Porphyromonas gingivalis HmuY and Streptococcus gordonii GAPDH—Novel Heme Acquisition Strategy in the Oral Microbiome
Abstract
1. Introduction
2. Results and Discussion
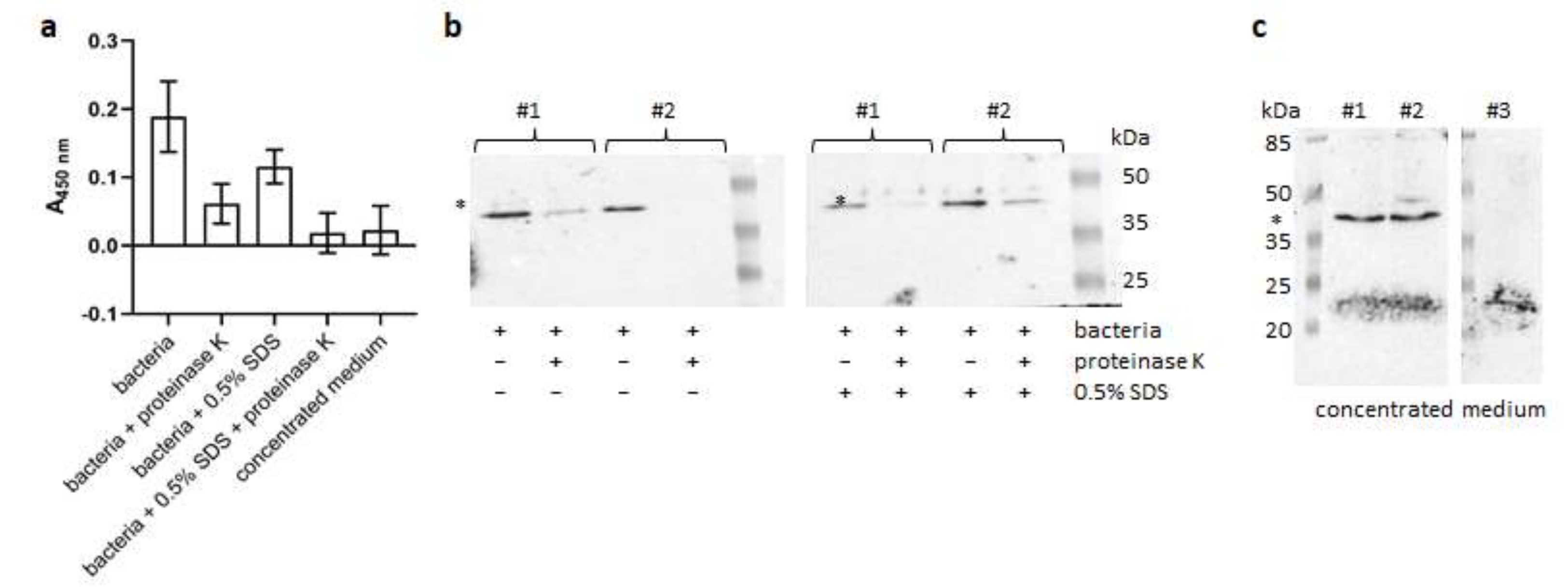
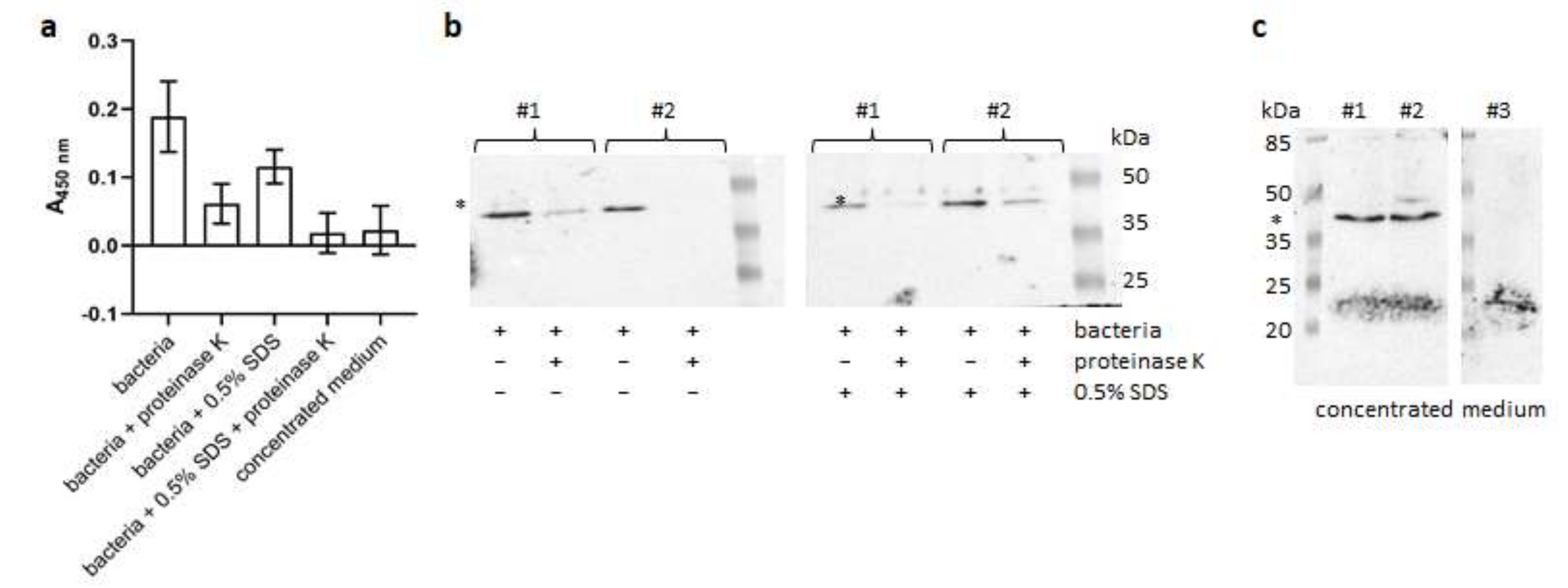
2.1. S. gordonii SgGAPDH Binds Heme
2.2. S. gordonii SgGAPDH Could be a Player in Heme Acquisition Strategy Used by Periodontopathogens
2.3. P. gingivalis HmuY May Participate in Co-Aggregation and Biofilm Formation with S. gordonii
3. Materials and Methods
3.1. Bacterial Strains and Growth Conditions
3.2. Co-Aggregation Assay
3.3. Overexpression, Purification and Site-Directed Mutagenesis
3.4. Susceptibility of SgGAPDH to Proteolytic Digestion
3.5. Analysis of Heme Binding
3.6. Detection of SgGAPDH Protein
3.7. Heme Sequestration Experiments
3.8. Reverse Transcriptase-Quantitative Polymerase Chain Reaction (RT-qPCR)
3.9. Circular Dichroism (CD) Analysis
3.10. Bioinformatics and Statistical Analyses
4. Conclusions
Supplementary Materials
Author Contributions
Funding
Conflicts of Interest
Abbreviations
| SgGAPDH | Streptococcus gordonii glyceraldehyde-3-phosphate dehydrogenase |
| HmuY | Porphyromonas gingivalis hemophore-like heme-binding protein |
| Tfo | HmuY homolog from Tannerella forsythia |
| PinO | HmuY homolog from Prevotella intermedia |
| PinA | HmuY homolog from Prevotella intermedia |
| Kgp | Porphyromonas gingivalis lysine-specific gingipain |
| RT-qPCR | reverse transcriptase-quantitative polymerase chain reaction |
References
- Wright, C.J.; Burns, L.H.; Jack, A.A.; Back, C.R.; Dutton, L.C.; Nobbs, A.H.; Lamont, R.J.; Jenkinson, H.F. Microbial interactions in building of communities. Mol. Oral Microbiol. 2013, 28, 83–191. [Google Scholar] [CrossRef] [PubMed]
- Dewhirst, F.E.; Chen, T.; Izard, J.; Paster, B.J.; Tanner, A.C.R.; Yu, W.H.; Lakshmanan, A.; Wade, W.G. The human oral microbiome. J. Bacteriol. 2010, 192, 5002–5017. [Google Scholar] [CrossRef] [PubMed]
- Rosan, B.; Lamont, R.J. Dental plaque formation. Microbes Infect. 2000, 2, 1599–1607. [Google Scholar] [CrossRef]
- Nelson, D.; Goldstein, J.M.; Boatright, K.; Harty, D.W.S.; Cook, S.L.; Hickman, P.J.; Potempa, J.; Travis, J.; Mayo, J.A. pH-regulated secretion of a glyceraldehyde-3-phosphate dehydrogenase from Streptococcus gordonii FSS2: Purification, characterization, and cloning of the gene encoding this enzyme. J. Dent. Res. 2001, 80, 371–377. [Google Scholar] [CrossRef] [PubMed]
- Mosailova, N.; Truong, J.; Dietrich, T.; Ashurst, J. Streptococcus gordonii: A rare cause of infective endocarditis. Case Rep. Infect. Dis. 2019, 2019, 7127848. [Google Scholar] [CrossRef] [PubMed]
- Hajishengallis, G.; Darveau, R.P.; Curtis, M.A. The keystone pathogen hypothesis. Nat. Rev. Microbiol. 2012, 10, 717–725. [Google Scholar] [CrossRef] [PubMed]
