The Prognostic Value of White-Matter Selective Double Inversion Recovery MRI Sequence in Multiple Sclerosis: An Exploratory Study
Abstract
1. Introduction
2. Materials and Methods
2.1. Study Population
- A.
- A total of 107 MS (89 RRMS, 18 PPMS) patients were monitored at the MS Specialist Centre of the University Hospital of Verona, Italy and, having at least 15 years of follow-up since their first MRI examination (performed between 2004 and 2005), were involved in the study. The inclusion criteria were a diagnosis of MS [9], the availability of a 1.5T MRI including T1-weighted-MPRAGE (T1w), fluid attenuated inversion recovery (FLAIR) and WM-DIR sequences; 15 years of clinical follow-up including neurological examination using the expanded disability status scale (EDSS) assessment at least once every year [10]. RRMS patients were considered retrospectively to have entered the SP phase when their EDSS increased by at least 1.5 points from baseline EDSS 0, 1 point from EDSS 1.0–5.0, and 0.5 points from EDSS 5.5, independently of clinical relapses over a 6–12 month interval [11]. These patients were grouped into “DRL+” and “DRL−” based on the presence and absence of DRLs, respectively. Demographical, clinical, and MRI characteristics containing data on cortical damage in each of these groups are summarized in Table 2.
- B.
- A total of 40 RRMS patients (Table 1) according to the most recent diagnostic criteria [6] underwent a 3.0 T MRI scan between 2019 and 2020 including, in addition to WM-DIR, magnetization transfer-based imaging to identify in-vivo pathological differences between lesions with a dark rim and those without a dark rim. None of them had objective signs of disease activity in the past six months. They were treated with dimethyl fumarate (21 patients), fingolimod (9 patients), natalizumab (1 patient), and ocrelizumab (1 patient).
2.2. MR Imaging Acquisition
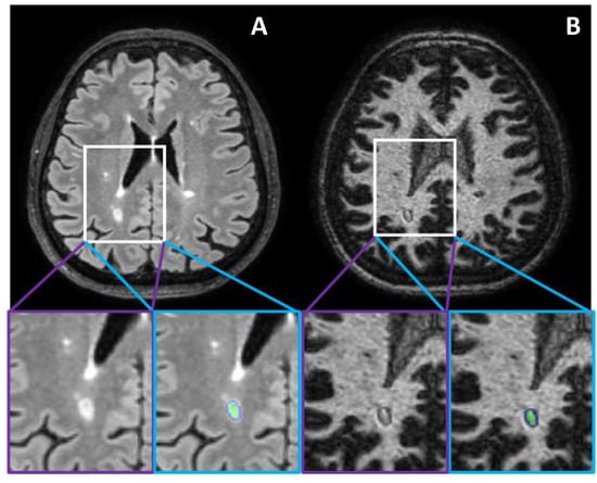
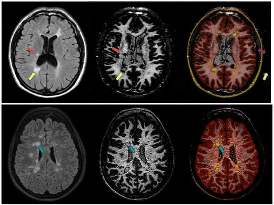
- White-matter selective DIR, FLAIR and T1w sequences were obtained using PAchieva scanners (, Philips Healthcare, Best, The Netherlands) at both MRI field strengths. For the sake of clarity, the WM-DIR sequence used in this work serves the same purpose as the GM-DIR sequence used in [8]. The DIR sequence is usually used for cortical lesion load assessment that involves mainly the GM tissue, whereas the WM-DIR sequence enhances the WM tissue and permits the detection of DRLs. Therefore, we will refer to WM-DIR in the forthcoming paragraphs.
- (a)
- At 1.5 T MRI scan, a white-matter selective DIR was acquired with 2D contiguous axial slices with repetition time (TR) 22,000 ms, echo time (TE) 25.0 ms, inversion tim1 (TI1) 2.542 ms, inversion time-2-delay (TI2) 605 ms, voxel size 0.9 × 0.9 mm, slice thickness 3 mm, recon matrix 256 × 256, acquisition matrix 178 × 178 mm 3D FLAIR sequences with TR 10,000 ms, TE 120 ms; TI 2500 ms, voxel size 0.9 × 0.9 mm, slice thickness 3 mm, recon matrix 256 × 256;T1wimages were acquired with TR 25 ms, TE 5 ms, voxel size 0.9 × 0.9 mm, and slice thickness 2.4 mm.
