Sign in to use this feature.

Years

Between: -

Subjects

remove_circle_outline
remove_circle_outline
remove_circle_outline
remove_circle_outline
remove_circle_outline
remove_circle_outline
remove_circle_outline
remove_circle_outline
remove_circle_outline

Journals

remove_circle_outline
remove_circle_outline
remove_circle_outline
remove_circle_outline
remove_circle_outline
remove_circle_outline
remove_circle_outline
remove_circle_outline
remove_circle_outline
remove_circle_outline

Article Types

Countries / Regions

remove_circle_outline
remove_circle_outline
remove_circle_outline
remove_circle_outline
remove_circle_outline

Search Results (790)

Search Parameters:
Keywords = radiation attenuated

Order results
Result details
Results per page
Select all
Export citation of selected articles as:
16 pages, 6672 KB  
Article
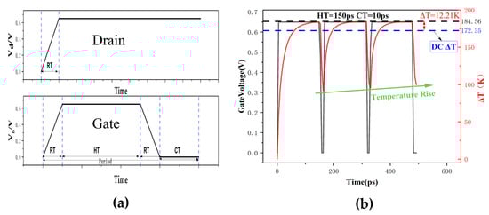
The Impact of Self-Heating on Single-Event Transient Effect in Triple-Layer Stacked Nanosheets: A TCAD Simulation
by Yuanda Li, Jinshun Bi, Xuefei Liu, Abuduwayiti Aierken, Mingqiang Liu, Changsong Gao, Gang Wang, Degui Wang, Kelin Wang and Yundong Xuan
Electronics 2026, 15(1), 85; https://doi.org/10.3390/electronics15010085 (registering DOI) - 24 Dec 2025
Abstract
This study investigates the impact of the self-heating effect (SHE) on single-event transient (SET) sensitivity in triple-layer stacked nanosheet transistors, using technology computer-aided design (TCAD) simulations. The results demonstrate that SHE significantly elevates the channel lattice temperature under DC bias, leading to notable [...] Read more.
This study investigates the impact of the self-heating effect (SHE) on single-event transient (SET) sensitivity in triple-layer stacked nanosheet transistors, using technology computer-aided design (TCAD) simulations. The results demonstrate that SHE significantly elevates the channel lattice temperature under DC bias, leading to notable degradation in DC performance metrics, including the drive current (ION) and the on/off current ratio. By employing a finer time resolution in the AC simulation, we observed that the device reaches thermal equilibrium on a picosecond timescale. Crucially, SHE is found to exacerbate SET sensitivity markedly. Compared to simulations without SHE, the presence of self-heating increases both the peak transient current and the collected charge at the drain terminal following heavy-ion strikes. Furthermore, the transient response is shown to depend on the thermal history; longer pre-strike heating times amplify the SET peak magnitude, whereas longer cooling times attenuate it. These findings underscore the critical importance of co-optimizing thermal management and radiation hardening in the design of advanced nanosheet technologies. Full article
Show Figures

Figure 1

17 pages, 4428 KB  
Article
Radiation Attenuation Calculation of 3D-Printed Polymers Across Variable Infill Densities and Phase Angles for Nuclear Medicine Applications
by Toni Beth Lopez, James Harold Cabalhug, Emmanuel Arriola, Marynella Laica Afable, Ranier Jude Wendell Lorenzo, Glenn Bryan Fronda, Patrick Mecarandayo, Gil Nonato Santos, Rigoberto Advincula, Alvie Astronomo and Michael Joe Alvarez
Polymers 2026, 18(1), 49; https://doi.org/10.3390/polym18010049 - 24 Dec 2025
Abstract
This study investigates the modulation effects of varying infill densities and phase angles on the radiation attenuation properties of three 3D-printed polymers: acrylonitrile butadiene styrene (ABS), polylactic acid (PLA), and thermoplastic polyurethane (TPU). Using the EpiXS software for radiation attenuation calculations, the study [...] Read more.
This study investigates the modulation effects of varying infill densities and phase angles on the radiation attenuation properties of three 3D-printed polymers: acrylonitrile butadiene styrene (ABS), polylactic acid (PLA), and thermoplastic polyurethane (TPU). Using the EpiXS software for radiation attenuation calculations, the study assessed the linear attenuation coefficients (LACs) of the materials under different infill densities (30%, 50%, 70%, 90%, and 100%) and phase angles (0°, 30°, 45°, 60°, and 90°) for radiation in the 1–100 keV energy range, which corresponds to the X-ray spectrum. TPU demonstrated the highest attenuation values, with a baseline coefficient of 20.199 cm−1 at 30% infill density, followed by PLA at 18.835 cm−1, and ABS at 13.073 cm−1. Statistical analysis via the Kruskal–Wallis test confirmed that infill density significantly impacts attenuation, while phase angle exhibited no significant effect, with p-values exceeding 0.05 across all materials. TPU showed the highest sensitivity to infill density, with a slope of 1.1194, compared to 0.7257 for ABS and 0.9251 for PLA, making TPU the most suitable candidate for radiation protection applications, particularly in applications where flexibility and high attenuation are required. The findings support the potential of 3D printing to produce customized, cost-effective radiation protection gear for medical and industrial applications. Future work can further optimize material designs by exploring more complex infill geometries and testing under broader radiation spectra. Full article
(This article belongs to the Section Polymer Processing and Engineering)
Show Figures

