Vasa Previa and the Role of Fetal Fibronectin and Cervical Length Surveillance: A Review
Abstract
1. Introduction
2. Materials and Methods
3. Vasa Previa and Management
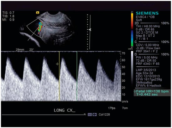
3.1. Vasa Previa: Definition and Diagnosis
3.2. Vasa Previa: Risks and Management
4. The Use of Fetal Fibronectin in Predicting Labor Outcomes
4.1. What Is FFN and Why Is It Important?
4.2. Role of FFN in the Prevention of Preterm Birth
5. Role of Cervical Length Surveillance and the Management of Preterm Delivery
5.1. What Is Cervical Length Surveillance and Why Is It Important?
5.2. Role of Cervical Length Surveillance in the Prevention of Preterm Birth
6. Optimizing Vasa Previa Management with FFN and CL Surveillance
7. Discussion
8. Conclusions and Future Considerations
Funding
Institutional Review Board Statement
Informed Consent Statement
Conflicts of Interest
References
- Rao, K.P.; Belogolovkin, V.; Yankowitz, J.; Spinnato, J.A. Abnormal placentation: Evidence-based diagnosis and management of placenta previa, placenta accreta, and vasa previa. Obstet. Gynecol. Surv. 2012, 67, 503–519. [Google Scholar] [CrossRef]
- Jauniaux, E.; Melcer, Y.; Maymon, R. Prenatal diagnosis and management of vasa previa in twin pregnancies: A case series and systematic review. Am. J. Obstet. Gynecol. 2017, 216, 568–575. [Google Scholar] [CrossRef] [PubMed]
- Son, M.; Miller, E.S. Predicting preterm birth: Cervical length and fetal fibronectin. Semin. Perinatol. 2017, 41, 445–451. [Google Scholar] [CrossRef] [PubMed]
- Buchanan-Hughes, A.; Bobrowska, A.; Visintin, C.; Attilakos, G.; Marshall, J. Velamentous cord insertion: Results from a rapid review of incidence, risk factors, adverse outcomes and screening. Syst. Rev. 2020, 9, 147. [Google Scholar] [CrossRef] [PubMed]
- Yeaton-Massey, A.; Girsen, A.I.; Mayo, J.A.; Blumenfeld, Y.J.; El-Sayed, Y.Y.; Stevenson, D.K.; Shaw, G.M. Vasa previa and extreme prematurity: A population-based study. J. Perinatol. Off. J. Calif. Perinat. Assoc. 2019, 39, 475–480. [Google Scholar] [CrossRef] [PubMed]
- Owen, J.; Yost, N.; Berghella, V.; MacPherson, C.; Swain, M.; Dildy, G.A.; Miodovnik, M.; Langer, O.; Sibai, B. Maternal-Fetal Medicine Units Network Can shortened midtrimester cervical length predict very early spontaneous preterm birth? Am. J. Obstet. Gynecol. 2004, 191, 298–303. [Google Scholar] [CrossRef] [PubMed]
- Hughes, K.; Kane, S.C.; Araujo Júnior, E.; Da Silva Costa, F.; Sheehan, P.M. Cervical length as a predictor for spontaneous preterm birth in high-risk singleton pregnancy: Current knowledge. Ultrasound Obstet. Gynecol. Off. J. Int. Soc. Ultrasound Obstet. Gynecol. 2016, 48, 7–15. [Google Scholar] [CrossRef]
- Daskalakis, G.J.; Papantoniou, N.E.; Koutsodimas, N.B.; Papapanagiotou, A.; Antsaklis, A.J. Fetal fibronectin as a predictor of preterm birth. J. Obstet. Gynaecol. J. Inst. Obstet. Gynaecol. 2000, 20, 347–353. [Google Scholar] [CrossRef]
- Catanzarite, V.; Maida, C.; Thomas, W.; Mendoza, A.; Stanco, L.; Piacquadio, K.M. Prenatal sonographic diagnosis of vasa previa: Ultrasound findings and obstetric outcome in ten cases. Ultrasound Obstet. Gynecol. Off. J. Int. Soc. Ultrasound Obstet. Gynecol. 2001, 18, 109–115. [Google Scholar] [CrossRef]
- Suekane, T.; Tachibana, D.; Pooh, R.K.; Misugi, T.; Koyama, M. Type-3 vasa previa: Normal umbilical cord insertion cannot exclude vasa previa in cases with abnormal placental location. Ultrasound Obstet. Gynecol. Off. J. Int. Soc. Ultrasound Obstet. Gynecol. 2020, 55, 556–557. [Google Scholar] [CrossRef]
- Jain, V.; Gagnon, R. Guideline No. 439: Diagnosis and Management of Vasa Previa. J. Obstet. Gynaecol. Can. 2023, 45, 506–518. [Google Scholar] [CrossRef] [PubMed]
- Society of Maternal-Fetal (SMFM) Publications Committee; Sinkey, R.G.; Odibo, A.O.; Dashe, J.S. #37: Diagnosis and management of vasa previa. Am. J. Obstet. Gynecol. 2015, 213, 615–619. [Google Scholar] [CrossRef] [PubMed]
- Silver, R.M. Abnormal Placentation: Placenta Previa, Vasa Previa, and Placenta Accreta. Obstet. Gynecol. 2015, 126, 654–668. [Google Scholar] [CrossRef] [PubMed]
- Erfani, H.; Haeri, S.; Shainker, S.A.; Saad, A.F.; Ruano, R.; Dunn, T.N.; Rezaei, A.; Aalipour, S.; Nassr, A.A.; Shamshirsaz, A.A.; et al. Vasa previa: A multicenter retrospective cohort study. Am. J. Obstet. Gynecol. 2019, 221, 644.e1–644.e5. [Google Scholar] [CrossRef] [PubMed]
