Casein Functionalization Using High-Pressure Homogenization and Emulsifying Salts
Abstract
1. Introduction
2. Materials and Methods
2.1. Sample Formulation and Ultra-High-Pressure Homogenization Treatments
- Treatment E: 20% (v/v) SM samples with 100 mM sodium hexametaphosphate (SHMP);
- Treatment H: 20% (v/v) SM samples processed using HPH at 300 MPa;
- Treatment EH: 20% (v/v) SM samples with 100 mM SHMP and processed using HPH at 300 MPa.
2.2. Sodium Dodecyl Sulfate-Polyacrylamide Gel Electrophoresis (SDS-PAGE)
2.3. Emulsifying Activity and Emulsion Stability
2.4. Foaming Capacity and Foam Stability
2.5. Interaction with Caffeine
2.6. Statistical Analysis
3. Results and Discussion
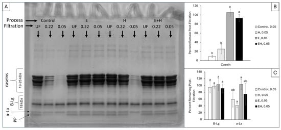
3.1. Processing-Induced Micellar Dissociation
3.2. Processing-Induced Alterations in Skim Milk Foamability
3.3. Processing-Induced Alterations in Skim Milk Emulsifying Properties
3.4. Interactions Between Caffeine and Amino Acid Residues Post-Processing
4. Conclusions
Author Contributions
Funding
Institutional Review Board Statement
Data Availability Statement
Conflicts of Interest
Abbreviations
| HPH | High-pressure homogenization |
| HPJ | High-pressure jet |
| ES | Emulsifying salts |
| SHMP | Sodium hexametaphosphate |
| EA0 | Initial emulsifying activity |
| EA30 | Emulsifying activity after 30 min |
| FEI | Foam expansion index |
| CNPP | Casein proteolysis products |
| NCN | Noncasein nitrogen precipitate |
| SDS-PAGE | Sodium dodecyl sulfate-polyacrylamide gel electrophoresis |
References
- Dalgleish, D.G. On the structural models of bovine casein micelles—Review and possible improvements. Soft Matter 2011, 7, 2265–2272. [Google Scholar] [CrossRef]
- Hettiarachchi, C.A.; Swulius, M.T.; Harte, F.M. Assessing constituent volumes and morphology of bovine casein micelles using cryo-electron tomography. J. Dairy Sci. 2020, 103, 3971–3979. [Google Scholar] [CrossRef] [PubMed]
- Dalgleish, D.G.; Corredig, M. The structure of the casein micelle of milk and its changes during processing. Annu. Rev. Food Sci. Technol. 2012, 3, 449–467. [Google Scholar] [CrossRef]
- Zahariev, N.; Pilicheva, B. A Novel Method for the Preparation of Casein–Fucoidan Composite Nanostructures. Polymers 2024, 16, 1818. [Google Scholar] [CrossRef] [PubMed]
- Corzo-Martínez, M.; Mohan, M.; Dunlap, J.; Harte, F. Effect of ultra-high pressure homogenization on the interaction between bovine casein micelles and ritonavir. Pharm. Res. 2015, 32, 1055–1071. [Google Scholar] [CrossRef]
- Zheng, N.; Bucheli, P.; Jing, H. Effects of casein- and whey protein–dextran conjugates on the stability of bog bilberry anthocyanin extract. Int. J. Food Sci. Technol. 2009, 44, 1452–1458. [Google Scholar] [CrossRef]
- Taha, A.; Casanova, F.; Talaikis, M.; Stankevič, V.; Žurauskienė, N.; Šimonis, P.; Pakštas, V.; Jurkūnas, M.; Gomaa, M.A.E.; Stirkė, A. Effects of Pulsed Electric Field on the Physicochemical and Structural Properties of Micellar Casein. Polymers 2023, 15, 3311. [Google Scholar] [CrossRef]
- Roach, A.; Harte, F. Disruption and sedimentation of casein micelles and casein micelle isolates under high-pressure homogenization. Innov. Food Sci. Emerg. Technol. 2008, 9, 1–8. [Google Scholar] [CrossRef]
- Roach, A.; Dunlap, J.; Harte, F. Association of triclosan to casein proteins through solvent-mediated high-pressure homogenization. J. Food Sci. 2009, 74, N23–N29. [Google Scholar] [CrossRef]
