Adult Neurogenesis Is Regulated by the Endocannabinoid and Kisspeptin Systems
Abstract
1. Introduction
2. Results
2.1. Effects of KP10, AEA, and AEA+SR Treatment on Adult Neurogenesis
2.2. KPS Expression in CA3 and DG
2.3. CB1 and TRPV1 Expression in DG and CA3
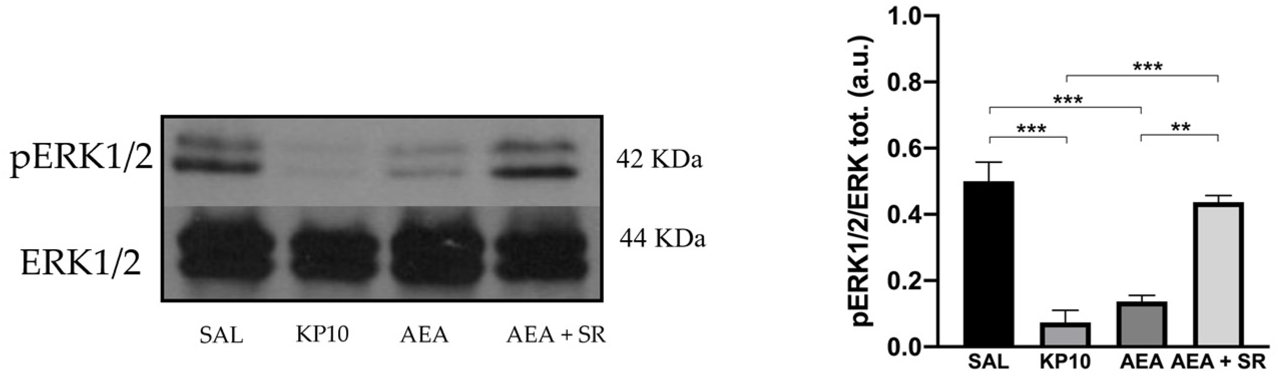
2.4. ECS and KPS Stimulation Reduce Adult Neurogenesis by Inhibiting ERK1/2 Signaling Pathway
2.5. KP10 but Not AEA Induces Molecular Pathways Involved in Neuronal Differentiation
3. Discussion
4. Materials and Methods
4.1. Drugs and Antisera
4.2. Animal Studies
4.3. BrdU Treatment and Quantification
4.4. Immunofluorescence
4.5. Immunohistochemistry
4.6. Western Blot
4.7. Statistical Analysis
Author Contributions
Funding
Institutional Review Board Statement
Informed Consent Statement
Data Availability Statement
Conflicts of Interest
Abbreviations
| NSCs | Neural Stem Cells |
| SVZ | Subventricular Zone |
| SGZ | Subgranular Zone |
| ECS | Endocannabinoid System |
| AEA | Anandamide |
| 2-AG | 2-arachidonoylglycerol |
| GPCRs | G protein-coupled Receptors |
| CB1R | Type 1 Cannabinoid Receptor |
| CB2R | Type 2 Cannabinoid Receptor |
| TRPV1 | Transient Receptor Potential Vanilloid 1 |
| PPARs | Peroxisome Proliferator-Activated Receptors |
| KPS | Kisspeptin System |
| HPG | Hypothalamic-pituitary-gonadal Axis |
| GnRH | Gonadotropin-releasing Hormone |
| SR | SR141716A |
| KP10 | Kisspeptin-10 |
| WB | Western Blot |
| IF | Immunofluorescence |
| IHC | Immunohistochemistry |
| SAL | Control |
| BrdU | 5-bromo-2′-deoxyuridine |
| NeuN | Neural Nuclear Antigen |
| GCL | Granule Cell Layer |
| DG | Dentate Gyrus |
| CA3 | Cornus Ammonis 3 |
| SEM | Standard Error of Mean |
| SP | Stratum Pyramidal |
| HI | Hilus |
| IML | Inner Molecular Layer |
| PERK | Phosphorylated ERK1/2 |
| Erα | Estrogen Receptor Alpha |
| HPH | Hypothalamic-pituitary-hippocampal Axis |
| GnRH | Gonadotropin-Releasing Hormone |
| LH | Luteinizing Hormone |
| FSH | Follicle-Stimulating Hormone |
| HPH | Hypothalamic-Pituitary-Hippocampus axis |
| ML | Molecular layer |
| GAPDH | Glyceraldehyde-3-phosphate dehydrogenase |
| SIRT1 | Sirtuin 1 |
| BDNF | Brain-derived neurotrophic factor |
| RAD | Stratum radiatum |
References
- D. B. D. Degeneration and Regeneration of the Nervous System. Nature 1930, 125, 230–231. [Google Scholar] [CrossRef]
- Altman, J.; Das, G.D. Autoradiographic and Histological Evidence of Postnatal Hippocampal Neurogenesis in Rats. J. Comp. Neurol. 1965, 124, 319–335. [Google Scholar] [CrossRef]
- Altman, J.; Das, G.D. Postnatal Neurogenesis in the Guinea-Pig. Nature 1967, 214, 1098–1101. [Google Scholar] [CrossRef]
- Reynolds, B.A.; Weiss, S. Generation of Neurons and Astrocytes from Isolated Cells of the Adult Mammalian Central Nervous System. Science 1992, 255, 1707–1710. [Google Scholar] [CrossRef]
- Palmer, T.D.; Schwartz, P.H.; Taupin, P.; Kaspar, B.; Stein, S.A.; Gage, F.H. Progenitor Cells from Human Brain after Death. Nature 2001, 411, 42–43. [Google Scholar] [CrossRef] [PubMed]
- Boldrini, M.; Fulmore, C.A.; Tartt, A.N.; Simeon, L.R.; Pavlova, I.; Poposka, V.; Rosoklija, G.B.; Stankov, A.; Arango, V.; Dwork, A.J.; et al. Human Hippocampal Neurogenesis Persists throughout Aging. Cell Stem Cell 2018, 22, 589–599.e5. [Google Scholar] [CrossRef]
- Spalding, K.L.; Bergmann, O.; Alkass, K.; Bernard, S.; Salehpour, M.; Huttner, H.B.; Boström, E.; Westerlund, I.; Vial, C.; Buchholz, B.A.; et al. Dynamics of Hippocampal Neurogenesis in Adult Humans. Cell 2013, 153, 1219–1227. [Google Scholar] [CrossRef] [PubMed]
