Sign in to use this feature.

Years

Between: -

Subjects

remove_circle_outline
remove_circle_outline
remove_circle_outline
remove_circle_outline
remove_circle_outline
remove_circle_outline
remove_circle_outline
remove_circle_outline
remove_circle_outline

Journals

remove_circle_outline
remove_circle_outline
remove_circle_outline
remove_circle_outline
remove_circle_outline
remove_circle_outline
remove_circle_outline
remove_circle_outline
remove_circle_outline
remove_circle_outline
remove_circle_outline
remove_circle_outline
remove_circle_outline
remove_circle_outline
remove_circle_outline
remove_circle_outline
remove_circle_outline
remove_circle_outline
remove_circle_outline
remove_circle_outline
remove_circle_outline

Article Types

Countries / Regions

remove_circle_outline
remove_circle_outline
remove_circle_outline
remove_circle_outline
remove_circle_outline
remove_circle_outline
remove_circle_outline
remove_circle_outline
remove_circle_outline
remove_circle_outline
remove_circle_outline
remove_circle_outline

Search Results (6,062)

Search Parameters:
Keywords = water reservoirs

Order results
Result details
Results per page
Select all
Export citation of selected articles as:
19 pages, 1679 KB  
Article
Study on Two-Phase Flow Behavior and Analysis of Influencing Factors Based on Unsteady Oil–Water Relative Permeability Experiment
by Liqiang Dong, Depeng Dong, Wenqiang Lou and Jie Cao
Processes 2026, 14(2), 346; https://doi.org/10.3390/pr14020346 (registering DOI) - 19 Jan 2026
Abstract
Late-stage sandstone reservoirs often exhibit flow behavior markedly different from early performance, reducing recovery. This study quantifies two-phase flow in Jilin Oilfield sandstone cores to support production optimization. An oil–water displacement apparatus was built and unsteady-state relative-permeability tests were performed on core plugs [...] Read more.
Late-stage sandstone reservoirs often exhibit flow behavior markedly different from early performance, reducing recovery. This study quantifies two-phase flow in Jilin Oilfield sandstone cores to support production optimization. An oil–water displacement apparatus was built and unsteady-state relative-permeability tests were performed on core plugs from multiple well blocks. Permeability, pressure gradient, water saturation, and displacement efficiency were tracked over a range of injection multiples. Water-phase relative-permeability curves classify three seepage types: concave-down (12 cores, 2.10–46.17 mD), linear (7 cores, 1.58–12.23 mD), and concave-up (3 cores, 8.74–30.73 mD). Permeability is strongly negatively correlated with irreducible water saturation (R2 = 0.84) and positively correlated with residual oil saturation (R2 = 0.58), two-phase flow interval (R2 = 0.51), and movable oil saturation (R2 = 0.89); other relationships are weak. An increasing pressure gradient markedly improves displacement efficiency in low-permeability cores. Higher injection multiples further raise displacement efficiency across all permeability classes, but gains diminish with increasing permeability. Displacement efficiency also increases with water cut when used as a flooding-stage indicator in these unsteady-state tests. Full article
(This article belongs to the Special Issue Advanced Research on Marine and Deep Oil & Gas Development)
Show Figures

Figure 1

22 pages, 1610 KB  
Article
Dual Water–Energy Investments for Resilient Agriculture: A Case Study from Irrigation in Italy
by Sofia Galeotti, Veronica Manganiello, Luca Cacchiarelli, Chiara Perelli, Michela Baldi and Raffaella Zucaro
World 2026, 7(1), 14; https://doi.org/10.3390/world7010014 - 19 Jan 2026
Abstract
This study investigates a water–energy investment in the Consorzio di Bonifica della Romagna Occidentale (Northern Italy) over the period 2015–2022, analysing how integrated irrigation and energy infrastructures can support agricultural resilience. In this area, pressurised irrigation systems are increasingly replacing traditional gravity-fed networks, [...] Read more.
This study investigates a water–energy investment in the Consorzio di Bonifica della Romagna Occidentale (Northern Italy) over the period 2015–2022, analysing how integrated irrigation and energy infrastructures can support agricultural resilience. In this area, pressurised irrigation systems are increasingly replacing traditional gravity-fed networks, enabling precise water distribution. However, their energy intensity raises operational costs and exposure to volatile electricity prices. To address these challenges, the research evaluates the coupling of pressurised irrigation with floating photovoltaic (PV) systems on irrigation reservoirs. Using plot-level economic data for vineyards and orchards, the analysis shows that, although pressurised systems entail higher costs in terms of Relative Water Cost (RWC) and Economic Water Productivity Ratio (EWPR), integrating them with PV production significantly improves economic performance. The findings show an average reduction in RWC of 1.44% for vineyards and 5.52% for orchards, and an average increase in EWPR of 38.51 units for vineyards and 24.81 units for orchards. This suggests that combining efficient irrigation systems with renewable energy could represent a viable pathway toward more sustainable water management. Policy implications may concern incentives for joint water–energy investments, adjustments to zero-injection rules, and broader reforms in agricultural, energy, and environmental policies. Full article
Show Figures