- (b)
- At 3.0 T MRI scan, the acquisition protocol consisted of 3D images with a voxel size of 1 mm isotropic with TR/TE 5500/312 ms, TI1/TI2 3060/815 ms and matrix 240 × 240; 3D FLAIR with a voxel size of 1 mm isotropic TR/TE 8000/292 ms, TI 2350 ms and matrix 240 × 240; 3D T1w Mwith TR 8.4 ms, TE 3.7 ms and matrix 240 × 240.
- Magnetization transfer imaging (MTI) (3D FFE dual-echo sequence with a voxel size of 1.5 mm, TR6.4 ms, TE1/TE22.7/4.2 ms, FA 9°, with and without magnetization transfer pulses of angle 360°, duration 16 ms and offset frequency 1 kHz) at 3.0 T was acquired. The MTI acquisitions were used to compute magnetization transfer ratio (MTR) maps. First, the two echoes were averaged to improve the signal to noise ratio. MTR maps were computed as by Liu et al. [12].
2.3. MRI Analysis
2.4. Statistical Analysis
3. Results
3.1. Dark Rim Lesion(S) (DRL) Assessment and Association with Clinical and MRI Variables at Baseline (T0)
3.2. Association between Dark Rim Lesion(s) and Clinical Outcomes after 15 Years (T15)
3.3. 3.0. T MRI-Derived Tissue Features by Magnetization Transfer Ratio
4. Discussion
Author Contributions
Funding
Institutional Review Board Statement
Informed Consent Statement
Data Availability Statement
Conflicts of Interest
References
- Koch-Henriksen, N.; Sørensen, P.S. The changing demographic pattern of multiple sclerosis epidemiology. Lancet Neurol. 2010, 9, 520–532. [Google Scholar] [CrossRef]
- Reich, D.S.; Lucchinetti, C.F.; Calabresi, P.A. Multiple Sclerosis. N. Engl. J. Med. 2018, 378, 169–180. [Google Scholar] [CrossRef]
- Filippi, M.; Brück, W.; Chard, D.; Fazekas, F.; Geurts, J.J.G.; Enzinger, C.; Hametner, S.; Kuhlmann, T.; Preziosa, P.; Rovira, À.; et al. Association between pathological and MRI findings in multiple sclerosis. Lancet Neurol. 2019, 18, 198–210. [Google Scholar] [CrossRef]
- Redpath, T.W.; Smith, F.W. Use of a double inversion recovery pulse sequence to image selectively grey or white brain matter. Br. J. Radiol. 1994, 67, 1258–1263. [Google Scholar] [CrossRef]
- Calabrese, M.; De Stefano, N.; Atzori, M.; Bernardi, V.; Mattisi, I.; Barachino, L.; Morra, A.; Rinaldi, L.; Romualdi, C.; Perini, P.; et al. Detection of Cortical Inflammatory Lesions by Double Inversion Recovery Magnetic Resonance Imaging in Patients With Multiple Sclerosis. Arch. Neurol. 2007, 64, 1416–1422. [Google Scholar] [CrossRef]
- Thompson, A.J.; Banwell, B.L.; Barkhof, F.; Carroll, W.M.; Coetzee, T.; Comi, G.; Correale, J.; Fazekas, F.; Filippi, M.; Freedman, M.S.; et al. Diagnosis of multiple sclerosis: 2017 revisions of the McDonald criteria. Lancet Neurol. 2018, 17, 162–173. [Google Scholar] [CrossRef]
- Calabrese, M.; Poretto, V.; Favaretto, A.; Alessio, S.; Bernardi, V.; Romualdi, C.; Rinaldi, F.; Perini, P.; Gallo, P. Cortical lesion load associates with progression of disability in multiple sclerosis. Brain 2012, 135, 2952–2961. [Google Scholar] [CrossRef] [PubMed]
- Tillema, J.-M.; Weigand, S.D.; Dayan, M.; Shu, Y.; Kantarci, O.H.; Lucchinetti, C.F.; Port, J.D. Dark Rims: Novel Sequence Enhances Diagnostic Specificity in Multiple Sclerosis. Am. J. Neuroradiol. 2018, 39, 1052–1058. [Google Scholar] [CrossRef] [PubMed]
