Activation of Cannabinoid Receptor 1 Enhances Wound Healing by Promoting the Proliferative Phase
Abstract
1. Introduction
2. Results
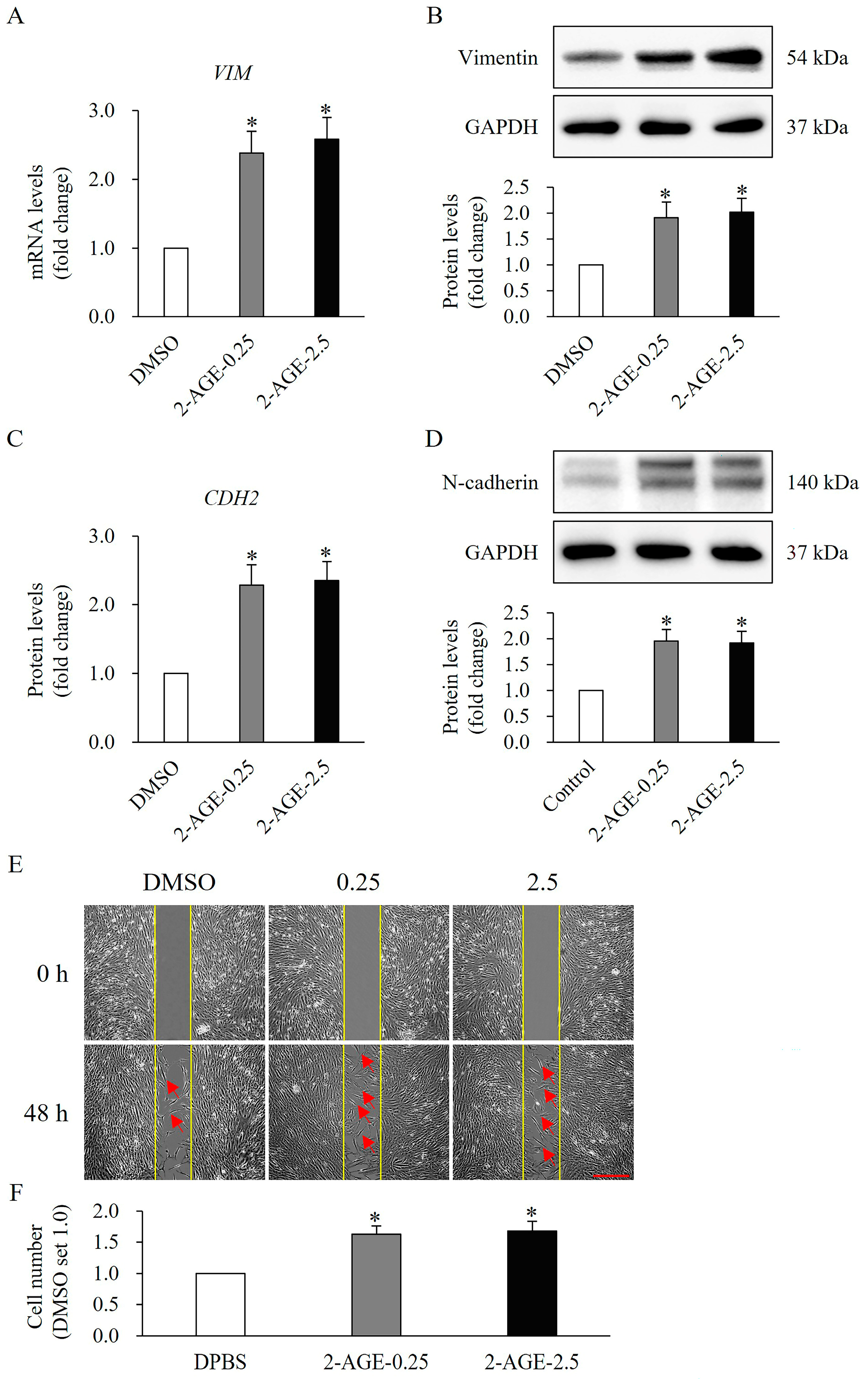
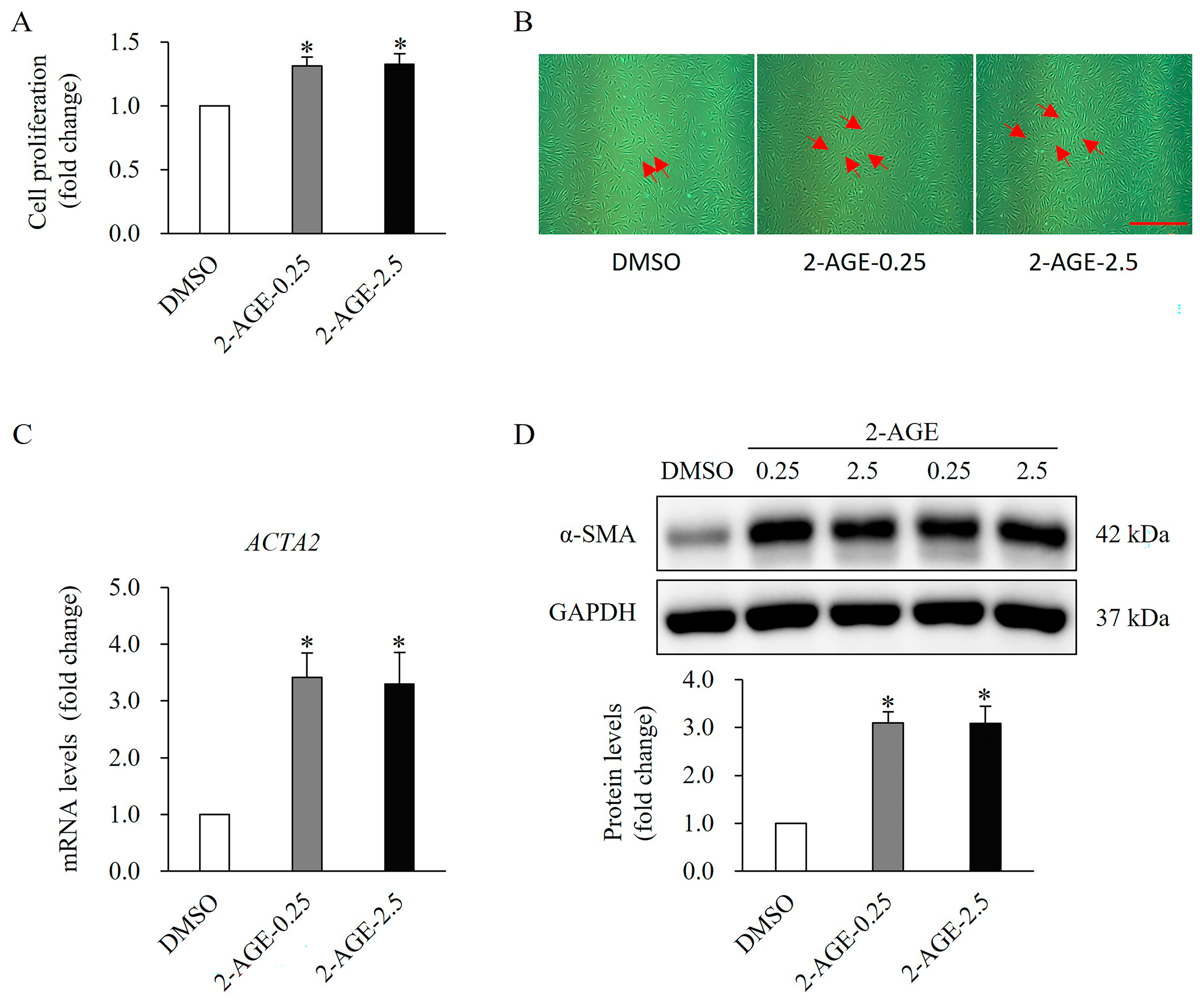
2.1. CB1 Activation Induces Proliferation and Differentiation in Human Dermal Fibroblasts (HDFs)
2.2. Prevention of 2-AGE-Induced Differentiation of HDFs by CB1 Antagonist
2.3. CB1 Activation Induces Epithelial-Mesenchymal Transition/Differentiation-Related Molecules and Migration in HDFs
2.4. CB1 Activation Induces SMAD and Non-SMAD Signaling in HDFs
2.5. CB1 Activation Accelerates Wound Contraction in a Full-Thickness Mouse Wound Model
2.6. CB1 Activation Enhances αSMA and ECM Expressions in Wound Tissues of a Full-Thickness Mouse Wound Model
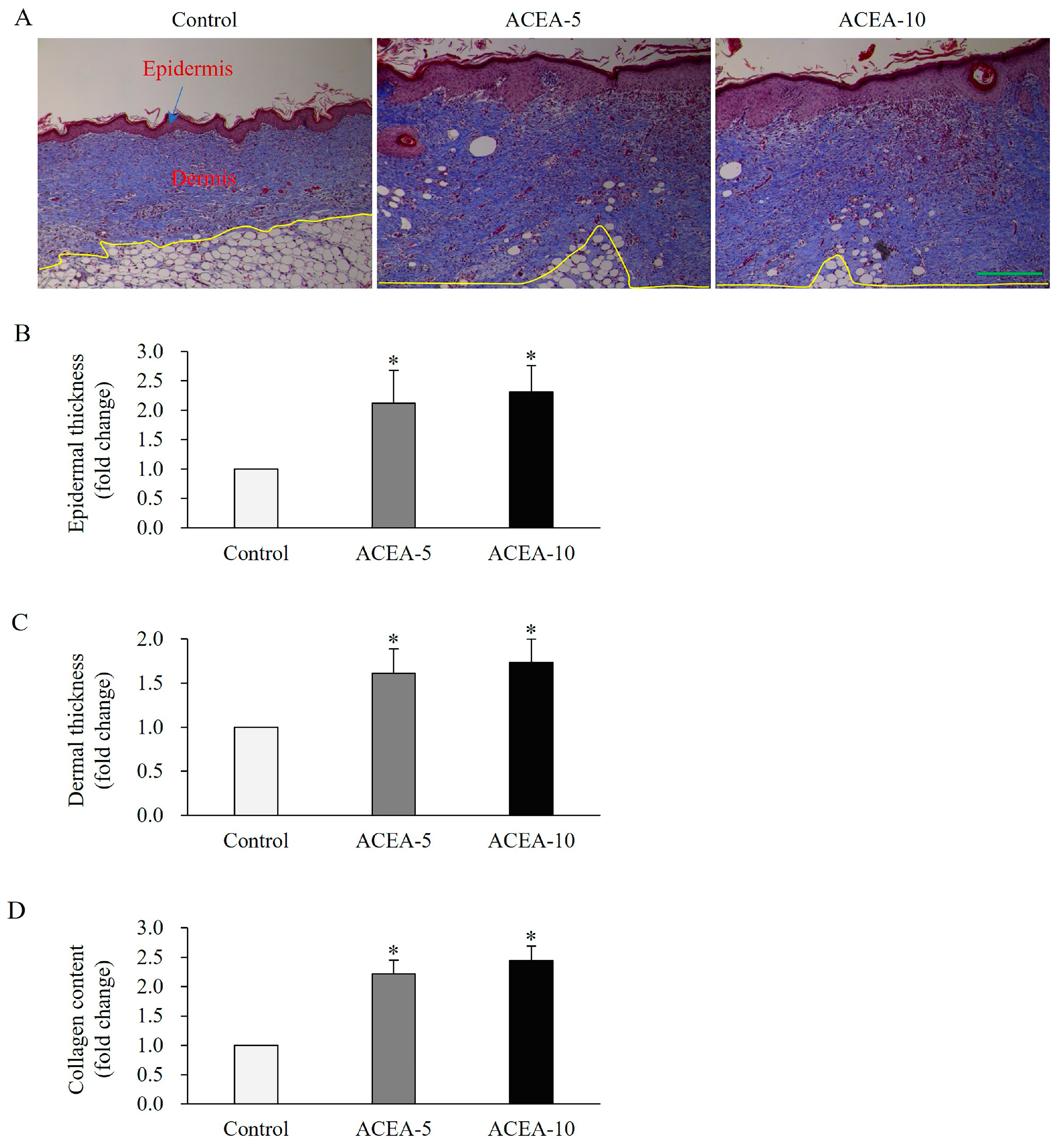
2.7. CB1 Activation Enhances Epidermal and Dermal Thickness as Well as Collagen Content in Wound Tissues of a Full-Thickness Mouse Wound Model
2.8. CB1 Inactivation Impairs Wound Healing by Suppressing the Proliferative Phase in a Mouse Pressure Ulcer Model
3. Discussion
4. Materials and Methods
4.1. Primary Adult Normal HDFs Culture
4.2. CB1 Agonist and Antagonist Treatment
4.3. Cell Proliferation Assay
4.4. Cell Migration Assay
4.5. Animal Wound Models and Administration
4.6. Measurement of Wound Closure
4.7. Reverse Transcription–Quantitative Polymerase Chain Reaction (RT-qPCR)
4.8. Western Blot
4.9. Histology and Measurement of Epithelial and Dermal Thickness
4.10. Statistical Analysis
5. Conclusions
Supplementary Materials
Author Contributions
Funding
Institutional Review Board Statement
Informed Consent Statement
Data Availability Statement
Conflicts of Interest
Abbreviations
| HTS | hypertrophic scar |
| ECM | extracellular matrix |
| FMT | fibroblast-to-myofibroblast transition |
| IPF | idiopathic pulmonary fibrosis |
| UUO | unilateral ureteral obstruction |
| CB1 | cannabinoid receptor 1 |
| THC | tetrahydrocannabinol |
| 2-AGE | 2-arachidonyl glyceryl ether |
| ACEA | arachidonoyl 2′-chloroethylamide |
| ECS | endocannabinoid system |
| TCBM | topical application of Cannabis-Based Medicine |
| LPS | lipopolysaccharide |
| HDF | human dermal fibroblast |
| VSMC | vascular smooth muscle cell |
| MNC | monocyte |
| FBC | fibroblast |
| TGF-β1 | transforming growth factor beta 1 |
| α-SMA | alpha-smooth muscle actin |
| BMP | bone morphogenetic protein |
| TNF-α | tumor necrosis factor-α |
| IL-1β | interleukin-1 beta |
