Sign in to use this feature.

Years

Between: -

Subjects

remove_circle_outline
remove_circle_outline
remove_circle_outline
remove_circle_outline
remove_circle_outline
remove_circle_outline
remove_circle_outline
remove_circle_outline
remove_circle_outline

Journals

remove_circle_outline
remove_circle_outline
remove_circle_outline
remove_circle_outline
remove_circle_outline
remove_circle_outline
remove_circle_outline
remove_circle_outline
remove_circle_outline
remove_circle_outline
remove_circle_outline

Article Types

Countries / Regions

remove_circle_outline
remove_circle_outline
remove_circle_outline
remove_circle_outline
remove_circle_outline

Search Results (315)

Search Parameters:
Keywords = total hip replacement

Order results
Result details
Results per page
Select all
Export citation of selected articles as:
13 pages, 1630 KB  
Article
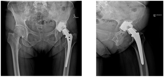
Bridging the Compatibility Gap in Revision Hip Arthroplasty with 14/16 Tapers: Long-Term Outcomes of the Bioball™ System
by Marek Drobniewski, Bartosz Gonera, Łukasz Olewnik, Adam Borowski, Kacper Ruzik, George Triantafyllou and Andrzej Borowski
J. Clin. Med. 2026, 15(2), 771; https://doi.org/10.3390/jcm15020771 - 17 Jan 2026
Viewed by 114
Abstract
Purpose: Revision total hip arthroplasty (RTHA) in the presence of a well-fixed femoral stem is associated with increased risk, as stem removal often results in bone loss, prolonged operative time, and greater blood loss. This problem is particularly relevant for older implants with [...] Read more.
Purpose: Revision total hip arthroplasty (RTHA) in the presence of a well-fixed femoral stem is associated with increased risk, as stem removal often results in bone loss, prolonged operative time, and greater blood loss. This problem is particularly relevant for older implants with a 14/16 taper, which is incompatible with most modern femoral heads. The Bioball™ System, a modular head–neck adapter, allows for acetabular or head-only revision while preserving the femoral stem. This study aimed to evaluate long-term clinical and radiological outcomes of RTHA using the Bioball™ System in patients with 14/16 tapers. Methods: A total of 38 patients (23 women, 15 men; mean age 73.5 years) met the inclusion criteria. All procedures were carried out with a well-fixed femoral stem and a 14/16 taper. Revisions were limited to exchange of the acetabular component, liner, or both, avoiding stem removal. The primary indication was acetabular cup loosening (n = 29, 76.3%); liner-only exchange was performed in 9 patients (23.7%). Clinical outcomes were assessed using the modified Merle d’Aubigné and Postel (MAP) score, and radiological evaluation focused on fixation, migration, and loosening. Mean follow-up was 8.44 years. Results: Both the acetabular component and liner were replaced in 76.3% of patients, while 23.7% underwent liner and head exchange only. Longer adapter sizes were most frequently used, and a 7.5° offset adapter was applied in 57.9% of cases. The modified MAP score improved by a mean of 5.7 points (p < 0.05), and VAS pain scores decreased from 7.4 to 2.6 (p < 0.05). No radiological signs of loosening were observed at final follow-up. Conclusions: The Bioball™ System enables effective restoration of hip stability and offset without femoral stem removal, offering favorable long-term clinical and radiological outcomes in revisions involving older 14/16 tapers. Full article
(This article belongs to the Section Orthopedics)
Show Figures