Figure 1

39 pages, 2762 KB  
Article
A Comprehensive Mathematical Model for the Estimation of Solar Radiation and Comparative Analysis in Greenhouses with Two Distinct Geometries and Covering Materials: Case Study in Psachna, Evia, Greece
by Dimitra I. Pomoni, Maria K. Koukou and Michail Gr. Vrachopoulos
Eng 2026, 7(1), 6; https://doi.org/10.3390/eng7010006 - 24 Dec 2025
Abstract
This study calculates the intensity of radiation received by two types of greenhouses: Even Span and Modified Arched geometry. The Even Span greenhouse is covered with glass, while the Modified Arched greenhouse is covered with polyethylene plastic sheets. Both greenhouses are located in [...] Read more.
This study calculates the intensity of radiation received by two types of greenhouses: Even Span and Modified Arched geometry. The Even Span greenhouse is covered with glass, while the Modified Arched greenhouse is covered with polyethylene plastic sheets. Both greenhouses are located in the same geographical area. The analysis incorporates various forms of radiation, including incident, reflected, transmitted, and absorbed radiation, calculated based on solar angles. Notably, this study does not include temperature data. The greenhouse covering material is considered transparent, and parameters such as the refractive index and the attenuation coefficient of the materials are integrated into the calculations. The integration of these specific indices allows for the calculation of radiation across different materials. Additionally, this study assesses radiation for all sides of the greenhouse, rather than focusing solely on the roof. The research analyses data from a total of 396 days, with measurements taken every ten minutes from a meteorological station situated near the greenhouses. MATLAB (R2021b) software is utilised for computational purposes to solve the relevant equations, while IBM SPSS Statistics 28.0.0.0 software is employed for statistical analysis of the results. The statistical analysis regards data collected from sunrise to sunset, varying by month. It is important to note that radiation values recorded with a negative sign are retained in this analysis, as they are considered useful for capturing the temporal and spatial dynamics of radiation within the model. The analysed greenhouses are geographically situated in the Psachna area of Messapia, Evia Prefecture, Greece. Full article
(This article belongs to the Special Issue Interdisciplinary Insights in Engineering Research)
Show Figures

Figure 1

15 pages, 2682 KB  
Review
Cardiac CT in Non-Obstructive Coronary Artery Disease (NOCAD): A Literature Review
by Sofia Meossi, Carmen Izzo, Laura Rotondo, Giorgio Sciaramenti, Edoardo Menzato, Beatrice Dal Passo, Renè Tezze, Federica Frascaro, Elisabetta Tonet, Federico Marchini, Gianluca Campo and Rita Pavasini
J. Clin. Med. 2026, 15(1), 32; https://doi.org/10.3390/jcm15010032 - 20 Dec 2025
Viewed by 198
Abstract
Non-obstructive coronary artery disease (NOCAD) encompasses a heterogeneous group of conditions in which patients present with angina, ischemia or myocardial infarction despite the absence of obstructive epicardial stenoses. This spectrum includes myocardial infarction with non-obstructive coronary arteries (MINOCA) and angina or ischemia with [...] Read more.
Non-obstructive coronary artery disease (NOCAD) encompasses a heterogeneous group of conditions in which patients present with angina, ischemia or myocardial infarction despite the absence of obstructive epicardial stenoses. This spectrum includes myocardial infarction with non-obstructive coronary arteries (MINOCA) and angina or ischemia with non-obstructive coronary arteries (ANOCA/INOCA), entities increasingly recognized as clinically significant and associated with adverse outcomes. Advances in cardiac computed tomography (CT) have expanded the diagnostic capabilities beyond the exclusion of obstructive coronary artery disease, enabling comprehensive anatomical, functional and tissue-level assessment relevant to NOCAD. CT allows precise identification of non-obstructive atherosclerosis, high-risk plaque features, myocardial bridging and structural vascular remodelling. Quantitative and qualitative characterization of plaque burden correlates with ischemic risk and provides prognostic information that complements traditional stenosis-based evaluation. Emerging CT-derived biomarkers, such as pericoronary fat attenuation index and epicardial adipose tissue metrics, offer insight into vascular inflammation and microvascular dysfunction, key mechanisms in NOCAD. Functional CT techniques, such as CT-derived fractional flow reserve and CT perfusion imaging, enable non-invasive assessment of hemodynamic significance and microvascular impairment, although their routine use is limited by methodological variability and evolving clinical evidence. Beyond coronary evaluation, CT also provides myocardial tissue characterization, detects extracardiac causes of symptoms and contributes to comprehensive differential diagnosis. Despite its strengths, cardiac CT remains limited by spatial resolution, radiation exposure and its inability to directly visualize the microcirculation. Nevertheless, ongoing technological refinement and integration of computational modelling are likely to enhance its diagnostic and prognostic role. Full article
(This article belongs to the Section Cardiovascular Medicine)
Show Figures