Graphical abstract

14 pages, 4235 KB  
Article
Investigation of Water Supply Through Renewable Energy During the Peak Tourist Season on Mykonos Island
by Athanasios-Foivos Papathanasiou, Ioannis Platanitis and Evangelos Baltas
Water 2026, 18(2), 259; https://doi.org/10.3390/w18020259 - 19 Jan 2026
Abstract
This research study examines a renewable energy system that has been designed to meet the water needs of Mykonos, a tourism-dependent island in Greece with high seasonal demand. The proposed system consists of 22 wind turbines of 2.3 MW each, 4 desalination units [...] Read more.
This research study examines a renewable energy system that has been designed to meet the water needs of Mykonos, a tourism-dependent island in Greece with high seasonal demand. The proposed system consists of 22 wind turbines of 2.3 MW each, 4 desalination units with a total capacity of 1400 m3/h and multiple pumped-hydro storage reservoirs with a total volume of 3,900,000 m3. Two operational scenarios were analyzed. Water production through desalination was prioritized in both scenarios; however, their difference lies in the way excess renewable energy has been allocated: that is either to storage or to electricity generation. The results indicate that water demand in Mykonos is almost fully met in both scenarios, reaching a coverage of 99.9%. However, there is a significant difference between the two scenarios regarding energy coverage, which corresponds to coverage rates of 73% and 79%, respectively. From an economic perspective, the marginal selling price of electricity is EUR/MWh 100 and the cost of desalinated water ranges from EUR/m3 0.48 to 0.91 depending on the operating scenario. Overall, the results demonstrate nearly complete water autonomy in both scenarios, whereas the second scenario is proven optimal in terms of energy coverage. This approach proves that integrated water and energy management can lower fossil fuel use and improve sustainability on islands with strong seasonal variations. Full article
(This article belongs to the Special Issue Advanced Perspectives on the Water–Energy–Food Nexus)
Show Figures

Figure 1

14 pages, 7040 KB  
Article
Mechanism of Hydrogen Bonding at Oil–Water Interfaces on Crude Oil Migration Under Nanoconfinement
by Xiong Liu, Yuchan Cheng, Lingxuan Peng, Yueqi Cui and Yue Gong
Processes 2026, 14(2), 343; https://doi.org/10.3390/pr14020343 - 19 Jan 2026
Abstract
Aiming at the unclear mechanisms of fluid migration in nanopore-throat systems within tight oil reservoirs, this study focuses on the microscopic interactions at the oil–water interface in nanoconfined spaces. Based on molecular dynamics simulation, water-flooding models within nanopores of tight oil reservoirs under [...] Read more.
Aiming at the unclear mechanisms of fluid migration in nanopore-throat systems within tight oil reservoirs, this study focuses on the microscopic interactions at the oil–water interface in nanoconfined spaces. Based on molecular dynamics simulation, water-flooding models within nanopores of tight oil reservoirs under varying salinity conditions were constructed. The microscopic flow behaviors of oil and water in the pores were investigated, and the mechanism by which interfacial hydrogen bonding influences displacement efficiency under nanoconfinement was elucidated. The results demonstrate that due to the strong hydrogen bonding interactions between acetic acid and water, it is impossible to establish an effective displacement process or form stable displacement pathways within the pores. The extensive hydrogen-bonding network formed by acetic acid molecules at the oil–water interface severely restricts the transport capacity of water. Salinity exerts a nonlinear regulatory effect on hydrogen bonding. High-salinity (246.5 g/L) waterflooding shortens hydrogen bond lengths, enhances local bonding strength, and restricts the expansion of water channels; low-salinity (21.9 g/L) waterflooding mitigates ionic interference, resulting in the highest diffusion capacity of alkanes. The diffusion coefficient increases by 1.4 times compared to that under high-salinity conditions, leading to the highest degree of crude oil mobility. The research findings provide important guidance for enhanced oil recovery in tight oil reservoirs. Full article
(This article belongs to the Section Petroleum and Low-Carbon Energy Process Engineering)
Show Figures

