Next Issue
Volume 15, December
Previous Issue
Volume 15, August
 
 

Audiol. Res., Volume 15, Issue 5 (October 2025) – 34 articles

Cover Story (view full-size image): Hearing and cognitive abilities both decline with age. Hearing loss is increasingly recognized as an independent risk factor for cognitive impairment. Alongside hearing rehabilitation, computerized cognitive auditory training (CCAT) may offer an additional therapeutic approach. This article examines how the outcomes of an individualized home-based CCAT can be measured. Participants demonstrated significant improvements in processing speed, concentration, and learning/memory following training. Subjective hearing handicap and listening effort improved as well, whereas speech perception in noise and self-rated hearing abilities remained unchanged. CCAT appears to enhance both auditory and cognitive functions, warranting further validation in controlled trials. View this paper
  • Issues are regarded as officially published after their release is announced to the table of contents alert mailing list.
  • You may sign up for e-mail alerts to receive table of contents of newly released issues.
  • PDF is the official format for papers published in both, html and pdf forms. To view the papers in pdf format, click on the "PDF Full-text" link, and use the free Adobe Reader to open them.
Order results
Result details
Section
Select all
Export citation of selected articles as:
11 pages, 578 KB  
Communication
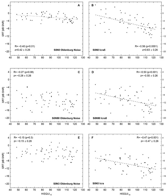
Precision Audiometry and Ecological Validity: Exploring the Link Between Patient-Reported Outcome Measures and Speech Testing in CI Users
by Matthias Hey and Thomas Hocke
Audiol. Res. 2025, 15(5), 142; https://doi.org/10.3390/audiolres15050142 - 21 Oct 2025
Viewed by 753
Abstract
Background/Objectives: Audiometric methods for hearing-impaired patients are constantly evolving as new therapeutic interventions and improved clinical standards are established. This study aimed to explore the relationship between patient-reported outcome measures in cochlear implant users and scores from audiometric test procedures in quiet and [...] Read more.
Background/Objectives: Audiometric methods for hearing-impaired patients are constantly evolving as new therapeutic interventions and improved clinical standards are established. This study aimed to explore the relationship between patient-reported outcome measures in cochlear implant users and scores from audiometric test procedures in quiet and noise. Methods: In a prospective study, 20 postlingually deafened CI users were included. Speech comprehension was measured in quiet (by Freiburg words) and in noise (by the Oldenburg sentence test), while stationary speech-simulating or temporally fluctuating noise was applied and the noise sources were varied. Subjective feedback from the patients was obtained using the HISQUI19 questionnaire. Results: Word scores in quiet showed a significant positive correlation with the user’s subjective assessment of hearing ability using the questionnaire (Spearman’s R = 0.57). A greater correlation of the subjective evaluation of comprehension against fluctuating background noise as compared with stationary background noise was evident. On the other hand, the test–retest accuracy was reduced by a substantial factor in the transition from stationary to fluctuating background noise. Conclusions: By introducing temporal fluctuations in the background noise, the ecological validity can be improved, but at the cost of a parallel decrease in the accuracy of the test procedure. Especially in the context of studies, this knowledge may help to improve the choice of the specific test method used in evaluating the relationship between ecological validity and precision audiometry. Full article
(This article belongs to the Section Hearing)
Show Figures

Figure 1

14 pages, 10911 KB  
Article
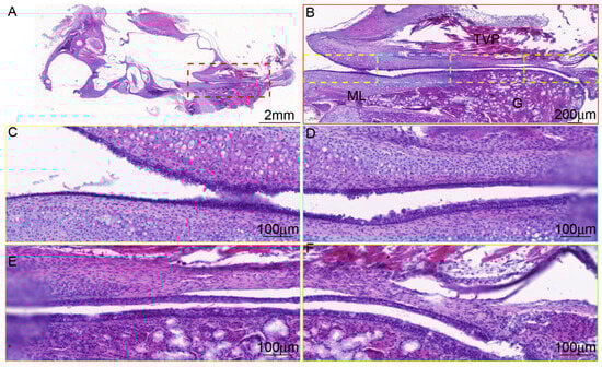
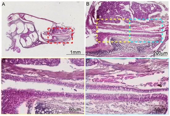
Comparative Anatomical and Morphometric Analysis of Eustachian Tube Across Species
by Rui Li, Yueqi Wang, Huaicun Liu, Xuan Fang, Quancheng Cheng, Man Li, Huiru Ding, Chao Wang, Ziyuan Wang, Baoshi Fan, Junxiao Jia, Yu Song, Zhen Zhong, Fei Shen, Weiguang Zhang and Junxiu Liu
Audiol. Res. 2025, 15(5), 141; https://doi.org/10.3390/audiolres15050141 - 21 Oct 2025
Cited by 4 | Viewed by 1198
Abstract
Background/Objectives: The Eustachian tube (ET) is a physiological channel connecting the middle ear with the external atmosphere. The ET plays a role in maintaining the pressure balance of the middle ear, protecting it from pathogen invasion, and cleaning secretions. Eustachian tube dysfunction (ETD) [...] Read more.
Background/Objectives: The Eustachian tube (ET) is a physiological channel connecting the middle ear with the external atmosphere. The ET plays a role in maintaining the pressure balance of the middle ear, protecting it from pathogen invasion, and cleaning secretions. Eustachian tube dysfunction (ETD) can lead to middle ear diseases in animals. The ET morphological structure are different across species. Therefore, we aim to compare the anatomical and morphological of ET across species. Methods: The combined skull base–nasal approach was used to anatomy ET. Hematoxylin-eosin, luxol fast blue myelin and immunohistochemical Staining were used to observe the morphology of ET. Results: There were significant differences in the size and structure of ET among species: the rodents ET (mouse: 1.152 ± 0.084 mm; rat: 3.738 ± 0.04355 mm) is characterized by cartilage and obvious bubbles; while the miniature pigs ET (32.34 ± 2.157 mm) has a chondroid conical structure similar to that of humans. ET inflammation model was built by intro-tympanic injection of lipopolysaccharide (LPS). NADPH oxidase 2 (NOX2) significantly increased by 38.6% in inflamed mice, causing ET oxidative stress. The expressions of inflammatory factors interleukin-1β (IL-1β) and cyclooxygenase-2 (COX2) increased by 28.4% and 30.8%, resulting in thickening of the ET mucosa and infiltration of inflammatory cells. Conclusions: The combined skull base–nasal approach was an effective method to anatomy ET across species. The morphology of ET varied across species and NOX2 might play an important role in ET inflammation. Full article
Show Figures

Figure 1

20 pages, 1199 KB  
Article
Revisiting BPPV: Incidence and Behavior of Atypical Variants
by Salvatore Martellucci, Andrea Castellucci, Pasquale Malara, Luigi Califano and Giacinto Asprella Libonati
Audiol. Res. 2025, 15(5), 140; https://doi.org/10.3390/audiolres15050140 - 16 Oct 2025
Cited by 2 | Viewed by 2822
Abstract
Objectives: Typical BPPV forms are widespread and easily diagnosed disorders. However, some forms of labyrinthine lithiasis can differ from the typical BPPV paradigm, showing their own signs and symptoms and resulting in variable therapeutic responses. The aim of this retrospective study is [...] Read more.
Objectives: Typical BPPV forms are widespread and easily diagnosed disorders. However, some forms of labyrinthine lithiasis can differ from the typical BPPV paradigm, showing their own signs and symptoms and resulting in variable therapeutic responses. The aim of this retrospective study is to describe the incidence of the so-called atypical forms compared to the more common BPPV, describing their clinical behavior. Methods: This retrospective study analyzed clinical and instrumental data of 139 patients evaluated over a 12-month period at a referral center. Patients were divided into two groups. The first group (Group A) included patients with so-called “typical” and unilateral labyrintholithiasis, while the second group (Group B) included patients with so-called “atypical” forms. Results: Based on clinical characteristics, 82 patients were assigned to group A while 57 (51.01%) to group B. In group A, resolution of the clinical picture required fewer sessions and a smaller number of therapeutic maneuvers than in group B (p < 0.001). Furthermore, in group A, resolution of symptoms was observed immediately after one of the therapeutic maneuvers performed in 74.07% of cases, while in group B, resolution of the clinical picture was observed during one of the follow-up visits in 39.66% of cases (p < 0.001). Conclusions: Although considered rare, “atypical” forms have an increased prevalence in tertiary centers. The location of the canaliths within the labyrinth can be hypothesized based on the pattern of nystagmus, which serves as a guide for treatment. Full article
(This article belongs to the Special Issue A Tribute to John M. Epley)
Show Figures

