Laccase Production Optimization from Recombinant E. coli BL21 Codon Plus Containing Novel Laccase Gene from Bacillus megaterium for Removal of Wastewater Textile Dye
Abstract
1. Introduction
2. Results
2.1. Isolation of Laccase-Producing Bacteria from Soil
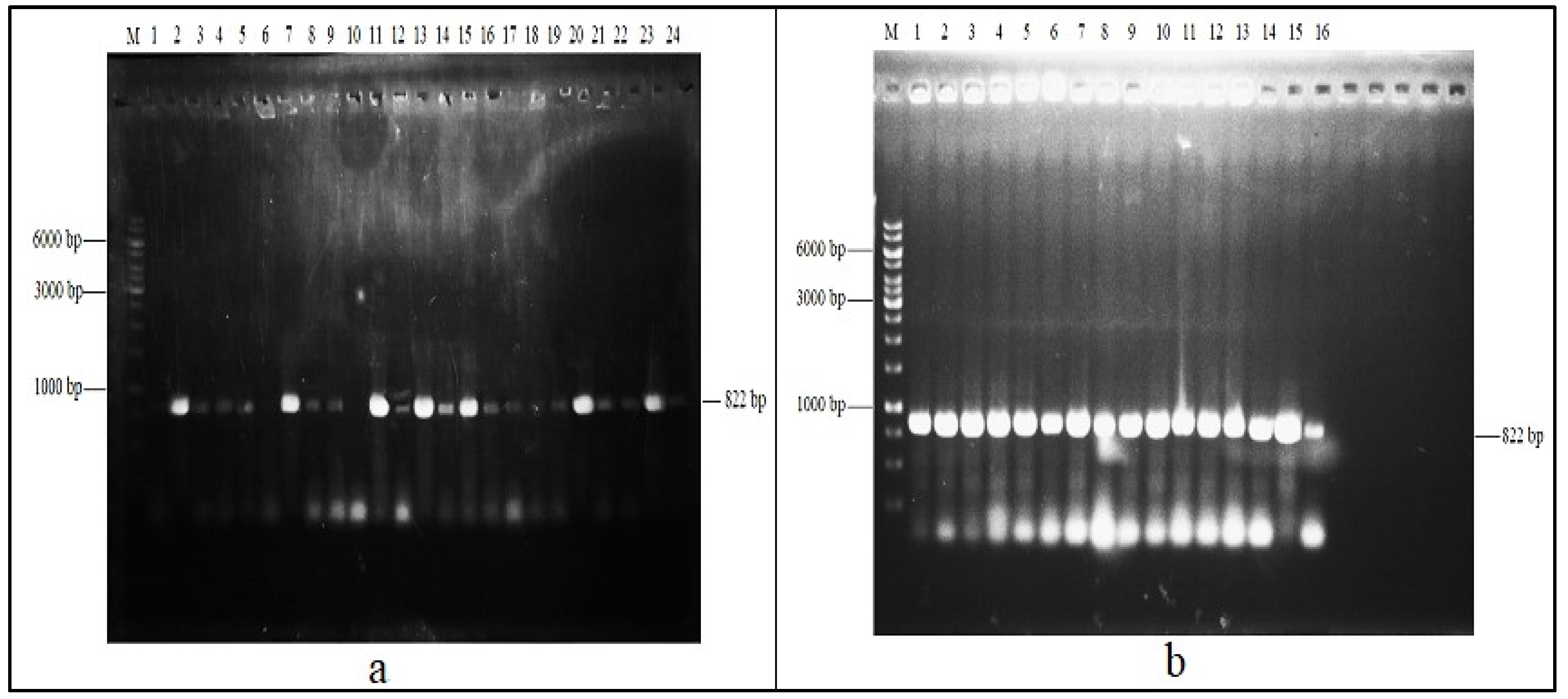
2.2. Cloning of Laccase Gene from Locally Isolated Bacillus megaterium
2.3. Expression of Recombinant Laccase (rILac)
2.4. Optimization of rILac Production
2.4.1. Effect of Medium, Fermentation Time, pH, Carbon Source and Its Concentration
2.4.2. Effect of Nitrogen Source, Its Concentration and Inoculum Size
2.4.3. Inducer Type, Its Concentration, Induction Time and Copper Ion Concentration
2.5. Dye Removal
FTIR and UV–Vis Spectrophotometric Analysis of the Dyes
3. Discussion
4. Materials and Methods
4.1. Chemicals
4.2. Isolation of Laccase-Producing Bacteria from Soil
4.3. Cloning of Laccase Gene from Locally Isolated Strain
4.4. Expression of Recombinant Laccase
4.5. Optimization of Laccase Production from Recombinant E. coli
4.6. Dye Removal
FTIR and UV–Vis Spectrophotometric Analysis of the Dyes
5. Conclusions
Author Contributions
Funding
Institutional Review Board Statement
Informed Consent Statement
Data Availability Statement
Acknowledgments
Conflicts of Interest
References
- Sriram, G.; Bendre, A.; Mariappan, E.; Altalhi, T.; Kigga, M.; Ching, Y.C.; Jung, H.Y.; Bhaduri, B.; Kurkuri, M. Recent trends in the application of metal-organic frameworks (MOFs) for the removal of toxic dyes and their removal mechanism-a review. Sustain. Mater. Technol. 2022, 31, e00378. [Google Scholar] [CrossRef]
- Ahmed, M.A.; Mohamed, A.A. A systematic review of layered double hydroxide-based materials for environmental remediation of heavy metals and dye pollutants. Inorg. Chem. Commun. 2023, 148, 110325. [Google Scholar] [CrossRef]
- Munir, S.R. Domestic Lobbying for External Change: Textile Sector and Pakistan’s Entry into Generalised System of Preferences Plus. J. Asian Afr. Stud. 2023, 00219096231192314. [Google Scholar] [CrossRef]
- Puspita, K.; Chiari, W.; Abdulmadjid, S.N.; Idroes, R.; Iqhrammullah, M. Four decades of laccase research for wastewater treatment: Insights from bibliometric analysis. Int. J. Environ. Res. Public Health 2022, 20, 308. [Google Scholar] [CrossRef]
- Yadav, A.; Khera, K.; Mehrotra, R.; Verma, P.; Yadav, D.; Kudanga, T. Laccase engineering: Tailoring laccases for effective and efficient catalysis. In Bacterial Laccases; Academic Press: Cambridge, MA, USA, 2024; pp. 103–124. [Google Scholar]
- Zerva, A.; Simić, S.; Topakas, E.; Nikodinovic-Runic, J. Applications of microbial laccases: Patent review of the past decade (2009–2019). Catalysts 2019, 9, 1023. [Google Scholar] [CrossRef]