- Socransky, S.S.; Haffajee, A.D.; Cugini, M.A.; Smith, C.; Kent, R.L., Jr. Microbial complexes in subgingival plaque. J. Clin. Periodontol. 1998, 25, 134–144. [Google Scholar] [CrossRef] [PubMed]
- Llambes, F.; Arias-Herrera, S.; Caffesse, R. Relationship between diabetes and periodontal infection. World J. Diabetes 2015, 6, 927–935. [Google Scholar] [CrossRef] [PubMed]
- Dominy, S.S.; Lynch, C.; Ermini, F.; Benedyk, M.; Marczyk, A.; Konradi, A.; Nguyen, M.; Haditsch, U.; Raha, D.; Griffin, C.; et al. Porphyromonas gingivalis in Alzheimer’s disease brains: Evidence for disease causation and treatment with small-molecule inhibitors. Sci. Adv. 2019, 5, eaau3333. [Google Scholar] [CrossRef] [PubMed]
- El-Kadmiri, N.; Slassi, I.; El Moutawakil, B.; Nadifi, S.; Tadevosyan, A.; Hachem, A.; Soukri, A. Glyceraldehyde-3-phosphate dehydrogenase (GAPDH) and Alzheimer’s disease. Pathol. Biol. 2014, 62, 333–336. [Google Scholar] [CrossRef] [PubMed]
- Pancholi, V.; Chhatwal, G.S. Housekeeping enzymes as virulence factors for pathogens. Int. J. Med. Microbiol. 2003, 293, 391–401. [Google Scholar] [CrossRef] [PubMed]
- Chhatwal, G.S. Anchorless adhesins and invasins of Gram-positive bacteria: A new class of virulence factors. Trends Microbiol. 2002, 10, 205–208. [Google Scholar] [CrossRef]
- Henderson, B. An overview of protein moonlighting in bacterial infection. Biochem. Soc. Trans. 2014, 42, 1720–1727. [Google Scholar] [CrossRef] [PubMed]
- Barber, R.D.; Harmer, D.W.; Coleman, R.A.; Clark, B.J. GAPDH as a housekeeping gene: Analysis of GAPDH mRNA expression in a panel of 72 human tissues. Physiol. Genom. 2005, 21, 389–395. [Google Scholar] [CrossRef] [PubMed]
- Seidler, N.W. Basic biology of GAPDH. Adv. Exp. Med. Biol. 2013, 985, 1–36. [Google Scholar] [PubMed]
- Sirover, M.A. Structural analysis of glyceraldehyde-3-phosphate dehydrogenase functional diversity. Int. J. Biochem. Cell Biol. 2014, 57, 20–26. [Google Scholar] [CrossRef] [PubMed]
- Malhotra, H.; Patidar, A.; Boradia, V.; Kumar, R.; Kumar, A.; Nimbalkar, R.D.; Gani, Z.; Kaur, R.; Garg, P.; Raje, M.; et al. Mycobacterium tuberculosis glyceraldehyde-3-phosphate dehydrogenase (GAPDH) functions as a receptor for human lactoferrin. Front. Cell. Infect. Microbiol. 2017, 7, 245. [Google Scholar] [CrossRef] [PubMed]
- Boradia, V.M.; Malhotra, H.; Thakkar, J.S.; Tillu, V.A.; Vuppala, B.; Patil, P.; Sheokand, N.; Sharma, P.; Chauhan, A.S.; Raje, M.; et al. Mycobacterium tuberculosis acquires iron by cell-surface sequestration and internalization of human holo-transferrin. Nat. Commun. 2014, 5, 4730. [Google Scholar] [CrossRef] [PubMed]
- Sweeny, E.A.; Singh, A.B.; Chakravarti, R.; Martinez-Guzman, O.; Saini, A.; Haque, M.M.; Garee, G.; Dans, P.D.; Hanibal, L.; Reddi, A.R.; et al. Glyceraldehyde-3-phosphate dehydrogenase is a chaperone that allocates labile heme in cells. J. Biol. Chem. 2018, 293, 14557–14568. [Google Scholar] [CrossRef] [PubMed]
