Feature Extraction Using a Residual Deep Convolutional Neural Network (ResNet-152) and Optimized Feature Dimension Reduction for MRI Brain Tumor Classification
Abstract
:1. Introduction
- An efficient new automatic classification system has been developed based on using a deep learning network to categorize the various types of brain cancers.
- Researchers have been able to recognize malignancies such as meningioma, glioma, and pituitary tumors using the newly developed deep learning network structure of ResNet-152 as a pre-trained model in the deep convolutional neural network.
- The use of a new adaptive Canny Mayfly algorithm for edge detection has been implemented.
- The substantial training dataset has been improved with the help of a method called data augmentation.
- The redundant features have been removed with the help of a modified version of the chimp optimization algorithm, increasing the classification accuracy.
2. Related Works
3. Motivation
4. The Proposed Tumor Classification Method
4.1. Materials and Methods
4.1.1. Overview of the Proposed Tumor Classification Method
4.1.2. Pre-Processing
4.1.3. Data Augmentation
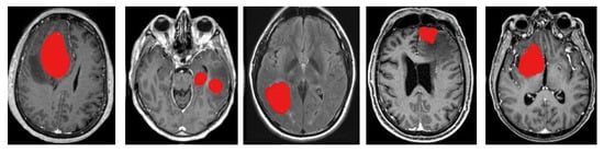
4.2. Segmentation
Canny Algorithm
4.3. Feature Extraction (FE)
4.4. Feature Selection
4.5. Feature Classification
5. Results Analysis
5.1. Dataset Description
5.2. Evaluation Parameters
5.3. Results and Discussion
6. Conclusions
Author Contributions
Funding
Institutional Review Board Statement
Informed Consent Statement
Data Availability Statement
Conflicts of Interest
References
- Singh, R.V.; Gupta, N.; Kaul, A.; Sharma, D.K. Deep learning assisted COVID-19 detection using full CT-scans. Internet Things 2021, 14, 100377. [Google Scholar]
- Sert, E.; Avci, D. Brain tumor segmentation using neutrosophic expert maximum fuzzy-sure entropy and other approaches. Biomed. Signal Process. Control. 2019, 47, 276–287. [Google Scholar] [CrossRef]
- Selvapandian, A.; Manivannan, K. Fusion based glioma brain tumor detection and segmentation using ANFIS classification. Comput. Methods Programs Biomed. 2018, 166, 33–38. [Google Scholar] [CrossRef]
- Rajan, P.G.; Sundar, C. Brain tumor detection and segmentation by intensity adjustment. J. Med. Syst. 2019, 43, 282. [Google Scholar] [CrossRef]
- Sivakumar, P.; Velmurugan, S.P.; Sampson, J. Implementation of differential evolution algorithm to perform image fusion for identifying brain tumor. 3C Tecnol. 2020, 301–310. [Google Scholar] [CrossRef]
- Sajid, S.; Hussain, S.; Sarwar, A. Brain tumor detection and segmentation in MR images using deep learning. Arab. J. Sci. Eng. 2019, 44, 9249–9261. [Google Scholar] [CrossRef]
- Anitha, R.; Raja, S.S.D. Development of computer-aided approach for brain tumor detection using random forest classifier. Int. J. Imaging Syst. Technol. 2018, 28, 48–53. [Google Scholar] [CrossRef]
- Aswathy, S.U.; Glan Devadhas, G.; Kumar, S.S. Brain tumor detection and segmentation using a wrapper based genetic algorithm for optimized feature set. Clust. Comput. 2019, 22, 13369–13380. [Google Scholar] [CrossRef]
- Lakshmi, V.K.; Amarsingh Feroz, C.; Asha Jenia Merlin, J. Automated Detection and Segmentation of brain tumor Using Genetic Algorithm. In Proceedings of the 2018 International Conference on Smart Systems and Inventive Technology (ICSSIT), Tirunelveli, India, 13–14 December 2018; pp. 583–589. [Google Scholar]