- De Gonzalo, G.; Lavandera, I. Enzymatic Commercial Sources. In Biocatalysis for Practitioners: Techniques, Reactions and Applications; Wiley: Hoboken, NJ, USA, 2021; pp. 467–485. [Google Scholar]
- Osma, J.F.; Toca-Herrera, J.L.; Rodríguez-Couto, S. Uses of laccases in the food industry. Enzym. Res. 2010, 2010, 918761. [Google Scholar] [CrossRef]
- Sharma, P.; Qanungo, K. Challenges in effluents treatment containing dyes. Adv. Res. Text. Eng. 2022, 7, 1075. [Google Scholar]
- Kolya, H.; Kang, C.W. Toxicity of Metal Oxides, Dyes, and Dissolved Organic Matter in Water: Implications for the Environment and Human Health. Toxics 2024, 12, 111. [Google Scholar] [CrossRef]
- Magalhães, F.F.; Pereira, A.F.; Cristóvão, R.O.; Barros, R.A.; Faria, J.L.; Silva, C.G.; Freire, M.G.; Tavares, A.P. Recent Developments and Challenges in the Application of Fungal Laccase for the Biodegradation of Textile Dye Pollutants. Mini-Rev. Org. Chem. 2024, 21, 609–632. [Google Scholar] [CrossRef]
- Kolak, S.; Birhanlı, E.; Boran, F.; Bakar, B.; Ulu, A.; Yeşilada, Ö.; Ateş, B. Tailor-made novel electrospun polycaprolactone/polyethyleneimine fiber membranes for laccase immobilization: An all-in-one material to biodegrade textile dyes and phenolic compounds. Chemosphere 2023, 313, 137478. [Google Scholar] [CrossRef]
- Dos Santos, P.M.; Baruque, J.R.; de Souza Lira, R.K.; Leite, S.G.; Do Nascimento, R.P.; Borges, C.P.; Wojcieszak, R.; Itabaiana, I., Jr. Corn cob as a green support for laccase immobilization—Application on decolorization of Remazol Brilliant Blue R. Int. J. Mol. Sci. 2022, 23, 9363. [Google Scholar] [CrossRef] [PubMed]
- Sun, X.; Bai, R.; Zhang, Y.; Wang, Q.; Fan, X.; Yuan, J.; Cui, L.; Wang, P. Laccase-catalyzed oxidative polymerization of phenolic compounds. Appl. Biochem. Biotechnol. 2013, 171, 1673–1680. [Google Scholar] [CrossRef] [PubMed]
- Munk, L.; Andersen, M.L.; Meyer, A.S. Influence of mediators on laccase catalyzed radical formation in lignin. Enzym. Microb. Technol. 2018, 116, 48–56. [Google Scholar] [CrossRef] [PubMed]
- Gavryushov, S.; Kuzmich, N.N.; Polyakov, K.M. Quantum Mechanical Study of Oxygen Ligands Protonation for the Stable States of the Laccase Active Site. Int. J. Mol. Sci. 2023, 24, 2990. [Google Scholar] [CrossRef]
- Jeyabalan, J.; Veluchamy, A.; Kumar, A.; Chandrasekar, R.; Narayanasamy, S. A review on the laccase assisted decolourization of dyes: Recent trends and research progress. J. Taiwan Inst. Chem. Eng. 2023, 151, 105081. [Google Scholar] [CrossRef]
- d‘Acunzo, F.; Galli, C.; Masci, B. Oxidation of phenols by laccase and laccase-mediator systems: Solubility and steric issues. Eur. J. Biochem. 2002, 269, 5330–5335. [Google Scholar] [CrossRef] [PubMed]