- Polman, C.H.; Reingold, S.C.; Edan, G.; Filippi, M.; Hartung, H.-P.; Kappos, L.; Lublin, F.D.; Metz, L.M.; McFarland, H.F.; O’Connor, P.W.; et al. Diagnostic criteria for multiple sclerosis: 2005 revisions to the “McDonald Criteria”. Ann. Neurol. 2005, 58, 840–846. [Google Scholar] [CrossRef] [PubMed]
- Kurtzke, J.F. Rating neurologic impairment in multiple sclerosis: An expanded disability status scale (EDSS). Neurology 1983, 33, 1444. [Google Scholar] [CrossRef] [PubMed]
- Cree, B.A.C.; Gourraud, P.; Oksenberg, J.R.; Bevan, C.; Crabtree-Hartman, E.; Gelfand, J.M.; Goodin, D.S.; Graves, J.; Green, A.J.; Mowry, E.; et al. Long-term evolution of multiple sclerosis disability in the treatment era. Ann. Neurol. 2016, 80, 499–510. [Google Scholar] [CrossRef] [PubMed]
- Liu, Z.; Pardini, M.; Yaldizli, Ö.; Sethi, V.; Muhlert, N.; Wheeler-Kingshott, C.A.M.; Samson, R.S.; Miller, D.H.; Chard, D.T. Magnetization transfer ratio measures in normal-appearing white matter show periventricular gradient abnormalities in multiple sclerosis. Brain 2015, 138, 1239–1246. [Google Scholar] [CrossRef]
- Geurts, J.J.G.; Roosendaal, S.D.; Calabrese, M.; Ciccarelli, O.; Agosta, F.; Chard, D.; Gass, A.; Huerga, E.; Moraal, B.; Pareto, D.; et al. Consensus recommendations for MS cortical lesion scoring using double inversion recovery MRI. Neurology 2011, 76, 418–424. [Google Scholar] [CrossRef] [PubMed]
- Tustison, N.J.; Avants, B.B.; Cook, P.A.; Zheng, Y.; Egan, A.; Yushkevich, P.A.; Gee, J.C. N4ITK: Improved N3 Bias Correction. IEEE Trans. Med Imaging 2010, 29, 1310–1320. [Google Scholar] [CrossRef]
- Avants, B.B.; Tustison, N.; Song, G. Advanced normalization tools (ANTS). Insight J. 2009, 2, 1–35. [Google Scholar]
- Yushkevich, P.A.; Piven, J.; Hazlett, H.C.; Smith, R.G.; Ho, S.; Gee, J.C.; Gerig, G. User-guided 3D active contour segmentation of anatomical structures: Significantly improved efficiency and reliability. NeuroImage 2006, 31, 1116–1128. [Google Scholar] [CrossRef] [PubMed]
- Grambsch, P.M.; Therneau, T.M. Proportional hazards tests and diagnostics based on weighted residuals. Biom. 1994, 81, 515–526. [Google Scholar] [CrossRef]
- Kaunzner, U.W.; Kang, Y.; Zhang, S.; Morris, E.; Yao, Y.; Pandya, S.; Rua, S.M.H.; Park, C.; Gillen, K.M.; Nguyen, T.D.; et al. Quantitative susceptibility mapping identifies inflammation in a subset of chronic multiple sclerosis lesions. Brain 2019, 142, 133–145. [Google Scholar] [CrossRef]
- Kuhlmann, T.; Ludwin, S.; Prat, A.; Antel, J.; Brück, W.; Lassmann, H. An updated histological classification system for multiple sclerosis lesions. Acta Neuropathol. 2017, 133, 13–24. [Google Scholar] [CrossRef]
- Sled, J.G. Modelling and interpretation of magnetization transfer imaging in the brain. NeuroImage 2018, 182, 128–135. [Google Scholar] [CrossRef]
- Hearshen, D.; Ellis, J.H.; Carson, P.L.; Shreve, P.; Aisen, A.M. Boundary effects from opposed magnetization artifact in IR images. Radiology 1986, 160, 543–547. [Google Scholar] [CrossRef]
- Ogg, R.J.; Steen, R.G. Age-related changes in brain T1 are correlated with iron concentration. Magn. Reson. Med. 1998, 40, 749–753. [Google Scholar] [CrossRef]