Graphical abstract

22 pages, 4131 KB  
Article
Transcriptome-Guided Drug Repurposing Identifies Homoharringtonine (HHT) as a Candidate for Radiation-Induced Pulmonary Fibrosis
by Mohamed El-Agamy Farh, Sang Yeon Kim, Sunjoo Park, Cui Ronglan, InSuk Sohn and Jaeho Cho
Pharmaceutics 2025, 17(12), 1626; https://doi.org/10.3390/pharmaceutics17121626 - 18 Dec 2025
Viewed by 251
Abstract
Background: Radiation-induced pulmonary fibrosis (RPF) remains a major burden of successful lung cancer radiotherapy. Clinically validated drugs targeting RPF remains scarce. Methods: We employed a transcriptome-based drug repurposing approach using REMEDY, a computational platform built on the Library of Integrated Network-Based Cellular Signatures [...] Read more.
Background: Radiation-induced pulmonary fibrosis (RPF) remains a major burden of successful lung cancer radiotherapy. Clinically validated drugs targeting RPF remains scarce. Methods: We employed a transcriptome-based drug repurposing approach using REMEDY, a computational platform built on the Library of Integrated Network-Based Cellular Signatures (LINCS). Differentially expressed genes (DEGs) derived from radiation-induced lung injury (RILI) models were used as a query to identify compounds capable of reversing pro-fibrotic expression profile. Among top-ranked candidates, homoharringtonine (HHT), an FDA-approved protein synthesis inhibitor, was selected for experimental validation. Anti-fibrotic effects of HHT were assessed using an optimized in vitro fibrotic model based on activation of MRC-5 human lung fibroblasts. Complementary in silico molecular docking analyses were also conducted to explore the mechanistic basis of HHT’s actions. This represents the first transcriptome-guided, LINCS-based drug repurposing study applied specifically to radiation-induced pulmonary fibrosis, utilizing RPF-derived molecular signatures rather than general fibrosis-related datasets. Results: HHT significantly attenuated key fibrotic phenotypes, including fibroblast proliferation, myofibroblast differentiation, and extracellular matrix (ECM) production. Notably, HHT suppressed expression of cyclin D1 and α-smooth muscle actin (α-SMA), and reduced collagen deposition. Mechanistic investigations revealed that HHT modulates two pro-fibrotic pathways: RhoA/ROCK and Wnt/β-catenin signaling. Molecular docking further suggested that HHT may directly interact with fibrosis-related receptors such as integrins and Frizzled, providing structural insight into its anti-fibrotic potential. These findings underscore the novelty of reassigning HHT to a radiation-specific fibrotic context using a signature-reversal strategy uniquely tailored to RPF biology. Conclusions: Our findings identify HHT as a promising treatment of RPF, offering a dual mechanism of action—interruption of protein synthesis and targeted inhibition of fibrotic signaling pathways. This study highlights the value of computational drug repurposing platforms for accelerating therapeutic discovery. Further preclinical investigations are warranted to evaluate HHT’s in vivo efficacy and clinical applicability in RPF. Full article
(This article belongs to the Section Drug Targeting and Design)
Show Figures

Figure 1

42 pages, 26296 KB  
Article
Gamma Radiation Shielding Efficiency of Cross-Linked Polystyrene-b-Polyethyleneglycol Block Copolymer Nanocomposites Doped Arsenic (III) Oxide and Boron Nitride Nanoparticles
by Bülend Ortaç, Taylan Baskan, Saliha Mutlu, Sevil Savaskan Yilmaz and Ahmet Hakan Yilmaz
Polymers 2025, 17(24), 3330; https://doi.org/10.3390/polym17243330 - 17 Dec 2025
Viewed by 201
Abstract
In recent years, polymer-based hybrid nanocomposites have emerged as promising alternatives to traditional heavy metal shields due to their low density, flexibility, and environmental safety. In this study, the synthesis of PS-PEG copolymers and the gamma radiation-shielding properties of PS-PEG/As2O3 [...] Read more.
In recent years, polymer-based hybrid nanocomposites have emerged as promising alternatives to traditional heavy metal shields due to their low density, flexibility, and environmental safety. In this study, the synthesis of PS-PEG copolymers and the gamma radiation-shielding properties of PS-PEG/As2O3, PS-PEG/BN, and PS-PEG/As2O3/BN nanocomposites with different compositions are investigated. The goal is to find the optimal nanocomposite composition for gamma radiation shielding and dosimetry. Therefore, the mass attenuation coefficient (MAC), linear attenuation coefficient (LAC), half-value layer (HVL), tenth-value layer (TVL), effective atomic number, mean free path (MFP), radiation shielding efficiency (RPE), electron density, and specific gamma-ray constant were presented. Gamma rays emitted by the Eu source were detected by a high-purity germanium (HPGe) detector device. GammaVision was used to analyze the given data. Photon energy was in the vicinity of 121.8–1408.0 keV. The MAC values in XCOM simulation tools were used to compute. Gamma-shielding efficiency was increased by an increased number of NPs at a smaller photon energy. At 121.8 keV, the HVL of a composite with 70 wt% As2O3 NPs is 2.00 cm, which is comparable to the HVL of lead (0.56 cm) at the same energy level. Due to the increasing need for lightweight, flexible, and lead-free shielding materials, PS-b-PEG copolymer-based nanocomposites reinforced with arsenic oxide and BN NPs will be materials of significant interest for next-generation radiation protection applications. Full article
(This article belongs to the Special Issue Recent Advances and Applications of Polymer Nanocomposites)
Show Figures

