Sign in to use this feature.

Years

Between: -

Subjects

remove_circle_outline
remove_circle_outline
remove_circle_outline

Journals

Article Types

Countries / Regions

Search Results (12)

Search Parameters:
Keywords = angiomyxoma

Order results
Result details
Results per page
Select all
Export citation of selected articles as:
8 pages, 7037 KB  
Case Report
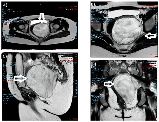
An Unusual Cause of Inguinal Mass in a Patient with Urolithiasis: A Case Report of Deep (Aggressive) Angiomyxoma in a Male Patient
by Christodoulos Chatzigrigoriadis, Vasileios Tatanis, Theodoros Spinos, Angelis Peteinaris, Angelos Samaras, Anastasios Thanos, Evangelos Liatsikos and Panagiotis Kallidonis
Clin. Pract. 2024, 14(6), 2705-2712; https://doi.org/10.3390/clinpract14060213 - 13 Dec 2024
Viewed by 1875
Abstract
Background: Deep or aggressive angiomyxoma is an uncommon neoplasm of the pelvis. Although deep angiomyxoma is a benign tumor, its tendency to infiltrate soft tissues and reach a large size (typically > 10 cm) indicates aggressive biological behavior. It is usually present in [...] Read more.
Background: Deep or aggressive angiomyxoma is an uncommon neoplasm of the pelvis. Although deep angiomyxoma is a benign tumor, its tendency to infiltrate soft tissues and reach a large size (typically > 10 cm) indicates aggressive biological behavior. It is usually present in female patients, but there have been recent reports of male-aggressive angiomyxoma. While rare, it is an important consideration in patients with a pelvic mass. The clinical presentation is non-specific; patients are either asymptomatic or present with non-specific complaints, such as dull pain, constipation, and dysuria. It is commonly mistaken for an inguinal hernia, hydrocele, testicular cancer, lipoma, and epididymal cyst in male patients, thus misguiding the management of these cases. Hence, preoperative evaluation with imaging studies (ultrasound, computed tomography, magnetic resonance imaging) and biopsy allows for an accurate diagnosis and treatment. Currently, the standard of treatment is surgical resection of the tumor with free margins. The role of hormone therapy is under investigation for patients with deep angiomyxoma positive for estrogen/progesterone receptors. Regular follow-up is necessary given the high recurrence rate of deep angiomyxoma (9–72%). Methods: We present a case of an elderly man who presented with hematuria due to urolithiasis and an asymptomatic inguinal mass mimicking an inguinal hernia. A computed scan (CT) of the abdomen confirmed the presence of the mass, which was removed surgically. Results: The pathologic examination of the tumor was consistent with deep angiomyxoma. Conclusions: The diagnosis of deep angiomyxoma should always be considered in patients with an inguinal mass to avoid delayed treatment and incomplete surgical excision. Full article
Show Figures

