Precision Mapping of Intrahepatic Biliary Anatomy and Its Anatomical Variants Having a Normal Liver Using 2D and 3D MRCP
Abstract
1. Introduction
2. Materials and Methods
2.1. Statement of Ethics
2.2. Study Population
2.3. Subject Assessment
2.4. Preparation of MRI
2.5. Technique of MRCP
2.6. Processing of Image
2.7. Interpretation and Analysis of Image
- −
- Type I: The joint intrahepatic biliary anatomy consists of a horizontally oriented right posterior (RP) duct (draining segments VI and VII) joining the vertically oriented right anterior (RA) duct (draining segments V and VIII), forming the right hepatic duct (RHD), which ultimately connects to the left hepatic duct (LHD) (draining segments II, III, and IV), forming the common hepatic duct (CHD).
- −
- Type II: trifurcation.
- −
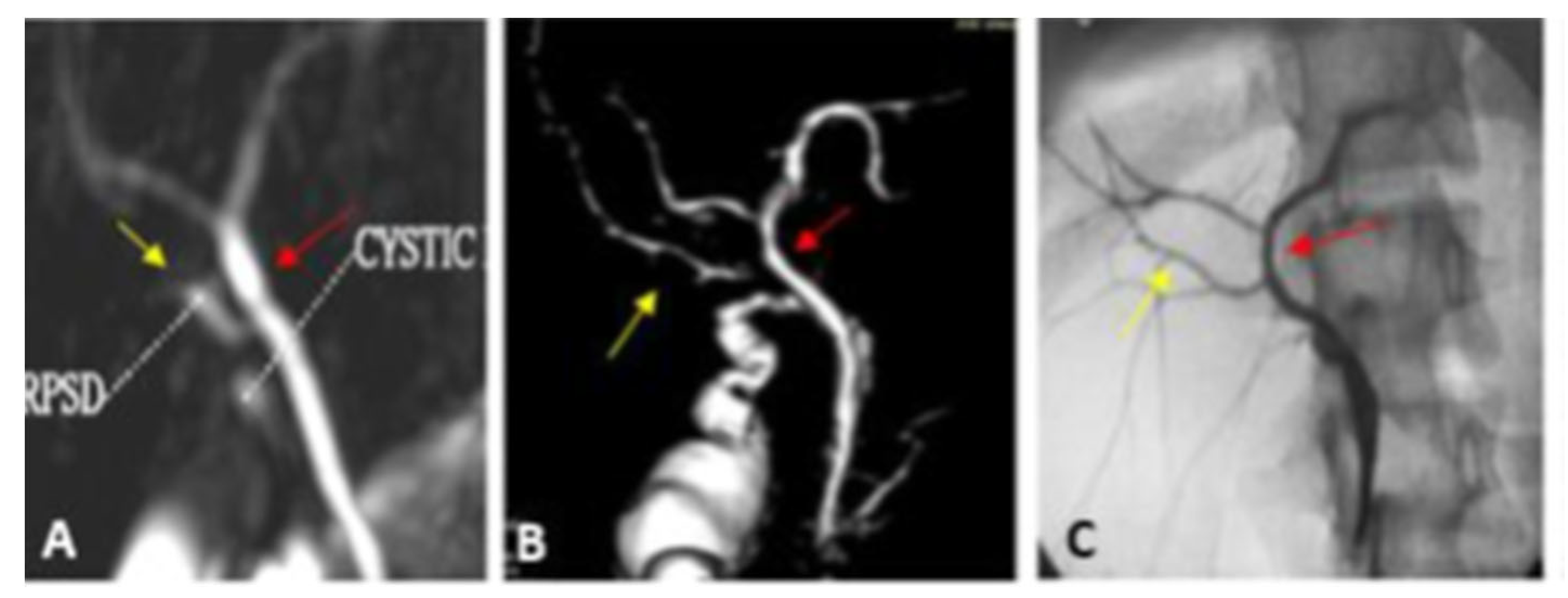
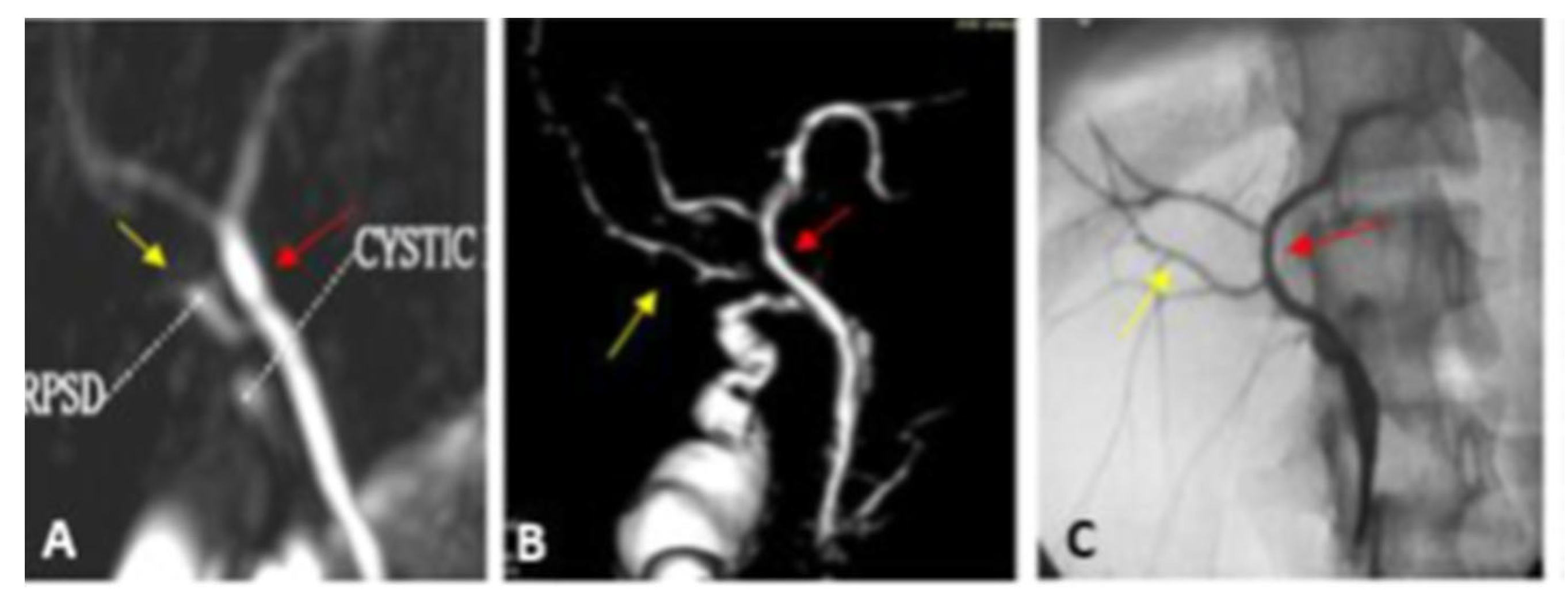
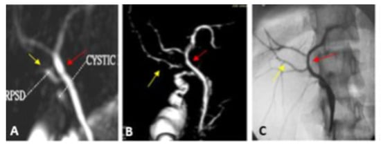
- Type III: anomalous RPSD insertion.
- opens into the LHD.
- opens into CHD (proximal to the cystic duct).
- joins the cystic duct.
- −
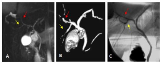
- Type IV: RHD inserts into the cystic duct.
- −
- Type V: type I + Presence of an accessory duct.
- type I + accessory duct opens in the CHD.
- type I + accessory duct opens in the RHD.
- −
- Type VI: individually, segments II and III drain into the CHD or RHD.