- Oliveira, L.; Madureira, P.; Andrade, E.B.; Bouaboud, A.; Morello, E.; Ferreira, P.; Poyart, C.; Trieu-Cuot, P.; Dramsi, S. Group B Streptococcus GAPDH is released upon cell lysis, associates with bacterial surface, and induces apoptosis in murine macrophages. PLoS ONE 2012, 7, e29963. [Google Scholar] [CrossRef] [PubMed]
- Kainulainen, V.; Korhonen, T.K. Dancing to another tune-adhesive moonlighting proteins in bacteria. Biology 2014, 3, 178–204. [Google Scholar] [CrossRef] [PubMed]
- Madureira, P.; Baptista, M.; Vieira, M.; Magalhaes, V.; Camelo, A.; Oliveira, L.; Ribeiro, A.; Tavares, D.; Trieu-Cuot, P.; Vilanova, M.; et al. Streptococcus agalactiae GAPDH is a virulence-associated immunomodulatory protein. J. Immunol. 2007, 178, 1379–1387. [Google Scholar] [CrossRef] [PubMed]
- White, M.R.; Garcin, E.D. D-glyceraldehyde-3-phosphate dehydrogenase structure and function. Subcell. Biochem. 2017, 83, 413–453. [Google Scholar] [PubMed]
- Yun, M.; Park, C.G.; Kim, J.Y.; Park, H.W. Structural analysis of glyceraldehyde-3-phosphate dehydrogenase from Escherichia coli: Direct evidence of substrate binding and cofactor-induced conformational changes. Biochemistry 2000, 39, 10702–10710. [Google Scholar] [CrossRef] [PubMed]
- Zhou, K.; Fan, X.; Li, Y.; Zhang, C.; Jin, T. High-resolution crystal structure of Streptococcus agalactiae glyceraldehyde-3-phosphate dehydrogenase. Acta Crystallogr. F Struct. Biol. Commun. 2018, 74, 236–244. [Google Scholar] [CrossRef] [PubMed]
- Schormann, N.; Ayres, C.A.; Fry, A.; Green, T.J.; Banerjee, S.; Ulett, G.C.; Chattopadhyay, D. Crystal structure of group B Streptococcus glyceraldehyde-3-phosphate dehydrogenase: Apo-form, binary and ternary complexes. PLoS ONE 2016, 11, e0165917. [Google Scholar] [CrossRef] [PubMed]
- Baker, B.Y.; Shi, W.; Wang, B.; Palczewski, K. High-resolution crystal structures of the photoreceptor glyceraldehyde-3-phosphate dehydrogenase (GAPDH) with three and four-bound NAD molecules. Prot. Sci. 2014, 23, 1629–1639. [Google Scholar] [CrossRef] [PubMed]
- Ayres, C.A.; Schormann, N.; Senkovich, O.; Fry, A.; Banerjee, S.; Ulett, G.C.; Chattopadhyay, D. Structure of Streptococcus agalactiae glyceraldehyde-3-phosphate dehydrogenase holoenzyme reveals a novel surface. Acta Crystallogr. F Struct. Biol. Commun. 2014, 70, 1333–1339. [Google Scholar] [CrossRef] [PubMed]
- Hannibal, L.; Collins, D.; Brassard, J.; Chakravarti, R.; Vempati, R.; Dorlet, P.; Santolini, J.; Dawson, J.H.; Stuehr, D.J. Heme binding properties of glyceraldehyde-3-phosphate dehydrogenase. Biochemistry 2012, 51, 8514–8529. [Google Scholar] [CrossRef] [PubMed]
