Sign in to use this feature.

Years

Between: -

Subjects

remove_circle_outline
remove_circle_outline
remove_circle_outline
remove_circle_outline
remove_circle_outline
remove_circle_outline
remove_circle_outline
remove_circle_outline
remove_circle_outline

Journals

remove_circle_outline
remove_circle_outline
remove_circle_outline
remove_circle_outline
remove_circle_outline
remove_circle_outline
remove_circle_outline
remove_circle_outline
remove_circle_outline
remove_circle_outline
remove_circle_outline
remove_circle_outline
remove_circle_outline
remove_circle_outline
remove_circle_outline

Article Types

Countries / Regions

remove_circle_outline
remove_circle_outline
remove_circle_outline
remove_circle_outline
remove_circle_outline

Search Results (1,216)

Search Parameters:
Keywords = fragment resistance

Order results
Result details
Results per page
Select all
Export citation of selected articles as:
22 pages, 18022 KB  
Article
Identification of Ecological Restoration Zones Based on Ecological Security Pattern and Ecological Risk Assessment—A Case Study of Liaoning Province
by Shengjun Yan, Xiaoping Zhang, Rui Yan, Yilong Luo, Haoze Wang, Baokang Xing, Changan Liu, Daoyan Xu and Guoxiang Liao
Sustainability 2026, 18(1), 204; https://doi.org/10.3390/su18010204 - 24 Dec 2025
Abstract
Rapid urbanization has intensified ecological problems such as landscape fragmentation and biodiversity decline, underscoring the need to maintain regional ecological integrity. The construction of ecological security patterns and the optimization of ecological restoration areas are crucial for addressing these ecological issues. However, research [...] Read more.
Rapid urbanization has intensified ecological problems such as landscape fragmentation and biodiversity decline, underscoring the need to maintain regional ecological integrity. The construction of ecological security patterns and the optimization of ecological restoration areas are crucial for addressing these ecological issues. However, research on how to couple ecological security patterns with ecological risk assessment to scientifically identify priority areas for ecological restoration and guide spatially targeted restoration remains insufficient. To address this gap, we investigated Liaoning Province by integrating morphological spatial pattern analysis, landscape connectivity assessment, and ecosystem service hotspot analysis to identify ecological sources. We then applied the minimum cumulative resistance model and circuit theory to extract ecological corridors, constructing a comprehensive ecological security pattern. Integrating landscape ecological risk assessment with ecological security patterns established a conservation and restoration-oriented ecological security framework. The results show that the ecological security pattern comprises 40 ecological source patches and 89 potential ecological corridors. Ecological sources encompass a total of 17,628 km2 (approximately 12% of the province), primarily comprising water bodies, grasslands, shrublands, and forests. The ecological corridors span a total of 3533.9 km, with an average length of 39.7 km. We also identified 139 ecological pinch points and 109 ecological barrier points. Integrating these findings with landscape ecological risk zoning delineates ecological restoration zones, revealing a spatial pattern characterized by east–west differentiation and north–south continuity. This ecological conservation and restoration network provides a clear spatial guide and a robust scientific foundation for territorial spatial planning, ecological conservation, and restoration efforts. Full article
Show Figures