Figure 1

11 pages, 608 KB  
Article
Manifestation of Congenital CMV-Related Hearing Loss in Cohort Followed at Ear, Nose, and Throat Clinic
by Hajime Koyama, Akinori Kashio, Teru Kamogashira, Aki Sakata, Shinji Urata, Anjin Mori and Kenji Kondo
Audiol. Res. 2025, 15(5), 139; https://doi.org/10.3390/audiolres15050139 - 15 Oct 2025
Viewed by 1124
Abstract
Background/Objectives: Cytomegalovirus (CMV)-associated hearing loss is common in non-genetic congenital hearing loss. Despite this high prevalence, a wide range of clinical characteristics exists, and the pattern of hearing loss remains unknown. This study aims to describe the clinical manifestations in children with CMV-associated [...] Read more.
Background/Objectives: Cytomegalovirus (CMV)-associated hearing loss is common in non-genetic congenital hearing loss. Despite this high prevalence, a wide range of clinical characteristics exists, and the pattern of hearing loss remains unknown. This study aims to describe the clinical manifestations in children with CMV-associated hearing loss and to clarify the timing of hearing level change and the degree of hearing level fluctuation. Methods: A total of 54 patients with hearing loss due to congenital CMV infection were included. Hearing loss type (congenital or later onset), hearing loss laterality (unilateral or bilateral), severity at first and last visit, hearing progression and timing, and the difference between patients with intellectual disability and without intellectual disability were assessed. Results: The number of patients with congenital hearing loss and later onset hearing loss were 19 patients and 13 patients, respectively. Seventy-four percent (14/19) of the congenital hearing loss patients and 62% (8/13) of the later onset hearing loss patients eventually progressed to severe to profound hearing loss bilaterally. Progression occurred in less than 1 year (9 cases), between 1 and 3 years (7 cases), between 3 and 7 years (4 cases), or more than 8 years (1 case). Multiple progression events occurred in 11 cases. Conclusions: Sixty-one percent of patients had progression of hearing loss. Several cases experienced progression over more than one year and showed multiple progression events. CMV patients without intellectual disability tended to suffer later onset hearing loss. Sixty-nine percent of the patients eventually progressed to bilateral severe to profound hearing loss, which means that continuous long-term follow-up is required. Full article
(This article belongs to the Section Hearing)
Show Figures

Figure 1

12 pages, 493 KB  
Article
Teachers’ Voice-Related Quality of Life in Relation to Environmental Noise in Schools: A Multidimensional Study Using VHI Test and Listen Responsibly App
by Jessica Frangipane, Pasquale Viola, Roberto Minici, Alfonso Scarpa, Alessia Astorina, Teodoro Aragona, Emilio Avallone, Federico Maria Gioacchini, Pietro De Luca, Giampietro Ricci, Valeria Gambacorta, Eva Orzan and Giuseppe Chiarella
Audiol. Res. 2025, 15(5), 138; https://doi.org/10.3390/audiolres15050138 - 13 Oct 2025
Viewed by 1248
Abstract
Background/Objectives: The voice is often perceived as a natural and spontaneous means of communication, but it involves complex interactions among physiological, psychological, and environmental factors. For teachers, whose profession relies heavily on vocal use, understanding and managing vocal strain is crucial. This [...] Read more.
Background/Objectives: The voice is often perceived as a natural and spontaneous means of communication, but it involves complex interactions among physiological, psychological, and environmental factors. For teachers, whose profession relies heavily on vocal use, understanding and managing vocal strain is crucial. This study investigates the correlation between ambient noise levels in classrooms and teachers’ self-assessed voice-related quality of life, as measured by the Voice Handicap Index (VHI). The focus is on how classroom acoustics affect vocal health, considering the high incidence of vocal fatigue among educators. Methods: A pilot exploratory study was conducted from September 2022 to November 2022 involving four primary school teachers (two language and two science) from an Italian primary school. Classroom noise levels were recorded using the “Listen Responsibly” app at intervals during lessons. Following each lesson, teachers completed the VHI questionnaire to evaluate their voice-related quality of life. Statistical analyses included simple and multiple linear regressions, logistic regression, and Spearman’s correlation to assess the relationships between noise levels and VHI scores. Results: The study yielded 60 observations categorized into VHI Grade 1 (0–30) and Grade 2 (31–60). Significant differences were observed in average noise levels between these groups, with Grade 2 exhibiting higher noise levels (p < 0.0001). Simple and multiple linear regression analyses confirmed a positive correlation between average recorded noise and VHI scores, with each unit increase in noise associated with a 0.72 unit increase in VHI score (p < 0.0001). Logistic regression identified average recorded noise > 59.5 dB as a significant predictor of higher VHI grades (p < 0.0001). Spearman’s correlation confirmed a strong positive correlation (ρ = 0.77, p < 0.01). Conclusions: The study demonstrates a significant relationship between increased classroom noise levels and worse voice-related quality of life among teachers. These findings highlight the need for improved acoustic management in schools to reduce vocal strain. Implementing noise reduction strategies and enhancing classroom acoustics can help mitigate vocal health issues among educators, ultimately improving their professional and personal well-being. Full article
Show Figures

Figure 1

17 pages, 1943 KB  
Article
Preset Hearing Aid Program Selection in Low-Income Communities: A Longitudinal Study
by Anné Croucamp, Caitlin Frisby, Vinaya Manchaiah, Tersia de Kock and De Wet Swanepoel
Audiol. Res. 2025, 15(5), 137; https://doi.org/10.3390/audiolres15050137 - 11 Oct 2025
Cited by 1 | Viewed by 1480
Abstract
Purpose: Decentralized hearing care models facilitated by community health workers (CHWs) can improve access to care in low-income settings. Preset hearing aids, which offer user-selectable pre-developed amplification programs, may support such models, but little is known about their real-world use and alignment with [...] Read more.
Purpose: Decentralized hearing care models facilitated by community health workers (CHWs) can improve access to care in low-income settings. Preset hearing aids, which offer user-selectable pre-developed amplification programs, may support such models, but little is known about their real-world use and alignment with clinical recommendations. Method: This longitudinal study formed part of a feasibility project implementing the World Health Organization’s (WHO’s) hearing aid service delivery approach in three low-income South African communities. Adults (≥18 years) with confirmed moderate-to-severe bilateral hearing loss were fitted with preset hearing aids by trained CHWs. Devices offered four preset amplification programs. Participant-driven selections were recorded at four distinct time points: fitting and follow-ups at 2 weeks, 2 months, and 6 months post-fitting. Results: In total, 36 participants (mean age = 76 years, SD = 8.9, range 50–96) were fitted with devices. Although over half (right: 52.8%, left: 58.3%) presented with high-frequency loss, only 34% initially selected the corresponding program. Most participants (80.6%, n = 29) changed their selections at least once over the six months. Significant associations between hearing loss configuration and selection occurred at some time points only in the left ear, but agreement with clinically recommended programs declined from 42% at baseline to 28% at six months. Conclusions: CHW-facilitated hearing aid delivery supports user autonomy in low-resource settings. However, frequent changes and divergence from clinically recommended programs suggest reliance on user-driven trial-and-error adjustments rather than audiometric fit, which may limit long-term benefit. Ongoing, person-centred guidance is needed for the effective use of preset hearing aids. Full article
Show Figures

Figure 1

9 pages, 672 KB  
Article
Factors Related to Compliance with Recommendations for Hearing Aid Counseling: A Pilot Study
by Devora Brand, Cahtia Adelman and Dvora Gordon
Audiol. Res. 2025, 15(5), 136; https://doi.org/10.3390/audiolres15050136 - 11 Oct 2025
Viewed by 1367
Abstract
Objectives: Hearing aids (HAs) are the most common intervention recommended for hearing loss (HL). Many adults with HL do not seek HA rehabilitation. Several studies have attempted to identify barriers and facilitators to using HAs. Different bureaucratic processes for acquiring HAs may lead [...] Read more.
Objectives: Hearing aids (HAs) are the most common intervention recommended for hearing loss (HL). Many adults with HL do not seek HA rehabilitation. Several studies have attempted to identify barriers and facilitators to using HAs. Different bureaucratic processes for acquiring HAs may lead to different barriers and facilitators. In addition, studies have not yet explored the factors influencing compliance with a recommendation for an HA consultation. This study focuses on the stage prior to consultation in a context where HAs are heavily subsidized. Methods: 148 patients who had undergone a hearing test during 2022 at Hadassah University Medical Center and received a recommendation to undergo a hearing aid consultation were contacted for a telephone survey. Seventy-two adults, 48 male and 24 female, aged 25–85 years, with HL ranging from slight to profound, responded to a telephone questionnaire. The questionnaire, based on two previously published English questionnaires and translated and adapted into Hebrew, was used to assess the main reasons a person did or did not comply with the recommendation to pursue an HA consultation. Results: HL was more severe in those who sought hearing rehabilitation. The main reasons for seeking hearing rehabilitation are the need and desire to hear better and pressure from others. The foremost reasons for not pursuing hearing rehabilitation are feeling that there is currently no need, esthetics, lack of time, and self-consciousness. No significant gender- or age-based differences were found. Conclusions: There are additional barriers to seeking HAs aside from cost and accessibility. Understanding the reasons for avoidance of hearing rehabilitation may help in developing strategies that encourage people to seek hearing rehabilitation and use HAs when the need exists. Full article
(This article belongs to the Section Hearing)
Show Figures

