Abstract
High-risk neuroblastoma (NB) is an aggressive pediatric tumor characterized by pronounced biological heterogeneity and frequent development of chemoresistance, which critically limits therapeutic efficacy. Identifying novel anti-NB agents remains an urgent unmet need. To address this, we designed and synthesized 17 hybrid molecules by combining natural antioxidant scaffolds (coumarin, vanillin, and isovanillin) through an acyl-hydrazone linker. Several derivatives significantly reduced the viability of MYCN-amplified NB cells (HTLA-230) and their multi-drug resistant counterpart (ER) while not affecting human keratinocytes (HaCat). Among them, compounds 5, 9 and 12 selectively inhibited HTLA and ER growth (10–25%) without affecting HaCat, accompanied by robust ROS overproduction, particularly by 9 and 12 (up to 40%). None of these compounds induced apoptosis or ferroptosis. Instead, their antiproliferative effects were associated with senescence induction and, only for compound 5, with a decrease in clonogenic potential. Moreover, to further characterize compounds 5, 9, and 12, the analysis was extended across other human neuroblastoma cell lines. In parallel, the effects of the compounds on non-malignant cell lines were assessed to obtain an indication of their selectivity toward tumor cells. Compound 17, a structural analog lacking the second aromatic ring in the ex-aldehyde portion, displayed a distinct profile with a limited anticancer activity, underscoring the importance of this structural fragment for antiproliferative efficacy.
1. Introduction
Neuroblastoma
Neuroblastoma (NB) is a neural-crest-derived embryonal malignancy that almost exclusively occurs in early childhood. Despite being a relatively rare disease affecting 1 in 8000 live births, and representing 6–10% of all childhood tumors, NB accounts for 12–15% of all childhood cancer-related death and is the most common and deadly extracranial tumor in children [1].
NB shows a highly heterogenous clinical behavior, ranging from tumors curable by surgery alone or in combination with limited chemotherapy, over patients with highly metastasized disease, to the special subcategory of NB that is metastatic at diagnosis but shows spontaneous regression with no therapeutic intervention [2,3].
The clinical heterogeneity of NB is accompanied by distinct genetic patterns, including high-level MYCN amplification—seen in approximately 20–25% of cases and strongly associated with poor prognosis—and recurrent segmental chromosomal imbalances, which also correlate with aggressive disease, even in the absence of MYCN amplification [4].
The biologic heterogeneity of neuroplastic tumors that occur during childhood has resulted in a dichotomization in therapeutic strategies according to risk classification [5]. For tumors that have favorable biologic features, the clear trend has been to reduce therapeutic intensity. In contrast, the approach to tumors with adverse prognostic features has shifted over the past two decades toward intensifying chemoradiotherapy. In high-risk patients, therapy typically involves an intensive induction of the remission chemotherapy regimen—commonly referred to as COJEC—which consists of the cyclic administration of the chemotherapeutics Cisplatin, Vincristine, Etoposide, Cyclophosphamide and Carboplatin. Induction follows the consolidation of the remission phase, characterized by surgical resection of the primary tumor and myeloablative therapy in combination with autologous hematopoietic stem cell reinfusion and localized radiotherapy. Maintenance therapy comprises the administration of retinoic acid to promote differentiation of residual tumor cells, alongside immunotherapy for the eradication of minimal residual disease. Despite this, the survival outcomes remain markedly different across risk groups: low-risk patients have a 95% chance of disease-free survival, whereas high-risk patients have a 50% risk for disease relapse due to the development of chemotherapy-resistant cells [6]. Even with intensive therapy, the majority of high-risk patients eventually develop progressive disease that is refractory to further therapy [7].
Cancer cells may either exhibit a significant primary resistance to drugs (primary resistance), or acquire characteristics of multi-drug resistance after long-term chemotherapy (acquired resistance) due to mutations in genes coding for proteins involved in cell death and survival and due to epigenetic changes. NB exhibits inter- and intra-tumor genetic heterogeneity characterized by abnormal telomere maintenance mechanisms, MYCN amplification, and mutations in the RAS and/or p53 pathways, resulting in poor prognosis [8].
Efforts to identify efficacious treatments for high-risk chemotherapy-resistant NB remains a critical unmet medical need. In this context, molecular hybridization is a technique that has recently been widely used in medicinal chemistry for drug discovery and consists of joining structural motifs from two or more bioactive entities into a single molecular framework capable of reproducing the original properties of the prototype molecules or, in some cases, acting synergistically on the same or different biochemical pathways related to cancer [9].
Since alterations in the cellular redox balance caused by the generation of free radicals are frequently observed in NB, our aim was to design and synthesize novel antiproliferative substances by molecular hybridization of natural scaffolds endowed with intrinsic antioxidant activity (coumarin, vanillin, and isovanillin). These hybrids were intended to exert both antiproliferative effects, particularly against drug-resistant NB, and modulatory effects on oxidative stress pathways.
