Abstract
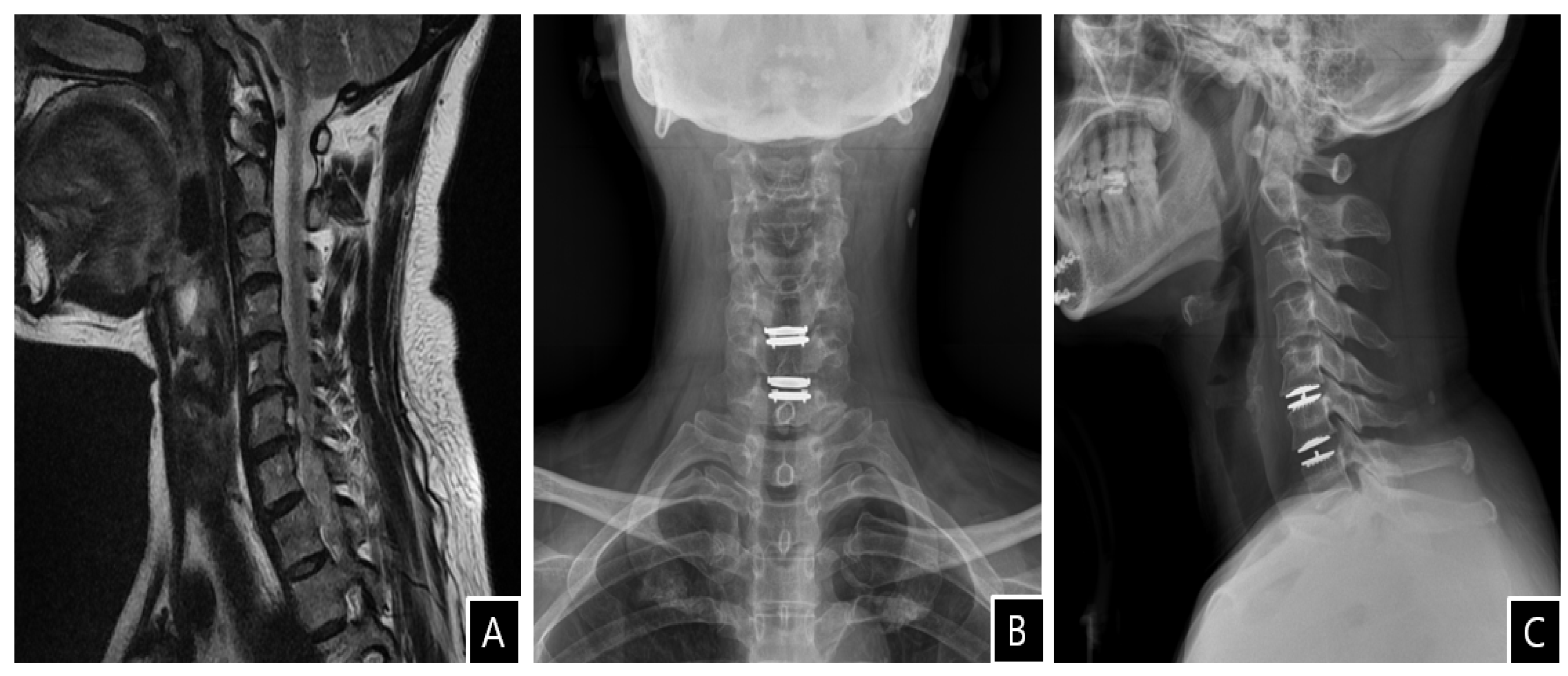
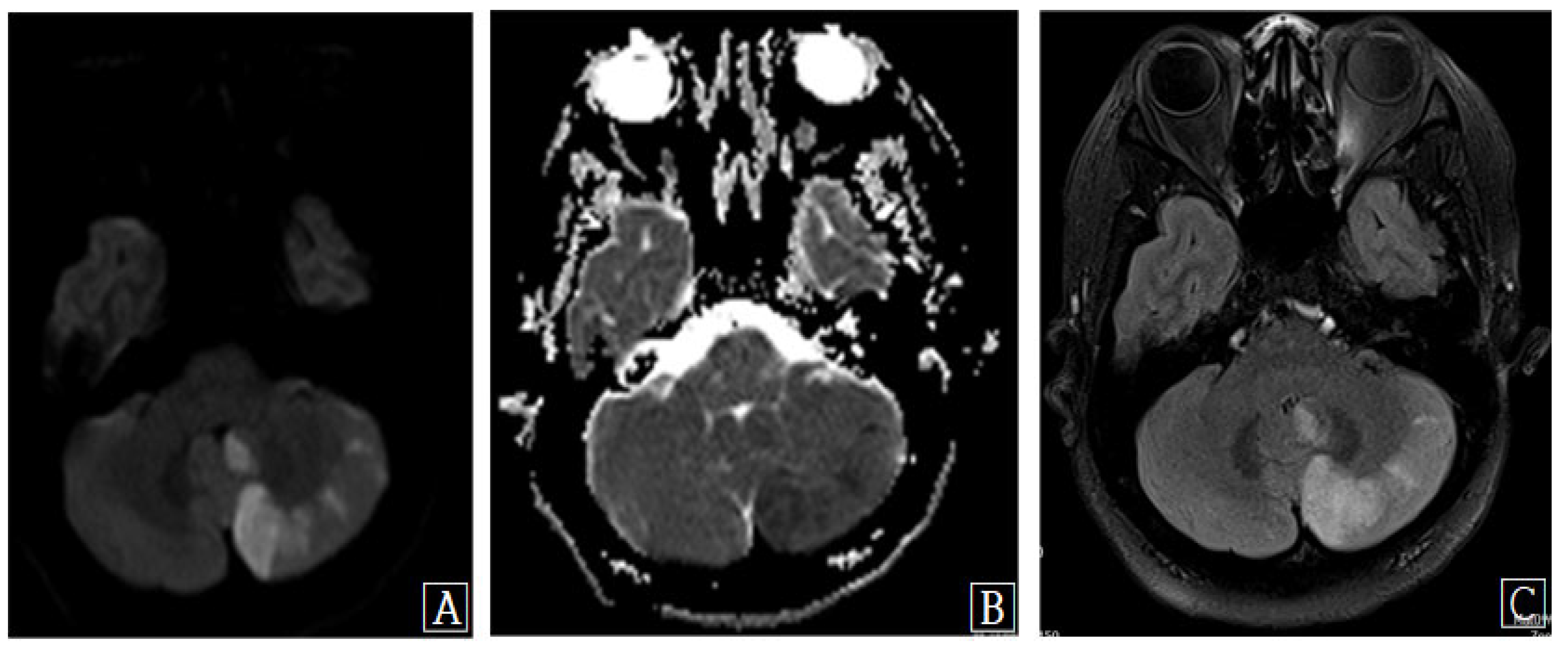
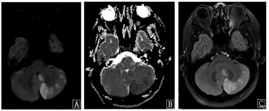
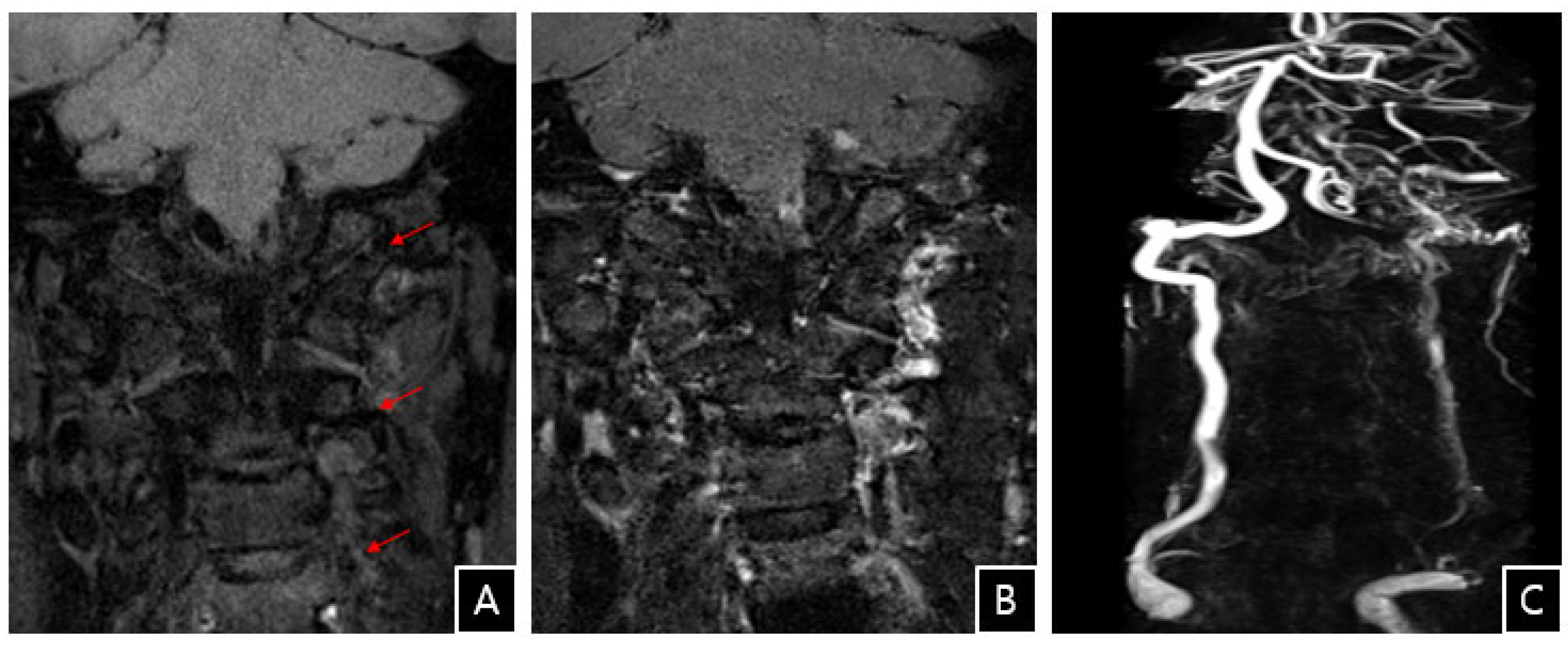
Vertebral artery dissection (VAD) is a rare vascular cause of acute stroke. Although VAD may be classified as spontaneous or traumatic, it is increasingly recognized that trivial mechanical stress typically precipitates this potentially dangerous condition. Herein, we report a rare case of VAD and acute stroke following anterior cervical decompression and artificial disc replacement (ADR). To our knowledge, there have been no other cases of acute vertebrobasilar stroke caused by VAD following anterior cervical decompression and ADR. This case highlights that, although rare, acute vertebrobasilar stroke may occur after the anterior cervical approach.
Author Contributions
Conceptualization, S.W.K.; methodology, S.H.A. and S.W.K.; validation, S.W.K.; formal analysis, S.W.K.; investigation, S.H.A.; writing—original draft preparation, D.K.K. and S.W.K.; writing—review and editing, H.K. and S.W.K. All authors have read and agreed to the published version of the manuscript.