- Melcer, Y.; Maymon, R.; Pekar-Zlotin, M.; Levinsohn-Tavor, O.; Tovbin, J.; Jauniaux, E. Evaluation of the impact of vasa previa on feto-placental hormonal synthesis and fetal growth. Eur. J. Obstet. Gynecol. Reprod. Biol. 2017, 215, 193–196. [Google Scholar] [CrossRef] [PubMed]
- American College of Obstetricians and Gynecologists; Committee on Obstetric Practice; Society for Maternal-Fetal Medicine. Medically Indicated Late-Preterm and Early-Term Deliveries: ACOG Committee Opinion, Number 831. Obstet. Gynecol. 2021, 138, e35–e39. [Google Scholar] [CrossRef]
- Swank, M.L.; Garite, T.J.; Maurel, K.; Das, A.; Perlow, J.H.; Combs, C.A.; Fishman, S.; Vanderhoeven, J.; Nageotte, M.; Bush, M.; et al. Vasa previa: Diagnosis and management. Am. J. Obstet. Gynecol. 2016, 215, 223.e1–223.e6. [Google Scholar] [CrossRef] [PubMed]
- Fishel Bartal, M.; Sibai, B.M.; Ilan, H.; Katz, S.; Schushan Eisen, I.; Kassif, E.; Yoeli, R.; Yinon, Y.; Mazaki-Tovi, S. Prenatal Diagnosis of Vasa Previa: Outpatient versus Inpatient Management. Am. J. Perinatol. 2019, 36, 422–427. [Google Scholar] [CrossRef] [PubMed]
- Vintzileos, A.M.; Ananth, C.V.; Smulian, J.C. Using ultrasound in the clinical management of placental implantation abnormalities. Am. J. Obstet. Gynecol. 2015, 213 (Suppl. S4), S70–S77. [Google Scholar] [CrossRef]
- Oyelese, Y.; Iammatteo, M.; Domnitz, S.; Chavez, M.R. Vasa previa: Avoiding incising the membranes at cesarean delivery. Am. J. Obstet. Gynecol. 2022, 227, 770–772. [Google Scholar] [CrossRef]
- Berghella, V.; Saccone, G. Fetal fibronectin testing for reducing the risk of preterm birth. Cochrane Database Syst. Rev. 2019, 7, CD006843. [Google Scholar] [CrossRef] [PubMed]
- Mogami, H.; Kishore, A.H.; Shi, H.; Keller, P.W.; Akgul, Y.; Word, R.A. Fetal Fibronectin Signaling Induces Matrix Metalloproteases and Cyclooxygenase-2 (COX-2) in Amnion Cells and Preterm Birth in Mice. J. Biol. Chem. 2013, 288, 1953–1966. [Google Scholar] [CrossRef]
- Abbott, D.S.; Radford, S.K.; Seed, P.T.; Tribe, R.M.; Shennan, A.H. Evaluation of a quantitative fetal fibronectin test for spontaneous preterm birth in symptomatic women. Am. J. Obstet. Gynecol. 2013, 208, 122.e1–122.e6. [Google Scholar] [CrossRef] [PubMed]
- Deshpande, S.N.; van Asselt, A.D.I.; Tomini, F.; Armstrong, N.; Allen, A.; Noake, C.; Khan, K.; Severens, J.L.; Kleijnen, J.; Westwood, M.E. Rapid fetal fibronectin testing to predict preterm birth in women with symptoms of premature labour: A systematic review and cost analysis. Health Technol. Assess. Winch. Engl. 2013, 17, 1–138. [Google Scholar] [CrossRef] [PubMed]
- Macones, G.A. Fetal fibronectin testing in threatened preterm labor: Time to stop. Am. J. Obstet. Gynecol. 2016, 215, 405. [Google Scholar] [CrossRef]
- Hezelgrave, N. Quantitative Fetal Fibronectin at 18 Weeks of Gestation to Predict Preterm Birth in Asymptomatic High-Risk Women. Obstet Amp Gynecol. Published Online 1 January 2016. Available online: https://www.academia.edu/73770910/Quantitative_Fetal_Fibronectin_at_18_Weeks_of_Gestation_to_Predict_Preterm_Birth_in_Asymptomatic_High_Risk_Women (accessed on 22 February 2024). [CrossRef]
- Peterson, W.E.; Sprague, A.E.; Reszel, J.; Walker, M.; Fell, D.B.; Perkins, S.L.; Dunn, S.I.; Johnson, M. Women’s perspectives of the fetal fibronectin testing process: A qualitative descriptive study. BMC Pregnancy Childbirth 2014, 14, 190. [Google Scholar] [CrossRef]
- Amro, B.; Alhalabi, I.; George, A.; Haroun, H.; Khamis, A.H.; Sawalhi, N.A. Using Fetal Fibronectin Test to Reduce Hospital Admissions with Diagnosis of Preterm Labor: An Economic Evaluation Study. J. Pers. Med. 2023, 13, 894. [Google Scholar] [CrossRef]
- Ville, Y.; Rozenberg, P. Predictors of preterm birth. Best Pract. Res. Clin. Obstet. Gynaecol. 2018, 52, 23–32. [Google Scholar] [CrossRef]
- Goldenberg, R.L.; Culhane, J.F.; Iams, J.D.; Romero, R. Epidemiology and causes of preterm birth. Lancet Lond. Engl. 2008, 371, 75–84. [Google Scholar] [CrossRef]
- Media, B.K.-K. Publications & Guidelines|SMFM.org—The Society for Maternal-Fetal Medicine. Available online: https://www.smfm.org/publications/230-the-role-of-routine-cervical-length-screening-in-selected-high-and-low-risk-women-for-preterm-birth-prevention (accessed on 5 March 2024).