| IFN-γ | interferon gamma |
| MCP-1 | monocyte chemoattractant protein-1 |
| TAK1 | activated kinase 1 |
| JNK | Jun terminal kinase |
| ERK1/2 | extracellular signal-regulated kinase 1/2 |
| AKT | protein kinase B |
| NF-κB | nuclear factor kappa-light-chain-enhancer of activated B cells |
| SPF | Specific Pathogen-Free |
| DPBS | Dulbecco’s Phosphate Buffered Saline |
| FBS | fetal bovine serum |
References
- Bielefeld, K.A.; Amini-Nik, S.; Alman, B.A. Cutaneous wound healing: Recruiting developmental pathways for regeneration. Cell. Mol. Life Sci. 2013, 70, 2059–2081. [Google Scholar] [CrossRef]
- Boraldi, F.; Lofaro, F.D.; Bonacorsi, S.; Mazzilli, A.; Garcia-Fernandez, M.; Quaglino, D. The role of fibroblasts in skin homeostasis and repair. Biomedicines 2024, 12, 1586. [Google Scholar] [CrossRef]
- Kim, S.I.; Choi, M.E. TGF-β-activated kinase-1: New insights into the mechanism of TGF-β signaling and kidney disease. Kidney Res. Clin. Pract. 2012, 31, 94–105. [Google Scholar] [CrossRef]
- Maddali, P.; Ambesi, A.; McKeown-Longo, P.J. Induction of pro-inflammatory genes by fibronectin DAMPs in three fibroblast cell lines: Role of TAK1 and MAP kinases. PLoS ONE 2023, 18, e0286390. [Google Scholar] [CrossRef]
- Levinson, H. A paradigm of fibroblast activation and dermal wound contraction to guide the development of therapies for chronic wounds and pathologic scars. Adv. Wound Care 2013, 2, 149–159. [Google Scholar] [CrossRef]
- Zou, S.; Kumar, U. Cannabinoid receptors and the endocannabinoid system: Signaling and function in the central nervous system. Int. J. Mol. Sci. 2018, 19, 833. [Google Scholar] [CrossRef] [PubMed]
- Miller, H.; De Leo, N.; Badach, J.; Lin, A.; Williamson, J.; Bonawitz, S.; Ostrovsky, O. Role of marijuana components on the regenerative ability of stem cells. Cell Biochem. Funct. 2021, 39, 432–441. [Google Scholar] [CrossRef] [PubMed]
- Zhao, Z.B.; Guan, D.W.; Liu, W.W.; Wang, T.; Fan, Y.Y.; Cheng, Z.H.; Zheng, J.L.; Hu, G.Y. Expression of cannabinoid receptor I during mice skin incised wound healing course. Fa Yi Xue Za Zhi 2010, 26, 241–245. [Google Scholar] [PubMed]
- Marquart, S.; Zerr, P.; Akhmetshina, A.; Palumbo, K.; Reich, N.; Tomcik, M.; Horn, A.; Dees, C.; Engel, M.; Zwerina, J.; et al. Inactivation of the cannabinoid receptor CB1 prevents leukocyte infiltration and experimental fibrosis. Arthritis Rheum. 2010, 62, 3467–3476. [Google Scholar] [CrossRef]