- −
- Type VII: complex variation or unclassified.
2.8. Intraoperative Cholangiography (IOC)
2.9. Statistical Analysis
3. Results
3.1. Intraoperative Cholangiography (IOC) Findings
3.2. 2D and 3D MRCP Findings
3.3. Correlation of MRCP Findings with IOC Findings
3.4. 3D and 2D MRCP Diagnostic Accuracy
4. Discussion
5. Conclusions
Author Contributions
Funding
Institutional Review Board Statement
Informed Consent Statement
Data Availability Statement
Acknowledgments
Conflicts of Interest
References
- Sahani, D.; Mehta, A.; Blake, M.; Prasad, S.; Harris, G.; Saini, S. Preoperative hepatic vascular evaluation with CT and MR angiography: Implications for surgery. Radiographics 2004, 24, 1367–1380. [Google Scholar] [CrossRef] [PubMed]
- Sarawagi, R.; Sundar, S.; Raghuvanshi, S.; Gupta, S.K.; Jayaraman, G. Common and Uncommon Anatomical Variants of Intrahepatic Bile Ducts in Magnetic Resonance Cholangiopancreatography and its Clinical Implication. Pol. J. Radiol. 2016, 81, 250–255. [Google Scholar] [CrossRef]
- Choi, J.W.; Kim, T.K.; Kim, K.W.; Kim, A.Y.; Kim, P.N.; Ha, H.K.; Lee, M.G. Anatomic variation in intrahepatic bile ducts: An analysis of intraoperative cholangiograms in 300 consecutive donors for living donor liver transplantation. Korean J. Radiol. 2003, 4, 85–90. [Google Scholar] [CrossRef] [PubMed]
- Plantefève, R.; Peterlik, I.; Haouchine, N.; Cotin, S. Patient-specific biomechanical modeling for guidance during minimally-invasive hepatic surgery. Ann. Biomed. Eng. 2016, 44, 139–153. [Google Scholar] [CrossRef] [PubMed]
- Suzuki, T.; Ebata, T.; Yokoyama, Y.; Mizuno, T.; Igami, T.; Yamaguchi, J.; Onoe, S.; Watanabe, N.; Nagino, M. Left trisectionectomy combined with resection of the right hepatic vein and inferior vena cava after right hepatic vein embolization for advanced intrahepatic cholangiocarcinoma. Surg. Case Rep. 2019, 5, 1–4. [Google Scholar] [CrossRef] [PubMed]
- Bhangui, P.; Sah, J.; Choudhary, N.; Gautam, D.; Gupta, V.; Srinivasan, T.; Rastogi, A.; Piplani, T.; Saraf, N.; Saigal, S.; et al. Safe use of right lobe live donor livers with up to 20% macrovesicular steatosis without compromising donor safety and recipient outcome. Transplantation 2020, 104, 308–316. [Google Scholar] [CrossRef] [PubMed]
- Cannataci, C.; Degiorgio, S.; Carollo, V.; Mamone, G.; Miraglia, R.; Cortis, K. Biliary variants and their surgical relevance. Eur. Congr. Radiol. 2019. [Google Scholar] [CrossRef]
- Catalano, O.A.; Singh, A.H.; Uppot, R.N.; Hahn, P.F.; Ferrone, C.R.; Sahani, D.V. Vascular and biliary variants in the liver: Implications for liver surgery. Radiographics 2008, 28, 359–378. [Google Scholar] [CrossRef]
- Yeh, B.M.; Breiman, R.S.; Taouli, B.; Qayyum, A.; Roberts, J.P.; Coakley, F.V. Biliary tract depiction in living potential liver donors: Comparison of conventional MR, mangafodipir trisodium-enhanced excretory MR, and multi-detector row CT cholangiography--initial experience. Radiology 2004, 230, 645–651. [Google Scholar] [CrossRef]