Figure 1

29 pages, 1740 KB  
Article
Ecological Corridors for Tadaria brasiliensis in Agricultural Landscapes of Northern Mexico Integrating AHP, InVEST, and Least-Cost Path
by Karen Meraz-Molina, Sergio D. Luevano-Gurrola, Alfredo Pinedo-Alvarez, Federico Villarreal-Guerrero, Nathalie S. Hernández-Quiroz, Jesús S. Ibarra-Bonilla, Ismael Fontes-Palma, José H. Vega-Mares and Jesús A. Prieto-Amparán
Land 2026, 15(1), 39; https://doi.org/10.3390/land15010039 - 24 Dec 2025
Abstract
Habitat fragmentation due to anthropogenic pressures threats functional connectivity across landscapes for flying mammals. Tadarida brasiliensis depends on nocturnal movement corridors linking refuge and foraging areas, yet these pathways are increasingly constrained in semi-arid regions of northern Mexico. This study developed and analyzed [...] Read more.
Habitat fragmentation due to anthropogenic pressures threats functional connectivity across landscapes for flying mammals. Tadarida brasiliensis depends on nocturnal movement corridors linking refuge and foraging areas, yet these pathways are increasingly constrained in semi-arid regions of northern Mexico. This study developed and analyzed the potential ecological corridors connecting the main colony of T. brasiliensis located in Santa Eulalia with the Irrigation District 005 Delicias, in Chihuahua, Mexico. We integrated multi-source geospatial data within a geographic information system, including wind speed, terrain slope, normalized difference vegetation index, land surface temperature, distance to rivers, landscape aggregation, nighttime lighting, and distance to roads, power lines, and human settlements. Landscape resistance to movement was assessed using a combined framework based on the Analytic Hierarchy Process, the InVEST-Habitat Quality model, and Least Cost Path analysis, generating composite resistance. Five potential corridors were identified, with ranges of lengths and CWD:EucD ratios of 6.8–34.0 km and 20.4–51.3, respectively, reflecting variable cumulative resistance along pathways. Nighttime lighting and proximity to urban areas were major contributors to high resistance, particularly within urban and agricultural environments. The identified corridor network provides a spatial representation of potential routes and supports landscape-level conservation planning to mitigate anthropogenic pressures and maintain functional connectivity. Full article
(This article belongs to the Special Issue Landscape Fragmentation: Effects on Biodiversity and Wildlife)
25 pages, 2906 KB  
Article
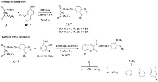
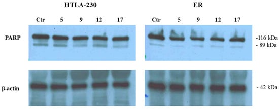
Design and Synthesis of New Coumarin Hybrids Active Against Drug-Sensitive and Drug-Resistant Neuroblastoma Cells
by Carola Grondona, Barbara Marengo, Giulia Elda Valenti, Sara Tirendi, Eleonora Russo, Cinzia Domenicotti and Bruno Tasso
Antioxidants 2026, 15(1), 31; https://doi.org/10.3390/antiox15010031 - 24 Dec 2025
Abstract
High-risk neuroblastoma (NB) is an aggressive pediatric tumor characterized by pronounced biological heterogeneity and frequent development of chemoresistance, which critically limits therapeutic efficacy. Identifying novel anti-NB agents remains an urgent unmet need. To address this, we designed and synthesized 17 hybrid molecules by [...] Read more.
High-risk neuroblastoma (NB) is an aggressive pediatric tumor characterized by pronounced biological heterogeneity and frequent development of chemoresistance, which critically limits therapeutic efficacy. Identifying novel anti-NB agents remains an urgent unmet need. To address this, we designed and synthesized 17 hybrid molecules by combining natural antioxidant scaffolds (coumarin, vanillin, and isovanillin) through an acyl-hydrazone linker. Several derivatives significantly reduced the viability of MYCN-amplified NB cells (HTLA-230) and their multi-drug resistant counterpart (ER) while not affecting human keratinocytes (HaCat). Among them, compounds 5, 9 and 12 selectively inhibited HTLA and ER growth (10–25%) without affecting HaCat, accompanied by robust ROS overproduction, particularly by 9 and 12 (up to 40%). None of these compounds induced apoptosis or ferroptosis. Instead, their antiproliferative effects were associated with senescence induction and, only for compound 5, with a decrease in clonogenic potential. Moreover, to further characterize compounds 5, 9, and 12, the analysis was extended across other human neuroblastoma cell lines. In parallel, the effects of the compounds on non-malignant cell lines were assessed to obtain an indication of their selectivity toward tumor cells. Compound 17, a structural analog lacking the second aromatic ring in the ex-aldehyde portion, displayed a distinct profile with a limited anticancer activity, underscoring the importance of this structural fragment for antiproliferative efficacy. Full article
(This article belongs to the Section Natural and Synthetic Antioxidants)
Show Figures