- Maida, V.; Shi, R.B.; Fazzari, F.G.T.; Zomparelli, L. Topical cannabis-based medicines—A novel paradigm and treatment for non-uremic calciphylaxis leg ulcers: An open label trial. Int. Wound J. 2020, 17, 1508–1516. [Google Scholar] [CrossRef]
- Frangogiannis, N. Transforming growth factor-β in tissue fibrosis. J. Exp. Med. 2020, 217, e20190103. [Google Scholar] [CrossRef] [PubMed]
- Lamouille, S.; Xu, J.; Derynck, R. Molecular mechanisms of epithelial-mesenchymal transition. Nat. Rev. Mol. Cell Biol. 2014, 15, 178–196. [Google Scholar] [CrossRef]
- Tai, Y.; Woods, E.L.; Dally, J.; Kong, D.; Steadman, R.; Moseley, R.; Midgley, A.C. Myofibroblasts: Function, formation, and scope of molecular therapies for skin fibrosis. Biomolecules 2021, 11, 1095. [Google Scholar] [CrossRef]
- Nguyen, T.; Duchesne, L.; Sankara Narayana, G.H.N.; Boggetto, N.; Fernig, D.D.; Uttamrao Murade, C.; Ladoux, B.; Mège, R.M. Enhanced cell-cell contact stability and decreased N-cadherin-mediated migration upon fibroblast growth factor receptor-N-cadherin cross talk. Oncogene 2019, 38, 6283–6300. [Google Scholar] [CrossRef]
- Ostrowska-Podhorodecka, Z.; Ding, I.; Norouzi, M.; McCulloch, C.A. Impact of vimentin on regulation of cell signaling and matrix remodeling. Front. Cell Dev. Biol. 2022, 10, 869069. [Google Scholar] [CrossRef] [PubMed]
- Broughton, G., II; Janis, J.E.; Attinger, C.E. Wound healing: An overview. Plast. Reconstr. Surg. 2006, 117, 1e-S–32e-S. [Google Scholar] [CrossRef]
- Mukhopadhyay, B.; Cinar, R.; Yin, S.; Liu, J.; Tam, J.; Godlewski, G.; Harvey-White, J.; Mordi, I.; Cravatt, B.F.; Lotersztajn, S.; et al. Hyperactivation of anandamide synthesis and regulation of cell-cycle progression via cannabinoid type 1 (CB1) receptors in the regenerating liver. Proc. Natl. Acad. Sci. USA 2011, 108, 6323–6328. [Google Scholar] [CrossRef] [PubMed]
- de Almeida, V.; Seabra, G.; Reis-de-Oliveira, G.; Zuccoli, G.S.; Rumin, P.; Fioramonte, M.; Smith, B.J.; Zuardi, A.W.; Hallak, J.E.C.; Campos, A.C.; et al. Cannabinoids modulate proliferation, differentiation, and migration signaling pathways in oligodendrocytes. Eur. Arch. Psychiatry Clin. Neurosci. 2022, 272, 1311–1323. [Google Scholar] [CrossRef]
- Molica, F.; Burger, F.; Thomas, A.; Staub, C.; Tailleux, A.; Staels, B.; Pelli, G.; Zimmer, A.; Cravatt, B.; Matter, C.M.; et al. Endogenous cannabinoid receptor CB1 activation promotes vascular smooth-muscle cell proliferation and neointima formation. J. Lipid Res. 2013, 54, 1360–1368. [Google Scholar] [CrossRef]
