Vulvar Metastasis in Renal Cell Carcinoma: A Case Report Highlighting the Aggressive Nature of Clear Cell Renal Cell Carcinoma
Abstract
1. Introduction
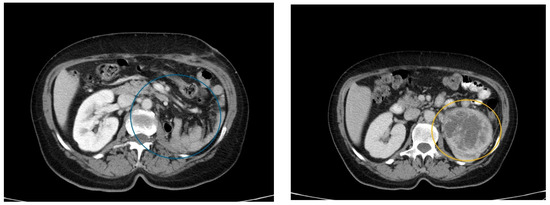
2. Case Description
3. Discussion
4. Conclusions
Author Contributions
Funding
Institutional Review Board Statement
Informed Consent Statement
Data Availability Statement
Conflicts of Interest
References
- Weinberg, D.; Gomez-Martinez, R.A. Vulvar Cancer. Obstet. Gynecol. Clin. N. Am. 2019, 46, 125–135. [Google Scholar] [CrossRef] [PubMed]
- Dellinger, T.H.; Hakim, A.A.; Lee, S.J.; Wakabayashi, M.T.; Morgan, R.J.; Han, E.S. Surgical Management of Vulvar Cancer. J. Natl. Compr. Cancer Netw. 2016, 15, 121–128. [Google Scholar] [CrossRef] [PubMed]
- Pliszka, A.; Rajda, S.; Wawrzyniak, A.; Walocha, J.; Polguj, M.; Wysiadecki, G.; Clarke, E.; Golberg, M.; Zarzecki, M.; Balawender, K. Testicular Metastasis from Renal Cell Carcinoma: A Systematic Review. J. Clin. Med. 2023, 12, 5636. [Google Scholar] [CrossRef]
- Giannini, A.; D’Oria, O.; Chiofalo, B.; Bruno, V.; Baiocco, E.; Mancini, E.; Mancari, R.; Vincenzoni, C.; Cutillo, G.; Vizza, E. The giant steps in surgical downsizing toward a personalized treatment of vulvar cancer. J. Obstet. Gynaecol. Res. 2021, 48, 533–540. [Google Scholar] [CrossRef]
- Siegel, R.L.; Miller, K.D.; Jemal, A. Cancer statistics, 2016. CA Cancer J. Clin. 2016, 66, 7–30. [Google Scholar] [CrossRef] [PubMed]
- Grignon, D.J.; Che, M. Clear cell renal cell carcinoma. Clin. Lab. Med. 2005, 25, 305–316. [Google Scholar] [CrossRef] [PubMed]
- How, J.A.; Jazaeri, A.A.; Soliman, P.T.; Fleming, N.D.; Gong, J.; Piha-Paul, S.A.; Janku, F.; Stephen, B.; Naing, A. Pembrolizumab in vaginal and vulvar squamous cell carcinoma: A case series from a phase II basket trial. Sci. Rep. 2021, 11, 3667. [Google Scholar] [CrossRef]
- Mousavi, S.E.; Najafi, M.; Aslani, A.; Fazlollahi, A.; Yekta, Z.; Sadri, M.; Nejadghaderi, S.A. A population-based study on incidence trends of kidney and renal pelvis cancers in the United States over 2000–2020. Sci. Rep. 2024, 14, 11294. [Google Scholar] [CrossRef]
- Moyad, M.A. Review of potential risk factors for kidney (renal cell) cancer. Semin. Urol. Oncol. 2001, 19, 280–293. [Google Scholar] [PubMed]
- Hisano, M.; Kato, R.; Itamochi, H.; Matsuura, T.; Maekawa, S.; Kato, Y.; Kanehira, M.; Takata, R.; Baba, T.; Obara, W. Rapid progression of recurrent disease in a patient with renal cell carcinoma with vaginal metastasis. IJU Case Rep. 2020, 3, 185–188. [Google Scholar] [CrossRef] [PubMed]
- Mendese, G.W.; Ayvazian, P.J.; Li, C. Renal cell carcinoma presenting as a perineal mass: Case report and review of the liter-ature. Urology 2006, 67, 847.e1–847.e2. [Google Scholar] [CrossRef] [PubMed]
- Escudier, B.; Porta, C.; Schmidinger, M.; Rioux-Leclercq, N.; Bex, A.; Khoo, V.; Grünwald, V.; Gillessen, S.; Horwich, A.; ESMO Guidelines Committee. Renal cell carcinoma: ESMO Clinical Practice Guidelines for diagnosis, treatment and follow-up. Ann. Oncol. 2019, 30, 706–720. [Google Scholar] [CrossRef] [PubMed]
