Melanocyte Colonization and Pigmentation of Breast Carcinoma: Description of Two Pathological Cases and Review of Literature
Abstract
1. Introduction
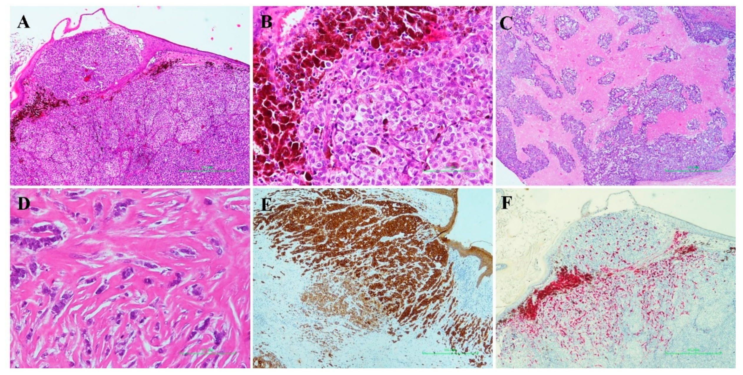
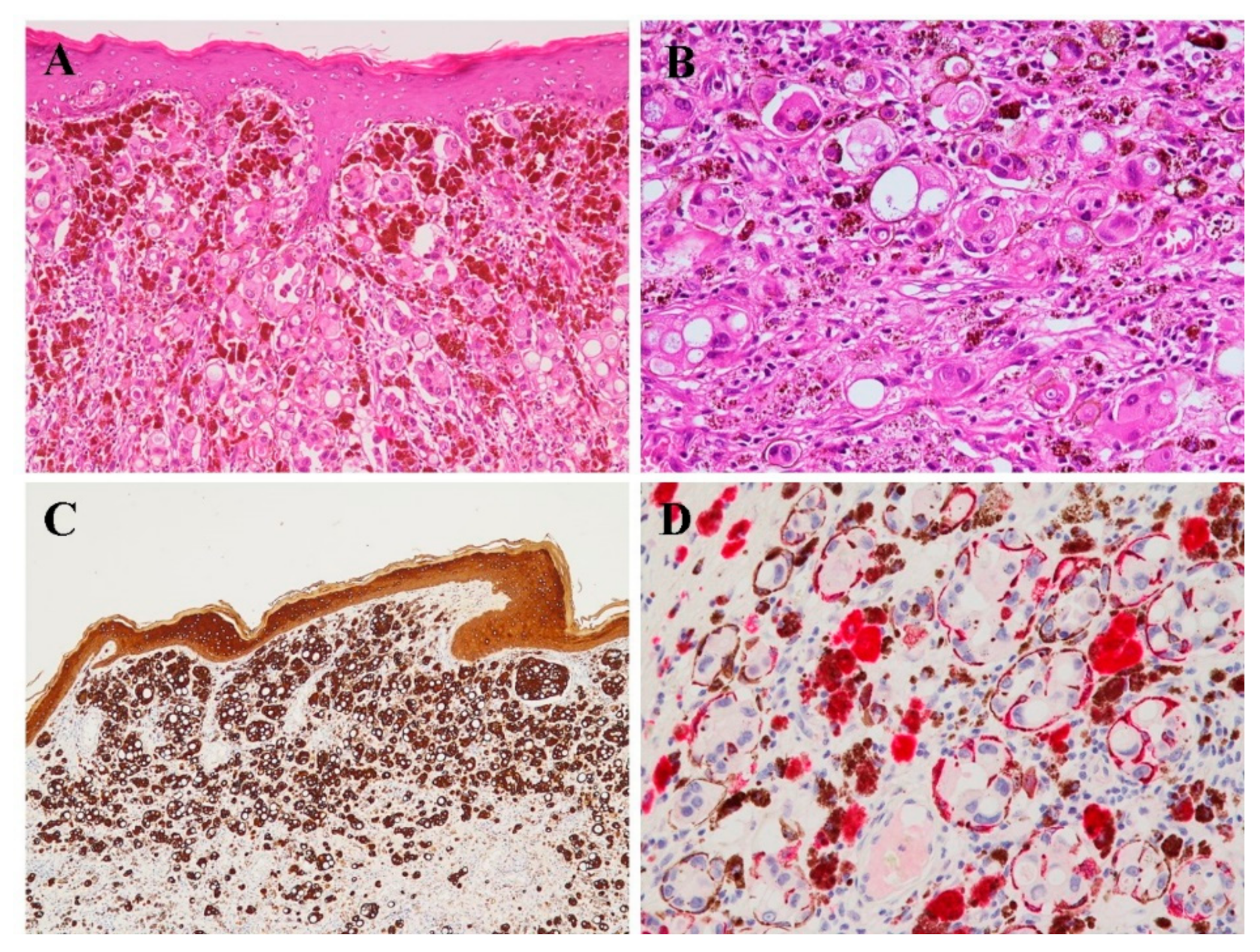
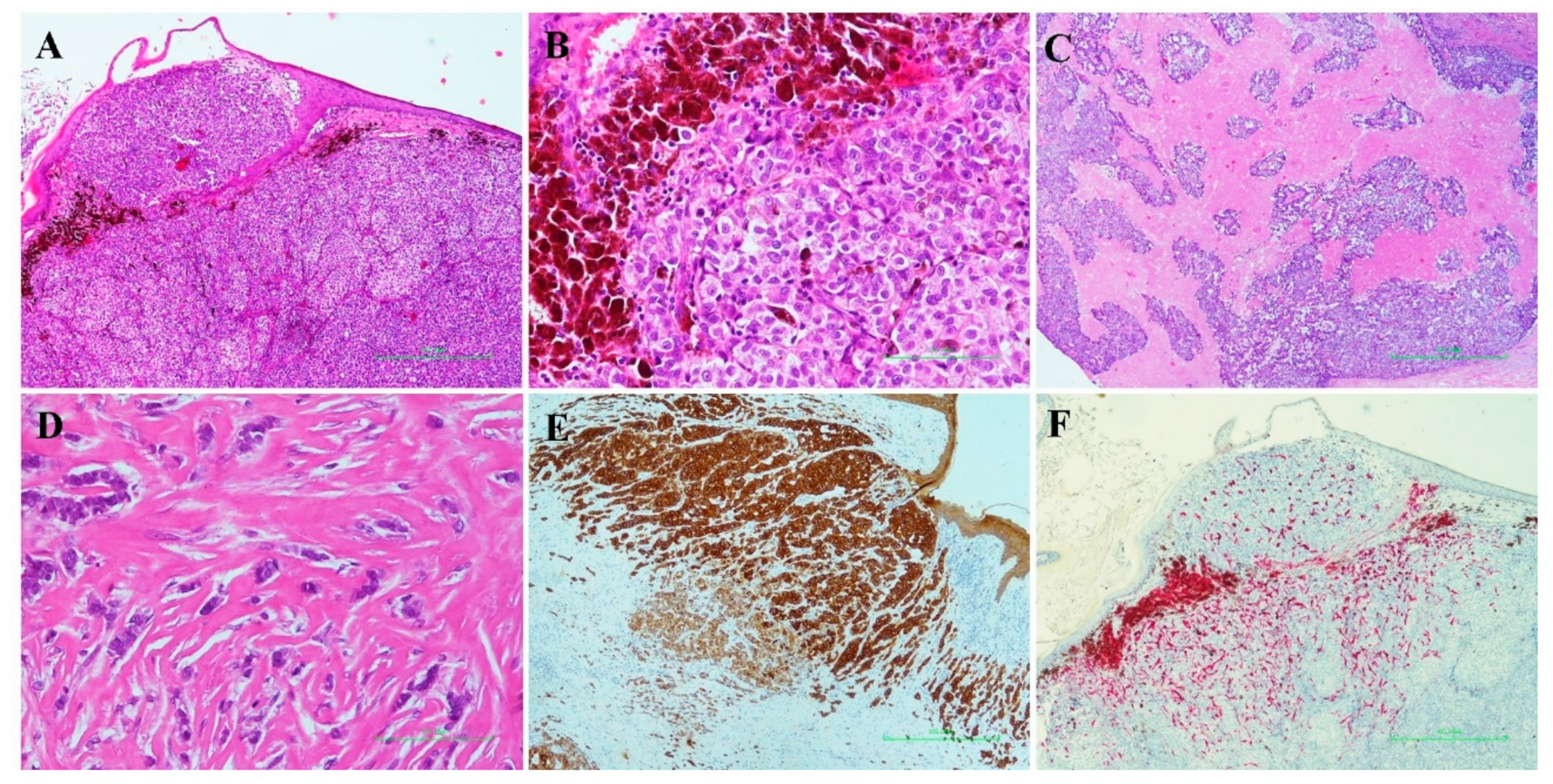
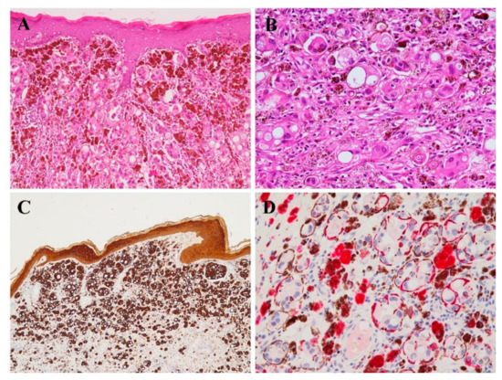
2. Case Report and Review of Literature
3. Discussion
4. Conclusions
Author Contributions
Funding
Institutional Review Board Statement
Informed Consent Statement
Data Availability Statement
Conflicts of Interest
References
- Azzopardi, J.G.; Eusebi, V. Melanocyte colonization and pigmentation of breast carcinoma. Histopathology 1977, 1, 21–30. [Google Scholar] [CrossRef]
- Marco, V.; Autonell, J.; Cirera, L.; Gay, M. Breast cancer melanosis in a postmastectomy scar. Cancer 1988, 62, 206–209. [Google Scholar] [CrossRef]
- Poiares-Baptista, A.; Abreu de Vasconcelos, A. Cutaneous Pigmented Metastasis from Breast Carcinoma Simulating Malignant Melanoma. Int. J. Dermatol. 1988, 27, 124–125. [Google Scholar] [CrossRef] [PubMed]
- Pierard, G.E.; Pierard-Franchimont, C.; Arrese Estrada, J.; Ben Mosbah, T. Tumeurs epitheliales a contingent melanocytaire. In Annales de Dermatologie et de Vénéréologie; Elsevier: Amsterdam, The Netherlands, 1990; Volume 117, pp. 291–293. [Google Scholar]
- Konomi, K.; Imayama, S.; Nagae, S.; Terasaka, R.; Chijiiwa, K.; Yashima, Y. Melanocyte chemotactic factor produced by skin metastases of a breast carcinoma. J. Surg. Oncol. 1992, 50, 62–66. [Google Scholar] [CrossRef]
- Kutzner, H.; Hugel, H.; Embacher, G. Pigmentierte Morbus Paget und pigmentierte Mammakarzinommetastase. Klinische und histologische Nachahmer maligner Melanome der Brust. Hautarzt 1992, 43, 28–31. [Google Scholar] [PubMed]
- Shamai-Lubovitz, O.; Rothem, A.; Ben-David, E.; Sandbank, M.; Hauben, D. Cutaneous metastatic carcinoma of the breast mimicking malignant melanoma, clinically and histologically. J. Am. Acad. Dermatol. 1994, 31, 1058–1060. [Google Scholar] [CrossRef]
- Bourlond, A. Pigmented Epidermotropic Metastasis of a Breast Carcinoma. Dermatology 1994, 189, 46–49. [Google Scholar] [CrossRef]
