12–267.21 | ||
| 61–70 | 209.86 | 36.25 | 210.50 | 196.00–222.50 | ||
| Over 70 | 201.50 | 59.76 | 190.75 | 154.24–242.13 | ||
| SNp | Up to 40 | 217.75 | 53.90 | 234.50 | 176.58–256.21 | =0.2324 |
| 41–50 | 200.06 | 52.46 | 186.00 | 159.00–256.42 | ||
| 51–60 | 199.96 | 70.33 | 162.00 | 141.37–243.67 | ||
| 61–70 | 179.82 | 38.77 | 174.50 | 157.83–198.17 | ||
| Over 70 | 183.17 | 69.71 | 168.00 | 129.50–211.29 | ||
| INp | Up to 40 | 161.10 | 36.41 | 161.25 | 134.79–191.08 | =0.1168 |
| 41–50 | 142.52 | 38.28 | 129.00 | 109.67–165.04 | ||
| 51–60 | 141.88 | 38.64 | 128.00 | 109.5–172.83 | ||
| 61–70 | 131.64 | 24.76 | 130.00 | 116.50–148.00 | ||
| Over 70 | 133.57 | 50.27 | 111.00 | 98.71–150.25 | ||
| ITp | Up to 40 | 219.10 | 31.22 | 224.00 | 196.46–237.92 | =0.0029 |
| 41–50 | 202.63 | 49.94 | 182.25 | 163.42–248.67 | ||
| 51–60 | 195.83 | 62.17 | 167.00 | 149.96–242.67 | ||
| 61–70 | 177.62 | 39.24 | 170.50 | 151.67–198.83 | ||
| Over 70 | 170.40 | 49.09 | 152.50 | 133.67–194.97 | ||
| Thickness (µm) | Axial Length (mm) | |
|---|---|---|
| r | p * | |
| Central RT | –0.09 | 0.3496 |
| ST | –0.14 | 0.1523 |
| SN | –0.15 | 0.1042 |
| IN | –0.19 | 0.0491 |
| IT | –0.14 | 0.1408 |
| STp | –0.05 | 0.6152 |
| SNp | –0.13 | 0.1729 |
| INp | 0.05 | 0.5798 |
| ITp | –0.12 | 0.2068 |
| Central CT | –0.06 | 0.5540 |
| ST | –0.08 | 0.4502 |
| SN | –0.01 | 0.9337 |
| IN | –0.03 | 0.7306 |
| IT | –0.04 | 0.6514 |
| STp | 0.03 | 0.7675 |
| SNp | –0.03 | 0.7302 |
| INp | –0.004 | 0.9673 |
| ITp | 0.06 | 0.5115 |
Disclaimer/Publisher’s Note: The statements, opinions and data contained in all publications are solely those of the individual author(s) and contributor(s) and not of MDPI and/or the editor(s). MDPI and/or the editor(s) disclaim responsibility for any injury to people or property resulting from any ideas, methods, instructions or products referred to in the content. |
© 2024 by the authors. Licensee MDPI, Basel, Switzerland. This article is an open access article distributed under the terms and conditions of the Creative Commons Attribution (CC BY) license (https://creativecommons.org/licenses/by/4.0/).
Share and Cite
Kiciński, K.; Gawęcki, M. Choroidal and Retinal Thicknesses in Healthy Eyes Measured with Ultra-Wide-Field Optical Coherence Tomography. Diagnostics 2024, 14, 1114. https://doi.org/10.3390/diagnostics14111114
Kiciński K, Gawęcki M. Choroidal and Retinal Thicknesses in Healthy Eyes Measured with Ultra-Wide-Field Optical Coherence Tomography. Diagnostics. 2024; 14(11):1114. https://doi.org/10.3390/diagnostics14111114
Chicago/Turabian StyleKiciński, Krzysztof, and Maciej Gawęcki. 2024. "Choroidal and Retinal Thicknesses in Healthy Eyes Measured with Ultra-Wide-Field Optical Coherence Tomography" Diagnostics 14, no. 11: 1114. https://doi.org/10.3390/diagnostics14111114
APA StyleKiciński, K., & Gawęcki, M. (2024). Choroidal and Retinal Thicknesses in Healthy Eyes Measured with Ultra-Wide-Field Optical Coherence Tomography. Diagnostics, 14(11), 1114. https://doi.org/10.3390/diagnostics14111114