Figure 1

8 pages, 6039 KB  
Case Report
Cystic Angiomyofibroblastoma of the Uterus Mimicking Ovarian Cancer
by Jae Yoon Jo, Hyo Jung An, In Ae Jo, Jeong Kyu Shin, Won Jun Choi and Jong Chul Baek
Medicina 2024, 60(10), 1645; https://doi.org/10.3390/medicina60101645 - 8 Oct 2024
Cited by 2 | Viewed by 1892
Abstract
Angiomyofibroblastoma (AMFB) is an exceedingly rare mesenchymal tumor of the lower genital tract. AMFB primarily affects the pelviperineal region, especially the vulvar in premenopausal women. Typically, AMFB is a benign disease and does not have the potential for metastasis or recurrence, requiring complete [...] Read more.
Angiomyofibroblastoma (AMFB) is an exceedingly rare mesenchymal tumor of the lower genital tract. AMFB primarily affects the pelviperineal region, especially the vulvar in premenopausal women. Typically, AMFB is a benign disease and does not have the potential for metastasis or recurrence, requiring complete surgical excision. Its accurate differentiation from aggressive angiomyxoma is critical due to varying prognoses. A 51-year-old woman, diagnosed with mucinous carcinoma of the breast, presented with a 12 cm abdominopelvic mass identified during breast cancer staging. Imaging suggested an ovarian origin; however, surgical exploration revealed a stalk-attached cystic mass in the anterior body of the uterus. Histopathology confirmed AMFB. Immunohistochemical analysis showed positivity for estrogen and progesterone receptors and smooth muscle actin. The patient continued breast cancer treatment postoperatively without pelvic mass recurrence or complications for a postoperative follow-up period of one year. This case highlights AMFB’s potential uterine body origin, expending known tumor sites and complicating diagnosis due to overlapping features with other mesenchymal tumors. Accurate diagnosis using immunohistochemical markers and pathological features is essential to avoid unnecessary aggressive treatments. The uterine location in this case suggests a possible shared pathogenesis with uterine myomas, warranting further research into their connection. Reporting the first case of AMFB originating in the uterine body enhances understanding of this rare condition and underscores the importance of clinical awareness and precise diagnostic strategies to guide management and improve outcomes. Full article
(This article belongs to the Section Obstetrics and Gynecology)
Show Figures

Figure 1

15 pages, 1210 KB  
Review
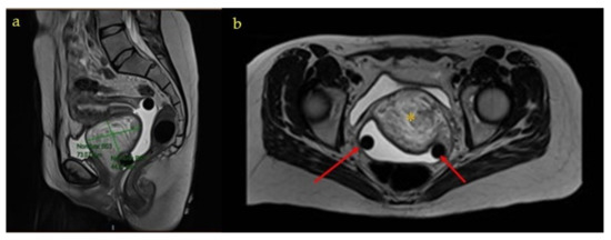
Aggressive Angiomyxoma of the Lower Female Genital Tract: A Review of the MITO Rare Tumors Group
by Miriam Dellino, Francescapaola Magazzino, Lavinia Domenici, Stefania Cicogna, Salvatora Tindara Miano, Sandro Pignata, Giorgia Mangili and Gennaro Cormio
Cancers 2024, 16(7), 1375; https://doi.org/10.3390/cancers16071375 - 31 Mar 2024
Cited by 11 | Viewed by 3352
Abstract
Aggressive angiomyxoma (AAM) is a rare, locally aggressive, myxoid mesenchymal neoplasm primarily found in the pelvic and perineal regions of young adult females. It is a slow growing and locally infiltrating tumor. Preoperative diagnosis is difficult due to the rarity of these tumors [...] Read more.
Aggressive angiomyxoma (AAM) is a rare, locally aggressive, myxoid mesenchymal neoplasm primarily found in the pelvic and perineal regions of young adult females. It is a slow growing and locally infiltrating tumor. Preoperative diagnosis is difficult due to the rarity of these tumors and absence of characteristic signs and symptoms. The primary management is tumor excision. Incomplete excision is common because of the infiltrating nature of the neoplasm and absence of a definite capsule. Other non- surgical modalities have been employed, such as radiotherapy, embolization, GnRH analogues or other anti-estrogenic agents. Local relapses occur in 30–40% of the cases, and often appear many years (sometimes decades) after the first excision. Occasional distant metastasis has also been reported. A limited number of cases have been reported in the literature, mostly in the form of small case series or isolated case reports. Therefore, the aim of this paper by a team of experts from the MITO rare tumors group is to review clinical findings, pathologic characteristics and outcome of patients affected by this rare condition in order to be able to offer up-to-date guidance on the management of these cases. Full article
(This article belongs to the Special Issue Rare Gynecological Cancers)
Show Figures

