Sign in to use this feature.

Years

Between: -

Subjects

remove_circle_outline
remove_circle_outline
remove_circle_outline
remove_circle_outline
remove_circle_outline
remove_circle_outline
remove_circle_outline

Journals

Article Types

Countries / Regions

Search Results (119)

Search Parameters:
Keywords = type 1 cannabinoid receptor CB1

Order results
Result details
Results per page
Select all
Export citation of selected articles as:
18 pages, 4295 KB  
Article
Vascular Contractile and Structural Properties in Diet-Induced Atherosclerosis-Prone CB1-LDL Receptor Double Knockout Animal Model
by Kinga Shenker-Horváth, Zsolt Vass, Bálint Bányai, Stella Kiss, Kinga Bernadett Kovács, Judit Kiss, Andrea Petra Trenka, Janka Borbála Gém, Annamária Szénási, Eszter Mária Horváth, Zoltán Jakus, György L. Nádasy, Gabriella Dörnyei and Mária Szekeres
Biomedicines 2026, 14(2), 284; https://doi.org/10.3390/biomedicines14020284 - 27 Jan 2026
Viewed by 206
Abstract
Background: Atherosclerosis forms the background of several cardiovascular pathologies. LDL receptor knockout (LDLR-KO) mice kept on a high-fat diet (HFD) develop high cholesterol levels. Previously we found that vasodilation responses in HFD LDLR-KO mice were improved in the absence of type 1 [...] Read more.
Background: Atherosclerosis forms the background of several cardiovascular pathologies. LDL receptor knockout (LDLR-KO) mice kept on a high-fat diet (HFD) develop high cholesterol levels. Previously we found that vasodilation responses in HFD LDLR-KO mice were improved in the absence of type 1 cannabinoid receptors (CB1Rs). We aimed to reveal the effects of HFD and CB1Rs on vascular contractile and structural properties. Methods: Experiments were performed on LDLR-CB1R double knockout and wild type (WT) mice, kept on an HFD or control diet (CD) for 5 months. Thoracic aortas were isolated for Oil Red plaque staining and abdominal aorta segments for myography to obtain phenylephrine (Phe)-induced (100 nM–10 µM) contractile responses. Aorta samples were subjected to histology stainings with hematoxylin–eosin and resorcin–fuchsin (elastin density) and for smooth muscle actin (SMA) immunohistochemistry. Results: Phe-induced contractions significantly increased in HFD groups (p < 0.05) similarly in all genotypes. However, contractions were stronger with CD in CB1R-KO compared to WT. Plaque areas were increased in LDLR-KO mice compared to WT, significant in HFD groups (p < 0.05). SMA increased to HFD, while elastin density remained similar, with the highest value in double KO-HFD. Intima/media ratio significantly decreased in double KO-HFD vs. CD. Conclusions: Our results indicate that HFD-treated LDLR-KO mice develop atherosclerosis with functional contractile and structural alterations modulated by CB1Rs: absence of CB1Rs elicited higher contraction properties with some modification in vascular remodeling indicating contribution of the CB1R to cellular signalization controlling wall thickness and elasticity in pathological conditions. Full article
Show Figures

Figure 1

21 pages, 8124 KB  
Article
Activation of Cannabinoid Receptor 1 Enhances Wound Healing by Promoting the Proliferative Phase
by Hui Song Cui, Ya Xin Zheng, Yoon Soo Cho, Yeon Gyun Jung, In Suk Kwak, Yu Mi Ro, So Young Joo, June-Bum Kim and Cheong Hoon Seo
Int. J. Mol. Sci. 2026, 27(3), 1171; https://doi.org/10.3390/ijms27031171 - 23 Jan 2026
Viewed by 102
Abstract
The mechanisms underlying wound healing mediated by cannabinoid receptor 1 (CB1)—known for its neuromodulatory functions—remain incompletely understood. Therefore, we investigated the impact of activating CB1 using specific agonists, both in vitro and in vivo, with a focus on wound healing. In the in [...] Read more.
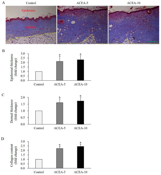
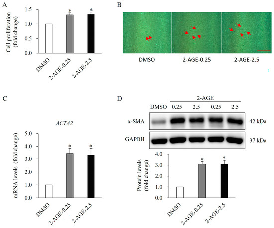
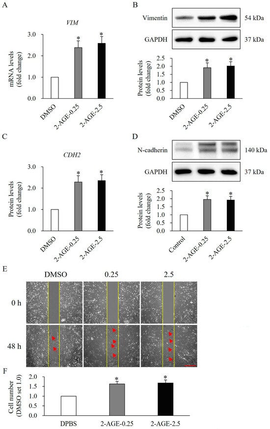
The mechanisms underlying wound healing mediated by cannabinoid receptor 1 (CB1)—known for its neuromodulatory functions—remain incompletely understood. Therefore, we investigated the impact of activating CB1 using specific agonists, both in vitro and in vivo, with a focus on wound healing. In the in vitro study, fibroblasts were isolated and cultured from the dermis of human skin and treated with a CB1 agonist, 2-arachidonyl glyceryl ether (2-AGE). In the in vivo study, a mouse acute wound model was created using a skin biopsy punch and treated with the CB1 agonist arachidonoyl 2′-chloroethylamide (ACEA). The in vitro study revealed that 2-AGE increased cell proliferation and differentiation, upregulated the expression of alpha-smooth muscle actin (α-SMA), N-cadherin, and vimentin, and enhanced cell migration as well as the synthesis of type I and III collagen and fibronectin in normal human dermal fibroblasts. The CB1 antagonist AM251 abolished 2-AGE-induced expression of α-SMA, type I collagen, and fibronectin. In vivo, ACEA treatment accelerated wound closure, increased expression of α-SMA, type I collagen, and fibronectin, and ultimately increased epidermal and dermal thickness. Overall, these findings suggest that the activation of CB1 promotes wound healing and provides evidence for the therapeutic potential of CB1 agonists in wound treatment. Full article
(This article belongs to the Section Molecular Pathology, Diagnostics, and Therapeutics)
Show Figures