- Requena, L.; Yus, E.S.; Núñez, C.; White Jr, C.R.; Sangueza, O.P. Epidermotropically metastatic breast carcinomas. Rare histopathologic variants mimicking melanoma and Paget’s disease. Am. J. Dermatopathol. 1996, 18, 385–395. [Google Scholar] [CrossRef]
- Requena, L.; Sangueza, M.; Sangueza, O.P.; Kutzner, H. Pigmented Mammary Paget Desease and Pigmented Epidermotropic Metasta-ses from Breast Carcinoma. Am. J. Dermatopathol. 2002, 24, 189–198. [Google Scholar] [CrossRef]
- Mele, M.; Laurberg, T.; Engberg Damsgaard, T.; Funder, J.; Jensen, V. Melanocyte colonization and pigmentation of breast carci-noma: Pathological and clinical aspects. Case Rep. Pathol. 2012, 2012, 427628. [Google Scholar]
- Ubillos, N.; Vola, M.; Mazzei, M.E.; Magliano, J. Pigmented Cutaneous Meastasis of Breast Carcinoma Mimicking a Melanoma. Actas Dermosifiliogr. 2016, 107, 699–701. [Google Scholar] [CrossRef]
- Koga, K.; Nakaura, J.; Imafuku, S.; Nabeshima, K. Pigmented epidermotropic metastasis from breast carcinoma. J. Dermatol. 2017, 44, 1414–1416. [Google Scholar] [CrossRef]
- Gaitan-Gaona, F.; Said, M.C.; Valdes-Rodriguez, R. Cutaneos Metastatic Pigmented Breast Carcinoma. Dermatol. Online J. 2016, 22, 13030. [Google Scholar]
- Ishihara-Yusa, S.; Fujimura, T.; Lyu, C.; Sugawara, M.; Sakamoto, K.; Aiba, S. Breast Cancer Metastasis in the Skin with Hyperkeratotic Pigmentation Caused by Melanocyte Colonization. Case Rep. Oncol. 2018, 11, 660–664. [Google Scholar] [CrossRef]
- Yalici-Armagan, B.; Demircan, C.; Elcin, G. Melanoma-like pigmented cutaneous metastasis of breast carcinoma. Int. Wound J. 2019, 16, 1570–1571. [Google Scholar] [CrossRef] [PubMed]
- Ruffolo, E.F.; Koerner, F.C.; Maluf, H.M. Metaplastic carcinoma of the breast with melanocytic differentiation. Mod. Pathol. 1997, 10, 592–596. [Google Scholar] [PubMed]
- Varga, Z.; A Kubik-Huch, R.; Spycher, M.; Pok, J.; Caduff, R. Melanosis arising in a lumpectomy scar, mimicking invasive carcinoma. Histopathology 1999, 35, 284–287. [Google Scholar] [CrossRef]
