Evaluation of Direct and Cell-Mediated Lactoferrin Gene Therapy for the Maxillofacial Area Abscesses in Rats
Abstract
1. Introduction
1.1. Antimicrobial Gene Therapy
1.2. Lactoferrin
1.3. Human Umbilical Cord Blood Cells
2. Materials and Methods
2.1. Gene and Gene-Cell Constructs Preparation
2.1.1. Adenoviral Vectors
2.1.2. Umbilical Cord Blood Mononuclear Cells
2.1.3. Evaluation of Transgenes Expression In Vitro
2.2. Modeling and Treatment of Abscesses in Maxillofacial Area
2.2.1. Surgery
2.2.2. Treatment and Experimental Groups
2.3. Clinical and Laboratory Examination
2.3.1. Symptomatic Outcomes
2.3.2. Peripheral Blood Analysis
2.3.3. Microbiological Investigation of the Peritoneal Purulent Exudate
2.4. Histological Investigation of Cervical Lymph Nodes
2.4.1. Morphometric Analysis
2.4.2. Fluorescent Microscopy Analysis
2.5. Statistical Analyses
3. Results
3.1. Microbiological Analysis of the Peritoneal Purulent Exudate
3.2. Molecular Analysis of Gene Modified UCBC In Vitro
3.3. Clinical Examination
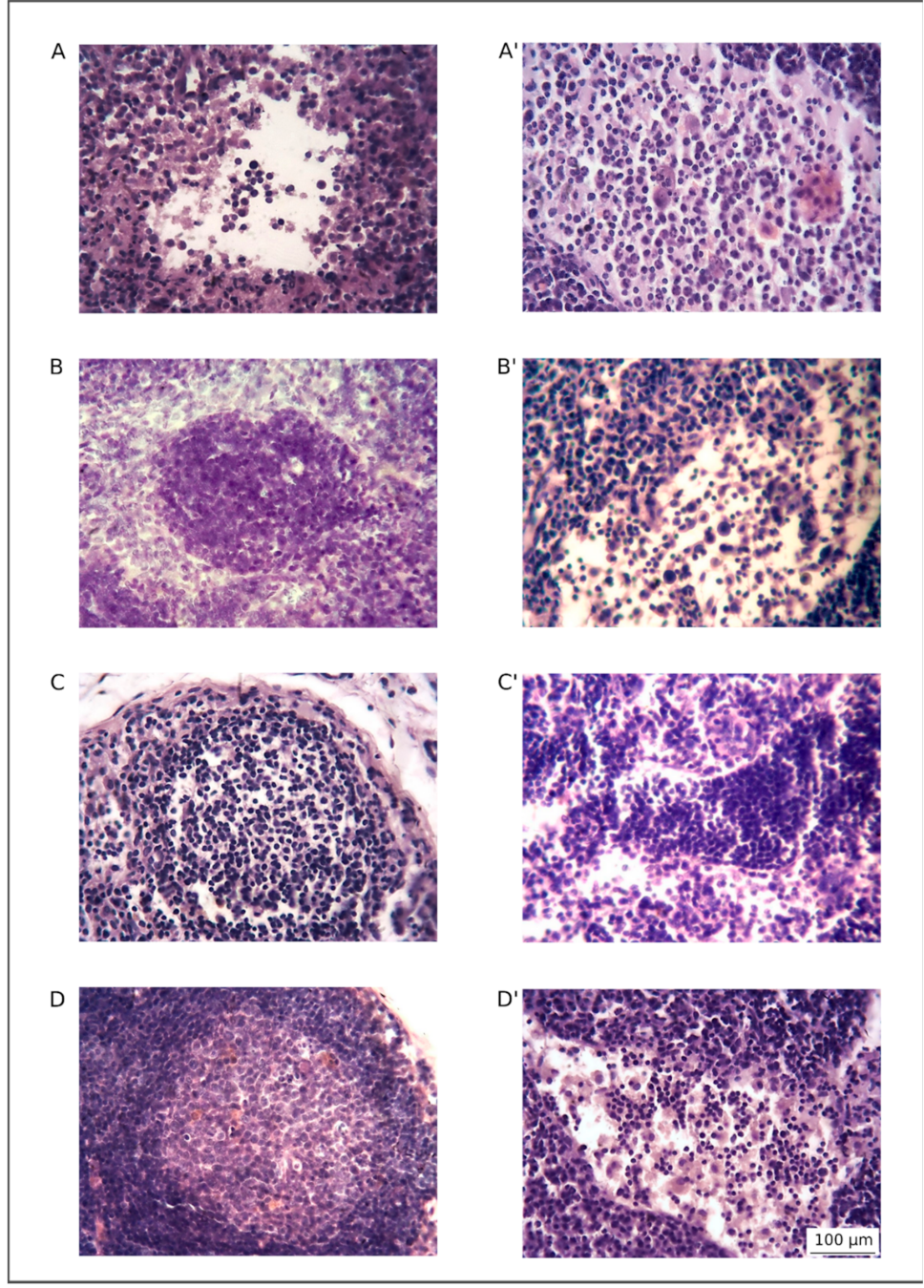
3.4. Histological Examination of Cervical Lymph Nodes
3.4.1. Morphometric Analysis
3.4.2. Homing UCBC in the Cervical Lymph Nodes
3.4.3. Fluorescent Analysis of Reporter gfp Gene Expression in the Cells of Cervical Lymph Nodes
4. Discussion
5. Conclusions
Author Contributions
Funding
Institutional Review Board Statement
Informed Consent Statement
Data Availability Statement
Acknowledgments
Conflicts of Interest
References
- Ginn, S.L.; Amaya, A.K.; Alexander, I.E.; Edelstein, M.; Abedi, M.R. Gene therapy clinical trials worldwide to 2017: An update. J. Gene Med. 2018, 20, e3015. [Google Scholar] [CrossRef] [PubMed]
- Baden, L.R.; Karita, E.; Mutua, G.; Bekker, L.G.; Gray, G.; Page-Shipp, L.; Walsh, S.R.; Nyombayire, J.; Anzala, O.; Roux, S.; et al. Assessment of the safety and immunogenicity of 2 novel vaccine platforms for HIV-1 prevention: A randomized trial. Ann. Intern. Med. 2016, 164, 313–322. [Google Scholar] [CrossRef] [PubMed]
- Stephenson, K.E.; Keefer, M.C.; Bunce, C.A.; Frances, D.; Abbink, P.; Maxfield, L.F.; Neubauer, G.H.; Nkolola, J.; Peter, L.; Lane, C.; et al. First-in-human randomized controlled trial of an oral, replicating adenovirus 26 vector vaccine for HIV-1. PLoS ONE 2018, 13, e0205139. [Google Scholar] [CrossRef] [PubMed]
- Jacobsen, F.; Mittler, D.; Hirsch, T.; Gerhards, A.; Lehnhardt, M.; Voss, B.; Steinau, H.U.; Steinstraesser, L. Transient cutaneous adenoviral gene therapy with human host defense peptide hCAP-18/LL-37 is effective for the treatment of burn wound infections. Gene Ther. 2005, 12, 1494–1502. [Google Scholar] [CrossRef]