- Kozareva, D.A.; Cryan, J.F.; Nolan, Y.M. Born This Way: Hippocampal Neurogenesis across the Lifespan. Aging Cell 2019, 18, e13007. [Google Scholar] [CrossRef]
- Fares, J.; Bou Diab, Z.; Nabha, S.; Fares, Y. Neurogenesis in the Adult Hippocampus: History, Regulation, and Prospective Roles. Int. J. Neurosci. 2019, 129, 598–611. [Google Scholar] [CrossRef]
- Imayoshi, I.; Sakamoto, M.; Ohtsuka, T.; Kageyama, R. Continuous Neurogenesis in the Adult Brain. Dev. Growth Differ. 2009, 51, 379–386. [Google Scholar] [CrossRef]
- Abdissa, D.; Hamba, N.; Gerbi, A. Review Article on Adult Neurogenesis in Humans. Transl. Res. Anat. 2020, 20, 100074. [Google Scholar] [CrossRef]
- Niklison-Chirou, M.V.; Agostini, M.; Amelio, I.; Melino, G. Regulation of Adult Neurogenesis in Mammalian Brain. Int. J. Mol. Sci. 2020, 21, 4869. [Google Scholar] [CrossRef]
- Kumar, A.; Pareek, V.; Faiq, M.A.; Ghosh, S.K.; Kumari, C. ADULT NEUROGENESIS IN HUMANS: A Review of Basic Concepts, History, Current Research, and Clinical Implications. Innov. Clin. Neurosci. 2019, 16, 30–37. [Google Scholar]
- Oddi, S.; Fiorenza, M.T.; Maccarrone, M. Endocannabinoid Signaling in Adult Hippocampal Neurogenesis: A Mechanistic and Integrated Perspective. Prog. Lipid Res. 2023, 91, 101239. [Google Scholar] [CrossRef]
- Lu, H.-C.; Mackie, K. Review of the Endocannabinoid System. Biol. Psychiatry Cogn. Neurosci. Neuroimaging 2021, 6, 607–615. [Google Scholar] [CrossRef] [PubMed]
- Pertwee, R.G.; Howlett, A.C.; Abood, M.E.; Alexander, S.P.H.; Di Marzo, V.; Elphick, M.R.; Greasley, P.J.; Hansen, H.S.; Kunos, G.; Mackie, K.; et al. International Union of Basic and Clinical Pharmacology. LXXIX. Cannabinoid Receptors and Their Ligands: Beyond CB1 and CB2. Pharmacol. Rev. 2010, 62, 588–631. [Google Scholar] [CrossRef] [PubMed]
- Kasatkina, L.A.; Rittchen, S.; Sturm, E.M. Neuroprotective and Immunomodulatory Action of the Endocannabinoid System under Neuroinflammation. Int. J. Mol. Sci. 2021, 22, 5431. [Google Scholar] [CrossRef]
- Jin, K.; Xie, L.; Kim, S.H.; Parmentier-Batteur, S.; Sun, Y.; Mao, X.O.; Childs, J.; Greenberg, D.A. Defective Adult Neurogenesis in CB1 Cannabinoid Receptor Knockout Mice. Mol. Pharmacol. 2004, 66, 204–208. [Google Scholar] [CrossRef]
- Aguado, T.; Palazuelos, J.; Monory, K.; Stella, N.; Cravatt, B.; Lutz, B.; Marsicano, G.; Kokaia, Z.; Guzmán, M.; Galve-Roperh, I. The Endocannabinoid System Promotes Astroglial Differentiation by Acting on Neural Progenitor Cells. J. Neurosci. 2006, 26, 1551–1561. [Google Scholar] [CrossRef]
- Jiang, W. Cannabinoids Promote Embryonic and Adult Hippocampus Neurogenesis and Produce Anxiolytic- and Antidepressant-like Effects. J. Clin. Investig. 2005, 115, 3104–3116. [Google Scholar] [CrossRef]
- Rueda, D.; Navarro, B.; Martínez-Serrano, A.; Guzmán, M.; Galve-Roperh, I. The Endocannabinoid Anandamide Inhibits Neuronal Progenitor Cell Differentiation through Attenuation of the Rap1/B-Raf/ERK Pathway. J. Biol. Chem. 2002, 277, 46645–46650. [Google Scholar] [CrossRef] [PubMed]
- Calabrese, E.J.; Rubio-Casillas, A. Biphasic Effects of THC in Memory and Cognition. Eur. J. Clin. Investig. 2018, 48, e12920. [Google Scholar] [CrossRef]
- Marino, M.; D’Auria, R.; Mele, E.; Pastorino, G.M.G.; Di Pietro, P.; D’Angelo, S.; Della Rocca, N.; Operto, F.F.; Vecchione, C.; Fasano, S.; et al. The Interplay between Kisspeptin and Endocannabinoid Systems Modulates Male Hypothalamic and Gonadic Control of Reproduction in Vivo. Front. Endocrinol. 2023, 14, 1269334. [Google Scholar] [CrossRef]