Figure 1

17 pages, 524 KB  
Review
Hyponatraemia After Hip and Knee Replacement: Incidence, Risk Factors, Clinical Consequences and Management in the Era of Enhanced Recovery
by Lauren Thornley, James Craig, Thomas W. Wainwright and Robert G. Middleton
Clin. Pract. 2025, 15(12), 236; https://doi.org/10.3390/clinpract15120236 - 16 Dec 2025
Viewed by 355
Abstract
Introduction: Total hip replacements and total knee replacements are among the most frequently performed operations worldwide, and the demand for such procedures is ever-growing. It is essential to focus on preventable medical complications that can arise from these procedures, specifically postoperative hyponatraemia. Postoperative [...] Read more.
Introduction: Total hip replacements and total knee replacements are among the most frequently performed operations worldwide, and the demand for such procedures is ever-growing. It is essential to focus on preventable medical complications that can arise from these procedures, specifically postoperative hyponatraemia. Postoperative hyponatraemia has an incidence of 20–40% in total hip and knee replacement patient cohorts. Even mild postoperative hyponatraemia is clinically relevant, as it is associated with cognitive impairment and gait disturbance and may undermine the aims of enhanced recovery protocols. Severe postoperative hyponatraemia can lead to seizures, coma, intensive care admission, and death. Although uncommon, the high volume of patients treated in busy orthopaedic centres means such cases will inevitably be encountered. This narrative review summarises the current evidence on incidence, risk factors and consequences of postoperative hyponatraemia in total hip and knee replacement populations. Methods: A literature review was performed through the EBSCO and PubMed databases to identify relevant studies. Key search terms included were “hyponatraemia”, “total hip replacement”, and “total knee replacement”. Results: The incidence of postoperative hyponatraemia is largely between 20% and 40%; however, there are some outliers to this. Multiple risk factors have been identified through observational studies, including age, preoperative hyponatraemia, female sex and certain medications, which signal a need for a risk stratification strategy that can assist in preoperative assessment and the early identification of patients at higher risk of developing postoperative hyponatraemia. Evidence is scarce regarding interventional studies for the prevention and management of postoperative hyponatraemia, despite multiple studies highlighting the issue. Conclusion: Future work should focus on testable, quality improvement interventions, such as automatic sodium checks on postoperative day one, weight-based oral fluid protocols, oral salt supplementation, and escalation pathways for high-risk patients. Incorporating these into enhanced recovery frameworks has the potential not only to optimise safe early discharge for the majority but also to prevent rare but significant complications. Full article
Show Figures

Figure 1

45 pages, 11101 KB  
Review
Processing and Development of Porous Titanium for Biomedical Applications: A Comprehensive Review
by Mayank Kumar Yadav, Akshay Yarlapati, Yarlapati Naga Aditya, Praveenkumar Kesavan, Vaibhav Pandey, Chandra Shekhar Perugu, Amit Nain, Kaushik Chatterjee, Satyam Suwas, Jayamani Jayaraj and Konda Gokuldoss Prashanth
J. Manuf. Mater. Process. 2025, 9(12), 401; https://doi.org/10.3390/jmmp9120401 - 4 Dec 2025
Viewed by 1315
Abstract
Titanium (Ti) and its alloys are widely used in orthopedic applications, including total hip and knee replacements, bone plates, and dental implants, because of their superior biocompatibility, bioactivity, corrosion resistance, and mechanical robustness. These alloys effectively overcome several limitations of conventional metallic implants, [...] Read more.
Titanium (Ti) and its alloys are widely used in orthopedic applications, including total hip and knee replacements, bone plates, and dental implants, because of their superior biocompatibility, bioactivity, corrosion resistance, and mechanical robustness. These alloys effectively overcome several limitations of conventional metallic implants, such as 316L stainless steel and Co-Cr alloys, particularly with respect to corrosion, fatigue performance, and biological response. However, dense Ti alloys possess a relatively high elastic modulus, which can cause stress shielding in load-bearing applications. This challenge has motivated significant research toward engineered porous Ti structures that exhibit a reduced and bone-matched modulus while preserving adequate mechanical integrity. This review provides a comprehensive examination of powder metallurgy and additive manufacturing approaches used to fabricate porous Ti and Ti-alloy scaffolds, including additive manufacturing and different powder metallurgy techniques. Processing routes are compared in terms of achievable porosity, pore size distribution, microstructural evolution, mechanical properties, and biological outcomes, with emphasis on the relationship between processing parameters, pore architecture, and functional performance. The reported findings indicate that optimized powder-metallurgy techniques can generate interconnected pores in the 100–500 μm range suitable for osseointegration while maintaining compressive strengths of 50–300 MPa, whereas additive manufacturing enables the precise control of hierarchical architectures but requires careful post-processing to remove adhered powder, stabilize microstructures, and ensure corrosion and wear resistance. In addition, this review integrates fundamental aspects of bone biology and bone implant interaction to contextualize the functional requirements of porous Ti scaffolds. Full article
Show Figures