Figure 1

14 pages, 1242 KB  
Article
The Influence of Injection Modes on CO2 Flooding and Storage in Low-Permeability Reservoirs
by Wencheng Han
Energies 2026, 19(2), 480; https://doi.org/10.3390/en19020480 (registering DOI) - 18 Jan 2026
Abstract
Low-permeability reservoirs have poor reservoir properties and are difficult to develop by conventional water flooding. CO2 flooding can significantly improve oil recovery while achieving carbon storage, and is widely recognized as an effective solution for the development of low-permeability oil reservoirs. In [...] Read more.
Low-permeability reservoirs have poor reservoir properties and are difficult to develop by conventional water flooding. CO2 flooding can significantly improve oil recovery while achieving carbon storage, and is widely recognized as an effective solution for the development of low-permeability oil reservoirs. In order to address the lack of a comparative quantitative analysis of the tradeoff between oil recovery factor, CO2 storage rate, and total CO2 storage volume for the main injection modes in low-permeability reservoirs, this study systematically evaluated the performance of CO2-enhanced oil recovery (EOR) and geological storage under different pressures and injection modes through core flooding experiments. The results indicate that displacement pressure and injection strategy significantly influence the CO2 flooding performance. Continuous miscible flooding (30 MPa) substantially reduced the displacement pressure differential (maximum 6.1 MPa) and achieved the highest oil recovery (78.96%) and the greatest CO2 storage capacity (5916 cm3). Miscible WAG flooding effectively delayed gas breakthrough (extended to 1.90 pore volumes), homogenized the displacement front, and yielded the best overall outcome: the highest ultimate oil recovery (83.8%) coupled with the optimal CO2 storage rate (89.1%). The study further reveals that the pre-breakthrough stage is critical for contributing to oil recovery and achieving efficient storage, regardless of the injection modes. These findings clarify the technical characteristics and applicable conditions of different injection modes, providing crucial theoretical insights and practical guidance for optimizing CO2 EOR and storage projects in low-permeability reservoirs. Full article
Show Figures