- Bibi, I.; Bhatti, H.N.; Asgher, M. Comparative study of natural and synthetic phenolic compounds as efficient laccase mediators for the transformation of cationic dye. Biochem. Eng. J. 2011, 56, 225–231. [Google Scholar] [CrossRef]
- Gu, Y.; Yuan, L.; Jia, L.; Xue, P.; Yao, H. Recent developments of a co-immobilized laccase–mediator system: A review. RSC Adv. 2021, 11, 29498–29506. [Google Scholar] [CrossRef]
- Murugadoss, G.; Kumar, D.D.; Kumar, M.R.; Venkatesh, N.; Sakthivel, P. Silver decorated CeO2 nanoparticles for rapid photocatalytic degradation of textile rose bengal dye. Sci. Rep. 2021, 11, 1080. [Google Scholar] [CrossRef]
- Lops, C.; Ancona, A.; Di Cesare, K.; Dumontel, B.; Garino, N.; Canavese, G.; Hérnandez, S.; Cauda, V. Sonophotocatalytic degradation mechanisms of Rhodamine B dye via radicals generation by micro-and nano-particles of ZnO. Appl. Catal. Environ. 2019, 243, 629–640. [Google Scholar] [CrossRef]
- Vinuth, M.; Naik, H.B.; Vinoda, B.M.; Pradeepa, S.M.; Kumar, G.A.; Sekhar, K.C. Rapid removal of hazardous Rose Bengal dye using Fe (III)–Montmorillonite as an effective adsorbent in aqueous solution. J. Environ. Anal. Toxicol. 2016, 6, 1000355. [Google Scholar]
- Kismir, Y.; Aroguz, A.Z. Adsorption characteristics of the hazardous dye Brilliant Green on Saklıkent mud. Chem. Eng. J. 2011, 172, 199–206. [Google Scholar] [CrossRef]
- Ferreira, L.G.; Faria, R.X.; Ferreira, N.C.; Soares-Bezerra, R.J. Brilliant Blue Dyes in daily food: How could purinergic system be affected? Int. J. Food Sci. 2016, 2016, 7548498. [Google Scholar] [CrossRef]
- Paz, A.; Carballo, J.; Pérez, M.J.; Domínguez, J.M. Biological treatment of model dyes and textile wastewaters. Chemosphere 2017, 181, 168–177. [Google Scholar] [CrossRef]
- Tahir, H.; Alam, U. Lignocellulosic: Non-conventional low cost biosorbent for the elution of coomassie brilliant blue (R-250). Int. J. Chem. 2014, 6, 56. [Google Scholar] [CrossRef]
- Oladoye, P.O.; Ajiboye, T.O.; Omotola, E.O.; Oyewola, O.J. Methylene blue dye: Toxicity and potential elimination technology from wastewater. Results Eng. 2022, 16, 100678. [Google Scholar] [CrossRef]
- Mustafa, Z.; Haq, I.U.; Aftab, M.N.; Nawaz, A.; Rehman, A.U.; Akram, F. Cloning of Bacillus megaterium laccase gene isolated from textile waste water replenished soil. Pak. J. Bot. 2024, 56, 783–789. [Google Scholar] [CrossRef]
- Beedri, N.I.; Sayyed, S.A.; Jadkar, S.R.; Pathan, H.M. Rose Bengal sensitized niobium pentaoxide photoanode for dye sensitized solar cell application. AIP Conf. Proc. 2017, 1832, 040022. [Google Scholar]