Figure 1

13 pages, 645 KB  
Article
CB1 and CB2 Receptor Expression in Type 1 Diabetic Neuropathic Rats Is Enhanced by Photobiomodulation Therapy
by Danielle Paula Freitas Bataus Silva, Natalia Vendrame, Willians Fernando Vieira and Marucia Chacur
Photonics 2025, 12(11), 1060; https://doi.org/10.3390/photonics12111060 - 27 Oct 2025
Viewed by 705
Abstract
Background: The interaction between the endocannabinoid system (ECS), specifically the CB1 and CB2 cannabinoid receptors, and neuropathy has aroused great research interest due to the possible implications for treatment. Complications following type 1 diabetes, due to impaired glucose metabolism and chronic inflammation, may [...] Read more.
Background: The interaction between the endocannabinoid system (ECS), specifically the CB1 and CB2 cannabinoid receptors, and neuropathy has aroused great research interest due to the possible implications for treatment. Complications following type 1 diabetes, due to impaired glucose metabolism and chronic inflammation, may benefit from targeted therapeutic strategies involving the ECS. This study explores the effects of photobiomodulation therapy (PBMT) on streptozotocin (STZ)-induced diabetic peripheral neuropathy (DPN) in rats. The study assessed body mass, hyperglycemia, mechanical hyperalgesia, and the influence of PBMT on these conditions over four weeks. Results showed that while PBMT did not alter the metabolic aspects of type I diabetes, it significantly reduced mechanical hyperalgesia compared to untreated diabetic neuropathic rats. Notably, cannabinoid receptor antagonists for CB1 and CB2 elicited a transient reversal of this antihyperalgesic effect, indicating a potential role of these receptors in PBMT’s mechanism. However, CB2 modulation was not statistically significant, whereas changes in CB1 receptor expression were observed in the dorsal root ganglia, suggesting its involvement in PBMT’s effects. These findings highlight the importance of CB1 and CB2 receptors in DPN and suggest that PBMT may offer a therapeutic benefit by mitigating mechanical hyperalgesia. Further investigation into cannabinoid receptor dynamics in diabetes could help in new therapeutic strategies for managing diabetic complications. Full article
(This article belongs to the Special Issue Shining Light on Healing: Photobiomodulation Therapy)
Show Figures