Figure 1

16 pages, 390 KB  
Article
Association Between Polypharmacy and Self-Reported Hearing Disability: An Observational Study Using ATC Classification and HHIE-S-It Questionnaire
by Francesco Martines, Pietro Salvago, Gianluca Lavanco, Ginevra Malta and Fulvio Plescia
Audiol. Res. 2025, 15(5), 135; https://doi.org/10.3390/audiolres15050135 - 10 Oct 2025
Viewed by 1069
Abstract
Background: hearing loss represents, today, one of the most significant health problems affecting the world’s population. This clinical condition, particularly manifest in adulthood, can arise or be aggravated by both the presence of specific pathologies and by taking multiple classes of drugs at [...] Read more.
Background: hearing loss represents, today, one of the most significant health problems affecting the world’s population. This clinical condition, particularly manifest in adulthood, can arise or be aggravated by both the presence of specific pathologies and by taking multiple classes of drugs at the same time. Methods: to understand this relationship, the present non-interventional observational study aimed to investigate the relationship between worsening hearing abilities in 1651 patients aged between 18 and 99 years. In particular, the thorough history of patients allowed us to evaluate the pathological profiles, pharmacological profiles, and therapeutic regimens adopted. This allowed us to evaluate its association with self-reported hearing loss, assessed through the administration of the HHIE-S-It questionnaire. Furthermore, given the presence of multimorbidity, the possible correlation between self-reported hearing loss and the specific classes of drugs, categorized using the Anatomical Therapeutic Classification (ATC) system, was evaluated. Results: the results highlighted how patients taking drugs, both in mono- and polytherapy regimens, had higher hearing deficits than patients not taking drugs. Furthermore, an apparent dose–response effect, in which the risk of moderate to severe impairment progressively increased with the number of drugs taken, was also observed. Different classes of drugs, particularly those used for the treatment of diseases of the cardiovascular system, as well as drugs for acid-related disorders, were significantly linked to an increased risk of perceived hearing impairment. On the contrary, agents belonging to the antidiabetic category have proven to be drugs capable of offering a potential protective effect. Conclusion: this study highlighted how both the number of drugs taken and some specific categories of drugs can contribute to perceived hearing impairment. While this evidence highlights the importance of integrating audiological evaluation into the management of patients in polypharmacy, the cross-sectional nature of the design precludes the inference of causality. This evidence still favors safer and more personalized therapeutic strategies. Full article
(This article belongs to the Section Hearing)
Show Figures

Figure 1

1 pages, 129 KB  
Correction
Correction: Saksida et al. Is Pupil Response to Speech and Music in Toddlers with Cochlear Implants Asymmetric? Audiol. Res. 2025, 15, 108
by Amanda Saksida, Marta Fantoni, Sara Ghiselli and Eva Orzan
Audiol. Res. 2025, 15(5), 134; https://doi.org/10.3390/audiolres15050134 - 10 Oct 2025
Viewed by 446
Abstract
Extra Affiliation [...] Full article
(This article belongs to the Section Hearing)
19 pages, 2389 KB  
Article
Cross-Cultural Adaptation and Validation of Social–Emotional Questionnaires in Danish
by Abigail Anne Kressner, David Harbo Jordell and Filip Rønne
Audiol. Res. 2025, 15(5), 133; https://doi.org/10.3390/audiolres15050133 - 9 Oct 2025
Cited by 1 | Viewed by 936
Abstract
Background/Objectives: This study aimed to linguistically and culturally adapt the Social Participation Restrictions Questionnaire (SPaRQ) and the Hearing Handicap Inventory (HHI) for the Elderly/Adults to Danish and to investigate the reliability and validity of the questionnaires and their subscales in a clinical [...] Read more.
Background/Objectives: This study aimed to linguistically and culturally adapt the Social Participation Restrictions Questionnaire (SPaRQ) and the Hearing Handicap Inventory (HHI) for the Elderly/Adults to Danish and to investigate the reliability and validity of the questionnaires and their subscales in a clinical population. These questionnaires are quantifiable self-assessment tools that are used internationally to evaluate the social–emotional impacts of hearing impairment. Methods: The translation and cross-cultural adaptation procedures followed recommendations to adapt hearing-related questionnaires for different languages and cultures. In total, 64 participants (43 hearing aid users and 21 hearing aid candidates) completed both questionnaires using a test–retest paradigm. Results: Reliability analysis showed good internal consistency (Cronbach’s alpha between 0.82 and 0.94) and good agreement between the test and retest rounds (intraclass correlation values between 0.79 and 0.88) with both questionnaires. Neither SPaRQ nor HHI were correlated with better-ear PTA. However, SPaRQ and HHI, as well as their subscales, were significantly correlated with each other. Significant differences were observed at baseline between the HA users and candidates in terms of the better-ear PTA, but the distributions of subscale scores were broad and overlapping. Conclusions: The Danish version of SPaRQ is a reliable instrument for measuring the subjective impacts of hearing impairment. It can be used to capture the experiential aspects of hearing impairment that are not necessarily captured with objective measures of hearing. Full article
(This article belongs to the Section Hearing)
Show Figures

Figure 1

15 pages, 1432 KB  
Article
Trajectory of Tinnitus Distress Across the COVID-19 Pandemic: A Cross-Sectional Analysis of Self-Reported Symptoms
by Anusha Yellamsetty and Mika Shin
Audiol. Res. 2025, 15(5), 132; https://doi.org/10.3390/audiolres15050132 - 9 Oct 2025
Cited by 1 | Viewed by 1354
Abstract
Purpose: This study aimed to evaluate retrospectively self-reported changes in tinnitus severity and distress associated with the COVID-19 pandemic and vaccination using validated self-report instruments. It further explored patient-reported onset of tinnitus following vaccination, gender differences in symptom severity, and associations with psychological [...] Read more.
Purpose: This study aimed to evaluate retrospectively self-reported changes in tinnitus severity and distress associated with the COVID-19 pandemic and vaccination using validated self-report instruments. It further explored patient-reported onset of tinnitus following vaccination, gender differences in symptom severity, and associations with psychological distress. Method: A cross-sectional online survey was completed by 189 adults between December 2023 and April 2024. Participants retrospectively self-reported tinnitus onset and severity before, during, and after the COVID-19 pandemic using the Tinnitus Handicap Inventory (THI) and the Tinnitus Reaction Questionnaire (TRQ). Additional items assessed COVID-19 vaccination history, infection status, and adverse vaccine reactions. Repeated measures ANOVAs and chi-square tests were used to examine retrospectively reported longitudinal changes and group differences. Results: Mean THI scores increased significantly over time—before (M = 9.57, SD = 16.00), during (M = 29.97, SD = 32.30), and currently (M = 36.92, SD = 28.04)—with large effect sizes across functional, emotional, and catastrophic subscales (p < 0.001). TRQ scores also were reported to rise from before (M = 7.86, SD = 15.29) to during (M = 26.38, SD = 29.58) and remained elevated at the current time (M = 29.79, SD = 24.00), p < 0.001. Approximately 25.9% and 27.0% of respondents reported new or worsened tinnitus after the first and second vaccine doses, respectively. No significant gender differences in symptom severity were observed. TRQ severity classification revealed a marked shift, with moderate or greater distress increasing from 5.8% (before) to 35.6% (current). Conclusions: Retrospective self-reports indicated that tinnitus burden significantly increased during the COVID-19 pandemic and remained elevated at the time of survey completion. A notable proportion of individuals reported new-onset tinnitus following vaccination, though causality cannot be inferred. These findings highlight the need for continued monitoring and comprehensive care addressing both audiological and psychological components of tinnitus. Full article
(This article belongs to the Section Hearing)
Show Figures