Figure 1

24 pages, 3250 KB  
Article
CYPOR Variability as a Biomarker of Environmental Conditions in Bream (Abramis brama), Roach (Rutilus rutilus), Perch (Perca flavescens), and Pike-Perch (Sander lucioperca) from Lake Ladoga
by Vladimir Ponamarev, Olga Popova, Elena Semenova, Evgeny Mikhailov and Alexey Romanov
Vet. Sci. 2026, 13(1), 94; https://doi.org/10.3390/vetsci13010094 (registering DOI) - 18 Jan 2026
Abstract
The fish liver, as the main detoxification organ, is highly susceptible to xenobiotic exposure, often resulting in various hepatopathies. The cytochrome P450 system plays a central role in xenobiotic metabolism, with cytochrome P450 reductase (CYPOR) supplying the electrons required for CYP enzyme activity. [...] Read more.
The fish liver, as the main detoxification organ, is highly susceptible to xenobiotic exposure, often resulting in various hepatopathies. The cytochrome P450 system plays a central role in xenobiotic metabolism, with cytochrome P450 reductase (CYPOR) supplying the electrons required for CYP enzyme activity. This study aimed to evaluate the relationship between the ecological state of a reservoir and fish health, including CYPOR levels, through hematological, bacteriological, and histological analyses. Samples of water and fish were collected from 12 littoral sites of Lake Ladoga. A total of 1360 specimens of fish from carp (Cyprinidae) and perch (Percidae) families were examined. For histological examination and CYPOR level determination, we selected 40 specimens using a blind randomization method. This sample size was sufficient for statistical analyses. Hematological smears were stained with azure eosin; bacteriological cultures were grown on multiple media; liver samples were stained with hematoxylin and eosin and Sudan III. CYPOR levels in liver homogenates were measured by ELISA-test. Physical and hydrochemical analyses indicated a high pollution level in the littoral zones. Isolated bacterial species were non-pathogenic but exhibited broad antibiotic resistance. Hematological evaluation revealed erythrocyte vacuolization and anisocytosis. Histological analysis showed marked fatty degeneration in hepatocytes, indicating toxic damage. CYPOR concentrations ranged from 0.3–0.4 ng/mL in healthy fish to 5–6 ng/mL in exposed specimens, showing strong correlation between environmental influence and enzyme activity. These findings demonstrate the potential of CYPOR as a sensitive biomarker for biomonitoring programs. The integrated methodological approach provides a model for assessing aquatic ecosystem health and identifying zones requiring priority remediation. Full article
(This article belongs to the Section Anatomy, Histology and Pathology)
22 pages, 11111 KB  
Article
DeePC Sensitivity for Pressure Control with Pressure-Reducing Valves (PRVs) in Water Networks
by Jason Davda and Avi Ostfeld
Water 2026, 18(2), 253; https://doi.org/10.3390/w18020253 - 17 Jan 2026
Viewed by 58
Abstract
This study provides a practice-oriented sensitivity analysis of DeePC for pressure management in water distribution systems. Two public benchmark systems were used, Fossolo (simpler) and Modena (more complex). Each run fixed a monitored node and pressure reference, applied the same randomized identification phase [...] Read more.
This study provides a practice-oriented sensitivity analysis of DeePC for pressure management in water distribution systems. Two public benchmark systems were used, Fossolo (simpler) and Modena (more complex). Each run fixed a monitored node and pressure reference, applied the same randomized identification phase followed by closed-loop control, and quantified performance by the mean absolute error (MAE) of the node pressure relative to the reference value. To better characterize closed-loop behavior beyond MAE, we additionally report (i) the maximum deviation from the reference over the control window and (ii) a valve actuation effort metric, normalized to enable fair comparison across different numbers of valves and, where relevant, different control update rates. Motivated by the need for practical guidance on how hydraulic boundary conditions and algorithmic choices shape DeePC performance in complex water networks, we examined four factors: (1) placement of an additional internal PRV, supplementing the reservoir-outlet PRVs; (2) the control time step (Δt); (3) a uniform reservoir-head offset (Δh); and (4) DeePC regularization weights (λg,λu,λy). Results show strong location sensitivity, in Fossolo, topologically closer placements tended to lower MAE, with exceptions; the baseline MAE with only the inlet PRV was 3.35 [m], defined as a DeePC run with no additions, no extra valve, and no changes to reservoir head, time step, or regularization weights. Several added-valve locations improved the MAE (i.e., reduced it) below this level, whereas poor choices increased the error up to ~8.5 [m]. In Modena, 54 candidate pipes were tested, the baseline MAE was 2.19 [m], and the best candidate (Pipe 312) achieved 2.02 [m], while pipes adjacent to the monitored node did not outperform the baseline. Decreasing Δt across nine tested values consistently reduced MAE, with an approximately linear trend over the tested range, maximum deviation was unchanged (7.8 [m]) across all Δt cases, and actuation effort decreased with shorter steps after normalization. Changing reservoir head had a pronounced effect: positive offsets improved tracking toward a floor of ≈0.49 [m] around Δh ≈ +30 [m], whereas negative offsets (below the reference) degraded performance. Tuning of regularization weights produced a modest spread (≈0.1 [m]) relative to other factors, and the best tested combination (λy, λg, λu) = (102, 10−3, 10−2) yielded MAE ≈ 2.11 [m], while actuation effort was more sensitive to the regularization choice than MAE/max deviation. We conclude that baseline system calibration, especially reservoir heads, is essential before running DeePC to avoid biased or artificially bounded outcomes, and that for large systems an external optimization (e.g., a genetic-algorithm search) is advisable to identify beneficial PRV locations. Full article
Show Figures