Figure 1

36 pages, 7997 KB  
Article
The Cannabinoid CB1 Receptor Inverse Agonist/Antagonist SR141716A Activates the Adenylate Cyclase/PKA Signaling Pathway Among Other Intracellular Emetic Signals to Evoke Vomiting in Least Shrews (Cryptotis parva)
by Yina Sun, Louiza Belkacemi, Weixia Zhong, Zollie Daily and Nissar A. Darmani
Int. J. Mol. Sci. 2025, 26(20), 9884; https://doi.org/10.3390/ijms26209884 - 11 Oct 2025
Viewed by 849
Abstract
Intracellular emetic signals involved in the cannabinoid CB1 receptor inverse agonist/antagonist SR141716A were investigated. SR141716A (20 mg/kg, i.p.)-evoked vomiting occurred via both the central and peripheral mechanisms. This was accompanied by robust emesis-associated increases in the following: (i) c-fos- and [...] Read more.
Intracellular emetic signals involved in the cannabinoid CB1 receptor inverse agonist/antagonist SR141716A were investigated. SR141716A (20 mg/kg, i.p.)-evoked vomiting occurred via both the central and peripheral mechanisms. This was accompanied by robust emesis-associated increases in the following: (i) c-fos- and phospho-glycogen synthase kinase-3α/β (p-GSK-3αβ)-expression in the shrew’s dorsal vagal complex (DVC), (ii) phospho-extracellular signal-regulated kinase1/2 (p-ERK1/2) expression in both the DVC and jejunal enteric nervous system, and (iii) time-dependent upregulation of cAMP levels and phosphorylation of protein kinase A (PKA), protein kinase B (Akt), GSK-3α/β, ERK1/2, and protein kinase C αβII (PKCαβII) in the brainstem. SR141716A-evoked emetic parameters were attenuated by diverse inhibitors of the following: PKA, ERK1/2, GSK-3, phosphatidylinositol 3-kinase (PI3K)-Akt pathway, phospholipase C (PLC), PKC, Ca2+/calmodulin-dependent protein kinase II (CaMKII), L-type Ca2+ channel (LTCC), store-operated Ca2+ entry (SOCE), inositol trisphosphate receptor (IP3R), ryanodine receptor (RyRs), both 5-HT3-, and D2/3-receptor antagonists, and the transient receptor potential vanilloid 1 receptor (TRPV1R) agonist. SR141716A appears to evoke vomiting via inverse agonist activity involving emesis-associated kinases, including cAMP/PKA, ERK1/2, PI3K/Akt/GSK-3, PLC/PKCαβII, and CaMKII, which depend upon Ca2+ mobilization linking extracellular Ca2+ entry via plasma membrane Ca2+ channels (LTCC, SOCE, TRIPV1R) and intracellular Ca2+ release via IP3Rs and RyRs. The 5-HT3, NK1, and D2/3 receptors also contribute to SR141716A-mediated vomiting. Full article
(This article belongs to the Special Issue G Protein-Coupled Receptors)
Show Figures

Figure 1

15 pages, 3497 KB  
Article
Cannabigerol Modulates Cannabinoid Receptor Type 2 Expression in the Spinal Dorsal Horn and Attenuates Neuropathic Pain Models
by Bismarck Rezende, Gabriel Gripp Fernandes, Vitória Macario de Simas Gonçalves, Gabriela Guedes Nascimento, Kethely Lima Marques, Barbara Conceição Costa Azeredo de Oliveira, Yure Bazilio dos Santos, Maria Eduarda Barros de Andrade, Karine Simões Calumbi, Eduardo Perdigão Maia, Luisa Menezes Trefilio, Fernanda Antunes, Fabrícia Lima Fontes-Dantas and Guilherme Carneiro Montes
Pharmaceuticals 2025, 18(10), 1508; https://doi.org/10.3390/ph18101508 - 8 Oct 2025
Viewed by 3739
Abstract
Background/Objectives: The expanding focus on novel therapeutic pathways for long-term pain relief has directed interest toward compounds obtained from Cannabis sativa. This study evaluated the antinociceptive potential of cannabigerol-enriched extract (CBG) in models of acute and chronic hypernociception, along with morphological outcomes. Methods: [...] Read more.
Background/Objectives: The expanding focus on novel therapeutic pathways for long-term pain relief has directed interest toward compounds obtained from Cannabis sativa. This study evaluated the antinociceptive potential of cannabigerol-enriched extract (CBG) in models of acute and chronic hypernociception, along with morphological outcomes. Methods: Formalin and hot plate tests were used on male Swiss mice to assess acute oral antinociception. To the chronic pain model, 8-week-old male Wistar rats underwent spinal nerve ligation (SNL), and CBG was administered orally by gavage once daily for 14 days. Results: CBG reduced nociceptive responses in the formalin test and hot plate tests, mainly at a dose of 30 mg/kg, showing antinociceptive activity. CBG attenuated SNL-induced thermal and mechanical hypersensitivity, accompanied by reduced microglial density and spinal morphological changes. Importantly, cannabinoid receptor type 2 (CB2R) signaling contributed to the antinociceptive effects of orally administered CBG, whereas cannabinoid receptor type 1 (CB1R), Brain-Derived Neurotrophic Factor (BDNF), and Tumor Necrosis Factor (TNF) did not appear to play major roles under our experimental conditions. Conclusions: Collectively, these findings support CBG as a promising alternative for chronic pain management. Full article
(This article belongs to the Topic Research on Natural Products of Medical Plants)
Show Figures

