Aggressive Pelvic Angiomyxoma in a Patient with Twin Pregnancy: Diagnosis, Treatment, and Clinical Complications in Light of the Literature
Abstract
1. Introduction
2. Materials and Methods
3. Results
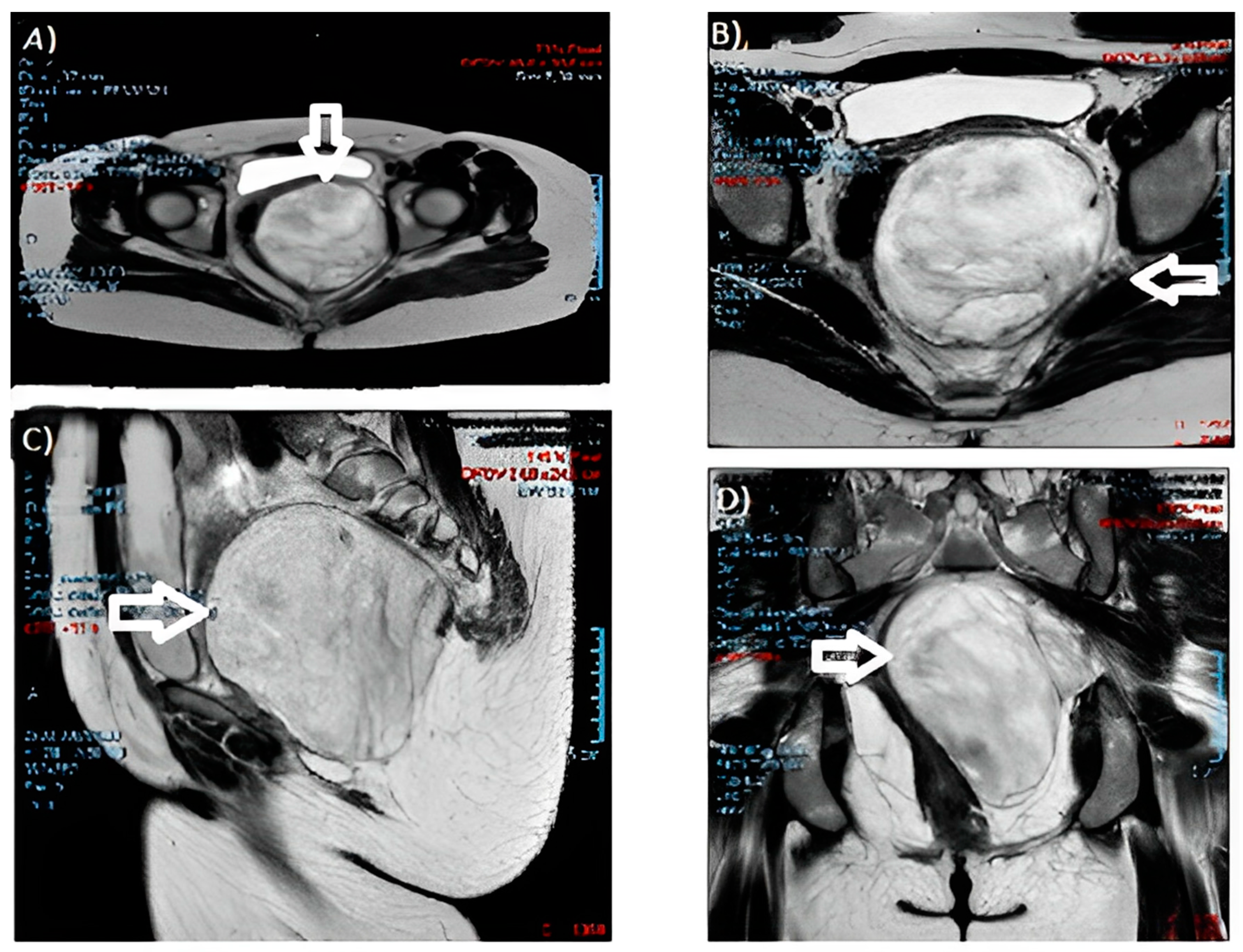
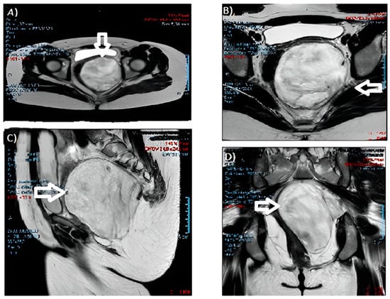
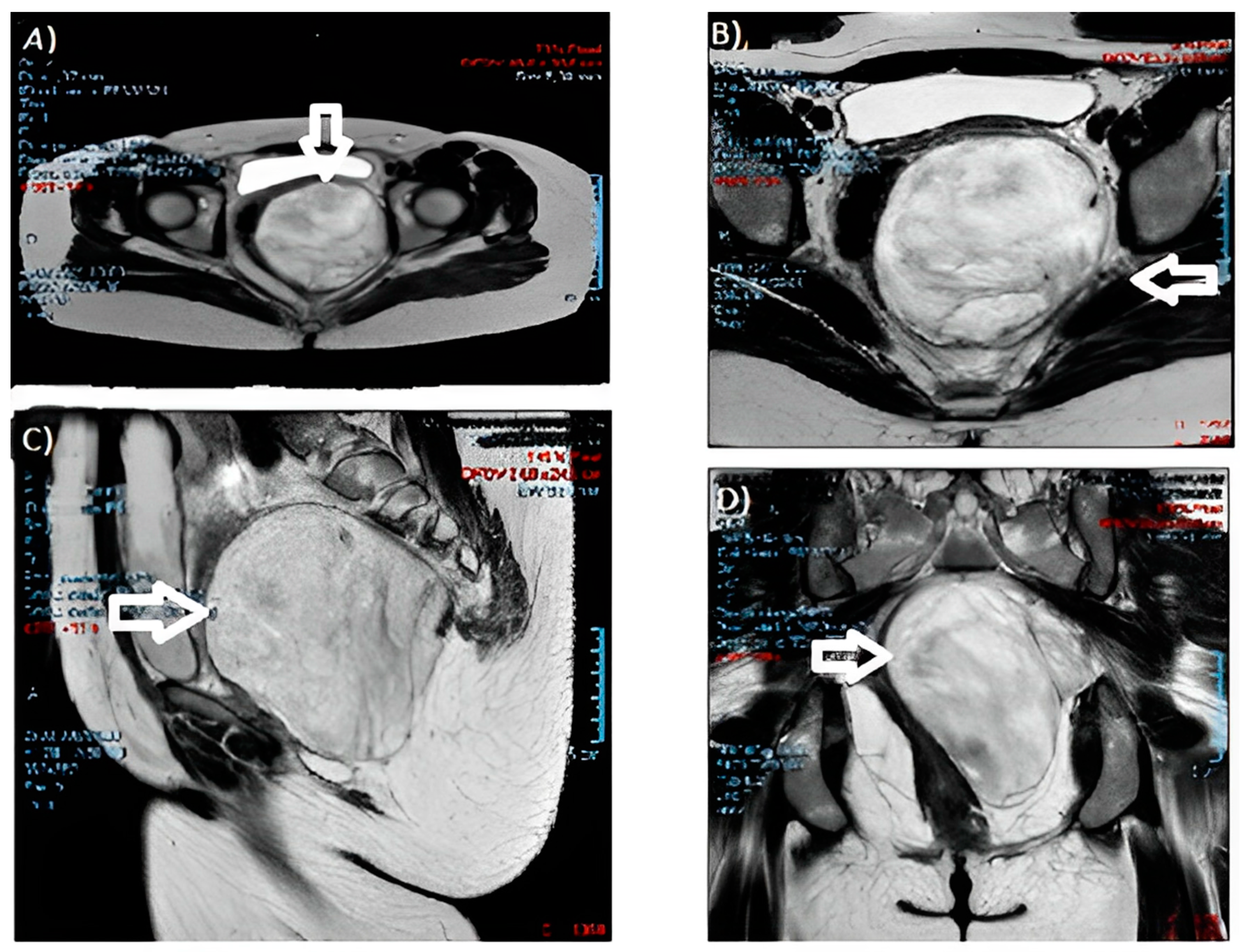
Our Clinical Experience: The Case Report
4. Discussion
5. Conclusions
Author Contributions
Funding
Institutional Review Board Statement
Informed Consent Statement
Data Availability Statement
Conflicts of Interest
References
- Steeper, T.A.; Rosai, J. Aggressive angiomyxoma of the female pelvis and perineum. Report of nine cases of a distinctive type of gynecologic soft-tissue neoplasm. Am. J. Surg. Pathol. 1983, 7, 463–475. [Google Scholar] [CrossRef]
- Xu, H.; Sun, P.; Xu, R.; Wang, L.; Shi, Y. Aggressive angiomyxoma in pregnancy: A case report and literature review. J. Int. Med. Res. 2020, 48, 0300060520936414. [Google Scholar] [CrossRef] [PubMed]
- Wolf, C.A.; Kurzeja, R.; Fietze, E.; Buscher, U. Aggressive angiomyxoma of the female perineum in pregnancy. Acta Obstet. Gynecol. Scand. 2003, 82, 484–485. [Google Scholar] [CrossRef]
- Malukani, K.; Varma, A.V.; Choudhary, D.; Dosi, S. Aggressive angiomyxoma in pregnancy: A rare and commonly misdiagnosed entity. J. Lab. Physicians 2018, 10, 245–247. [Google Scholar] [CrossRef] [PubMed]
- Sampaio, J.; Sarmento-Gonçalves, I.; Ramada, D.; Amaro, T.; Tiago-Silva, P. Aggressive Angiomyxoma in Pregnancy: A Rare Condition, a Common Misdiagnosis. Case Rep. Obstet. Gynecol. 2016, 2016, 8539704. [Google Scholar] [CrossRef]
- Güngör, T.; Zengeroglu, S.; Kaleli, A.; Kuzey, G.M. Aggressive angiomyxoma of the vulva and vagina. A common problem: Misdiagnosis. Eur. J. Obstet. Gynecol. Reprod. Biol. 2004, 112, 114–116. [Google Scholar] [CrossRef]
- Espejo-Reina, M.P.; Prieto-Moreno, M.; De-Miguel-Blanc, M.; Pérez-Martínez, D.M.; Jiménez-López, J.S.; Monís-Rodríguez, S. Genital Prolapse in Pregnant Woman as a Presentation of Aggressive Angiomyxoma: Case Report and Literature Review. Medicina 2022, 58, 107. [Google Scholar] [CrossRef] [PubMed]