- Kaur, S.; Sharma, S.; Umar, A.; Singh, S.; Mehta, S.K.; Kansal, S.K. Solar light driven enhanced photocatalytic degradation of brilliant green dye based on ZnS quantum dots. Superlattices Microstruct. 2017, 103, 365–375. [Google Scholar] [CrossRef]
- Devasia, S.; Nair, A.J. Screening of potent laccase producing organisms based on the oxidation pattern of different phenolic substrates. Int. J. Cur. Microbiol. App. Sci. 2016, 5, 127–137. [Google Scholar] [CrossRef][Green Version]
- Wang, C.; Cui, D.; Lu, L.; Zhang, N.; Yang, H.; Zhao, M.; Dai, S. Cloning and characterization of CotA laccase from Bacillus subtilis WD23 decoloring dyes. Ann. Microbiol. 2016, 66, 461–467. [Google Scholar] [CrossRef]
- Rosano, G.L.; Morales, E.S.; Ceccarelli, E.A. New tools for recombinant protein production in Escherichia coli: A 5-year update. Protein Sci. 2019, 28, 1412–1422. [Google Scholar] [CrossRef] [PubMed]
- Li, M.; Liao, X.; Zhang, D.; Du, G.; Chen, J. Yeast Extract Promotes Cell Growth and Induces Production of Polyvinyl Alcohol-Degrading Enzymes. Enzym. Res. 2011, 2011, 179819. [Google Scholar] [CrossRef] [PubMed]
- Studier, F.W. Protein production by auto-induction in high-density shaking cultures. Protein Expr. Purif. 2005, 41, 207–234. [Google Scholar] [CrossRef] [PubMed]
- Rosano, G.L.; Ceccarelli, E.A. Recombinant protein expression in Escherichia coli: Advances and challenges. Front. Microbiol. 2014, 5, 172. [Google Scholar] [CrossRef] [PubMed]
- Pezzella, C.; Giacobelli, V.G.; Lettera, V.; Olivieri, G.; Cicatiello, P.; Sannia, G.; Piscitelli, A. A step forward in laccase exploitation: Recombinant production and evaluation of techno-economic feasibility of the process. J. Biotechnol. 2017, 259, 175–181. [Google Scholar] [CrossRef]
- Itakura, K.; Tadaaki, H.; Crea, R.; Riggs, A.D.; Heyneker, H.L.; Bolivar, F.; Boyer, H.W. Expression in Escherichia coli of a chemically synthesized gene for the hormone somatostatin. 1977. Biotechnol. (Read. Mass.) 1992, 24, 84–91. [Google Scholar]
- Chesshyre, J.A.; Hipkiss, A.R. Low temperatures stabilize interferon α-2 against proteolysis in Methylophilus methylotrophus and Escherichia coli. Appl. Microbiol. Biotechnol. 1989, 31, 158–162. [Google Scholar] [CrossRef]
- Basheer, S.; Rashid, N.; Akram, M.S.; Akhtar, M. A highly stable laccase from Bacillus subtilis strain R5: Gene cloning and characterization. Biosci. Biotechnol. Biochem. 2019, 83, 436–445. [Google Scholar] [CrossRef]
- Maftukhah, S.; Abdullah, A. Cellulase enzyme production from rice straw using solid state fermentation and fungi Aspergillus niger ITBCC L74. MATEC Web Conf. 2018, 156, 01010. [Google Scholar] [CrossRef][Green Version]
- Wang, J.; Lu, L.; Feng, F. Combined strategies for improving production of a thermo-alkali stable laccase in Pichia pastoris. Electron. J. Biotechnol. 2017, 28, 7–13. [Google Scholar] [CrossRef]