Graphical abstract

20 pages, 3687 KB  
Article
Evaluation of Cloud Fraction Data for Modelling Daily Surface Solar Radiation: Application to the Lake Baikal Region
by Dmitry Golubets, Nadezhda Voropay, Egor Dyukarev and Ilya Aslamov
Atmosphere 2025, 16(12), 1405; https://doi.org/10.3390/atmos16121405 - 16 Dec 2025
Viewed by 204
Abstract
Accurately modelling surface solar radiation (SSR) is essential for environmental research but remains a significant challenge in topographically complex regions like Lake Baikal, where ground measurements are sparse. This study evaluates the performance of various open-access cloud cover products—from satellite sensors (AVHRR, MODIS) [...] Read more.
Accurately modelling surface solar radiation (SSR) is essential for environmental research but remains a significant challenge in topographically complex regions like Lake Baikal, where ground measurements are sparse. This study evaluates the performance of various open-access cloud cover products—from satellite sensors (AVHRR, MODIS) and ground-based observations—for modelling daily SSR totals, using a physical radiation model validated against in-situ measurements from 10 coastal stations. The results demonstrate that the choice of cloud data critically impacts model accuracy. The AVHRR satellite product yields the most reliable estimates (R2 = 0.54, RMSE = 4.538 MJ/m2), significantly outperforming both ground-based cloudiness observations and the ERA5 reanalysis dataset. This finding underscores that spatially continuous satellite data provide a superior representation of cloud attenuation for regional modelling than point-based ground observations or reanalysis. Consequently, a physical model driven by high-quality satellite cloud masks is recommended as an effective methodology for generating reliable SSR fields. Full article
Show Figures

Figure 1

29 pages, 5077 KB  
Article
TiO2-Engineered Lead-Free Borate Glasses: A Dual-Functional Platform for Photonic and Radiation Shielding Technologies
by Gurinder Pal Singh, Joga Singh, Abayomi Yusuf and Kulwinder Kaur
Ceramics 2025, 8(4), 152; https://doi.org/10.3390/ceramics8040152 - 11 Dec 2025
Viewed by 282
Abstract
Environmentally friendly materials with superior structural, physical, optical, and shielding capabilities are of great technological importance and are continually being investigated. In this work, novel multicomponent borate glasses with the composition xTiO2-10BaO-5Al2O3-5WO3-20Bi2O3 [...] Read more.
Environmentally friendly materials with superior structural, physical, optical, and shielding capabilities are of great technological importance and are continually being investigated. In this work, novel multicomponent borate glasses with the composition xTiO2-10BaO-5Al2O3-5WO3-20Bi2O3-(60-x) B2O3, where 0 ≤ x ≤ 15 mol%, were produced via the melt-quenching technique. The increase in TiO2 content results in a decrease in molar volume and a corresponding increase in density, indicating the formation of a compact, rigid, and mechanically hard glass network. Elastic constant measurements further confirmed this behavior. FTIR analysis confirms the transformation of BO3 to BO4 units, signifying improved network polymerization and structural stability. The prepared glasses exhibit an optical absorption edge in the visible region, demonstrating their strong ultraviolet light blocking capability. Incorporation of TiO2 leads to an increase in refractive index, optical basicity, and polarizability, and a decrease in the optical band gap and metallization number; all of these suggest enhanced electron density and polarizability of the glass matrix. Radiation shielding properties were evaluated using Phy-X/PSD software. The outcomes illustrate that the Mass Attenuation Coefficient (MAC), Effective Atomic Number (Zeff), Linear Attenuation Coefficient (LAC) increase, while Mean Free Path (MFP) and Half Value Layer (HVL) decrease with increasing TiO2 at the expense of B2O3, confirming superior gamma-ray attenuation capability. Additionally, both TiO2-doped and undoped samples show higher fast neutron removal cross sections (FNRCS) compared to several commercial glasses and concrete materials. Overall, the incorporation of TiO2 significantly enhances the optical performance and radiation-shielding efficiency of the environmentally friendly glass system, making these potential candidates for advanced photonic devices and radiation-shielding applications. Full article
(This article belongs to the Special Issue Advances in Ceramics, 3rd Edition)
Show Figures