- Bartal, A.H.; Pinsky, C.M. Malignant melanoma appearing in a post-mastectomy lymphedematous arm: A novel association of double primary tumors. J. Surg. Oncol. 1985, 30, 16–18. [Google Scholar] [CrossRef]
- Rosen, P.P. Anatomy. In Rosen’s Breast Pathology; Lippincott-Raven: Philadelphia, PA, USA, 1997; Chapter 1; pp. 1–5. [Google Scholar]
- Rosen, P.P. Inflammatory and reactive tumors. In Rosen’s Breast Pathology; Lippincott-Raven: Philadelphia, PA, USA, 1997; Chapter 3; pp. 23–56. [Google Scholar]
- Rosen, P.P. Cutaneous neo-plasms. In Rosen’s Breast Pathology; Lippincott-Raven: Philadelphia, PA, USA, 1997; Chapter 46; pp. 789–799. [Google Scholar]
- Davies, J.D. Pigmented periductal cells (ochrocytes) in mammary dysplasias: Their nature and significance. J. Pathol. 1974, 114, 205–216. [Google Scholar] [CrossRef]
- Wilkins, L.; Gilchrest, B.A.; Szabo, G.; Weinstein, R.; Maciag, T. The stimulation of normal human melanocyte proliferation in vitro by mela-nocyte growth factor from bovine brain. J. Cell. Physiol. 1985, 122, 350–361. [Google Scholar] [CrossRef]
- Saitoh, K.; Saga, K.; Okazaki, M.; Maeda, K. Pigmented primary carcinoma of the breast: A clinical mimic of malignant mela-noma. Br. J. Dermatol. 1998, 139, 287–290. [Google Scholar] [CrossRef]
- Zabierowski, S.E.; Fukunaga-Kalabis, M.; Li, L.; Herlyn, M. Dermis-derived stem cells: A source of epidermal melanocytes and melanoma? Pigment. Cell Melanoma Res. 2011, 24, 422–429. [Google Scholar] [CrossRef]
- Aoki, H.; Yamada, Y.; Hara, A.; Kunisada, T. Two distinct types of mouse melanocyte: Differential signaling requirement for the maintenance of non-cutaneous and dermal versus epidermal melanocytes. Development 2009, 136, 2511–2521. [Google Scholar] [CrossRef]
- Sommer, L. Generation of melanocytes from neural crest cells. Pigment. Cell Melanoma Res. 2011, 24, 411–421. [Google Scholar] [CrossRef] [PubMed]
- Koppel, R.A.; Boh, E.E. Cutaneous reactions to chemotherapeutic agents. Am. J. Med. Sci. 2001, 321, 327–335. [Google Scholar] [CrossRef]
- Mitera, G.; Chan, G.; Mah, K.; Law, R.; DeAngelis, C.; Dent, R.; Chow, E. A Rare Adverse Skin Reaction after 8 Gy of Radiation Therapy to the Thoracic Spine: Case Report and Review of the Literature. Curr. Oncol. 2010, 17, 70. [Google Scholar] [CrossRef] [PubMed]