- Cinar, R.; Gochuico, B.R.; Iyer, M.R.; Jourdan, T.; Yokoyama, T.; Park, J.K.; Coffey, N.J.; Pri-Chen, H.; Szanda, G.; Liu, Z.; et al. Cannabinoid CB1 receptor overactivity contributes to the pathogenesis of idiopathic pulmonary fibrosis. JCI Insight 2017, 2, e92281. [Google Scholar] [CrossRef]
- Lazzerini, P.E.; Natale, M.; Gianchecchi, E.; Capecchi, P.L.; Montilli, C.; Zimbone, S.; Castrichini, M.; Balistreri, E.; Ricci, G.; Selvi, E.; et al. Adenosine A2a receptor activation stimulates collagen production in sclerodermic dermal fibroblasts either directly and through a cross-talk with the cannabinoid system. J. Mol. Med. 2012, 90, 331–342. [Google Scholar] [CrossRef] [PubMed]
- Correia-Sá, I.B.; Carvalho, C.M.; Serrão, P.V.; Machado, V.A.; Carvalho, S.O.; Marques, M.; Vieira-Coelho, M.A. AM251, a cannabinoid receptor 1 antagonist, prevents human fibroblasts differentiation and collagen deposition induced by TGF-β—An in vitro study. Eur. J. Pharmacol. 2021, 892, 173738. [Google Scholar] [CrossRef] [PubMed]
- Khalil, H.; Kanisicak, O.; Prasad, V.; Correll, R.N.; Fu, X.; Schips, T.; Vagnozzi, R.J.; Liu, R.; Huynh, T.; Lee, S.J.; et al. Fibroblast-specific TGF-β-Smad2/3 signaling underlies cardiac fibrosis. J. Clin. Investig. 2017, 127, 3770–3783. [Google Scholar] [CrossRef] [PubMed]
- Chen, F.; Lyu, L.; Xing, C.; Chen, Y.; Hu, S.; Wang, M.; Ai, Z. The pivotal role of TGF-β/Smad pathway in fibrosis pathogenesis and treatment. Front. Oncol. 2025, 15, 1649179. [Google Scholar] [CrossRef]
- Makino, T.; Jinnin, M.; Muchemwa, F.C.; Fukushima, S.; Kogushi-Nishi, H.; Moriya, C.; Igata, T.; Fujisawa, A.; Johno, T.; Ihn, H. Basic fibroblast growth factor stimulates the proliferation of human dermal fibroblasts via the ERK1/2 and JNK pathways. Br. J. Dermatol. 2010, 162, 717–723. [Google Scholar] [CrossRef]
- Sharma, G.D.; He, J.; Bazan, H.E.P. p38 and ERK1/2 coordinate cellular migration and proliferation in epithelial wound healing: Evidence of cross-talk activation between MAP kinase cascades. J. Biol. Chem. 2003, 278, 21989–21997. [Google Scholar] [CrossRef]
- Selvam, P.; Tseng, C.H.; Wang, C.T.; Sun, Y.Y.; Chen, Y.L.; Kao, Y.T.; Dahms, H.U.; Cheng, C.M. 4-Anilinoquinolinylchalcone derivatives mediate antifibrotic effects through ERK/MRTF-a signaling pathway crosstalk. Environ. Sci. Pollut. Res. 2025, 32, 11685–11696. [Google Scholar] [CrossRef]