- Hirsch, T.; Spielmann, M.; Zuhaili, B.; Fossum, M.; Metzig, M.; Koehler, T.; Steinau, H.U.; Yao, F.; Onderdonk, A.B.; Steinstraesser, L.; et al. Human beta-defensin-3 promotes wound healing in infected diabetic wounds. J. Gene Med. 2009, 11, 220–228. [Google Scholar] [CrossRef]
- Lehrer, R.I.; Cole, A.M.; Selsted, M.E. θ-Defensins: Cyclic peptides with endless potential. J. Biol. Chem. 2012, 287, 27014–27019. [Google Scholar] [CrossRef]
- Huang, G.T.J.; Zhang, H.B.; Kim, D.; Liu, L.; Ganz, T. A model for antimicrobial gene therapy: Demonstration of human β-defensin 2 antimicrobial activities in vivo. Hum. Gene Ther. 2002, 13, 2017–2025. [Google Scholar] [CrossRef]
- Woo, J.I.; Kil, S.H.; Brough, D.E.; Lee, Y.J.; Lim, D.J.; Moon, S.K. Therapeutic potential of adenovirus-mediated delivery of β-defensin 2 for experimental otitis media. Innate Immun. 2015, 21, 215–224. [Google Scholar] [CrossRef]
- Zhang, C.; Yadava, P.; Sun, J.; Hughes, J.A. A gene delivery approach for antimicrobials: Expression of defensins. J. Drug Target. 2006, 14, 646–651. [Google Scholar] [CrossRef]
- Ramos-Espinosa, O.; Hernández-Bazán, S.; Francisco-Cruz, A.; Mata-Espinosa, D.; Barrios-Payán, J.; Marquina-Castillo, B.; López-Casillas, F.; Carretero, M.; del RÃÂo, M.; Hernández-Pando, R. Gene therapy based in antimicrobial peptides and proinflammatory cytokine prevents reactivation of experimental latent tuberculosis. Pathog. Dis. 2016, 74. [Google Scholar] [CrossRef]
- Abdel-Motal, U.M.; Harbison, C.; Han, T.; Pudney, J.; Anderson, D.J.; Zhu, Q.; Westmoreland, S.; Marasco, W.A. Prolonged expression of an anti-HIV-1 gp120 minibody to the female rhesus macaque lower genital tract by AAV gene transfer. Gene Ther. 2014, 21, 802–810. [Google Scholar] [CrossRef]
- Suff, N.; Karda, R.; Diaz, J.A.; Ng, J.; Baruteau, J.; Perocheau, D.; Taylor, P.W.; Alber, D.; Buckley, S.M.K.; Bajaj-Elliott, M.; et al. Cervical gene delivery of the antimicrobial peptide, human β-Defensin (HBD)-3, in a mouse model of ascending infection-related preterm birth. Front. Immunol. 2020, 11. [Google Scholar] [CrossRef]
- Kanwar, J.; Roy, K.; Patel, Y.; Zhou, S.-F.; Singh, M.; Singh, D.; Nasir, M.; Sehgal, R.; Sehgal, A.; Singh, R.; et al. Multifunctional iron bound lactoferrin and nanomedicinal approaches to enhance its bioactive functions. Molecules 2015, 20, 9703–9731. [Google Scholar] [CrossRef]
