Abstract
Diffuse axonal injury (DAI) following sudden acceleration and deceleration can lead to cognitive function decline. Various treatments have been proposed. Repetitive transcranial magnetic stimulation (rTMS), a non-invasive stimulation technique, is a potential treatment for enhancing neuroplasticity in cases of brain injury. The therapeutic efficacy of rTMS on cognitive function remains unconfirmed. This study investigated the effects of rTMS and the underlying molecular biomechanisms using a rat model of DAI. Sprague–Dawley rats (n = 18) were randomly divided into two groups: one receiving rTMS after DAI and the other without brain stimulation. All rats were subjected to sudden acceleration and deceleration using a DAI modeling machine to induce damage. MRI was performed to confirm the DAI lesion. The experimental group received rTMS at a frequency of 1 Hz over the frontal cortex for 10 min daily for five days. To assess spatial memory, we conducted the Morris water maze (MWM) test one day post-brain damage and one day after the five-day intervention. A video tracking system recorded the escape latency. After post-MWM tests, all rats were euthanized, and their brain tissues, particularly from the hippocampus, were collected for immunohistochemistry and western blot analyses. The escape latency showed no difference on the MWM test after DAI, but a significant difference was observed after rTMS between the two groups. Immunohistochemistry and western blot analyses indicated increased expression of BDNF, VEGF, and MAP2 in the hippocampal brain tissue of the DAI-T group. In conclusion, rTMS improved cognitive function in the DAI rat model. The increased expression of BDNF, VEGF, and MAP2 in the DAI-T group supports the potential use of rTMS in treating cognitive impairments associated with DAI.
1. Introduction
Traumatic brain injury (TBI) results from various causes, including traffic accidents, falls, and blunt trauma. Approximately 500 per 100,000 individuals in the United States require hospitalization due to TBI [1], with their prognosis significantly influenced by their initial state of consciousness [2]. Cognitive impairments after TBI are common and variable [3]. TBI significantly impacts patients’ activities with cognitive, behavioral, psychosocial, and physical impairment [4]. After TBI, cognitive impairment substantially affects the ability to resume social activities [5]. Notably, the decline in cognitive function following TBI is often linked to diffuse axonal injury (DAI) resulting from abrupt acceleration and deceleration. Various interventions are available to restore cognitive function in patients with DAI. These may encompass cognitive rehabilitation, psychotherapeutic methods, pharmacological treatments, and non-invasive brain stimulation techniques [6,7,8,9], all aiming to enhance neuroplasticity following brain injury.
Non-invasive brain stimulation methods, including repetitive transcranial magnetic stimulation (rTMS), transcranial direct current stimulation, and alternating current stimulation, improve functions in brain injury cases. Applying rTMS at frequencies of 5 Hz [10] and 10 Hz [11] to the injured motor cortex can boost motor function neuroplasticity in stroke patients. Additionally, 1 Hz rTMS has also been shown to aid neurological recovery [10,12]. In TBI rat models, rTMS over the cortex can increase regional blood flow and induce synaptic reorganization, a form of neuroplasticity [13,14,15,16,17]. A study applying various rTMS protocols to normal rats and assessing the effects using functional magnetic resonance imaging reported that 1 Hz low-intensity rTMS bilaterally decreased resting-state activity in the somatosensory cortex, motor cortex, and hippocampus [18]. However, the molecular biomechanisms underlying recovery following DAI treated with rTMS remain unclear. Although cognitive rehabilitation aims to mitigate cognitive decline, it often necessitates an extended duration and may not wholly restore prior functional abilities. Although rTMS is anticipated to enhance cognitive function in patients with DAI, its therapeutic efficacy is yet to be confirmed.
This study aimed to evaluate the effect of rTMS on cognitive function in a DAI rat model.
2. Materials and Methods
Experimental Subjects
All animal protocols adhered to the guidelines set by the Chonnam National University Animal Care and Use Committee. The Chonnam National University’s Institutional Animal Care and Use Committee (CNU IACUC-H-22020) approved the study protocol. We used forty male Sprague–Dawley rats, aged 10 weeks and weighing 300 ± 50 g (Samtako, Osan, Republic of Korea). The rats were housed at 23.0 ± 1.0 °C and 50 ± 5% humidity under a 12 h alternating light–dark cycle. They had unrestricted access to water and food in the Chonnam National University Animal Care Laboratory.
3. Methods
3.1. DAI Rat Model
We divided 18 ten-week-old male Sprague–Dawley rats into two groups: the DAI-T group, which received rTMS after DAI, and the rats receiving no stimulation after DAI (DAI-NT group). Each rat was subjected to sudden acceleration and deceleration, with an impulse of 3.8 kg × m/s for 15 s, to induce brain damage (Figure 1).
Figure 1.
Modeling a diffuse axonal injury (DAI) rat and applying repetitive transcranial magnetic stimulation (rTMS). A DAI rat model was created using an acceleration and deceleration modeling machine (a,b) with an impulse of 3.8 kg× m/s for 15 s, following anesthesia with isoflurane gas. (c) The rats received rTMS treatment using a figure-eight coil (inner diameter: 2.5 cm; outer diameter: 5 cm; Magstim Rapid2, MagStim®, Whitland, Dyfed, UK) at an intensity of 50% of the resting motor threshold and a frequency of 1 Hz for 10 s, with 50 s of rest between sets. Treatment consisted of 10 sets daily for five consecutive days.
3.2. Sample Size Calculation
We followed a previous rTMS study for sample size calculation [19]. The sample size was estimated using G*Power 3.1 software. Allowing a type 1 error of 5%, α = 0.05 with the power of 60%, β = 0.4, we calculated a needed sample size of nine rats per group.
