Gastric Corpus Mucosal Hyperplasia and Neuroendocrine Cell Hyperplasia, but not Spasmolytic Polypeptide-Expressing Metaplasia, Is Prevented by a Gastrin Receptor Antagonist in H+/K+ATPase Beta Subunit Knockout Mice
Abstract
1. Introduction
2. Results
2.1. KO Mice Had Elevated Intragastric pH and Plasma Gastrin
2.2. NTZ Reduced Stomach Weight and Oxyntic Mucosal Thickness in KO Mice
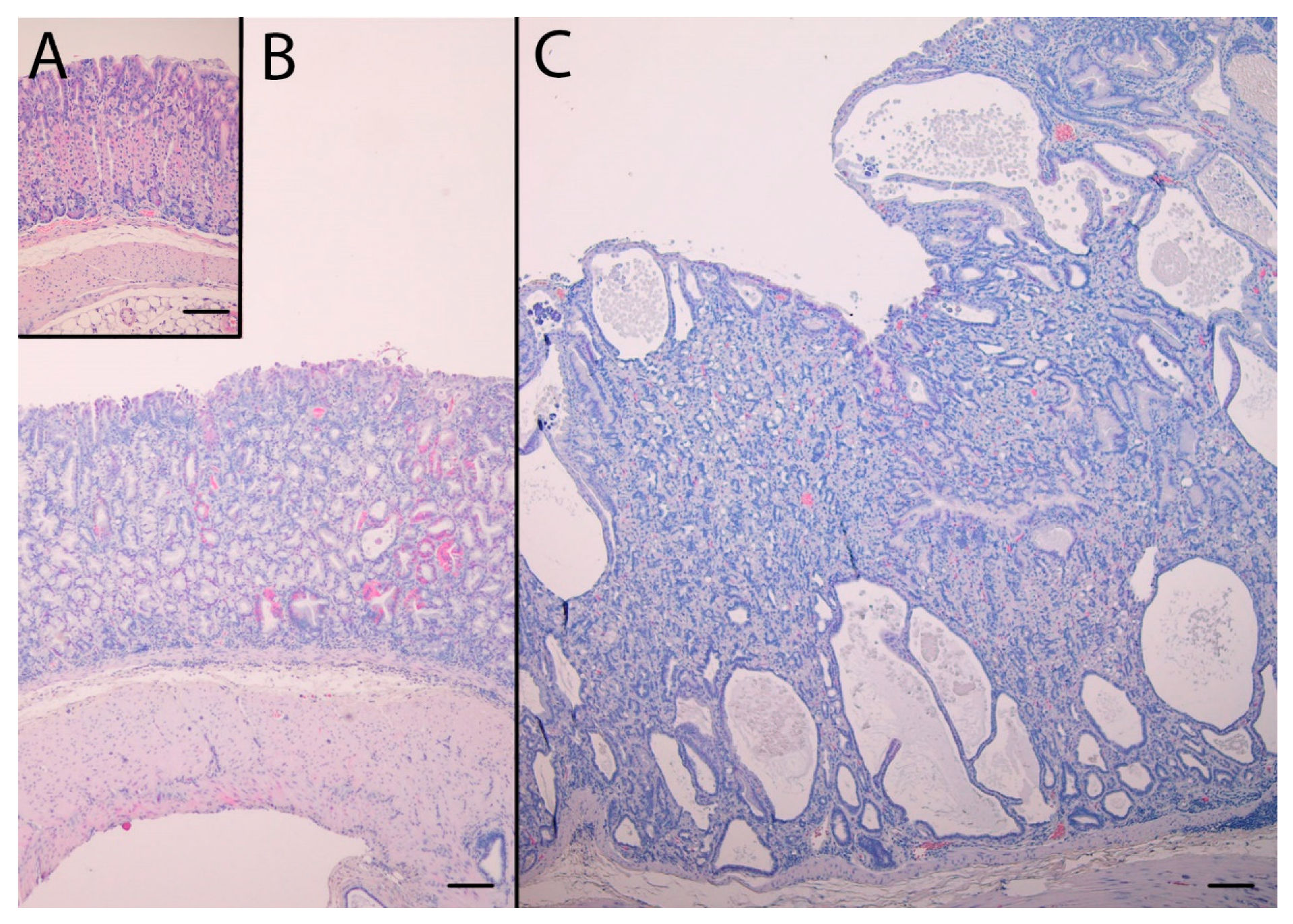
2.3. NTZ Reduced Intramucosal Cysts and Invasions below the Muscularis Mucosae in KO Mice
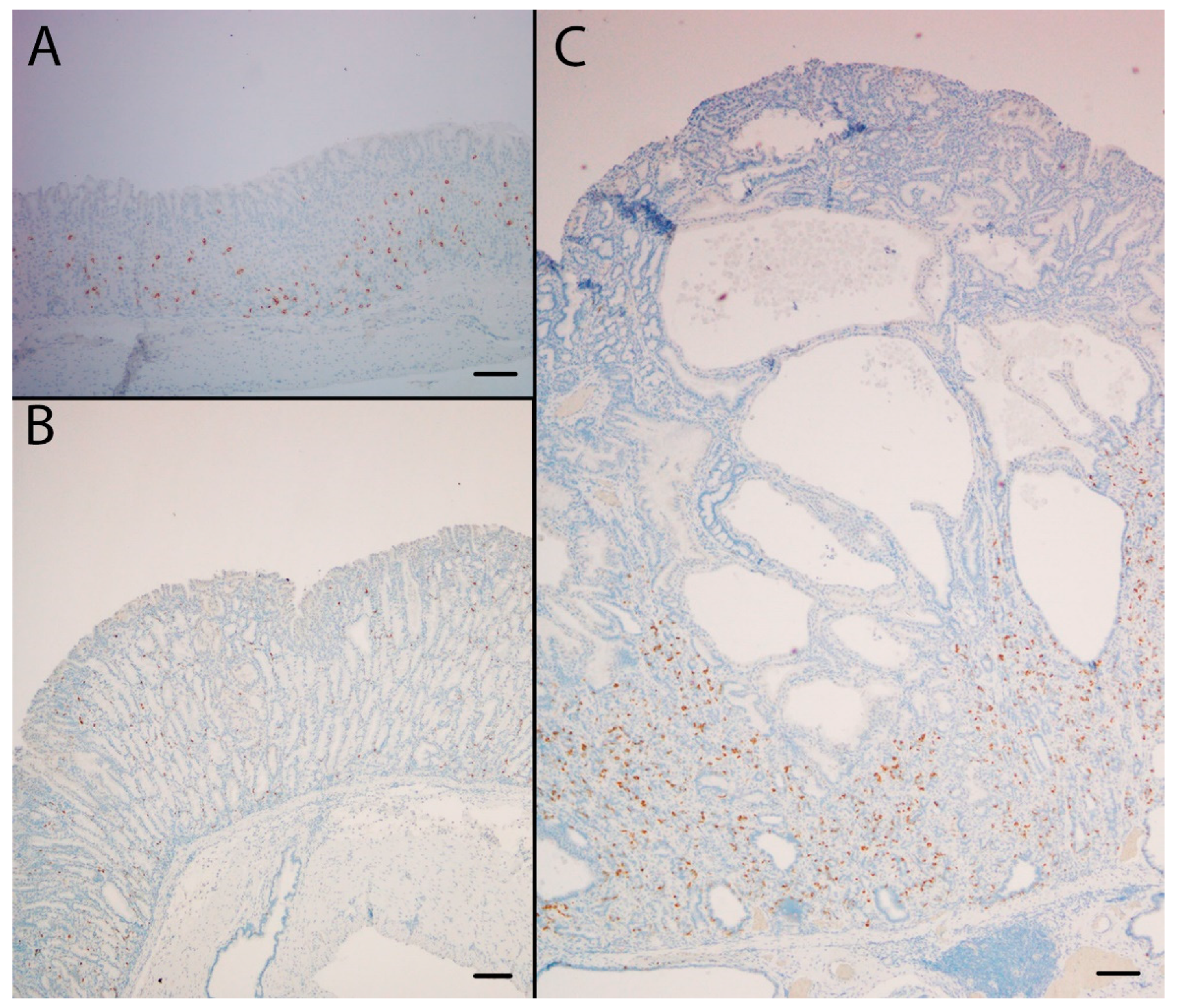
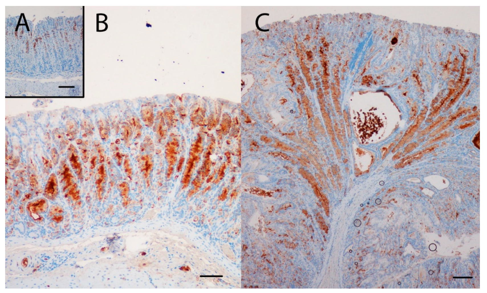
2.4. NTZ Reduced NE Cell Hyperplasia, Whereas SPEM Was Unaffected in KO Mice
2.5. Global Gene Expression Profiles Were Influenced More by Genotype Than Administration of NTZ
3. Discussion
4. Materials and Methods
4.1. Animals and Genotyping
4.2. Study Design
4.3. Intragastric pH and Plasma Gastrin at Termination
4.4. Histopathology, Immunohistochemistry (IHC) and in situ Hybridization (ISH)
4.5. Whole-Genome Gene Expression Analysis
Supplementary Materials
Author Contributions
Funding
Acknowledgments
Conflicts of Interest
Abbreviations
| CgA | Chromogranin A |
| EC | Enterochromaffin |
| ECL | Enterochromaffin-like |
| GEO | Gene Expression Omnibus |
| GRP | Gastrin-releasing peptide |
| GRP-R | Gastrin-releasing peptide receptor |
| HDC | Histidine decarboxylase |
| IHC | Immunohistochemistry |
| IM | Intestinal metaplasia |
| ISH | In-situ hybridization |
| KO | Knockout |
| MIAME | Minimum Information About a Microarray Experiment |
| NE | Neuroendocrine |
| NET | Neuroendocrine tumour |
| NTZ | Netazepide |
| PEG | Polyethylene glycol |
| PPI | Proton pump inhibitor |
| SPEM | Spasmolytic polypeptide-expression metaplasia |
| WT | Wild-type |
References
- De la Coba Ortiz, C.; Arguelles Arias, F.; Martin de Argila de Prados, C.; Judez Gutierrez, J.; Linares Rodriguez, A.; Ortega Alonso, A.; Rodriguez de Santiago, E.; Rodriguez-Tellez, M.; Vera Mendoza, M.I.; Aguilera Castro, L.; et al. Proton-pump inhibitors adverse effects: a review of the evidence and position statement by the Sociedad Espanola de Patologia Digestiva. Rev. Esp. Enferm. Dig. 2016, 108, 207–224. [Google Scholar] [CrossRef] [PubMed]
- Pottegard, A.; Broe, A.; Hallas, J.; de Muckadell, O.B.; Lassen, A.T.; Lodrup, A.B. Use of proton-pump inhibitors among adults: a Danish nationwide drug utilization study. Therap. Adv. Gastroenterol. 2016, 9, 671–678. [Google Scholar] [CrossRef] [PubMed]
- el-Zimaity, H.M.; Jackson, F.W.; Graham, D.Y. Fundic gland polyps developing during omeprazole therapy. Am. J. Gastroenterol. 1997, 92, 1858–1860. [Google Scholar] [PubMed]
- Jalving, M.; Koornstra, J.J.; Wesseling, J.; Boezen, H.M.; De Jong, S.; Kleibeuker, J.H. Increased risk of fundic gland polyps during long-term proton pump inhibitor therapy. Aliment. Pharmacol. Ther. 2006, 24, 1341–1348. [Google Scholar] [CrossRef] [PubMed]
- Brusselaers, N.; Wahlin, K.; Engstrand, L.; Lagergren, J. Maintenance therapy with proton pump inhibitors and risk of gastric cancer: a nationwide population-based cohort study in Sweden. BMJ Open 2017, 7, e017739. [Google Scholar] [CrossRef]
- Niikura, R.; Hayakawa, Y.; Hirata, Y.; Yamada, A.; Fujishiro, M.; Koike, K. Long-term proton pump inhibitor use is a risk factor of gastric cancer after treatment for Helicobacter pylori: a retrospective cohort analysis. Gut 2018, 67, 1908–1910. [Google Scholar] [CrossRef]
- Cheung, K.S.; Chan, E.W.; Wong, A.Y.S.; Chen, L.; Wong, I.C.K.; Leung, W.K. Long-term proton pump inhibitors and risk of gastric cancer development after treatment for Helicobacter pylori: a population-based study. Gut 2018, 67, 28–35. [Google Scholar] [CrossRef]