- Kim, S.K.; Kim, Y.W.; Youn, H.J.; Park, H.S.; Jung, S.H. Primary cutaneous malignant melanoma of the breast. J. Korean Surg. Soc. 2012, 83, 388. [Google Scholar] [CrossRef] [PubMed]
- He, Y.; Mou, J.; Luo, D.; Gao, B.; Wen, Y. Primary malignant melanoma of the breast: A case report and review of the literature. Oncol. Lett. 2014, 8, 238–240. [Google Scholar] [CrossRef] [PubMed]
- Bacchi, C.E.; Wludarski, S.C.; Ambaye, A.B.; Lamovec, J.; Salviato, T.; Falconieri, G. Metastatic Melanoma Presenting as an Isolated Breast Tumor: A Study of 20 Cases With Emphasis on Several Primary Mimickers. Arch. Pathol. Lab. Med. 2013, 137, 41–49. [Google Scholar] [CrossRef]
- Agaimy, A.; Specht, K.; Stoehr, R.; Lorey, T.; Märkl, B.; Niedobitek, G.; Straub, M.; Hager, T.; Reis, A.C.; Schilling, B.; et al. Metastatic Malignant Melanoma With Complete Loss of Differentiation Markers (Undifferentiat-ed/Dedifferentiated Melanoma): Analysis of 14 Patients Emphasizing Phenotypic Plasticity and the Value of Molecular Testing as Surrogate Diagnostic Marker. Am. J. Surg. Pathol. 2016, 40, 181–191. [Google Scholar] [CrossRef]
- Carswell, K.A.; Behranwala, K.A.; Nerurkar, A.; Gui, G.P. Breast carcinoma and malignant melanoma metastasis within a sin-gle axillary lymph node. Int. Semin. Surg. Oncol. 2006, 3, 1–5. [Google Scholar] [CrossRef][Green Version]
- Sauder, C.A.; E Koziel, J.; Choi, M.; Fox, M.J.; Grimes, B.R.; Badve, S.; Blosser, R.J.; Radovich, M.; Lam, C.C.; Vaughan, M.B.; et al. Phenotypic plasticity in normal breast derived epithelial cells. BMC Cell Biol. 2014, 15, 1–15. [Google Scholar] [CrossRef]
- Nobukawa, B.; Fujii, H.; Hirai, S.; Kumasaka, T.; Shimizu, H.; Matsumoto, T.; Suda, K.; Futagawa, S. Breast carcinoma diverging to aberrant melanocytic differentiation: A case report with histopathologic and loss of heterozygosity analyses. Am. J. Surg. Pathol. 1999, 23, 1280. [Google Scholar] [CrossRef]