Graphical abstract

15 pages, 560 KB  
Article
Quality of Life Following Vancouver Type B Periprosthetic Femoral Fractures: A Cross-Sectional Study
by Nemanja Gvozdenović, Miodrag Vranješ, Igor Lekić, Sveto Bjelan and Andrijana Ćorić
Medicina 2025, 61(12), 2159; https://doi.org/10.3390/medicina61122159 - 4 Dec 2025
Viewed by 445
Abstract
Background and Objectives: Total hip arthroplasty (THA) is a common orthopedic procedure. It helps restore mobility and reduce pain in patients with hip joint disorders. Periprosthetic femoral fracture (PFF) is an acute complication that may occur after primary THA. The rate of [...] Read more.
Background and Objectives: Total hip arthroplasty (THA) is a common orthopedic procedure. It helps restore mobility and reduce pain in patients with hip joint disorders. Periprosthetic femoral fracture (PFF) is an acute complication that may occur after primary THA. The rate of PFFs after primary total hip replacement is approximately 1%. The aim of this study was to assess the overall quality of life of patients following PFF surgery. Materials and Methods: This cross-sectional study included 60 patients with PFFs of Vancouver type B (32 females and 28 males, respectively), with a mean age of 73.02 ± 8.97 years and 30 controls who underwent primary THA. Quality of life was assessed at least 12 months postoperatively using the validated Serbian SF-36 questionnaire and clinical examination. Results: Older age correlated with declines in Physical and Emotional functioning, Vitality (Energy/fatigue), and Social activities (overall SF-36: r = −0.619, p < 0.01). Patients who underwent femoral stem revision with osteosynthesis (B2 and B3) showed better quality of life compared to those who underwent osteosynthesis alone (B1) in General health perceptions (t = −2.266, p = 0.027) and Physical functioning (t = 2.526, p = 0.014). Patients after PFF surgery had lower postoperative quality of life compared to those who underwent primary THA (overall SF-36: 66.68 ± 15.60 vs. 84.10 ± 14.65, t = −5.092, p < 0.0005). Conclusions: Patients with PFF have a lower quality of life than those after primary THA, while combined stem revision and osteosynthesis yield better outcomes than osteosynthesis alone. Full article
(This article belongs to the Section Orthopedics)
Show Figures

Figure 1

15 pages, 3170 KB  
Article
Measuring Relative Component Motion and Stability in Total Hip Replacements Using a Magnetic Position and Orientation Sensing System
by Oliver G. Vickers, Peter R. Culmer, Graham H. Isaac, Robert W. Kay, Matthew P. Shuttleworth, Tim N. Board and Sophie Williams
Sensors 2025, 25(23), 7280; https://doi.org/10.3390/s25237280 - 29 Nov 2025
Viewed by 500
Abstract
An instrumented total hip replacement (THR) implant capable of remote and continuous monitoring would be an attractive prospect for a surgeon to conveniently track the recovery of their patients. Measuring the relative motion of the prosthesis components would provide insight into joint kinematics [...] Read more.
An instrumented total hip replacement (THR) implant capable of remote and continuous monitoring would be an attractive prospect for a surgeon to conveniently track the recovery of their patients. Measuring the relative motion of the prosthesis components would provide insight into joint kinematics and contribute to the detection of adverse events including impingement and subluxation. The aim of this study was to develop a sensing system to measure the relative orientation and translation of the prosthesis components. A tri-axis magnetometer and a permanent magnet were integrated into clinically available THR components, forming a magnetic position and orientation sensing system. A robotic arm was used to articulate the components through controlled motion routines and record the orientation of the components. The output of the robot arm and a camera tracking system were used to validate the performance of the sensing system. The sensing system measured the relative orientation of the components to two degrees of freedom with an RMSE of <4.0° and measured the displacement of the femoral head during an impingement-driven subluxation motion with an RMSE of 0.2 mm. This proof-of-concept work has shown that magnetic sensing technology can track the position and orientation of THR components. With further development, this sensing method could feature within an instrumented THR implant. Full article
(This article belongs to the Special Issue Advanced Sensors in Biomechanics and Rehabilitation—2nd Edition)
Show Figures