Figure 1

9 pages, 3708 KB  
Review
Aggressive Pelvic Angiomyxoma in a Patient with Twin Pregnancy: Diagnosis, Treatment, and Clinical Complications in Light of the Literature
by Carmen Imma Aquino, Raffaele Tinelli, Alessandro Libretti, Riccardo Bertinato, Renzo Luciano Boldorini, Michele Giana, Felice Sorrentino, Luigi Nappi, Valentino Remorgida and Daniela Surico
Medicina 2023, 59(8), 1417; https://doi.org/10.3390/medicina59081417 - 3 Aug 2023
Viewed by 2289
Abstract
(1) Background: Aggressive angiomyxoma is a mesenchymal cancer that is rare during pregnancy. It is a neoplasm that relapses and infiltrates the nearest structures. Our aim is to evaluate the management and outcomes of an observed case, in light of the current literature. [...] Read more.
(1) Background: Aggressive angiomyxoma is a mesenchymal cancer that is rare during pregnancy. It is a neoplasm that relapses and infiltrates the nearest structures. Our aim is to evaluate the management and outcomes of an observed case, in light of the current literature. (2) Methods: We observed this condition at the “Maggiore della Carità” Hospital in Novara (Italy) in a patient with an initial twin pregnancy and a suspected pelvic mass. The words “angiomyxoma” and “pregnancy” were searched on the main online scientific search sources (PubMed, Google Scholar, Scopus, WES, and Embase, etc.). (3) Results: The patient underwent surgery with a complicated follow-up, but recent negative controls. We analyzed the literature about the topic and found only 24 similar clinical cases. (4) Conclusions: Considering the current literature, it is useful to assess an aggressive angiomyxoma in the differential diagnosis of soft masses in pregnant women. The treatment of choice is surgical excision, and vaginal delivery is feasible. The therapeutic decision depends on each case. Full article
(This article belongs to the Section Obstetrics and Gynecology)
Show Figures

Figure 1

11 pages, 1114 KB  
Review
Aggressive Angiomyxoma of the Lower Female Genital Tract in Pregnancy: A Review of the MITO Rare Tumors Group
by Stefania Cicogna, Miriam Dellino, Salvatora Tindara Miano, Francescapaola Magazzino, Lavinia Domenici, Sandro Pignata, Giorgia Mangili and Gennaro Cormio
Cancers 2023, 15(13), 3403; https://doi.org/10.3390/cancers15133403 - 29 Jun 2023
Cited by 9 | Viewed by 2797
Abstract
Deep (aggressive) angiomyxoma of the lower genital tract is a rare malignancy affecting women of reproductive age. Being a hormone-sensitive tumor, its growth is particularly benefitted during pregnancy. Surgical excision with complete resection is indicated, even if a wait-and-see approach can be considered [...] Read more.
Deep (aggressive) angiomyxoma of the lower genital tract is a rare malignancy affecting women of reproductive age. Being a hormone-sensitive tumor, its growth is particularly benefitted during pregnancy. Surgical excision with complete resection is indicated, even if a wait-and-see approach can be considered until delivery, to avoid destructive surgeries. The mode of delivery is to be evaluated based on the location and size of the neoplasm; vaginal delivery is not contraindicated, as long as the tumor does not obstruct the birth canal. Positive surgical margins are the most important prognostic factor for recurrence. Adjuvant therapy with gonadotropin-releasing hormone analogues may be proposed after pregnancy, in the case of non-radical surgery. Despite the high local relapse rate, the outcomes for mother and child are favorable. Since recurrences can occur after many years, the patient should be included in long-term follow-up. Full article
(This article belongs to the Special Issue Rare Gynecological Cancers)
Show Figures