3.3. Repetitive Transcranial Magnetic Stimulation
Rats in the DAI-T group underwent rTMS treatment (Magstim Rapid2, MagStim®, Whitland, UK). The resting motor threshold used to set the TMS intensity was measured from the gastrocnemius muscle. Previous studies have suggested that an intensity of 80% of the resting motor threshold affects motor recovery in a stroke rat model [20]. However, we considered inflammation in acute TBI. Another study has shown that low-intensity rTMS reduces inflammation in acute TBI [21]. Therefore, we fixed the intensity at 50% of the resting motor threshold. The frequency was set at 1 Hz for 10 s, followed by a 50 s rest interval per set. Daily stimulation comprised 10 sets and was conducted for five consecutive days. The rTMS was administered targeting both frontal lobes, with stimulation provided in a vertical direction. The rTMS, using a figure-eight coil (inner diameter 2.5 cm; outer diameter 5 cm), was administered to anesthetized rats starting from one day post-DAI. During the experiment, the rats in the DAI-NT group were under the same circumstances as the DAI-T group without non-invasive brain stimulation for five consecutive days.
3.4. Morris Water Maze Test
The memory function and spatial learning assessment was conducted using the Morris water maze (MWM) test, as described by Morris et al. [22]. This test involved a circular pool with a diameter of 184 cm and a height of 60 cm, filled with water maintained at a temperature of 22 ± 2 °C. The pool was conceptually divided into four quadrants, with one designated as the target quadrant. Visual cues were placed around the perimeter of each quadrant. Within the center of the target quadrant, a circular escape platform (10 cm in diameter and 38 cm in height) was submerged 1 cm below the water surface.
Before the induction of DAI, all groups underwent three consecutive days of pre-training. The animals were introduced into the maze at random entry points along the wall, distributed evenly around the maze’s perimeter. Upon locating the platform, rats were allowed to remain there for 10 s before initiating the next trial. Rats unable to locate the platform within 120 s were manually placed on it for 15 s to facilitate recognition of its location. Subsequently, the rats were removed from the pool and returned to their cages for a 5 min interval before the commencement of a second trial.
The MWM test was administered the day following the brain injury to assess spatial memory. The rats attempted to locate the platform within a 300 s timeframe. Escape latency, or the time taken to reach the platform, was accurately recorded using an Ethovision Color-Pro® video tracking system (Nodulus, Wageningen, The Netherlands).
3.5. Imaging Study
One day after inducing DAI in rats, a brain MRI was conducted. Three rats were used in each group to confirm the DAI lesion. The MRI data were collected at the Douglas Centre d’Imagerie Cérébrale utilizing a 4.7 Tesla Bruker Biospec 47/40 scanner (Bruker, Billerica, MA, USA), equipped with a 35 mm rat and mouse brain surface coil for transmission and a two-channel surface coil array for signal reception (Bruker). Rats were anesthetized with oxygen and isoflurane (4% isoflurane during induction, followed by 2–3% for maintenance). The level of isoflurane was adjusted to keep the breathing rate within 45–65 breaths/min throughout the procedure, and warm air (37 °C) was circulated into the scanner’s bore to keep the body temperature stable. Rats remained under anesthesia for 60 min while the anatomical MRI data were collected.
3.6. Immunohistochemistry
All rat brains were harvested post-euthanasia for immunohistochemistry of the brain-derived neurotrophic factor (BDNF), vascular endothelial growth factor (VEGF), and microtubule-associated protein 2 (MAP2), and the tissues of the hippocampus were used. Paraffin sections were deparaffinized in xylene, hydrated, and put in phosphate-buffered saline (PBS, pH 7.6). The sections were incubated in 0.3% hydrogen peroxide for 30 min, and endogenous peroxidases were inactivated by immersion three times (five minutes each time) in 0.05 mol L-1 Tris/HCl (pH 7.4). Subsequently, they were incubated with 1% pre-immune rabbit serum to reduce non-specific staining and reacted with the primary antibody, anti-BDNF (1:500 dilution; Abcam, Waltham, MA, USA), anti-VEGF (1:500 dilution; Abcam, USA), and rabbit MAP2 (1:500, Sigma-Aldrich, St. Louis, MO, USA) in 1% bovine serum albumin (BSA), 0.1% Na-azide, and 0.3% Triton-X 100. The sections were then incubated in a moist chamber at 4.0 °C overnight. The next day, the sections were cleaned with PBS three times for 10 min each and treated with the secondary biotinylated rabbit-anti-mouse IgG antibody (1:500, Chemicon, Billerica, MA, USA). The sections were visualized with 3,3′-diaminobenzidine (DAB) substrate for two minutes and counterstained with Mayer’s hematoxylin. The ratio of immunoreactivity in the hippocampal area compared to the total area was measured with Image J (version 1.54, NIH, Bethesda, MA, USA) [23]. An X100 immunohistochemistry scan (Figure 2) was used to measure the immunoreactivity.