- Charron, O.; Lallement, A.; Jarnet, D.; Noblet, V.; Clavier, J.-B.; Meyer, P. Automatic detection and segmentation of brain metastases on multimodal MR images with a deep convolutional neural network. Comput. Biol. Med. 2018, 95, 43–54. [Google Scholar] [CrossRef]
- Chandra, S.K.; Bajpai, M.K. Fractional Crank-Nicolson finite difference method for benign brain tumor detection and segmentation. Biomed. Signal Process. Control. 2020, 60, 102002. [Google Scholar] [CrossRef]
- Parthasarathy, G.; Ramanathan, L.; Anitha, K.; Justindhas, Y. Predicting Source and Age of brain tumor Using Canny Edge Detection Algorithm and Threshold Technique. Asian Pac. J. Cancer Prev. APJCP 2019, 20, 1409. [Google Scholar]
- Habib, H.; Haseeb, M.; Khan, Q. Modified Hybrid Edge Detection in MR image via Image Processing Techniques. In Proceedings of the 2020 International Conference on Information Science and Communication Technology (ICISCT), Karachi, Pakistan, 8–9 February 2020; pp. 1–10. [Google Scholar]
- Stosic, Z.; Rutesic, P. An improved canny edge detection algorithm for detecting brain tumors in MRI images. Int. J. Signal Process. 2018, 3, 11–15. [Google Scholar]
- Hamad, Y.A.; Simonov, K.; Naeem, M.B. Brain’s tumor edge detection on low contrast medical images. In Proceedings of the 2018 1st Annual International Conference on Information and Sciences (AiCIS), Fallujah, Iraq, 20–21 November 2018; pp. 45–50. [Google Scholar]
- Sharif, M.; Amin, J.; Raza, M.; Yasmin, M.; Satapathy, S.C. An integrated design of particle swarm optimization (PSO) with fusion of features for detection of brain tumor. Pattern Recognit. Lett. 2020, 129, 150–157. [Google Scholar] [CrossRef]
- Kaur, T.; Saini, B.S.; Gupta, S. A novel feature selection method for brain tumor MR image classification based on the Fisher criterion and parameter-free Bat optimization. Neural Comput. Appl. 2018, 29, 193–206. [Google Scholar] [CrossRef]
- Nanda, S.J.; Gulati, I.; Chauhan, R.; Modi, R.; Dhaked, U.A. K-means-galactic swarm optimization based clustering algorithm with Otsu’s entropy for brain tumor detection. Appl. Artif. Intell. 2019, 33, 152–170. [Google Scholar] [CrossRef]
- Rajesh, T.; Suja Mani Malar, R.; Geetha, M.R. Brain tumor detection using optimization classification based on rough set theory. Clust. Comput. 2019, 22, 13853–13859. [Google Scholar] [CrossRef]
- Prakash, G.Y.; Gupta, N. Deep learning model based multimedia retrieval and its optimization in augmented reality applications. Multimed. Tools Appl. 2022, 1–20. [Google Scholar] [CrossRef]
- Narmatha, C.; Eljack, S.M.; Rahman Mohammed Tuka, A.A.; Manimurugan, S.; Mustafa, M. A hybrid fuzzy brain-storm optimization algorithm for the classification of brain tumor MRI images. J. Ambient. Intell. Humaniz. Comput. 2020, 1–9. [Google Scholar] [CrossRef]
- Grøvik, E.; Yi, D.; Iv, M.; Tong, E.; Rubin, D.; Zaharchuk, G. Deep learning enables automatic detection and segmentation brain metastases on multisequence MRI. J. Magn. Reson. Imaging 2020, 51, 175–182. [Google Scholar] [CrossRef] [PubMed]
- Velliangiri, S.; Karthikeyan, P.; Joseph, I.T.; Kumar, S.A.P. Investigation of Deep Learning Schemes in Medical Application. In Proceedings of the 2019 International Conference on Computational Intelligence and Knowledge Economy (ICCIKE), Dubai, United Arab Emirates, 11–12 December 2019; pp. 87–92. [Google Scholar] [CrossRef]