- Zhang, X.; Liang, Y.; Wang, H.-Y. Invasive ductal carcinoma of the breast associated with extensive melanin melanosis: A case report and review of the literature. Int. J. Clin. Exp. Pathol. 2014, 7, 1218–1223. [Google Scholar]


| Author | Year | Number of Cases | Age (Years)/Sex | Breast Carcinoma Histology (± Immunohistochemistry) | Melanocyte Colonization Histology | Pigmentation in Primary Carcinoma | Pigmentation in Recurrence/Cutaneous Metastasis | Therapy | Reference |
|---|---|---|---|---|---|---|---|---|---|
| Azzopardi and Eusebi | 1977 | 14 | ND | 13 invasive ductal carcinomas, 1 invasive lobular carcinoma | Involvement of dermo-epidermal junction, presence of pigment in the cytoplasm of breast carcinoma cells, proliferation of dendritic melanocytes among carcinoma cells | ND | ND | ND | [1] |
| Marco et al. | 1988 | 1 | 45/F | Invasive ductal carcinoma | Involvement of dermo-epidermal junction, proliferation of dendritic melanocytes and numerous melanophages among neoplastic cells of mammary carcinoma | NO | YES | Surgery + chemotherapy and radiotherapy | [2] |
| Poiares-Baptista and Abreu de Vasconcelos | 1988 | 1 | 70/F | Invasive carcinoma NOS | Involvement of dermo-epidermal junction, melanin within intraepidermal Paget cells, melanophages in papillary dermis | NO | YES | Radiotherapy | [3] |
| Pierard et al. | 1990 | 1 | ND | Invasive carcinoma NOS | Involvement of dermo-epidermal junction, proliferation of dendritic melanocytes among neoplastic cells of mammary carcinoma | ND | ND | ND | [4] |
| Konomi et al. | 1992 | 1 | 65/F | Invasive papillo-tubular carcinoma, ER- | Involvement of derm-oepidermal junction, proliferation of dendritic melanocytes among neoplastic cells of mammary carcinoma | NO | YES | Surgery + chemotherapy and radiotherapy | [5] |
| Kutzner et al. | 1992 | 1 | 53/F | Invasive carcinoma NOS | Involvement of derm-oepidermal junction, proliferation of dendritic melanocytes among neoplastic cells of mammary carcinoma | ND | ND | ND | [6] |
| Shamal-Lubovitz et al. | 1994 | 1 | 40/F | Invasive ductal carcinoma | Involvement of dermo-epidermal junction, melanin within neoplastic cells of mammary carcinoma | NO | YES | Surgery + chemotherapy and radiotherapy | [7] |