Figure 1

11 pages, 6402 KB  
Opinion
Aggressive Angiomyxoma of the Vulva: Which Is the Best Management Strategy? Description of a Case Report and Review of Literature of the Last Ten Years
by Ferdinando Antonio Gulino, Marianna Gulisano, Carla Ettore, Alexandra Giorlandino, Emanuele Russo and Giuseppe Ettore
J. Clin. Med. 2023, 12(5), 1726; https://doi.org/10.3390/jcm12051726 - 21 Feb 2023
Cited by 19 | Viewed by 4480
Abstract
Background: Aggressive angiomyxoma is a rare mesenchymal tumour of the genital tract with a high incidence in women of reproductive age. The aim of our work is to understand which is the best management strategy for this condition, starting from the description of [...] Read more.
Background: Aggressive angiomyxoma is a rare mesenchymal tumour of the genital tract with a high incidence in women of reproductive age. The aim of our work is to understand which is the best management strategy for this condition, starting from the description of a rare case report up to the performance of a narrative review of the literature. Methods: We report a case of a 46-year-old woman who came to our attention because of the growth of a 10-centimetre pedunculated, non-soft, non-tender mass of the left labium majus. She underwent surgical excision, and the histologic diagnosis was aggressive angiomyxoma. Due to a lack of tumour-free margins, radicalization surgery was carried out after three months. A review of the literature of the last ten years was performed following the PRISMA statement on MEDLINE (PubMed). We obtained data from twenty-five studies describing thirty-three cases. Results: Aggressive angiomyxoma is characterized by a high recurrence rate of between 36 and 72% after surgery. There is no universal consensus about hormonal therapy, and most studies (85%) describe surgical excision followed by only clinical and radiological follow-up. Conclusion: Wide surgical excision is the gold-standard treatment for aggressive angiomyxoma, succeeded by either clinical or radiological (ultrasound or MRI) follow-up. Full article
Show Figures

Figure 1

15 pages, 735 KB  
Review
Considering the Effects and Maternofoetal Implications of Vascular Disorders and the Umbilical Cord
by Lara Sánchez-Trujillo, Cielo García-Montero, Oscar Fraile-Martinez, Luis G. Guijarro, Coral Bravo, Juan A. De Leon-Luis, Jose V. Saez, Julia Bujan, Melchor Alvarez-Mon, Natalio García-Honduvilla, Miguel A. Saez and Miguel A. Ortega
Medicina 2022, 58(12), 1754; https://doi.org/10.3390/medicina58121754 - 29 Nov 2022
Cited by 11 | Viewed by 6079
Abstract
The umbilical cord is a critical anatomical structure connecting the placenta with the foetus, fulfilling multiple functions during pregnancy and hence influencing foetal development, programming and survival. Histologically, the umbilical cord is composed of three blood vessels: two arteries and one vein, integrated [...] Read more.
The umbilical cord is a critical anatomical structure connecting the placenta with the foetus, fulfilling multiple functions during pregnancy and hence influencing foetal development, programming and survival. Histologically, the umbilical cord is composed of three blood vessels: two arteries and one vein, integrated in a mucous connective tissue (Wharton’s jelly) upholstered by a layer of amniotic coating. Vascular alterations in the umbilical cord or damage in this tissue because of other vascular disorders during pregnancy are worryingly related with detrimental maternofoetal consequences. In the present work, we will describe the main vascular alterations presented in the umbilical cord, both in the arteries (Single umbilical artery, hypoplastic umbilical artery or aneurysms in umbilical arteries) and the vein (Vascular thrombosis, aneurysms or varicose veins in the umbilical vein), together with other possible complications (Velamentous insertion, vasa praevia, hypercoiled or hypocoiled cord, angiomyxoma and haematomas). Likewise, the effect of the main obstetric vascular disorders like hypertensive disorders of pregnancy (specially pre-eclampsia) and chronic venous disease on the umbilical cord will also be summarized herein. Full article
(This article belongs to the Special Issue Diagnosis, Evaluation, and Management of Diseases during Pregnancy)
Show Figures