Figure 1

15 pages, 366 KB  
Article
Exploring the Trajectory of Swallowing Within Psychomotor Development in Spinal Muscular Atrophy: Moving Toward Integrated Care
by Sofia Gandolfi, Claudia Dosi, Stefano Parravicini, Maria Teresa Arnoldi, Riccardo Zanin, Sofia Biagi, Livia Rinaldi and Riccardo Masson
Audiol. Res. 2025, 15(5), 131; https://doi.org/10.3390/audiolres15050131 - 7 Oct 2025
Viewed by 1110
Abstract
Background: Spinal Muscular Atrophy type 1 (SMA type 1) is a genetic neuromuscular disease that typically presents before 6 months of age and is characterized by profound hypotonia, progressive muscle weakness, and early involvement of respiratory and bulbar musculature. Swallowing impairment (dysphagia) is [...] Read more.
Background: Spinal Muscular Atrophy type 1 (SMA type 1) is a genetic neuromuscular disease that typically presents before 6 months of age and is characterized by profound hypotonia, progressive muscle weakness, and early involvement of respiratory and bulbar musculature. Swallowing impairment (dysphagia) is a hallmark of SMA type 1 and significantly contributes to morbidity. Despite the documented benefits of disease-modifying therapies (DMTs) in terms of enhanced survival and motor outcomes, their impact on swallowing remains understudied. Aim: This study aims to longitudinally characterize swallowing function in children with SMA type 1 treated with DMTs, while contextualizing these findings in relation to the patients’ current motor abilities and cognitive performance. Materials and Methods: A single-center, longitudinal, observational study was conducted at IRCCS Besta, Milan, Italy, from 2021 to 2025. Swallowing function was evaluated using four validated scales (MAS, OrSAT, FILS, and p-FOIS), while motor and cognitive functions were assessed using CHOP-INTEND and age-appropriate cognitive tests (DQ/IQ). Patients were stratified by baseline swallowing status, pharmacological therapy, and age at DMT administration. Non-parametric statistical tests were applied. Results: No statistically significant changes in swallowing function were observed over one year in the overall cohort or its subgroups, despite significant improvements in motor function. MAS/e, FILS, and p-FOIS showed moderate associations with CHOP-INTEND and DQ/IQ scores. Conclusions: Swallowing function in children with SMA type 1 remained largely stable, while motor function significantly improved over one year, regardless of baseline swallowing status, DMT type, and age at administration. These findings underscore the need for standardized, longitudinal assessments of swallowing, motor, and cognitive functions in the management of SMA type 1. Full article
Show Figures

Figure 1

9 pages, 1041 KB  
Case Report
A Novel Clinical Feature in NOG Gene Mutation-Associated Syndrome
by Matea Zrno, Tena Simunjak, Filip Bacan, Maja Lakus Ivancek and Jakov Ajduk
Audiol. Res. 2025, 15(5), 130; https://doi.org/10.3390/audiolres15050130 - 4 Oct 2025
Viewed by 1173
Abstract
Introduction: Noggin encoding (NOG) gene plays a critical role in early embryogenesis and development of bones, joints, cartilage, eyes, and neural tissue. The NOG gene encodes the noggin protein. Noggin is the only secreted inhibitor of bone morphogenetic protein (BMP) that is associated [...] Read more.
Introduction: Noggin encoding (NOG) gene plays a critical role in early embryogenesis and development of bones, joints, cartilage, eyes, and neural tissue. The NOG gene encodes the noggin protein. Noggin is the only secreted inhibitor of bone morphogenetic protein (BMP) that is associated with abnormal phenotypes in humans. The most commonly observed manifestations of NOG gene mutations include bilateral conductive hearing loss, proximal symphalangism, broad thumbs, hyperopia, and a distinct facial appearance. This genetic disorder was first reported in 1990 by Teunissen and Cremers. Since then, various phenotypic presentations of NOG mutation have been reported, leading to the introduction of the term NOG-related symphalangism spectrum disorder (NOG-SSD). Case report: In this report, we describe a family (mother and daughter) with bilateral mixed hearing loss. Both patients had hyperopia, distinct facial appearance with hemicylindrical nose, broad thumbs, and syndactyly of the second and third toes. Genetic testing confirmed a NOG gene mutation. Bilateral stapedotomy was successfully performed, resulting in significant hearing improvement. However, due to sensorineural component of hearing loss, complete hearing recovery was only achieved with the use of hearing aids. Discussion: The etiology of the sensorineural component of hearing loss in NOG-SSD remains unclear. In animal models, the NOG gene is essential for inner ear development, while in humans, only middle ear malformations have been reported. The phenotypic variability observed in individuals with NOG mutations is very wide, suggesting that the sensorineural component of hearing loss could represent one of the possible manifestations. Conclusions: Conductive hearing loss is the primary manifestation of the NOG-SSD, and all previously reported cases of NOG gene mutations have presented exclusively with conductive hearing loss. It is possible that additional genetic factors, not necessarily directly related to the NOG gene but present in this family, contribute to the development of the sensorineural component of hearing loss, although thorough genetic testing did not reveal any additional mutation. This is, to our knowledge, the first report of mixed hearing loss associated with a NOG mutation confirmed preoperatively. Further studies are needed to determine whether the sensorineural component represents a primary manifestation or arises from secondary mechanisms. Full article
(This article belongs to the Special Issue Cochleo-Vestibular Diseases in the Pediatric Population)
Show Figures

Figure 1

10 pages, 294 KB  
Article
Performance Differences Between Spanish AzBio and Latin American HINT: Implications for Test Selection
by Chrisanda Marie Sanchez, Jennifer Coto, Sandra Velandia, Ivette Cejas and Meredith A. Holcomb
Audiol. Res. 2025, 15(5), 129; https://doi.org/10.3390/audiolres15050129 - 2 Oct 2025
Viewed by 679
Abstract
Background/Objectives: Spanish-speaking patients face persistent barriers in accessing equitable audiological care, particularly when standardized language-appropriate tools are lacking. Two Spanish-language sentence recognition tests, the Spanish AzBio Sentence (SAzB) and the Latin American Hearing in Noise Test (LAH), are commonly used to evaluate speech [...] Read more.
Background/Objectives: Spanish-speaking patients face persistent barriers in accessing equitable audiological care, particularly when standardized language-appropriate tools are lacking. Two Spanish-language sentence recognition tests, the Spanish AzBio Sentence (SAzB) and the Latin American Hearing in Noise Test (LAH), are commonly used to evaluate speech perception in adults with hearing loss. However, performance differences between these measures may influence referral decisions for hearing intervention, such as cochlear implantation. This study compared test performance under varying noise and spatial conditions to guide appropriate test selection and reduce the risk of misclassification that may contribute to healthcare disparities. Methods: Twenty-one bilingual Spanish/English speaking adults with normal bilateral hearing completed speech perception testing using both the SAzB and LAH. Testing was conducted under two spatial configurations: (1) speech and noise presented from the front (0° azimuth) and (2) speech to the simulated poorer ear and noise to the better ear (90°/270° azimuth). Conditions included quiet and three signal-to-noise ratios (+10, +5, and 0 dB). Analyses included paired t-tests and one-way ANOVAs. Results: Participants scored significantly higher on the LAH than on the SAzB across all SNR conditions and configurations, with ceiling effects observed for the LAH. SAzB scores varied by language dominance, while LAH scores did not. No other differences were observed based on any further demographic information. Conclusions: The SAzB provides a more challenging and informative assessment of speech perception in noise. Relying on easier tests like the LAH may obscure real-world difficulties and delay appropriate referrals for hearing loss intervention, including cochlear implant evaluation. Selecting the most appropriate test is critical to avoiding under-referral and ensuring Spanish-speaking patients receive equitable and accurate care. Full article
(This article belongs to the Section Speech and Language)
Show Figures

Figure 1

12 pages, 1102 KB  
Article
Self-Motion Misperception Induced by Neck Muscle Fatigue
by Fabio Massimo Botti, Marco Guardabassi, Chiara Occhigrossi, Mario Faralli, Aldo Ferraresi, Francesco Draicchio and Vito Enrico Pettorossi
Audiol. Res. 2025, 15(5), 128; https://doi.org/10.3390/audiolres15050128 - 2 Oct 2025
Cited by 1 | Viewed by 823
Abstract
Background/Objectives: Previous research has demonstrated that the perception of self-motion, as signaled by cervical proprioception, is significantly altered during neck muscle fatigue, while no similar effects are observed when self-motion is signaled by the vestibular system. Given that in typical natural movements, both [...] Read more.
Background/Objectives: Previous research has demonstrated that the perception of self-motion, as signaled by cervical proprioception, is significantly altered during neck muscle fatigue, while no similar effects are observed when self-motion is signaled by the vestibular system. Given that in typical natural movements, both proprioceptive and vestibular signals are activated simultaneously, this study sought to investigate whether the misperception of motion persists during neck muscle fatigue when both proprioceptive and vestibular stimulation are present. Methods: The study evaluated the gain of the perceptual responses to symmetric yaw sinusoidal head rotations on a stationary trunk during visual target localization tasks across different rotational frequencies. In addition, the final localization error of the visual target was assessed following asymmetric sinusoidal head rotations with differing half-cycle velocities. Results: The findings indicated that even with combined proprioceptive and vestibular stimulation, self-motion perceptual responses under neck muscle fatigue showed a pronounced reduction in the gain at low-frequency stimuli and a notable increase in localization error following asymmetric rotations. Notably, spatial localization error was observed to persist after asymmetric stimulation conditioning in the light. Additionally, even moderate levels of muscle fatigue were found to result in increased self-motion misperception. Conclusions: This study suggests that neck muscle fatigue can disrupt spatial orientation, even when the vestibular system is activated, so that slow movements are inaccurately perceived. This highlights the potential risks associated with neck muscle fatigue in daily activities that demand precise spatial perception. Full article
(This article belongs to the Section Balance)
Show Figures