| Bourlond | 1994 | 1 | 79/F | Moderately differentiated invasive canalicular adenocarcinoma | Involvement of dermo-epidermal junction, proliferation of dendritic melanocytes among neoplastic cells of mammary carcinoma, melanophages in the papillary dermis | NO | YES | Surgery + chemotherapy and tamoxifen | [8] |
| Requena et al. | 1996 | 2 | 76/F-52/F | 1 invasive ductal carcinoma, 1 invasive carcinoma NOS | Involvement of dermo-epidermal junction, proliferation of dendritic melanocytes among neoplastic cells of mammary carcinoma | NO | YES | Surgery | [9] |
| Requena et al. | 2002 | 6 | middle age 63.8/F | Invasive carcinoma NOS | Involvement of dermo-epidermal junction, proliferation of dendritic melanocytes among neoplastic cells of mammary carcinoma, melanin within neoplastic cells | NO | YES | Only surgery in 5 patients; surgery + radiotherapy in 1 patient | [10] |
| Mele et al. | 2012 | 1 | 74/F | Invasive carcinoma, ER+ | Involvement of dermo-epidermal junction, proliferation of dendritic melanocytes among neoplastic cells of mammary carcinoma | NO | YES | Surgery + letrozole | [11] |
| Ubillos et al. | 2016 | 1 | 67/F | Invasive ductal carcinoma | Involvement of dermo-epidermal junction, presence of pigment in the cytoplasm of breast carcinoma cells | NO | YES | Surgery + chemotherapy and radiotherapy | [12] |
| Koga et al. | 2016 | 1 | 60/F | Inflammatory breast carcinoma | Involvement of dermo-epidermal junction, proliferation of dendritic melanocytes and melanophages among neoplastic cells of mammary carcinoma | NO | YES | Chemotherapy + hormonal treatment | [13] |
| Gaitan-Gaona et al. | 2016 | 1 | 66/F | Invasive ductal carcinoma, ER+, PR+ | Involvement of dermo-epidermal junction, presence of pigment in the cytoplasm of breast carcinoma cells, proliferation of dendritic melanocytes among carcinoma cells | YES | The patient is currently free of disease | None (a pigmented cutaneous metastasis was the first manifestation of breast carcinoma) | [14] |