- Shingyochi, Y.; Kanazawa, S.; Tajima, S.; Tanaka, R.; Mizuno, H.; Tobita, M. A low-level carbon dioxide laser promotes fibroblast proliferation and migration through activation of Akt, ERK, and JNK. PLoS ONE 2017, 12, e0168937. [Google Scholar] [CrossRef]
- Nikoloudaki, G.; Brooks, S.; Peidl, A.P.; Tinney, D.; Hamilton, D.W. JNK signaling as a key modulator of soft connective tissue physiology, pathology, and healing. Int. J. Mol. Sci. 2020, 21, 1015. [Google Scholar] [CrossRef]
- Dolivo, D.M.; Larson, S.A.; Dominko, T. FGF2-mediated attenuation of myofibroblast activation is modulated by distinct MAPK signaling pathways in human dermal fibroblasts. J. Dermatol. Sci. 2017, 88, 339–348. [Google Scholar] [CrossRef]
- Li, G.; Li, Y.Y.; Sun, J.E.; Lin, W.H.; Zhou, R.X. ILK-PI3K/AKT pathway participates in cutaneous wound contraction by regulating fibroblast migration and differentiation to myofibroblast. Lab. Investig. 2016, 96, 741–751. [Google Scholar] [CrossRef]
- Guo, F.; Hutchenreuther, J.; Carter, D.E.; Leask, A. TAK1 is required for dermal wound healing and homeostasis. J. Investig. Dermatol. 2013, 133, 1646–1654. [Google Scholar] [CrossRef]
- Samulevich, M.L.; Carman, L.E.; Aneskievich, B.J. Critical analysis of cytoplasmic progression of inflammatory signaling suggests potential pharmacologic targets for wound healing and fibrotic disorders. Biomedicines 2024, 12, 2723. [Google Scholar] [CrossRef]
- Sugamura, K.; Sugiyama, S.; Nozaki, T.; Matsuzawa, Y.; Izumiya, Y.; Miyata, K.; Nakayama, M.; Kaikita, K.; Obata, T.; Takeya, M.; et al. Activated endocannabinoid system in coronary artery disease and antiinflammatory effects of cannabinoid 1 receptor blockade on macrophages. Circulation 2009, 119, 28–36. [Google Scholar] [CrossRef] [PubMed]
- Pérez-Diego, M.; Angelina, A.; Martín-Cruz, L.; de la Rocha-Muñoz, A.; Maldonado, A.; Sevilla-Ortega, C.; Palomares, O. Cannabinoid WIN55,212-2 reprograms monocytes and macrophages to inhibit LPS-induced inflammation. Front. Immunol. 2023, 14, 1147520. [Google Scholar] [CrossRef] [PubMed]
- Ruhl, T.; Lippold, E.F.; Christer, T.; Schaefer, B.; Kim, B.S.; Beier, J.P. Genetic deletion of the cannabinoid receptors CB1 and CB2 enhances inflammation with diverging effects on skin wound healing in mice. Life Sci. 2021, 285, 120018. [Google Scholar] [CrossRef]
- Hinz, B. Formation and function of the myofibroblast during tissue repair. J. Investig. Dermatol. 2007, 127, 526–537. [Google Scholar] [CrossRef]