- Vazquez-Zamorano, Z.E.; Gonzalez-Lopez, M.A.; Romero-Espejel, M.E.; Azuara-Liceaga, E.I.; Lopez-Casamichana, M.; Olivares-Trejo, J.J. Streptococcus pneumoniae secretes a glyceraldehyde-3-phosphate dehydrogenase, which binds haemoglobin and haem. BioMetals 2014, 27, 683–693. [Google Scholar] [CrossRef] [PubMed]
- Eichenbaum, Z.; Green, B.D.; Scott, J.R. Iron starvation causes release from the group A Streptococcus of the ADP-ribosylating protein called plasmin receptor or surface glyceraldehyde-3-phosphate dehydrogenase. Infect. Immun. 1996, 64, 1956–1960. [Google Scholar] [CrossRef] [PubMed]
- Brown, J.L.; Yates, E.; Bielecki, M.; Olczak, T.; Smalley, J.W. Potential role for Streptococcus gordonii-derived hydrogen peroxide in haem acquisition by Porphyromonas gingivalis. Mol. Oral Microbiol. 2018, 33, 322–335. [Google Scholar] [CrossRef] [PubMed]
- Hargrove, M.S.; Singleton, E.W.; Quilin, M.L.; Ortiz, L.A.; Phillips, G.N., Jr.; Olson, J.S.; Mathews, A.J. His64(E7)→Tyr apomyoglobin as a reagent for measuring rates of hemin dissociation. J. Biol. Chem. 1994, 269, 4207–4214. [Google Scholar] [PubMed]
- Smalley, J.W.; Olczak, T. Heme acquisition mechanisms of Porphyromonas gingivalis strategies used in a polymicrobial community in a heme-limited host environment. Mol. Oral Microbiol. 2017, 32, 1–23. [Google Scholar] [CrossRef] [PubMed]
- Li, X.; Wang, X.; Zhao, K.; Zhou, Z.; Zhao, C.; Yan, R.; Lin, L.; Lei, T.; Yin, J.; Wang, R.; et al. A novel approach for identifying the heme-binding proteins from mouse tissues. Genom. Proteomic Bioinform. 2003, 1, 78–86. [Google Scholar] [CrossRef]
- Huang, Y.; Zhang, P.; Yang, Z.; Wang, P.; Li, H. Interaction of glyceraldehyde-3-phosphate dehydrogenase and heme: The relevance of its biological function. Arch. Biochem. Biophys. 2017, 619, 54–61. [Google Scholar] [CrossRef] [PubMed]
- Reild, J.; Mekalanos, J.J. Lipoprotein e(P4) is essential for hemin uptake by Haemophilus influenzae. J. Exp. Med. 1996, 183, 621–629. [Google Scholar]
- Smalley, J.W.; Byrne, D.P.; Birss, A.J.; Wojtowicz, H.; Sroka, A.; Potempa, J.; Olczak, T. HmuY haemophore and gingipain proteases constitute a unique syntrophic system of haem acquisition by Porphyromonas gingivalis. PLoS ONE 2011, 6, e17182. [Google Scholar] [CrossRef]
- Byrne, D.P.; Potempa, J.; Olczak, T.; Smalley, J.W. Evidence of mutualism between two periodontal pathogens: Co-operative haem acquisition by the HmuY haemophore of Porphyromonas gingivalis and the cysteine protease interpain A (InpA) of Prevotella intermedia. Mol. Oral Microbiol. 2013, 28, 219–229. [Google Scholar] [CrossRef] [PubMed]
- Wojtowicz, H.; Wojaczynski, J.; Olczak, M.; Kroliczewski, J.; Latos-Grazynski, L.; Olczak, T. Heme environment of Porphyromonas gingivalis HmuY heme-binding protein. Biochem. Biophys. Res. Commun. 2009, 382, 178–182. [Google Scholar] [CrossRef] [PubMed]