Figure 1

27 pages, 4233 KB  
Article
Enhanced Calculation of Kd(PAR) Using Kd(490) Based on a Recently Compiled Large In Situ and Satellite Database
by Jorvin A. Zapata-Hinestroza, Eduardo Santamaría-del-Ángel, Alejandra Castillo-Ramírez, Sergio Cerdeira-Estrada, Adriana González-Silvera, Hansel Caballero-Aragón, Jesús A. Aguilar-Maldonado, Raúl Martell-Dubois, Laura Rosique-de-la-Cruz and María-Teresa Sebastiá-Frasquet
Remote Sens. 2025, 17(24), 3990; https://doi.org/10.3390/rs17243990 - 10 Dec 2025
Viewed by 187
Abstract
The vertical attenuation coefficient of photosynthetically active radiation (Kd (PAR)) is essential for characterizing the underwater light field and for operational marine monitoring. Although there have been efforts to use the standard satellite light attenuation [...] Read more.
The vertical attenuation coefficient of photosynthetically active radiation (Kd (PAR)) is essential for characterizing the underwater light field and for operational marine monitoring. Although there have been efforts to use the standard satellite light attenuation product at 490 nm (Kd (490)) to estimate (Kd (PAR)) over a decade, earlier approaches were constrained by limited data. This study used a globally representative robust database of in-situ and satellite observations spanning diverse marine optical conditions and applied rigorous quality control. Three empirical models (linear, power, and a higher-order polynomial) were developed using four Kd (490) satellite variants validated against an independent dataset and benchmarked against six published algorithms (36 total approximations). Performance was assessed using a Model Performance Index (MPI), where values closer to 1 indicate a better model. The best model was a power regression driven by the standard satellite Kd490, which yielded an MPI of 0.8704, indicating a robust performance under a wide variability of marine optical conditions. These results highlight the value of multisensor products, which with a rigorous quality control protocol, could be used to estimate the Kd (PAR) from the standard satellite Kd (490). The objective of the proposed algorithm is to generate long-term Kd (PAR) time series. This algorithm will be operational for implementation in marine ecosystem monitoring systems and can contribute to strengthening decision-making. Full article
(This article belongs to the Section Ocean Remote Sensing)
Show Figures

Figure 1

16 pages, 1440 KB  
Article
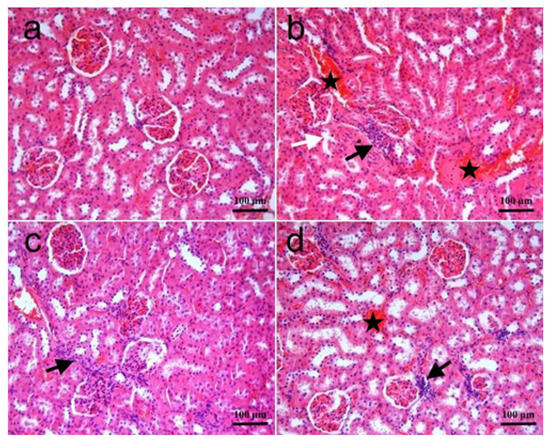
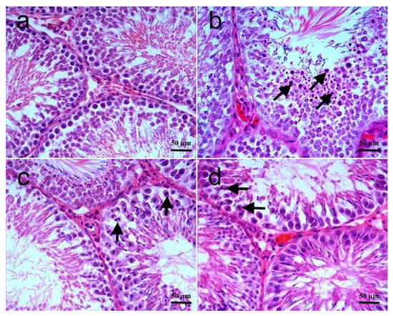
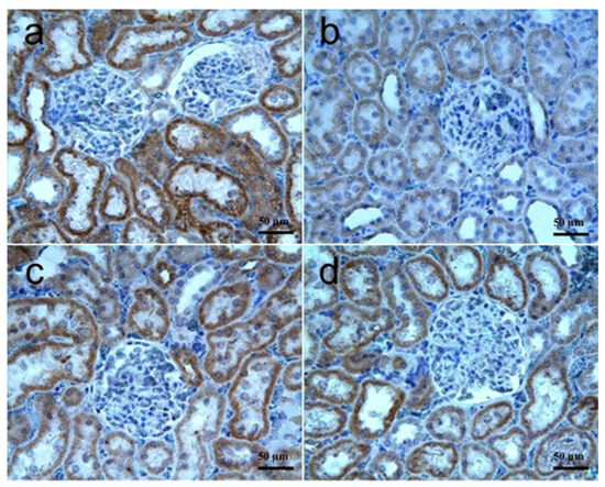
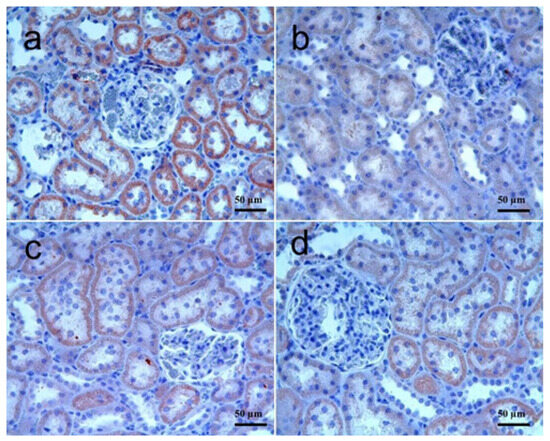
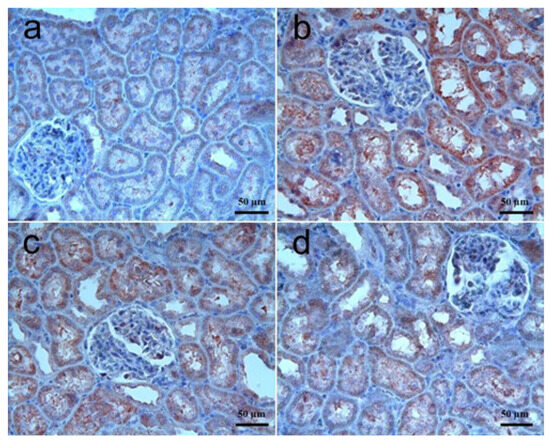
Sitagliptin Alleviates Radiation-Induced Kidney and Testis Degeneration in Rats
by Huseyin Celik, Oztun Temelli, Onural Ozhan, Elif Taslidere and Feyzi Dogru
Biomolecules 2025, 15(12), 1702; https://doi.org/10.3390/biom15121702 - 5 Dec 2025
Viewed by 262
Abstract
Background: Radiation-induced tissue degeneration is the most important side effect of radiotherapy. Sitagliptin with its anti-inflammatory and antioxidant capacity was tested in alleviating the radiation-induced cellular degeneration in kidney and testis tissues. Methods: Wistar albino rats were divided into four groups as control, [...] Read more.
Background: Radiation-induced tissue degeneration is the most important side effect of radiotherapy. Sitagliptin with its anti-inflammatory and antioxidant capacity was tested in alleviating the radiation-induced cellular degeneration in kidney and testis tissues. Methods: Wistar albino rats were divided into four groups as control, radiation (RT), radiation + sitagliptin (RT + SGT), and sitagliptin + radiation (SGT + RT). The RT group received 8 Gy radiation. Sitagliptin was applied per os at a 10 mg/kg dose for 14 days to the SGT groups either after or before radiation. Results: Radiation induced marked oxidative stress in kidney and testis tissues, whereas sitagliptin partially restored several antioxidant parameters in the kidney and reduced MDA levels in the testis. Histologically, radiation caused degenerative changes in the renal tubules and glomerulus and the testicular seminiferous tubules, while sitagliptin treatment attenuated these changes in both organs. Caspase-3 expression increased significantly after radiation treatment in the kidney without substantial improvement by sitagliptin; however, VEGF expression, which was markedly reduced by radiation in both tissues, was restored in sitagliptin-treated groups. FGF expression suppressed in all irradiated groups as compared to the control with no significant differences among them. Conclusions: Overall, the results indicated that sitagliptin can be used to attenuate the degenerative effects induced by radiation. Sitagliptin use after radiation as compared to the before use showed significantly better results especially in the kidney tissue. Full article
(This article belongs to the Section Molecular Medicine)
Show Figures