- Kruzel, M.L.; Zimecki, M.; Actor, J.K. Lactoferrin in a context of inflammation-induced pathology. Front. Immunol. 2017, 8, 1438. [Google Scholar] [CrossRef]
- Kell, D.B.; Heyden, E.L.; Pretorius, E. The biology of lactoferrin, an iron-binding protein that can help defend against viruses and bacteria. Front. Immunol. 2020, 11, 1221. [Google Scholar] [CrossRef] [PubMed]
- Manzoni, P.; Decembrino, L.; Stolfi, I.; Pugni, L.; Rinaldi, M.; Cattani, S.; Romeo, M.G.; Messner, H.; Laforgia, N.; Vagnarelli, F.; et al. Lactoferrin and prevention of late-onset sepsis in the pre-term neonates. Early Hum. Dev. 2010, 86, 59–61. [Google Scholar] [CrossRef] [PubMed]
- Ochoa, T.J.; Zegarra, J.; Cam, L.; Llanos, R.; Pezo, A.; Cruz, K.; Zea-Vera, A.; Cárcamo, C.; Campos, M.; Bellomo, S. Randomized controlled trial of lactoferrin for prevention of sepsis in peruvian neonates less than 2500 g. Pediatr. Infect. Dis. J. 2015, 34, 571–576. [Google Scholar] [CrossRef] [PubMed]
- Erices, A.; Conget, P.; Minguell, J.J. Mesenchymal progenitor cells in human umbilical cord blood. Br. J. Haematol. 2000, 109, 235–242. [Google Scholar] [CrossRef] [PubMed]
- Kögler, G.; Sensken, S.; Airey, J.A.; Trapp, T.; Müschen, M.; Feldhahn, N.; Liedtke, S.; Sorg, R.V.; Fischer, J.; Rosenbaum, C.; et al. A new human somatic stem cell from placental cord blood with intrinsic pluripotent differentiation potential. J. Exp. Med. 2004, 200, 123–135. [Google Scholar] [CrossRef] [PubMed]
- Gluckman, E. Ten years of cord blood transplantation: From bench to bedside. Br. J. Haematol. 2009, 147, 192–199. [Google Scholar] [CrossRef]
- Pimentel-Coelho, P.M.; Rosado-de-Castro, P.H.; Barbosa da Fonseca, L.M.; Mendez-Otero, R. Umbilical cord blood mononuclear cell transplantation for neonatal hypoxic–ischemic encephalopathy. Pediatr. Res. 2012, 71, 464–473. [Google Scholar] [CrossRef] [PubMed]
- Yang, W.Z.; Zhang, Y.; Wu, F.; Min, W.P.; Minev, B.; Zhang, M.; Luo, X.L.; Ramos, F.; Ichim, T.E.; Riordan, N.H.; et al. Safety evaluation of allogeneic umbilical cord blood mononuclear cell therapy for degenerative conditions. J. Transl. Med. 2010, 8, 75. [Google Scholar] [CrossRef]
- Arien-Zakay, H.; Lecht, S.; Bercu, M.M.; Tabakman, R.; Kohen, R.; Galski, H.; Nagler, A.; Lazarovici, P. Neuroprotection by cord blood neural progenitors involves antioxidants, neurotrophic and angiogenic factors. Exp. Neurol. 2009, 216, 83–94. [Google Scholar] [CrossRef]