- Wojtowicz, H.; Guevara, T.; Tallant, C.; Olczak, M.; Sroka, A.; Potempa, J.; Sola, M.; Olczak, T.; Gomis-Ruth, F.X. Unique structure and stability of HmuY, a novel heme-binding protein of Porphyromonas gingivalis. PLoS Pathog. 2009, 5, e1000419. [Google Scholar] [CrossRef] [PubMed]
- Bielecki, M.; Antonyuk, S.; Strange, R.W.; Smalley, J.W.; Mackiewicz, P.; Smiga, M.; Stepien, P.; Olczak, M.; Olczak, T. Tannerella forsythia Tfo belongs to Porphyromonas gingivalis HmuY-like family of proteins but differs in heme-binding properties. Biosci. Rep. 2018, 38, BSR20181325. [Google Scholar] [CrossRef] [PubMed]
- Bielecki, M.; Antonyuk, S.; Strange, R.W.; Sieminska, K.; Smalley, J.W.; Mackiewicz, P.; Smiga, M.; Cowan, M.; Capper, M.J.; Slezak, P.; et al. Prevotella intermedia produces two proteins homologous to Porphyromonas gingivalis HmuY but with different heme coordination mode. Biochem. J. 2020, 477, 381–405. [Google Scholar] [CrossRef] [PubMed]
- Ghigo, J.M.; Letoffe, S.; Wandersman, C. A new type of hemophore-dependent heme acquisition system of Serratia marcescens reconstituted in Escherichia coli. J. Bacteriol. 1997, 179, 3572–3579. [Google Scholar] [CrossRef] [PubMed]
- Rossi, M.S.; Fetherston, J.D.; Létoffé, S.; Carniel, E.; Perry, R.D.; Ghigo, J.M. Identification and characterization of the hemophore-dependent heme acquisition system of Yersinia pestis. Infect. Immun. 2001, 69, 6707–6717. [Google Scholar] [CrossRef] [PubMed]
- Benedyk, M.; Byrne, D.P.; Glowczyk, I.; Potempa, J.; Olczak, M.; Olczak, T.; Smalley, J.W. Pyocyanin: A contributory factor in haem acquisition and virulence enhancement of Porphyromonas gingivalis in the lung. PLoS ONE 2015, 10, e0118319. [Google Scholar] [CrossRef] [PubMed]
- Barnard, J.P.; Stinson, M.W. The alpha-hemolysin of Streptococcus gordonii is hydrogen peroxide. Infect. Immun. 1996, 64, 3853–3857. [Google Scholar] [CrossRef] [PubMed]
- Bickel, M.; Cimasoni, G.; Andersen, E.W. Flow and albumin content of early (pre-inflammatory) gingival crevicular fluid from human subjects. Arch. Oral Biol. 1985, 30, 599–602. [Google Scholar] [CrossRef]
- Bickel, M.; Cimasoni, G. The pH of human crevicular fluid measured by a new microanalytical technique. J. Periodontal Res. 1985, 20, 35–40. [Google Scholar] [CrossRef] [PubMed]
- Mark, W.J.L.; Rossetti, B.J.; Rieken, C.W.; Dewhirst, F.E.; Borisy, G.G. Biogeography of a human oral microbiome at the micron scale. Proc. Natl. Acad. Sci. USA 2016, 113, E791–E800. [Google Scholar] [CrossRef] [PubMed]
- Kolenbrander, P.E. Bacterial interactions and successions during plaque development. Periodontol. 2000 2006, 42, 47–79. [Google Scholar] [CrossRef] [PubMed]