- Kashyap, R.; Bozorgzadeh, A.; Abt, P.; Tsoulfas, G.; Maloo, M.; Sharma, R.; Patel, S.; Dombroski, D.; Mantry, P.; Safadjou, S.; et al. Stratifying risk of biliary complications in adult living donor liver transplantation by magnetic resonance cholangiography. Transplantation 2008, 85, 1569–1572. [Google Scholar] [CrossRef]
- Shin, M.; Joh, J.W. Advances in endoscopic management of biliary complications after living donor liver transplantation: Comprehensive review of the literature. World J. Gastroenterol. 2016, 22, 6173. [Google Scholar] [CrossRef] [PubMed]
- Guimaraes, L.; Babaei Jandaghi, A.; Menezes, R.; Grant, D.; Cattral, M.; Jhaveri, K.S. Assessment of biliary anatomy in potential living liver donors: Added value of gadoxetic acid-enhanced T1 MR Cholangiography (MRC) including utilization of controlled aliasing in parallel imaging results in higher acceleration (CAIPIRINHA) technique in comparison to T2W-MRC. Magn. Reason. Imaging 2020, 70, 64–72. [Google Scholar]
- Fahlenkamp, U.L.; Adams, L.C.; Böker, S.M.; Engel, G.; Huynh Anh, M.; Wagner, M.; Hamm, B.; Makowski, M.R. Feasibility of gadoxetate disodium enhanced 3D T1 MR cholangiography (MRC) with a specific inversion recovery prepulse for the assessment of the hepatobiliary system. PLoS ONE 2018, 13, e0203476. [Google Scholar] [CrossRef] [PubMed]
- Sodickson, A.; Mortele, K.J.; Barish, M.A.; Zou, K.H.; Thibodeau, S.; Tempany, C.M. Three-dimensional fast-recovery fast spin-echo MRCP: Comparison with two-dimensional single-shot fast spin-echo techniques. Radiology 2006, 238, 459–549. [Google Scholar] [CrossRef] [PubMed]
- Seo, N.; Park, M.S.; Han, K.; Kim, D.; King, K.F.; Choi, J.Y.; Kim, H.; Kim, H.J.; Lee, M.; Bae, H.; et al. Feasibility of 3D navigator-triggered magnetic resonance cholangiopancreatography with combined parallel imaging and compressed sensing reconstruction at 3T. J. Magn. Reason. Imaging 2017, 46, 1289–1297. [Google Scholar] [CrossRef]
- Ragab, A.; Lopez-Soler, R.I.; Oto, A.; Testa, G. Correlation between 3D-MRCP and intra-operative findings in right liver donors. Hepatobiliary Surg. Nutr. 2013, 2, 7–13. [Google Scholar]
- Schroeder, T.; Malagó, M.; Debatin, J.F.; Goyen, M.; Nadalin, S.; Ruehm, S.G. “All-in-one” imaging protocols for the evaluation of potential living liver donors: Comparison of magnetic resonance imaging and multidetector computed tomography. Liver Transpl. 2005, 11, 776–787. [Google Scholar] [CrossRef]
- Zattar-Ramos, L.C.; Bezerra, R.O.; Siqueira, L.T.; Menezes, M.R.; Leite, C.D.; Cerri, G.G. Hepatocyte-specific contrast agent-enhanced magnetic resonance cholangiography: Perioperative evaluation of the biliary tree. Radiol. Bras. 2017, 50, 389–394. [Google Scholar] [CrossRef]
- Boraschi, P.; Donati, F.; Pacciardi, F.; Cervelli, R.; Gigoni, R.; Porcu, L.; Torri, V. Gadoxetate Disodium–Enhanced MR Cholangiography for Evaluation of Biliary-Enteric Anastomoses: Added Value Beyond Conventional T2-Weighted Images. Am. J. Roentgenol. 2019, 213, W123–W133. [Google Scholar] [CrossRef]