- Obi-Njoku, O.; Alberto, C.; Patel, H. Aggressive Angiomyxoid Tumour—A Very Rare Patho-logic Finding in the Urinary Bladder Co-existing with Pregnancy. Int. Arch. Urol. Complic. 2017, 3, 032. [Google Scholar] [CrossRef][Green Version]
- Orfanelli, T.; Kim, C.S.; Vitez, S.F.; Van Gurp, J.; Misra, N. A case report of aggressive angiomyxoma in pregnancy: Do hormones play a role? Case Rep. Obstet. Gynecol. 2016, 2016, 6810368. [Google Scholar] [CrossRef]
- Zangmo, R.; Kumar, S.; Singh, N.; Meena, J. Aggressive angiomyxoma of vulva in pregnancy: A case report. J. Obstet. Gynaecol. India 2016, 66, 610–612. [Google Scholar] [CrossRef][Green Version]
- Ashraf, T.; Haroon, S. Aggressive angiomyxoma in pregnancy. J. Coll. Physicians Surg. Pak. 2014, 24, S24–S26. [Google Scholar] [PubMed]
- Goyal, P.; Agrawal, D.; Sehgal, S.; Ghosh, S.; Kumar, A.; Singh, S. Aggressive angiomyxoma in pregnancy. Rare Tumors 2014, 6, 5362. [Google Scholar] [CrossRef]
- Sinha, V.; Dave, K.S.; Bhansali, R.P.; Arora, R.S. Aggressive angiomyxoma of vulva which grew with pregnancy and attained a huge size rarely seen in literature. J. Obstet. Gynaecol. India. 2014, 64 (Suppl. 1), 90–91. [Google Scholar] [CrossRef] [PubMed]
- Dahiya, K.; Jain, S.; Duhan, N.; Nanda, S.; Kundu, P. Aggressive angiomyxoma of vulva and vagina: A series of three cases and review of literature. Arch. Gynecol. Obstet. 2011, 283, 1145–1148. [Google Scholar] [CrossRef] [PubMed]
- Aye, C.; Jefferis, H.; Chung, D.Y.; Manek, S.; Kehoe, S. A case of multi-modal managed vulval aggressive angiomyxoma diagnosed before conception and monitored during pregnancy. Gynecol. Oncol. 2009, 115, 170–171. [Google Scholar] [CrossRef] [PubMed]
- Mandal, S.; Dhingra, K.; Roy, S.; Khurana, N. Aggressive angiomyxoma of the vulva presenting as a pedunculated swelling. Indian. J. Pathol. Microbiol. 2008, 51, 259–260. [Google Scholar]
- Bagga, R.; Keepanasseril, A.; Suri, V.; Nijhawan, R. Aggressive angiomyxoma of the vulva in pregnancy: A case report and review of management options. Medscape Gen. Med. 2007, 9, 16. [Google Scholar]
- Lepistö, A.; Heiskanen, I.; Böhling, T.; Raade, M.; Stefanovic, V.; Järvinen, H. Aggressive angiomyxoma—Report of three cases. Int. J. Colorectal Dis. 2007, 22, 1545–1546. [Google Scholar] [CrossRef]