- Jyothi, P.; Singh, A.R. Deep learning models and traditional automated techniques for brain tumor segmentation in MRI: A review. Artif. Intell. Rev. 2022, 1–47. [Google Scholar] [CrossRef]
- Abdel-Gawad, A.H.; Said, L.A.; Radwan, A.G. Optimized Edge Detection Technique for brain tumor Detection in MR Images. IEEE Access 2020, 8, 136243–136259. [Google Scholar] [CrossRef]
- Sheela, C.J.J.; Suganthi, G. Morphological edge detection and brain tumor segmentation in Magnetic Resonance (MR) images based on region growing and performance evaluation of modified Fuzzy C-Means (FCM) algorithm. Multimed. Tools Appl. 2020, 79, 17483–17496. [Google Scholar] [CrossRef]
- Konar, D.; Bhattacharyya, S.; Gandhi, T.K.; Panigrahi, B.K.A. Quantum-Inspired Self-Supervised Network model for automatic segmentation of brain MR images. Appl. Soft Comput. 2020, 93, 106348. [Google Scholar] [CrossRef]
- Zhang, J.; Zeng, J.; Qin, P.; Zhao, L. Brain tumor segmentation of multi-modality MR images via triple intersecting U-Nets. Neurocomputing 2021, 421, 195–209. [Google Scholar] [CrossRef]
- Robert Singh, A.; Athisayamani, S. Survival Prediction Based on Brain Tumor Classification Using Convolutional Neural Network with Channel Preference. In Data Engineering and Intelligent Computing; Bhateja, V., Khin Wee, L., Lin, J.C.W., Satapathy, S.C., Rajesh, T.M., Eds.; Lecture Notes in Networks and Systems; Springer: Singapore; Volume 446.
- Robert Singh, A.; Athisayamani, S. Segmentation of Brain Tumors with Multi-kernel Fuzzy C-means Clustering in MRI. In Data Engineering and Intelligent Computing; Bhateja, V., Khin Wee, L., Lin, J.C.W., Satapathy, S.C., Rajesh, T.M., Eds.; Lecture Notes in Networks and Systems; Springer: Singapore, 2022; Volume 446. [Google Scholar]
- Saraswat, M.A.; Kalra, B. Identification and Classification of brain tumors with Optimized Neural Network and Canny Edge Detection Algorithm. Ann. Rom. Soc. Cell Biol. 2021, 25, 5651–5660. [Google Scholar]
- Zervoudakis, K.; Tsafarakis, S.A. mayfly optimization algorithm. Comput. Ind. Eng. 2020, 145, 106559. [Google Scholar] [CrossRef]
- Raghavendra, U.; Acharya, U.R.; Gudigar, A.; Tan, J.H.; Fujita, H.; Hagiwara, Y.; Molinari, F.; Kongmebhol, P.; Ng, K.H. Fusion of spatial gray level dependency and fractal texture features for the characterization of thyroid lesions. Ultrasonics 2017, 77, 110–120. [Google Scholar] [CrossRef]
- Khishe, M.; Mosavi, M.R. Chimp optimization algorithm. Expert Syst. Appl. 2020, 149, 113338. [Google Scholar] [CrossRef]
- Suhas, S.; Venugopal, C.R. MRI image preprocessing and noise removal technique using linear and nonlinear filters. In Proceedings of the 2017 International Conference on Electrical, Electronics, Communication, Computer, and Optimization Techniques (ICEECCOT), Mysuru, India, 15–16 December 2017; pp. 1–4. [Google Scholar]
- Figshre Dataet. Available online: https://figshare.com/articles/dataset/brain_tumor_dataset/1512427 (accessed on 15 May 2022).
- BRATS 2019. Available online: https://www.kaggle.com/general/40301 (accessed on 15 May 2022).
- MICCAI BRATS. Available online: http://braintumorsegmentation.org/ (accessed on 15 May 2022).