- Chandarana, H.; Doshi, A.M.; Shanbhogue, A.; Babb, J.S.; Bruno, M.T.; Zhao, T.; Raithel, E.; Zenge, M.O.; Li, G.; Otazo, R. Three-dimensional MR cholangiopancreatography in a breath hold with sparsity-based reconstruction of highly undersampled data. Radiology 2016, 280, 585–594. [Google Scholar] [CrossRef]
- Nam, J.G.; Lee, J.M.; Kang, H.J.; Lee, S.M.; Kim, E.; Peeters, J.M.; Yoon, J.H. GRASE revisited: Breath-hold three-dimensional (3D) magnetic resonance cholangiopancreatography using a gradient and spin echo (GRASE) technique at 3T. Eur. Radiol. 2018, 28, 3721–3728. [Google Scholar] [CrossRef] [PubMed]
- Wang, C.L.; Ding, H.Y.; Dai, Y.; Xie, T.T.; Li, Y.B.; Cheng, L.; Wang, B.; Tang, R.H.; Nie, W.X. Magnetic resonance cholangiopancreatography study of pancreaticobiliary maljunction and pancreaticobiliary diseases. World J. Gastroenterol. 2014, 20, 7005–7010. [Google Scholar] [CrossRef] [PubMed]
- Basaran, C.; Agildere, M.; Donmez, F.Y.; Sevmis, S.; Budakoglu, I.; Karakayali, H.; Haberal, M. MR cholangiopancreatography with T2-weighted prospective acquisition correction Turbo spin-echo sequence of the biliary anatomy of potential living liver transplant donors. Am. J. Roentgenol. 2008, 190, 1527–1533. [Google Scholar] [CrossRef]
- Uysal, F.; Obuz, F.; Uçar, A.; Seçil, M.; Igci, E.; Dicle, O. Anatomic variations of the intrahepatic bile ducts: Analysis of magnetic resonance cholangiopancreatography in 1011 consecutive patients. Digestion 2014, 89, 194–200. [Google Scholar] [CrossRef] [PubMed]
- Düşünceli, E.; Erden, A.; Erden, I. Biliyer sistemin anatomik varyasyonlari: MRKP bulgulari [Anatomic variations of the bile ducts: MRCP findings]. Tani. Girisim. Radyol. 2004, 10, 296–303. [Google Scholar]
- Chien, C.P.; Chiu, F.M.; Shen, Y.C.; Chen, Y.H.; Chung, H.W. Magnetic resonance cholangiopancreatography at 3T in a single breath-hold: Comparative effectiveness between three-dimensional (3D) gradient- and spin-echo and two-dimensional (2D) thick-slab fast spin-echo acquisitions. Quant. Imaging Med. Surg. 2020, 10, 1265–1274. [Google Scholar] [CrossRef]
- He, M.; Xu, J.; Sun, Z.; Wang, S.; Zhu, L.; Wang, X.; Wang, J.; Feng, F.; Xue, H.; Jin, Z. Comparison and evaluation of the efficacy of compressed SENSE (CS) and gradient-and spin-echo (GRASE) in breath-hold (BH) magnetic resonance cholangiopancreatography (MRCP). J. Magn. Reson. Imaging 2020, 51, 824–832. [Google Scholar] [CrossRef]
- Yoshida, M.; Nakaura, T.; Inoue, T.; Tanoue, S.; Takada, S.; Utsunomiya, D.; Tsumagari, S.; Harada, K.; Yamashita, Y. Magnetic resonance cholangiopancreatography with GRASE sequence at 3.0T: Does it improve image quality and acquisition time as compared with 3D TSE? Eur. Radiol. 2018, 28, 2436–2443. [Google Scholar] [CrossRef]
- Patil, V.; Shabadi, N.; Das, S.; Shetty, S.; Sen, K. Magnetic Resonance Cholangiopancreatography in 3 Tesla: 2D MRCP versus 3D MRCP in Diagnostic Evaluation with Special Reference to Different Acquisition and Reconstruction Planes. J. Glob. Radiol. 2015, 1, 1003. [Google Scholar] [CrossRef]