- Han-Geurts, I.J.; Van Geel, A.N.; van Doorn, L.; den Bakker, M.D.; Eggermont, A.M.; Verhoef, C. Aggressive angiomyxoma: Multimodality treatments can avoid mutilating surgery. Eur. J. Surg. Oncol. 2006, 32, 1217–1221. [Google Scholar] [CrossRef]
- Ribaldone, R.; Piantanida, P.; Surico, D.; Boldorini, R.; Colombo, N.; Surico, N. Aggressive angiomyxoma of the vulva. Gynecol. Oncol. 2004, 95, 724–728. [Google Scholar] [CrossRef] [PubMed]
- Smirniotis, V.; Kondi-Pafiti, A.; Theodoraki, K.; Kostopanagiotou, G.; Liapis, A.; Kourias, E. Aggressive angiomyxoma of the pelvis: A clinicopathologic study of a case. Clin. Exp. Obstet. Gynecol. 1997, 24, 209–211. [Google Scholar] [PubMed]
- Htwe, M.; Deppisch, L.M.; Saint-Julien, J.S. Hormone-dependent, aggressive angiomyxomaof the vulva. Obstet. Gynecol. 1995, 86, 697–699. [Google Scholar] [CrossRef] [PubMed]
- Fishman, A.; Otey, L.P.; Poindexter, A.N., 3rd; Shannon, R.L.; Girtanner, R.E.; Kaplan, A.L. Aggressive angiomyxoma of the pelvis and perineum. A case report. J. Reprod. Med. 1995, 40, 665–669. [Google Scholar] [PubMed]
- Blandamura, S.; Cruz, J.; Faure Vergara, L.; Machado Puerto, I.; Ninfo, V. Aggressive angiomyxoma: A second case of metastasis with patient’s death. Hum. Pathol. 2003, 34, 1072–1074. [Google Scholar] [CrossRef] [PubMed]
- Faraj, W.; Houjeij, M.; Haydar, A.; Nassar, H.; Nounou, G.; Khalife, M. Aggressive angiomyxoma presenting with back and perineal bulge; a complex surgical approach: A case report. Int. J. Surg. Case Rep. 2016, 24, 211–214. [Google Scholar] [CrossRef]
- Geng, J.; Cao, B.; Wang, L. Aggressive angiomyxoma: An unusual presentation. Korean J. Radiol. 2012, 13, 90–93. [Google Scholar] [CrossRef]
- Siassi, R.M.; Papadopoulos, T.; Matzel, K.E. Metastasizing aggressive angiomyxoma. N. Engl. J. Med. 1999, 341, 1772. [Google Scholar] [CrossRef]
- Giraudmaillet, T.; Mokrane, F.Z.; Delchier-Bellec, M.C.; Motton, S.; Cron, C.; Rousseau, H. Aggressive angiomyxoma of the pelvis with inferior vena cava involvement: MR imaging features. Diagn. Interv. Imaging 2015, 96, 111–114. [Google Scholar] [CrossRef][Green Version]