- Hettiarachchi, C.A.; Corzo-Martínez, M.; Mohan, M.S.; Harte, F.M. Enhanced foaming and emulsifying properties of high-pressure-jet-processed skim milk. Int. Dairy J. 2018, 87, 60–66. [Google Scholar] [CrossRef]
- Culler, M.D.; Saricay, Y.; Harte, F.M. The effect of emulsifying salts on the turbidity of a diluted milk system with varying pH and protein concentration. J. Dairy Sci. 2017, 100, 4241–4252. [Google Scholar] [CrossRef]
- Stroinski, D.R.; Petersen, K.; Lewis, G.E. Enhancing casein micelle dissociation in diluted skim milk systems using combined processing techniques. J. Dairy Sci. 2024, 107, 6658–6670. [Google Scholar] [CrossRef] [PubMed]
- Oquendo, L.A.; Lewis, G.; Mahdinia, E.; Harte, F. Effect of high-pressure jet processing on the structure and physicochemical properties of plant protein isolate aqueous dispersions. Food Hydrocoll. 2023, 138, 108437. [Google Scholar] [CrossRef]
- Schneider, C.A.; Rasband, W.S.; Eliceiri, K.W. NIH Image to ImageJ: 25 years of image analysis. Nat. Methods 2012, 9, 671–675. [Google Scholar] [CrossRef] [PubMed]
- Gong, S.; Yang, C.; Zhang, J.; Yu, Y.; Gu, X.; Li, W.; Wang, Z. Study on the interaction mechanism of purple potato anthocyanins with casein and whey protein. Food Hydrocoll. 2021, 111, 106223. [Google Scholar] [CrossRef]
- Yahimi Yazdi, S.; Corredig, M.; Dalgleish, D.G. Studying the structure of β-casein-depleted bovine casein micelles using electron microscopy and fluorescent polyphenols. Food Hydrocoll. 2014, 42, 171–177. [Google Scholar] [CrossRef]
- Reitmaier, M.; Barbosa, B.; Sigler, S.; Heidebrecht, H.-J.; Kulozik, U. Impact of different aqueous phases on casein micelles: Kinetics of physicochemical changes under variation of water hardness and diafiltration conditions. Int. Dairy J. 2020, 109, 104776. [Google Scholar] [CrossRef]
- Ianni, A.; Bennato, F.; Martino, C.; Grotta, L.; Franceschini, N.; Martino, G. Proteolytic Volatile Profile and Electrophoretic Analysis of Casein Composition in Milk and Cheese Derived from Mironutrient-Fed Cows. Molecules 2020, 25, 2249. [Google Scholar] [CrossRef]
- Di Marzo, L.; Pranata, J.; Barbano, D.M. Measurement of casein in milk by Kjeldahl and sodium dodecyl sulfate-polyacrylamide gel electrophoresis. J. Dairy Sci. 2021, 104, 7448–7456. [Google Scholar] [CrossRef]
- Bhatt, H.; Cucheval, A.; Coker, C.; Patel, H.; Carr, A.; Bennett, R. Effect of micellar structure of casein and its modification on plasmin-induced hydrolysis. Int. Dairy J. 2017, 75, 75–82. [Google Scholar] [CrossRef]
- Peña-Ramos, E.A.; Xiong, Y.L. Antioxidative Activity of Whey Protein Hydrolysates in a Liposomal System1. J. Dairy Sci. 2001, 84, 2577–2583. [Google Scholar] [CrossRef] [PubMed]
- Trieu-Cuot, P.; Gripon, J.-C. Electrofocusing and two-dimensional electrophoresis of bovine caseins. J. Dairy Res. 1981, 48, 303–310. [Google Scholar] [CrossRef]
- Zhou, X.; Yang, J.; Sala, G.; Sagis, L.M.C. Are micelles actually at the interface in micellar casein stabilized foam and emulsions? Food Hydrocoll. 2022, 129, 107610. [Google Scholar] [CrossRef]
- Kaptay, G. Interfacial criteria for stabilization of liquid foams by solid particles. Colloids Surf. A Physicochem. Eng. Asp. 2003, 230, 67–80. [Google Scholar] [CrossRef]
- Guignot, S.; Faure, S.; Vignes-Adler, M.; Pitois, O. Liquid and particles retention in foamed suspensions. Chem. Eng. Sci. 2010, 65, 2579–2585. [Google Scholar] [CrossRef]