- Lamont, R.J.; Hersey, S.G.; Rosan, B. Characterization of the adherence of Porphyromonas gingivalis to oral streptococci. Oral Microbiol. Immunol. 1992, 7, 193–197. [Google Scholar] [CrossRef] [PubMed]
- Kuboniwa, M.; Tribble, G.D.; James, C.E.; Kilic, A.O.; Tao, L.; Herzberg, M.C.; Shizukuishi, S.; Lamont, R.J. Streptococcus gordonii utilizes several distinct gene functions to recruit Porphyromonas gingivalis into a mixed community. Mol. Microbiol. 2006, 60, 121–139. [Google Scholar] [CrossRef] [PubMed]
- Maeda, K.; Nagata, H.; Kuboniwa, M.; Kataoka, K.; Nishida, N.; Tanaka, M.; Shizukuishi, S. Characterization of binding of Streptococcus oralis glyceraldehyde-3-phosphate dehydrogenase to Porphyromonas gingivalis major fimbriae. Infect. Immun. 2004, 72, 5475–5477. [Google Scholar] [CrossRef] [PubMed]
- Maeda, K.; Nagata, H.; Nonaka, A.; Kataoka, K.; Tanaka, M.; Shizukuishi, S. Oral streptococcal glyceraldehyde-3-phosphate dehydrogenase mediates interaction with Porphyromonas gingivalis fimbriae. Microbes Infect. 2004, 6, 1163–1170. [Google Scholar] [CrossRef] [PubMed]
- Maeda, K.; Nagata, M.; Yamamoto, Y.; Tanaka, M.; Minamino, N.; Shizukuishi, S. Glyceraldehyde-3-phosphate dehydrogenase of Streptococcus oralis functions as a coadhesion for Porphyromonas gingivalis major fimbriae. Infect. Immun. 2004, 72, 1341–1348. [Google Scholar] [CrossRef] [PubMed]
- Chawla, A.; Hirano, T.; Bainbridge, B.W.; Demuth, D.R.; Xie, H.; Lamont, R.J. Community signaling between Streptococcus gordonii and Porphyromonas gingivalis is controlled by the transcriptional regulator CdhR. Mol. Microbiol. 2010, 78, 1510–1522. [Google Scholar] [CrossRef] [PubMed]
- Daep, C.A.; Novak, E.A.; Lamont, R.J.; Demuth, D.R. Structural dissection and in vivo effectiveness of a peptide inhibitor of Porphyromonas gingivalis adherence to Streptococcus gordonii. Infect. Immun. 2011, 79, 67–74. [Google Scholar] [CrossRef] [PubMed]
- Jenkinson, H.F.; Demuth, D.R. Structure, function and immunogenicity of streptococcal antigen I/II polypeptides. Mol. Microbiol. 1997, 23, 183–190. [Google Scholar] [CrossRef] [PubMed]
- Amano, A.; Fujiwara, T.; Nagata, H.; Kuboniwa, M.; Sharma, A.; Sojar, H.T.; Genco, R.J.; Hamada, S.; Shizukuishi, S. Porphyromonas gingivalis fimbriae mediate coaggregation with Streptococcus oralis through specific domains. J. Dent. Res. 1997, 76, 852–857. [Google Scholar] [CrossRef] [PubMed]
- Lamont, R.J.; El-Sabaeny, A.; Park, Y.; Cook, G.S.; Costerton, J.W.; Demuth, D.R. Role of the Streptococcus gordonii SspB protein in the development of Porphyromonas gingivalis biofilms on streptococcal substrates. Microbiology 2002, 148, 1627–1636. [Google Scholar] [CrossRef] [PubMed]
- Park, Y.; Simionato, M.R.; Sekiya, K.; Murakami, Y.; James, D.; Chen, W.; Hackett, M.; Yoshimura, F.; Demuth, D.R.; Lamont, R.J. Short fimbriae of Porphyromonas gingivalis and their role in co-adhesion with Streptococcus gordonii. Infect. Immun. 2005, 73, 3983–3989. [Google Scholar] [CrossRef] [PubMed]