Figure 1

30 pages, 1709 KB  
Review
Mechanisms and Perspectives of Microplastic Biodegradation by Insects and Their Associated Microorganisms
by Feroz Ahmad, Huarui Zhang, Chao Sun, Abrar Muhammad and Yongqi Shao
Microplastics 2026, 5(1), 1; https://doi.org/10.3390/microplastics5010001 - 23 Dec 2025
Abstract
Plastic pollution, particularly the widespread presence of microplastics, has emerged as a global environmental threat. Conventional plastics are highly resistant to degradation and can persist in ecosystems for decades, posing a serious long-term risk to wildlife, habitats, and human health. Increasing evidence suggests [...] Read more.
Plastic pollution, particularly the widespread presence of microplastics, has emerged as a global environmental threat. Conventional plastics are highly resistant to degradation and can persist in ecosystems for decades, posing a serious long-term risk to wildlife, habitats, and human health. Increasing evidence suggests that insects and their gut microbiota may play a significant role in the degradation of these plastics. This review examines the mechanisms by which insects and their associated microorganisms contribute to microplastic biodegradation. Plastivorous insect larvae such as Spodoptera frugiperda, Galleria mellonella, Tenebrio molitor and Zophobas atratus have demonstrated the ability to ingest and partially degrade diverse polymers. The initial mechanical breakdown caused by insect mandibles increases the surface area, which allows gut microbes to colonize the material. Once these microbes are established, they form biofilms that help with adhesion, create localized redox environments, and concentrate degradative enzymes at the polymer interface. The enzymatic machinery of insect-associated microbes plays a crucial role in breaking down polymers. Oxidative enzymes, including DyP-type peroxidases, multicopper oxidases, alkane monooxygenases, and laccases, initiate the oxidation of polymers, while hydrolases and esterases further break down the resulting fragments. Co-metabolic processes and microbial consortia improve degradation efficiency by primary degraders by producing oxidized intermediates, which are then consumed and mineralized by secondary fermenters. Despite significant progress, the complete biochemical pathways of microplastic mineralization remain unclear. Degradation rates are slow, and scalability challenges hinder practical applications, with incomplete mineralization in insect biodegradation potentially causing secondary microplastics. Understanding these mechanisms will lay the groundwork for developing insect-microbe systems as potential biotechnological solutions to mitigate plastic pollution in terrestrial environments. Full article
Show Figures

Figure 1

17 pages, 641 KB  
Review
Recent Advances in Nematicides and Their Modes of Action
by Dongdong Yan, Reza Ghaderi, Jizheng He, Aocheng Cao and Qiuxia Wang
Agriculture 2026, 16(1), 21; https://doi.org/10.3390/agriculture16010021 - 21 Dec 2025
Viewed by 135
Abstract
Plant parasitic nematodes cause substantial economic losses in agricultural products worldwide. Chemical control remains the predominant strategy among available approaches for nematode management. In recent years, a new generation of synthetic nematicides with distinct biochemical targets and improved selectivity has emerged. However, our [...] Read more.
Plant parasitic nematodes cause substantial economic losses in agricultural products worldwide. Chemical control remains the predominant strategy among available approaches for nematode management. In recent years, a new generation of synthetic nematicides with distinct biochemical targets and improved selectivity has emerged. However, our understanding of the mechanisms of action, activity spectra, and safety of these new agents remains fragmented and lacks systematic integration. Clarifying their modes of action is essential for both the rational development and effective application of these compounds. This article reviews the characteristics and modes of action of both traditional and innovative nematicides, including organophosphates, carbamates, avermectins, cyclobutrifluram, fluazaindolizine, tioxazafen, fluensulfone, and fluopyram, following the classification by the Insecticide and Fungicide Resistance. This review addresses this gap by critically examining modern nematicides currently in use or under development, highlighting their molecular targets, toxicological considerations, and potential roles in sustainable nematode management. Full article
(This article belongs to the Section Crop Protection, Diseases, Pests and Weeds)
Show Figures

Figure 1

14 pages, 535 KB  
Review
Harnessing Medical Bioethics Mediation to Advance One Health Governance
by Olympia Lioupi, Polychronis Kostoulas, Gustavo Monti, Konstadina Griva, Charalambos Billinis and Costas Tsiamis
Vet. Sci. 2026, 13(1), 8; https://doi.org/10.3390/vetsci13010008 - 20 Dec 2025
Viewed by 107
Abstract
One Health envisions integrated governance across human, animal, and environmental systems to prevent and respond to complex health threats. Despite its global endorsement, One Health implementation often falters due to institutional fragmentation, power asymmetries, and ethical tensions that erode trust and cooperation. This [...] Read more.
One Health envisions integrated governance across human, animal, and environmental systems to prevent and respond to complex health threats. Despite its global endorsement, One Health implementation often falters due to institutional fragmentation, power asymmetries, and ethical tensions that erode trust and cooperation. This paper proposes the integration of medical-bioethics mediation within One Health governance as a structured, relational mechanism to manage conflict, foster ethical deliberation, and strengthen trust between sectors and communities. We develop a conceptual framework to apply the mediation principles of neutrality, confidentiality, respect, and shared problem-solving beyond clinical ethics toward multisectoral One Health contexts. The framework is illustrated through domain-specific examples from zoonotic disease control, antimicrobial resistance, and environmental health. Medical bioethics mediation can advance conflict transformation, ethical reflection, participatory decision-making, and policy alignment, thereby supporting transparent negotiation of values and institutionalized dialogue of different One Health actors. Future research should pilot mediation-based governance models and assess their effects on intersectoral trust, collaborative capacity, and integrated health outcomes. Full article
Show Figures