Figure 1

23 pages, 4062 KB  
Review
Nanoscale Microstructure and Microbially Mediated Mineralization Mechanisms of Deep-Sea Cobalt-Rich Crusts
by Kehui Zhang, Xuelian You, Chao Li, Haojia Wang, Jingwei Wu, Yuan Dang, Qing Guan and Xiaowei Huang
Minerals 2026, 16(1), 91; https://doi.org/10.3390/min16010091 (registering DOI) - 17 Jan 2026
Viewed by 59
Abstract
As a potential strategic resource of critical metals, deep-sea cobalt-rich crusts represent one of the most promising metal reservoirs within oceanic seamount systems, and their metallogenic mechanism constitutes a frontier topic in deep-sea geoscience research. This review focuses on the cobalt-rich crusts from [...] Read more.
As a potential strategic resource of critical metals, deep-sea cobalt-rich crusts represent one of the most promising metal reservoirs within oceanic seamount systems, and their metallogenic mechanism constitutes a frontier topic in deep-sea geoscience research. This review focuses on the cobalt-rich crusts from the Magellan Seamount region in the northwestern Pacific and synthesizes existing geological, mineralogical, and geochemical studies to systematically elucidate their mineralization processes and metal enrichment mechanisms from a microstructural perspective, with particular emphasis on cobalt enrichment and its controlling factors. Based on published observations and experimental evidence, the formation of cobalt-rich crusts is divided into three stages: (1) Mn/Fe colloid formation—At the chemical interface between oxygen-rich bottom water and the oxygen minimum zone (OMZ), Mn2+ and Fe2+ are oxidized to form hydrated oxide colloids such as δ-MnO2 and Fe(OH)3. (2) Key metal adsorption—Colloidal particles adsorb metal ions such as Co2+, Ni2+, and Cu2+ through surface complexation and oxidation–substitution reactions, among which Co2+ is further oxidized to Co3+ and stably incorporated into MnO6 octahedral vacancies. (3) Colloid deposition and mineralization—Mn–Fe colloids aggregate, dehydrate, and cement on the exposed seamount bedrock surface to form layered cobalt-rich crusts. This process is dominated by the Fe/Mn redox cycle, representing a continuous evolution from colloidal reactions to solid-phase mineral formation. Biological processes play a crucial catalytic role in the microstructural evolution of the crusts. Mn-oxidizing bacteria and extracellular polymeric substances (EPS) accelerate Mn oxidation, regulate mineral-oriented growth, and enhance particle cementation, thereby significantly improving the oxidation and adsorption efficiency of metal ions. Tectonic and paleoceanographic evolution, seamount topography, and the circulation of Antarctic Bottom Water jointly control the metallogenic environment and metal sources, while crystal defects, redox gradients, and biological activity collectively drive metal enrichment. This review establishes a conceptual framework of a multi-level metallogenic model linking macroscopic oceanic circulation and geological evolution with microscopic chemical and biological processes, providing a theoretical basis for the exploration, prediction, and sustainable development of potential cobalt-rich crust deposits. Full article
(This article belongs to the Special Issue Geochemistry and Mineralogy of Polymetallic Deep-Sea Deposits)
Show Figures

Figure 1

29 pages, 6574 KB  
Article
Modeling Landslide Dam Breach Due to Overtopping and Seepage: Development and Model Evaluation
by Tianlong Zhao, Xiong Hu, Changjing Fu, Gangyong Song, Liucheng Su and Yuanyang Chu
Sustainability 2026, 18(2), 915; https://doi.org/10.3390/su18020915 - 15 Jan 2026
Viewed by 149
Abstract
Landslide dams, typically composed of newly deposited, loose, and heterogeneous materials, are highly susceptible to failure induced by overtopping and seepage, particularly under extreme hydrological conditions. Accurate prediction of such breaching processes is essential for flood risk management and emergency response, yet existing [...] Read more.
Landslide dams, typically composed of newly deposited, loose, and heterogeneous materials, are highly susceptible to failure induced by overtopping and seepage, particularly under extreme hydrological conditions. Accurate prediction of such breaching processes is essential for flood risk management and emergency response, yet existing models generally consider only a single failure mechanism. This study develops a mathematical model to simulate landslide dam breaching under the coupled action of overtopping and seepage erosion. The model integrates surface erosion and internal erosion processes within a unified framework and employs a stable time-stepping numerical scheme. Application to three real-world landslide dam cases demonstrates that the model successfully reproduces key breaching characteristics across overtopping-only, seepage-only, and coupled erosion scenarios. The simulated breach hydrographs, reservoir water levels, and breach geometries show good agreement with field observations, with peak outflow and breach timing predicted with errors generally within approximately 5%. Sensitivity analysis further indicates that the model is robust to geometric uncertainties, as variations in breach outcomes remain smaller than the imposed parameter perturbations. These results confirm that explicitly accounting for the coupled interaction between overtopping and seepage significantly improves the representation of complex breaching processes. The proposed model therefore provides a reliable computational tool for analyzing landslide dam failures and supports more accurate hazard assessment under multi-mechanism erosion conditions. Full article
(This article belongs to the Section Hazards and Sustainability)
Show Figures