- Murphy, G.; Abnet, C.C.; Choo-Wosoba, H.; Vogtmann, E.; Weinstein, S.J.; Taylor, P.R.; Mannisto, S.; Albanes, D.; Dawsey, S.M.; Rehfeld, J.F.; et al. Serum gastrin and cholecystokinin are associated with subsequent development of gastric cancer in a prospective cohort of Finnish smokers. Int. J. Epidemiol. 2017, 46, 914–923. [Google Scholar] [CrossRef]
- Fossmark, R.; Sagatun, L.; Nordrum, I.S.; Sandvik, A.K.; Waldum, H.L. Hypergastrinemia is associated with adenocarcinomas in the gastric corpus and shorter patient survival. APMIS 2015, 123, 509–514. [Google Scholar] [CrossRef]
- Waldum, H.L.; Sandvik, A.K.; Brenna, E.; Petersen, H. Gastrin-histamine sequence in the regulation of gastric acid secretion. Gut 1991, 32, 698–701. [Google Scholar] [CrossRef]
- Ferris, H.A.; Carroll, R.E.; Lorimer, D.L.; Benya, R.V. Location and characterization of the human GRP receptor expressed by gastrointestinal epithelial cells. Peptides 1997, 18, 663–672. [Google Scholar] [CrossRef]
- Kim, M.K.; Park, H.J.; Kim, Y.; Bae, S.K.; Kim, H.J.; Bae, M.K. Involvement of Gastrin-Releasing Peptide Receptor in the Regulation of Adipocyte Differentiation in 3T3-L1 Cells. Int. J. Mol. Sci. 2018, 19, 3971. [Google Scholar] [CrossRef] [PubMed]
- Ghosh, A.; Woolum, K.; Kothandaraman, S.; Tweedle, M.F.; Kumar, K. Stability Evaluation and Stabilization of a Gastrin-Releasing Peptide Receptor (GRPR) Targeting Imaging Pharmaceutical. Molecules 2019, 24, 2878. [Google Scholar] [CrossRef] [PubMed]
- Patel, O.; Shulkes, A.; Baldwin, G.S. Gastrin-releasing peptide and cancer. Biochim. Biophys. Acta 2006, 1766, 23–41. [Google Scholar] [CrossRef]
- Goldenring, J.R.; Nam, K.T.; Mills, J.C. The origin of pre-neoplastic metaplasia in the stomach: chief cells emerge from the Mist. Exp. Cell Res. 2011, 317, 2759–2764. [Google Scholar] [CrossRef]
- Petersen, C.P.; Mills, J.C.; Goldenring, J.R. Murine Models of Gastric Corpus Preneoplasia. Cell. Mol. Gastroenterol. Hepatol 2017, 3, 11–26. [Google Scholar] [CrossRef]
- Nomura, S.; Yamaguchi, H.; Ogawa, M.; Wang, T.C.; Lee, J.R.; Goldenring, J.R. Alterations in gastric mucosal lineages induced by acute oxyntic atrophy in wild-type and gastrin-deficient mice. Am. J. Physiol. Gastrointest. Liver Physiol. 2005, 288, G362–G375. [Google Scholar] [CrossRef]
- Aikou, S.; Fukushima, Y.; Ogawa, M.; Nozaki, K.; Saito, T.; Matsui, T.; Goldenring, J.R.; Kaminishi, M.; Nomura, S. Alterations in gastric mucosal lineages before or after acute oxyntic atrophy in gastrin receptor and H2 histamine receptor-deficient mice. Dig. Dis. Sci. 2009, 54, 1625–1635. [Google Scholar] [CrossRef]
- Nozaki, K.; Weis, V.; Wang, T.C.; Falus, A.; Goldenring, J.R. Altered gastric chief cell lineage differentiation in histamine-deficient mice. Am. J. Physiol. Gastrointest. Liver Physiol. 2009, 296, G1211–G1220. [Google Scholar] [CrossRef]
- Aasarod, K.M.; Ramezanzadehkoldeh, M.; Shabestari, M.; Mosti, M.P.; Stunes, A.K.; Reseland, J.E.; Beisvag, V.; Eriksen, E.F.; Sandvik, A.K.; Erben, R.G.; et al. Skeletal effects of a gastrin receptor antagonist in H+/K+ATPase beta subunit KO mice. J. Endocrinol. 2016, 230, 251–262. [Google Scholar] [CrossRef]
- Bakkelund, K.E.; Waldum, H.L.; Nordrum, I.S.; Hauso, O.; Fossmark, R. Long-term gastric changes in achlorhydric H(+)/K(+)-ATPase beta subunit deficient mice. Scand. J. Gastroenterol. 2010, 45, 1042–1047. [Google Scholar] [CrossRef] [PubMed]
- Scarff, K.L.; Judd, L.M.; Toh, B.H.; Gleeson, P.A.; Van Driel, I.R. Gastric H(+),K(+)-adenosine triphosphatase beta subunit is required for normal function, development, and membrane structure of mouse parietal cells. Gastroenterology 1999, 117, 605–618. [Google Scholar] [CrossRef]