Figure 1

12 pages, 432 KB  
Article
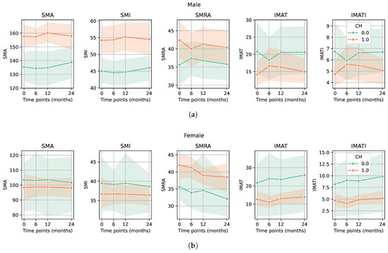
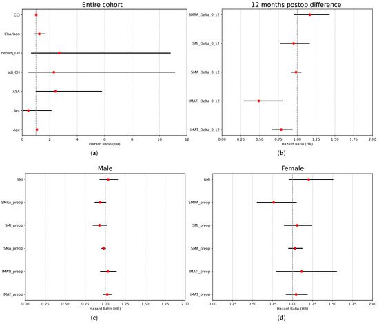
Long-Term Evolution of Skeletal Muscle Quantity and Quality After Curative-Intent Colon Cancer Surgery: A Retrospective Cohort Study
by Argyri Papadimitriou, Michael Schneider, Salim Zenkhri, Dieter Hahnloser, David Martin, He Ayu Xu, Damien Maier, Fabio Becce, Fabian Grass and Martin Hübner
Diagnostics 2025, 15(23), 3092; https://doi.org/10.3390/diagnostics15233092 - 4 Dec 2025
Viewed by 389
Abstract
Background: Computed tomography (CT)-based sarcopenia is a promising predictor of postoperative complications and recovery. However, studies on the longitudinal evolution of skeletal muscle markers are lacking and findings regarding its correlation with survival are still not clear. Methods: We conducted a [...] Read more.
Background: Computed tomography (CT)-based sarcopenia is a promising predictor of postoperative complications and recovery. However, studies on the longitudinal evolution of skeletal muscle markers are lacking and findings regarding its correlation with survival are still not clear. Methods: We conducted a retrospective single-center cohort study of consecutive patients undergoing curative-intent colon cancer surgery. Skeletal muscle area (SMA), skeletal muscle index (SMI), skeletal muscle radiation attenuation (SMRA), and intermuscular adipose tissue (IMAT) area and index (IMATI) were measured on a single axial CT slice at the third lumbar vertebral level before surgery and at 6, 12, and 24 months after. Descriptive statistics were used to report the evolution over time of CT-based sarcopenia markers. Their correlation with overall survival was analyzed using Cox’s proportional hazards regression analysis. Results: The final cohort included 102 patients (65.7% males) with a mean age of 66 ± 13 years. Eighty-five (86.7%) patients were alive at 24 months, and forty-five (45.9%) underwent a CT scan at all time points. CT-based sarcopenia markers remained statistically stable over 2 years. Age (HR 1.07, 95% CI 1.00–1.14) and ASA score (HR 2.4, 95% CI 1.00–5.7) were negative independent predictive factors. Patients with larger differences (Δ) of IMAT area and IMATI at 12 months, HR 0.79 (95% CI 0.67–0.93) and 0.49 (95% CI 0.30–0.80), respectively, had a lower mortality. Conclusions: CT-based markers of skeletal muscle quantity (SMA, SMI) and quality (IMAT area, IMATI) remained statistically stable after curative-intent colon cancer surgery. No preoperative CT-based sarcopenia markers were predictive of overall survival. Larger cohorts are needed to generalize these initial findings. Full article
(This article belongs to the Section Clinical Diagnosis and Prognosis)
Show Figures

