Monitoring Leishmania infantum Infections in Female Lutzomyia longipalpis by Using DNA Extraction on Cation Exchange Paper and PCR Pool Testing
Abstract
1. Introduction
2. Materials and Methods
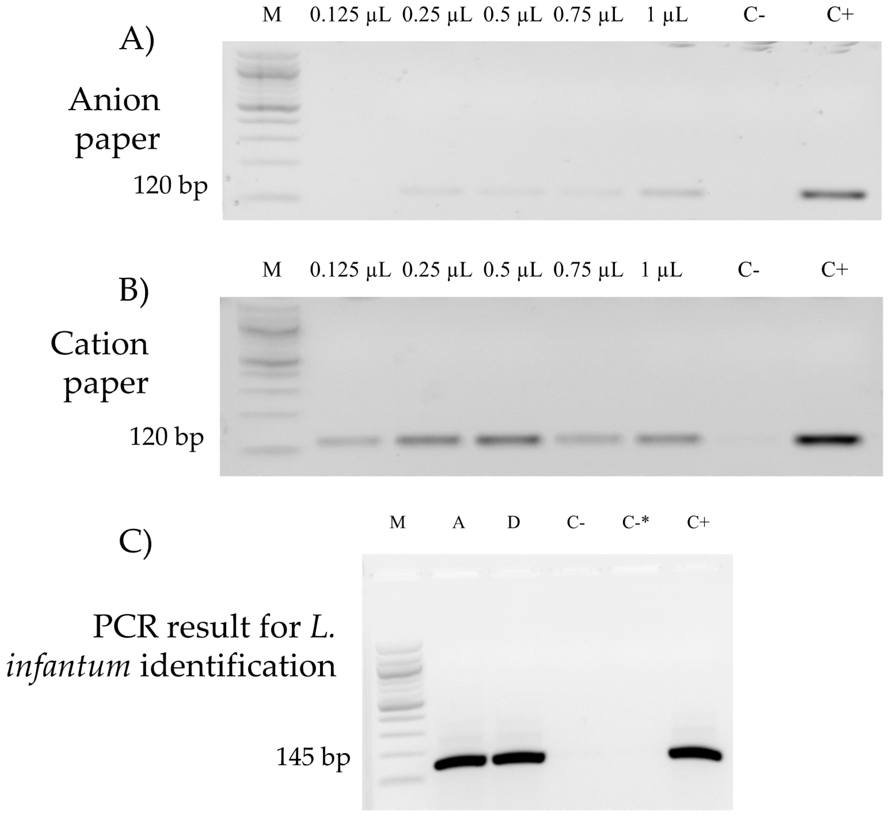
3. Results
4. Discussion
5. Conclusions
Author Contributions
Funding
Institutional Review Board Statement
Informed Consent Statement
Data Availability Statement
Acknowledgments
Conflicts of Interest
References
- World Health Organization (WHO ). Leishmaniasis, Epidemiological Situation. 2019. Available online: http://www.who.int/leishmaniasis/burden/en/ (accessed on 20 June 2022).
- Oliveira, S.S.; Hiramoto, R.M.; Rangel, O.; Henriques, L.F.; Junior, A.V.; Taniguti, H.; Barbosa, J.E.R.; Casanova, C.; Sampaio, S.M.P.; Spínola, R.; et al. Epidemiological classification of the municipalities of the São Paulo according to the Visceral Leishmaniasis Control and Surveillance Program, 2018. Bol. Paul Epidemiol. 2019, 16, 29–46. [Google Scholar]
- Brasil. Ministério da Saúde. Leishmaniose Visceral. Guia de Vigilância em Saúde, Editora MS—2ª. Ed. 2017; pp. 477–496. Available online: http://www.saude.gov.br/images/PDF/2017/outubro/16/Volume-Unico-2017.pdf (accessed on 25 August 2022).