3.7. Western Blot Analysis
The western blot analysis was performed with BDNF, VEGF, and MAP2, utilizing hippocampal tissues. These tissues were homogenized in 500 μL lysis buffer, immediately chilled on ice, and preserved at −80 °C. The homogenates were centrifuged at 13,000 rpm for 10 min at 4.0 °C, and the supernatant was collected. For the detection of BDNF, VEGF, and MAP2 proteins, 20 μg of protein from each sample was resolved by 10% sodium dodecyl sulfate-polyacrylamide gel electrophoresis and subsequently transferred to polyvinylidene difluoride membranes at 300 mA for 1 h. Membrane integrity and equal protein loading were verified by Ponceau Red staining. For immunodetection, membranes were blocked in 5% non-fat milk in 20 mmol L−1 Tris-buffered saline containing 0.1% Tween-20 (TBS-T), 80 mmol L−1 NaH2PO4, 20 mmol L−1 Na2HPO4, and 100 mmol L−1 NaCl adjusted to pH 7.5 for 1 h at room temperature. After four 15 min washes in TBS-T, membranes were incubated with primary antibodies against rabbit BDNF (1:1000 dilution, Abcam, Cambridge, UK), rabbit VEGF (1:1000 dilution, Abcam, USA), and rabbit MAP2 (1:500, Sigma-Aldrich, St. Louis, MO, USA) overnight at 4.0 °C in TBS-T containing 2% non-fat milk. Following this incubation, membranes were washed three times with TBS-T for 5 min each to remove excess antibodies. Membranes were then incubated with horseradish peroxidase-conjugated goat host-rabbit IgG (1:1000 dilution, Abcam, USA) secondary antibody in a blocking solution for 30 min. After three 10 min washes in TBS-T, immunoreactive bands were detected using Enhanced Chemiluminescence Plus with Immobilon Western Chemiluminet substrate (Millipore, Billerica, MA, USA). The immunoreactive protein bands were visualized using the Enhanced Chemiluminescence Plus (ECL Plus, Amersham, UK) and Image Reader (LAS-300 Imaging System, Fuji Photo Film™, Tokyo, Japan) in grayscale at a resolution of 600 dpi and quantified using Image J (version 1.54, NIH, Bethesda, MA, USA).
3.8. Statistical Analyses
Statistical analyses were conducted using the SPSS software program for Windows (version 26.0, Chicago, IL, USA). Data are presented as mean ± standard deviation (SD). The repeated measure ANOVA, followed by post hoc tests, was utilized to analyze the behavioral data, and the Chi-square test was performed on the western blot data. Differences were considered statistically significant at a p-value of <0.05.
4. Results
4.1. Imaging Study for DAI
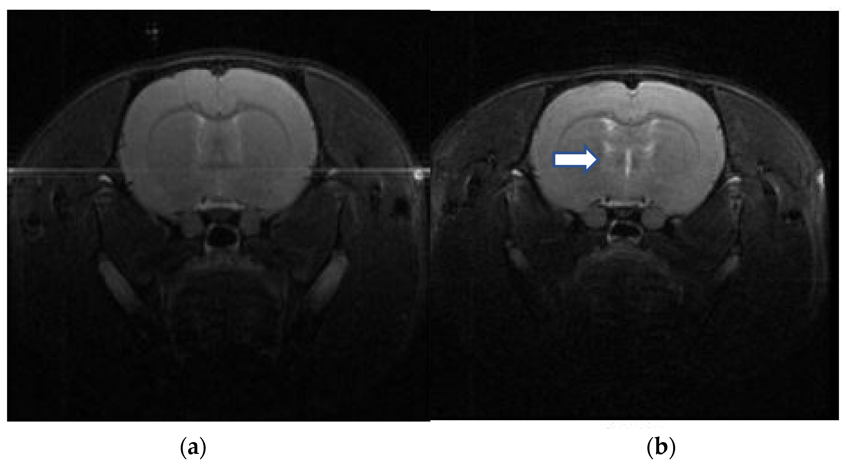
Regions identifiable by T2-weighted contrast are depicted in Figure 3. The elevated signal intensity changes in the subcortical and deep brain tissues indicate DAI following a 3.8 kg•m/s impulse over 15 s, compared to a normal rat brain MRI.
Figure 3.
Brain MRI following modeling of a diffuse axonal injury (DAI). T2-weighted contrast MRI images display distinguishable regions. High signal intensity changes in the subcortical and deep brain tissues (white arrow) indicate the presence of DAI. (a) Normal rat brain MRI, (b) DAI rat brain MRI.
4.2. Behavioral Test
The escape latency in the MWM test before the intervention was 89.72 ± 32.81 s for the DAI-T group and 79.92 ± 33.97 s for the DAI-NT group. The two groups had no significant difference (p = 0.556). Following the intervention, the escape latencies were 54.92 ± 30.91 s for the DAI-T group and 120.62 ± 49.03 s for the DAI-NT group. The follow-up escape latencies in the DAI-T group were significantly shorter than those in the DAI-NT group (p = 0.011) (Figure 4). Repeated measure ANOVA with post hoc testing showed a significant time × group interaction effect (F = 5.851, p = 0.009).
Figure 4.
Escape latency in the Morris water maze test. Before stimulation, there was no significant difference in escape latency between the group receiving rTMS after diffuse axonal injury (DAI-T) and the no stimulation after diffuse axonal injury (DAI-NT) group; however, a significant difference emerged between the two groups after low-frequency rTMS.
4.3. Immunohistochemistry
Figure 2 and Figure 5 show the immunohistochemistry analysis. The ratio of BDNF immunoreactivity in the hippocampal area compared to the total area was 5.008% in the DAI-NT group and 8.778% in the DAI-T group. The ratio of VEGF immunoreactivity in the hippocampal area compared to the total area was 8.711% in the DAI-NT group and 12.105% in the DAI-T group. The ratio of MAP2 immunoreactivity in the hippocampal area compared to the total area was 10.475% in the DAI-NT group and 12.814% in the DAI-T group (Table 1).
Table 1.
The ratio of immunoreactivity after intervention.
Immunohistochemical studies showed that BDNF, VEGF, and MAP2 were more expressed in the hippocampal region adjacent to the injury in the DAI-T group than in the DAI-NT group.
Figure 2.
Immunohistochemical detection of the brain-derived neurotrophic factor (BDNF), vascular endothelial growth factor (VEGF), and microtubule-associated protein 2 (MAP2) expression in the hippocampus after rTMS in a DAI rat. In the immunohistochemistry for BDNF, VEGF, and BAP2 for the hippocampal area, the DAI-T group displayed the most significant immunoreactivity for BDNF, VEGF, and MAP2 compared to the DAI-NT group (×100).