- Liu, X.; Herbison, A.E. Kisspeptin Regulation of Neuronal Activity throughout the Central Nervous System. Endocrinol. Metab. 2016, 31, 193–205. [Google Scholar] [CrossRef] [PubMed]
- Piet, R.; De Croft, S.; Liu, X.; Herbison, A.E. Electrical Properties of Kisspeptin Neurons and Their Regulation of GnRH Neurons. Front. Neuroendocrinol. 2015, 36, 15–27. [Google Scholar] [CrossRef] [PubMed]
- Kauffman, A.S.; Smith, J.T. Kisspeptin Signaling in Reproductive Biology; Advances in Experimental Medicine and Biology; Springer: New York, NY, USA, 2013; ISBN 978-1-4614-6199-9. [Google Scholar]
- Lee, D.K.; Nguyen, T.; O’Neill, G.P.; Cheng, R.; Liu, Y.; Howard, A.D.; Coulombe, N.; Tan, C.P.; Tang-Nguyen, A.-T.; George, S.R.; et al. Discovery of a Receptor Related to the Galanin Receptors. FEBS Lett. 1999, 446, 103–107. [Google Scholar] [CrossRef]
- Arai, A.C. The Role of Kisspeptin and GPR54 in the Hippocampus. Peptides 2009, 30, 16–25. [Google Scholar] [CrossRef]
- Bang, J.Y.; Zhao, J.; Rahman, M.; St-Cyr, S.; McGowan, P.O.; Kim, J.C. Hippocampus-Anterior Hypothalamic Circuit Modulates Stress-Induced Endocrine and Behavioral Response. Front. Neural Circuits 2022, 16, 894722. [Google Scholar] [CrossRef]
- Kandasamy, M.; Radhakrishnan, R.K.; Poornimai Abirami, G.P.; Roshan, S.A.; Yesudhas, A.; Balamuthu, K.; Prahalathan, C.; Shanmugaapriya, S.; Moorthy, A.; Essa, M.M.; et al. Possible Existence of the Hypothalamic-Pituitary-Hippocampal (HPH) Axis: A Reciprocal Relationship Between Hippocampal Specific Neuroestradiol Synthesis and Neuroblastosis in Ageing Brains with Special Reference to Menopause and Neurocognitive Disorders. Neurochem. Res. 2019, 44, 1781–1795. [Google Scholar] [CrossRef]
- Wilheim, T.; Nagy, K.; Mohanraj, M.; Ziarniak, K.; Watanabe, M.; Sliwowska, J.; Kalló, I. Expression of Type One Cannabinoid Receptor in Different Subpopulation of Kisspeptin Neurons and Kisspeptin Afferents to GnRH Neurons in Female Mice. Brain Struct. Funct. 2021, 226, 2387–2399. [Google Scholar] [CrossRef]
- Mills, E.G.A.; Dhillo, W.S.; Comninos, A.N. Kisspeptin and the Control of Emotions, Mood and Reproductive Behaviour. J. Endocrinol. 2018, 239, R1–R12. [Google Scholar] [CrossRef] [PubMed]
- Navarro, V.M.; Tena-Sempere, M. Neuroendocrine Control by Kisspeptins: Role in Metabolic Regulation of Fertility. Nat. Rev. Endocrinol. 2012, 8, 40–53. [Google Scholar] [CrossRef]
- Navarro, V.M. Metabolic Regulation of Kisspeptin—The Link between Energy Balance and Reproduction. Nat. Rev. Endocrinol. 2020, 16, 407–420. [Google Scholar] [CrossRef]
- Ramírez-Barrantes, R.; Cordova, C.; Poblete, H.; Muñoz, P.; Marchant, I.; Wianny, F.; Olivero, P. Perspectives of TRPV1 Function on the Neurogenesis and Neural Plasticity. Neural Plast. 2016, 2016, 1568145. [Google Scholar] [CrossRef]
- Shioda, N.; Han, F.; Fukunaga, K. Chapter 26 Role of Akt and Erk Signaling in the Neurogenesis Following Brain Ischemia. In International Review of Neurobiology; Elsevier: Amsterdam, The Netherlands, 2009; Volume 85, pp. 375–387. ISBN 978-0-12-374893-5. [Google Scholar]
- Samuels, I.S.; Karlo, J.C.; Faruzzi, A.N.; Pickering, K.; Herrup, K.; Sweatt, J.D.; Saitta, S.C.; Landreth, G.E. Deletion of ERK2 Mitogen-Activated Protein Kinase Identifies Its Key Roles in Cortical Neurogenesis and Cognitive Function. J. Neurosci. 2008, 28, 6983–6995. [Google Scholar] [CrossRef]