Figure 1

14 pages, 538 KB  
Article
The MuRQoL-He—Hebrew Adaptation of the Music Related Quality of Life Questionnaire Among Adults Who Are Deaf and Hard of Hearing
by Zahi Tubul, Zvi Tubul-Lavy and Gila Tubul-Lavy
Audiol. Res. 2025, 15(5), 127; https://doi.org/10.3390/audiolres15050127 - 28 Sep 2025
Viewed by 875
Abstract
Purpose: The present study aimed to describe the adaptation and validation process of the MuRQoL (Music Related Quality of Life questionnaire) from English to Hebrew and to describe normative data from a cohort of adults with normal hearing versus those with hearing aids [...] Read more.
Purpose: The present study aimed to describe the adaptation and validation process of the MuRQoL (Music Related Quality of Life questionnaire) from English to Hebrew and to describe normative data from a cohort of adults with normal hearing versus those with hearing aids or cochlear implants. Methods: After thoroughly translating and adapting to Hebrew, the participants completed the questionnaire online. We calculated the Cronbach’s alpha and McDonald’s omega scores for all scales and subscales. The construct validity of the questionnaire was evaluated using Confirmatory Factor Analysis (CFA) and the “known group” method. A total of 310 adults participated in this study. Fifty-four participants were deaf or hard of hearing, and 256 had normal hearing. Results: Internal consistency of the MuRQoL-He scales and subscales demonstrated good-to-excellent reliability. The goodness-of-fit indices for the frequency and importance scales were within acceptable standards. We found a significant difference in the frequency scale, where the normal-hearing group scores were significantly higher than those of the deaf and hard-of-hearing groups. Conclusions: The validity and reliability of the MuRQoL-He have been confirmed, indicating that it is suitable for guiding music rehabilitation for Hebrew-speaking deaf and hard-of-hearing adults. Full article
Show Figures

Figure 1

9 pages, 403 KB  
Case Report
A Rare Case of Anterior Semicircular Canal BPPV Resistant to Treatment: A Case Report and Literature Review
by Juras Jocys, Aistė Paškonienė and Eugenijus Lesinskas
Audiol. Res. 2025, 15(5), 126; https://doi.org/10.3390/audiolres15050126 - 28 Sep 2025
Viewed by 1785
Abstract
Background and Clinical Significance: Benign paroxysmal positional vertigo (BPPV) most commonly involves the posterior semicircular canal (PSC), whereas anterior semicircular canal BPPV (ASC-BPPV) is rare, accounting for only 1–3% of cases. Most ASC-BPPV cases respond well to particle repositioning maneuvers (PRMs), with refractory [...] Read more.
Background and Clinical Significance: Benign paroxysmal positional vertigo (BPPV) most commonly involves the posterior semicircular canal (PSC), whereas anterior semicircular canal BPPV (ASC-BPPV) is rare, accounting for only 1–3% of cases. Most ASC-BPPV cases respond well to particle repositioning maneuvers (PRMs), with refractory presentations being exceptional and diagnostically challenging, particularly when differential diagnoses such as apogeotropic posterior semicircular canal BPPV (PSC-BPPV) or central causes must be excluded. Case Presentation: A 43-year-old woman presented with vertigo triggered by head extension and rolling in bed. Initial neurological and otoneurological examinations were unremarkable. During the left Dix–Hallpike maneuver, a vertical down-beating nystagmus with subtle leftward torsion appeared after a 5 s latency and lasted 15 s. The supine head-hanging maneuver provoked a stronger and longer 30 s response, while the right Dix–Hallpike was negative. Despite repeated PRMs, including Yacovino (Deep Head-hanging), reverse Epley, Epley, and modified Semont maneuvers, the patient remained symptomatic over three years. Intermittently, conversion to PSC-BPPV was suspected, and temporary resolution was achieved after left-sided Epley and Semont maneuvers, but recurrence followed. Treatment with a mechanical rotational chair (TRV) initially resolved symptoms, but vertigo recurred several months later following two syncopal episodes with minor trauma. Extensive neurological evaluation, including MRI, CT, EEG, and vascular ultrasound, excluded central causes. Conclusions: This case illustrates the diagnostic and therapeutic difficulties posed by refractory ASC-BPPV, particularly in differentiating it from apogeotropic PSC-BPPV and central etiologies. It underscores the importance of latency, torsional characteristics, and supine head-hanging testing in diagnosis and demonstrates the potential role of mechanical rotational chairs in management. Personalized approaches incorporating anatomical imaging and maneuver adaptation are essential in such complex cases. Full article
(This article belongs to the Section Balance)
Show Figures

Figure 1

14 pages, 1079 KB  
Article
Vibration-Induced Nystagmus in Patients with Ménière’s Disease: Is There a Correlation to Endolymphatic Hydrops?
by Joan Lorente-Piera, Melissa Blanco, Raquel Manrique-Huarte, Adriana David, Victor Suarez-Vega, Angel Batuecas-Caletrío, Gloria Liaño Esteve, Pablo Dominguez and Nicolás Pérez-Fernández
Audiol. Res. 2025, 15(5), 125; https://doi.org/10.3390/audiolres15050125 - 28 Sep 2025
Viewed by 1110
Abstract
Background/Objectives: Skull vibration-induced nystagmus (SVIN) is a rapid bedside test that reveals vestibular asymmetry. Its clinical utility in Ménière’s disease (MD) remains controversial, particularly regarding its association with radiological endolymphatic hydrops (EH). This study aimed to evaluate the relationship between SVIN, audiovestibular [...] Read more.
Background/Objectives: Skull vibration-induced nystagmus (SVIN) is a rapid bedside test that reveals vestibular asymmetry. Its clinical utility in Ménière’s disease (MD) remains controversial, particularly regarding its association with radiological endolymphatic hydrops (EH). This study aimed to evaluate the relationship between SVIN, audiovestibular parameters, and EH severity in patients with unilateral definite MD. Methods: This prospective observational study was conducted at a tertiary academic referral center and included patients with unilateral MD who underwent SVIN testing (SVT), audiovestibular evaluation (PTA, cVEMP, oVEMP, vHIT, and caloric testing), and 3T MRI with gadolinium-enhanced 3D-FLAIR sequences to quantify EH. Results: In total, 84 patients were included in the study. SVIN was present in 57.14% of patients (n = 48), with ipsilesional nystagmus being the most frequent subtype (64.58%). Patients with SVIN had significantly higher vestibular EH (p = 0.017) and vestibular endolymphatic ratio (REL) in the affected ear (p = 0.019). Disease duration (p = 0.026) and shorter time since last vertigo spell (p = 0.018) were also associated with SVIN presence. REL correlated moderately with disease duration (r = 0.390, p < 0.001), PTA (r = 0.576, p < 0.001), and number of vertigo spells (r = 0.236, p = 0.031), but not with time since last crisis (r = −0.127, p = 0.252). ROC analysis yielded an AUC of 0.735 for REL in predicting SVIN. Conclusions: SVIN correlates with the severity of vestibular EH. This finding indicates a stimulus-locked response of a vestibular asymmetry rather than a purely structural alteration. Full article
(This article belongs to the Special Issue Multimodal Inner Ear Imaging in Vestibular Disorders)
Show Figures

Figure 1

14 pages, 1437 KB  
Article
Increased Listening Effort: Is Hearing Training a Solution?—Results of a Pilot Study on Individualized Computer-Based Auditory Training in Subjects Not (Yet) Fitted with Hearing Aids
by Dominik Péus, Jan-Patric Schmid, Andreas Koj, Andreas Radeloff and Michael Schulte
Audiol. Res. 2025, 15(5), 124; https://doi.org/10.3390/audiolres15050124 - 27 Sep 2025
Viewed by 1957
Abstract
Background: Hearing and cognition decline with age. Hearing is now considered an independent risk factor for later cognitive impairment. Computerized cognitive auditory training is being discussed as a possible adjunctive therapy approach. Objectives: The aim of this exploratory study is to investigate [...] Read more.
Background: Hearing and cognition decline with age. Hearing is now considered an independent risk factor for later cognitive impairment. Computerized cognitive auditory training is being discussed as a possible adjunctive therapy approach. Objectives: The aim of this exploratory study is to investigate how the success of a computer-based cognitive auditory training (CCAT) can be measured. For this purpose, the influence of a CCAT on different dimensions of hearing and cognition was determined. Materials and Methods: 23 subjects between 52 and 77 years old were recruited with normacusis to moderate hearing loss. They underwent 40 digital training lessons at home. Before, during, and after completion, concentration ability with the d2-R, memory (VLMT), subjective hearing impairment (HHI), hearing quality (SSQ12), listening effort in noise (ACALES), and speech understanding in noise (GÖSA) were measured. Results and Discussion: In this uncontrolled, non-randomized study, one of the main findings was that cognitive dimensions, namely processing speed, improved by 12.11 ± 16.40 points (p = 0.006), and concentration performance improved by 12.56 ± 13.50 points (p = 0.001), which were not directly trained in CCAT. Learning performance also improved slightly by 4.00 ± 7.00 (p = 0.019). Subjective hearing handicap significantly reduced by 10.70 ± 12.38 (p = 0.001). There were no significant changes in the SSQ-12 (p = 0.979). Hearing effort improved by 1.79 ± 2.13 dB SPL (p = 0.001), 1.75 ± 2.09 (p = 0.001), and 3.32 ± 3.27 dB (p < 0.001), respectively. Speech understanding in noise did not improve significantly. CCAT is likely to improve several dimensions of hearing and cognition. Controlled future studies are needed to investigate its efficacy. Full article
Show Figures