Figure 2.
Immunohistochemical detection of the brain-derived neurotrophic factor (BDNF), vascular endothelial growth factor (VEGF), and microtubule-associated protein 2 (MAP2) expression in the hippocampus after rTMS in a DAI rat. In the immunohistochemistry for BDNF, VEGF, and BAP2 for the hippocampal area, the DAI-T group displayed the most significant immunoreactivity for BDNF, VEGF, and MAP2 compared to the DAI-NT group (×100).

Figure 5.
Immunohistochemical detection of the brain-derived neurotrophic factor (BDNF), vascular endothelial growth factor (VEGF), and microtubule-associated protein 2 (MAP2) expression after rTMS in a DAI rat. In the immunohistochemistry for BDNF, VEGF, and MAP2, the DAI-T group displayed the most significant immunoreactivity for BDNF, VEGF, and MAP2 compared to the DAI-NT group (×10).
Figure 5.
Immunohistochemical detection of the brain-derived neurotrophic factor (BDNF), vascular endothelial growth factor (VEGF), and microtubule-associated protein 2 (MAP2) expression after rTMS in a DAI rat. In the immunohistochemistry for BDNF, VEGF, and MAP2, the DAI-T group displayed the most significant immunoreactivity for BDNF, VEGF, and MAP2 compared to the DAI-NT group (×10).

4.4. Western Blot Analysis
Western blot analyses using antibodies against BDNF, VEGF, and MAP2 were performed on hippocampal tissues post-intervention.
The BDNF protein levels were 0.284 ± 0.011 μg protein for the DAI-NT group and 0.538 ± 0.001 μg protein for the DAI-T group, indicating more robust expression in the DAI-T group (p = 0.000). VEGF protein levels were 1.076 ± 0.030 μg protein for the DAI-NT group and 1.145 ± 0.068 μg protein for the DAI-T group, with the DAI-T group showing more robust expression (p = 0.035). MAP2 protein levels were 0.567 ± 0.021 μg protein for the DAI-NT group and 0.678 ± 0.008 μg protein for the DAI-T group, again indicating more robust expression in the DAI-T group (p = 0.000) (Figure 6). Whole western blot bands are shown in the Supplementary File.
Figure 6.
Western blot analysis of brain tissue post-intervention. The rTMS after diffuse axonal injury (DAI-T) group showed more robust expression of brain-derived neurotrophic factor (BDNF), vascular endothelial growth factor (VEGF), and microtubule-associated protein 2 (MAP2) proteins after low-frequency rTMS than the no stimulation after diffuse axonal injury (DAI-NT) group.
5. Discussion
DAI often lacks clear radiological changes, even in cases with prominent neurological impairment [24]. MRI can evaluate DAI in patients with non-hemorrhagic lesions who show normal findings on CT scans. In the MRI images of patients with DAI, gliosis is observed as increased T2 signals may appear in areas susceptible to shearing injury, such as the grey–white matter junction, corpus callosum, and brainstem [25]. Several rodent models of TBI share similar imaging properties with human DAI [26,27], and there have been reports that MRI is effective in evaluating the appropriateness of DAI rat models [28]. In our study, gliotic changes were observed in the grey–white matter junction and deep brain tissue on brain MRI taken after DAI modeling, confirming the appropriateness of the modeling.
This study reported the effects of low-frequency rTMS applied to the frontal cortex using a figure-eight coil at 1 Hz in DAI rats. rTMS has been shown to effectively treat cognitive disorders [29]. Additionally, previous research indicates that high-frequency rTMS may benefit cognition in patients with mild cognitive impairment or Alzheimer’s disease [30]. However, the impact of low-frequency rTMS on cognitive function in DAI remains controversial, with results showing inconsistency [31].
rTMS can produce various long-term effects based on intensity, frequency, and stimulation patterns. High-frequency stimulation (>3 Hz) typically leads to facilitation, a phenomenon similar to long-term potentiation (LTP). In contrast, low-frequency rTMS (≤1 Hz) results in a reduction in synaptic efficiency, akin to long-term depression (LTD) [32]. This study observed a significant difference in escape latency between two TBI rat groups post-intervention. DAI involves microscopic and gross damage to axons resulting from acceleration and deceleration motions that generate shearing forces on the brain’s white matter tracts [33]. This process is associated with an imbalance between glutamate and GABA. In the acute phase of TBI, excitotoxic injury extends to adjacent tissues, and excessive glutamate release increases intracellular calcium levels, furthering neuronal damage [34,35]. Therefore, considering the neuronal harm caused by cortical hyperexcitability in DAI, it is proposed that cortical inhibition via low-frequency rTMS may contribute to the observed difference in escape latency. Consequently, neuromodulation through low-frequency rTMS is suggested to have a protective effect on the inflammatory response following acute brain injury.
This study revealed elevated expression levels of BDNF, VEGF, and MAP2 in the hippocampus of the DAI-T group. The mechanism behind DAI remains elusive; however, axoplasmic calcium overload is believed to play a critical role in axonal injury. Furthermore, disturbances in axonal calcium homeostasis are pivotal in axonal damage during the acute phase of DAI [36]. Therefore, managing the calcium signaling pathway is vital for patients with DAI.
BDNF, acting as a neuroprotective agent, promotes neuroprotection by regulating Bcl-2 family proteins [37]. The Bcl-2 family proteins, known for their significant neuroprotective role, can influence the intracellular Ca2+ transport systems [38]. A previous study indicated a notable increase in Bcl-2 expression following low-frequency rTMS in dementia rats [39]. It is hypothesized that low-frequency rTMS may enhance proteins involved in calcium signaling pathways, such as Bcl-2, thereby preventing axonal injury resulting from excitotoxicity.