Graphical abstract

26 pages, 3132 KB  
Article
Revealing the Specific Contributions of Mitochondrial CB1 Receptors to the Overall Function of Skeletal Muscle in Mice
by Zoltán Singlár, Péter Szentesi, Nyamkhuu Ganbat, Barnabás Horváth, László Juhász, Mónika Gönczi, Anikó Keller-Pintér, Attila Oláh, Zoltán Máté, Ferenc Erdélyi, László Csernoch and Mónika Sztretye
Cells 2025, 14(19), 1517; https://doi.org/10.3390/cells14191517 - 28 Sep 2025
Viewed by 1294
Abstract
Skeletal muscle, constituting 40–50% of total body mass, is vital for mobility, posture, and systemic homeostasis. Muscle contraction heavily relies on ATP, primarily generated by mitochondrial oxidative phosphorylation. Mitochondria play a key role in decoding intracellular calcium signals. The endocannabinoid system (ECS), including [...] Read more.
Skeletal muscle, constituting 40–50% of total body mass, is vital for mobility, posture, and systemic homeostasis. Muscle contraction heavily relies on ATP, primarily generated by mitochondrial oxidative phosphorylation. Mitochondria play a key role in decoding intracellular calcium signals. The endocannabinoid system (ECS), including CB1 receptors (CB1Rs), broadly influences physiological processes and, in muscles, regulates functions like energy metabolism, development, and repair. While plasma membrane CB1Rs (pCB1Rs) are well-established, a distinct mitochondrial CB1R (mtCB1R) population also exists in muscles, influencing mitochondrial oxidative activity and quality control. We investigated the role of mtCB1Rs in skeletal muscle physiology using a novel systemic mitochondrial CB1 deletion murine model. Our in vivo studies showed no changes in motor function, coordination, or grip strength in mtCB1 knockout mice. However, in vitro force measurements revealed significantly reduced specific force in both fast-twitch (EDL) and slow-twitch (SOL) muscles following mtCB1R ablation. Interestingly, knockout EDL muscles exhibited hypertrophy, suggesting a compensatory response to reduced force quality. Electron microscopy revealed significant mitochondrial morphological abnormalities, including enlargement and irregular shapes, correlating with these functional deficits. High-resolution respirometry further demonstrated impaired mitochondrial respiration, with reduced oxidative phosphorylation and electron transport system capacities in knockout mitochondria. Crucially, mitochondrial membrane potential dissipated faster in mtCB1 knockout muscle fibers, whilst mitochondrial calcium levels were higher at rest. These findings collectively establish that mtCB1Rs are critical for maintaining mitochondrial health and function, directly impacting muscle energy production and contractile performance. Our results provide new insights into ECS-mediated regulation of skeletal muscle function and open therapeutic opportunities for muscle disorders and aging. Full article
(This article belongs to the Special Issue Skeletal Muscle: Structure, Physiology and Diseases)
Show Figures

Figure 1

5 pages, 190 KB  
Editorial
Therapeutic Potential of Cannabinoid Receptors Type 1 and 2—Novel Insights for Enhancing the Chance of Clinical Success
by Uwe Grether
Pharmaceuticals 2025, 18(9), 1324; https://doi.org/10.3390/ph18091324 - 4 Sep 2025
Viewed by 1274
Abstract
This Special Issue of Pharmaceuticals presents eight original articles and three reviews, underscoring the ongoing robust interest in research on cannabinoid receptor type 1 (CB1R) and type 2 (CB2R) more than 30 years after their discovery [...] Full article
26 pages, 2099 KB  
Review
Cannabis Medicine 2.0: Nanotechnology-Based Delivery Systems for Synthetic and Chemically Modified Cannabinoids for Enhanced Therapeutic Performance
by Izabela Żółnowska, Aleksandra Gostyńska-Stawna, Anna Jelińska and Maciej Stawny
Nanomaterials 2025, 15(16), 1260; https://doi.org/10.3390/nano15161260 - 15 Aug 2025
Cited by 1 | Viewed by 2595
Abstract
The therapeutic potential of cannabinoids and other ligands of cannabinoid receptors attracts considerable attention due to their diverse pharmacological effects and utility in various medical applications. However, challenges such as low solubility, limited bioavailability, and potential side effects hinder their broad clinical use. [...] Read more.
The therapeutic potential of cannabinoids and other ligands of cannabinoid receptors attracts considerable attention due to their diverse pharmacological effects and utility in various medical applications. However, challenges such as low solubility, limited bioavailability, and potential side effects hinder their broad clinical use. Nanoformulation techniques offer a promising approach to address these issues and optimize the therapeutic effectiveness of cannabinoids and other cannabinoid receptor ligands. This comprehensive review explores the advancements in nanoformulation strategies to enhance the therapeutic efficacy and safety of synthetic cannabinoids and related compounds, such as CB13, rimonabant, and HU-211, which have been studied in a range of preclinical models addressing conditions such as neuropathic pain, depression, and cancer. The review discusses various nanocarriers employed in this field, including lipid-based, polymeric, and hybrid nanoparticles, micelles, emulsions, and other nanoengineered carriers. In addition to formulation approaches, this review provides an in-depth analysis of chemical structures and their effect on compound activity, especially in the context of the affinity for the cannabinoid type 1 receptor in the brain, which is chiefly responsible for the psychoactive effects. The provided summary of research concerning either chemical modifications of existing cannabinoids or the creation of new compounds that interact with cannabinoid receptors, followed by the development of nanoformulations for these agents, allows for the identification of new research directions and future perspectives for Cannabis-based medicine. In conclusion, the combination of nanotechnology and cannabinoid pharmacology holds promise for delivering more effective and safer therapeutic solutions for a broad spectrum of medical conditions, making this an exciting area of research with profound implications for the healthcare and pharmaceutical industries. Full article
(This article belongs to the Section Nanofabrication and Nanomanufacturing)
Show Figures