- Kelleher, R.J.; Govindarajan, A.; Jung, H.-Y.; Kang, H.; Tonegawa, S. Translational Control by MAPK Signaling in Long-Term Synaptic Plasticity and Memory. Cell 2004, 116, 467–479. [Google Scholar] [CrossRef] [PubMed]
- Bruel-Jungerman, E.; Davis, S.; Rampon, C.; Laroche, S. Long-Term Potentiation Enhances Neurogenesis in the Adult Dentate Gyrus. J. Neurosci. 2006, 26, 5888–5893. [Google Scholar] [CrossRef]
- Spencer-Segal, J.L.; Tsuda, M.C.; Mattei, L.; Waters, E.M.; Romeo, R.D.; Milner, T.A.; McEwen, B.S.; Ogawa, S. Estradiol Acts via Estrogen Receptors Alpha and Beta on Pathways Important for Synaptic Plasticity in the Mouse Hippocampal Formation. Neuroscience 2012, 202, 131–146. [Google Scholar] [CrossRef] [PubMed]
- Mérot, Y.; Ferrière, F.; Debroas, E.; Flouriot, G.; Duval, D.; Saligaut, C. Estrogen Receptor Alpha Mediates Neuronal Differentiation and Neuroprotection in PC12 Cells: Critical Role of the A/B Domain of the Receptor. J. Mol. Endocrinol. 2005, 35, 257–267. [Google Scholar] [CrossRef]
- Makhina, T.; Loers, G.; Schulze, C.; Ueberle, B.; Schachner, M.; Kleene, R. Extracellular GAPDH Binds to L1 and Enhances Neurite Outgrowth. Mol. Cell. Neurosci. 2009, 41, 206–218. [Google Scholar] [CrossRef]
- D’Angelo, S.; Mele, E.; Di Filippo, F.; Viggiano, A.; Meccariello, R. Sirt1 Activity in the Brain: Simultaneous Effects on Energy Homeostasis and Reproduction. Int. J. Environ. Res. Public. Health 2021, 18, 1243. [Google Scholar] [CrossRef]
- Herskovits, A.Z.; Guarente, L. SIRT1 in Neurodevelopment and Brain Senescence. Neuron 2014, 81, 471–483. [Google Scholar] [CrossRef] [PubMed]
- Gage, F.H. Mammalian Neural Stem Cells. Science 2000, 287, 1433–1438. [Google Scholar] [CrossRef]
- Prenderville, J.A.; Kelly, Á.M.; Downer, E.J. The Role of Cannabinoids in Adult Neurogenesis. Br. J. Pharmacol. 2015, 172, 3950–3963. [Google Scholar] [CrossRef]
- Hill, M.N.; Kambo, J.S.; Sun, J.C.; Gorzalka, B.B.; Galea, L.A.M. Endocannabinoids Modulate Stress-induced Suppression of Hippocampal Cell Proliferation and Activation of Defensive Behaviours. Eur. J. Neurosci. 2006, 24, 1845–1849. [Google Scholar] [CrossRef] [PubMed]
- Melka, N.; Pszczolinska, A.; Klejbor, I.; Ludkiewicz, B.; Kowiański, P.; Moryś, J. Can the Kisspeptin Help Us in the Understanding of Pathology of Some Neurodegenerative Brain Diseases? Folia Morphol. 2021, 80, 756–765. [Google Scholar] [CrossRef] [PubMed]
- Wang, B.; Gao, Y.; Xiao, Z.; Chen, B.; Han, J.; Zhang, J.; Wang, X.; Dai, J. Erk1/2 Promotes Proliferation and Inhibits Neuronal Differentiation of Neural Stem Cells. Neurosci. Lett. 2009, 461, 252–257. [Google Scholar] [CrossRef]
- Shi, S.; Zhang, P.; Cheng, Q.; Wu, J.; Cui, J.; Zheng, Y.; Bai, X.-Y.; Chen, X. Immunohistochemistry of Deparaffinised Sections Using Antigen Retrieval with Microwave Combined Pressure Cooking versus Immunofluorescence in the Assessment of Human Renal Biopsies. J. Clin. Pathol. 2013, 66, 374–380. [Google Scholar] [CrossRef]
- Arai, A.C.; Orwig, N. Factors That Regulate KiSS1 Gene Expression in the Hippocampus. Brain Res. 2008, 1243, 10–18. [Google Scholar] [CrossRef]
- Ekdahl, C.T.; Claasen, J.-H.; Bonde, S.; Kokaia, Z.; Lindvall, O. Inflammation Is Detrimental for Neurogenesis in Adult Brain. Proc. Natl. Acad. Sci. USA 2003, 100, 13632–13637. [Google Scholar] [CrossRef]
- Clark, P.J.; Kohman, R.A.; Miller, D.S.; Bhattacharya, T.K.; Haferkamp, E.H.; Rhodes, J.S. Adult Hippocampal Neurogenesis and C-Fos Induction during Escalation of Voluntary Wheel Running in C57BL/6J Mice. Behav. Brain Res. 2010, 213, 246–252. [Google Scholar] [CrossRef] [PubMed]