MAP2, a prominent cytoskeletal component, is crucial for microtubule stability and neural plasticity as it supports microtubule stabilization [40]. A key mechanism of DAI involves cytoskeletal alterations in axons due to acceleration and deceleration forces [41]. A recent report showed the potential mechanisms by which MAP2 can be regulated via post-translational modification to enhance the neuroprotective process [42]. Intermittent theta-burst rTMS as a high-frequency protocol may inhibit the ischemic and reperfusion injury related to the expression of MAP2 protein [43]. Also, low-frequency rTMS could induce changes in MAP-2 expressions in brain structures to affect synaptic plasticity [44]. Both low- and high-frequency rTMS could affect neuroplasticity, but low-frequency rTMS may be related to the neuroprotective mechanism after DAI, according to this study.
VEGF, recognized for its angiogenic and vascular permeability-enhancing properties, also offers neuroprotective benefits through apoptosis inhibition and neurogenesis stimulation, preventing neurons from dying under critical conditions [45]. Also, VEGF expression increased in a rat model of vascular dementia after 1 Hz rTMS [39]. This study revealed that low-frequency rTMS may have neuroprotective effects on DAI rat models like the vascular dementia rat models.
This study presents several limitations. First, the experiment utilized a small sample size of rats. Future studies may need a larger sample size to enhance statistical power and robustness. Second, the evaluation of DAI was exclusively conducted through brain MRI without assessing its severity. Given the findings indicating that cognitive function in patients with depressive disorders can serve as an indicator to predict the response to rTMS [46], further research is needed to explore the therapeutic effects of rTMS in DAI according to its severity. Third, the control group was in the same circumstances as the DAI-T group during the experiment. However, there was no sham rTMS applied. Last, our study only examined the short-term effects of rTMS on cognition. Considering the potential neuroprotection effect of low-frequency rTMS in acute DAI, as suggested by our study results, it would be necessary to investigate its long-term effects as well.
Despite these limitations, the current study identified significant alterations in escape latency following low-frequency rTMS, thus highlighting the efficacy of the molecular–biological approach. In other words, our study demonstrated that BDNF, MAP2, and VEGF increased following low-frequency rTMS. BDNF supports learning and memory through synergistic interactions between neuronal activity and synaptic plasticity [47], MAP2 influences neuronal plasticity through its involvement in the initial differentiation of neurons [48], and VEGF is recognized for its neuroprotective effects against excitotoxicity associated with neurodegeneration [49]. BDNF, MAP2, and VEGF each play a unique role, but they also interact to protect neurons and maintain cognitive function. Elevated expression levels of BDNF, VEGF, and MAP2 after rTMS may align with the neuroprotective impact of low-frequency rTMS and suggest a molecular biomechanism for the protective effect against the inflammatory process following acute brain injury. Therefore, there is a need for further research into strategies for enhancing cognitive function in patients with DAI through the appropriate regulation and interaction of these molecules.
Consequently, further studies are warranted to elucidate the mechanism by investigating the effects of various non-invasive brain stimulation techniques compared to rTMS following DAI. Additionally, it is essential to understand potential challenges or safety issues that may arise when applying these techniques to humans.
6. Conclusions
The application of rTMS enhanced cognitive functions in a rat model of DAI, demonstrating increased expression of BDNF, VEGF, and MAP2. These findings potentially support the use of rTMS to treat patients with cognitive deficits attributable to DAI.
Supplementary Materials
The following supporting information can be downloaded at: https://www.mdpi.com/article/10.3390/neurolint16040052/s1, Figure S1: Whole western blot bands.
Author Contributions
Conceptualization was led by M.-K.S.; methodology was developed by M.-K.S. and E.-J.K.; validation was performed by E.-J.K.; investigation was conducted by M.-K.S. and E.-J.K.; resources were provided by E.-J.K.; data curation was handled by E.-J.K.; writing of the original draft was performed by H.-M.K. and H.-S.J.; review and editing of the manuscript were performed by M.-K.S. and I.C.; visualization was created by M.-K.S.; supervision was provided by J.-M.N., K.-H.K., H.-K.P., J.-Y.H. and I.C.; project administration was managed by H.-K.P., J.-Y.H. and I.C.; And funding acquisition was secured by M.-K.S. All authors have read and agreed to the published version of the manuscript.
Funding
This research was supported by the National Research Foundation of Korea (NRF-2022R1A2C1091592) and a grant (BCRI-21032) from the Chonnam National University Hospital Biomedical Research Institute.
Institutional Review Board Statement
The Chonnam National University’s Institutional Animal Care and Use Committee (CNU IACUC-H-22020) granted approval for this study.
Informed Consent Statement
Not applicable.
Data Availability Statement
The data presented in this study are available on request from the corresponding author.
Conflicts of Interest
No conflicts of interest or financial benefits are associated with this study.
