Expression of Interleukin-6 and the Interleukin-6 Receptor Predicts the Clinical Outcomes of Patients with Soft Tissue Sarcomas
Abstract
1. Introduction
2. Results
2.1. Patient, Tumor, and Treatment Characteristics (Table 1)
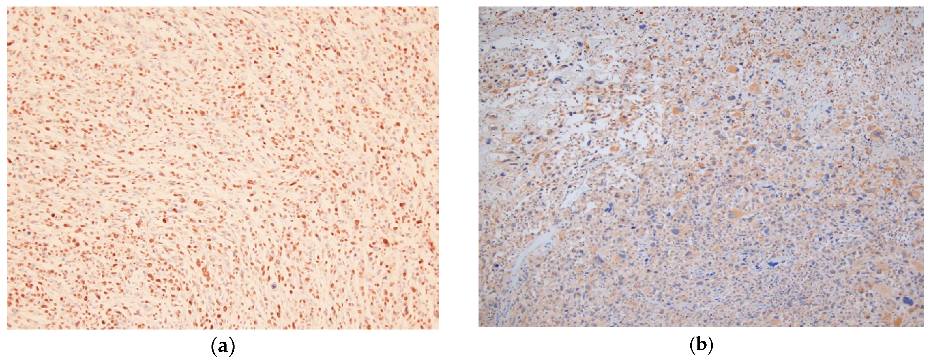
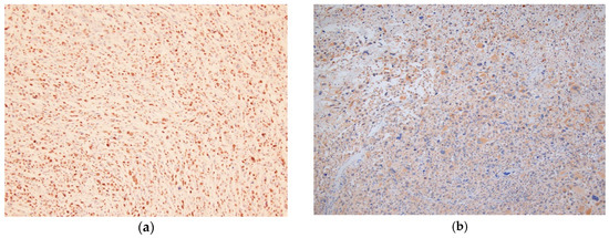
2.2. Expression of IL-6 and IL-6R in the Tumor Tissues of Patients with STSs
2.3. Overall Survival (OS), Metastasis-Free Survival (MFS), and Prognostic Factors
3. Discussion
4. Materials and Methods
4.1. Patients and Methods
4.2. Immunohistochemical Staining
4.3. Evaluation of Immunohistochemical Staining
4.4. Statistical Analysis
5. Conclusions
Author Contributions
Funding
Conflicts of Interest
References
- Mantovani, A.; Allavena, P.; Sica, A.; Balkwill, F. Cancer-related inflammation. Nature 2008, 454, 436–444. [Google Scholar] [CrossRef] [PubMed]
- Lippitz, B.E.; Harris, R.A. Cytokine patterns in cancer patients: A review of the correlation between interleukin 6 and prognosis. Oncoimmunology 2016, 11, 5. [Google Scholar] [CrossRef] [PubMed]
- Kita, H.; Shiraishi, Y.; Watanabe, K.; Suda, K.; Ohtsuka, K.; Koshiishi, Y.; Goya, T. Does postoperative serum interleukin-6 influence early recurrence after curative pulmonary resection of lung cancer? Ann. Thorac. Cardiovasc. Surg. 2011, 17, 454–460. [Google Scholar] [CrossRef] [PubMed]
- De Vita, F.; Orditura, M.; Auriemma, A.; Infusino, S.; Roscigno, A.; Catalano, G. Serum levels of interleukin-6 as a prognostic factor in advanced non-small cell lung cancer. Oncol. Rep. 1998, 5, 649–652. [Google Scholar] [CrossRef]
- Nakamura, T.; Grimer, R.J.; Gaston, C.L.; Watanuki, M.; Sudo, A.; Jeys, L. The prognostic value of the serum level of C-reactive protein for the survival of patients with a primary sarcoma of bone. Bone Joint J. 2013, 95, 411–418. [Google Scholar] [CrossRef]
- Nakamura, T.; Matsumine, A.; Matsubara, T.; Asanuma, K.; Uchida, A.; Sudo, A. Clinical significance of pretreatment serum C-reactive protein level in soft tissue sarcoma. Cancer 2012, 118, 1055–1061. [Google Scholar] [CrossRef]
- Szkandera, J.; Gerger, A.; Liegl-Atzwanger, B.; Absenger, G.; Stotz, M.; Samonigg, H.; Maurer-Ertl, W.; Stojakovic, T.; Ploner, F.; Leithner, A.; et al. Validation of the prognostic relevance of plasma C-reactive protein levels in soft-tissue sarcoma patients. Br. J. Cancer 2013, 109, 2316–2322. [Google Scholar] [CrossRef][Green Version]
- Rutkowski, P.; Kaminska, J.; Kowalska, M.; Ruka, W.; Steffen, J. Cytokine serum levels in soft tissue sarcoma patients: Correlations with clinico-pathological features and prognosis. Int. J. Cancer 2002, 100, 463–471. [Google Scholar] [CrossRef]
- Hagi, T.; Nakamura, T.; Iino, T.; Matsubara, T.; Asanuma, K.; Matsumine, A.; Sudo, A. The diagnostic and prognostic value of interleukin-6 in patients with soft tissue sarcomas. Sci. Rep. 2017, 7, 9640. [Google Scholar] [CrossRef]
- Chen, M.F.; Chen, P.T.; Lu, M.S.; Lin, P.Y.; Chen, W.C.; Lee, K.D. IL-6 expression predicts treatment response and outcome in squamous cell carcinoma of the esophagus. Mol. Cancer 2013, 12, 26. [Google Scholar] [CrossRef]
- Zeng, J.; Tang, Z.H.; Liu, S.; Guo, S.S. Clinicopathological significance of overexpression of interleukin-6 in colorectal cancer. World Gastroenterol. 2017, 23, 1780–1786. [Google Scholar] [CrossRef] [PubMed]