- Vange, P.; Bruland, T.; Doseth, B.; Fossmark, R.; Sousa, M.M.L.; Beisvag, V.; Sordal, O.; Qvigstad, G.; Waldum, H.L.; Sandvik, A.K.; et al. The cytoprotective protein clusterin is overexpressed in hypergastrinemic rodent models of oxyntic preneoplasia and promotes gastric cancer cell survival. PloS ONE 2017, 12, e0184514. [Google Scholar] [CrossRef]
- Fossmark, R.; Qvigstad, G.; Martinsen, T.C.; Hauso, O.; Waldum, H.L. Animal models to study the role of long-term hypergastrinemia in gastric carcinogenesis. J. Biomed. Biotech. 2011, 2011, 975479. [Google Scholar] [CrossRef]
- Hayakawa, Y.; Jin, G.; Wang, H.; Chen, X.; Westphalen, C.B.; Asfaha, S.; Renz, B.W.; Ariyama, H.; Dubeykovskaya, Z.A.; Takemoto, Y.; et al. CCK2R identifies and regulates gastric antral stem cell states and carcinogenesis. Gut 2015, 64, 544–553. [Google Scholar] [CrossRef]
- Bakke, I.; Qvigstad, G.; Sandvik, A.K.; Waldum, H.L. The CCK-2 receptor is located on the ECL cell, but not on the parietal cell. Scand. J. Gastroenterol. 2001, 36, 1128–1133. [Google Scholar] [CrossRef]
- D’Adda, T.; Corleto, V.; Pilato, F.P.; Baggi, M.T.; Robutti, F.; Delle Fave, G.; Bordi, C. Quantitative ultrastructure of endocrine cells of oxyntic mucosa in Zollinger-Ellison syndrome. Correspondence with light microscopic findings. Gastroenterology 1990, 99, 17–26. [Google Scholar] [CrossRef]
- Chen, D.; Uribe, A.; Håkanson, R.; Sundler, F. Somatostatin cells in the oxyntic mucosa of hypo- or hypergastrinemic rats. Scand. J. Gastroenterol. 1992, 27, 479–482. [Google Scholar] [CrossRef]
- Martinsen, T.C.; Kawase, S.; Hakanson, R.; Torp, S.H.; Fossmark, R.; Qvigstad, G.; Sandvik, A.K.; Waldum, H.L. Spontaneous ECL cell carcinomas in cotton rats: natural course and prevention by a gastrin receptor antagonist. Carcinogenesis 2003, 24, 1887–1896. [Google Scholar] [CrossRef]
- Nilsson, O.; Wangberg, B.; Johansson, L.; Theodorsson, E.; Dahlstrom, A.; Modlin, I.M.; Ahlman, H. Rapid induction of enterochromaffinlike cell tumors by histamine2-receptor blockade. Am. J. Pathol. 1993, 142, 1173–1185. [Google Scholar]
- Kidd, M.; Siddique, Z.L.; Drozdov, I.; Gustafsson, B.I.; Camp, R.L.; Black, J.W.; Boyce, M.; Modlin, I.M. The CCK(2) receptor antagonist, YF476, inhibits Mastomys ECL cell hyperplasia and gastric carcinoid tumor development. Regul. Pept. 2010, 162, 52–60. [Google Scholar] [CrossRef]
- Takaishi, S.; Cui, G.; Frederick, D.M.; Carlson, J.E.; Houghton, J.; Varro, A.; Dockray, G.J.; Ge, Z.; Whary, M.T.; Rogers, A.B.; et al. Synergistic inhibitory effects of gastrin and histamine receptor antagonists on Helicobacter-induced gastric cancer. Gastroenterology 2005, 128, 1965–1983. [Google Scholar] [CrossRef] [PubMed]
- Sagatun, L.; Mjones, P.; Jianu, C.S.; Boyce, M.; Waldum, H.L.; Fossmark, R. The gastrin receptor antagonist netazepide (YF476) in patients with type 1 gastric enterochromaffin-like cell neuroendocrine tumours: Review of long-term treatment. Eur. J. Gastroenterol. Hepatol. 2016, 28, 1345–1352. [Google Scholar] [CrossRef]
- Moore, A.R.; Boyce, M.; Steele, I.A.; Campbell, F.; Varro, A.; Pritchard, D.M. Netazepide, a gastrin receptor antagonist, normalises tumour biomarkers and causes regression of type 1 gastric neuroendocrine tumours in a nonrandomised trial of patients with chronic atrophic gastritis. PLoS ONE 2013, 8, e76462. [Google Scholar] [CrossRef]
- Fossmark, R.; Sordal, O.; Jianu, C.S.; Qvigstad, G.; Nordrum, I.S.; Boyce, M.; Waldum, H.L. Treatment of gastric carcinoids type 1 with the gastrin receptor antagonist netazepide (YF476) results in regression of tumours and normalisation of serum chromogranin A. Aliment. Pharmacol. Ther. 2012, 36, 1067–1075. [Google Scholar] [CrossRef] [PubMed]