- Bachstetter, A.D.; Pabon, M.M.; Cole, M.J.; Hudson, C.E.; Sanberg, P.R.; Willing, A.E.; Bickford, P.C.; Gemma, C. Peripheral injection of human umbilical cord blood stimulates neurogenesis in the aged rat brain. BMC Neurosci. 2008, 9, 22. [Google Scholar] [CrossRef] [PubMed]
- Dasari, V.R.; Spomar, D.G.; Li, L.; Gujrati, M.; Rao, J.S.; Dinh, D.H. Umbilical cord blood stem cell mediated downregulation of Fas improves functional recovery of rats after spinal cord injury. Neurochem. Res. 2008, 33, 134–149. [Google Scholar] [CrossRef] [PubMed]
- Schira, J.; Gasis, M.; Estrada, V.; Hendricks, M.; Schmitz, C.; Trapp, T.; Kruse, F.; Kögler, G.; Wernet, P.; Hartung, H.P.; et al. Significant clinical, neuropathological and behavioural recovery from acute spinal cord trauma by transplantation of a well-defined somatic stem cell from human umbilical cord blood. Brain 2012, 135, 431–446. [Google Scholar] [CrossRef]
- Xiao, J.; Nan, Z.; Motooka, Y.; Low, W.C. Transplantation of a novel cell line population of umbilical cord blood stem cells ameliorates neurological deficits associated with ischemic brain injury. Stem Cells Dev. 2005, 14, 722–733. [Google Scholar] [CrossRef]
- Islamov, R.R.; Rizvanov, A.A.; Fedotova, V.Y.; Izmailov, A.A.; Safiullov, Z.Z.; Garanina, E.E.; Salafutdinov, I.I.; Sokolov, M.E.; Mukhamedyarov, M.A.; Palotás, A. Tandem delivery of multiple therapeutic genes using umbilical cord blood cells improves symptomatic outcomes in ALS. Mol. Neurobiol. 2017, 54, 4756–4763. [Google Scholar] [CrossRef]
- Izmailov, A.A.; Povysheva, T.V.; Bashirov, F.V.; Sokolov, M.E.; Fadeev, F.O.; Garifulin, R.R.; Naroditsky, B.S.; Logunov, D.Y.; Salafutdinov, I.I.; Chelyshev, Y.A.; et al. Spinal cord molecular and cellular changes induced by adenoviral vector- and cell-mediated triple gene therapy after severe contusion. Front. Pharmacol. 2017, 8, 813. [Google Scholar] [CrossRef]
- Sokolov, M.E.; Bashirov, F.V.; Markosyan, V.A.; Povysheva, T.V.; Fadeev, F.O.; Izmailov, A.A.; Kuztetsov, M.S.; Safiullov, Z.Z.; Shmarov, M.M.; Naroditskyi, B.S.; et al. Triple-gene therapy for stroke: A proof-of-concept in vivo study in rats. Front. Pharmacol. 2018, 9, 1–15. [Google Scholar] [CrossRef]
- Izmajlov, A.A.; Sokolov, M.E.; Bashirov, F.V.; Fadeev, F.O.; Markosyan, V.A.; Garifulin, R.R.; Lisyukov, A.N.; Kuznecov, M.S.; Islamov, R.R. Comparative analysis of efficiency of direct and cell-mediated gene therapy of rats with contusion spinal cord injury. Genes Cells 2017, XII, 53–59. [Google Scholar] [CrossRef]