Figure 1

6 pages, 2789 KB  
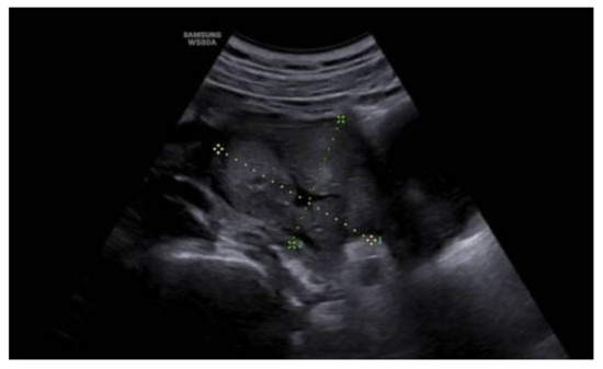
Case Report
Large Angiomyxoma of the Umbilical Cord-Uncomplicated Rupture of Tumor Membranes at 32 Weeks of Gestation
by Ija Lisovaja, Ivanda Franckevica and Natalija Vedmedovska
Diagnostics 2022, 12(6), 1339; https://doi.org/10.3390/diagnostics12061339 - 28 May 2022
Cited by 4 | Viewed by 4309
Abstract
Background: When a tumor of the umbilical cord is prenatally visualized, it is possible to propose the diagnosis depending on the sonographic appearance of the tumor. Angiomyxoma of the umbilical cord appears as a complex solid-cystic mass that is made of angiomatous component [...] Read more.
Background: When a tumor of the umbilical cord is prenatally visualized, it is possible to propose the diagnosis depending on the sonographic appearance of the tumor. Angiomyxoma of the umbilical cord appears as a complex solid-cystic mass that is made of angiomatous component and myxoid stroma. When the tumor is diagnosed, serial ultrasound and doppler examinations are used to monitor the tumor’s size and the overall fetal well-being including doppler investigations and fetal growth. Angiomyxomas are not associated with fetal chromosomal pathologies. The cases of intrauterine rupture and fetal death was described in the literature. Case presentation: A 28 years-old pregnant woman was referred to our clinic for second opinion because of visualized umbilical cord tumor during second trimester ultrasound screening. The tumor gradually increased in size until 34th week of gestation, when the rupture of the cystic component was observed. The fetal doppler studies was normal during the course of pregnancy, we observed decreased AC and decreased estimated fetal weight. At the gestational age of the 37 weeks the labor was induced and heathy male infant was born. Conclusions: For the first time to our knowledge, we demonstrate the case of uncomplicated rupture of the cystic component of the angiomyxoma that lead to the possibility to manage the pregnancy conservatively without any compromise of the fetus. Full article
(This article belongs to the Section Pathology and Molecular Diagnostics)
Show Figures

Figure 1

22 pages, 14915 KB  
Review
Practical Approach to the Diagnosis of the Vulvo-Vaginal Stromal Tumors: An Overview
by Giuseppe Angelico, Stefano Marletta, Giuseppe Broggi, Paolo Vigneri, Giada Maria Vecchio, Lucia Salvatorelli and Gaetano Magro
Diagnostics 2022, 12(2), 357; https://doi.org/10.3390/diagnostics12020357 - 31 Jan 2022
Cited by 19 | Viewed by 6209
Abstract
Background: The category of the “stromal tumors of the lower female genital tract” encompasses a wide spectrum of lesions with variable heterogeneity, which can be nosologically classified on the basis of their morphologic and immunohistochemical profiles as deep (aggressive) angiomyxoma (DAM), cellular angiofibroma [...] Read more.
Background: The category of the “stromal tumors of the lower female genital tract” encompasses a wide spectrum of lesions with variable heterogeneity, which can be nosologically classified on the basis of their morphologic and immunohistochemical profiles as deep (aggressive) angiomyxoma (DAM), cellular angiofibroma (CAF), angiomyofibroblastoma (AMFB) or myofibroblastoma (MFB). Despite the differential diagnosis between these entities being usually straightforward, their increasingly recognized unusual morphological variants, along with the overlapping morphological and immunohistochemical features among these tumours, may raise serious differential diagnostic problems. Methods and Results: The data presented in the present paper have been retrieved from the entire published literature on the PubMed website about DAM, CAF, AFMB and MFB from 1984 to 2021. The selected articles are mainly represented by small-series, and, more rarely, single-case reports with unusual clinicopathologic features. The present review focuses on the diagnostic clues of the stromal tumours of the lower female genital tract to achieve a correct classification. The main clinicopathologic features of each single entity, emphasizing their differential diagnostic clues, are discussed and summarized in tables. Representative illustrations, including the unusual morphological variants, of each single tumour are also provided. Conclusion: Awareness by pathologists of the wide morphological and immunohistochemical spectrum exhibited by these tumours is crucial to achieve correct diagnoses and to avoid confusion with reactive conditions or other benign or malignant entities. Full article
(This article belongs to the Section Machine Learning and Artificial Intelligence in Diagnostics)
Show Figures