Figure 1

13 pages, 1026 KB  
Review
Pharmacist-Led Diagnostics: A New Frontier in Antimicrobial Stewardship
by Greta Kaspute and Tatjana Ivaskiene
Antibiotics 2025, 14(12), 1286; https://doi.org/10.3390/antibiotics14121286 - 18 Dec 2025
Viewed by 271
Abstract
Background: Antimicrobial resistance (AMR) is accelerating globally, driven by widespread inappropriate antibiotic use and diagnostic uncertainty in primary care. Pharmcist-led point-of-care testing (POCTs) has emerged as a promising model to optimize antibiotic prescribing, improve triage, and strengthen antimicrobial stewardship (AMS). Methods: This scoping [...] Read more.
Background: Antimicrobial resistance (AMR) is accelerating globally, driven by widespread inappropriate antibiotic use and diagnostic uncertainty in primary care. Pharmcist-led point-of-care testing (POCTs) has emerged as a promising model to optimize antibiotic prescribing, improve triage, and strengthen antimicrobial stewardship (AMS). Methods: This scoping review synthesizes current evidence, regulatory models, and implementation data on pharmacist-led diagnostics and antibiotic management across multiple countries. Results: Despite strong policy interest, clinical trial evidence remains limited. Existing studies—primarily pilots, feasibility work, and service evaluations—suggest that POCTs combined with structured pathways reduces inappropriate antibiotic use. Conclusions: Regulatory fragmentation, workforce limitations, and insufficient monitoring systems constrain widespread implementation. Larger, well-designed trials are needed to establish long-term safety, clinical outcomes, and AMS impact. Full article
Show Figures

Figure 1

29 pages, 1732 KB  
Systematic Review
Surveillance of Healthcare-Associated Infections in the WHO African Region: Systematic Review of Literature from 2011 to 2024
by Laetitia Gahimbare, Nathalie K. Guessennd, Claude Mambo Muvunyi, Walter Fuller, Sheick Oumar Coulibaly, Landry Cihambanya, Pierre Claver Kariyo, Olga Perovic, Ambele Judith Mwamelo, Diané Kouao Maxime, Valérie Gbonon, Konan Kouadio Fernique, Babacar Ndoye and Yahaya Ali Ahmed
Antibiotics 2025, 14(12), 1287; https://doi.org/10.3390/antibiotics14121287 - 18 Dec 2025
Viewed by 283
Abstract
Background: Evidence on HAIs in Africa is fairly common. Objectives: The main objective was to identify the surveillance tools used for healthcare–associated infections (HAIs) in countries in the WHO African Region. Secondary objectives focused on the organization of surveillance, the pathogens involved, and [...] Read more.
Background: Evidence on HAIs in Africa is fairly common. Objectives: The main objective was to identify the surveillance tools used for healthcare–associated infections (HAIs) in countries in the WHO African Region. Secondary objectives focused on the organization of surveillance, the pathogens involved, and the frequency of multidrug–resistant species. Inclusion and exclusion criteria: Observational or interventional studies on healthcare–associated infections in humans, published between January 2011 and December 2024, in French or English, were included. However, the following publications were not included: animal studies, healthcare–associated infections not related to healthcare, literature reviews, studies outside the period or geographical area, and studies in languages other than French or English. Sources of information and search date: The databases consulted were PubMed, Web of Science, EMBASE, Cochrane, African Index Medicus, Google Scholar, and AJOL. The search was conducted between January and March 2025. Risk of bias assessment: The risk of bias was assessed using a specific grid (eleven criteria), scored from one (low) to three (high). The studies were classified into three levels of methodological quality. The results of the bias assessment showed that the publications were excellent (strong and moderate) with a cumulative rate of 99.9%. Methods of synthesizing results: Data were extracted using a standardized grid and synthesized narratively. No meta–analysis was performed. Number of studies and characteristics: 95 studies were included, mostly cross–sectional studies (82.1%), cohorts (10.4%), and a few case reports. Most were from West Africa (60.0%), particularly Nigeria (16.8%) and South Africa (14.7%). Main results: • Most common pathogens: Staphylococcus aureus (53.7%), Escherichia coli (43.2%), Klebsiella pneumoniae (32.6%). • Resistance profile: ESBL (27.4%), MRSA (21.1%), multidrug resistance (13.7%). • Sources of HAIs: mainly exogenous (83.2%). • Laboratory methods: phenotypic (70.5%), genotypic or genomic rare (3.1%). • Scope of studies: local (96.8%), national (3.2%). Limitations of evidence: Risk of bias due to underreporting of HAIs, methodological heterogeneity, predominance of cross–sectional studies, low use of molecular methods, lack of modeling, and uneven geographical coverage. Overall interpretation and implications: surveillance of HAIs in Africa remains fragmented and poorly standardized. There is a need to strengthen national systems, integrate molecular methods, train professionals, and promote interventional research. The WHO GLASS program can serve as a framework for harmonizing surveillance. Full article
Show Figures