- Yordanov, A.; Kostov, S.; Kornovski, Y.; Ivanova, Y.; Slavchev, S.; Kostov, G.; Strashilov, S. Initial presentation of renal cell carcinoma as a vaginal mass with excessive bleeding. Menopausal Rev. 2022, 21, 285–288. [Google Scholar] [CrossRef]
- Ouellet, S.; Binette, A.; Nguyen, A.; Garde-Granger, P.; Sabbagh, R. Metastatic renal cell carcinoma initially presenting with hematochezia and subse-quently with vaginal bleeding: A case report. BMC Urol. 2018, 18, 4. [Google Scholar] [CrossRef] [PubMed]
- Geng, Z.; Zhang, Q.; Jia, P.; Miao, J.; Lin, Q. Severe vaginal bleeding due to vaginal metastasis from renal cell carcinoma with inferior vena cava tumor thrombus: A case report. Medicine 2022, 101, e28586. [Google Scholar] [CrossRef]
- Pernicone, E.; Fabrega-Foster, K. Clinically Silent, Metastatic Renal Cell Carcinoma Detected on Routine Screening Mammogram: A Report of a Rare Case and Review of Literature. Cureus 2023, 15, e48352. [Google Scholar] [CrossRef] [PubMed]
- Jimenez, A.R.; Rolon, M.d.M.R.; Eyzaguirre, E.; Clement, C. Vaginal bleeding as initial presentation of an aggressive renal cell carcinoma: A case report and review of the literature. Case Rep. Pathol. 2018, 2018, 2109279. [Google Scholar] [CrossRef]
- Sadler, G.J.; Anderson, M.R.; Moss, M.S.; Wilson, P.G. Metastases from renal cell carcinoma presenting as gastrointestinal bleeding: Two case reports and a review of the literature. BMC Gastroenterol. 2007, 7, 4. [Google Scholar] [CrossRef] [PubMed]
- Brufau, B.P.; Cerqueda, C.S.; Villalba, L.B.; Izquierdo, R.S.; González, B.M.; Molina, C.N. Metastatic renal cell carcinoma: Radiologic findings and assessment of response to targeted antiangiogenic therapy by using multidetector CT. RadioGraphics 2013, 33, 1691–1716. [Google Scholar] [CrossRef] [PubMed]
- Benbrahim, Z.; Chouaib, A.; Mazeron, R.; Leger-Ravet, M.B.; Lefort, C.; Lhommé, C.; El Mesbahi, O.; Escudier, B. Gynecologic bleeding revealing vaginal metastasis of renal cell carcinoma. Pan Afr. Med. J. 2013, 2, 62. [Google Scholar] [CrossRef]
- Rehailia-Blanchard, A.; Morel, A.; Rancoul, C.; He, M.Y.; Magné, N.; Falkowski, S. Vaginal metastasis of renal clear-cell cancel. Gulf. J. Oncol. 2018, 1, 67–71. [Google Scholar] [PubMed]
- Allard, J.E.; McBroom, J.W.; Zahn, C.M.; McLeod, D.; Maxwell, G.L. Vaginal metastasis and thrombocytopenia from renal cell carcinoma. Gynecol. Oncol. 2004, 92, 970–973. [Google Scholar] [CrossRef] [PubMed]
- Peham, I. Hypernephrom der linken Niere mitein er Metastase in der Vagina. Zentralbl. Gynak. Ol. 1906, 30, 724–725. [Google Scholar]
- Xu, Y.; Hou, R.; Lu, Q.; Deng, Y.; Hu, B. Renal clear cell carcinoma metastasis to the breast ten years after nephrectomy: A case report and literature review. Diagn. Pathol. 2017, 12, 76. [Google Scholar] [CrossRef]
- Abu-Rustum, N.R.; Yashar, C.M.; Arend, R.; Barber, E.; Bradley, K.; Brooks, R.; Campos, S.M.; Chino, J.; Chon, H.S.; Crispens, M.A.; et al. Vulvar Cancer, Version 3.2024, NCCN Clinical Practice Guidelines in Oncology. J. Natl. Compr. Cancer Netw. 2024, 22, 117–135. [Google Scholar] [CrossRef]