Figure 1

15 pages, 3956 KB  
Article
Light Supplementation and Nicotinamide Influence the Growth and Pigment Production of Tropical Hydroponic Green Fodder
by Gabriela Rodrigues Sant’Ana, Flávio Ferreira da Silva Binotti, Eliana Duarte Cardoso Binotti, Gilda Carrasco, Fernanda Pacheco de Almeida Prado Bortolheiro, Sebastião Ferreira de Lima, Carlos Eduardo da Silva Oliveira, Edilson Costa, Marcelo Carvalho Minhoto Teixeira Filho and Eduardo Pradi Vendruscolo
Agronomy 2025, 15(12), 2797; https://doi.org/10.3390/agronomy15122797 - 4 Dec 2025
Viewed by 363
Abstract
Climate change or even the natural occurrence of periods of low suitability for the production of forage species are obstacles to maintaining adequate animal nutrition. Indoor green fodder production is an alternative to this problem; however, advances in technologies capable of improving this [...] Read more.
Climate change or even the natural occurrence of periods of low suitability for the production of forage species are obstacles to maintaining adequate animal nutrition. Indoor green fodder production is an alternative to this problem; however, advances in technologies capable of improving this system still need to be studied in depth. The objective of this study was to evaluate the qualitative and quantitative characteristics of hydroponic green fodder production of millet and sorghum under varying monochromatic light supplementation and nicotinamide application. Eight treatments were defined by lighting (LS—Led Full Spectrum; LS + Ultraviolet LED; LS + Red LED; LS + Blue LED), and combined with the application of nicotinamide (with and without) at a concentration of 200 mg L−1. Cultivation under conditions of light supplementation with UV radiation or monochromatic lights results in increased light intensity by modifying the wavelength spectrum received by the plant, modification of the quality of photons received in relation to the energy level that leads to luminous stress and, consequently, lower green fodder development concerning height and fresh mass. Nicotinamide acts as a bioprotectant, attenuating the stressful effects and enabling greater productive efficiency in the production of hydroponic green fodder, particularly in vertical cultivation, which provides increased height and fresh mass for millet and sorghum green fodder. In contrast, the stress resulting from light supplementation can be used as a tool to increase carotenoid levels in plants and may be indicated for production systems that have this objective for biofortification of forages with bioactives with antioxidant effects. Full article
Show Figures

Figure 1

18 pages, 10663 KB  
Article
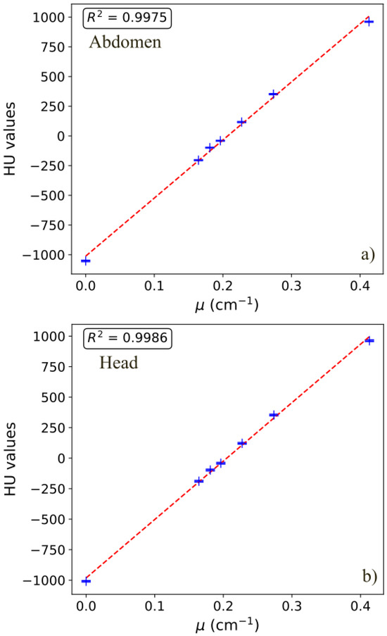
Assessment of Image Quality Performance of a Photon-Counting Computed Tomography Scanner Approved for Whole-Body Clinical Applications
by Francesca Saveria Maddaloni, Antonio Sarno, Alessandro Loria, Anna Piai, Cristina Lenardi, Antonio Esposito and Antonella del Vecchio
Sensors 2025, 25(23), 7338; https://doi.org/10.3390/s25237338 - 2 Dec 2025
Viewed by 435
Abstract
Background: Photon-counting computed tomography (PCCT) represents a major technological advance in clinical CT imaging, offering superior spatial resolution, enhanced material discrimination, and potential radiation dose reduction compared to conventional energy-integrating detector systems. As the first clinically approved PCCT scanner becomes available, establishing a [...] Read more.
Background: Photon-counting computed tomography (PCCT) represents a major technological advance in clinical CT imaging, offering superior spatial resolution, enhanced material discrimination, and potential radiation dose reduction compared to conventional energy-integrating detector systems. As the first clinically approved PCCT scanner becomes available, establishing a comprehensive characterization of its image quality is essential to understand its performance and clinical impact. Methods: Image quality was evaluated using a commercial quality assurance phantom with acquisition protocols typically used for three anatomical regions—head, abdomen/thorax, and inner ear—representing diverse clinical scenarios. Each region was scanned using both ultra-high-resolution (UHR, 120 × 0.2 mm slices) and conventional (144 × 0.4 mm slices) protocols. Conventional metrics, including signal-to-noise ratio (SNR), contrast-to-noise ratio (CNR), slice thickness accuracy, and uniformity, were assessed following international standards. Task-based analysis was also performed through target transfer function (TTF), noise power spectrum (NPS), and detectability index (d′) to evaluate diagnostic relevance. Results: UHR protocols provided markedly improved spatial resolution, particularly in the inner ear imaging, as confirmed by TTF analysis, though with increased noise and reduced low-contrast detectability in certain conditions. CT numbers showed linear correspondence with known attenuation coefficients across all protocols. Conclusions: This study establishes a detailed technical characterization of the first clinical PCCT scanner, demonstrating significant improvements in terms of spatial resolution and accuracy of the quantitative image analysis, while highlighting the need for noise–contrast optimization in high-resolution imaging. Full article
(This article belongs to the Special Issue Recent Progress in X-Ray Medical Imaging and Detectors)
Show Figures