Figure 1

13 pages, 279 KB  
Article
Genetic Characterization of Hepatitis C Virus Among People Who Use Crack Cocaine: A Study Conducted on the Brazilian Amazon Coast
by João Alphonse A. Heymbeeck, Wilker Leite do Nascimento, Marina Cristina S. Freitas, Leticia de Sousa Rocha, Franciane Ferreira Costa, Jocilena Pamela Q. de Queiroz, Diego Simeone, Luísa Caricio Martins, Luiz Fernando A. Machado, Benedikt Fischer, Emil Kupek and Aldemir B. Oliveira-Filho
Pathogens 2025, 14(12), 1296; https://doi.org/10.3390/pathogens14121296 - 17 Dec 2025
Viewed by 325
Abstract
People who use crack cocaine (PWUCC) constitute a key population due to vulnerability and marginalization, especially in a socio-ecologically diverse, relatively isolated region with limited public health infrastructure. This study aimed to perform a genetic characterization of circulating HCV among PWUCC in the [...] Read more.
People who use crack cocaine (PWUCC) constitute a key population due to vulnerability and marginalization, especially in a socio-ecologically diverse, relatively isolated region with limited public health infrastructure. This study aimed to perform a genetic characterization of circulating HCV among PWUCC in the municipality of Bragança, situated on the Brazilian Amazon coast, identifying viral genotypes, subtypes, resistance-associated substitutions (RAS)—naturally occurring mutations in the viral genome that can reduce the efficacy of direct-acting antiviral (DAA) agents—and predictions of phenotypic resistance. Methods: Between 2016 and 2018, biological samples and epidemiological data were obtained from 165 PWUCC. Viral detection was performed using RT-PCR, while genotyping, subtyping, and RAS profiling were conducted through nucleotide sequencing and fragment analysis. Results: In 165 PWUCC, 22 (13.3%) tested positive for HCV RNA. Most of them had not had access to public health services (91.5%), and more than half (57.0%) reported living in unstable housing conditions. HCV subtypes 1a (27.3%), 1b (40.9%), and 3a (31.8%) were detected. Evidence of resistance associated with DAAs, such as daclatasvir and dasabuvir, was detected in five PWUCC with HCV (22.7%). Conclusions: The high prevalence of HCV infection, predominantly subtype 1b, and significant levels of resistance are very concerning. This demonstrates the urgent need for targeted public health interventions to expand access to testing, treatment, and effective antiviral therapy in this vulnerable population of the Brazilian Amazon. Full article
22 pages, 562 KB  
Article
Rule-Breaking and Rulemaking: Governance of the Antibiotic Value Chain in Rural and Peri-Urban India
by Anne-Sophie Jung, Indranil Samanta, Sanghita Bhattacharyya, Gerald Bloom, Pablo Alarcon and Meenakshi Gautham
Antibiotics 2025, 14(12), 1269; https://doi.org/10.3390/antibiotics14121269 - 15 Dec 2025
Viewed by 199
Abstract
Background/Objectives: Antimicrobial resistance (AMR) is a growing global health challenge, driven in part by how antibiotics are accessed, distributed, and used within complex value chains. In peri-urban India, these supply chains involve a range of formal and informal actors and practices, making [...] Read more.
Background/Objectives: Antimicrobial resistance (AMR) is a growing global health challenge, driven in part by how antibiotics are accessed, distributed, and used within complex value chains. In peri-urban India, these supply chains involve a range of formal and informal actors and practices, making them a critical yet underexamined focus for antimicrobial stewardship efforts. While much research has focused on the manufacturing and regulatory end, less is known about how antibiotics reach consumers in rural and peri-urban settings. This study aimed to map the human antibiotic value chain in West Bengal, India, and to analyse how formal and informal governance structures influence antibiotic use and stewardship. Methods: This qualitative study was conducted in two Gram Panchayats in South 24 Parganas district, West Bengal, India. Semi-structured interviews were carried out with 31 key informants, including informal providers, medical representatives, wholesalers, pharmacists, and regulators. Interviews explored the structure of the antibiotic value chain, actor relationships, and regulatory mechanisms. Data were analysed thematically using a value chain governance framework and NVivo 12 for coding. Results: The antibiotic value chain in rural West Bengal is highly fragmented and governed by overlapping formal and informal rules. Multiple actors—many holding dual or unofficial roles—operate across four to five tiers of distribution. Informal providers play a central role in both prescription and dispensing, often without legal licences but with strong community trust. Informal norms, credit systems, and market incentives shape prescribing behaviour, while formal regulatory enforcement is inconsistent or absent. Conclusions: Efforts to promote antibiotic stewardship must move beyond binary formal–informal distinctions and target governance structures across the entire value chain. Greater attention should be paid to actors higher up the chain, including wholesalers and pharmaceutical marketing networks, to improve stewardship and access simultaneously. This study highlights how fragmented governance structures, overlapping actor roles, and uneven regulation within antibiotic value chains create critical gaps that must be addressed to design effective antimicrobial stewardship strategies. Full article
Show Figures