- Zhu, H.; Poon, W.; Liu, Y.; Leung, G.K.-K.; Wong, Y.; Feng, Y.; Ng, S.C.P.; Tsang, K.S.; Sun, D.D.T.F.; Yeung, D.K.; et al. Phase III clinical trial assessing safety and efficacy of umbilical cord blood mononuclear cell transplant therapy of chronic complete spinal cord injury. Cell Transplant. 2016, 25, 1925–1943. [Google Scholar] [CrossRef] [PubMed]
- Apaydin, E.A.; Richardson, A.S.; Baxi, S.; Vockley, J.; Akinniranye, O.; Ross, R.; Larkin, J.; Motala, A.; Azhar, G.; Hempel, S. An evidence map of randomised controlled trials evaluating genetic therapies. BMJ Evid. Based Med. 2020. [Google Scholar] [CrossRef] [PubMed]
- Singh, S.; Kumar, R.; Agrawal, B. Adenoviral vector-based vaccines and gene therapies: Current status and future prospects. In Adenoviruses; IntechOpen: London, UK, 2019. [Google Scholar]
- Tutykhina, I.L.; Bezborodova, O.A.; Verkhovskaia, L.V.; Shmarov, M.M.; Logunov, D.I.; Nemtsova, E.R.; Narodnotskiĭ, B.S.; Iakubovskaia, R.I.; Gintsburg, A.L. Recombinant pseudoadenovirus nanostructure with human lactoferrin gene: Production and study of lactoferrin expression and properties in vivo usage of the construction. Mol. Gen. Mikrobiol. Virusol. 2009, 1, 27–31. [Google Scholar] [CrossRef]
- Islamov, R.R.; Rizvanov, A.A.; Mukhamedyarov, M.A.; Salafutdinov, I.I.; Garanina, E.E.; Fedotova, V.Y.; Solovyeva, V.V.; Mukhamedshina, Y.O.; Safiullov, Z.Z.; Izmailov, A.A.; et al. Symptomatic improvement, increased life-span and sustained cell homing in amyotrophic lateral sclerosis after transplantation of human umbilical cord blood cells genetically modified with adeno-viral vectors expressing a neuro-protective factor and a neur. Curr. Gene Ther. 2015, 15, 266–276. [Google Scholar] [CrossRef]
- Markosyan, V.; Safiullov, Z.; Izmailov, A.; Fadeev, F.; Sokolov, M.; Kuznetsov, M.; Trofimov, D.; Kim, E.; Kundakchyan, G.; Gibadullin, A.; et al. Preventive triple gene therapy reduces the negative consequences of ischemia-induced brain injury after modelling stroke in a rat. Int. J. Mol. Sci. 2020, 21, 6858. [Google Scholar] [CrossRef]
- Yuan, J.S.; Reed, A.; Chen, F.; Stewart, C.N. Statistical analysis of real-time PCR data. BMC Bioinform. 2006, 7. [Google Scholar] [CrossRef]
- Venkatesh, M.P.; Rong, L. Human recombinant lactoferrin acts synergistically with antimicrobials commonly used in neonatal practice against coagulase-negative staphylococci and Candida albicans causing neonatal sepsis. J. Med. Microbiol. 2008, 57, 1113–1121. [Google Scholar] [CrossRef]