- Fucà, G.; Hindi, N.; Ray-Coquard, I.; Colia, V.; Dei Tos, A.P.; Martin-Broto, J.; Brahmi, M.; Collini, P.; Lorusso, D.; Raspagliesi, F.; et al. Treatment Outcomes and Sensitivity to Hormone Therapy of Aggressive Angiomyxoma: A Multicenter, International, Retrospective Study. Oncologist 2019, 24, e536–e541. [Google Scholar] [CrossRef]
- Shinohara, N.; Nonomura, K.S.; Ishikawa, S.; Seki, H.; Koyanagi, T. Medical management of recurrent aggressive angiomyxoma with gonadotropin-releasing hormone agonist. Int. J. Urol. 2004, 11, 432–435. [Google Scholar] [CrossRef]
- Tinelli, R.; Dellino, M.; Nappi, L.; Sorrentino, F.; D’Alterio, M.N.; Angioni, S.; Bogani, G.; Pisconti, S.; Silvestris, E. Eradication of Isolated Para-Aortic Nodal Recurrence in a Patient with an Advanced High Grade Serous Ovarian Carcinoma: Our Experience and Review of Literature. Medicina 2022, 58, 244. [Google Scholar] [CrossRef] [PubMed]



| Reference | Age (Years) | Clinical Presentation | Dimension and/or Gestational Age at the First Individuation | Site of Tumor | Treatment | |
|---|---|---|---|---|---|---|
| 1 | Current case | 30 | Hypervascularized and inhomogeneous pelvic formation at ultrasound check | 10 cm in maximum diameter at 10 weeks of twin gestation | Left perineal area | Surgical excision at 13 weeks and 6 days; after, cesarean section at term |
| 2 | Espejo-Reina 2022 [7] | 36 | Genital prolapse and bilateral ovarian teratomas | At 26 gestational weeks 7 × 3 × 3.5 cm; in puerpuerium, the mass was 7 × 7 × 7.5 cm | Vesico-vaginal space | Elective cesarean section, tumor exeresis in puerpuerium |
| 3 | Xu, 2020 [2] | 32 | Cancer increased during two subsequent gestations and decreased one year after last delivery | From 3 cm to 7 cm during pregnancies, after delivery was 5.3 × 5.1 × 4.2 cm | Right labium majus | Surgical excisions during the puerpuerium of the two pregnancies |
| 4 | Malukani, 2018 [4] | 24 | Vaginal blood loss, difficulty in walking, and pain in the abdomen and lower back | 11.4 cm × 11.3 cm × 9.9 cm at 17 weeks of gestation | Vaginal fornix | Surgical removal, curettage of the abortion |
| 5 | Obi-Njoku, 2017 [8] | 23 | Incidental finding on ultrasound scan | 1.2 × 1.5 × 1.3 cm with no increased vascularity during pregnancy | On the posterior wall of the bladder, close to the left vesico-ureteric junction | Rigid cystoscopy and transurethral resection of the bladder tumor (TURBT) under epidural anesthesia |