Graphical abstract

39 pages, 2934 KB  
Review
Phytocannabinoids as Novel SGLT2 Modulators for Renal Glucose Reabsorption in Type 2 Diabetes Management
by Raymond Rubianto Tjandrawinata, Dante Saksono Harbuwono, Sidartawan Soegondo, Nurpudji Astuti Taslim and Fahrul Nurkolis
Pharmaceuticals 2025, 18(8), 1101; https://doi.org/10.3390/ph18081101 - 24 Jul 2025
Cited by 2 | Viewed by 2184
Abstract
Background: Sodium–glucose cotransporter 2 (SGLT2) inhibitors have transformed type 2 diabetes mellitus (T2DM) management by promoting glucosuria, lowering glycated hemoglobin (HbA1c), blood pressure, and weight; however, their use is limited by genitourinary infections and ketoacidosis. Phytocannabinoids—bioactive compounds from Cannabis sativa—exhibit multi-target [...] Read more.
Background: Sodium–glucose cotransporter 2 (SGLT2) inhibitors have transformed type 2 diabetes mellitus (T2DM) management by promoting glucosuria, lowering glycated hemoglobin (HbA1c), blood pressure, and weight; however, their use is limited by genitourinary infections and ketoacidosis. Phytocannabinoids—bioactive compounds from Cannabis sativa—exhibit multi-target pharmacology, including interactions with cannabinoid receptors, Peroxisome Proliferator-Activated Receptors (PPARs), Transient Receptor Potential (TRP) channels, and potentially SGLT2. Objective: To evaluate the potential of phytocannabinoids as novel modulators of renal glucose reabsorption via SGLT2 and to compare their efficacy, safety, and pharmacological profiles with synthetic SGLT2 inhibitors. Methods: We performed a narrative review encompassing the following: (1) the molecular and physiological roles of SGLT2; (2) chemical classification, natural sources, and pharmacokinetics/pharmacodynamics of major phytocannabinoids (Δ9-Tetrahydrocannabinol or Δ9-THC, Cannabidiol or CBD, Cannabigerol or CBG, Cannabichromene or CBC, Tetrahydrocannabivarin or THCV, and β-caryophyllene); (3) in silico docking and drug-likeness assessments; (4) in vitro assays of receptor binding, TRP channel modulation, and glucose transport; (5) in vivo rodent models evaluating glycemic control, weight change, and organ protection; (6) pilot clinical studies of THCV and case reports of CBD/BCP; (7) comparative analysis with established synthetic inhibitors. Results: In silico studies identify high-affinity binding of several phytocannabinoids within the SGLT2 substrate pocket. In vitro, CBG and THCV modulate SGLT2-related pathways indirectly via TRP channels and CB receptors; direct IC50 values for SGLT2 remain to be determined. In vivo, THCV and CBD demonstrate glucose-lowering, insulin-sensitizing, weight-reducing, anti-inflammatory, and organ-protective effects. Pilot clinical data (n = 62) show that THCV decreases fasting glucose, enhances β-cell function, and lacks psychoactive side effects. Compared to synthetic inhibitors, phytocannabinoids offer pleiotropic benefits but face challenges of low oral bioavailability, polypharmacology, inter-individual variability, and limited large-scale trials. Discussion: While preclinical and early clinical data highlight phytocannabinoids’ potential in SGLT2 modulation and broader metabolic improvement, their translation is impeded by significant challenges. These include low oral bioavailability, inconsistent pharmacokinetic profiles, and the absence of standardized formulations, necessitating advanced delivery system development. Furthermore, the inherent polypharmacology of these compounds, while beneficial, demands comprehensive safety assessments for potential off-target effects and drug interactions. The scarcity of large-scale, well-controlled clinical trials and the need for clear regulatory frameworks remain critical hurdles. Addressing these aspects is paramount to fully realize the therapeutic utility of phytocannabinoids as a comprehensive approach to T2DM management. Conclusion: Phytocannabinoids represent promising multi-target agents for T2DM through potential SGLT2 modulation and complementary metabolic effects. Future work should focus on pharmacokinetic optimization, precise quantification of SGLT2 inhibition, and robust clinical trials to establish efficacy and safety profiles relative to synthetic inhibitors. Full article
Show Figures