- McAndrews, K.M.; Miyake, T.; Ehsanipour, E.A.; Kelly, P.J.; Becker, L.M.; McGrail, D.J.; Sugimoto, H.; LeBleu, V.S.; Ge, Y.; Kalluri, R. Dermal αSMA+ myofibroblasts orchestrate skin wound repair via β1 integrin and independent of type I collagen production. EMBO J. 2022, 41, e109470. [Google Scholar] [CrossRef]
- Lecru, L.; Desterke, C.; Grassin-Delyle, S.; Chatziantoniou, C.; Vandermeersch, S.; Devocelle, A.; Vernochet, A.; Ivanovski, N.; Ledent, C.; Ferlicot, S.; et al. Cannabinoid receptor 1 is a major mediator of renal fibrosis. Kidney Int. 2015, 88, 72–84, Correction in Kidney Int. 2017, 92, 1018. [Google Scholar] [CrossRef] [PubMed]
- Seo, C.H.; Cui, H.S.; Kim, J.B. Altered KCa3.1 expression following burn injury and the therapeutic potential of TRAM-34 in post-burn hypertrophic scar formation. Transl. Res. 2021, 236, 133–146. [Google Scholar] [CrossRef]
- Cui, H.S.; Kim, D.H.; Joo, S.Y.; Cho, Y.S.; Kim, J.B.; Seo, C.H. Exosomes derived from human hypertrophic scar fibroblasts induces smad and TAK1 signaling in normal dermal fibroblasts. Arch. Biochem. Biophys. 2022, 722, 109215. [Google Scholar] [CrossRef]
- Cui, H.S.; Joo, S.Y.; Lee, S.Y.; Cho, Y.S.; Kim, D.H.; Seo, C.H. Effect of hypertrophic scar fibroblast-derived exosomes on keratinocytes of normal human skin. Int. J. Mol. Sci. 2023, 24, 6132. [Google Scholar] [CrossRef]
- Cui, H.S.; Joo, S.Y.; Cho, Y.S.; Park, J.H.; Kim, J.B.; Seo, C.H. Effect of combining low temperature plasma, negative pressure wound therapy, and bone marrow mesenchymal stem cells on an acute skin wound healing mouse model. Int. J. Mol. Sci. 2020, 21, 3675. [Google Scholar] [CrossRef] [PubMed]
- Deng, Y.; Yang, F.; Cocco, E.; Song, E.; Zhang, J.; Cui, J.; Mohideen, M.; Bellone, S.; Santin, A.D.; Saltzman, W.M. Improved i.p. drug delivery with bioadhesive nanoparticles. Proc. Natl. Acad. Sci. USA 2016, 113, 11453–11458. [Google Scholar] [CrossRef] [PubMed]
- Andres-Mach, M.; Zolkowska, D.; Barcicka-Klosowska, B.; Haratym-Maj, A.; Florek-Luszczki, M.; Luszczki, J.J. Effect of ACEA—A selective cannabinoid CB1 receptor agonist on the protective action of different antiepileptic drugs in the mouse pentylenetetrazole-induced seizure model. Prog. Neuropsychopharmacol. Biol. Psychiatry 2012, 39, 301–309. [Google Scholar] [CrossRef]
- Seo, C.H.; Cui, H.S.; Kim, J.B. Calpastatin-mediated inhibition of calpain ameliorates skin scar formation after burn injury. Int. J. Mol. Sci. 2021, 22, 5771. [Google Scholar] [CrossRef]