- Simondurairaj, C.; Krishnakumar, R.; Sundaram, S.; Venkatraman, G. Interleukin-6 receptor (IL-6R) expression in human gastric carcinoma and its clinical significance. Cancer Investig. 2019, 37, 293–298. [Google Scholar] [CrossRef] [PubMed]
- Zhijie, S.L.; Zhijie, A.; Bi, S.; Chen, L.; Fan, J. Interleukin 6 receptor (IL-6R) was an independent prognostic factor in cervical cancer. Histol. Histopathol. 2018, 33, 269–276. [Google Scholar]
- Zeng, J.; Yang, X.; Cheng, L.; Liu, R.; Lei, Y.; Dong, D.; Li, F.; Lau, Q.C.; Deng, L.; Nice, E.C.; et al. Chemokine CXCL14 is associated with prognosis in patients with colorectal carcinoma after curative resection. J. Trans. Med. 2013, 11, 6. [Google Scholar] [CrossRef] [PubMed]
- Dmitrieva, O.S.; Shilovskiy, I.P.; Khaitov, M.R.; Grivennikov, S.I. Interleukins 1 and 6 as main mediators of inflammation and cancer. Biochemistry 2016, 81, 80–90. [Google Scholar] [CrossRef] [PubMed]
- Kawano, M.; Hirano, T.; Matsuda, T.; Taga, T.; Horii, Y.; Iwato, K.; Asaoku, H.; Tang, B.; Tanabe, O.; Tanaka, H.; et al. Autocrine generation and requirement of BSF-2/IL-6 for human multiple myelomas. Nature 1988, 332, 83–85. [Google Scholar] [CrossRef]
- Okamoto, M.; Hattori, K.; Oyasu, R. Interleukin-6 functions as an autocrine growth factor in human bladder carcinoma cell lines in vitro. Int. J. Cancer 1997, 72, 149–154. [Google Scholar] [CrossRef]
- Wolf, J.; Rose-John, S.; Garbers, C. Interleukin-6 and its receptors: A highly regulated and dynamic system. Cytokine 2014, 70, 11–20. [Google Scholar] [CrossRef]
- Fu, Q.; Chang, Y.; An, H.; Fu, H.; Zhu, Y.; Xu, L.; Zhang, W.; Xu, J. Prognostic value of interleukin-6 and interleukin-6 receptor in organ-confined clear-cell renal cell carcinoma: A 5-year conditional cancer-specific survival analysis. Br. J. Cancer 2015, 113, 1581–1589. [Google Scholar] [CrossRef]
- Labovsky, V.; Martinez, L.M.; Calcagno, M.L.; Davies, K.M.; Garcia-Rivello, H.; Wernicke, A.; Feldman, L.; Giorello, M.B.; Matas, A.; Borzone, F.R.; et al. Interleukin-6 receptor in spindle-shaped stromal cells, a prognostic determinant of early breast cancer. Tumor Biol. 2016, 33, 13377–13384. [Google Scholar] [CrossRef]
- Kang, S.; Tanaka, K.; Narazaki, M.; Kishimoto, T. Targeting Interleukin-6 Signaling in Clinic. Immunity 2019, 50, 1007–1023. [Google Scholar] [CrossRef] [PubMed]
- Guillou, L.; Coindre, J.M.; Bonichou, F.; Nguyen, B.B.; Terrier, P.; Collin, F.; Vilain, M.O.; Mandard, A.M.; Le Doussal, V.; Leroux, A.; et al. Comparative study of the National Cancer Institute and French Federation of Cancer Centers Sarcoma Group grading systems in a population of 410 adult patients with soft tissue sarcoma. J. Clin. Oncol. 1997, 15, 350–362. [Google Scholar] [CrossRef] [PubMed]



| Age | Mean (years) | 65.6 |
|---|---|---|
| Range | 10–88 | |
| Gender | Male (n) | 48 |
| Female (n) | 38 | |
| Tumor depth | Superficial (n) | 13 |
| deep (n) | 73 | |
| Tumor size | Mean (cm) | 11.1 |
| Grade | High grade (n) | 61 |
| Low grade (n) | 25 | |
| Serum IL-6 level | Mean (pg/mL) | 30.6 |
| Variables | IL6(+), IL6R(+) | IL6(+), IL6R(−) or IL6(−), IL6R(+) | IL6(−), IL6R(−) | p Value | |
|---|---|---|---|---|---|
| n = 14 | n = 30 | n = 42 | |||
| Age | Mean (years) | 71.1 | 64.5 | 64.5 | 0.30 |