| 6 | Orfanelli, 2016 [9] | 29 | Pudendal swelling with an increasing neoformation | 2 cm at 20 weeks, 7 cm at 37 weeks | Right labium majus | Caesarean section with surgical resection (at 39 weeks) |
| 7 | Sampaio, 2016 [5] | 25 | Vaginal swelling, dyspareunia, and genital bleeding | 11 cm at 9 weeks, 12 cm at 13 weeks | Vaginal fornix | Surgical resection (at 13 weeks) and full-term vaginal delivery |
| 8 | Zangmo, 2016 [10] | 21 | Recurring palpable mass, without pain | Dimension of an almond at 20 weeks, 8 cm at 32 weeks, then 15 cm at 37 weeks. Increased to 18 cm at 6 weeks postpartum | Right labium majus | Caesarean section (at 38 weeks) and surgical excision after two weeks |
| 9 | Ashraf, 2014 [11] | 24 | Pain with large pedunculated lobulated growth | Described for the first time at 16 weeks, was 30 cm at 20 weeks | Right labium majus | Surgical resection (at 20 weeks) and caesarean section (at 37 weeks) |
| 10 | Goyal, 2014 [12] | 25 | Painless, pedunculated, and soft mass | Diagnosed at 12 weeks, was 8 cm at 18 weeks | Left labium majus | Excision (at 18 weeks) and full-term delivery |
| 11 | Sinha, 2014 [13] | 43 | Difficulty in walking | Gradually increased for 10 years, suddenly during pregnancy and postpartum. At 9 months after the cesarean section, it was 55 cm | Left labium majus | Caesarean section and postpartum surgical resection |
| 12 | Dahiya, 2011 [14] | 32 | Swelling and discomfort (probably a recurrence) | At 16 weeks, 3 × 4 cm | Perineal region | Surgical excision |
| 13 | Aye, 2009 [15] | 22 | The patient had experienced the diagnosis and treatment of an angiomyxoma the year before, with no detectable effect After months, new vulvar discomfort | 3.1 cm at 8 weeks, 5.1 cm at 32 weeks | Right vestibule | Pregestational surgery and GnRH analogue therapy. Full-term caesarean section (at 38 weeks). At 6 weeks after delivery, the mass was reduced in size to 3.6 × 3.1 × 2.9 cm with a multimodal approach |
| 14 | Mandal, 2008 [16] | 22 | Large pedunculated swelling mass with an ulcerated area | At 16 weeks, 7 cm of maximum diameter | Left labia majora | Surgical excision during pregnancy |