- Sherman, M.P.; Sherman, J.; Arcinue, R.; Niklas, V. Randomized control trial of human recombinant lactoferrin: A substudy reveals effects on the fecal microbiome of very low birth weight infants. J. Pediatr. 2016, 173, S37–S42. [Google Scholar] [CrossRef]
- Huang, R.; Ke, W.; Liu, Y.; Wu, D.; Feng, L.; Jiang, C.; Pei, Y. Gene therapy using lactoferrin-modified nanoparticles in a rotenone-induced chronic Parkinson model. J. Neurol. Sci. 2010, 290, 123–130. [Google Scholar] [CrossRef]
- Altwaijry, N.; Somani, S.; Parkinson, J.A.; Tate, R.J.; Keating, P.; Warzecha, M.; Mackenzie, G.R.; Leung, H.Y.; Dufès, C. Regression of prostate tumors after intravenous administration of lactoferrinbearing polypropylenimine dendriplexes encoding TNF-α, TRAIL, and interleukin-12. Drug Deliv. 2018, 25, 679–689. [Google Scholar] [CrossRef] [PubMed]
- Shiga, Y.; Oshima, Y.; Kojima, Y.; Sugimoto, A.; Tamaki, N.; Murata, D.; Takeuchi, T.; Sato, A. Recombinant human lactoferrin-Fc fusion with an improved plasma half-life. Eur. J. Pharm. Sci. 2015, 67, 136–143. [Google Scholar] [CrossRef] [PubMed]
- Srivastava, C.H.; Rado, T.A.; Bauerle, D.; Broxmeyer, H.E. Regulation of human bone marrow lactoferrin and myeloperoxidase gene expression by tumor necrosis factor-alpha. J. Immunol. 1991, 146, 1014–1019. [Google Scholar] [PubMed]
- Morrison, D.F.; Foss, D.L.; Murtaugh, M.P. Interleukin-10 gene therapy-mediated amelioration of bacterial pneumonia. Infect. Immun. 2000, 68, 4752–4758. [Google Scholar] [CrossRef] [PubMed]
- Islamov, R.R.; Bashirov, F.V.; Sokolov, M.E.; Izmailov, A.A.; Fadeev, F.O.; Markosyan, V.A.; Davleeva, M.A.; Zubkova, O.V.; Smarov, M.M.; Logunov, D.Y.; et al. Gene-modified leucoconcentrate for personalized ex vivo gene therapy in a mini pig model of moderate spinal cord injury. Neural Regen. Res. 2021, 16, 357–361. [Google Scholar] [CrossRef]






| Groups | Preparations for Animal Treatment | Number of Animals |
|---|---|---|
| Ad5-GFP | Ad5 carrying gfp (1 × 108 PFU) in 0.1 mL of 0.9% NaCl | 5 |
| Ad5-LTF | Ad5 carrying LTF (1 × 108 PFU) in 0.1 mL of 0.9% NaCl | 8 |
| UCBC + Ad5-GFP | 0.2 × 106 UCBC transduced with Ad5 carrying gfp in 0.1 mL of 0.9% NaCl | 8 |
| UCBC + Ad5-LTF | 0.2 × 106 UCBC transduced with Ad5 carrying LTF in 0.1 mL of 0.9% NaCl | 5 |
| Antibacterial Agent | E. coli | S. aureus | E. aerogenes | P. mirabilis |
|---|---|---|---|---|
| Oxacillin | + | ± | ± | ± |
| Erythromycin | + | ± | + | + |
| Vancomycin | ± | + | + | + |
| Gentamicin | ± | – | – | + |
| Ciprofloxacin | ± | + | + | ± |