References
- Georges, A.; Das, J.M. Traumatic Brain Injury (Archive). In StatPearls; StatPearls Publishing: Treasure Island, FL, USA, 2024. [Google Scholar]
- Adams, J.H.; Doyle, D.; Ford, I.; Gennarelli, T.A.; Graham, D.I.; McLellan, D.R. Diffuse Axonal Injury in Head Injury: Definition, Diagnosis and Grading. Histopathology 1989, 15, 49–59. [Google Scholar] [CrossRef]
- Barman, A.; Chatterjee, A.; Bhide, R. Cognitive Impairment and Rehabilitation Strategies after Traumatic Brain Injury. Indian. J. Psychol. Med. 2016, 38, 172–181. [Google Scholar] [CrossRef] [PubMed]
- DeLisa, J.A.; Gans, B.M.; Walsh, N.E. Physical Medicine and Rehabilitation: Principles and Practice; Lippincott Williams & Wilkins: Philadelphia, PA, USA, 2005; ISBN 978-0-7817-4130-9. [Google Scholar]
- Arciniegas, D.B.; Held, K.; Wagner, P. Cognitive Impairment Following Traumatic Brain Injury. Curr. Treat. Options Neurol. 2002, 4, 43–57. [Google Scholar] [CrossRef] [PubMed]
- Bosch, M.; McKenzie, J.E.; Ponsford, J.L.; Turner, S.; Chau, M.; Tavender, E.J.; Knott, J.C.; Gruen, R.L.; Francis, J.J.; Brennan, S.E.; et al. Evaluation of a Targeted, Theory-Informed Implementation Intervention Designed to Increase Uptake of Emergency Management Recommendations Regarding Adult Patients with Mild Traumatic Brain Injury: Results of the NET Cluster Randomised Trial. Implement. Sci. 2019, 14, 4. [Google Scholar] [CrossRef] [PubMed]
- Klein, A.P.; Tetzlaff, J.E.; Bonis, J.M.; Nelson, L.D.; Mayer, A.R.; Huber, D.L.; Harezlak, J.; Mathews, V.P.; Ulmer, J.L.; Sinson, G.P.; et al. Prevalence of Potentially Clinically Significant Magnetic Resonance Imaging Findings in Athletes with and without Sport-Related Concussion. J. Neurotrauma 2019, 36, 1776–1785. [Google Scholar] [CrossRef] [PubMed]
- Ananthaharan, A.; Kravdal, G.; Straume-Naesheim, T.M. Utility and Effectiveness of the Scandinavian Guidelines to Exclude Computerized Tomography Scanning in Mild Traumatic Brain Injury—A Prospective Cohort Study. BMC Emerg. Med. 2018, 18, 44. [Google Scholar] [CrossRef] [PubMed]
- Neville, I.S.; Zaninotto, A.L.; Hayashi, C.Y.; Rodrigues, P.A.; Galhardoni, R.; Ciampi de Andrade, D.; Brunoni, A.R.; Amorim, R.L.O.; Teixeira, M.J.; Paiva, W.S. Repetitive TMS Does Not Improve Cognition in Patients with TBI: A Randomized Double-Blind Trial. Neurology 2019, 93, e190–e199. [Google Scholar] [CrossRef] [PubMed]
- Emara, T.H.; Moustafa, R.R.; ElNahas, N.M.; ElGanzoury, A.M.; Abdo, T.A.; Mohamed, S.A.; ElEtribi, M.A. Repetitive Transcranial Magnetic Stimulation at 1 Hz and 5 Hz Produces Sustained Improvement in Motor Function and Disability after Ischaemic Stroke. Eur. J. Neurol. 2010, 17, 1203–1209. [Google Scholar] [CrossRef] [PubMed]
- Kim, Y.-H.; You, S.H.; Ko, M.-H.; Park, J.-W.; Lee, K.H.; Jang, S.H.; Yoo, W.-K.; Hallett, M. Repetitive Transcranial Magnetic Stimulation-Induced Corticomotor Excitability and Associated Motor Skill Acquisition in Chronic Stroke. Stroke 2006, 37, 1471–1476. [Google Scholar] [CrossRef]
- Mansur, C.G.; Fregni, F.; Boggio, P.S.; Riberto, M.; Gallucci-Neto, J.; Santos, C.M.; Wagner, T.; Rigonatti, S.P.; Marcolin, M.A.; Pascual-Leone, A. A Sham Stimulation-Controlled Trial of rTMS of the Unaffected Hemisphere in Stroke Patients. Neurology 2005, 64, 1802–1804. [Google Scholar] [CrossRef]
- Villamar, M.F.; Portilla, A.S.; Fregni, F.; Zafonte, R. Noninvasive Brain Stimulation to Modulate Neuroplasticity in Traumatic Brain Injury. Neuromodulation 2012, 15, 326–338. [Google Scholar] [CrossRef]
- Lu, X.; Bao, X.; Li, J.; Zhang, G.; Guan, J.; Gao, Y.; Wu, P.; Zhu, Z.; Huo, X.; Wang, R. High-Frequency Repetitive Transcranial Magnetic Stimulation for Treating Moderate Traumatic Brain Injury in Rats: A Pilot Study. Exp. Ther. Med. 2017, 13, 2247–2254. [Google Scholar] [CrossRef]
- Effect of Continuous Theta Burst Stimulation of the Right Dorsolateral Prefrontal Cortex on Cerebral Blood Flow Changes during Decision Making. Available online: https://pubmed.ncbi.nlm.nih.gov/22494829/ (accessed on 3 June 2024).