Coumarin (2H-chromen-2-one or 2H-1-benzopyran-2-one), bicyclic heterocycle consisting of benzene and 2-pyrone rings, was chosen as bicyclic part of our newly designed molecules. Coumarins are part of flavonoid group of plant secondary metabolite, and their derivatives are a wide class of natural and synthetic compounds that showed versatile pharmacological activities including anti-inflammatory [10,11,12], antioxidant [12] and anti-carcinogenic [10,13].
On the other hand, another natural scaffold was chosen for the design of the other fragment of our hybrid molecules. Vanillin (4-hydroxy-3-methoxybenzaldehyde) and isovanillin (3-hydroxy-4-methoxybenzaldehyde) are aromatic aldehydes extensively studied for their potential use as anti-cancer agents [14,15]. Moreover, their nucleus has also been functionalized to create derivatives that maintain or increase this activity [16,17].
The acyl hydrazide–hydrazone moiety served as linker in our hybrid molecules. Hydrazones (–CO–NH–N=CH–) typically result from the condensation of hydrazines with aldehydes or ketones [18] and allow for facile synthetic modification at carbon or nitrogen centers useful to further modulate their reactivity and physicochemical properties, making them valuable tools in medicinal chemistry. The bioactivity of acyl hydrazones can be attributed to their capacity to establish hydrogen bonds with molecular targets, a property conferred by their nature as Schiff bases. Moreover, several studies have investigated the possible use of coumarins with hydrazide moiety at C-3, highlighting hydrazide–hydrazone (–CO–NH–N=CH–) moiety as a significant structural feature in compounds active as antitumor agents [19,20].
Given these premises, we synthesized 17 new compounds (Figure 1) consisting of the coumarin fragment (3-carboxycoumarin unsubstituted or possibly 8-substituted with OH or OCH3 group) linked to vanillin or isovanillin or their phenoxy or benzyloxy derivatives via an acylhydrazone linker. To assess the biological potential of these new compounds, we evaluated their effects in several NB cell line (HTLA-230, IMR32 and SK-N-AS) and in a multidrug-resistant (MDR) cell line (ER-HTLA-230) developed in our laboratories and selected by chronically treating HTLA-230 with etoposide [21,22,23].
Figure 1.
Schematic representation of design by molecular hybridization and chemical structure of compounds 1–17.
2. Materials and Methods
2.1. Chemistry
All chemicals (reagent grade) were purchased from Merck (formerly Aldrich Chemical). Solvents were reagent-grade. All commercial reagents were used without further purification. Reaction progress was monitored using analytical thin layer chromatography (TLC) on precoated silica gel plates (Merck DC-Alufolien Kieselgel 60; F254, Darmastad, Germany) and the spots were detected under UV light (254 nm). Column chromatography was performed on silica gel (60; 0.063–0.200 mm). Melting point was measured on a Stuart SMP3 micromelting point apparatus and uncorrected. Elemental analyses were performed on a Flash 2000 CHNS (Thermo Scientific, Waltham, MA, USA). 1H NMR spectra (400 MHz) and 13C spectra (101 MHz) were measured on a JEOL JNM ECZ-400S/L1 spectrometer (Tokyo, Japan) at 25 °C or at variable temperature using DMSO-d6 or CDCl3 as solvents. Chemical shifts are reported in ppm (δ) relative to the internal reference tetramethylsilane (TMS), and the splitting patterns are described as follows: s(singlet), d(doublet), dd(doublet of doublets), t(triplet), q(quartet) and m(multiplet). The purity of all final compounds was confirmed to be higher than 95% through 1H NMR spectra.
2.2. Synthesis
2.2.1. Synthesis of Ethyl 3-Hydrazineyl-3-oxopropanoate (A)
A solution of diethyl malonate (8 g, 50 mmol, 7.6 mL) and hydrazine monohydrate (1 mL, 20 mmol) in absolute ethanol (10 mL) is stirred at room temperature for 12 h. The reaction lead to the formation of both malonohydrazide and malonomonohydrazide as described by Abdel-Aziz et al. [24]. The white precipitate, formed at room temperature, (malonohydrazide, m.p.: 148–150 °C) is removed by filtration and the solution is evaporated under vacuum and cooled at −20 °C overnight to afford the crystallization of a white solid (malonomonohydrazide, A) which is separated by filtration and washed with diethyl ether. The remaining solution is reacted again with hydrazine monohydrate (0.5 mL, 10 mmol) in absolute ethanol (10 mL). The entire process is repeated up to three times. The monohydrazide fractions obtained are reunited and recrystallized from ethanol.
White solid. Yield: 34% (calculated on diethyl malonate). M.p.: 69–71 °C. Molecular formula: C5H10N2O3. M.W.: 146.15 g/mol. Elemental analysis calcd for C5H10N2O3. C% 41.09, H% 6.90, N% 19.17; found C% 40.85, H% 6.94, N% 19.35.
2.2.2. General Procedure for the Synthesis of Phenoxy Aldehydes B1-2
Phenoxy aldehydes were synthetized following the method described by Crowder et al. [25].