Figure 1

7 pages, 2295 KB  
Case Report
Genital Prolapse in Pregnant Woman as a Presentation of Aggressive Angiomyxoma: Case Report and Literature Review
by María Pilar Espejo-Reina, Miriam Prieto-Moreno, Marina De-Miguel-Blanc, Daniela María Pérez-Martínez, Jesús Salvador Jiménez-López and Susana Monís-Rodríguez
Medicina 2022, 58(1), 107; https://doi.org/10.3390/medicina58010107 - 10 Jan 2022
Cited by 6 | Viewed by 3777
Abstract
Background: Aggressive angiomyxoma is a rare entity within mesenchymal cell neoplasms, especially in pregnant women. Its main characteristic is the ability to infiltrate neighboring structures and to recur. Case Presentation: We present the case of a pregnant woman who debuted with [...] Read more.
Background: Aggressive angiomyxoma is a rare entity within mesenchymal cell neoplasms, especially in pregnant women. Its main characteristic is the ability to infiltrate neighboring structures and to recur. Case Presentation: We present the case of a pregnant woman who debuted with a genital prolapse in the second trimester of pregnancy. She was diagnosed with bilateral ovarian teratomas and a pelvic mass of which the diagnosis could not be established until delivery. The route of delivery used was cesarean section since the genital prolapse behaved as a previous tumor. After the puerperium, the patient was referred for consultation to complete the study of the mass. The extension study was carried out with a negative result. The patient underwent surgery for tumor exeresis. Hormonal treatment was not administered according to the patient’s preferences. Conclusions: Aggressive angiomyxoma is a benign neoplasm that should be considered in the differential diagnosis of pelvic tumors in women. In pregnant women, the vaginal route of delivery is not contraindicated as long as the tumor does not obstruct the birth canal. The definitive treatment is surgery, preferably performed in a second stage after delivery. Full article
(This article belongs to the Section Obstetrics and Gynecology)
Show Figures