- Kito, S.; Fujita, K.; Koga, Y. Regional Cerebral Blood Flow Changes after Low-Frequency Transcranial Magnetic Stimulation of the Right Dorsolateral Prefrontal Cortex in Treatment-Resistant Depression. Neuropsychobiology 2008, 58, 29–36. [Google Scholar] [CrossRef]
- Speer, A.M.; Kimbrell, T.A.; Wassermann, E.M.; Repella, J.D.; Willis, M.W.; Herscovitch, P.; Post, R.M. Opposite Effects of High and Low Frequency rTMS on Regional Brain Activity in Depressed Patients. Biol. Psychiatry 2000, 48, 1133–1141. [Google Scholar] [CrossRef]
- Seewoo, B.J.; Feindel, K.W.; Etherington, S.J.; Rodger, J. Resting-State fMRI Study of Brain Activation Using Low-Intensity Repetitive Transcranial Magnetic Stimulation in Rats. Sci. Rep. 2018, 8, 6706. [Google Scholar] [CrossRef]
- Li, W.; Yang, Y.; Ye, Q.; Yang, B.; Wang, Z. Effect of Chronic and Acute Low-Frequency Repetitive Transcranial Magnetic Stimulation on Spatial Memory in Rats. Brain Res. Bull. 2007, 71, 493–500. [Google Scholar] [CrossRef]
- Yoon, K.J.; Lee, Y.-T.; Han, T.R. Mechanism of Functional Recovery after Repetitive Transcranial Magnetic Stimulation (rTMS) in the Subacute Cerebral Ischemic Rat Model: Neural Plasticity or Anti-Apoptosis? Exp. Brain Res. 2011, 214, 549–556. [Google Scholar] [CrossRef]
- Clarke, D.; Beros, J.; Bates, K.A.; Harvey, A.R.; Tang, A.D.; Rodger, J. Low Intensity Repetitive Magnetic Stimulation Reduces Expression of Genes Related to Inflammation and Calcium Signalling in Cultured Mouse Cortical Astrocytes. Brain Stimul. 2021, 14, 183–191. [Google Scholar] [CrossRef]
- Morris, R.G.; Garrud, P.; Rawlins, J.N.; O’Keefe, J. Place Navigation Impaired in Rats with Hippocampal Lesions. Nature 1982, 297, 681–683. [Google Scholar] [CrossRef] [PubMed]
- Crowe, A.R.; Yue, W. Semi-quantitative Determination of Protein Expression using Immunohistochemistry Staining and Analysis: An Integrated Protocol. Bio Protoc. 2019, 20, e3465. [Google Scholar] [CrossRef] [PubMed]
- Li, X.-Y.; Feng, D.-F. Diffuse Axonal Injury: Novel Insights into Detection and Treatment. J. Clin. Neurosci. 2009, 16, 614–619. [Google Scholar] [CrossRef] [PubMed]
- Shenton, M.E.; Hamoda, H.M.; Schneiderman, J.S.; Bouix, S.; Pasternak, O.; Rathi, Y.; Vu, M.-A.; Purohit, M.P.; Helmer, K.; Koerte, I.; et al. A Review of Magnetic Resonance Imaging and Diffusion Tensor Imaging Findings in Mild Traumatic Brain Injury. Brain Imaging Behav. 2012, 6, 137–192. [Google Scholar] [CrossRef] [PubMed]
- Mac Donald, C.L.; Dikranian, K.; Song, S.K.; Bayly, P.V.; Holtzman, D.M.; Brody, D.L. Detection of Traumatic Axonal Injury with Diffusion Tensor Imaging in a Mouse Model of Traumatic Brain Injury. Exp. Neurol. 2007, 205, 116–131. [Google Scholar] [CrossRef] [PubMed]
- Denic, A.; Macura, S.I.; Mishra, P.; Gamez, J.D.; Rodriguez, M.; Pirko, I. MRI in Rodent Models of Brain Disorders. Neurotherapeutics 2011, 8, 3–18. [Google Scholar] [CrossRef] [PubMed]
- Frank, D.; Gruenbaum, B.F.; Zvenigorodsky, V.; Shelef, I.; Oleshko, A.; Matalon, F.; Tsafarov, B.; Zlotnik, A.; Frenkel, A.; Boyko, M. Establishing a 3-Tesla Magnetic Resonance Imaging Method for Assessing Diffuse Axonal Brain Injury in Rats. Int. J. Mol. Sci. 2024, 25, 4234. [Google Scholar] [CrossRef] [PubMed]
- Miniussi, C.; Cappa, S.F.; Cohen, L.G.; Floel, A.; Fregni, F.; Nitsche, M.A.; Oliveri, M.; Pascual-Leone, A.; Paulus, W.; Priori, A.; et al. Efficacy of Repetitive Transcranial Magnetic Stimulation/Transcranial Direct Current Stimulation in Cognitive Neurorehabilitation. Brain Stimul. 2008, 1, 326–336. [Google Scholar] [CrossRef]
- Chou, Y.-H.; That, V.T.; Sundman, M. A Systematic Review and Meta-Analysis of rTMS Effects on Cognitive Enhancement in Mild Cognitive Impairment and Alzheimer’s Disease. Neurobiol. Aging 2020, 86, 1–10. [Google Scholar] [CrossRef] [PubMed]
- Lage, C.; Wiles, K.; Shergill, S.S.; Tracy, D.K. A Systematic Review of the Effects of Low-Frequency Repetitive Transcranial Magnetic Stimulation on Cognition. J. Neural Transm. 2016, 123, 1479–1490. [Google Scholar] [CrossRef]
- Huang, Y.-Z.; Edwards, M.J.; Rounis, E.; Bhatia, K.P.; Rothwell, J.C. Theta Burst Stimulation of the Human Motor Cortex. Neuron 2005, 45, 201–206. [Google Scholar] [CrossRef]
- Mesfin, F.B.; Gupta, N.; Hays Shapshak, A.; Taylor, R.S. Diffuse Axonal Injury. In StatPearls; StatPearls Publishing: Treasure Island, FL, USA, 2024. [Google Scholar]
- Bullock, R.; Zauner, A.; Woodward, J.J.; Myseros, J.; Choi, S.C.; Ward, J.D.; Marmarou, A.; Young, H.F. Factors Affecting Excitatory Amino Acid Release Following Severe Human Head Injury. J. Neurosurg. 1998, 89, 507–518. [Google Scholar] [CrossRef]