- Wang, H.; Wang, F.; Wang, W.; Yao, X.; Wei, D.; Cheng, H.; Deng, Z. Improving the expression of recombinant proteins in E. coli BL21 (DE3) under acetate stress: An alkaline pH shift approach. PLoS ONE 2014, 9, e112777. [Google Scholar] [CrossRef] [PubMed]
- Niladevi, K.N.; Sukumaran, R.K.; Jacob, N.; Anisha, G.S.; Prema, P. Optimization of laccase production from a novel strain—Streptomyces psammoticus using response surface methodology. Microbiol. Res. 2009, 164, 105–113. [Google Scholar] [CrossRef] [PubMed]
- Russell, J.B. Another explanation for the toxicity of fermentation acids at low pH: Anion accumulation versus uncoupling. J. Appl. Bacteriol. 1992, 73, 363–370. [Google Scholar] [CrossRef]
- Kalyani, D.C.; Munk, L.; Mikkelsen, J.D.; Meyer, A.S. Molecular and biochemical characterization of a new thermostable bacterial laccase from Meiothermus ruber DSM 1279. RSC Adv. 2016, 6, 3910–3918. [Google Scholar] [CrossRef]
- Bren, A.; Park, J.O.; Towbin, B.D.; Dekel, E.; Rabinowitz, J.D.; Alon, U. Glucose becomes one of the worst carbon sources for E. coli on poor nitrogen sources due to suboptimal levels of cAMP. Sci. Rep. 2016, 6, 24834. [Google Scholar] [CrossRef]
- Kontro, J.; Lyra, C.; Koponen, M.; Kuuskeri, J.; Kähkönen, M.A.; Wallenius, J.; Wan, X.; Sipilä, J.; Mäkelä, M.R.; Nousiainen, P.; et al. Production of recombinant laccase from Coprinopsis cinerea and its effect in mediator promoted lignin oxidation at neutral pH. Front. Bioeng. Biotechnol. 2021, 9, 767139. [Google Scholar] [CrossRef]
- Brown, W.; Ralston, A.; Shaw, K. Positive transcription control: The glucose effect. Nat. Educ. 2008, 1, 202. [Google Scholar]
- Umar, A.; Ahmed, S. Optimization, purification and characterization of laccase from Ganoderma leucocontextum along with its phylogenetic relationship. Sci. Rep. 2022, 12, 2416. [Google Scholar] [CrossRef]
- Hausjell, J.; Kutscha, R.; Gesson, J.D.; Reinisch, D.; Spadiut, O. The effects of lactose induction on a plasmid-free E. coli T7 expression system. Bioengineering 2020, 7, 8. [Google Scholar] [CrossRef]
- Wang, T.N.; Zhao, M. A simple strategy for extracellular production of CotA laccase in Escherichia coli and decolorization of simulated textile effluent by recombinant laccase. Appl. Microbiol. Biotechnol. 2017, 101, 685–696. [Google Scholar] [CrossRef] [PubMed]
- Glick, B.R. Metabolic load and heterologous gene expression. Biotechnol. Adv. 1995, 13, 247–261. [Google Scholar] [CrossRef] [PubMed]
- Rizkia, P.R.; Silaban, S.; Hasan, K.; Kamara, D.S.; Subroto, T.; Soemitro, S.; Maksum, I.P. Effect of Isopropyl-β-D-thiogalactopyranoside concentration on prethrombin-2 recombinan gene expression in Escherichia coli ER2566. Procedia Chem. 2015, 17, 118–124. [Google Scholar] [CrossRef]