Figure 1

20 pages, 3935 KB  
Article
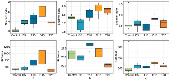
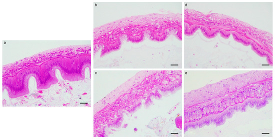
Effects of Florfenicol on Intestinal Structure, Microbial Community and Antibiotic Resistance Genes in Penaeus vannamei
by Gengshen Wang, Xinyong Shi, Yi Yan, Jianjun Xie, Demin Zhang and Huajun Zhang
Microorganisms 2026, 14(1), 204; https://doi.org/10.3390/microorganisms14010204 - 15 Jan 2026
Viewed by 89
Abstract
Antibiotic feeding in shrimp farming is an optional practice conducted with the aim of preventing and controlling bacterial diseases. However, the administration of antibiotics can disrupt the microbiota of both shrimp and surrounding environment, potentially compromising host health. Given the limited effective antibiotic [...] Read more.
Antibiotic feeding in shrimp farming is an optional practice conducted with the aim of preventing and controlling bacterial diseases. However, the administration of antibiotics can disrupt the microbiota of both shrimp and surrounding environment, potentially compromising host health. Given the limited effective antibiotic options in aquaculture, it is crucial to evaluate the effects of florfenicol (FF) on the intestinal health of shrimp and the associated microbial communities. This study first investigated the impact of FF on the intestinal structure of Penaeus vannamei over two feeding durations (5 and 10 days), each followed by a 10-day basal diet recovery period. Simultaneously, variations in microbial communities and antibiotic resistance genes (ARGs) in both the intestine and rearing water were explored. The results showed that intestinal damage was aggravated with the extension of FF duration and gradually recovered after FF withdrawal. Significant changes in microbial composition and β-diversity were observed in both the rearing water and intestine following FF feeding. Extending the FF treatment to 10 days led to a reduced abundance of Rhodobacteraceae and an increased abundance of Flavobacteriaceae and Vibrionaceae in the intestine after 10 days of feeding the basic diet, which may pose a potential risk to shrimp health. Based on correlation analysis of ARGs, microbial communities and pathogenic bacteria, we speculated that rearing water may serve as a reservoir for ARGs dissemination compared to the shrimp intestine. These findings are of great importance for assessing the impact of administration duration under the FF therapeutic dose and highlight the potential risks associated with its overuse in shrimp farming. Full article
(This article belongs to the Section Gut Microbiota)
Show Figures

Figure 1

22 pages, 3235 KB  
Article
Study on Enhanced Oil Recovery of Nanofluid–Polymer Binary Flooding Technology in Medium-High Permeability Reservoirs
by Liqiang Yang, Xiang Peng, Qun Zhang, Liangwei Xu, Peiwen Xiao, Yuanping Lin, Yanqi Li and Chao Fang
Polymers 2026, 18(2), 227; https://doi.org/10.3390/polym18020227 - 15 Jan 2026
Viewed by 147
Abstract
This study investigates the application of nanofluid (iNanoW)–polymer binary flooding system to enhance oil recovery efficiency in medium-to-high permeability reservoirs. Traditional polymer flooding technologies still have the potential for further improvement in these types of reservoirs. Therefore, this study combines iNanoW with the [...] Read more.
This study investigates the application of nanofluid (iNanoW)–polymer binary flooding system to enhance oil recovery efficiency in medium-to-high permeability reservoirs. Traditional polymer flooding technologies still have the potential for further improvement in these types of reservoirs. Therefore, this study combines iNanoW with the polymer flooding system to examine its effects on the rheological properties, injectability, interfacial performance, sweep volume, and recovery factor of the polymer solution. Experimental results show that iNanoW significantly improves the injectability of the polymer solution. The introduction of iNanoW reduces the size of polymer aggregates, as demonstrated by aggregate size and rheological performance experiments. Power-law model analysis reveals that the flow behavior of the polymer solution is further improved with the introduction of iNanoW, manifested by weakened shear-thinning behavior, reduced viscosity, and optimized flowability, which in turn helps to improve oil recovery efficiency. Moreover, iNanoW interacts with polymer molecules, lowering the surface tension and enhancing wettability, thereby improving oil–water separation efficiency. Core flooding experiments show that the introduction of iNanoW significantly increases sweep volume, particularly in medium- and small-pore spaces, where oil recovery efficiencies reached 57.97% and 61.54%, respectively. These results indicate that iNanoW not only optimizes the rheological properties of the polymer solution but also improves fluid distribution during the flooding process, significantly enhancing the overall oil recovery performance. This study provides a new approach to optimizing polymer flooding technology and highlights the potential of iNanoW in improving oil recovery efficiency. Full article
(This article belongs to the Section Polymer Applications)
Show Figures