- Elsborg, L.; Mosbech, J. Pernicious anaemia as a risk factor in gastric cancer. Acta Med. Scand. 1979, 206, 315–318. [Google Scholar] [CrossRef] [PubMed]
- Sjoblom, S.M.; Sipponen, P.; Karonen, S.L.; Jarvinen, H.J. Mucosal argyrophil endocrine cells in pernicious anaemia and upper gastrointestinal carcinoid tumours. J. Clin. Pathol. 1989, 42, 371–377. [Google Scholar] [CrossRef] [PubMed]
- Sjöblom, S.M.; Sipponen, P.; Karonen, S.L.; Jarvinen, H.J. Argyrophilic cell hyperplasia and carcinoid tumours in oxyntic mucosa of the stomach. Dependence on duration of pernicious aniaemia. Eur. J. Gastroenterol. Hepatol. 1991, 31, 153–157. [Google Scholar]
- Brusselaers, N.; Lagergren, J.; Engstrand, L. Duration of use of proton pump inhibitors and the risk of gastric and oesophageal cancer. Cancer Epidemiol. 2019, 62, 101585. [Google Scholar] [CrossRef]
- Laurén, P. The two histological main types of gastric carcinoma: diffuse and so-called intestinal-type carcinoma. APMIS 6: 209–222. Acta Pathol. Microbiol. Scand. 1965, 6, 31–49. [Google Scholar] [CrossRef]
- Henson, D.E.; Dittus, C.; Younes, M.; Nguyen, H.; Albores-Saavedra, J. Differential trends in the intestinal and diffuse types of gastric carcinoma in the United States, 1973-2000: increase in the signet ring cell type. Arch. Pathol. Lab. Med. 2004, 128, 765–770. [Google Scholar] [PubMed]
- Correa, P. Precursors of gastric and esophageal cancer. Cancer 1982, 50, 2554–2565. [Google Scholar] [PubMed]
- Goldenring, J.R.; Nam, K.T.; Wang, T.C.; Mills, J.C.; Wright, N.A. Spasmolytic polypeptide-expressing metaplasia and intestinal metaplasia: time for reevaluation of metaplasias and the origins of gastric cancer. Gastroenterology 2010, 138, 2207–2210. [Google Scholar] [CrossRef] [PubMed]
- Hansson, L.E.; Nyren, O.; Hsing, A.W.; Bergstrom, R.; Josefsson, S.; Chow, W.H.; Fraumeni Jr, J.F.; Adami, H.O. The risk of stomach cancer in patients with gastric or duodenal ulcer disease. N. Engl. J. Med. 1996, 335, 242–249. [Google Scholar] [CrossRef] [PubMed]
- Uemura, N.; Okamoto, S.; Yamamoto, S.; Matsumura, N.; Yamaguchi, S.; Yamakido, M.; Taniyama, K.; Sasaki, N.; Schlemper, R.J. Helicobacter pylori infection and the development of gastric cancer. N. Engl. J. Med. 2001, 345, 784–789. [Google Scholar] [CrossRef] [PubMed]
- Banks, M.; Graham, D.; Jansen, M.; Gotoda, T.; Coda, S.; di Pietro, M.; Uedo, N.; Bhandari, P.; Pritchard, D.M.; Kuipers, E.J.; et al. British Society of Gastroenterology guidelines on the diagnosis and management of patients at risk of gastric adenocarcinoma. Gut 2019, 68, 1545–1575. [Google Scholar] [CrossRef]
- Pimentel-Nunes, P.; Libanio, D.; Marcos-Pinto, R.; Areia, M.; Leja, M.; Esposito, G.; Garrido, M.; Kikuste, I.; Megraud, F.; Matysiak-Budnik, T.; et al. Management of epithelial precancerous conditions and lesions in the stomach (MAPS II): European Society of Gastrointestinal Endoscopy (ESGE), European Helicobacter and Microbiota Study Group (EHMSG), European Society of Pathology (ESP), and Sociedade Portuguesa de Endoscopia Digestiva (SPED) guideline update 2019. Endoscopy 2019, 51, 365–388. [Google Scholar]
- Nozaki, K.; Ogawa, M.; Williams, J.A.; Lafleur, B.J.; Ng, V.; Drapkin, R.I.; Mills, J.C.; Konieczny, S.F.; Nomura, S.; Goldenring, J.R. A molecular signature of gastric metaplasia arising in response to acute parietal cell loss. Gastroenterology 2008, 134, 511–522. [Google Scholar] [CrossRef]