Funding
This research received no external funding.
Institutional Review Board Statement
Not applicable.
Informed Consent Statement
Consent for publication was obtained from the patient.
Data Availability Statement
Not applicable.
Conflicts of Interest
The authors have no financial conflict of interest.
References
- Burke, J.P.; Gerszten, P.C.; Welch, W.C. Iatrogenic vertebral artery injury during anterior cervical spine surgery. Spine J. 2005, 5, 508–514. [Google Scholar] [CrossRef]
- Daentzer, D.; Deinsberger, W.; Böker, D.K. Vertebral artery complications in anterior approaches to the cervical spine: Report of two cases and review of literature. Surg. Neurol. 2003, 59, 300–309. [Google Scholar] [CrossRef]
- Yi, H.J. Epidemiology and Management of Iatrogenic Vertebral Artery Injury Associated With Cervical Spine Surgery. Korean J Neurotrauma 2022, 18, 34–44. [Google Scholar] [CrossRef]
- Rubenstein, S.M.; Peerdeman, S.M.; van Tulder, M.W.; Riphagen, I.; Haldeman, S. A systematic review of the risk factors for cervical artery dissection. Stroke 2005, 36, 1575–1580. [Google Scholar] [CrossRef] [PubMed]
- Dickerman, R.D.; Zigler, J.E. Atraumatic vertebral artery dissection after cervical corpectomy: A traction injury? Spine 2005, 30, E658–E661. [Google Scholar] [CrossRef]
- Sheth, A.A.; Honeybul, S. Vertebral artery dissection following a posterior cervical foraminotomy. J. Surg. Case Rep. 2017, 2017, rjx014. [Google Scholar] [CrossRef][Green Version]
- Ringrose, T.; Thompson, W. An unusual case of post operative nausea, vomiting and neck pain. Crit. Care Resusc. 1999, 1, 288–290. [Google Scholar] [PubMed]
Disclaimer/Publisher’s Note: The statements, opinions and data contained in all publications are solely those of the individual author(s) and contributor(s) and not of MDPI and/or the editor(s). MDPI and/or the editor(s) disclaim responsibility for any injury to people or property resulting from any ideas, methods, instructions or products referred to in the content. |
© 2023 by the authors. Licensee MDPI, Basel, Switzerland. This article is an open access article distributed under the terms and conditions of the Creative Commons Attribution (CC BY) license (https://creativecommons.org/licenses/by/4.0/).