Figure 1

15 pages, 2966 KB  
Article
Time Delay and Frequency Analysis of Remote Microphones
by Elena Andreatta, Igor Caregnato, Antonio Selmo, Andrea Gulli, Marius George Onofrei and Eva Orzan
Audiol. Res. 2025, 15(5), 123; https://doi.org/10.3390/audiolres15050123 - 25 Sep 2025
Cited by 1 | Viewed by 1313
Abstract
Background/Objectives: A.BA.CO. is a speech-to-text captioning system developed for school classrooms. The system uses remote microphones to capture the teacher’s speech without background noise. Under this setup, an issue of signal latency arises for students wearing hearing aids (HAs) or cochlear implants (CIs), [...] Read more.
Background/Objectives: A.BA.CO. is a speech-to-text captioning system developed for school classrooms. The system uses remote microphones to capture the teacher’s speech without background noise. Under this setup, an issue of signal latency arises for students wearing hearing aids (HAs) or cochlear implants (CIs), whose latency is different from that of the remote microphones and may require the development of a temporal coupling solution. This study establishes the foundation for such a solution by determining the latency of two RMs (Remote Microphones) compatible with both HA and CI systems. The frequency response of the systems is analyzed independently and combined. Methods: The RMs combined with two Behind-The-Ear HAs, for which transparency was verified, were tested with two different compression ratios in a laboratory specializing in electroacoustic measurements using the comparison method to assess performance. Results: The time measurements revealed that the RMs differ by 10–12 ms (23–24 ms and 33–35 ms) and that the two HAs have time delays that differ by 1–2 ms (6–7 ms and 5–7 ms). The frequency responses showed that when HA and RM have similar gains, they exhibit comb-filter distortions. This effect could alter the acoustic output of devices in the ear canal and vary according to the mix ratio and mutual positions of HA and RM, potentially necessitating greater commitment from the wearer. Conclusions: The communication system will have to foresee different delays based on the model and brand of RM because similar transmission systems do not have the same time delays. RMs were originally designed for HA and are most effective if they represent the only or major acoustic stimulation that reaches the eardrum. These limits must be considered when estimating the effectiveness of A.BA.CO. with RM. Full article
Show Figures

Figure 1

15 pages, 987 KB  
Article
Effects of Digital Noise Reduction Processing on Subjective and Objective (Pupillometry) Assays of Listening Effort
by Lipika Sarangi, Jani Johnson and Gavin M. Bidelman
Audiol. Res. 2025, 15(5), 122; https://doi.org/10.3390/audiolres15050122 - 23 Sep 2025
Viewed by 1502
Abstract
Background/Objectives: Although research has demonstrated the positive impacts of hearing aid (HA) digital noise reduction (DNR), limited research is available on the impacts of the strength of DNR on listening effort. This study evaluated the effects of changes in the strength of [...] Read more.
Background/Objectives: Although research has demonstrated the positive impacts of hearing aid (HA) digital noise reduction (DNR), limited research is available on the impacts of the strength of DNR on listening effort. This study evaluated the effects of changes in the strength of HA DNR on listening effort, measured, behaviorally, using a self-report rating scale, and, physiologically, using pupillometry. The agreement between both measures was also examined. Methods: Eleven young adults with normal hearing completed a sentence-in-noise recognition task. Stimuli were processed through four noise reduction conditions (off, minimum, medium, maximum) using DNR algorithms found in conventional digital HAs. After sentence presentation, participants subjectively rated their perceived listening effort. Pupillometry was recorded during the task to assess changes in pupil size (a proxy of listening effort) during sentence recognition. Results: Participants’ perceived listening effort reduced as the noise reduction strength increased from off to medium DNR and then plateaued for the maximum DNR condition. Pupil dilation increased from off to medium DNR and then reduced for the maximum condition. Correlation analyses suggested no agreement between self-report and pupillometry measures of listening effort. Conclusions: Both self-report and pupillometry measures demonstrated changes in listening effort, with changes in the DNR strength indicating that noise reduction systems do provide benefit in reducing listening effort to a certain extent. Lack of agreement between the measures suggests that both methods might be assessing different constructs of listening effort and care should be taken while making methodological decisions to assess listening effort in individuals wearing HAs. Full article
(This article belongs to the Section Hearing)
Show Figures

Figure 1

11 pages, 416 KB  
Article
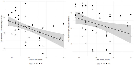
Early Cochlear Implant Promotes Global Development in Children with Severe-to-Profound Hearing Loss
by Chiara Falzone, Letizia Guerzoni, Sara Ghiselli, Laura Franchomme, Maria Nicastri, Patrizia Mancini, Enrico Fabrizi and Domenico Cuda
Audiol. Res. 2025, 15(5), 121; https://doi.org/10.3390/audiolres15050121 - 22 Sep 2025
Cited by 4 | Viewed by 2523
Abstract
Background/Objectives: The primary objective of the present study was to investigate early global development in children after one year of cochlear implant (CI) use. The secondary objective was to investigate the role of variables such as age at CI activation, gender, and parental [...] Read more.
Background/Objectives: The primary objective of the present study was to investigate early global development in children after one year of cochlear implant (CI) use. The secondary objective was to investigate the role of variables such as age at CI activation, gender, and parental schooling in early global development in children with a CI. Methods: The study sample included 24 subjects. All children were affected by severe-to-profound congenital bilateral sensorineural hearing loss (HL). The HL was diagnosed between 1 and 23 months of age (median 3 months) and participants underwent cochlear implant activation at 9–25 months (median 14 months). Participants were evaluated before CI surgery and after one year of CI use using the Italian version of the Griffiths III scales. Results: The general developmental quotient remained stable, as did the developmental quotients on scales A, C, D, and E. However, the development quotients on scale B, corresponding to the domain of “language and communication,” underwent a significant increase (p value < 0.05). There was a statistically significant negative effect of “age at CI activation” on both DQ at scale B (t − 3.457) and GDQ (t − 42.069). Maternal schooling had a significant positive effect on GDQ and DQ for scales A to D (p. value < 0.05). Conclusions: After one year of CI use, a significant improvement in the early global development of children was found in the language and communication domain. The age at CI activation and the level of the mother’s education were found to be related to early global development. Full article
Show Figures

Figure 1

16 pages, 773 KB  
Article
Evaluating Parenting Stress and Identifying Influential Factors in Caregivers of Deaf and Hard-of-Hearing Children
by Yuan Chen, Xiaoli Shen and Chengao Lyu
Audiol. Res. 2025, 15(5), 120; https://doi.org/10.3390/audiolres15050120 - 20 Sep 2025
Viewed by 1242
Abstract
Parenting stress significantly affects caregivers of deaf and hard-of-hearing (DHH) children, influenced by unique challenges and stressors. Background/Objectives: This study aims to develop the Chinese Family Stress Scale (CFSS) and to identify the stressors and contributing factors to elevated stress levels. Methods [...] Read more.
Parenting stress significantly affects caregivers of deaf and hard-of-hearing (DHH) children, influenced by unique challenges and stressors. Background/Objectives: This study aims to develop the Chinese Family Stress Scale (CFSS) and to identify the stressors and contributing factors to elevated stress levels. Methods: The study involved 257 caregivers of DHH children aged 0–12 years old. The CFSS was used to assess parenting stress in caregivers of DHH children, with its reliability and validity evaluated. Factors such as speech intelligibility, oral language use, self-compassion, and social support were examined for their impact on parenting stress. Results: Key stressors included financial issues, discipline, education concerns, medical care, and safety. Elevated parenting stress was significantly associated with poor speech intelligibility of the child, inadequate oral language use, negative aspects of self-compassion, and insufficient social support. The CFSS showed good reliability and validity in measuring parenting stress among caregivers of DHH children. Conclusions: The CFSS is an effective tool for assessing parenting stress in caregivers of DHH children. Interventions to reduce parenting stress can focus on improving children’s communication skills, enhancing caregiver self-compassion, and bolstering social support networks. Full article
(This article belongs to the Section Hearing)
Show Figures