| 15 | Bagga, 2007 [17] | 25 | Soft, painless swelling | 2 cm at 12 weeks and 4 cm at 16 weeks | Right labia majus | Surgical excision with massive bleeding (at 16 weeks), and full-term induced delivery |
| 16 | Lepistö, 2007 [18] | 27 | Unusually large belly | At 12 weeks, a large retroperitoneal jelly neoformation | Abdomen, in the lower pelvis, near to the uterus | Laparotomies for surgical excision at 16 weeks and in post-partum, with residual tumor. Spontaneous labor at term |
| 17 | Han-Geurts, 2006 [19] | 31 | Swelling during her first pregnancy 4 years before. This mass increased during the second pregnancy | Larger in the second pregnancy than in the first | Left gluteal area, paravaginal, and pararectal mass | Biopsy and Posterior exenteration+ neoadjuvant radiotherapy with 60 Gy (not any other details) |
| 18 | Han-Geurts, 2006 [19] | 34 | Swelling aspect | At 30 gestational weeks | Left and right labia majora | Vulvectomy (not any other details) |
| 19 | Han-Geurts, 2006 [19] | 27 | Mass | Early pregnancy | Right abdomen, in front of the bladder | Excision during caesarean section (not any other details) |
| 20 | Ribaldone, 2004 [20] | 36 | Mass | The neoformation grew extremely slowly before and during pregnancy, but very rapidly after the delivery (15 cm at last resection). | Right pelvic-perineal area | Surgical excisions, months after elective cesarean section |
| 21 | Wolf, 2003 [3] | 32 | Soft proliferation, suspected as massive condylomata acuminata | Diagnosed at 32 weeks; 3 × 4 cm at 36 weeks | Vulva, posterior commissura | Surgical excision (at 36 weeks) and vaginal at-term delivery |
| 22 | Smirniotis, 1997 [21] | 38 | Soft, bulky, palpable extraperitoneal swelling (suspected as regional haematoma) | Diagnosed during a follow-up after a recent cesarean section, dimension of 15 × 12 × 6 cm | Right lateral part of the pelvi | Exploratory laparotomy with resection, months after the cesarean section |
| 23 | Htwe, 1995 [22] | 41 | Soft, nontender mass | 6 × 6 × 4 cm at 18 weeks | Left vulva | Surgical excision in the second trimester of pregnancy and full-term delivery |