- Wada, T.; Ishimoto, T.; Seishima, R.; Tsuchihashi, K.; Yoshikawa, M.; Oshima, H.; Oshima, M.; Masuko, T.; Wright, N.A.; Furuhashi, S.; et al. Functional role of CD44v-xCT system in the development of spasmolytic polypeptide-expressing metaplasia. Cancer Sci. 2013, 104, 1323–1329. [Google Scholar] [CrossRef]
- Franic, T.V.; Judd, L.M.; Robinson, D.; Barrett, S.P.; Scarff, K.L.; Gleeson, P.A.; Samuelson, L.C.; Van Driel, I.R. Regulation of gastric epithelial cell development revealed in H(+)/K(+)-ATPase beta-subunit- and gastrin-deficient mice. Am. J. Physiol. Gastrointest. Liver Physiol. 2001, 281, G1502–G1511. [Google Scholar] [CrossRef]
- Keeley, T.M.; Samuelson, L.C. Cytodifferentiation of the postnatal mouse stomach in normal and Huntingtin-interacting protein 1-related-deficient mice. Am. J. Physiol. Gastrointest. Liver Physiol. 2010, 299, G1241–G1251. [Google Scholar] [CrossRef]
- Karam, S.M.; Li, Q.; Gordon, J.I. Gastric epithelial morphogenesis in normal and transgenic mice. Am. J. Physiol. 1997, 272, G1209–G1220. [Google Scholar] [CrossRef] [PubMed]
- Willet, S.G.; Mills, J.C. Stomach Organ and Cell Lineage Differentiation: from Embryogenesis to Adult Homeostasis. Cell. Mol. Gastroenterol. Hepatol. 2016, 2, 546–559. [Google Scholar] [CrossRef] [PubMed]
- Huh, W.J.; Esen, E.; Geahlen, J.H.; Bredemeyer, A.J.; Lee, A.H.; Shi, G.; Konieczny, S.F.; Glimcher, L.H.; Mills, J.C. XBP1 controls maturation of gastric zymogenic cells by induction of MIST1 and expansion of the rough endoplasmic reticulum. Gastroenterology 2010, 139, 2038–2049. [Google Scholar] [CrossRef]
- Hayakawa, Y.; Ariyama, H.; Stancikova, J.; Sakitani, K.; Asfaha, S.; Renz, B.W.; Dubeykovskaya, Z.A.; Shibata, W.; Wang, H.; Westphalen, C.B.; et al. Mist1 Expressing Gastric Stem Cells Maintain the Normal and Neoplastic Gastric Epithelium and Are Supported by a Perivascular Stem Cell Niche. Cancer Cell 2015, 28, 800–814. [Google Scholar] [CrossRef] [PubMed]
- Aihara, E.; Matthis, A.L.; Karns, R.A.; Engevik, K.M.A.; Jiang, P.; Wang, J.; Yacyshyn, B.R.; Montrose, M.H. Epithelial Regeneration After Gastric Ulceration Causes Prolonged Cell-Type Alterations. Cell. Mol. Gastroenterol. Hepatol. 2016, 2, 625–647. [Google Scholar] [CrossRef]
- Goldenring, J.R. Pyloric metaplasia, pseudopyloric metaplasia, ulcer-associated cell lineage and spasmolytic polypeptide-expressing metaplasia: reparative lineages in the gastrointestinal mucosa. J. Pathol. 2018, 245, 132–137. [Google Scholar] [CrossRef]
- Thorsvik, S.; van Beelen Granlund, A.; Svendsen, T.D.; Bakke, I.; Royset, E.S.; Flo, T.H.; Damas, J.K.; Ostvik, A.E.; Bruland, T.; Sandvik, A.K. Ulcer-associated cell lineage expresses genes involved in regeneration and is hallmarked by high neutrophil gelatinase-associated lipocalin (NGAL) levels. J. Pathol. 2019, 248, 316–325. [Google Scholar] [CrossRef]
- Vange, P.; Bruland, T.; Munkvold, B.; Royset, E.S.; Gleave, M.; Bakke, I. Subtle Protective Roles of Clusterin in Gastric Metaplasia After Acute Oxyntic Atrophy. Cell. Mol. Gastroenterol. Hepatol. 2019, 7, 246–250. [Google Scholar] [CrossRef]
- Graham, D.Y.; Zou, W.Y. Guilt by association: intestinal metaplasia does not progress to gastric cancer. Curr. Opin. Gastroenterol. 2018, 34, 458–464. [Google Scholar] [CrossRef]
- Nam, K.T.; Lee, H.J.; Sousa, J.F.; Weis, V.G.; O’Neal, R.L.; Finke, P.E.; Romero-Gallo, J.; Shi, G.; Mills, J.C.; Peek, R.M., Jr.; et al. Mature chief cells are cryptic progenitors for metaplasia in the stomach. Gastroenterology 2010, 139, 2028–2037. [Google Scholar] [CrossRef]
- Tennant, S.M.; Hartland, E.L.; Phumoonna, T.; Lyras, D.; Rood, J.I.; Robins-Browne, R.M.; van Driel, I.R. Influence of gastric acid on susceptibility to infection with ingested bacterial pathogens. Infect. Immun. 2008, 76, 639–645. [Google Scholar] [CrossRef] [PubMed]