Figure 1

18 pages, 615 KB  
Article
Auditory Processing and Speech Sound Disorders: Behavioral and Electrophysiological Findings
by Konstantinos Drosos, Paris Vogazianos, Dionysios Tafiadis, Louiza Voniati, Alexandra Papanicolaou, Klea Panayidou and Chryssoula Thodi
Audiol. Res. 2025, 15(5), 119; https://doi.org/10.3390/audiolres15050119 - 19 Sep 2025
Viewed by 2206
Abstract
Background: Children diagnosed with Speech Sound Disorders (SSDs) encounter difficulties in speech perception, especially when listening in the presence of background noise. Recommended protocols for auditory processing evaluation include behavioral linguistic and speech processing tests, as well as objective electrophysiological measures. The present [...] Read more.
Background: Children diagnosed with Speech Sound Disorders (SSDs) encounter difficulties in speech perception, especially when listening in the presence of background noise. Recommended protocols for auditory processing evaluation include behavioral linguistic and speech processing tests, as well as objective electrophysiological measures. The present study compared the auditory processing profiles of children with SSD and typically developing (TD) children using a battery of behavioral language and auditory tests combined with auditory evoked responses. Methods: Forty (40) parents of 7–10 years old Greek Cypriot children completed parent questionnaires related to their children’s listening; their children completed an assessment comprising language, phonology, auditory processing, and auditory evoked responses. The experimental group included 24 children with a history of SSDs; the control group consisted of 16 TD children. Results: Three factors significantly differentiated SSD from TD children: Factor 1 (auditory processing screening), Factor 5 (phonological awareness), and Factor 13 (Auditory Brainstem Response—ABR wave V latency). Among these, Factor 1 consistently predicted SSD classification both independently and in combined models, indicating strong ecological and diagnostic relevance. This predictive power suggests real-world listening behaviors are central to SSD differentiation. The significant correlation between Factor 5 and Factor 13 may suggest an interaction between auditory processing at the brainstem level and higher-order phonological manipulation. Conclusions: This research underscores the diagnostic significance of integrating behavioral and physiological metrics through dimensional and predictive methodologies. Factor 1, which focuses on authentic listening environments, was identified as the strongest predictor. These results advocate for the inclusion of ecologically valid listening items in the screening for APD. Poor discrimination of speech in noise imposes discrepancies between incoming auditory information and retained phonological representations, which disrupts the implicit processing mechanisms that align auditory input with phonological representations stored in memory. Speech and language pathologists can incorporate pertinent auditory processing assessment findings to identify potential language-processing challenges and formulate more effective therapeutic intervention strategies. Full article
(This article belongs to the Section Speech and Language)
Show Figures

Figure 1

13 pages, 3005 KB  
Article
Development of a Novel Algorithm for Tip Fold-Over Detection in Cochlear Implants and Evaluation on Bench and Multiple Clinical Data Bases
by Mehrangiz Ashiri, Tony Spahr, Azret Botash, Ashish Mehta, Jordan J. Varghese, Craig A. Buchman, Andrea J. DeFreese, Patrick Boyle, Matthew Miller, Syed F. Ahsan, Christopher Danner, Kyle P. Allen, Loren Bartels and Kanthaiah Koka
Audiol. Res. 2025, 15(5), 118; https://doi.org/10.3390/audiolres15050118 - 18 Sep 2025
Cited by 2 | Viewed by 1641
Abstract
Objectives: Tip fold-over (TFO) is a rare but critical occurrence in cochlear implant procedures where the electrode array folds back on itself within the cochlea, compromising programming and device performance. Timely intraoperative detection is essential for immediate correction and optimal placement. Electric field [...] Read more.
Objectives: Tip fold-over (TFO) is a rare but critical occurrence in cochlear implant procedures where the electrode array folds back on itself within the cochlea, compromising programming and device performance. Timely intraoperative detection is essential for immediate correction and optimal placement. Electric field imaging (EFI) has shown promise for identifying TFO both intra- and post-operatively. This study evaluates the performance of a TFO detection algorithm implemented in Target CI (Version 1.6) using Advanced Bionics’ cochlear implant systems, validated through bench and patient datasets. Methods: Sample data included (1) bench testing with a plastic cochlea and human temporal bones with and without induced TFOs, confirmed visually or radiographically; (2) intraoperative EFI measurements recorded using the AIM™ system, with electrode placement confirmed through imaging; and (3) historical EFI recordings from the Target CI DataLake, which lacks imaging and programming metadata. The TFO algorithm’s performance was evaluated by assessing its sensitivity and specificity using these datasets. Results: The TFO algorithm achieved 100% sensitivity and specificity in bench models and intraoperative EFI with imaging-confirmed placements. Among 226 intra-op cases, four TFOs were confirmed by imaging, and all were correctly identified by the algorithm. In the large set of DataLake cases (14,734 implants), 0.80% were flagged as potential TFOs. TFO prevalence was higher with pre-curved arrays (1.22%) than straight lateral wall arrays (0.32%). Conclusions: The TFO algorithm showed high reliability with 100% sensitivity and specificity using routine clinical EFI data. While not a replacement for imaging, the TFO algorithm serves as a fast, accessible tool to alert clinicians to potential TFOs. Full article
Show Figures

Figure 1

9 pages, 764 KB  
Article
Simplified Matrix Sentence Test for Pediatric Cochlear Implant Fitting: Single Institution Experience
by Giulia Parolin, Carmela Morizzi, Nader Nassif, Maria Grazia Barezzani and Luca Oscar Redaelli de Zinis
Audiol. Res. 2025, 15(5), 117; https://doi.org/10.3390/audiolres15050117 - 16 Sep 2025
Viewed by 821
Abstract
Background/Objectives: The Matrix Sentence Test is an audiological evaluation that quantifies the signal-to-noise ratio, expressed in decibels, at which the patient comprehends 50% of the words of a random sentence heard in noise. It is an effective and reliable tool for cochlear [...] Read more.
Background/Objectives: The Matrix Sentence Test is an audiological evaluation that quantifies the signal-to-noise ratio, expressed in decibels, at which the patient comprehends 50% of the words of a random sentence heard in noise. It is an effective and reliable tool for cochlear implant fitting and follow-up in both adults and children, demonstrating reliability upon repeated administration. A simplified model of the Matrix Sentence Test can be used in children. This study had two main objectives: first, to evaluate the Simplified Matrix Sentence Test for objectively estimating post-fitting CI performance; and second, to assess the influence of various demographic and device-related variables on the results. The variables of interest included gender, manufacturer, placement, microphone position, array position, score in pre-fitting speech audiometry in quiet, age at first implantation, age at test administration, and the interval between the first implant and the test administration. Methods: A retrospective study of pediatric patients with cochlear implants was performed. The inclusion criteria were patients aged 7–18 years, with a minimum of two years of cochlear implantation, adequate Italian language proficiency, and regular follow-up attendance. The subjects were administered the Simplified Matrix Sentence Test prior to and following map fitting by an experienced audiologist. Results: The study’s sample population included 51 patients who met the established inclusion criteria, with an average age of 13 years. In the preliminary SiIMax test, the average SNR for 50% sentence comprehension in noise was −0.83 ± 1.86 dB. Map adjustments included reductions or increases in comfort and threshold levels, modifications to multiple electrodes, or minor secondary changes. Approximately two days later, the second Simplified Matrix Sentence Test was administered. The average signal-to-noise for sentence comprehension was −2.05 ± 1.73 dB. Univariate and multivariate analyses revealed that no variable had a statistically significant impact on the results. Conclusions: The Simplified Matrix Sentence Test demonstrated universal applicability in compliant patients. Post-implant improvement appeared independent of patient demographics and device variables. Full article
(This article belongs to the Section Hearing)
Show Figures