| Median (years) | 72.5 | 66.5 | 67.5 | ||
| Sex | Male (n) | 4 | 18 | 26 | 0.17 |
| Female (n) | 10 | 12 | 16 | ||
| Depth | Superficial | 2 | 5 | 6 | 0.58 |
| deep (n) | 12 | 25 | 36 | ||
| Size | ≤10 (cm) | 7 | 21 | 20 | 0.29 |
| >10 (cm) | 7 | 9 | 22 | ||
| Mean (cm) | 11.9 | 9.48 | 12.1 | 0.23 | |
| Grade | High grade (n) | 13 | 25 | 23 | 0.012 |
| Low grade (n) | 1 | 5 | 19 | ||
| CRP level | Mean (mg/dL) | 5.3 | 0.40 | 0.88 | 0.000002 |
| Serum IL-6 level | Mean (pg/mL) | 87.7 | 27.6 | 13.7 | 0.0039 |
| Median (pg/mL) | 71.5 | 5.65 | 5.73 | ||
| Variables | Parameters | Overall Survival | Metastasis-Free Survival | ||
|---|---|---|---|---|---|
| HR (95% CI) | p Value | HR (95% CI) | p Value | ||
| Age | Years | 1.073 (1.023–1.125) | 0.004 | 1.033 (1.001–1.066) | 0.046 |
| Depth | Superficial | 1 | 1 | ||
| Deep | 1.941 (0.451–8.363) | 0.37 | 1.297 (0.454–3.71) | 0.63 | |
| Size | ≤10 cm | 1 | 1 | ||
| >10 cm | 1.028 (0.967–1.094) | 0.37 | 0.982 (0.930–1.037) | 0.52 | |
| Grade | Low grade | 1 | 1 | ||
| High grade | 8.682 (1.165–64.71) | 0.03 | 356200000 (0-Inf) | 0.99 | |
| IL6 and IL6R in tissues | IL6(+), IL6R(+) | 5.124 (1.673–15.69) | 0.004 | 6.780 (2.616–17.57) | 0.00008 |
| IL6(+), IL6R(−), or IL6(−), IL6R(+) | 1.955 (0.639–5.98) | 0.24 | 2.742 (1.092–6.886) | 0.03 | |
| IL6(−), IL6R(−) | 1 | 1 | |||
| Variables | Overall Survival | |
|---|---|---|
| HR (95% CI) | p Value | |
| Age | 1.064 (1.016–1.115) | 0.009 |
| Grade high | 4.955 (0.634–38.72) | 0.13 |
| Low | 1 | |
| IL6(+), IL6R(+) | 3.537 (1.125–11.12) | 0.03 |
| IL6(+), IL6R(−) or IL6(−), IL6R(+) | 1.764 (0.559–5.569) | 0.33 |
| IL6(−), IL6R(−) | 1 | |
| Variables | Metastasis-Free Survival | |
|---|---|---|
| HR (95% CI) | p Value | |
| Age | 1.030 (0.998–1.064) | 0.07 |
| IL6(+), IL6R(+) | 6.219 (2.389–16.19) | 0.0002 |
| IL6(+), IL6R(−) or IL6(−), IL6R(+) | 2.909 (1.153–7.340) | 0.02 |
| IL6(−), IL6R(−) | 1 | |
© 2020 by the authors. Licensee MDPI, Basel, Switzerland. This article is an open access article distributed under the terms and conditions of the Creative Commons Attribution (CC BY) license (http://creativecommons.org/licenses/by/4.0/).
Share and Cite
Nakamura, K.; Nakamura, T.; Iino, T.; Hagi, T.; Kita, K.; Asanuma, K.; Sudo, A. Expression of Interleukin-6 and the Interleukin-6 Receptor Predicts the Clinical Outcomes of Patients with Soft Tissue Sarcomas. Cancers 2020, 12, 585. https://doi.org/10.3390/cancers12030585
Nakamura K, Nakamura T, Iino T, Hagi T, Kita K, Asanuma K, Sudo A. Expression of Interleukin-6 and the Interleukin-6 Receptor Predicts the Clinical Outcomes of Patients with Soft Tissue Sarcomas. Cancers. 2020; 12(3):585. https://doi.org/10.3390/cancers12030585
Chicago/Turabian StyleNakamura, Koichi, Tomoki Nakamura, Takahiro Iino, Tomohito Hagi, Kouji Kita, Kunihiro Asanuma, and Akihiro Sudo. 2020. "Expression of Interleukin-6 and the Interleukin-6 Receptor Predicts the Clinical Outcomes of Patients with Soft Tissue Sarcomas" Cancers 12, no. 3: 585. https://doi.org/10.3390/cancers12030585
APA StyleNakamura, K., Nakamura, T., Iino, T., Hagi, T., Kita, K., Asanuma, K., & Sudo, A. (2020). Expression of Interleukin-6 and the Interleukin-6 Receptor Predicts the Clinical Outcomes of Patients with Soft Tissue Sarcomas. Cancers, 12(3), 585. https://doi.org/10.3390/cancers12030585