- Santoro, A.; Pisanti, S.; Grimaldi, C.; Izzo, A.A.; Borrelli, F.; Proto, M.C.; Malfitano, A.M.; Gazzerro, P.; Laezza, C.; Bifulco, M. Rimonabant Inhibits Human Colon Cancer Cell Growth and Reduces the Formation of Precancerous Lesions in the Mouse Colon. Int. J. Cancer 2009, 125, 996–1003. [Google Scholar] [CrossRef] [PubMed]
- Linsalata, M.; Notarnicola, M.; Tutino, V.; Bifulco, M.; Santoro, A.; Laezza, C.; Messa, C.; Orlando, A.; Caruso, M.G. Effects of Anandamide on Polyamine Levels and Cell Growth in Human Colon Cancer Cells. Anticancer Res. 2010, 30, 2583–2589. [Google Scholar]
- Tominaga, M.; Wada, M.; Masu, M. Potentiation of Capsaicin Receptor Activity by Metabotropic ATP Receptors as a Possible Mechanism for ATP-Evoked Pain and Hyperalgesia. Proc. Natl. Acad. Sci. USA 2001, 98, 6951–6956. [Google Scholar] [CrossRef]
- Spampinato, S.; Trabucco, A.; Biasiotta, A.; Biagioni, F.; Cruccu, G.; Copani, A.; Colledge, W.H.; Sortino, M.A.; Nicoletti, F.; Chiechio, S. Hyperalgesic Activity of Kisspeptin in Mice. Mol. Pain 2011, 7, 90. [Google Scholar] [CrossRef] [PubMed]
- Li, X.; Liang, C.; Yan, Y. Novel Insight into the Role of the Kiss1/GPR54 System in Energy Metabolism in Major Metabolic Organs. Cells 2022, 11, 3148. [Google Scholar] [CrossRef]
- Goswami, C.; Hucho, T. TRPV1 Expression-dependent Initiation and Regulation of Filopodia. J. Neurochem. 2007, 103, 1319–1333. [Google Scholar] [CrossRef]
- Komuro, H.; Rakic, P. Intracellular Ca2+ Fluctuations Modulate the Rate of Neuronal Migration. Neuron 1996, 17, 275–285. [Google Scholar] [CrossRef]
- Gu, X.; Olson, E.C.; Spitzer, N.C. Spontaneous Neuronal Calcium Spikes and Waves during Early Differentiation. J. Neurosci. Off. J. Soc. Neurosci. 1994, 14, 6325–6335. [Google Scholar] [CrossRef]
- Weissman, T.A.; Riquelme, P.A.; Ivic, L.; Flint, A.C.; Kriegstein, A.R. Calcium Waves Propagate through Radial Glial Cells and Modulate Proliferation in the Developing Neocortex. Neuron 2004, 43, 647–661. [Google Scholar] [CrossRef]
- Chen, S.-Q. KISS1 Methylation and Expression as Predictors of Disease Progression in Colorectal Cancer Patients. World J. Gastroenterol. 2014, 20, 10071. [Google Scholar] [CrossRef]
- Toolee, H.; Rastegar, T.; Solhjoo, S.; Mortezaee, K.; Mohammadipour, M.; Kashani, I.R.; Akbari, M. Roles for Kisspeptin in Proliferation and Differentiation of Spermatogonial Cells Isolated from Mice Offspring When the Cells Are Cocultured with Somatic Cells. J. Cell. Biochem. 2019, 120, 5042–5054. [Google Scholar] [CrossRef]
- Wang, T.; Cui, X.; Xie, L.; Xing, R.; You, P.; Zhao, Y.; Yang, Y.; Xu, Y.; Zeng, L.; Chen, H.; et al. Kisspeptin Receptor GPR54 Promotes Adipocyte Differentiation and Fat Accumulation in Mice. Front. Physiol. 2018, 9, 209. [Google Scholar] [CrossRef]
- Zhao, Y.; Wu, Y.; Wang, J.; Liao, C.; Mi, X.; Chen, F. Circadian Transcription Factor Dbp Promotes Rat Calvarial Osteoprogenitors Osteogenic Differentiation through Kiss1/GnRH/E2 Signaling Pathway Loop. J. Cell. Biochem. 2021, 122, 166–179. [Google Scholar] [CrossRef]
- Yeckel, M.F.; Berger, T.W. Spatial Distribution of Potentiated Synapses in Hippocampus: Dependence on Cellular Mechanisms and Network Properties. J. Neurosci. 1998, 18, 438–450. [Google Scholar] [CrossRef]
- Raivich, G.; Behrens, A. Role of the AP-1 Transcription Factor c-Jun in Developing, Adult and Injured Brain. Prog. Neurobiol. 2006, 78, 347–363. [Google Scholar] [CrossRef]