- Ruiz, J.M.; Mondéjar, R.R.; López, P.C.; Sanchiz, C.M.; Moreno, M.J.D.; Navarro, H.P.; Teruel, M.P.; Rodríguez, J.A.V. Vaginal metastasis of a clear renal cell carcinoma. Arch. Esp. Urol. 2011, 64, 380–383. [Google Scholar]
- Ladjevic, I.L.; Stefanovic, A.; Kadija, S.; Terzic, M.; Jeremic, K.; Janjic, T. Vagina as a rare location of renal cell carcinoma metastasis. Eur. J. Gynaecol. Oncol. 2016, 37, 434–435. [Google Scholar] [PubMed]
- Peinemann, F.; Unverzagt, S.; Hadjinicolaou, A.V.; Moldenhauer, I. Immunotherapy for metastatic renal cell carcinoma: A systematic review. J. Evid.-Based Med. 2019, 12, 253–262. [Google Scholar] [CrossRef] [PubMed]
- Cho, Y.H.; Kim, M.S.; Chung, H.S.; Hwang, E.C. Novel immunotherapy in metastatic renal cell carcinoma. Investig. Clin. Urol. 2017, 58, 220–227. [Google Scholar] [CrossRef] [PubMed]
- Atkins, M.B.; Clark, J.I.; Quinn, D.I. Immune checkpoint inhibitors in advanced renal cell carcinoma: Experience to date and future directions. Ann. Oncol. 2017, 28, 1484–1494. [Google Scholar] [CrossRef] [PubMed]






Disclaimer/Publisher’s Note: The statements, opinions and data contained in all publications are solely those of the individual author(s) and contributor(s) and not of MDPI and/or the editor(s). MDPI and/or the editor(s) disclaim responsibility for any injury to people or property resulting from any ideas, methods, instructions or products referred to in the content. |
© 2024 by the authors. Licensee MDPI, Basel, Switzerland. This article is an open access article distributed under the terms and conditions of the Creative Commons Attribution (CC BY) license (https://creativecommons.org/licenses/by/4.0/).
Share and Cite
Boiangiu, A.; Cioca, A.-M.; Gorecki, G.-P.; Sima, R.-M.; Pleș, L.; Novac, M.-B.; Coman, I.-S.; Grigorean, V.-T.; Lungu, V.; Georgescu, M.-T.; et al. Vulvar Metastasis in Renal Cell Carcinoma: A Case Report Highlighting the Aggressive Nature of Clear Cell Renal Cell Carcinoma. Curr. Oncol. 2025, 32, 4. https://doi.org/10.3390/curroncol32010004
Boiangiu A, Cioca A-M, Gorecki G-P, Sima R-M, Pleș L, Novac M-B, Coman I-S, Grigorean V-T, Lungu V, Georgescu M-T, et al. Vulvar Metastasis in Renal Cell Carcinoma: A Case Report Highlighting the Aggressive Nature of Clear Cell Renal Cell Carcinoma. Current Oncology. 2025; 32(1):4. https://doi.org/10.3390/curroncol32010004
Chicago/Turabian StyleBoiangiu, Andreea, Ana-Maria Cioca, Gabriel-Petre Gorecki, Romina-Marina Sima, Liana Pleș, Marius-Bogdan Novac, Ionut-Simion Coman, Valentin-Titus Grigorean, Vasile Lungu, Mihai-Teodor Georgescu, and et al. 2025. "Vulvar Metastasis in Renal Cell Carcinoma: A Case Report Highlighting the Aggressive Nature of Clear Cell Renal Cell Carcinoma" Current Oncology 32, no. 1: 4. https://doi.org/10.3390/curroncol32010004
APA StyleBoiangiu, A., Cioca, A.-M., Gorecki, G.-P., Sima, R.-M., Pleș, L., Novac, M.-B., Coman, I.-S., Grigorean, V.-T., Lungu, V., Georgescu, M.-T., & Filipescu, G.-A. (2025). Vulvar Metastasis in Renal Cell Carcinoma: A Case Report Highlighting the Aggressive Nature of Clear Cell Renal Cell Carcinoma. Current Oncology, 32(1), 4. https://doi.org/10.3390/curroncol32010004