Figure 1

14 pages, 739 KB  
Systematic Review
Assessing Digital Transformation Strategies in Retail Banks: A Global Perspective
by Bothaina Alsobai and Dalal Aassouli
J. Risk Financial Manag. 2025, 18(12), 710; https://doi.org/10.3390/jrfm18120710 - 12 Dec 2025
Viewed by 711
Abstract
This paper presents a PRISMA-guided systematic literature review (2015–2025) of 20 empirical studies on digital transformation in retail banking, examining how artificial intelligence (AI) strengthens cybersecurity, enables FinTech collaboration through interoperable APIs and open-banking infrastructures, and embeds data-driven decision-making across core functions. We [...] Read more.
This paper presents a PRISMA-guided systematic literature review (2015–2025) of 20 empirical studies on digital transformation in retail banking, examining how artificial intelligence (AI) strengthens cybersecurity, enables FinTech collaboration through interoperable APIs and open-banking infrastructures, and embeds data-driven decision-making across core functions. We searched major databases, applied predefined eligibility criteria, appraised study quality, and coded outcomes related to digital adoption, operational resilience, and customer experience. The synthesis indicates that AI-enabled controls and API-mediated partnerships are consistently associated with higher digital-maturity indicators, conditional on robust model-risk governance and prudent third-party/outsourcing management. Benefits span improved customer experience, efficiency, and inclusion; however, legacy systems, regulatory fragmentation, cyber threats, and organizational resistance remain binding constraints. We propose a unified framework linking technology choices, regulatory design, and organizational outcomes, and distill actionable guidance for policymakers (e.g., interoperable standards, proportional AI governance, sector-wide cyber resilience) and bank managers (sequencing AI use cases, risk controls, and partnership models). Future research should assess emerging technologies—including quantum-safe security and central bank digital currencies (CBDCs)—and their implications for digital-banking stability and trust. Full article
(This article belongs to the Section Banking and Finance)
Show Figures