Figure 1

10 pages, 419 KB  
Article
Personalized Approaches to Diagnostic and Therapeutic Strategies in Periprosthetic Fracture-Related Infections (PFRIs): Case Series and Literature Review
by Marianna Faggiani, Marco Zugnoni, Matteo Olivero, Salvatore Risitano, Giuseppe Malizia, Silvia Scabini, Marcello Capella, Stefano Artiaco, Simone Sanfilippo and Alessandro Massè
J. Pers. Med. 2025, 15(12), 576; https://doi.org/10.3390/jpm15120576 - 28 Nov 2025
Viewed by 296
Abstract
Aim: Periprosthetic fracture-related infections (PFRIs) are a serious complication of total arthroplasty, with incidence rates increasing in line with the growing number of joint replacements. PFRI can lead to prolonged hospitalization, multiple surgical procedures and suboptimal functional outcomes. The diagnosis of PFRI [...] Read more.
Aim: Periprosthetic fracture-related infections (PFRIs) are a serious complication of total arthroplasty, with incidence rates increasing in line with the growing number of joint replacements. PFRI can lead to prolonged hospitalization, multiple surgical procedures and suboptimal functional outcomes. The diagnosis of PFRI remains challenging due to the overlap of clinical symptoms with other post-traumatic conditions, and identification of the pathogen often fails through conventional methods. This study also highlights the importance of a personalized medicine approach in managing PFRI, where diagnostic and therapeutic decisions are tailored to the individual patient’s comorbidities, immune status and bone healing capacity. By integrating clinical, microbiological and imaging data, our findings support precision-based strategies to optimize outcomes and minimize complication. Methods: This retrospective case series was conducted at the Unit of Osteoarticular Infection of the University of Turin, Italy, from January 2018 to December 2023. Patients who developed septic complications after open reduction and internal fixation (ORIF) of periprosthetic fractures involving hip or knee implants were included. The infection was diagnosed in accordance with established guidelines, and treatment decisions were based on clinical, microbiological and radiological findings. Results: In the present study, periprosthetic fractures complicated by infections were identified in nine patients (5.4%), constituting a small but significant subset of cases. The cases were then categorized into four clinical scenarios based on the following variables: joint involvement, fracture healing and infection progression. Scenario A, involving fractures without prosthetic involvement and unhealed fractures, included three patients (33%) and was treated with debridement and change of the fixation device. Scenario B, involving fractures without prosthetic involvement but with healed fractures, involved one patient (11%), where the ongoing infection was confirmed despite the healed fracture and where the device could be removed. The third scenario (C), which pertains to cases involving prosthetic involvement, included three patients (33%) who required replacement or removal of the prosthesis and, in some cases, a second stage. The fourth scenario, involving patients with limited operability, included two patients (22%) for whom no surgery was performed. Despite the significant clinical challenges encountered, the paucity of literature on the management of periprosthetic fractures with septic complications is limited, highlighting the need for further research in this understudied area. Conclusions: PFRI remains a challenging complication that necessitates a multidisciplinary approach to diagnosis and treatment. Despite advances in imaging and microbiological testing, the early detection and identification of pathogens remain challenging, emphasizing the necessity for enhanced diagnostic methods. This study offers valuable insights into the management of PFRI and provides a foundation for future research to develop optimal diagnostic and therapeutic strategies. Full article
(This article belongs to the Section Diagnostics in Personalized Medicine)
Show Figures

Figure 1

10 pages, 792 KB  
Case Report
Application of Molecular Diagnostics in Periprosthetic Joint Infection Microorganism Identification Following Screening Colonoscopy: A Case Report and Review of the Literature
by Pieralberto Valpiana, Andrea Giordano Salvi, Michele Paolo Festini Capello, Fjorela Qordja, Sebastian Schaller, Jaeah Kim and Pier Francesco Indelli
Prosthesis 2025, 7(6), 152; https://doi.org/10.3390/prosthesis7060152 - 21 Nov 2025
Viewed by 511
Abstract
Background: Culture-negative periprosthetic joint infections (PJIs) are dramatically increasing in prevalence. The success rate of implant-saving procedures in acute PJI cases is closely correlated with prompt diagnosis, rapid isolation/identification of the microorganism, and timely surgical intervention. Methods: A 70-year-old female patient [...] Read more.
Background: Culture-negative periprosthetic joint infections (PJIs) are dramatically increasing in prevalence. The success rate of implant-saving procedures in acute PJI cases is closely correlated with prompt diagnosis, rapid isolation/identification of the microorganism, and timely surgical intervention. Methods: A 70-year-old female patient with an acutely infected left total hip arthroplasty (THA) following a routine screening colonoscopy was rapidly treated with debridement, antibiotic pearls, and retention of the implant (DAPRI) after rapid identification of the microorganism using a molecular diagnostics-based algorithm. Results: Molecular diagnostics enabled the identification of Escherichia coli as the causative agent of the transient bacteremia and subsequent seeding of the left hip within less than an hour. Conclusions: This case suggests that endoscopic procedures may increase the risk to joint replacement patients. In acute PJI, the use of molecular diagnostics, which facilitates prompt identification of microorganisms, may increase the success rate of implant-saving surgical procedures. Full article
(This article belongs to the Section Orthopedics and Rehabilitation)
Show Figures