- Takinami, Y.; Yuki, H.; Nishida, A.; Akuzawa, S.; Uchida, A.; Takemoto, Y.; Ohta, M.; Satoh, M.; Semple, G.; Miyata, K. YF476 is a new potent and selective gastrin/cholecystokinin-B receptor antagonist in vitro and in vivo. Aliment. Pharmacol. Ther. 1997, 11, 113–120. [Google Scholar] [CrossRef] [PubMed]
- Boyce, M.; David, O.; Darwin, K.; Mitchell, T.; Johnston, A.; Warrington, S. Single oral doses of netazepide (YF476), a gastrin receptor antagonist, cause dose-dependent, sustained increases in gastric pH compared with placebo and ranitidine in healthy subjects. Aliment. Pharmacol. Ther. 2012, 36, 181–189. [Google Scholar] [CrossRef]
- Kleveland, P.M.; Haugen, S.E.; Waldum, H.L. The preparation of bioactive 125I-gastrin, using Iodo-gen as oxidizing agent, and the use of this tracer in receptor studies. Scand. J. Gastroenterol. 1985, 20, 569–576. [Google Scholar] [CrossRef] [PubMed]
- Dixon, M.F.; Genta, R.M.; Yardley, J.H.; Correa, P. Classification and grading of gastritis. The updated Sydney System. International Workshop on the Histopathology of Gastritis, Houston 1994. Am. J. Surg. Pathol. 1996, 20, 1161–1181. [Google Scholar] [CrossRef] [PubMed]
- Weibel, E.R. Stereological principles for morphometry in electron microscopic cytology. Int. Rev. Cytol. 1969, 26, 235–302. [Google Scholar]
- Bray, N.L.; Pimentel, H.; Melsted, P.; Pachter, L. Near-optimal probabilistic RNA-seq quantification. Nat. Biotechnol. 2016, 34, 525–527. [Google Scholar] [CrossRef]
- Weis, V.G.; Sousa, J.F.; Lafleur, B.J.; Nam, K.T.; Weis, J.A.; Finke, P.E.; Ameen, N.A.; Fox, J.G.; Goldenring, J.R. Heterogeneity in mouse spasmolytic polypeptide-expressing metaplasia lineages identifies markers of metaplastic progression. Gut 2013, 62, 1270–1279. [Google Scholar] [CrossRef]
- Lee, H.J.; Nam, K.T.; Park, H.S.; Kim, M.A.; Lafleur, B.J.; Aburatani, H.; Yang, H.K.; Kim, W.H.; Goldenring, J.R. Gene expression profiling of metaplastic lineages identifies CDH17 as a prognostic marker in early stage gastric cancer. Gastroenterology 2010, 139, 213–225. [Google Scholar] [CrossRef]
- O’Connor, D.T. Chromogranin: widespread immunoreactivity in polypeptide hormone producing tissues and in serum. Regul. Pept. 1983, 6, 263–280. [Google Scholar] [CrossRef]
- Wiedenmann, B.; Franke, W.W. Identification and localization of synaptophysin, an integral membrane glycoprotein of Mr 38,000 characteristic of presynaptic vesicles. Cell 1985, 41, 1017–1028. [Google Scholar] [CrossRef]
- Schmechel, D.; Marangos, P.J.; Brightman, M. Neurone-specific enolase is a molecular marker for peripheral and central neuroendocrine cells. Nature 1978, 276, 834–836. [Google Scholar] [CrossRef]
- Day, I.N. Enolases and PGP9.5 as tissue-specific markers. Biochem. Soc. Trans. 1992, 20, 637–642. [Google Scholar] [CrossRef]






| WT/PEG (n = 11) | WT/NTZ (n = 9) | KO/PEG (n = 9) | KO/NTZ (n = 11) | p-Value * | |
|---|---|---|---|---|---|
| Intramucosal cysts (no/cm (median (range)) | 0.0 (0.0–0.0) | 0.0 (0.0–0.0) | 3.8 (1.6–6.8) | 0.23 (0.0–1.3) | 0.0001 |
| Invasion of muscularis mucosa: | |||||
| No. of animals (n (%)) | 0 | 0 | 6 (66.7%) | 6 (54.5%) | |
| No. of invasions/animal (median (range)) | 0 | 0 | 1 (0–4) | 4 (0–12) | 0.046 |
| Inflammation score None Mild Moderate Severe | 0 0 0 0 | 0 0 0 0 | 2 3 4 0 | 7 4 0 0 | 0.046 |
| KO/PEG vs. WT/PEG | KO/PEG vs. KO/NTZ | ||||
|---|---|---|---|---|---|
| Target_ID | Gene Symbol | log2 Fold Change | q-Value | log 2 Fold Change | q-Value |