- Maccarrone, M.; Finazzi-Agró, A. The Endocannabinoid System, Anandamide and the Regulation of Mammalian Cell Apoptosis. Cell Death Differ. 2003, 10, 946–955. [Google Scholar] [CrossRef]
- Huma, T.; Wang, Z.; Rizak, J.; Ahmad, F.; Shahab, M.; Ma, Y.; Yang, S.; Hu, X. Kisspeptin-10 Modulates the Proliferation and Differentiation of the Rhesus Monkey Derived Stem Cell Line: R366.4. Sci. World J. 2013, 2013, 135470. [Google Scholar] [CrossRef]
- Son, H.-E.; Kim, K.-M.; Kim, E.-J.; Jang, W.-G. Kisspeptin-10 (KP-10) Stimulates Osteoblast Differentiation through GPR54-Mediated Regulation of BMP2 Expression and Activation. Sci. Rep. 2018, 8, 2134. [Google Scholar] [CrossRef] [PubMed]
- Chianese, R.; Cobellis, G.; Chioccarelli, T.; Ciaramella, V.; Migliaccio, M.; Fasano, S.; Pierantoni, R.; Meccariello, R. Kisspeptins, Estrogens and Male Fertility. Curr. Med. Chem. 2016, 23, 4070–4091. [Google Scholar] [CrossRef] [PubMed]
- Meccariello, R.; Fasano, S.; Pierantoni, R. Kisspeptins, New Local Modulators of Male Reproduction: A Comparative Overview. Gen. Comp. Endocrinol. 2020, 299, 113618. [Google Scholar] [CrossRef]
- Luine, V.; Frankfurt, M. Interactions between Estradiol, BDNF and Dendritic Spines in Promoting Memory. Neuroscience 2013, 239, 34–45. [Google Scholar] [CrossRef]
- Deb, P.; Chini, A.; Guha, P.; Rishi, A.; Bhan, A.; Brady, B.; Perrotti, L.I.; Mandal, S.S. Dynamic Regulation of BDNF Gene Expression by Estradiol and lncRNA HOTAIR. Gene 2024, 897, 148055. [Google Scholar] [CrossRef]
- Jiang, X.; Chen, Z.; Yu, X.; Chen, J.; Sun, C.; Jing, C.; Xu, L.; Liu, F.; Ni, W.; Chen, L. Lipopolysaccharide-Induced Depression Is Associated with Estrogen Receptor-α/SIRT1/NF-κB Signaling Pathway in Old Female Mice. Neurochem. Int. 2021, 148, 105097. [Google Scholar] [CrossRef]
- Abotalebi, H.; Ebrahimi, B.; Shahriyari, R.; Shafieian, R. Sex Steroids-Induced Neurogenesis in Adult Brain: A Better Look at Mechanisms and Mediators. Horm. Mol. Biol. Clin. Investig. 2021, 42, 209–221. [Google Scholar] [CrossRef]
- Santoro, A.; Chianese, R.; Troisi, J.; Richards, S.; Nori, S.L.; Fasano, S.; Guida, M.; Plunk, E.; Viggiano, A.; Pierantoni, R.; et al. Neuro-Toxic and Reproductive Effects of BPA. Curr. Neuropharmacol. 2019, 17, 1109–1132. [Google Scholar] [CrossRef]
- Santoro, A.; Mele, E.; Marino, M.; Viggiano, A.; Nori, S.L.; Meccariello, R. The Complex Interplay between Endocannabinoid System and the Estrogen System in Central Nervous System and Periphery. Int. J. Mol. Sci. 2021, 22, 972. [Google Scholar] [CrossRef]
- Ciaramella, V.; Meccariello, R.; Chioccarelli, T.; Sirleto, M.; Fasano, S.; Pierantoni, R.; Chianese, R. Anandamide Acts via Kisspeptin in the Regulation of Testicular Activity of the Frog, Pelophylax Esculentus. Mol. Cell. Endocrinol. 2016, 420, 75–84. [Google Scholar] [CrossRef]
- Meccariello, R.; Santoro, A.; D’Angelo, S.; Morrone, R.; Fasano, S.; Viggiano, A.; Pierantoni, R. The Epigenetics of the Endocannabinoid System. Int. J. Mol. Sci. 2020, 21, 1113. [Google Scholar] [CrossRef]
- Oddi, S.; Scipioni, L.; Maccarrone, M. Endocannabinoid System and Adult Neurogenesis: A Focused Review. Curr. Opin. Pharmacol. 2020, 50, 25–32. [Google Scholar] [CrossRef]
- Moore, A.M.; Novak, A.G.; Lehman, M.N. KNDy Neurons of the Hypothalamus and Their Role in GnRH Pulse Generation: An Update. Endocrinology 2023, 165, bqad194. [Google Scholar] [CrossRef]