- Chen, M.; Feijen, S.; Sala, G.; Meinders, M.B.J.; van Valenberg, H.J.F.; van Hooijdonk, A.C.M.; van der Linden, E. Foam stabilized by large casein micelle aggregates: The effect of aggregate number in foam lamella. Food Hydrocoll. 2018, 74, 342–348. [Google Scholar] [CrossRef]
- Augusta Rolim Biasutti, E.; Regina Vieira, C.; Capobiango, M.; Dias Medeiros Silva, V.; Pinto Coelho Silvestre, M. Study of Some Functional Properties of Casein: Effect of pH and Tryptic Hydrolysis. Int. J. Food Prop. 2007, 10, 173–183. [Google Scholar] [CrossRef]
- Hettiarachchi, C.A.; Voronin, G.L.; Harte, F.M. Spray drying of high pressure jet-processed condensed skim milk. J. Food Eng. 2019, 261, 1–8. [Google Scholar] [CrossRef]
- Tavagnacco, L.; Corucci, G.; Gerelli, Y. Interaction of Caffeine with Model Lipid Membranes. J. Phys. Chem. B 2021, 125, 10174–10181. [Google Scholar] [CrossRef]
- National Center for Biotechnology Information. PubChem Compound Summary for CID 2519. 2025. Available online: https://pubchem.ncbi.nlm.nih.gov/compound/Caffeine (accessed on 25 March 2025).
- Chen, L.; Chen, N.; He, Q.; Sun, Q.; Zeng, W.C. Effects of casein on the stability, antioxidant activity, and bioavailability of lotus anthocyanins. J. Food Biochem. 2022, 46, e14288. [Google Scholar] [CrossRef]
- Haham, M.; Ish-Shalom, S.; Nodelman, M.; Duek, I.; Segal, E.; Kustanovich, M.; Livney, Y.D. Stability and bioavailability of vitamin D nanoencapsulated in casein micelles. Food Funct. 2012, 3, 737–744. [Google Scholar] [CrossRef] [PubMed]
- Sáiz-Abajo, M.-J.; González-Ferrero, C.; Moreno-Ruiz, A.; Romo-Hualde, A.; González-Navarro, C.J. Thermal protection of β-carotene in re-assembled casein micelles during different processing technologies applied in food industry. Food Chem. 2013, 138, 1581–1587. [Google Scholar] [CrossRef] [PubMed]





| Sample * | EA0 (m2·g−1) | EA30 (m2·g−1) |
|---|---|---|
| Control | 36.84 ± 4.26 b | 15.57 ± 1.96 c |
| E | 48.36 ± 8.31 b | 28.36 ± 1.85 b |
| H | 42.43 ± 1.65 b | 20.24 ± 2.82 c |
| EH | 61.12 ± 0.42 a | 36.52 ± 3.50 a |
Disclaimer/Publisher’s Note: The statements, opinions and data contained in all publications are solely those of the individual author(s) and contributor(s) and not of MDPI and/or the editor(s). MDPI and/or the editor(s) disclaim responsibility for any injury to people or property resulting from any ideas, methods, instructions or products referred to in the content. |
© 2025 by the authors. Licensee MDPI, Basel, Switzerland. This article is an open access article distributed under the terms and conditions of the Creative Commons Attribution (CC BY) license (https://creativecommons.org/licenses/by/4.0/).
Share and Cite
Fuchs, A.; Stroinski, D.; Gruman, A.; Lewis, G. Casein Functionalization Using High-Pressure Homogenization and Emulsifying Salts. Polymers 2025, 17, 931. https://doi.org/10.3390/polym17070931
Fuchs A, Stroinski D, Gruman A, Lewis G. Casein Functionalization Using High-Pressure Homogenization and Emulsifying Salts. Polymers. 2025; 17(7):931. https://doi.org/10.3390/polym17070931
Chicago/Turabian StyleFuchs, Anthony, Danielle Stroinski, Ashley Gruman, and Grace Lewis. 2025. "Casein Functionalization Using High-Pressure Homogenization and Emulsifying Salts" Polymers 17, no. 7: 931. https://doi.org/10.3390/polym17070931
APA StyleFuchs, A., Stroinski, D., Gruman, A., & Lewis, G. (2025). Casein Functionalization Using High-Pressure Homogenization and Emulsifying Salts. Polymers, 17(7), 931. https://doi.org/10.3390/polym17070931