- Dal-Bianco, A.; Grabner, G.; Kronnerwetter, C.; Weber, M.; Höftberger, R.; Berger, T.; Auff, E.; Leutmezer, F.; Trattnig, S.; Lassmann, H.; et al. Slow expansion of multiple sclerosis iron rim lesions: Pathology and 7 T magnetic resonance imaging. Acta Neuropathol. 2017, 133, 25–42. [Google Scholar] [CrossRef]
- Hametner, S.; Wimmer, I.; Haider, L.; Pfeifenbring, S.; Brück, W.; Lassmann, H. Iron and neurodegeneration in the multiple sclerosis brain. Ann. Neurol. 2013, 74, 848–861. [Google Scholar] [CrossRef]
- Luchetti, S.; Fransen, N.L.; Van Eden, C.G.; Ramaglia, V.; Mason, M.; Huitinga, I. Progressive multiple sclerosis patients show substantial lesion activity that correlates with clinical disease severity and sex: A retrospective autopsy cohort analysis. Acta Neuropathol. 2018, 135, 511–528. [Google Scholar] [CrossRef] [PubMed]
- Absinta, M.; Sati, P.; Masuzzo, F.; Nair, G.; Sethi, V.; Kolb, H.; Ohayon, J.; Wu, T.; Cortese, I.C.M.; Reich, D.S. Association of Chronic Active Multiple Sclerosis Lesions With Disability In Vivo. JAMA Neurol. 2019, 76, 1474–1483. [Google Scholar] [CrossRef] [PubMed]
- Moll, N.M.; Bs, A.M.R.; Thomas, S.; Ransohoff, A.J.; Lee, J.-C.; Fox, R.; Chang, A.; Ransohoff, R.M.; Fisher, E. Multiple sclerosis normal-appearing white matter: Pathology-imaging correlations. Ann. Neurol. 2011, 70, 764–773. [Google Scholar] [CrossRef] [PubMed]
- Colasanti, A.; Guo, Q.; Muhlert, N.; Giannetti, P.; Onega, M.; Newbould, R.D.; Ciccarelli, O.; Rison, S.; Thomas, C.; Nicholas, R.; et al. In Vivo Assessment of Brain White Matter Inflammation in Multiple Sclerosis with 18F-PBR111 PET. J. Nucl. Med. 2014, 55, 1112–1118. [Google Scholar] [CrossRef] [PubMed]
- Giorgio, A.; Stromillo, M.L.; Bartolozzi, M.L.; Rossi, F.; Battaglini, M.; De Leucio, A.; Guidi, L.; Maritato, P.; Portaccio, E.; Sormani, M.P.; et al. Relevance of hypointense brain MRI lesions for long-term worsening of clinical disability in relapsing multiple sclerosis. Mult. Scler. J. 2014, 20, 214–219. [Google Scholar] [CrossRef]
- Filippi, M.; Preziosa, P.; Copetti, M.; Riccitelli, G.; Horsfield, M.A.; Martinelli, V.; Comi, G.; Rocca, M.A. Gray matter damage predicts the accumulation of disability 13 years later in MS. Neurology 2013, 81, 1759–1767. [Google Scholar] [CrossRef]
- Henkelman, R.M.; Stanisz, G.J.; Graham, S.J. Magnetization transfer in MRI: A review. NMR Biomed. 2001, 14, 57–64. [Google Scholar] [CrossRef] [PubMed]





| MS Population 1.5 T MRI | MS Population 3.0 T MRI | |
|---|---|---|
| Patients, number | 107 | 40 |
| Disease phenotype | 89 RRMS | 40 RRMS |
| 18 PPMS | ||
| Female, number (%) | 74 (69%) | 21 (53%) |
| Age, mean (SD; range) | 33.9 (10.8; 17–65) | 37.8 (5.4; 21–56) |
| Disease duration, years to first symptom (SD; range) | 3.9 (2.3; 0–9) | 7.3 (6.4; 1–17) |
| EDSS, median (range) | 1.5 (0–6) | 2.0 (0–6.5) |
| Group DRL+ | Group DRL− | p-Value | |
|---|---|---|---|
| Patients, number (%) | 63 (59%) | 44 (41%) | / |
| Female, number (%) | 45 (71%) | 29 (66%) | p = 0.67 |
| Age, mean (SD; range) | 34.9 (11.6; 18–62) | 32.5 (9.4; 18–65) | p = 0.25 |