- Sajjad, M.; Khan, S.; Muhammad, K.; Wu, W.; Ullah, A.; Baik, S.W. Multi-grade brain tumor classification using deep CNN with extensive data augmentation. J. Comput. Sci. 2019, 30, 174–182. [Google Scholar] [CrossRef]
- Tandel, G.S.; Balestrieri, A.; Jujaray, T.; Khanna, N.N.; Saba, L.; Suri, J.S. Multiclass magnetic resonance imaging brain tumor classification using artificial intelligence paradigm. Comput. Biol. Med. 2020, 122, 103804. [Google Scholar] [CrossRef]












| Name of the Layer | Stride | Input Size | Output Size | Additional Information |
|---|---|---|---|---|
| Convolution layer 1 | 2 | 7 × 7, 64 | 112 × 112 | - |
| Convolution layer 2 | 2 | 56 × 56 | 3 × 3 maxpool | |
| Convolution layer 3 | 1 | 28 × 28 | - | |
| Convolution layer 4 | 1 | 14 × 14 | - | |
| Convolution layer 5 | 1 | 7 × 7 | - | |
| Average pooling | - | - | - | - |
| 1000–fully connected layer | - | - | 1 × 1 | - |
| Dataset | Accuracy | Precision | Recall | ||||||
|---|---|---|---|---|---|---|---|---|---|
| Proposed Method | SVM | CNN | Proposed Method | SVM | CNN | Proposed Method | SVM | CNN | |
| Figshare [36] | 98 | 94 | 97 | 97 | 95 | 97 | 95 | 94 | 94 |
| BRATS 2019 [37] | 99 | 97 | 98 | 97 | 96 | 97 | 94 | 93 | 93 |
| MICCAI BRATS [38] | 99 | 98 | 97 | 96 | 97 | 96 | 96 | 94 | 94 |
Disclaimer/Publisher’s Note: The statements, opinions and data contained in all publications are solely those of the individual author(s) and contributor(s) and not of MDPI and/or the editor(s). MDPI and/or the editor(s) disclaim responsibility for any injury to people or property resulting from any ideas, methods, instructions or products referred to in the content. |
© 2023 by the authors. Licensee MDPI, Basel, Switzerland. This article is an open access article distributed under the terms and conditions of the Creative Commons Attribution (CC BY) license (https://creativecommons.org/licenses/by/4.0/).
Share and Cite
Athisayamani, S.; Antonyswamy, R.S.; Sarveshwaran, V.; Almeshari, M.; Alzamil, Y.; Ravi, V. Feature Extraction Using a Residual Deep Convolutional Neural Network (ResNet-152) and Optimized Feature Dimension Reduction for MRI Brain Tumor Classification. Diagnostics 2023, 13, 668. https://doi.org/10.3390/diagnostics13040668
Athisayamani S, Antonyswamy RS, Sarveshwaran V, Almeshari M, Alzamil Y, Ravi V. Feature Extraction Using a Residual Deep Convolutional Neural Network (ResNet-152) and Optimized Feature Dimension Reduction for MRI Brain Tumor Classification. Diagnostics. 2023; 13(4):668. https://doi.org/10.3390/diagnostics13040668
Chicago/Turabian StyleAthisayamani, Suganya, Robert Singh Antonyswamy, Velliangiri Sarveshwaran, Meshari Almeshari, Yasser Alzamil, and Vinayakumar Ravi. 2023. "Feature Extraction Using a Residual Deep Convolutional Neural Network (ResNet-152) and Optimized Feature Dimension Reduction for MRI Brain Tumor Classification" Diagnostics 13, no. 4: 668. https://doi.org/10.3390/diagnostics13040668
APA StyleAthisayamani, S., Antonyswamy, R. S., Sarveshwaran, V., Almeshari, M., Alzamil, Y., & Ravi, V. (2023). Feature Extraction Using a Residual Deep Convolutional Neural Network (ResNet-152) and Optimized Feature Dimension Reduction for MRI Brain Tumor Classification. Diagnostics, 13(4), 668. https://doi.org/10.3390/diagnostics13040668