Figure 1

21 pages, 1159 KB  
Article
Advancing Grapevine Breeding with Reliable SSR Genotyping: The Qsep100 Approach
by Ivana Tomaz, Nina Buljević, Iva Šikuten and Darko Preiner
Horticulturae 2025, 11(12), 1506; https://doi.org/10.3390/horticulturae11121506 - 12 Dec 2025
Viewed by 205
Abstract
Background: Grapevine breeding increasingly relies on molecular tools to introduce durable resistance to downy and powdery mildew. However, the reproducibility of simple sequence repeat (SSR) markers across platforms remains a challenge for marker-assisted selection (MAS). This study aimed to evaluate the performance of [...] Read more.
Background: Grapevine breeding increasingly relies on molecular tools to introduce durable resistance to downy and powdery mildew. However, the reproducibility of simple sequence repeat (SSR) markers across platforms remains a challenge for marker-assisted selection (MAS). This study aimed to evaluate the performance of SSR markers associated with key resistance loci (Run1/Rpv1, Ren3/Ren9, Rpv3, Rpv10, Rpv12) using the Qsep100 system and to validate selected markers on the ABI platform. Methods: A panel of grapevine cultivars and breeding genotypes was analyzed for SSR markers linked to resistance loci. PCR amplicons were separated on the Qsep100 BioFragment Analyzer, and a subset of markers was cross-validated using ABI capillary electrophoresis. Results: Only a limited subset of markers displayed consistent performance across genotypes. Sc34-8 and Sc35-2 were most reliable for Run1/Rpv1, Indel-27 and Indel-20 for Ren3/Ren9, UDV737 for all Rpv3 sub-loci, GF-09-44 and GF-09-57 for Rpv10, and UDV340 and UDV343 for Rpv12. ABI validation of UDV737 and Indel-27 confirmed high concordance with Qsep100 results, with allele size differences typically ≤2 bp. Conclusions: The study identifies a core set of robust SSR markers suitable for routine MAS in grapevine breeding. Results demonstrate that the Qsep100 system is a reliable alternative to ABI for large-scale genotyping, supporting its broader implementation in resistance breeding programs. Full article
Show Figures

Graphical abstract

0 pages, 4233 KB  
Article
Physiological and Biochemical Responses of Medicago sativa L. Infected by Cuscuta sp.
by Hümeyra Ayvacı, Mehmet Ertuğrul Güldür and Murat Dikilitas
Life 2025, 15(12), 1892; https://doi.org/10.3390/life15121892 - 11 Dec 2025
Viewed by 197
Abstract
This study aims to elucidate the physiological and biochemical alterations induced by parasitic Cuscuta sp. (dodder) in lucerne (Medicago sativa L.), a key forage crop. Comparative analyses between infected and healthy plants revealed that significant reductions in chlorophyll a, b, [...] Read more.
This study aims to elucidate the physiological and biochemical alterations induced by parasitic Cuscuta sp. (dodder) in lucerne (Medicago sativa L.), a key forage crop. Comparative analyses between infected and healthy plants revealed that significant reductions in chlorophyll a, b, and total chlorophyll, and protein levels in the leaf and stem tissues of Cuscuta-infested plants were evident. The parasitic infection led to increased activities in antioxidant enzymes such as catalase (CAT) and peroxidase (POX) in stems, but not in leaves. Phenolic compounds were significantly lower both in leaves and stems of dodder-infected lucerne plants. No statistically significant changes were detected in jasmonic acid (JA) and salicylic acid (SA) levels in both plant parts, suggesting that classical defense signaling pathways may not be predominantly activated under Cuscuta-mediated stress. Possibly, host defense might be impaired. Histological examinations demonstrated active structural defense responses, including localized tissue remodeling and the formation of callose-like structures at haustorial penetration sites. DNA fragmentations showed that Cuscuta-infected M. sativa plants exhibited slightly higher instability. Collectively, these findings provide novel insights into the molecular and biochemical basis of the Cuscuta-lucerne interactions and highlight the need for further investigation into host defense mechanisms. We assume that active defense structural parts at early growth stages of lucerne or hypersensitive-type responses occurring in the early penetration phase might fend off the invading holoparasite. The results also offer a valuable foundation for the development of Cuscuta-resistant lucerne cultivars and support the design of integrated, sustainable weed management strategies to mitigate the detrimental effects of parasitic plants on forage production systems. Full article
(This article belongs to the Section Plant Science)
Show Figures