| Disease duration, mean (SD) | 4.7 (2.2) | 2.9 (2.1) | p < 0.001 |
| EDSS, median (range) | 3.0 (1–6) | 1.5 (0–5.5) | p < 0.001 |
| WM lesion number, median (range) | 15 (2–35) | 6 (1–25) | p < 0.001 |
| DRL number, median (range) | 3 (1–10) | / | / |
| Percentage of DRL number, median (range) | 0.28 (0.4–0.8) | / | / |
| WM lesion volume (cm3), median (range) | 4.5 (0.3–16.5) | 1.0 (0.1–15.0) | p < 0.001 |
| DRL volume (cm3), median (range) | 0.9 (0.1–3.6) | / | / |
| Percentage of DRL volume, median (range) | 0.3 (0.5–0.8) | / | / |
| Cortical lesions, median (range) | 1.0 (1–8) | 0 (0–1) | p = 0.75 |
| Cortical thickness (cm3), mean (SD) | 2.3 (0.4) | 2.5 (0.2) | p = 0.27 |
| Risk Factor | Odds Ratio | 95% Confidence Interval | p-Value |
|---|---|---|---|
| EDSS | 1.55 | 1.09–2.45 | p = 0.04 |
| CLs number | 1.61 | 1.13–2.10 | p = 0.004 |
| Cortical thickness | 0.11 | 0.01–0.86 | p = 0.03 |
| %DRL-number > 33% | 1.32 | 1.03–9.21 | p = 0.01 |
| Variables | Hazard Ratio | 95% Confidence Interval | p-Value |
|---|---|---|---|
| Age | 2.91 | 1.74–4.21 | p < 0.001 |
| EDSS | 1.73 | 1.11–2.22 | p = 0.003 |
| CLs number | 1.25 | 1.01–1.57 | p = 0.02 |
| Cortical thickness | 0.44 | 0.38–0.89 | p = 0.04 |
| Presence of DRL | 2.68 | 1.13–22.28 | p = 0.001 |
Publisher’s Note: MDPI stays neutral with regard to jurisdictional claims in published maps and institutional affiliations. |
© 2021 by the authors. Licensee MDPI, Basel, Switzerland. This article is an open access article distributed under the terms and conditions of the Creative Commons Attribution (CC BY) license (https://creativecommons.org/licenses/by/4.0/).
Share and Cite
Crescenzo, F.; Marastoni, D.; Pisani, A.I.; Tamanti, A.; Dapor, C.; Colombi, A.; Brillo, A.; Magliozzi, R.; Pizzini, F.B.; Castellaro, M.; et al. The Prognostic Value of White-Matter Selective Double Inversion Recovery MRI Sequence in Multiple Sclerosis: An Exploratory Study. Diagnostics 2021, 11, 686. https://doi.org/10.3390/diagnostics11040686
Crescenzo F, Marastoni D, Pisani AI, Tamanti A, Dapor C, Colombi A, Brillo A, Magliozzi R, Pizzini FB, Castellaro M, et al. The Prognostic Value of White-Matter Selective Double Inversion Recovery MRI Sequence in Multiple Sclerosis: An Exploratory Study. Diagnostics. 2021; 11(4):686. https://doi.org/10.3390/diagnostics11040686
Chicago/Turabian StyleCrescenzo, Francesco, Damiano Marastoni, Anna Isabella Pisani, Agnese Tamanti, Caterina Dapor, Annalisa Colombi, Alessandro Brillo, Roberta Magliozzi, Francesca Benedetta Pizzini, Marco Castellaro, and et al. 2021. "The Prognostic Value of White-Matter Selective Double Inversion Recovery MRI Sequence in Multiple Sclerosis: An Exploratory Study" Diagnostics 11, no. 4: 686. https://doi.org/10.3390/diagnostics11040686
APA StyleCrescenzo, F., Marastoni, D., Pisani, A. I., Tamanti, A., Dapor, C., Colombi, A., Brillo, A., Magliozzi, R., Pizzini, F. B., Castellaro, M., & Calabrese, M. (2021). The Prognostic Value of White-Matter Selective Double Inversion Recovery MRI Sequence in Multiple Sclerosis: An Exploratory Study. Diagnostics, 11(4), 686. https://doi.org/10.3390/diagnostics11040686