| ENSMUST00000109344 | Wfdc2 | 5.05 | 3.0814 × 10−15 | −0.59 | 0.7467 |
| ENSMUST00000115119 | Muc4 | 5.03 | 4.0540 × 10−33 | −0.26 | 0.4441 |
| ENSMUST00000027675 | Pigr | 4.97 | 2.2607 × 10−54 | 0.04 | 0.9695 |
| ENSMUST00000060833 | Gpa33 | 4.18 | 4.7773 × 10−11 | −0.01 | 0.9952 |
| ENSMUST00000045706 | Cftr | 3.96 | 4.6493 × 10−24 | −0.38 | 0.6774 |
| ENSMUST00000017867 | Wfdc2 | 3.84 | 8.4954 × 10−51 | −0.49 | 0.3777 |
| ENSMUST00000189314 | Muc6 | 3.17 | 1.5584 × 10−20 | −0.86 | 0.1857 |
| ENSMUST00000033414 | Slc6a14 | 3.10 | 7.2586 × 10−9 | 0.40 | 0.7606 |
| ENSMUST00000023520 | Muc13 | 3.03 | 3.6130 × 10−19 | 1.27 | 0.0156 |
| ENSMUST00000166860 | Gpa33 | 2.86 | 1.5576 × 10−10 | 0.34 | 0.7540 |
| ENSMUST00000098668 | Ceacam1 | 2.82 | 7.8390 × 10−16 | −0.20 | 0.8293 |
| ENSMUST00000165147 | Muc5b | 2.56 | 8.9582 × 10−13 | 1.35 | 0.0128 |
| ENSMUST00000171080 | Fignl1 | 2.49 | 0.0004 | 1.03 | 0.4641 |
| ENSMUST00000189068 | Ly6a | 2.39 | 0.0001 | −0.17 | 0.9288 |
| ENSMUST00000022616 | Clu | 2.27 | 2.4223 × 10−25 | −0.08 | 0.8968 |
| ENSMUST00000061829 | Cd14 | 2.20 | 2.2346 × 10−50 | 0.33 | 0.2595 |
| ENSMUST00000024826 | Tff2 | 2.05 | 5.3435 × 10−5 | −0.63 | 0.2658 |
| ENSMUST00000139156 | Akr1b10 | 1.94 | 0.0068 | 0.16 | 0.9409 |
| ENSMUST00000027366 | Vil1 | 1.88 | 1.5339 × 10−30 | 0.17 | 0.6503 |
| ENSMUST00000193391 | Il18r1 | 1.79 | 0.0001 | −0.16 | 0.9019 |
| ENSMUST00000066723 | Lgals4 | 1.67 | 1.6543 × 10−23 | 0.38 | 0.2317 |
| ENSMUST00000005218 | Cd44 | 1.67 | 0.0313 | 1.23 | 0.3969 |
| ENSMUST00000011178 | Slc5a1 | 1.59 | 2.2000 × 10−14 | −0.24 | 0.5989 |
| ENSMUST00000056117 | Itga2 | 1.44 | 0.0005 | 0.82 | 0.2941 |
| ENSMUST00000098666 | Ceacam1 | 1.41 | 0.0017 | 0.68 | 0.4358 |
| ENSMUST00000076648 | Fcgbp | 1.30 | 0.0050 | 0.67 | 0.4623 |
| ENSMUST00000027015 | Casp1 | 1.29 | 3.1977 × 10−5 | 0.43 | 0.4968 |
| ENSMUST00000062451 | Muc6 | 1.23 | 0.0004 | −0.67 | 0.3267 |
| ENSMUST00000017743 | Krt20 | 1.18 | 2.5460 × 10−7 | 0.28 | 0.5581 |
| ENSMUST00000161870 | Glipr1 | 1.17 | 0.0058 | 0.01 | 0.9985 |
| ENSMUST00000025647 | Pga5 | 1.08 | 0.0007 | 0.12 | 0.8895 |
| ENSMUST00000148005 | Mmp12 | 0.87 | 0.0238 | 0.38 | 0.6441 |
| ENSMUST00000032800 | Tyrobp | 0.87 | 1.0831 × 10−7 | 0.21 | 0.5450 |
| ENSMUST00000200880 | Cxcl17 | 0.73 | 1.0409 × 10−13 | 0.01 | 0.9697 |
| ENSMUST00000111194 | Cd44 | 0.59 | 0.0029 | −0.03 | 0.9541 |
| ENSMUST00000038069 | Ceacam10 | 0.53 | 0.0009 | 0.28 | 0.3423 |
| ENSMUST00000017530 | Traf4 | 0.40 | 5.1315 × 10−6 | −0.03 | 0.8775 |
| ENSMUST00000034304 | Hsd17b2 | 0.33 | 0.04474 | −0.48 | 0.3913 |
| ENSMUST00000049004 | Anpep | −0.42 | 0.0000 | 0.01 | 1.7276 |
| ENSMUST00000060747 | Bhlha15 | −1.19 | 2.0159 × 10−11 | 0.26 | 0.4639 |
| ENSMUST00000025585 | Gif | −2.11 | 1.3159 × 10−6 | −0.48 | 0.6294 |
| ENSMUST00000149623 | Xbp1 | −2.24 | 2.2991 × 10−7 | 0.36 | 0.7162 |
| ENSMUST00000144955 | Pgc | −10.43 | 6.6393 × 10−80 | −0.86 | 0.2757 |
| Target_ID | Gene Symbol | KO/PEG vs. WT/PEG | KO/NTZ vs. KO/PEG | ||
|---|---|---|---|---|---|
| Log2 Fold Change | q-Value | Log 2 Fold Change | q-Value | ||
| ENSMUST00000021610 | Chga | 1.02 | 8.3251 × 10−21 | −0.81 | 4.4936 × 10−11 |
| ENSMUST00000028838 | Hdc | 0.91 | 4.3816 | −1.35 | 2.1732 × 10−16 |
| ENSMUST00000026084 | Slc18a2 | 0.35 | 0.0376 | −0.58 | 0.0179 |
| ENSMUST00000033189 | Cckbr | 1.02 | 1.8375 × 10−10 | −0.70 | 0.0016 |
| ENSMUST00000004480 | Sst | −0.99 | 1.8398 × 10−6 | 0.78 | 0.0119 |
| ENSMUST00000112476 | Eno2 | 1.62 | 0.0109 | −1.92 | 0.1330 |
| ENSMUST00000031131 | Uchl1 | −1.02 | 0.0469 | 0.05 | 0.9709 |
| ENSMUST00000107669 | Tph1 | 2.16 | 6.5746 × 10−8 | 0.16 | 0.8868 |