- Limanond, P.; Raman, S.S.; Ghobrial, R.M.; Busuttil, R.W.; Lu, D.S. The utility of MRCP in preoperative mapping of biliary anatomy in adult-to-adult living related liver transplant donors. J. Magn. Reson. Imaging 2004, 19, 209–215. [Google Scholar] [CrossRef]
- Kim, D.W.; Kwon, H.J.; Kim, K.W.; Choi, S.H.; Kim, S.Y.; Song, G.W.; Lee, S.G. Importance of Imaging Plane of Gadoxetic Acid--Enhanced Magnetic Resonance Cholangiography for Bile Duct Anatomy in Healthy Liver Donors. Transplant. Proc. 2021, 53, 49–53. [Google Scholar] [CrossRef] [PubMed]
- Donmez, R.; Gormez, A. Evaluation of the Compatibility of Preoperative MRCP and Intraoperative Cholangiography in Imaging of the Bile Ducts in Living Donor Liver Transplantation. Indian J. Surg. 2022, 84 (Suppl. S2), 418–423. [Google Scholar] [CrossRef]
- Lee, V.S.; Morgan, G.R.; Teperman, L.W.; John, D.; Diflo, T.; Pandharipande, P.V.; Berman, P.M.; Lavelle, M.T.; Krinsky, G.A.; Rofsky, N.M.; et al. MR imaging as the sole preoperative imaging modality for right hepatectomy: A prospective study of living adult-to-adult liver donor candidates. AJR Am. J. Roentgenol. 2001, 176, 1475–1482. [Google Scholar] [CrossRef] [PubMed]
- Hyodo, T.; Kumano, S.; Kushihata, F.; Okada, M.; Hirata, M.; Tsuda, T.; Takada, Y.; Mochizuki, T.; Murakami, T. CT and MR cholangiography: Advantages and pitfalls in perioperative evaluation of biliary tree. Br. J. Radiol. 2012, 85, 887–896. [Google Scholar] [CrossRef]
- Griffin, N.; Charles-Edwards, G.; Grant, L.A. Magnetic resonance cholangiopancreatography: The ABC of MRCP. Insights Imaging 2012, 3, 11–21. [Google Scholar] [CrossRef] [PubMed]
- Singh, A.; Mann, H.S.; Thukral, C.L.; Singh, N.R. Diagnostic Accuracy of MRCP as Compared to Ultrasound/CT in Patients with Obstructive Jaundice. J. Clin. Diagn. Res. 2014, 8, 103–107. [Google Scholar] [CrossRef] [PubMed]
- Parashari, U.C.; Khanduri, S.; Bhadury, S.; Upadhyay, D.; Kishore, K. Diagnostic role of magnetic resonance cholangiopancreatography in evaluation of obstructive biliopathies and correlating it with final diagnosis and clinical profile of patients. J. Nat. Sci. Biol. Med. 2015, 6, 131–138. [Google Scholar] [CrossRef]
- Carlos, R.C.; Hussain, H.K.; Song, J.H.; Francis, I.R. Gadolinium-ethoxybenzyl-diethylenetriamine pentaacetic acid as an intrabiliary contrast agent: Preliminary assessment. AJR Am. J. Roentgenol. 2002, 179, 87–92. [Google Scholar] [CrossRef] [PubMed]





| Scanning Parameters | 2D T2 SSFSE Axial, Coronal | 3D Heavy T2 FAT SAT Coronal Oblique | 2D Thick SLAP Myelo Coronal |
|---|---|---|---|
| TE ms | 120 | 480 | 1200 |
| TR ms | 1050 | 1860 | 3120 |
| FOV | 40 | 32 | 34 |
| Slice thickness | 4 | 3 | 4 |
| NEX | 1 | 2 | 1 |
| Frequency | 256 | 384 | 320 |
| Flip angle | 150 | 180 | 180 |
| Scan time (minutes) | 1.39/1.11 | 2.33 | 30–40 s |