- Lanzafame, R.J.; Stadler, I.; Cunningham, R.; Muhlbauer, A.; Griggs, J.; Soltz, R.; Soltz, B.A. Preliminary assessment of photoactivated antimicrobial collagen on bioburden in a murine pressure ulcer model. Photomed. Laser. Surg. 2013, 31, 539–546. [Google Scholar] [CrossRef] [PubMed]
- Cui, H.S.; Lee, Y.R.; Ro, Y.M.; Joo, S.Y.; Cho, Y.S.; Kim, J.B.; Kim, D.H.; Seo, C.H. Knockdown of CPEB1 and CPEB4 Inhibits Scar Formation via Modulation of TAK1 and SMAD Signaling. Ann. Dermatol. 2023, 35, 293–302. [Google Scholar] [CrossRef]
- Parihar, V.K.; Syage, A.; Flores, L.; Lilagan, A.; Allen, B.D.; Angulo, M.C.; Song, J.; Smith, S.M.; Arechavala, R.J.; Giedzinski, E.; et al. The Cannabinoid Receptor 1 Reverse Agonist AM251 Ameliorates Radiation-Induced Cognitive Decrements. Front. Cell Neurosci. 2021, 15, 668286. [Google Scholar] [CrossRef]
- Onaivi, E.S.; Carpio, O.; Ishiguro, H.; Schanz, N.; Uhl, G.R.; Benno, R. Behavioral effects of CB2 cannabinoid receptor activation and its influence on food and alcohol consumption. Ann. N. Y. Acad. Sci. 2008, 1139, 426–433. [Google Scholar] [CrossRef]









| Gene | Forward (5′ → 3′) | Reverse (5′ → 3′) |
|---|---|---|
| GAPDH (h) | CATGAGAAGTATGACAACAGCCT | AGTCCTTCCACGATACCAAAGT |
| ACTA2 (h) | CCGACCGAATGCAGAAGGA | ACAGAGTATTTGCGCTCCGAA |
| FN1 (h) | CCAGTCCACAGCTATTCCTG | ACAACCACGGATGAGCTG |
| COL1A1 (h) | ATGTTCAGCTTTGTGGACCTC | CTGTACGCAGGTGATTGGTG |
| COL3A1 (h) | CACTGGGGAATGGAGCAAAAC | ATCAGGACCACCAATGTCATAGG |
| CDH2 (h) | ACCGACACTCCTACAAGATTT | GCAGAAACAAGTTGGTTGGATA |
| VIM (h) | GTCAGAACTAAAGGAGCTGC | TGTTGCTGTCCAAGTTGCTC |
| Acta2 (m) | CAGATGTGGATCAGCAAACAGGA | GACTTAGAAGCATTTGCGGTGGA |
| Col1a1 (m) | GACATGTTCAGCTTTGTGGACCTC | GGGACCCTTAGGCCATTGTGTA |
| Fn1 (m) | ATCATAGTGGAGGCACTGCAGAA | GGTCAAAGCATGAGTCATCTGTAGG |
| Target | Host | Dilution | Company (Cat. No.) |
|---|---|---|---|
| GAPDH | Rabbit | 1:1000 | Cell Signaling Technology (2118S) |
| GAPDH | Mouse | 1:1000 | Santa Cruz Technology, Dallas, TX, USA (sc-47724) |
| α-SMA | Mouse | 1:500 | Abcam, Cambridge, MA, USA (ab7817) |
| Fibronectin | Rabbit | 1:2000 | Abcam (ab6328) |
| Collagen I | Rabbit | 1:1000 | Abcam (ab34710) |
| Collagen III | Rabbit | 1:1000 | Abcam (ab7778) |
| Vimentin | Mouse | 1:3000 | Abcam (ab92547) |
| N-Cadherin | Mouse | 1:1000 | Invitrogen (333900) |
| Phospho-SMAD2/3 | Rabbit | 1:1000 | Cell Signaling Technology (8828S) |
| SMAD2/3 | Rabbit | 1:1000 | Cell Signaling Technology (3102S) |