Graphical abstract

24 pages, 5287 KB  
Article
A Tourette Syndrome/ADHD-like Phenotype Results from Postnatal Disruption of CB1 and CB2 Receptor Signalling
by Victoria Gorberg, Tamar Harpaz, Emilya Natali Shamir, Orit Diana Karminsky, Ester Fride, Roger G. Pertwee, Iain R. Greig, Peter McCaffery and Sharon Anavi-Goffer
Int. J. Mol. Sci. 2025, 26(13), 6052; https://doi.org/10.3390/ijms26136052 - 24 Jun 2025
Cited by 2 | Viewed by 1579
Abstract
Cannabinoid receptor 1 (CB1) signalling is critical for weight gain and for milk intake in newborn pups. This is important as in humans, low birth weight increases the risk for attention-deficit hyperactivity disorder (ADHD). Moreover, some children with ADHD also have [...] Read more.
Cannabinoid receptor 1 (CB1) signalling is critical for weight gain and for milk intake in newborn pups. This is important as in humans, low birth weight increases the risk for attention-deficit hyperactivity disorder (ADHD). Moreover, some children with ADHD also have Tourette syndrome (TS). However, it remains unclear if insufficient CB1 receptor signalling may promote ADHD/TS-like behaviours. Here, ADHD/TS-like behaviours were studied from postnatal to adulthood by exposing postnatal wild-type CB1 and Cannabinoid receptor 2 (CB2) knockout mouse pups to SR141716A (rimonabant), a CB1 receptor antagonist/inverse agonist. Postnatal disruption of the cannabinoid system by SR141716A induced vocal-like tics and learning deficits in male mice, accompanied by excessive vocalisation, hyperactivity, motor-like tics and/or high-risk behaviour in adults. In CB1 knockouts, rearing and risky behaviours increased in females. In CB2 knockouts, vocal-like tics did not develop, and males were hyperactive with learning deficits. Importantly, females were hyperactive but showed no vocal-like tics. The appearance of vocal-like tics depends on disrupted CB1 receptor signalling and on functional CB2 receptors after birth. Inhibition of CB1 receptor signalling together with CB2 receptor stimulation underlie ADHD/TS-like behaviours in males. This study suggests that the ADHD/TS phenotype may be a single clinical entity resulting from incorrect cannabinoid signalling after birth. Full article
Show Figures

Figure 1

22 pages, 5898 KB  
Article
Adult Neurogenesis Is Regulated by the Endocannabinoid and Kisspeptin Systems
by Marianna Marino, Paola Di Pietro, Raffaella D’Auria, Martina Lombardi, Grazia Maria Giovanna Pastorino, Jacopo Troisi, Francesca Felicia Operto, Albino Carrizzo, Carmine Vecchione, Andrea Viggiano, Rosaria Meccariello and Antonietta Santoro
Int. J. Mol. Sci. 2025, 26(9), 3977; https://doi.org/10.3390/ijms26093977 - 23 Apr 2025
Cited by 3 | Viewed by 4251
Abstract
Neurogenesis is considered the most robust form of plasticity in the adult brain. To better decipher this process, we evaluated the potential crosstalk of Kisspeptin and Endocannabinoid Systems (KPS and ECS, respectively) on hippocampal neurogenesis. Male adolescent rats were exposed to kisspeptin-10 (KP10) [...] Read more.
Neurogenesis is considered the most robust form of plasticity in the adult brain. To better decipher this process, we evaluated the potential crosstalk of Kisspeptin and Endocannabinoid Systems (KPS and ECS, respectively) on hippocampal neurogenesis. Male adolescent rats were exposed to kisspeptin-10 (KP10) and the endocannabinoid anandamide (AEA) administered alone or in combination with the type 1 cannabinoid receptor (CB1R) antagonist SR141716A. The expression of Kiss1 and Kisspeptin receptor (Kiss1R) has been characterized for the first time in rat hippocampus together with the expression of the CB1R and the Transient Receptor Potential Vanilloid 1 ion channel receptor (TRPV1). Results show that both systems inhibit neurogenesis by reducing the extracellular signal-regulated kinase (ERK) signaling. Despite little differences in the expression of Kiss1R and CB1R, TRPV1 is enhanced by both KP10 and AEA treatments, suggesting TRPV1 as a common thread. KP10 administration reduces CB1R expression in the dentate gyrus, while AEA does not. KPS, unlike ECS, promotes the expression of estrogen receptor α (ER-α) and glyceraldehyde-3-phosphate dehydrogenase (GAPDH), also upregulating sirtuin 1 (SIRT1), brain-derived-neurotrophic factor (BDNF), and c-Jun. These findings suggest that the interaction between ECS and KPS could be involved in the fine-tuning of neurogenesis, highlighting a novel role for KPS. Full article
(This article belongs to the Collection Feature Papers in Molecular Neurobiology)
Show Figures