Figure 1

18 pages, 2000 KB  
Article
Perioperative Patient Blood Management in Primary Knee and Hip Arthroplasty—Nonsense or Necessity?
by Johannes Neugebauer, Clemens Strassegger, David Putzer, Melanie Schindler, Adriana Palacio-Giraldo, Markus Neubauer, Gianpaolo Leone, Herbert Koinig and Dietmar Dammerer
J. Clin. Med. 2025, 14(22), 8237; https://doi.org/10.3390/jcm14228237 - 20 Nov 2025
Viewed by 536
Abstract
Background/Objectives: The perioperative management of a patient’s blood values involves the optimization of anemia management in the pre-, intra-, and postoperative periods to avoid blood transfusions. The purpose of this study was to determine the prevalence of pre- and postoperative anemia in patients [...] Read more.
Background/Objectives: The perioperative management of a patient’s blood values involves the optimization of anemia management in the pre-, intra-, and postoperative periods to avoid blood transfusions. The purpose of this study was to determine the prevalence of pre- and postoperative anemia in patients undergoing elective knee and hip arthroplasty, and explore the change in hemoglobin levels in transfused and non-transfused patients over the course of their hospital stay. Methods: In this retrospective study, data on anemia-influencing factors were collected and examined using multiple regression analysis (OLS model) to determine if they are associated with the average hemoglobin change in 801 patients who underwent a primary knee or hip arthroplasty. The study group was screened for the prevalence of preoperative anemia, and the incidence of postoperative anemia was examined. Results: A total of 801 patients were retrospectively investigated. The length of stay for the two different procedures was significantly different (p < 0.001). There was a markedly higher transfusion rate in the cases requiring longer-than-usual hospital stays. In total, 37 patients (5%) received perioperative erythrocyte transfusions. Total hip replacement (THR) was associated with significantly more erythrocyte transfusions (8%) in comparison with total knee replacement (TKR) (2%) (p < 0.001). Conclusions: Satisfactory results for the prevalence and incidence of anemia in the context of primary knee or hip arthroplasties were obtained in this study. The collected values indicate the need for better implementation and awareness of the importance of adequate patient blood management. Full article
(This article belongs to the Section Orthopedics)
Show Figures

Figure 1

26 pages, 485 KB  
Review
Predictive Factors of Inpatient Rehabilitation Stay After Elective Hip and Knee Replacement: A Scoping Review
by Federico Pennestrì and Giuseppe Banfi
Appl. Sci. 2025, 15(22), 11957; https://doi.org/10.3390/app152211957 - 11 Nov 2025
Viewed by 823
Abstract
Patient stratification strategies based on digital databases and advanced information technology can predict inpatient rehabilitation outcomes and support safe hospital discharge for patients who underwent joint replacement for hip and knee osteoarthritis. The degree of continuity between surgery and rehabilitation, the perioperative process [...] Read more.
Patient stratification strategies based on digital databases and advanced information technology can predict inpatient rehabilitation outcomes and support safe hospital discharge for patients who underwent joint replacement for hip and knee osteoarthritis. The degree of continuity between surgery and rehabilitation, the perioperative process integration, and the setting where rehabilitation is provided are crucial factors to improve care effectiveness, access, minimize readmissions, and cost increase. The primary aim of this scoping review of the literature is to identify perioperative variables that are predictive of inpatient rehabilitation stay after hip and knee arthroplasty for osteoarthritis. These factors are divided by time of assessment through the perioperative pathway and surgical procedure site. The secondary aim is to explore how different data sources and facilities are linked into a patient-centered perioperative pathway. An electronic search of the literature was performed on PubMed, Embase, and Scopus. No time restrictions were applied. All primary research studies investigating predictive factors of inpatient rehabilitation stay after hip and knee osteoarthritis were included. In total, 25 studies were included in the review. Age, caregiver presence, presence of comorbidities, sex, Body Mass Index, Risk Assessment and Prediction Tool composite score, pre-operative Clinician-Reported Outcome Measures, pre-operative Patient-Reported Outcome Measures, and post-operative Barthel Index of autonomy in the Activities of Daily Living were predictive of some degree of inpatient rehabilitation stay in more than one study. The studies were fairly distributed between retrospective and prospective, with multicentric databases more spread among the latter. Data collection occurred in acute hospitals more than in specialized rehabilitation facilities. Using comprehensive models supported by electronic health records and powerful information technologies, analyzing specific inpatient rehabilitation LOS as distinguished from surgical ward rehabilitation, using institutional registries, and including specific rehabilitation factors in these registries, and promoting vocabulary and federated data sharing can strongly enhance the predictivity of models investigating rehabilitation outcomes and support appropriate discharge from inpatient rehabilitation units. Full article
(This article belongs to the Special Issue New Insights into Physical Therapy)
Show Figures