Figure 1

31 pages, 6020 KB  
Article
Effects of Geometry, Joint Properties, and Deterioration Scenarios on the Hydromechanical Response of Gravity Dams
by Maria Luísa Braga Farinha, Nuno Monteiro Azevedo and Sérgio Oliveira
Appl. Mech. 2026, 7(1), 8; https://doi.org/10.3390/applmech7010008 - 15 Jan 2026
Viewed by 63
Abstract
An explicit coupled two-dimensional (2D) hydromechanical model (HMM) that can simulate discontinuous features in the foundation, as well as the effects of grout curtains and drainage systems, is employed to evaluate the influence of key parameters such as dam height, foundation behaviour, joint [...] Read more.
An explicit coupled two-dimensional (2D) hydromechanical model (HMM) that can simulate discontinuous features in the foundation, as well as the effects of grout curtains and drainage systems, is employed to evaluate the influence of key parameters such as dam height, foundation behaviour, joint patterns, joint stiffness and strength, hydraulic apertures, and grout curtain permeability. A parametric sensitive study using four gravity dams, and a real case study of an operating dam are presented. The results presented show that dam height influences the relationship between water level in the reservoir and drain discharges, with higher dams showing more pronounced curved nonlinearity. The strength properties of the concrete–rock interface are also shown to have a meaningful influence on the HM response, especially for an elastic foundation and for higher dams, showing the need to properly characterize this interface through in situ testing. The joint aperture at nominal zero stress is shown to be the parameter with the most significant effect on the HM response. The results also show that a progressive degradation scenario of the concrete–rock interface or of the grout curtain permeability is easier to identify through the hydraulic measurements than in the mechanical displacement field. Full article
Show Figures

Graphical abstract

32 pages, 7384 KB  
Article
Unlocking Rooftop Cooling Potential: An Experimental Investigation of the Thermal Behavior of Cool Roof and Green Roof as Retrofitting Strategies in Hot–Humid Climate
by Tengfei Zhao, Kwong Fai Fong and Tin Tai Chow
Buildings 2026, 16(2), 365; https://doi.org/10.3390/buildings16020365 - 15 Jan 2026
Viewed by 101
Abstract
Cool roof and green roof have been acknowledged as effective heat mitigation strategies for fighting against the urban heat island (UHI). However, empirical data in hot–humid climate are still insufficient. Experimental conventional, cool and green roofs (three types) were established to comprehensively investigate [...] Read more.
Cool roof and green roof have been acknowledged as effective heat mitigation strategies for fighting against the urban heat island (UHI). However, empirical data in hot–humid climate are still insufficient. Experimental conventional, cool and green roofs (three types) were established to comprehensively investigate the thermal performances in Hong Kong under typical summer conditions, as retrofitting strategies for an office building. The holistic vertical thermal behavior was investigated. The comparative cooling potentials were assessed. The results reveal a “vertical thermal sequence” in peak temperatures of each substrate layer for the conventional, cool and green roofs on a sunny day. However, local reversion in the thermal sequence may occur on a rainy day. Green roof-plot C (GR_C) demonstrates the highest thermal damping effect, followed by plot B (GR_B), A (GR_A) and the cool roof (CR) in summer. On a sunny day, the thermal dampening effectiveness of the substrates in the three green roofs is consistent: drainage > soil > water reservoir > root barrier. The holistic vertical thermal profiling was constructed in a high-rise office context in Hong Kong. The diurnal temperature profiles indicate all roof systems could effectively attenuate the temperature fluctuations. The daily maximum surface temperature reduction (SDMR) was introduced for cooling potential characterization of the cool roof and green roofs with multiple vegetation types. On a sunny day, the cool roof and green roofs all showed significant cooling potential. SDMR on the concrete tile of the best performing system was GR_C (26 °C), followed by GR_B (22.4 °C), GR_A (20.7 °C) and CR (13.3 °C), respectively. The SDMR on the ceiling ranked as GR_C, GR_B, GR_A and CR, with 2.9 °C, 2.4 °C, 2.1 °C and 2.1 °C, separately. On a rainy day, the cooling effect was still present but greatly diminished. A critical insight of a “warming effect at the ceiling” of the green roof was revealed. This research offers critical insights for unlocking rooftop cooling potential, endorsing cool roof and green roof as pivotal solutions for sustainable urban environments. Full article
(This article belongs to the Section Building Energy, Physics, Environment, and Systems)
Show Figures