- Martin, K. A Deep Dive Into Induction with IPTG; Gold Biotechnology: St. Louis, MO, USA, 2020. [Google Scholar]
- Zhang, Y.; Dong, W.; Lv, Z.; Liu, J.; Zhang, W.; Zhou, J.; Xin, F.; Ma, J.; Jiang, M. Surface display of bacterial laccase CotA on Escherichia coli cells and its application in industrial dye decolorization. Mol. Biotechnol. 2018, 60, 681–689. [Google Scholar] [CrossRef]
- Ramos-Zúñiga, J.; Bruna, N.; Pérez-Donoso, J.M. Toxicity mechanisms of copper nanoparticles and copper surfaces on bacterial cells and viruses. Int. J. Mol. Sci. 2023, 24, 10503. [Google Scholar] [CrossRef]
- Navas, L.E.; Carballo, R.; Levin, L.; Berretta, M.F. Fast decolorization of azo dyes in alkaline solutions by a thermostable metal-tolerant bacterial laccase and proposed degradation pathways. Extremophiles 2020, 24, 705–719. [Google Scholar] [CrossRef]
- Manzoor, J.; Sharma, M. Impact of textile dyes on human health and environment. In Impact of Textile Dyes on Public Health and the Environment; IGI Global: Hershey, PA, USA, 2020; pp. 162–169. [Google Scholar]
- Strong, P.J.; Claus, H. Laccase: A review of its past and its future in bioremediation. Crit. Rev. Environ. Sci. Technol. 2011, 41, 373–434. [Google Scholar] [CrossRef]
- Ardila-Leal, L.D.; Poutou-Piñales, R.A.; Pedroza-Rodríguez, A.M.; Quevedo-Hidalgo, B.E. A brief history of colour, the environmental impact of synthetic dyes and removal by using laccases. Molecules 2021, 26, 3813. [Google Scholar] [CrossRef]
- Sharma, N.; Leung, I.K. Novel thermophilic bacterial laccase for the degradation of aromatic organic pollutants. Front. Chem. 2021, 9, 711345. [Google Scholar] [CrossRef]
- Lončar, N.; Božić, N.; Lopez-Santin, J.; Vujčić, Z. Bacillus amyloliquefaciens laccase—From soil bacteria to recombinant enzyme for wastewater decolorization. Bioresour. Technol. 2013, 147, 177–183. [Google Scholar] [CrossRef]
- Peter, J.K.; Kumar, P.V. Production optimization and partial purification of laccases from bacterial consortium. Int. J. Eng. Res. 2014, 3, 458–465. [Google Scholar]
- Góralczyk-Bińkowska, A.; Jasińska, A.; Długoński, A.; Płociński, P.; Długoński, J. Laccase activity of the ascomycete fungus Nectriella pironii and innovative strategies for its production on leaf litter of an urban park. PLoS ONE 2020, 15, 0231453. [Google Scholar]
- Khehra, M.S.; Saini, H.S.; Sharma, D.K.; Chadha, B.S.; Chimni, S.S. Decolorization of various azo dyes by bacterial consortium. Dyes Pigments 2005, 67, 55–61. [Google Scholar] [CrossRef]