- Arciniegas, D.B.; Bullock, M.R.; Katz, D.I.; Kreutzer, J.S.; Zafonte, R.D.; Zasler, N.D. Brain Injury Medicine: Principles and Practice; Demos Medical Publishing: New York, NY, USA, 2012; ISBN 978-1-61705-057-2. [Google Scholar]
- Mu, J.; Song, Y.; Zhang, J.; Lin, W.; Dong, H. Calcium Signaling Is Implicated in the Diffuse Axonal Injury of Brain Stem. Int. J. Clin. Exp. Pathol. 2015, 8, 4388–4397. [Google Scholar]
- Pérez-Navarro, E.; Gavaldà, N.; Gratacòs, E.; Alberch, J. Brain-Derived Neurotrophic Factor Prevents Changes in Bcl-2 Family Members and Caspase-3 Activation Induced by Excitotoxicity in the Striatum. J. Neurochem. 2005, 92, 678–691. [Google Scholar] [CrossRef] [PubMed]
- Vervliet, T.; Parys, J.B.; Bultynck, G. Bcl-2 Proteins and Calcium Signaling: Complexity beneath the Surface. Oncogene 2016, 35, 5079–5092. [Google Scholar] [CrossRef] [PubMed]
- Yang, H.-Y.; Liu, Y.; Xie, J.-C.; Liu, N.-N.; Tian, X. Effects of Repetitive Transcranial Magnetic Stimulation on Synaptic Plasticity and Apoptosis in Vascular Dementia Rats. Behav. Brain Res. 2015, 281, 149–155. [Google Scholar] [CrossRef] [PubMed]
- Sánchez, C.; Díaz-Nido, J.; Avila, J. Phosphorylation of Microtubule-Associated Protein 2 (MAP2) and Its Relevance for the Regulation of the Neuronal Cytoskeleton Function. Prog. Neurobiol. 2000, 61, 133–168. [Google Scholar] [CrossRef] [PubMed]
- Siedler, D.G.; Chuah, M.I.; Kirkcaldie, M.T.K.; Vickers, J.C.; King, A.E. Diffuse Axonal Injury in Brain Trauma: Insights from Alterations in Neurofilaments. Front. Cell Neurosci. 2014, 8, 429. [Google Scholar] [CrossRef] [PubMed]
- More Than a Marker: Potential Pathogenic Functions of MAP2. Available online: https://pubmed.ncbi.nlm.nih.gov/36187353/ (accessed on 3 June 2024).
- Luo, L.; Liu, M.; Fan, Y.; Zhang, J.; Liu, L.; Li, Y.; Zhang, Q.; Xie, H.; Jiang, C.; Wu, J.; et al. Intermittent Theta-Burst Stimulation Improves Motor Function by Inhibiting Neuronal Pyroptosis and Regulating Microglial Polarization via TLR4/NFκB/NLRP3 Signaling Pathway in Cerebral Ischemic Mice. J. Neuroinflamm. 2022, 19, 141. [Google Scholar] [CrossRef] [PubMed]
- Hong, L.; Changjun, S.; Gong, J.U. Changes of HMW MAP-2 in Globus Pallidus and Substantia Nigra of Rats after Lowfrequency of Repetitive Transcranial Magnetic Stimulation. Zhongguo Shen Jing Ke Xue Za Zhi = Chin. J. Neurosci. 2001, 17, 219–225. [Google Scholar]
- Góra-Kupilas, K.; Jośko, J. The Neuroprotective Function of Vascular Endothelial Growth Factor (VEGF). Folia Neuropathol. 2005, 43, 31–39. [Google Scholar]
- Toffanin, T.; Folesani, F.; Ferrara, M.; Murri, M.B.; Zerbinati, L.; Caruso, R.; Nanni, M.G.; Koch, G.; Fadiga, L.; Palagini, L.; et al. Cognitive Functioning as Predictor and Marker of Response to Repetitive Transcranial Magnetic Stimulation in Depressive Disorders: A Systematic Review. Gen. Hosp. Psychiatry 2022, 79, 19–32. [Google Scholar] [CrossRef]
- Lu, B.; Nagappan, G.; Lu, Y. BDNF and Synaptic Plasticity, Cognitive Function, and Dysfunction. Handb. Exp. Pharmacol. 2014, 220, 223–250. [Google Scholar] [CrossRef] [PubMed]
- Buddle, M.; Eberhardt, E.; Ciminello, L.H.; Levin, T.; Wing, R.; DiPasquale, K.; Raley-Susman, K.M. Microtubule-Associated Protein 2 (MAP2) Associates with the NMDA Receptor and Is Spatially Redistributed within Rat Hippocampal Neurons after Oxygen-Glucose Deprivation. Brain Res. 2003, 978, 38–50. [Google Scholar] [CrossRef] [PubMed]
- Garcia, K.O.; Ornellas, F.L.M.; Martin, P.K.M.; Patti, C.L.; Mello, L.E.; Frussa-Filho, R.; Han, S.W.; Longo, B.M. Therapeutic Effects of the Transplantation of VEGF Overexpressing Bone Marrow Mesenchymal Stem Cells in the Hippocampus of Murine Model of Alzheimer’s Disease. Front. Aging Neurosci. 2014, 6, 30. [Google Scholar] [CrossRef] [PubMed]
Disclaimer/Publisher’s Note: The statements, opinions and data contained in all publications are solely those of the individual author(s) and contributor(s) and not of MDPI and/or the editor(s). MDPI and/or the editor(s) disclaim responsibility for any injury to people or property resulting from any ideas, methods, instructions or products referred to in the content. |
© 2024 by the authors. Licensee MDPI, Basel, Switzerland. This article is an open access article distributed under the terms and conditions of the Creative Commons Attribution (CC BY) license (https://creativecommons.org/licenses/by/4.0/).