| 24 | Fishman, 1995 [23] | 37 | Recurrence of mass | Pregestational treatment, 3 cm during pregnancy, to 40 cm in 3 years | Right vulva | Surgical excisions |
Disclaimer/Publisher’s Note: The statements, opinions and data contained in all publications are solely those of the individual author(s) and contributor(s) and not of MDPI and/or the editor(s). MDPI and/or the editor(s) disclaim responsibility for any injury to people or property resulting from any ideas, methods, instructions or products referred to in the content. |
© 2023 by the authors. Licensee MDPI, Basel, Switzerland. This article is an open access article distributed under the terms and conditions of the Creative Commons Attribution (CC BY) license (https://creativecommons.org/licenses/by/4.0/).
Share and Cite
Aquino, C.I.; Tinelli, R.; Libretti, A.; Bertinato, R.; Boldorini, R.L.; Giana, M.; Sorrentino, F.; Nappi, L.; Remorgida, V.; Surico, D. Aggressive Pelvic Angiomyxoma in a Patient with Twin Pregnancy: Diagnosis, Treatment, and Clinical Complications in Light of the Literature. Medicina 2023, 59, 1417. https://doi.org/10.3390/medicina59081417
Aquino CI, Tinelli R, Libretti A, Bertinato R, Boldorini RL, Giana M, Sorrentino F, Nappi L, Remorgida V, Surico D. Aggressive Pelvic Angiomyxoma in a Patient with Twin Pregnancy: Diagnosis, Treatment, and Clinical Complications in Light of the Literature. Medicina. 2023; 59(8):1417. https://doi.org/10.3390/medicina59081417
Chicago/Turabian StyleAquino, Carmen Imma, Raffaele Tinelli, Alessandro Libretti, Riccardo Bertinato, Renzo Luciano Boldorini, Michele Giana, Felice Sorrentino, Luigi Nappi, Valentino Remorgida, and Daniela Surico. 2023. "Aggressive Pelvic Angiomyxoma in a Patient with Twin Pregnancy: Diagnosis, Treatment, and Clinical Complications in Light of the Literature" Medicina 59, no. 8: 1417. https://doi.org/10.3390/medicina59081417
APA StyleAquino, C. I., Tinelli, R., Libretti, A., Bertinato, R., Boldorini, R. L., Giana, M., Sorrentino, F., Nappi, L., Remorgida, V., & Surico, D. (2023). Aggressive Pelvic Angiomyxoma in a Patient with Twin Pregnancy: Diagnosis, Treatment, and Clinical Complications in Light of the Literature. Medicina, 59(8), 1417. https://doi.org/10.3390/medicina59081417