| Phospho-TAK1 | Rabbit | 1:1000 | Cell Signaling Technology (9339S) |
| TAK1 | Rabbit | 1:1000 | Cell Signaling Technology (5206S) |
| Phospho-p38 | Mouse | 1:1000 | Cell Signaling Technology (9216S) |
| p38 | Rabbit | 1:1000 | Cell Signaling Technology (8690S) |
| Phospho-JNK | Rabbit | 1:1000 | Cell Signaling Technology (9251S) |
| JNK | Rabbit | 1:1000 | Cell Signaling Technology (9252S) |
| Phospho-ERK | Rabbit | 1:1000 | Cell Signaling Technology (4370S) |
| ERK | Mouse | 1:1000 | Cell Signaling Technology (4696S) |
| Phospho-AKT | Rabbit | 1:1000 | Cell Signaling Technology (4060S) |
| AKT | Rabbit | 1:1000 | Cell Signaling Technology (4671S) |
Disclaimer/Publisher’s Note: The statements, opinions and data contained in all publications are solely those of the individual author(s) and contributor(s) and not of MDPI and/or the editor(s). MDPI and/or the editor(s) disclaim responsibility for any injury to people or property resulting from any ideas, methods, instructions or products referred to in the content. |
© 2026 by the authors. Licensee MDPI, Basel, Switzerland. This article is an open access article distributed under the terms and conditions of the Creative Commons Attribution (CC BY) license.
Share and Cite
Cui, H.S.; Zheng, Y.X.; Cho, Y.S.; Jung, Y.G.; Kwak, I.S.; Ro, Y.M.; Joo, S.Y.; Kim, J.-B.; Seo, C.H. Activation of Cannabinoid Receptor 1 Enhances Wound Healing by Promoting the Proliferative Phase. Int. J. Mol. Sci. 2026, 27, 1171. https://doi.org/10.3390/ijms27031171
Cui HS, Zheng YX, Cho YS, Jung YG, Kwak IS, Ro YM, Joo SY, Kim J-B, Seo CH. Activation of Cannabinoid Receptor 1 Enhances Wound Healing by Promoting the Proliferative Phase. International Journal of Molecular Sciences. 2026; 27(3):1171. https://doi.org/10.3390/ijms27031171
Chicago/Turabian StyleCui, Hui Song, Ya Xin Zheng, Yoon Soo Cho, Yeon Gyun Jung, In Suk Kwak, Yu Mi Ro, So Young Joo, June-Bum Kim, and Cheong Hoon Seo. 2026. "Activation of Cannabinoid Receptor 1 Enhances Wound Healing by Promoting the Proliferative Phase" International Journal of Molecular Sciences 27, no. 3: 1171. https://doi.org/10.3390/ijms27031171
APA StyleCui, H. S., Zheng, Y. X., Cho, Y. S., Jung, Y. G., Kwak, I. S., Ro, Y. M., Joo, S. Y., Kim, J.-B., & Seo, C. H. (2026). Activation of Cannabinoid Receptor 1 Enhances Wound Healing by Promoting the Proliferative Phase. International Journal of Molecular Sciences, 27(3), 1171. https://doi.org/10.3390/ijms27031171