- Daep, C.A.; Lamont, R.J.; Demuth, D.R. Interaction of Porphyromonas gingivalis with oral streptococci requires a motif that resembles the eukaryotic nuclear receptor box protein-protein interaction domain. Infect. Immun. 2008, 76, 3273–3280. [Google Scholar] [CrossRef] [PubMed]
- Kuboniwa, M.; Hendrickson, E.L.; Xia, Q.; Wang, T.; Xie, H.; Hackett, M.; Lamont, R.J. Proteomics of Porphyromonas gingivalis within a model oral microbial community. BMC Microbiol. 2009, 9, 98. [Google Scholar] [CrossRef] [PubMed]
- El-Awady, A.; de Sousa Rabelo, M.; Meghil, M.M.; Rajendran, M.; Elashiry, M.; Stadler, A.F.; Foz, A.M.; Susin, C.; Romito, G.A.; Arce, R.M.; et al. Polymicrobial synergy within oral biofilm promotes invasion of dendritic cells and survival of consortia members. NPJ Biofilms Microbiomes 2019, 5, 1–12. [Google Scholar] [CrossRef] [PubMed]
- Roky, M.; Trent, J.O.; Demuth, D.R. Identification of functional domains of the minor fimbrial antigen involved in the interaction of Porphyromonas gingivalis with oral streptococci. Mol. Oral Microbiol. 2020, 35, 66–77. [Google Scholar] [CrossRef] [PubMed]
- Love, R.M.; McMillan, M.D.; Park, Y.; Jenkinson, H.F. Coinvasion of dentinal tubules by Porphyromonas gingivalis and Streptococcus gordonii depends upon binding specificity of streptococcal antigen I/II adhesin. Infect. Immun. 2000, 68, 1359–1365. [Google Scholar] [CrossRef] [PubMed][Green Version]
- Deng, Z.L.; Sztajer, H.; Jarek, M.; Bhuju, S.; Wagner-Dobler, I. Worlds apart—Transcriptome profiles of key oral microbes in the periodontal pocket compared to single laboratory culture reflect synergistic interactions. Front. Microbiol. 2018, 9, 124. [Google Scholar] [CrossRef] [PubMed]
- Simionato, M.R.; Tucker, C.M.; Kuboniwa, M.; Lamont, G.; Demuth, D.R.; Tribble, G.D.; Lamont, R.J. Porphyromonas gingivalis genes involved in community development with Streptococcus gordonii. Infect. Immun. 2006, 74, 6419–6428. [Google Scholar] [CrossRef] [PubMed]
- Simpson, W.; Olczak, T.; Genco, C.A. Characterization and expression of HmuR, a TonB-dependent haemoglobin receptor of Porphyromonas gingivalis. J. Bacteriol. 2000, 182, 5737–5748. [Google Scholar] [CrossRef] [PubMed]
- Olczak, T.; Sroka, A.; Potempa, J.; Olczak, M. Porphyromonas gingivalis HmuY and HmuR: Further characterization of a novel mechanism of heme utilization. Arch. Microbiol. 2008, 189, 197–210. [Google Scholar] [CrossRef] [PubMed]
- Smiga, M.; Stepien, P.; Olczak, M.; Olczak, T. PgFur participates differentially in expression of virulence factors in more virulent A7436 and less virulent ATCC 33277 Porphyromonas gingivalis strains. BMC Microbiol. 2019, 19, 127. [Google Scholar] [CrossRef] [PubMed]