- Ashour, S.; Abo-Ghalia, H. Optimization of environmental parameters on the decolorization of Reactive Brilliant Blue dye by yeast isolates from textile effluent. J. Sci. Res. Sci. 2015, 32 Pt 1, 122–146. [Google Scholar]
- Green, F.J. The Sigma-Aldrich Handbook of Stains, Dyes, and Indicators; Sigma-Aldrich: St. Louis, MO, USA, 1990. [Google Scholar]
- Dong, X.; Zhou, J.; Liu, Y. Peptone-induced biodecolorization of reactive brilliant blue (KN-R) by Rhodocyclus gelatinosus XL-1. Proc. Biochem. 2003, 39, 89–94. [Google Scholar] [CrossRef]
- Liu, S.T.; Huang, J.; Ye, Y.; Zhang, A.B.; Pan, L.; Chen, X.G. Microwave enhanced Fenton process for the removal of methylene blue from aqueous solution. Chem. Eng. J. 2013, 215, 586–590. [Google Scholar] [CrossRef]














Disclaimer/Publisher’s Note: The statements, opinions and data contained in all publications are solely those of the individual author(s) and contributor(s) and not of MDPI and/or the editor(s). MDPI and/or the editor(s) disclaim responsibility for any injury to people or property resulting from any ideas, methods, instructions or products referred to in the content. |
© 2024 by the authors. Licensee MDPI, Basel, Switzerland. This article is an open access article distributed under the terms and conditions of the Creative Commons Attribution (CC BY) license (https://creativecommons.org/licenses/by/4.0/).
Share and Cite
Mustafa, Z.; Haq, I.u.; Nawaz, A.; Alessa, A.H.; Aftab, M.N.; Alsaigh, A.A.; Rehman, A.u. Laccase Production Optimization from Recombinant E. coli BL21 Codon Plus Containing Novel Laccase Gene from Bacillus megaterium for Removal of Wastewater Textile Dye. Molecules 2024, 29, 5514. https://doi.org/10.3390/molecules29235514
Mustafa Z, Haq Iu, Nawaz A, Alessa AH, Aftab MN, Alsaigh AA, Rehman Au. Laccase Production Optimization from Recombinant E. coli BL21 Codon Plus Containing Novel Laccase Gene from Bacillus megaterium for Removal of Wastewater Textile Dye. Molecules. 2024; 29(23):5514. https://doi.org/10.3390/molecules29235514
Chicago/Turabian StyleMustafa, Zannara, Ikram ul Haq, Ali Nawaz, Abdulrahman H. Alessa, Muhammad Nauman Aftab, Ahmad A. Alsaigh, and Aziz ur Rehman. 2024. "Laccase Production Optimization from Recombinant E. coli BL21 Codon Plus Containing Novel Laccase Gene from Bacillus megaterium for Removal of Wastewater Textile Dye" Molecules 29, no. 23: 5514. https://doi.org/10.3390/molecules29235514
APA StyleMustafa, Z., Haq, I. u., Nawaz, A., Alessa, A. H., Aftab, M. N., Alsaigh, A. A., & Rehman, A. u. (2024). Laccase Production Optimization from Recombinant E. coli BL21 Codon Plus Containing Novel Laccase Gene from Bacillus megaterium for Removal of Wastewater Textile Dye. Molecules, 29(23), 5514. https://doi.org/10.3390/molecules29235514