Figure 1

0 pages, 8798 KB  
Article
The Vacuolar Protein 8 (Vac8) Homolog in Cryptococcus neoformans Impacts Stress Responses and Virulence Traits Through Conserved and Unique Roles
by Peter V. Stuckey, Julia Marine, Meghan Figueras, Aliyah Collins and Felipe H. Santiago-Tirado
J. Fungi 2025, 11(12), 877; https://doi.org/10.3390/jof11120877 - 11 Dec 2025
Viewed by 361
Abstract
Functionally similar to a plant vacuole or a mammalian lysosome, the fungal vacuole plays a vital role in many cellular processes. Most studies of the vacuole have been performed in the nonpathogenic yeast Saccharomyces cerevisiae; however, the vacuole in pathogenic fungi has [...] Read more.
Functionally similar to a plant vacuole or a mammalian lysosome, the fungal vacuole plays a vital role in many cellular processes. Most studies of the vacuole have been performed in the nonpathogenic yeast Saccharomyces cerevisiae; however, the vacuole in pathogenic fungi has recently been implicated in host invasion in both plants and mammals, highlighting an important role for the vacuole in pathogenesis. Here, we report that deletion of C. neoformans vacuolar protein 8 (VAC8) results in fragmented vacuole morphology, impairment of vacuolar fusion, and inability to form titan cells. Additionally, absence of Vac8 results in defective growth at high temperature and in the presence of caffeine, suggesting a defect in cell wall signaling. Interestingly, despite aberrant vacuole morphology, vac8Δ is slightly more resistant to fluconazole treatment, and displays increased resistance to hydrogen peroxide, suggesting the irregular vacuole morphology does not impair vacuolar function. Like S. cerevisiae Vac8, C. neoformans Vac8 is comprised of armadillo repeat regions which form alpha helices that fold to form a superhelix, allowing for increased protein–protein interaction. Many of the known binding partners of S. cerevisiae Vac8 are not present in the C. neoformans genome, suggesting novel functions for Vac8 in this fungus. Notably, deletion of VAC8 affected some virulence traits, providing support for targeting the fungal vacuole as a potential therapeutic intervention. Full article
(This article belongs to the Special Issue Fungal Cell Biology)
Show Figures

Figure 1

13 pages, 1487 KB  
Article
A Begomovirus solanumdelhiense Vector for Virus-Induced Gene Silencing in Melon
by Yufei Han, Qiansheng Liao, Ping Gao, Liqing Zhang, Bingqian Wan, Lihui Xu, Shigang Gao, Zhiwei Song, Fuming Dai and Rong Zeng
Pathogens 2025, 14(12), 1269; https://doi.org/10.3390/pathogens14121269 - 10 Dec 2025
Viewed by 259
Abstract
In this study, the insert length, location within the coat protein-encoding gene, and sequence orientation of the target fragment were optimized to construct an efficient virus-induced gene silencing (VIGS) system in melon using a Begomovirus solanumdelhiense vector. Existing systems are mostly RNA viruses, [...] Read more.
In this study, the insert length, location within the coat protein-encoding gene, and sequence orientation of the target fragment were optimized to construct an efficient virus-induced gene silencing (VIGS) system in melon using a Begomovirus solanumdelhiense vector. Existing systems are mostly RNA viruses, requiring in vitro synthesis of viral strands that are prone to degradation, although they exhibit high infectivity and stability in cucurbit hosts and ease of manipulation. This vector was selected for its more stable genome structure and these advantages. The melon phytoene desaturase (CmPDS), a key gene of carotenoid biosynthesis, was selected as a reporter gene to evaluate the effects of the VIGS system. Our results revealed that the melon leaves in all the VIGS treatments exhibited a typical photobleaching phenotype at 21 days post-inoculation. Moreover, reverse transcription quantitative real-time PCR revealed a significant reduction in the mRNA levels of PDS in melon. The highest silencing efficiency (lowest PDS mRNA levels) was achieved by the VIGS vector harboring a 165 bp CmPDS fragment at the 3′ end of the AV1. These findings not only establish a more efficient VIGS protocol for melon but also provide a foundation for developing novel virus-based silencing tools applicable to functional genomics and cucurbit crop improvement, particularly for traits requiring precise gene expression modulation such as disease resistance and fruit quality. Full article
Show Figures

Figure 1

Back to TopTop