Figure 1

22 pages, 2267 KB  
Article
The Effects of Indirect and Direct Modulation of Endocannabinoid System Function on Anxiety-Related Behavior in Mice Assessed in the Elevated Plus Maze Test
by Marta Kruk-Slomka, Agnieszka Dzik and Grazyna Biala
Molecules 2025, 30(4), 867; https://doi.org/10.3390/molecules30040867 - 13 Feb 2025
Cited by 5 | Viewed by 2833
Abstract
Background: The endocannabinoid system (ECS) is one of the most important systems modulating functions in the body. The ECS, via cannabinoid (CB: CB1 and CB2) receptors, endocannabinoids occurring in the brain (e.g., anandamide (AEA) and 2-arachidonoylglycerol (2-AG)) and enzymes degrading endocannabinoids in the [...] Read more.
Background: The endocannabinoid system (ECS) is one of the most important systems modulating functions in the body. The ECS, via cannabinoid (CB: CB1 and CB2) receptors, endocannabinoids occurring in the brain (e.g., anandamide (AEA) and 2-arachidonoylglycerol (2-AG)) and enzymes degrading endocannabinoids in the brain (fatty-acid amide hydrolase (FAAH) and monoacylglycerol lipase (MAGL)), plays a key role in the regulation of mood and anxiety. However, the effects of cannabinoid compounds on anxiety-related responses are complex and yield mixed results depending on the type of pharmacological manipulation (direct or indirect) of functions of the ECS, as well as the kinds of cannabinoids, dosage and procedure. Methods: The aim of this study was to determine and compare the influence of the direct (via CB receptors ligands) and indirect (via inhibition of enzymes degrading endocannabinoids in the brain) pharmacological modulation of ECS function on anxiety-like responses in mice in the elevated plus maze (EPM) test. For this purpose, in the first step of the experiments, we used selected ligands of CB1, CB1/CB2 and CB2 receptors to assess which types of CB receptors are involved in anxiety-related responses in mice. Next, we used inhibitors of FAAH (which breaks down AEA) or MAGL (which breaks down 2-AG) to assess which endocannabinoid is more responsible for anxiety-related behavior in mice. Results: The results of our presented research showed that an acute administration of CB1 receptor agonist oleamide (5–20 mg/kg) had no influence on anxiety-related responses and CB1 receptor antagonist AM 251 (0.25–3 mg/kg) had anxiogenic effects in the EPM test in mice. In turn, an acute administration of mixed CB1/CB2 receptor agonist WIN55,212-2 used at a dose of 1 mg/kg had an anxiolytic effect observed in mice in the EPM test. What is of interest is that both the acute administration of a CB2 receptor agonist (JWH 133 at the doses of 1 and 2 mg/kg) and antagonist (AM 630 at the doses of 0.5–2 mg/kg) had anxiogenic effects in this procedure. Moreover, we revealed that an acute administration of only FAAH inhibitor URB 597 (0.3 mg/kg) had an anxiolytic effect, while MAGL inhibitor JZL 184 (at any used doses (2–40 mg/kg)) after an acute injection had no influence on anxiety behavior in mice, as observed in the EPM test. Conclusions: In our experiments, we confirmed the clearly significant involvement of the ECS in anxiety-related responses. In particular, the pharmacological indirect manipulation of ECS functions is able to elicit promising anxiolytic effects. Therefore, the ECS could be a potential target for novel anxiolytic drugs; however, further studies are needed. Full article
(This article belongs to the Section Medicinal Chemistry)
Show Figures

Figure 1

33 pages, 2344 KB  
Review
The Endocannabinoid System: Implications in Gastrointestinal Physiology and Pathology
by Emanuela Aloisio Caruso, Valentina De Nunzio, Valeria Tutino and Maria Notarnicola
Int. J. Mol. Sci. 2025, 26(3), 1306; https://doi.org/10.3390/ijms26031306 - 3 Feb 2025
Cited by 5 | Viewed by 6974
Abstract
The endocannabinoid system (ECS), composed of receptors, endocannabinoids, and enzymes that regulate biosynthesis and degradation, plays a fundamental role in the physiology and pathology of the gastrointestinal tract, particularly in the small and large intestine and liver. Specifically, cannabinoid receptor type 1 (CB1R) [...] Read more.
The endocannabinoid system (ECS), composed of receptors, endocannabinoids, and enzymes that regulate biosynthesis and degradation, plays a fundamental role in the physiology and pathology of the gastrointestinal tract, particularly in the small and large intestine and liver. Specifically, cannabinoid receptor type 1 (CB1R) and cannabinoid receptor type 2 (CB2R), located principally in the nervous system and immune cells, orchestrate processes such as intestinal motility, intestinal and hepatic inflammation, and energy metabolism, respectively. The main endocannabinoids, anandamide (AEA) and 2-arachidonoylglycerol (2-AG), influence appetite, body weight regulation, and inflammatory states and thus have implications in obesity, non-alcoholic fatty liver disease (NAFLD) and irritable bowel syndrome (IBS). Recent studies have highlighted the therapeutic potential of targeting the ECS to modulate gastrointestinal and metabolic diseases. In particular, peripheral CB1R antagonists and CB2R agonists have shown efficacy in treating intestinal inflammation, reducing hepatic steatosis, and controlling IBS symptoms. Moreover, the ECS is emerging as a potential target for the treatment of colorectal cancer, acting on cell proliferation and apoptosis. This review highlights the opportunity to exploit the endocannabinoid system in the search for innovative therapeutic strategies, emphasizing the importance of a targeted approach to optimize treatment efficacy and minimize side effects. Full article
(This article belongs to the Section Molecular Pathology, Diagnostics, and Therapeutics)
Show Figures