| Target_ID | Gene Symbol | KO/PEG vs. KO/NTZ | WT/PEG vs. KO/PEG | ||
|---|---|---|---|---|---|
| Log2 Fold Change | q-Value | Log2 Fold Change | q-Value | ||
| ENSMUST00000049209 | Gc | −1.90 | 1.5098 × 10−21 | 0.42 | 0.0391 |
| ENSMUST00000028838 | Hdc | −1.35 | 2.1707 × 10−16 | 0.91 | 4.3816 × 10−9 |
| ENSMUST00000028826 | Chgb | −1.05 | 2.8712 × 10−14 | 0.68 | 1.6566 × 10−7 |
| ENSMUST00000021610 | Chga | −0.81 | 4.4903 × 10−11 | 1.02 | 8.3251 × 10−21 |
| ENSMUST00000159861 | Pappa2 | −1.41 | 2.5024 × 10−8 | 0.35 | 0.1301 |
| ENSMUST00000017488 | Vtn | −0.96 | 1.0605 × 10−21 | 2.15 | 0.0000 |
| ENSMUST00000125379 | Ndufa12 | −3.83 | 1.2607 × 10−7 | −1.79 | 0.0052 |
| ENSMUST00000128285 | Tfrc | −0.63 | 3.5205 × 10−7 | 0.87 | 1.6624 × 10−17 |
| ENSMUST00000023583 | Ahsg | −1.84 | 5.4799 × 10−7 | 0.72 | 0.0273 |
| ENSMUST00000050397 | Sprr2f | −2.15 | 6.5281 × 10−7 | 1.27 | 0.0006 |
| ENSMUST00000019063 | Tm4sf5 | 1.00 | 1.5501 × 10−6 | −0.32 | 0.0939 |
| ENSMUST00000114474 | Plet1 | 0.61 | 1.5973 × 10−6 | 0.85 | 3.9671 × 10−16 |
| ENSMUST00000041096 | Pcsk1n | −1.16 | 2.2102 × 10−6 | −0.19 | 0.3898 |
| ENSMUST00000022075 | Pcsk1 | 1.14 | 2.5357 × 10−6 | 0.06 | 0.7982 |
| ENSMUST00000039559 | Thbs1 | 1.12 | 2.7234 × 10−6 | 0.52 | 0.0115 |
| ENSMUST00000021813 | Barx1 | −0.56 | 8.4929 × 10−6 | −0.04 | 0.7504 |
| ENSMUST00000063278 | Agt | 0.68 | 1.0863 × 10−5 | 1.62 | 1.0802 × 10−40 |
| ENSMUST00000041416 | Vnn1 | 1.12 | 1.8311 × 10−5 | 3.09 | 3.2814 × 10−52 |
| ENSMUST00000108858 | Sparc | 0.47 | 2.5356 × 10−5 | 0.11 | 0.2421 |
| ENSMUST00000025356 | Mal2 | 0.52 | 3.0993 × 10−5 | 0.04 | 0.7033 |
© 2020 by the authors. Licensee MDPI, Basel, Switzerland. This article is an open access article distributed under the terms and conditions of the Creative Commons Attribution (CC BY) license (http://creativecommons.org/licenses/by/4.0/).
Share and Cite
Aasarød, K.M.; Waldum, H.L.; Stunes, A.K.; Sandvik, A.K.; Flatberg, A.; Mjønes, P.; Syversen, U.; Bakke, I.; Fossmark, R. Gastric Corpus Mucosal Hyperplasia and Neuroendocrine Cell Hyperplasia, but not Spasmolytic Polypeptide-Expressing Metaplasia, Is Prevented by a Gastrin Receptor Antagonist in H+/K+ATPase Beta Subunit Knockout Mice. Int. J. Mol. Sci. 2020, 21, 927. https://doi.org/10.3390/ijms21030927
Aasarød KM, Waldum HL, Stunes AK, Sandvik AK, Flatberg A, Mjønes P, Syversen U, Bakke I, Fossmark R. Gastric Corpus Mucosal Hyperplasia and Neuroendocrine Cell Hyperplasia, but not Spasmolytic Polypeptide-Expressing Metaplasia, Is Prevented by a Gastrin Receptor Antagonist in H+/K+ATPase Beta Subunit Knockout Mice. International Journal of Molecular Sciences. 2020; 21(3):927. https://doi.org/10.3390/ijms21030927
Chicago/Turabian StyleAasarød, Kristin Matre, Helge Lyder Waldum, Astrid Kamilla Stunes, Arne Kristian Sandvik, Arnar Flatberg, Patricia Mjønes, Unni Syversen, Ingunn Bakke, and Reidar Fossmark. 2020. "Gastric Corpus Mucosal Hyperplasia and Neuroendocrine Cell Hyperplasia, but not Spasmolytic Polypeptide-Expressing Metaplasia, Is Prevented by a Gastrin Receptor Antagonist in H+/K+ATPase Beta Subunit Knockout Mice" International Journal of Molecular Sciences 21, no. 3: 927. https://doi.org/10.3390/ijms21030927
APA StyleAasarød, K. M., Waldum, H. L., Stunes, A. K., Sandvik, A. K., Flatberg, A., Mjønes, P., Syversen, U., Bakke, I., & Fossmark, R. (2020). Gastric Corpus Mucosal Hyperplasia and Neuroendocrine Cell Hyperplasia, but not Spasmolytic Polypeptide-Expressing Metaplasia, Is Prevented by a Gastrin Receptor Antagonist in H+/K+ATPase Beta Subunit Knockout Mice. International Journal of Molecular Sciences, 21(3), 927. https://doi.org/10.3390/ijms21030927