- Smiga, M.; Bielecki, M.; Olczak, M.; Smalley, J.W.; Olczak, T. Anti-HmuY antibodies specifically recognize Porphyromonas gingivalis HmuY protein but not homologous proteins in other periodontopathogens. PLoS ONE 2015, 10, e0117508. [Google Scholar] [CrossRef] [PubMed]
- Smiga, M.; Bielecki, M.; Olczak, M.; Olczak, T. Porphyromonas gingivalis PgFur is a member of a novel Fur subfamily with non-canonical function. Front. Cell. Infect. Microbiol. 2019, 9, 233. [Google Scholar] [CrossRef] [PubMed]
- Olczak, T.; Wojtowicz, H.; Ciuraszkiewicz, J.; Olczak, M. Species specificity, surface exposure, protein expression, immunogenicity, and participation in biofilm formation of Porphyromonas gingivalis HmuY. BMC Microbiol. 2010, 10, 134. [Google Scholar] [CrossRef] [PubMed]
- Kelley, L.A.; Mezulis, S.; Yates, C.M.; Wass, M.N.; Sternberg, M.J. The Phyre2 web portal for protein modeling, prediction and analysis. Nat. Protoc. 2015, 10, 845–858. [Google Scholar] [CrossRef] [PubMed]
- Xu, D.; Zhang, Y. Improving the physical realism and structural accuracy of protein models by a two-step atomic-level energy minimization. Biophys. J. 2011, 101, 2525–2534. [Google Scholar] [CrossRef] [PubMed]
- Guex, N.; Peitsch, M.C. SWISS-MODEL and the Swiss-PdbViewer: An environment for comparative protein modeling. Electrophoresis 1997, 18, 2714–2723. [Google Scholar] [CrossRef] [PubMed]










© 2020 by the authors. Licensee MDPI, Basel, Switzerland. This article is an open access article distributed under the terms and conditions of the Creative Commons Attribution (CC BY) license (http://creativecommons.org/licenses/by/4.0/).
Share and Cite
Ślęzak, P.; Śmiga, M.; Smalley, J.W.; Siemińska, K.; Olczak, T. Porphyromonas gingivalis HmuY and Streptococcus gordonii GAPDH—Novel Heme Acquisition Strategy in the Oral Microbiome. Int. J. Mol. Sci. 2020, 21, 4150. https://doi.org/10.3390/ijms21114150
Ślęzak P, Śmiga M, Smalley JW, Siemińska K, Olczak T. Porphyromonas gingivalis HmuY and Streptococcus gordonii GAPDH—Novel Heme Acquisition Strategy in the Oral Microbiome. International Journal of Molecular Sciences. 2020; 21(11):4150. https://doi.org/10.3390/ijms21114150
Chicago/Turabian StyleŚlęzak, Paulina, Michał Śmiga, John W. Smalley, Klaudia Siemińska, and Teresa Olczak. 2020. "Porphyromonas gingivalis HmuY and Streptococcus gordonii GAPDH—Novel Heme Acquisition Strategy in the Oral Microbiome" International Journal of Molecular Sciences 21, no. 11: 4150. https://doi.org/10.3390/ijms21114150
APA StyleŚlęzak, P., Śmiga, M., Smalley, J. W., Siemińska, K., & Olczak, T. (2020). Porphyromonas gingivalis HmuY and Streptococcus gordonii GAPDH—Novel Heme Acquisition Strategy in the Oral Microbiome. International Journal of Molecular Sciences, 21(11), 4150. https://doi.org/10.3390/ijms21114150