Figure 1

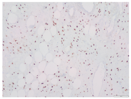
13 pages, 12843 KB  
Article
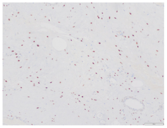
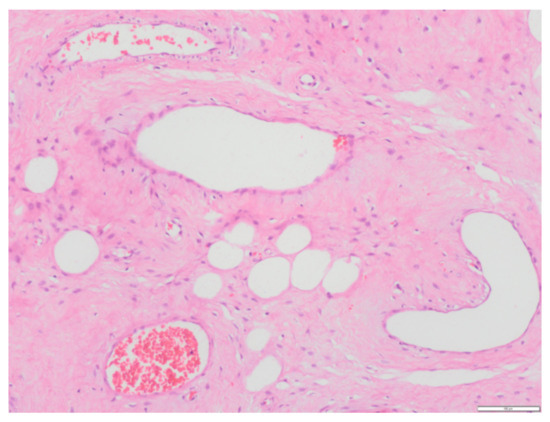
The Wide Morphological Spectrum of Deep (Aggressive) Angiomyxoma of the Vulvo-Vaginal Region: A Clinicopathologic Study of 36 Cases, including Recurrent Tumors
by Gaetano Magro, Giuseppe Angelico, Michal Michal, Giuseppe Broggi, Gian Franco Zannoni, Renato Covello, Stefano Marletta, Lucia Salvatorelli and Rosalba Parenti
Diagnostics 2021, 11(8), 1360; https://doi.org/10.3390/diagnostics11081360 - 28 Jul 2021
Cited by 8 | Viewed by 3054
Abstract
Background: Deep angiomyxoma (DAM) is currently included in the category of “specific stromal tumors of the lower female genital tract”, along with angiomyofibroblastoma, cellular angiofibroma and myofibroblastoma. Given the high rate of local recurrences, it is crucial to recognize DAM from other tumors [...] Read more.
Background: Deep angiomyxoma (DAM) is currently included in the category of “specific stromal tumors of the lower female genital tract”, along with angiomyofibroblastoma, cellular angiofibroma and myofibroblastoma. Given the high rate of local recurrences, it is crucial to recognize DAM from other tumors that possess indolent behaviour. In the present paper, we analyzed the morphological and immunohistochemical features of 42 surgically-resected vulvo-vaginal DAMs (36 primary and 6 recurrent lesions) in order to widen the morphological spectrum of this uncommon tumor. Methods: A series of 36 cases of surgically-resected primary vulvo-vaginal DAMs were retrospectively collected. Locally recurrent tumors were also available for six of these cases. Results: Out of the primary tumors, 25 out of 36 exhibited the classic-type morphology of DAM. In the remaining cases (11/36 cases), the following uncommon features, which sometimes coexist with one another, were observed: (i) alternating myxoid and collagenized/fibrous areas; (ii) hypercellular areas; (iii) neurofibroma-like appearance; (iv) perivascular hyalinization; (v) microcystic/reticular stromal changes; (vi) “microvascular growth pattern”; (vii) perivascular cuffing; (viii) nodular leiomyomatous differentiation; (ix) hypocellular and fibro-sclerotic stroma. Among the six locally recurrent tumors the following features were observed: (i) classic-type morphology; (ii) hypocellular fibro-sclerotic stroma; (iii) extensive perivascular hyalinization, lumen obliteration and formation of confluent nodular sclerotic masses; (iv) hypercellularity. Immunohistochemically, the neoplastic cells of classic-type DAM in both primary and recurrent tumors were diffusely stained with desmin, suggesting a myofibroblastic nature; in contrast, the neoplastic cells showing elongated fibroblastic-like morphology and set in collagenized/fibrosclerotic stroma in both primary and recurrent tumors were negative or only focally stained with desmin, which is consistent with a fibroblastic profile. Conclusion: Although diagnosis of DAM is usually straightforward if typical morphology is encountered, diagnostic problems may arise when a pathologist is dealing with unusual morphological features, especially hypercellularity, extensive collagenous/fibrosclerotic stroma or neurofibroma-like appearance. Full article
Show Figures

Figure 1

3 pages, 379 KB  
Case Report
Neurothekeoma Palpebrae in Association with Multiple Superficial Angiomyxomas: Tegumental Angiomyxoma- Neurothekeoma Syndrome (TAN Syndrome)
by Tan Aik Kah, Ku Chui Yong and Faridah Hanom Annuar
Clin. Pract. 2011, 1(3), e67; https://doi.org/10.4081/cp.2011.e67 - 28 Sep 2011
Cited by 2 | Viewed by 1
Abstract
We report a case of 10-year-old Indian girl with history of multiple superficial angiomyxoma, presented with three months history of painless right upper lid swelling. There were no visual dysfunctions. Previously, the patient had multiple superficial angiomyxoma (left pinna, left upper cheek, left [...] Read more.
We report a case of 10-year-old Indian girl with history of multiple superficial angiomyxoma, presented with three months history of painless right upper lid swelling. There were no visual dysfunctions. Previously, the patient had multiple superficial angiomyxoma (left pinna, left upper cheek, left upper limb, chest, right axilla, hard palate) and epidermal cyst (chin). The histopathological specimens were negative to S-100 protein antibody. Systemic review and family history was unremarkable. Excision biopsy and upper lid reconstruction were performed. Intraoperatively the tumor was multilobulated, firm, well encapsulated and did not invade the underlying tarsal plate. Histopathological features of the upperlid tumor were consistent with nerves sheath myxoma (neurothekeoma). To the best of the authors’ knowledge, this is the first reported case of neurothekeoma in association with multiple superficial angiomyxoma. Full article
Back to TopTop