Figure 1

18 pages, 872 KB  
Article
Identifying Hearing Loss and Audiological Rehabilitation Candidacy Through Self-Perceived Hearing Handicap Using the Croatian Version of the Hearing Handicap Inventory for the Elderly—Screening (HHIE-S-CRO)
by Luka Bonetti, Ana Bonetti and Tea Krišto
Audiol. Res. 2025, 15(5), 116; https://doi.org/10.3390/audiolres15050116 - 12 Sep 2025
Cited by 1 | Viewed by 1233
Abstract
Background/Objectives: This study aimed to: (1) evaluate the effectiveness of the Croatian version of the Hearing Handicap Inventory for the Elderly—Screening Version (HHIE-S-CRO) in screening for hearing loss greater than 20 dB HL in the better-hearing ear among adults aged ≥ 60 years; [...] Read more.
Background/Objectives: This study aimed to: (1) evaluate the effectiveness of the Croatian version of the Hearing Handicap Inventory for the Elderly—Screening Version (HHIE-S-CRO) in screening for hearing loss greater than 20 dB HL in the better-hearing ear among adults aged ≥ 60 years; (2) assess its utility in identifying individuals with hearing loss ≥ 40 dB HL in the better-hearing ear, meeting current Croatian eligibility criteria for state-funded hearing aid rehabilitation; and (3) determine whether the emotional and social components of perceived hearing handicap can be meaningfully distinguished. Methods: Validity of the HHIE-S-CRO was analyzed using Spearman’s correlation coefficient, the Mann–Whitney test and the factor analysis, while reliability was assessed via Cronbach’s alpha and the intraclass correlation coefficient (ICC). Receiver operating characteristic (ROC) curve analysis was calculated to determine sensitivity, specificity, and positive and negative predictive values (PPV and NPV) at various cut-off scores of the HHIE-S-CRO total for specified audiometric criteria (better ear pure-tone average > 20 dB HL and ≥40 dB HL). The nonparametric Wilcoxon Matched Pairs Test was used to compare scores on the emotional and social subscales of the HHIE-S-CRO. Results: The HHIE-S-CRO demonstrated excellent internal consistency (Cronbach’s alpha = 0.92) and high repeatability of the results (ICC = 0.92). Discriminant, convergent, construct and predictive validity were confirmed. The area under the curve (AUC) for detecting hearing loss > 20 dB HL in the better ear was 0.95, with a sensitivity of 90.67% and specificity of 94.65% at a cut-off score of 6. For the Croatian threshold for state-supported hearing aid rehabilitation (≥40 dB HL in the better-hearing ear), similarly favorable screening characteristics were found at a cut-off score of 10. Conclusions: Based on these findings, the HHIE-S-CRO appears to offer sufficient sensitivity and specificity to support two key clinical applications: (1) screening for hearing loss > 20 dB HL in individuals aged 60 and older, and (2) identifying individuals within this age group who may be eligible for state-supported hearing aid-based rehabilitation. Full article
(This article belongs to the Section Hearing)
Show Figures

Figure 1

15 pages, 756 KB  
Opinion
A Critique of the Stenger Test
by Andrew Bell, Myriam Westcott and W. Wiktor Jedrzejczak
Audiol. Res. 2025, 15(5), 115; https://doi.org/10.3390/audiolres15050115 - 9 Sep 2025
Viewed by 2445
Abstract
Introduction: Most audiometers have an in-built “Stenger test” setting. The test is sometimes applied in cases of single-sided deafness as an indicator of malingering. Although textbooks have been written about it, the underlying conditions remain enigmatic. The literature usually points to psychological problems, [...] Read more.
Introduction: Most audiometers have an in-built “Stenger test” setting. The test is sometimes applied in cases of single-sided deafness as an indicator of malingering. Although textbooks have been written about it, the underlying conditions remain enigmatic. The literature usually points to psychological problems, pointing to the patient as having “nonorganic hearing loss”, “malingering”, “false and exaggerated hearing loss”, “hysterical hearing loss”, or “pseudohypoacusis”. These are all non-objective features without a sound scientific base, and the test tends to blame the patient for providing non-repeatable hearing thresholds. Methods: This opinion piece looks at the literature surrounding the Stenger test and the factors that might cause hearing threshold variability and concludes that the test has a subjective basis that makes it unscientific. In our opinion, we also think it is ethically questionable to blame the patient for malingering when there are non-repeatable findings. In order to make the test scientifically valid, we frame a testable hypothesis: that the Stenger effect could be due to unrecognised contraction of the middle ear muscles in response to stimulation of the contralateral (worse-hearing) ear. That is, we suppose that bilateral contraction impairs thresholds in both the good and poor ear, so the subject can no longer hear a tone in their good ear which they previously could when their audiogram was established monaurally. Thus, we make the case that the subject is not malingering—they genuinely cannot hear the test tones in either ear. Discussion and Conclusions: We believe it is incorrect to blame the patient when the problem may lie with incomplete understanding of how the auditory system functions bilaterally. The test needs to be objectively investigated and perhaps reinterpreted in terms of hearing sensitivity in one ear being reduced by sound levels in the contralateral ear. If this is not possible, we suggest it would be better if the Stenger test were abolished. Full article
Show Figures

Figure 1

10 pages, 697 KB  
Article
Somatosensory Intervention Targeting Temporomandibular Disorders and Awake Bruxism Positively Impacts Subjective Tinnitus
by Eric Bousema, Pieter U. Dijkstra and Pim van Dijk
Audiol. Res. 2025, 15(5), 114; https://doi.org/10.3390/audiolres15050114 - 9 Sep 2025
Cited by 1 | Viewed by 2496
Abstract
Objective: To analyze the effects of a somatosensory education intervention targeting temporomandibular disorders (TMD) and awake bruxism on subjective tinnitus. Methods: This study had a pre-post-design in a primary care practice for orofacial physical therapy. Twenty-eight participants with the presence of TMD and [...] Read more.
Objective: To analyze the effects of a somatosensory education intervention targeting temporomandibular disorders (TMD) and awake bruxism on subjective tinnitus. Methods: This study had a pre-post-design in a primary care practice for orofacial physical therapy. Twenty-eight participants with the presence of TMD and suffering from moderate to severe subjective tinnitus, for at least 3 months, received the following treatments: (a) comprehensive information about tinnitus and the factors influencing it; (b) bruxism reversal training via a smartphone application; and (c) treatment for TMD. The primary outcome was the Tinnitus Functional Index (TFI). Secondary outcomes were awake bruxism frequency and the TMD pain screener. The study was approved by the Ethics Committee of the University of Groningen, the Netherlands. Results: The mean (95% CI) reduction in TFI scores and awake bruxism frequency were 18.4 (13.2–23.5) and 16.6% (2.0–31.2%), respectively. A clinically relevant reduction of 13 points on the TFI was observed in 63% of the participants. Regression analysis revealed that factors associated with TFI change included the TFI initial score at T0 (0.3, 95% CI 0.0–0.6), the presence of daytime clenching (21.0, 95% CI 8.7–33.4), and stiffness or pain around the TMJ (10.6, 95% CI −1.9–23.0) at baseline. Conclusions: The findings suggest that tinnitus education, TMD treatment, combined with decreasing awake bruxism, can reduce tinnitus in a primary care setting. Full article
Show Figures

Figure 1

23 pages, 2762 KB  
Article
Relationships Between Self-Report Hearing Scales, Listening Effort, and Speech Perception in Cocktail Party Noise in Hearing-Aided Patients
by Annie Moulin, Pierre-Emmanuel Aguera and Mathieu Ferschneider
Audiol. Res. 2025, 15(5), 113; https://doi.org/10.3390/audiolres15050113 - 8 Sep 2025
Cited by 1 | Viewed by 1181
Abstract
Background/Objectives: Potential correlations between the scores of self-report questionnaires and speech perception in noise abilities vary widely among studies and have been little explored in patients with conventional hearing aids (HAs). This study aimed to analyse the interrelations between (1) self-report auditory scales [...] Read more.
Background/Objectives: Potential correlations between the scores of self-report questionnaires and speech perception in noise abilities vary widely among studies and have been little explored in patients with conventional hearing aids (HAs). This study aimed to analyse the interrelations between (1) self-report auditory scales (the 15-item short-form of the Speech Spatial and Qualities of Hearing Scale (15iSSQ) and the Extended Listening Effort Assessment Scale (EEAS); (2) speech perception in cocktail party noise, measured with and without HAs; and (3) a self-assessment of the listening effort perceived during the speech in a noise-perception task (TLE) in hearing-aid wearers. Material and Methods: –Thirty-two patients, aged of 77.5 years (SD = 12) with a mean HA experience of 5.6 years, completed the 15iSSQ and EEAS. Their speech-in-babble-noise perception thresholds (SPIN) were assessed with (HA_SPIN) and without their HAs (UA_SPIN), using a four-alternative forced-choice test in free field, with several fixed Signal to Noise ratios (SNR). They were asked to self-assess their listening effort at each of those SNRs, allowing us to define a task-related listening-effort threshold with (HA_TLE) and without HAs (UA_TLE), i.e., the SNR for which they self-evaluated their listening effort as 5 out of 10. Results: 15iSSQ decreased as both HA_SPIN (r = −0.47, p < 0.01) and HA_TLE increased (r = −0.36, p < 0.05). The relationship between 15iSSQSpeech and UA_SPIN (and UA_TLE) showed a strong moderating influence by HA experience and HA daily wear (HADW), explaining up to 31% of the variance. 15iSSQQuality depended on HA SPIN and HA_TLE (r = −0.50, p < 0.01), and the relationship between 15iSSQQuality and UA_TLE was moderated by HADW. EEAS scores depended on both HA experience and UA_SPIN, with a strong moderating influence by HADW. Conclusions: Relationships between auditory questionnaires and SPIN are strongly moderated by both HA experience and HADW, even in experienced HA users, showing the need to account for these variables when analysing relationships between questionnaires and hearing-in-noise tests in experienced HA wearers. Full article
(This article belongs to the Section Hearing)
Show Figures

Figure 1

Previous Issue
Next Issue
Back to TopTop