Figure 1

12 pages, 1467 KB  
Article
Identifying Risk Groups in 73,000 Patients with Diabetes Receiving Total Hip Replacement: A Machine Learning Clustering Analysis
by Alishah Ahmadi, Anthony J. Kaywood, Alejandra Chavarria, Oserekpamen Favour Omobhude, Adam Kiss, Mateusz Faltyn and Jason S. Hoellwarth
J. Pers. Med. 2025, 15(11), 537; https://doi.org/10.3390/jpm15110537 - 5 Nov 2025
Viewed by 545
Abstract
Background/Objective: Diabetes mellitus (DM) is a highly prevalent condition that contributes to adverse outcomes in patients undergoing total hip arthroplasty (THA). This study applied machine learning clustering algorithms to identify comorbidity profiles among diabetic THA patients and evaluate their association with postoperative [...] Read more.
Background/Objective: Diabetes mellitus (DM) is a highly prevalent condition that contributes to adverse outcomes in patients undergoing total hip arthroplasty (THA). This study applied machine learning clustering algorithms to identify comorbidity profiles among diabetic THA patients and evaluate their association with postoperative outcomes. Methods: The 2015–2021 National Inpatient Sample was queried using ICD-10 CM/PCS codes to identify DM patients undergoing THA. Forty-nine comorbidities, complications, and clinical covariates were incorporated into clustering analysis. The Davies–Bouldin and Calinski–Harabasz indices determined the optimal number of clusters. Multivariate logistic regression assessed risk of non-routine discharge (NRD), and Kruskal–Wallis H testing evaluated length-of-stay (LOS) differences. Results: A total of 73,606 patients were included. Six clusters were identified, ranging from 107 to 61,505 patients. Cluster 6, enriched for urinary tract infection and sepsis, had the highest risk of NRD (OR 7.83, p < 0.001) and the longest median LOS (9.0 days). Clusters 1–4 had shorter recoveries with median LOS of 2.0 days and narrow variability, while Cluster 5 showed intermediate outcomes. Kruskal–Wallis and post hoc testing confirmed significant differences across clusters (p < 0.001). Conclusions: Machine learning clustering of diabetic THA patients revealed six distinct groups with varied comorbidity profiles. Infection-driven clusters carried the highest risk for non-routine discharge and prolonged hospitalization. This approach provides a novel framework for risk stratification and may inform targeted perioperative management strategies. Full article
Show Figures

Figure 1

12 pages, 2038 KB  
Systematic Review
Thromboembolic Risk After Total Hip Replacement Versus Hemiarthroplasty in Femoral Neck Fracture Patients: A Systematic Review and Meta-Analysis
by Ibrahim A. Hakami, Mohammed A. Altammar, Shafi A. Alaklabi, Meshari M. Alotaibi, Saleh N. Almunyif, Mohammed I. Alshuwaier, Sultan T. Alobaysi, Sultan S. Aldalbahi, Abdullah H. Alotaibi, Mohammed M. Alotaibi, Omar S. Alobaysi, Moath T. Aladhyani and Mohammad A. Jareebi
Medicina 2025, 61(11), 1929; https://doi.org/10.3390/medicina61111929 - 28 Oct 2025
Viewed by 843
Abstract
Background and Objectives: Femoral neck fractures are common among elderly patients and are typically managed surgically to restore mobility and reduce complications. Total Hip Replacement (THR) and Hemiarthroplasty (HA) are standard interventions. While both procedures are widely used, the comparative risks of [...] Read more.
Background and Objectives: Femoral neck fractures are common among elderly patients and are typically managed surgically to restore mobility and reduce complications. Total Hip Replacement (THR) and Hemiarthroplasty (HA) are standard interventions. While both procedures are widely used, the comparative risks of thromboembolic complications remain unclear. This study aimed to systematically compare the risk of Venous Thromboembolism (VTE), including Deep Vein Thrombosis (DVT), Pulmonary Embolism (PE), and Arterial Thromboembolic events in patients undergoing THR versus hemiarthroplasty for femoral neck fractures. Materials and Methods: A comprehensive literature search was conducted in PubMed, Web of Science, Google Scholar, and OVID-Medline for studies published between 2000 and 2024. Eligible studies included patients aged ≥50 years with femoral neck fractures treated with THR or Hemiarthroplasty and reported thromboembolic outcomes. Risk of bias was assessed using the Newcastle–Ottawa Scale and the RoB 2 tools. Meta-analysis was performed using RevMan software (Version 5.4). Results: Twelve studies were included in the systematic review, and ten in the meta-analysis, encompassing over 160,000 patients. THR was associated with a significantly increased risk of DVT (RR = 1.53; 95% CI: 1.40–1.68, p = 0.00001) and combined VTE (RR = 1.48; 95% CI: 1.36–1.61, p = 0.00001) compared to HA. No significant difference was observed in PE risk. Interestingly, THR was linked to a lower risk of Arterial Thromboembolic events, such as Ischemic Stroke. Conclusions: Compared with Hemiarthroplasty, THR increases the risk of VTE, including DVT, with no increased risk of PE. Surgical decisions should be guided by individual patients’ risk factors for thrombotic and cardiovascular events. Full article
(This article belongs to the Special Issue Techniques, Risks and Recovery of Hip Surgery)
Show Figures