Figure 1

17 pages, 3136 KB  
Article
Two-Step Cell Death Induction by the New 2-Arachidonoyl Glycerol Analog and Its Modulation by Lysophosphatidylinositol in Human Breast Cancer Cells
by Mikhail G. Akimov, Natalia M. Gretskaya, Evgenia I. Gorbacheva, Nisreen Khadour, Galina D. Sherstyanykh and Vladimir V. Bezuglov
Int. J. Mol. Sci. 2025, 26(2), 820; https://doi.org/10.3390/ijms26020820 - 19 Jan 2025
Viewed by 2168
Abstract
2-arachnadoyl glycerol (2-AG) is one of the most common endocannabinoid molecules with anti-proliferative, cytotoxic, and pro-proliferative effects on different types of tumors. Typically, it induces cell death via cannabinoid receptor 1/2 (CB1/CB2)-linked ceramide production. In breast cancer, ceramide is counterbalanced by the sphingosine-1-phosphate, [...] Read more.
2-arachnadoyl glycerol (2-AG) is one of the most common endocannabinoid molecules with anti-proliferative, cytotoxic, and pro-proliferative effects on different types of tumors. Typically, it induces cell death via cannabinoid receptor 1/2 (CB1/CB2)-linked ceramide production. In breast cancer, ceramide is counterbalanced by the sphingosine-1-phosphate, and thus the mechanisms of 2-AG influence on proliferation are poorly understood. We evaluated the mechanism of the anti-proliferative action by 2-AG and the influence of lysophaosphatidylinositol (LPI) on it in six human breast cancer cell lines of different tumor degree (MCF-10A, MCF-7, BT-474, BT-20, SK-BR-3, and MDA-MB-231) using resazurin test, inhibitor, blocker, and anti-oxidant analysis, and siRNA interference. To avoid acyl migration in 2-AG, we replaced it with the analog 2-arachidonoyl-1,3-difluoropropanol (2-ADFP) newly synthesized by us. Using a molecular docking approach, we showed that at the CB2 receptor, 2-ADFP and 2-AG were very close to each other. However, 2-ADFP demonstrated a stronger affinity towards CB1 in the antagonist-bound conformation. 2-ADFP was anti-proliferative in all the cell lines tested. The toxicity of 2-ADFP was enhanced by LPI. 2-ADFP activity was reduced or prevented by the CB2 and vanilloid receptor 1 (TRPV1) blockers, inositol triphosphate receptor, CREB, and cyclooxygenase 2 inhibitor, and by anti-oxidant addition. Together with the literature data, these results indicate CB2- and TRPV1-dependent COX-2 induction with concomitant cell death induction by the oxidized molecule’s metabolites. Full article
(This article belongs to the Special Issue Breast Cancers: From Molecular Basis to Therapy)
Show Figures

Figure 1

19 pages, 2892 KB  
Review
Cannabinoids—Multifunctional Compounds, Applications and Challenges—Mini Review
by Dominik Duczmal, Aleksandra Bazan-Wozniak, Krystyna Niedzielska and Robert Pietrzak
Molecules 2024, 29(20), 4923; https://doi.org/10.3390/molecules29204923 - 17 Oct 2024
Cited by 14 | Viewed by 7279
Abstract
Cannabinoids represent a highly researched group of plant-derived ingredients. The substantial investment of funds from state and commercial sources has facilitated a significant increase in knowledge about these ingredients. Cannabinoids can be classified into three principal categories: plant-derived phytocannabinoids, synthetic cannabinoids and endogenous [...] Read more.
Cannabinoids represent a highly researched group of plant-derived ingredients. The substantial investment of funds from state and commercial sources has facilitated a significant increase in knowledge about these ingredients. Cannabinoids can be classified into three principal categories: plant-derived phytocannabinoids, synthetic cannabinoids and endogenous cannabinoids, along with the enzymes responsible for their synthesis and degradation. All of these compounds interact biologically with type 1 (CB1) and/or type 2 (CB2) cannabinoid receptors. A substantial body of evidence from in vitro and in vivo studies has demonstrated that cannabinoids and inhibitors of endocannabinoid degradation possess anti-inflammatory, antioxidant, antitumour and antifibrotic properties with beneficial effects. This review, which spans the period from 1940 to 2024, offers an overview of the potential therapeutic applications of natural and synthetic cannabinoids. The development of these substances is essential for the global market of do-it-yourself drugs to fully exploit the promising therapeutic properties of cannabinoids. Full article
(This article belongs to the Special Issue Featured Reviews in Applied Chemistry 2.0)
Show Figures

Figure 1

Back to TopTop