| Ishihara-Yusa et al. | 2018 | 1 | 48/F | Invasive ductal carcinoma | Involvement of dermo-epidermal junction, proliferation of dendritic melanocytes among neoplastic cells of mammary carcinoma | NO | YES | Surgery + chemotherapy | [15] |
| Yalici-Armagan et al. | 2019 | 1 | 61/F | Invasive ductal carcinoma | ND | NO | YES | Surgery + chemotherapy and hormonal treatment | [16] |
Publisher’s Note: MDPI stays neutral with regard to jurisdictional claims in published maps and institutional affiliations. |
© 2021 by the authors. Licensee MDPI, Basel, Switzerland. This article is an open access article distributed under the terms and conditions of the Creative Commons Attribution (CC BY) license (https://creativecommons.org/licenses/by/4.0/).
Share and Cite
Santoro, A.; Angelico, G.; Fiorentino, V.; Zhang, Q.; Spadola, S.; Carlino, A.; Sanchez, A.M.; Franceschini, G.; Zannoni, G.F.; Mulè, A. Melanocyte Colonization and Pigmentation of Breast Carcinoma: Description of Two Pathological Cases and Review of Literature. Diagnostics 2021, 11, 709. https://doi.org/10.3390/diagnostics11040709
Santoro A, Angelico G, Fiorentino V, Zhang Q, Spadola S, Carlino A, Sanchez AM, Franceschini G, Zannoni GF, Mulè A. Melanocyte Colonization and Pigmentation of Breast Carcinoma: Description of Two Pathological Cases and Review of Literature. Diagnostics. 2021; 11(4):709. https://doi.org/10.3390/diagnostics11040709
Chicago/Turabian StyleSantoro, Angela, Giuseppe Angelico, Vincenzo Fiorentino, Qianqian Zhang, Saveria Spadola, Angela Carlino, Alejandro Martin Sanchez, Gianluca Franceschini, Gian Franco Zannoni, and Antonino Mulè. 2021. "Melanocyte Colonization and Pigmentation of Breast Carcinoma: Description of Two Pathological Cases and Review of Literature" Diagnostics 11, no. 4: 709. https://doi.org/10.3390/diagnostics11040709
APA StyleSantoro, A., Angelico, G., Fiorentino, V., Zhang, Q., Spadola, S., Carlino, A., Sanchez, A. M., Franceschini, G., Zannoni, G. F., & Mulè, A. (2021). Melanocyte Colonization and Pigmentation of Breast Carcinoma: Description of Two Pathological Cases and Review of Literature. Diagnostics, 11(4), 709. https://doi.org/10.3390/diagnostics11040709