- Uenoyama, Y.; Nagae, M.; Tsuchida, H.; Inoue, N.; Tsukamura, H. Role of KNDy Neurons Expressing Kisspeptin, Neurokinin B, and Dynorphin A as a GnRH Pulse Generator Controlling Mammalian Reproduction. Front. Endocrinol. 2021, 12, 724632. [Google Scholar] [CrossRef] [PubMed]
- Seaberg, R.M.; van der Kooy, D. Adult Rodent Neurogenic Regions: The Ventricular Subependyma Contains Neural Stem Cells, but the Dentate Gyrus Contains Restricted Progenitors. J. Neurosci. Off. J. Soc. Neurosci. 2002, 22, 1784–1793. [Google Scholar] [CrossRef]
- Von Bohlen Und Halbach, O. Immunohistological Markers for Proliferative Events, Gliogenesis, and Neurogenesis within the Adult Hippocampus. Cell Tissue Res. 2011, 345, 1–19. [Google Scholar] [CrossRef]
- Jin, H.; Hou, J.; Meng, X.; Ma, T.; Wang, B.; Liu, Z.; Sha, X.; Ding, J.; Han, X. Microcystin-Leucine Arginine Induced the Apoptosis of GnRH Neurons by Activating the Endoplasmic Reticulum Stress Resulting in a Decrease of Serum Testosterone Level in Mice. Ecotoxicol. Environ. Saf. 2021, 208, 111748. [Google Scholar] [CrossRef]
- Sinen, O.; Sinen, A.G.; Derin, N.; Aslan, M.A. Nasal Application of Kisspeptin-54 Mitigates Motor Deficits by Reducing Nigrostriatal Dopamine Loss in Hemiparkinsonian Rats. Behav. Brain Res. 2024, 468, 115035. [Google Scholar] [CrossRef]
- Shen, Y.; Zhang, L.; Yang, T.; Li, X.; Liu, C.; Li, H.; Hu, Y.; Shen, H.; Li, H.; Orlov, Y.L.; et al. Monosome Stalls the Translation Process Mediated by IGF2BP in Arcuate Nucleus for Puberty Onset Delay. Mol. Neurobiol. 2025, 62, 3167–3181. [Google Scholar] [CrossRef]
- Zhou, X.; Lu, Y.; Zhao, F.; Dong, J.; Ma, W.; Zhong, S.; Wang, M.; Wang, B.; Zhao, Y.; Shi, Y.; et al. Deciphering the Spatial-Temporal Transcriptional Landscape of Human Hypothalamus Development. Cell Stem Cell 2022, 29, 328–343.e5. [Google Scholar] [CrossRef]
- Paxinos, G.; Watson, C. The Rat Brain in Stereotaxic Coordinates: Hard Cover Edition, 7th ed.; Elsevier Science: Burlington, MA, USA, 2013; ISBN 978-0-12-415752-1. [Google Scholar]
- Crews, F.T.; Mdzinarishvili, A.; Kim, D.; He, J.; Nixon, K. Neurogenesis in Adolescent Brain Is Potently Inhibited by Ethanol. Neuroscience 2006, 137, 437–445. [Google Scholar] [CrossRef]
- Dayer, A.G.; Ford, A.A.; Cleaver, K.M.; Yassaee, M.; Cameron, H.A. Short-term and Long-term Survival of New Neurons in the Rat Dentate Gyrus. J. Comp. Neurol. 2003, 460, 563–572. [Google Scholar] [CrossRef] [PubMed]









| IF Primary Antisera | Dilutions: |
|---|---|
| CB1 rabbit polyclonal IgG (AB23703, Abcam, Cambridge, UK) | 1:100 |
| Kiss1 (Kiss1L), clone 8H4.1 mouse monoclonal IgG1k (MABC60, Merck, Darmstadt, Germany) | 1:50 |
| NeuN rabbit monoclonal IgG (AB177487, Abcam, Cambridge, UK | 1:500 |
| BrdU, sheep polyclonal IgG-Proliferation Marker (AB1893, Abcam, Cambridge, UK) | 1:50 |
| TRPV1, mouse monoclonal [BS397] IgG2b (AB203103, Abcam, Cambridge, UK) | 1:50 |
| IF Secondary Antisera | |
| Horse anti-rabbit IgG Dylight 488 (DI-1088, Vector Laboratories, Kirtlington, Oxfordshire, UK) | 1:200 |
| Horse-anti-mouse IgG Dylight 549 (DI-2549, Vector Laboratories, Kirtlington, Oxfordshire, UK ) | 1:200 |
| Donkey Anti-Sheep IgG H&L (Alexa Fluor® 594; ab150180, Abcam, Cambridge, UK) | 1:200 |
| Donkey anti-Mouse IgG (H&L) Biotin (DkxMu-003-FBIO, ImmunoReagents, Raleigh, NC, USA) | 1:100 |
| Streptavidin, Alexa Fluor™ 647 Conjugate (S32357, Invitrogen, Thermo Fisher Scientific, Waltham, MA, USA) | 1:100 |
| IHC Primary Antisera | |
| Kiss1R rabbit polyclonal, C-terminally amidated peptide (BS-2501R, Bioss Antibodies, Woburn, MA, USA) | 1:50 |