- Pita-Pereira, D.; Cardoso, M.A.B.; Alves, C.R.; Brazil, R.P.; Britto, C. Detection of natural infection in Lutzomyia cruzi and Lutzomyia forattinii (Diptera: Psychodidae: Phlebotominae) by Leishmania infantum chagasi in an endemic area of Visceral Leishmaniasis in Brazil using a PCR multiplex assay. Acta Trop. 2008, 107, 66–69. [Google Scholar] [CrossRef] [PubMed]
- Acardi, S.A.; Liotta, D.J.; Santini, M.S.; Romagosa, C.M.; Salomón, O.D. Detection of Leishmania infantum in naturally infected Lutzomyia longipalpis (Diptera: Psychodidae: Phlebotominae) and Canis familiaris in Misiones, Argentina: The first report of a PCR-RFLP and sequencing-based confirmation assay. Mem. Inst. Oswaldo Cruz 2010, 105, 796–799. [Google Scholar] [CrossRef] [PubMed]
- Bezerra-Vasconcelos, D.R.; Melo, L.M.; Albuquerque, E.S.; Luciano, M.C.S.; Bevilaqua, C.M.L. Real-time PCR to assess the Leishmania load in Lutzomyia longipalpis sand flies: Screening of target genes and assessment of quantitative methods. Exp. Parasitol. 2011, 129, 234–239. [Google Scholar] [CrossRef] [PubMed]
- Trajano-Silva, L.A.M.; Pessoa-E-Silva, R.; Gonçalves-de-Albuquerque, S.C.; Morais, R.C.S.; da Costa-Oliveira, C.N.; de Goes, T.C.; Paiva-Cavalcanti, M. Standardization and evaluation of a duplex real-time quantitative PCR for the detection of Leishmania infantum DNA: A sample quality control approach. Rev. Soc. Bras. Med. Trop. 2017, 50, 350–357. [Google Scholar] [CrossRef]
- Mota, T.F.; Sousa, O.M.F.; Silva, Y.J.; Borja, L.S.; Leite, B.M.M.; Solca, M.S.; Melo, D.A.; Brodskyn, C.; Dias, E.S.; Veras, P.S.T.; et al. Natural infection by Leishmania infantum in the Lutzomyia longipalpis population of an endemic coastal area to Visceral Leishmaniasis in Brazil is not associated with bioclimatic factors. PLoS Negl. Trop. Dis. 2019, 13, e0007626. [Google Scholar] [CrossRef] [PubMed]
- Thakur, S.; Joshi, J.; Kaur, S. Leishmaniasis diagnosis: An update on the use of parasitological, immunological and molecular methods. J. Parasit. Dis. 2020, 44, 253–272. [Google Scholar] [CrossRef]
- Paiva, B.R.; Secundino, N.F.C.; Pimenta, P.F.P.; Galati, E.A.B.; Andrade Junior, H.F.; Malafronte, R.S. Standardization of conditions for PCR detection of Leishmania spp. DNA in sand flies (Diptera, Psychodidae). Cad. Saude Publica 2007, 23, 87–94. [Google Scholar] [CrossRef]
- Lana, R.S.; Michalsky, É.M.; Fortes-Dias, C.L.; França-Silva, J.C.; Lara-Silva, F.; Lima, A.C.; Moreira de Avelar, D.; Martins, J.C.; Dias, E.S. Phlebotomine sand fly fauna and Leishmania infection in the vicinity of the Serra do Cipó National Park, a natural Brazilian heritage site. BioMed Res. Internat. 2015, 2015, 385493. [Google Scholar] [CrossRef] [PubMed]
- Costa, L.N.G.; Borba, A.S.; Castagna, C.L.; Carvalho Filho, E.B.; Marson, F.A.L.; Sá Junior, F.F.; Angerami, R.N.; Levy, C.E. Evaluation of PCR in the diagnosis of canine Leishmaniasis in two different epidemiological regions: Campinas (SP) and Teresina (PI), Brazil. Epidemiol. Infect. 2014, 143, 1088–1095. [Google Scholar] [CrossRef] [PubMed]
- Freitas, V.C.; Parreiras, K.P.; Duarte, A.P.; Secundino, N.F.; Pimenta, P.F. Development of Leishmania (Leishmania) infantum chagasi in its natural sandfly vector Lutzomyia longipalpis. Am. J. Trop. Med. Hyg. 2012, 86, 606–612. [Google Scholar] [CrossRef] [PubMed]
- Silva, J.G.D.; Werneck, G.L.; Pires e Cruz, M.S.; Costa, C.H.N.; Mendonça, I.L. Natural infection of Lutzomyia longipalpis by Leishmania sp. in Teresina, Piauí State, Brazil. Cad. Saude Publica 2007, 23, 1715–1720. [Google Scholar] [CrossRef] [PubMed][Green Version]
- Michalsky, E.M.; Guedes, K.S.; Silva, F.O.L.; França-Silva, J.C.; Dias, C.L.F.; Barata, R.A.; Dias, E.S. Natural infection with Leishmania infantum chagasi in Lutzomyia (Lutzomyia) longipalpis (Diptera: Psychodidae) sandflies captured in the municipality of Janaúba, State of Minas Gerais, Brazil. Rev. Soc. Bras. Med. Trop. 2011, 44, 58–62. [Google Scholar] [CrossRef] [PubMed]