Figure 1

12 pages, 1995 KB  
Article
Improved Methodology for the Extraction of Nanoparticles and Colloids from Agricultural Soils: Ultrasound-Assisted, Continuous-Flow Extraction and Characterization by Single Particle Inductively Coupled Plasma Mass Spectrometry
by Zhizhong Li, Madjid Hadioui and Kevin J. Wilkinson
Soil Syst. 2026, 10(1), 15; https://doi.org/10.3390/soilsystems10010015 - 15 Jan 2026
Viewed by 107
Abstract
In soils, it is key to not simply determine the behavior of the major elements but also understand the fate of trace and ultra-trace elements that can often have disproportionate effects on these complex systems. Soils, including agricultural soils, constitute a reservoir of [...] Read more.
In soils, it is key to not simply determine the behavior of the major elements but also understand the fate of trace and ultra-trace elements that can often have disproportionate effects on these complex systems. Soils, including agricultural soils, constitute a reservoir of nanoparticles and natural colloids of multiple origins. Nonetheless, only limited information is available on the concentrations and fate of nanoparticles in soils, due largely to the difficulty of distinguishing anthropogenically generated particles from the complex soil matrices in which they are found. Bulk measurements are often unable to quantify the key contributions of trace pollutants (i.e., needle in a haystack); however, single particle techniques have recently become available for studying complex agricultural systems, including soils. For example, the characterization of engineered nanoparticles or incidentally generated particulate pollutants within a natural soil or sediment is now possible using techniques such as single particle inductively coupled plasma mass spectrometry (SP-ICP-MS). Nonetheless, in order to exploit the single particle techniques, it is first necessary to representatively sample the soils. The approach presented here has been designed to help better understand the impact of incidental and engineered nanoparticles on agricultural soils. In this study, we examine two approaches for extracting colloidal particles (CP) from soils in order to facilitate their characterization by single particle inductively coupled plasma mass spectrometry using a sector field- (SP-ICP-SF-MS) and time-of-flight- (SP-ICP-ToF-MS) based instruments. A novel sampling methodology consisting of an ultrasound-assisted continuous-flow extraction (USCFE) was developed and compared to a commonly used batch extraction procedure. Metal containing colloidal particles (M–CP) were quantified and characterized following their extraction in ultrapure water and tetrasodium pyrophosphate (TSPP). At least five successive extraction cycles of 18 h each were required to optimally extract Si–CP (ca. 6 × 1015 kg−1) using the batch extraction approach, whereas similarly high numbers of CP could be extracted by USCFE in about 3 h. The combined use of continuous flow, ultrasound and TSPP improved the sampling of colloidal particles and nanoparticles from an agricultural soil. Due to its higher sensitivity, SP-ICP-SF-MS was used to measure the smallest detectable M–CP in the soil extracts. SP-ICP-ToF-MS was used to determine the multi-elemental composition of the extracted colloidal particles. Full article
(This article belongs to the Special Issue Adsorption Processes in Soils and Sediments)
Show Figures

Graphical abstract

15 pages, 2183 KB  
Article
Analysis of Annual Water Level Variability in the Mead and Powell Reservoirs of the Colorado River
by Ognjen Bonacci, Ana Žaknić-Ćatović and Tanja Roje-Bonacci
Water 2026, 18(2), 224; https://doi.org/10.3390/w18020224 - 14 Jan 2026
Viewed by 127
Abstract
This analysis examines long-term changes in water levels of the Mead and Glen Canyon reservoirs on the Colorado River. Both reservoirs display clear declining trends in water levels, particularly after 2003. The causes include a combination of climate change, megadrought, increased water consumption, [...] Read more.
This analysis examines long-term changes in water levels of the Mead and Glen Canyon reservoirs on the Colorado River. Both reservoirs display clear declining trends in water levels, particularly after 2003. The causes include a combination of climate change, megadrought, increased water consumption, and alterations in the hydrological regime. Lake Mead exhibits a stronger and more concerning decline than Lake Powell, including extreme drought conditions over the past three years. The Rescaled Adjusted Partial Sums (RAPS) analysis identifies three statistically distinct subperiods, with an unambiguous decline in the most recent period. The day-to-day (DTD) method indicates reduced day-to-day water level variability in Lake Mead following the commissioning of the Powell reservoir, confirming its regulating influence. The Standardized Hydrological Index (SHI) indicates an accelerating intensification of drought conditions over the past 20 years. Regression analysis confirms a strong relationship between the water levels of the two reservoirs, along with significantly increased water losses in the more recent period. The literature suggests that climate projections are highly unfavorable, with further reductions in Colorado River discharge expected. The study underscores the urgent need to adapt water-management policies and align consumption with the new hydrological realities. Full article
(This article belongs to the Section Hydrology)
Show Figures

Figure 1

Back to TopTop