Figure 1

15 pages, 1651 KB  
Article
Alterations in Circulating miRNAs and Their Potential Role in Aseptic Loosening After Total Hip Replacement: An Observational, Cross-Sectional Study
by Spyridon Papagiannis, Zinon Kokkalis, George Kyriakopoulos, Antonia Petropoulou, Irini Tatani, Christiana Kotsia, Panagiotis Megas and Constantinos Stathopoulos
J. Pers. Med. 2025, 15(11), 508; https://doi.org/10.3390/jpm15110508 - 28 Oct 2025
Viewed by 543
Abstract
Background/Objectives: Aseptic loosening (AL) is among the most common causes of late failure following total hip arthroplasty (THA), often necessitating complex revision surgery. Current diagnostic tools, mainly based on clinical and radiological findings, are primarily able to identify advanced changes of periprosthetic osteolysis [...] Read more.
Background/Objectives: Aseptic loosening (AL) is among the most common causes of late failure following total hip arthroplasty (THA), often necessitating complex revision surgery. Current diagnostic tools, mainly based on clinical and radiological findings, are primarily able to identify advanced changes of periprosthetic osteolysis (PPOL). Therefore, early detection of AL remains a challenge. Circulating microRNAs (miRNAs) have emerged as promising, minimally invasive biomarkers in musculoskeletal disorders. This study investigates the expression of inflammation-related miRNAs let-7i-5p, let-7e-5p, miR-15a-5p, miR-30a-3p and miR-130a-3p in patients with confirmed AL after THA to evaluate their potential role in AL. Methods: AL patients undergoing revision were compared with asymptomatic post-THA individuals and controls with degenerative osteoarthritis. Preoperative, peripheral blood samples were collected; total RNA was extracted; and quantitative real-time PCR (qRT-PCR) was performed to quantify miRNA expression. The relative expression of miRNAs was calculated using the 2–ΔΔCt method after proper normalization of Ct values. Statistical analysis assessed differences between groups. Results: The under investigation miRNAs exhibited distinct expression patterns. Several targets demonstrated significant downregulation in AL patients, suggesting a potential link to inflammatory and osteolytic pathways like Toll-like receptor 4 (TLR4)–Nuclear Factor kappa-light-chain-enhancer of activated B cells (NF-κB) signaling, NLRP3 inflammasome activation and macrophage polarization. Conclusions: The observed alterations in circulating miRNAs support their capability as biomarkers for early detection of AL following THA. Larger cohorts could facilitate translation into routine clinical diagnostics. Full article
(This article belongs to the Section Omics/Informatics)
Show Figures