- Soares, M.R.A.; Carvalho, C.C.; Silvia, L.A.; Lima, M.S.C.S.; Barral, A.M.P.; Rebelo, J.M.M.; Pereira, S.R.F. Molecular analysis of natural infection of Lutzomyia longipalpis in an endemic area for Visceral Leishmaniasis in Brazil. Cad. Saude Publica 2010, 26, 2409–2413. [Google Scholar] [CrossRef] [PubMed]
- Vexenat, J.A.; Barretto, A.C.; Cuba, C.C.; Marsden, P.D. Epidemiological characteristics of American cutaneous Leishmaniasis in an endemic region of the State of Bahia. III. Phlebotomine fauna. Mem. Inst. Oswaldo Cruz 1986, 81, 293–301. [Google Scholar] [CrossRef]
- Miranda, J.C.; Reis, E.; Schriefer, A.; Gonçalves, M.; Reis, M.G.; Carvalho, L.; Fernandes, O.; Barral-Netto, M.; Barral, A. Frequency of infection of Lutzomyia phlebotomines with Leishmania braziliensis in a Brazilian endemic area as assessed by pinpoint capture and polymerase chain reaction. Mem. Inst. Oswaldo Cruz 2002, 97, 185–188. [Google Scholar] [CrossRef]
- Oliveira-Pereira, Y.N.O.; Rebêlo, J.M.M.; Moraes, J.L.P.; Pereira, S.R.F. Molecular diagnosis of the natural infection rate due to Leishmania sp in sandflies (Psychodidae, Lutzomyia) in the Amazon region of Maranhão, Brazil. Rev. Soc. Bras. Med. Trop. 2006, 39, 540–543. [Google Scholar] [CrossRef] [PubMed]
- Killick-Kendrick, R. Phlebotomine vectors of the leishmaniases: A review. Med. Vet. Entomol. 1990, 4, 1–24. [Google Scholar] [CrossRef] [PubMed]


| Municipality | Female * | Male * | Total | Pools (N = 10) | Infection Minimum Rate (%) ** | ||||
|---|---|---|---|---|---|---|---|---|---|
| N | % | N | % | N | % | N | Positive | ||
| Araçatuba | 460 | 30.3 | 1056 | 69.7 | 1516 | 100 | 46 | 1 | 0.22 |
| Dracena | 460 | 25.9 | 1312 | 74.1 | 1772 | 100 | 46 | 1 | 0.22 |
| São Pedro | 80 | 23.2 | 265 | 76.8 | 345 | 100 | 8 | 0 | 0.00 |
| Valinhos | 60 | 24.3 | 187 | 75.7 | 247 | 100 | 6 | 0 | 0.00 |
| Total | 1060 | 27.3 | 2820 | 72.7 | 3880 | 100 | 106 | 2 | 0.19 |
Publisher’s Note: MDPI stays neutral with regard to jurisdictional claims in published maps and institutional affiliations. |
© 2022 by the authors. Licensee MDPI, Basel, Switzerland. This article is an open access article distributed under the terms and conditions of the Creative Commons Attribution (CC BY) license (https://creativecommons.org/licenses/by/4.0/).
Share and Cite
Coutinho, T.L.; Marson, F.A.L.; Rangel, O.; Giorgio, S.; Silva, K.C.; Levy, C.E. Monitoring Leishmania infantum Infections in Female Lutzomyia longipalpis by Using DNA Extraction on Cation Exchange Paper and PCR Pool Testing. Diagnostics 2022, 12, 2653. https://doi.org/10.3390/diagnostics12112653
Coutinho TL, Marson FAL, Rangel O, Giorgio S, Silva KC, Levy CE. Monitoring Leishmania infantum Infections in Female Lutzomyia longipalpis by Using DNA Extraction on Cation Exchange Paper and PCR Pool Testing. Diagnostics. 2022; 12(11):2653. https://doi.org/10.3390/diagnostics12112653
Chicago/Turabian StyleCoutinho, Tiago Leonetti, Fernando Augusto Lima Marson, Osias Rangel, Selma Giorgio, Kamila Cristina Silva, and Carlos Emilio Levy. 2022. "Monitoring Leishmania infantum Infections in Female Lutzomyia longipalpis by Using DNA Extraction on Cation Exchange Paper and PCR Pool Testing" Diagnostics 12, no. 11: 2653. https://doi.org/10.3390/diagnostics12112653
APA StyleCoutinho, T. L., Marson, F. A. L., Rangel, O., Giorgio, S., Silva, K. C., & Levy, C. E. (2022). Monitoring Leishmania infantum Infections in Female Lutzomyia longipalpis by Using DNA Extraction on Cation Exchange Paper and PCR Pool Testing. Diagnostics, 12(11), 2653. https://doi.org/10.3390/diagnostics12112653