| IHC Secondary Antisera | |
| Donkey-anti-rat IgG Biotin (DkxRt-003-FBIO, ImmunoReagents, Raleigh, NC, USA)) | 1:100 |
| Horseradish Peroxidase Streptavidin (SA-5004-1, Vector Laboratories, Newark, CA, USA) | 1:50 |
| WB Primary Antisera | |
| Brain-Derived Neurotrophic Factor (BDNF) rabbit polyclonal IgG antibody (28205-1-AP, Proteintech, Rosemont, IL, USA) | 1:1000 |
| Phospho-p44/42 MAPK (Erk1/2) (Thr202/Tyr204) Rabbit mAb (4370 Cell signaling, Danvers, MA, USA) | 1:3000 |
| p44/42 MAPK (Erk1/2) Rabbit mAb (4695 Cell signaling, Danvers, MA, USA) | 1:500 |
| Glyceraldehyde-3-phosphate dehydrogenase (GAPDH) mouse monoclonal IgG2b antibody (60004-1IG, Proteintech, Rosemont, IL, USA) | 1:1000 |
| Anti-estrogen receptor alpha rabbit polyclonal IgG antibody (06-935, Merck, Darmstadt, Germany) | 1:1000 |
| SIRT-1 mouse monoclonal IgG1 antibody [19A7AB4] (ab110304, Abcam, Cambridge, UK) | 1:3000 |
| β-actin mouse monoclonal IgG1 antibody (sc-47778, Santa Cruz Biotechnology, Dallas, TX, USA) | 1:1000 |
| Kiss1R rabbit polyclonal (BS-2501R, Bioss Antibodies, USA) | 1:1000 |
| c-Jun (60A8) Rabbit mAb (#9165 Cell signaling, (Woburn, MA, USA)) | 1:1000 |
| α-tubulin rabbit polyclonal IgG antibody (sc-5286; Santa Cruz Biotechnology, Dallas, TX, USA) | 1:1000 |
| WB Secondary Antisera | |
| Goat anti-Rabbit IgG, (H + L) HRP conjugate (AP307P, Merck, Darmstadt, Germany) | 1:3000 |
| Goat anti-Mouse IgG (H + L) HRP conjugate (AP308P, Merck, Darmstadt, Germany) | 1:3000 |
Disclaimer/Publisher’s Note: The statements, opinions and data contained in all publications are solely those of the individual author(s) and contributor(s) and not of MDPI and/or the editor(s). MDPI and/or the editor(s) disclaim responsibility for any injury to people or property resulting from any ideas, methods, instructions or products referred to in the content. |
© 2025 by the authors. Licensee MDPI, Basel, Switzerland. This article is an open access article distributed under the terms and conditions of the Creative Commons Attribution (CC BY) license (https://creativecommons.org/licenses/by/4.0/).
Share and Cite
Marino, M.; Di Pietro, P.; D’Auria, R.; Lombardi, M.; Pastorino, G.M.G.; Troisi, J.; Operto, F.F.; Carrizzo, A.; Vecchione, C.; Viggiano, A.; et al. Adult Neurogenesis Is Regulated by the Endocannabinoid and Kisspeptin Systems. Int. J. Mol. Sci. 2025, 26, 3977. https://doi.org/10.3390/ijms26093977
Marino M, Di Pietro P, D’Auria R, Lombardi M, Pastorino GMG, Troisi J, Operto FF, Carrizzo A, Vecchione C, Viggiano A, et al. Adult Neurogenesis Is Regulated by the Endocannabinoid and Kisspeptin Systems. International Journal of Molecular Sciences. 2025; 26(9):3977. https://doi.org/10.3390/ijms26093977
Chicago/Turabian StyleMarino, Marianna, Paola Di Pietro, Raffaella D’Auria, Martina Lombardi, Grazia Maria Giovanna Pastorino, Jacopo Troisi, Francesca Felicia Operto, Albino Carrizzo, Carmine Vecchione, Andrea Viggiano, and et al. 2025. "Adult Neurogenesis Is Regulated by the Endocannabinoid and Kisspeptin Systems" International Journal of Molecular Sciences 26, no. 9: 3977. https://doi.org/10.3390/ijms26093977
APA StyleMarino, M., Di Pietro, P., D’Auria, R., Lombardi, M., Pastorino, G. M. G., Troisi, J., Operto, F. F., Carrizzo, A., Vecchione, C., Viggiano, A., Meccariello, R., & Santoro, A. (2025). Adult Neurogenesis Is Regulated by the Endocannabinoid and Kisspeptin Systems. International Journal of Molecular Sciences, 26(9), 3977. https://doi.org/10.3390/ijms26093977