Figure 1

12 pages, 225 KB  
Article
Assessment of the Impact of Training Using the Luna-EMG Rehabilitation Robot on the Functional Status of Patients After Total Hip Replacement: A Randomized Trial
by Aleksandra Milewska, Agnieszka Przedborska and Robert Irzmański
Appl. Sci. 2025, 15(20), 11065; https://doi.org/10.3390/app152011065 - 15 Oct 2025
Viewed by 781
Abstract
Background: Total hip replacement is one of the most commonly performed orthopedic procedures in the world. Both before and after the procedure, it is recommended to conduct individually tailored rehabilitation. The recent technological advancements in the field of rehabilitation allow for the use [...] Read more.
Background: Total hip replacement is one of the most commonly performed orthopedic procedures in the world. Both before and after the procedure, it is recommended to conduct individually tailored rehabilitation. The recent technological advancements in the field of rehabilitation allow for the use of modern robots in the process of improving patients’ mobility. The main aim of this work is to assess the usefulness of therapy using the Luna-EMG rehabilitation robot in the treatment of patients after total hip arthroplasty. It was checked whether training with this device has a more beneficial effect on the endurance of the lower limb muscles and the overall quality of life of patients than traditional kinesitherapy methods. Materials and methods: The study included 66 patients after total hip arthroplasty. The control group underwent a standard rehabilitation program after arthroplasty procedure, while the experimental group followed the training with the Luna-EMG robot. The effectiveness of the therapy was assessed based on the measurement of the maximum quadriceps muscle tension, as well as its maximum and average strength and the DCFC quality of life rating scale. Results: The study did not find significant differences between the groups regarding the surface tension of the quadriceps muscle (p = 0.1016). The values of maximum and average strength increased in both groups (p = 0.0016). A significant improvement in quality of life was observed in both groups, with a noticeably greater effect recorded in the experimental group (<0.0001). Conclusions: The therapy using Luna-EMG did not have a significant impact on the change in tension and strength of the quadriceps muscle; in terms of muscle strength, it did not show greater effectiveness than traditional kinesitherapy methods. In both groups, there was an improvement in subjective quality of life after rehabilitation, while the effect was greater after therapy with the robot Luna-EMG. This device can increase the attractiveness of physiotherapy conducted in clinical settings, tailor it to the individual preferences of patients, mainly with orthopedic and neurological issues, and thereby enhance motivation and satisfaction with therapy. Full article
(This article belongs to the Special Issue Advanced Physical Therapy for Rehabilitation)
14 pages, 2366 KB  
Article
Minimum Two-Year Outcomes of the Zimmer G7 Modular Dual Mobility Cup in Primary Total Hip Arthroplasty: Survivorship, Complications, Clinical and Radiographic Results
by Marco Minelli, Vincenzo Longobardi, Vincenzo Paolo Di Francia, Alessio D’Addona, Marco Rosolani and Federico Della Rocca
J. Clin. Med. 2025, 14(19), 7071; https://doi.org/10.3390/jcm14197071 - 7 Oct 2025
Viewed by 1522
Abstract
Background/Objectives: Modular dual mobility (MDM) cups are constituted by a cobalt-chromium liner inserted into a standard acetabular shell, allowing for intraoperative indication and supplementary screw fixation of the acetabular component. MDM could face mechanical and biological issues, with the associated risk of elevated [...] Read more.
Background/Objectives: Modular dual mobility (MDM) cups are constituted by a cobalt-chromium liner inserted into a standard acetabular shell, allowing for intraoperative indication and supplementary screw fixation of the acetabular component. MDM could face mechanical and biological issues, with the associated risk of elevated blood metal ions levels and adverse local tissue reactions. Methods: This is a monocentric retrospective study on a consecutive series of 105 patients who underwent primary unilateral THA with the G7 Dual Mobility Acetabular System cup (Zimmer Biomet, Warsaw, IN, USA) from March 2019 to April 2023, and who were evaluated clinically and radiographically at a minimum two-year follow-up. All complications and revisions were recorded. Survivorship analysis with any revision surgery as endpoint was performed using Kaplan–Meier survival curves. Results: There were eighty-nine patients (follow-up rate 84.8%) who underwent clinical and radiographic follow-up. The mean follow-up was 2.5 ± 0.8 years. Revision-free survival was 98.0%. Three complications (2.8%) were recorded: one case of posterior dislocation, one periprosthetic joint infection and one post-traumatic periprosthetic femur fracture. Dislocation rate and infection rate were less than 1.0%. None of the patients were revised for adverse local tissue reactions. No cup loosening was observed. No cases of intraprosthetic dislocation, liner malseating or femoral notching were observed. Retroacetabular stress shielding was present in 43.0% of patients. Clinical scores significantly improved at the last follow-up compared with preoperative status (p < 0.0001): the final mean mHHS was 87.5 ± 5.3 and the final mean VAS was 0.5 ± 0.9. Conclusions: The Zimmer G7 modular dual mobility cup appears to be a safe and effective option and does not present specific implant-related mechanical and biological issues in primary total hip arthroplasty at a minimum two-year follow-up. Full article
Show Figures

Figure 1

13 pages, 511 KB  
Article
The Effect of Video-Based Education on Activities of Daily Living and Wound Healing of Patients with Total Hip Replacement: Randomised Controlled Trials
by Ayse Sinem Tas and Ismet Eser
Nurs. Rep. 2025, 15(10), 356; https://doi.org/10.3390/nursrep15100356 - 4 Oct 2025
Viewed by 766
Abstract
Background and Purpose: There remains a need for effective and accessible education methods to support recovery after total hip replacement. To evaluate the effects of video-based education on daily living activities and wound healing of patients undergoing total hip replacement surgery. Methods: A [...] Read more.
Background and Purpose: There remains a need for effective and accessible education methods to support recovery after total hip replacement. To evaluate the effects of video-based education on daily living activities and wound healing of patients undergoing total hip replacement surgery. Methods: A randomised controlled trial was used. Eligible participants were those aged 18 years and over who had undergone total hip replacement surgery in a training and research hospital. The intervention group received video-based training, while the control group received only routine care. Results: Patients in the video-based training group showed significantly greater improvement in daily living activities, hip function, and wound healing on postoperative days 5 and 30 compared to the control group (p < 0.01). Conclusions: Video-based education significantly improved daily living activities, hip function, and wound healing in patients undergoing total hip replacement. Clinicaltrials ID: NCT06523829 Full article
(This article belongs to the Special Issue Nursing Interventions to Improve Healthcare for Older Adults)
Show Figures

Figure 1

Back to TopTop