- Maymon, R.; Melcer, Y.; Tovbin, J.; Pekar-Zlotin, M.; Smorgick, N.; Jauniaux, E. The Rate of Cervical Length Shortening in the Management of Vasa Previa. J. Ultrasound Med. Off. J. Am. Inst. Ultrasound Med. 2018, 37, 717–723. [Google Scholar] [CrossRef] [PubMed]
- Lim, K.I.; Butt, K.; Nevo, O.; Crane, J.M. Guideline No. 401: Sonographic Cervical Length in Singleton Pregnancies: Techniques and Clinical Applications. J. Obstet. Gynaecol. Can. 2020, 42, 1394–1413.e1. [Google Scholar] [CrossRef] [PubMed]
- Vis, J.Y.; Kuin, R.A.; Grobman, W.A.; Mol, B.W.J.; Bossuyt, P.M.M.; Opmeer, B.C. Additional effects of the cervical length measurement in women with preterm contractions: A systematic review. Arch. Gynecol. Obstet. 2011, 284, 521–526. [Google Scholar] [CrossRef] [PubMed]
- Bruijn, M.M.C.; Kamphuis, E.I.; Hoesli, I.M.; Martinez de Tejada, B.; Loccufier, A.R.; Kühnert, M.; Helmer, H.; Franz, M.; Porath, M.M.; Oudijk, M.A.; et al. The predictive value of quantitative fibronectin testing in combination with cervical length measurement in symptomatic women. Am. J. Obstet. Gynecol. 2016, 215, 793.e1–793.e8. [Google Scholar] [CrossRef]
- Vandermolen, B.I.; Hezelgrave, N.L.; Smout, E.M.; Abbott, D.S.; Seed, P.T.; Shennan, A.H. Quantitative fetal fibronectin and cervical length to predict preterm birth in asymptomatic women with previous cervical surgery. Am. J. Obstet. Gynecol. 2016, 215, 480.e1–480.e10. [Google Scholar] [CrossRef]

Disclaimer/Publisher’s Note: The statements, opinions and data contained in all publications are solely those of the individual author(s) and contributor(s) and not of MDPI and/or the editor(s). MDPI and/or the editor(s) disclaim responsibility for any injury to people or property resulting from any ideas, methods, instructions or products referred to in the content. |
© 2024 by the authors. Licensee MDPI, Basel, Switzerland. This article is an open access article distributed under the terms and conditions of the Creative Commons Attribution (CC BY) license (https://creativecommons.org/licenses/by/4.0/).
Share and Cite
Oladipo, A.F.; Voity, K.; Murphy, K.; Alvarez, M.; Alvarez-Perez, J. Vasa Previa and the Role of Fetal Fibronectin and Cervical Length Surveillance: A Review. Diagnostics 2024, 14, 1016. https://doi.org/10.3390/diagnostics14101016
Oladipo AF, Voity K, Murphy K, Alvarez M, Alvarez-Perez J. Vasa Previa and the Role of Fetal Fibronectin and Cervical Length Surveillance: A Review. Diagnostics. 2024; 14(10):1016. https://doi.org/10.3390/diagnostics14101016
Chicago/Turabian StyleOladipo, Antonia F., Kaitlyn Voity, Kimberly Murphy, Manuel Alvarez, and Jesus Alvarez-Perez. 2024. "Vasa Previa and the Role of Fetal Fibronectin and Cervical Length Surveillance: A Review" Diagnostics 14, no. 10: 1016. https://doi.org/10.3390/diagnostics14101016
APA StyleOladipo, A. F., Voity, K., Murphy, K., Alvarez, M., & Alvarez-Perez, J. (2024). Vasa Previa and the Role of Fetal Fibronectin and Cervical Length Surveillance: A Review. Diagnostics, 14(10), 1016. https://doi.org/10.3390/diagnostics14101016