| Description | IOC | MRCP | Probable Cause of Misdiagnosis | |
|---|---|---|---|---|
| Type I | The RPSD drains into the proximal part of the RHD (distance more than 1 cm from the hepatic confluence) | 23 (65.7) | 22 (62.9) | Very short RHD |
| Type II | Trifurcation | 4 (11.4) | 6 (17.1) | |
| Type III | Anomalous RPSD insertion | 4 (11.4) | 4 (11.4) | |
| A | Insertion of RP into the LT hepatic duct | 2 | 2 | |
| B | Insertion of RP into the CHD | 2 | 2 | |
| C | Insertion of RP into the cystic duct | - | - | |
| Type IV | Insertion of RHD in the cystic duct | 3 (8.6) | 3 (8.6) | |
| Type V | Type I +Presence of accessory duct | - | - | |
| A | Insertion of the accessory duct into the CHD | - | - | |
| B | Insertion of the accessory duct into the RHD | - | - | |
| Type VI | Individual draining of segments II and III ducts into RHD | - | - | |
| Type VII Unclassified | Trifurcation + accessory duct | 1 (2.9) | - | The acute angle between RPSD and RASD |
Disclaimer/Publisher’s Note: The statements, opinions and data contained in all publications are solely those of the individual author(s) and contributor(s) and not of MDPI and/or the editor(s). MDPI and/or the editor(s) disclaim responsibility for any injury to people or property resulting from any ideas, methods, instructions or products referred to in the content. |
© 2023 by the authors. Licensee MDPI, Basel, Switzerland. This article is an open access article distributed under the terms and conditions of the Creative Commons Attribution (CC BY) license (https://creativecommons.org/licenses/by/4.0/).
Share and Cite
Mazroua, J.A.; Almalki, Y.E.; Alaa, M.; Alduraibi, S.K.; Aboualkheir, M.; Aldhilan, A.S.; Almushayti, Z.A.; Aly, S.A.; Basha, M.A.A. Precision Mapping of Intrahepatic Biliary Anatomy and Its Anatomical Variants Having a Normal Liver Using 2D and 3D MRCP. Diagnostics 2023, 13, 726. https://doi.org/10.3390/diagnostics13040726
Mazroua JA, Almalki YE, Alaa M, Alduraibi SK, Aboualkheir M, Aldhilan AS, Almushayti ZA, Aly SA, Basha MAA. Precision Mapping of Intrahepatic Biliary Anatomy and Its Anatomical Variants Having a Normal Liver Using 2D and 3D MRCP. Diagnostics. 2023; 13(4):726. https://doi.org/10.3390/diagnostics13040726
Chicago/Turabian StyleMazroua, Jehan A., Yassir Edrees Almalki, Mohamed Alaa, Sharifa Khalid Alduraibi, Mervat Aboualkheir, Asim S. Aldhilan, Ziyad A. Almushayti, Sameh Abdelaziz Aly, and Mohammad Abd Alkhalik Basha. 2023. "Precision Mapping of Intrahepatic Biliary Anatomy and Its Anatomical Variants Having a Normal Liver Using 2D and 3D MRCP" Diagnostics 13, no. 4: 726. https://doi.org/10.3390/diagnostics13040726
APA StyleMazroua, J. A., Almalki, Y. E., Alaa, M., Alduraibi, S. K., Aboualkheir, M., Aldhilan, A. S., Almushayti, Z. A., Aly, S. A., & Basha, M. A. A. (2023). Precision Mapping of Intrahepatic Biliary Anatomy and Its Anatomical Variants Having a Normal Liver Using 2D and 3D MRCP. Diagnostics, 13(4), 726. https://doi.org/10.3390/diagnostics13040726