| Furadonin | – | – | + | – |
| Cefixime | + | – | + | – |
| Ampicillin | – | – | – | – |
| Chloramphenicol | ± | + | – | + |
| Rifampicin | + | ± | + | – |
| Trimethoprim | ± | – | ± | + |
| Tetracycline | + | – | + | ± |
| Ceftriaxone | + | + | + | + |
| Days | Ad5-GFP (n = 5) | UCBC + Ad5-GFP (n = 8) | Ad5-LTF (n = 8) | UCBC + Ad5-LTF (n = 5) | ||||
|---|---|---|---|---|---|---|---|---|
| WH | EU | WH | EU | WH | EU | WH | EU | |
| 1 | 0 | 0 | 0 | 0 | 0 | 0 | 0 | 0 |
| 2 | 0 | 0 | 0 | 0 | 0 | 0 | 0 | 0 |
| 3 | 0 | 1 | 0 | 0 | 0 | 0 | 0 | 0 |
| 4 | 0 | 5 | 0 | 0 | 0 | 0 | 0 | 0 |
| 5 | 0 | 5 | 0 | 0 | 0 | 0 | 3 | 0 |
| 6 | 0 | 5 | 4 | 0 | 4 | 0 | 2 | 0 |
| 7 | 0 | 5 | 8 | 8 | 8 | 8 | 5 | 5 |
Publisher’s Note: MDPI stays neutral with regard to jurisdictional claims in published maps and institutional affiliations. |
© 2021 by the authors. Licensee MDPI, Basel, Switzerland. This article is an open access article distributed under the terms and conditions of the Creative Commons Attribution (CC BY) license (http://creativecommons.org/licenses/by/4.0/).
Share and Cite
Agatieva, E.; Ksembaev, S.; Sokolov, M.; Markosyan, V.; Gazizov, I.; Tsyplakov, D.; Shmarov, M.; Tutykhina, I.; Naroditsky, B.; Logunov, D.; et al. Evaluation of Direct and Cell-Mediated Lactoferrin Gene Therapy for the Maxillofacial Area Abscesses in Rats. Pharmaceutics 2021, 13, 58. https://doi.org/10.3390/pharmaceutics13010058
Agatieva E, Ksembaev S, Sokolov M, Markosyan V, Gazizov I, Tsyplakov D, Shmarov M, Tutykhina I, Naroditsky B, Logunov D, et al. Evaluation of Direct and Cell-Mediated Lactoferrin Gene Therapy for the Maxillofacial Area Abscesses in Rats. Pharmaceutics. 2021; 13(1):58. https://doi.org/10.3390/pharmaceutics13010058
Chicago/Turabian StyleAgatieva, Elima, Said Ksembaev, Mikhail Sokolov, Vage Markosyan, Ilnaz Gazizov, Dmitry Tsyplakov, Maxim Shmarov, Irina Tutykhina, Boris Naroditsky, Denis Logunov, and et al. 2021. "Evaluation of Direct and Cell-Mediated Lactoferrin Gene Therapy for the Maxillofacial Area Abscesses in Rats" Pharmaceutics 13, no. 1: 58. https://doi.org/10.3390/pharmaceutics13010058
APA StyleAgatieva, E., Ksembaev, S., Sokolov, M., Markosyan, V., Gazizov, I., Tsyplakov, D., Shmarov, M., Tutykhina, I., Naroditsky, B., Logunov, D., Pozdeev, O., Morozova, L., Yapparova, K., & Islamov, R. (2021). Evaluation of Direct and Cell-Mediated Lactoferrin Gene Therapy for the Maxillofacial Area Abscesses in Rats. Pharmaceutics, 13(1), 58. https://doi.org/10.3390/pharmaceutics13010058