Figure 1

18 pages, 3829 KB  
Article
Assessment of Photodynamic Therapy Penetration Depth in a Synthetic Pig Brain Model: A Novel Approach to Simulate the Reach of PDT-Mediated Effects In Vitro
by Nicolas Bader, Annika Hajosch, Christian Peschmann, Kathrin Stucke-Straub, Christian Rainer Wirtz, Richard Eric Kast, Marc-Eric Halatsch, Felix Capanni and Georg Karpel-Massler
Pharmaceuticals 2025, 18(12), 1837; https://doi.org/10.3390/ph18121837 - 2 Dec 2025
Viewed by 296
Abstract
Background/Objectives: Recurrence of glioblastoma (GBM) mostly occurs in close vicinity to the resection cavity. Therefore, our group has previously designed an implant to locally apply repetitive photodynamic therapy to mitigate tumor recurrence. The penetration depths of different wavelengths in brain tissue were exhaustively [...] Read more.
Background/Objectives: Recurrence of glioblastoma (GBM) mostly occurs in close vicinity to the resection cavity. Therefore, our group has previously designed an implant to locally apply repetitive photodynamic therapy to mitigate tumor recurrence. The penetration depths of different wavelengths in brain tissue were exhaustively studied before. However, the PDT-induced biological effects of 5-ALA-based PDT against GBM cells at different depths have not been evaluated yet. Methods: Therefore, a synthetic brain substitute material of 1–10 mm thickness and with optical properties comparable to the white or gray matter of pig brain was developed. Tumor cell viability was assessed in spheroids from six GBM cell lines using disks of varying thickness prepared from pig brain substitute material to mimic in vivo radiation attenuation. Results: Using an artificial brain tissue optical model based on material science, we have established a relationship between the PDT-induced effect of our PDT implant and the distance of migrating GBM cells from the resection cavity wall. Conclusions: This model may be helpful to aid optimization of the irradiation doses and fractionation required to attain the maximal therapeutic effect by long-term PDT applications. Full article
(This article belongs to the Special Issue Photodynamic Therapy: 3rd Edition)
Show Figures

Graphical abstract

37 pages, 2355 KB  
Review
From Bench to Use: The Status of Gamma-Shielding Nanomaterials and the Prospects for Lead-Free Wearables
by Qianhe Qi, Liangyu He, Hao Ye, Ce Wang, Ping Hu and Yong Liu
Nanomaterials 2025, 15(23), 1799; https://doi.org/10.3390/nano15231799 - 28 Nov 2025
Viewed by 419
Abstract
The rapid development of deep-space exploration and crewed missions makes efficient, lightweight, and low–secondary-radiation γ-ray protection in complex cosmic fields a critical materials challenge. Current studies still struggle to simultaneously balance attenuation efficiency, areal density and thickness, flexibility, and shielding against secondary γ [...] Read more.
The rapid development of deep-space exploration and crewed missions makes efficient, lightweight, and low–secondary-radiation γ-ray protection in complex cosmic fields a critical materials challenge. Current studies still struggle to simultaneously balance attenuation efficiency, areal density and thickness, flexibility, and shielding against secondary γ rays. Compared with existing reviews that mainly focus on single matrices (especially polymers) or medical lead-based protection, this work targets γ-ray shielding under deep-space and mixed radiation environments, emphasizing multiscale structural designs (multilayer/gradient architectures, micro/nanofiller synergy, and fiber networks) for suppressing secondary γ-rays and outlining composition–structure–morphology–coupled strategies for flexible, wearable, lead-free shields. Recycling and sustainability remain key bottlenecks for practical deployment. Accordingly, this review also summarizes representative Monte Carlo simulation tools and their integration with experiments, and proposes directions for element selection, structural design, and green manufacturing to build design rules and a scale-up roadmap for next-generation lead-free γ-shielding wearables. Full article
(This article belongs to the Special Issue Carbon Nanocomposites for Energy)
Show Figures

Graphical abstract

Back to TopTop