Briefly, an equimolar amount of solid NaOH (0.20 g, 5 mmol) and of diphenyliodonium chloride (1.58 g, 5 mmol) are added to vanillin or isovanillin (0.76 g, 5 mmol) in H2O (35 mL). The reaction mixture is heated to 100 °C for 24 h. After extraction with diethyl ether (3 × 30 mL), the organic phase is washed with 1N NaOH (3 × 20 mL), dried on Na2SO4, filtered and evaporated under vacuum. Finally, the aldehydes are purified by chromatography 1:15 SiO2/n-Exane/Ethyl Acetate (80:20).
3-methoxy-4-phenoxybenzaldehyde(B1).
White solid. M.p.: 38–40 °C. (40–42 °C, [26]). Yield: 68%. Molecular formula: C14H12O3. M.W.: 228.25 g/mol. Elemental analysis calcd for C14H12O3. C% 73.67, H% 5.30; found C% 73.45, H% 5.12.
4-methoxy-3-phenoxybenzaldehyde (B2).
White solid. M.p.: 43–45 °C. (48 °C, [27]). Yield: 78%. Molecular formula: C14H12O3. M.W.: 228.25 g/mol. Elemental analysis calcd for C14H12O3. C% 73.67, H% 5.30; found C% 73.82, H% 5.47.
2.2.3. General Procedure for the Synthesis of Benzyloxy and 4-F Benzyloxy Aldehydes B3-6
Benzyloxy and 4-fluorobenzyloxy aldehydes were synthetized following the method described by Ashton et al. [28].
To a solution of vanillin or isovanillin (0.76 g, 5 mmol) in an. DMF (5 mL) were added an. K2CO3 (0.69 g, 5 mmol) and a catalytic amount of KI (50 mg). After stirring at 60 °C for 20 min, a solution of the appropriate benzyl chloride (5 mmol) in an. DMF (2 mL) was added dropwise. The reaction mixture was heated at 70 °C for 22 h. Then, water (30 mL) was added and extractions with ethyl acetate (2 × 20 mL, 1 × 15 mL) were performed. The organic phases were reunited and washed with 1N NaOH (10 mL) and water (15 mL). The aqueous phases were reunited and re-extracted with ethyl acetate (10 mL). Then, the organic phases were reunited and washed with water (10 mL) and Brine (15 mL), dried on Na2SO4, filtered and evaporated under vacuum to obtain colorless oils that crystallize at room temperature possibly by adding a few drops of anhydrous diethyl ether.
4-(benzyloxy)-3-methoxybenzaldehyde(B3).
White solid. Yield: 91%. M.p.: 61–62 °C. (55–57 °C, [29]). Molecular formula: C15H14O3. M.W.: 242.27 g/mol. Elemental analysis calcd for C15H14O3 C% 74.36, H% 5.82; found C% 74.54, H% 5.86.
3-(benzyloxy)-4-methoxybenzaldehyde(B4).
White solid. Yield: 90%. M.p.: 61–63 °C. (61–63 °C, [30]). Molecular formula: C15H14O3. M.W.: 242.27 g/mol. Elemental analysis calcd for C15H14O3: C% 74.36, H% 5.82; found C% 74.12, H% 5.78.
4-((4-fluorobenzyl)oxy)-3-methoxybenzaldehyde (B5).
White solid. Yield: 85%. M.p.: 62–63 °C. (60–62 °C, [29]). Molecular formula: C15H13FO3. M.W.: 260.26 g/mol. Elemental analysis calcd for C15H13FO3: C% 69.22; H% 5.03; found C% 69.04, H% 5.01.
3-((4-fluorobenzyl)oxy)-4-methoxybenzaldehyde(B6).
White solid. Yield: 91%. M.p.: 80–81 °C. Molecular formula: C15H13FO3. M.W.: 260.26 g/mol. Elemental analysis calcd for C15H13FO3: C% 69.23; H% 5.03; found C% 69.38, H% 5.07.
2.2.4. General Procedure for the Synthesis of Intermediate Hydrazides C1–7
A solution of A and of the desired aldehyde B1–6 (or 3,4-dihydroxybenzaldehyde for the synthesis of intermediate C7) in EtOH (8 mL) was refluxed for 5 h. All intermediates C1–7 crystallize in the reaction mixture. The volume was reduced under vacuum and cooled overnight at +4 °C to allow for complete crystallization. Intermediates C1–7 were then filtered out and washed with cold EtOH.
Ethyl 3-(2-(3-methoxy-4-phenoxybenzylidene)hydrazineyl)-3-oxopropanoate(C1).
White solid. M.p.: 105–108 °C. Yield: 79%. Molecular formula: C19H20N2O5. M.W.: 356.38 g/mol. Elemental analysis calcd for C19H20N2O5: C% 64.04, H% 5.66, N% 7.86; found C% 63.78, H% 5.63, N% 8.01. 1H NMR (400 MHz, DMSO-d6) δ 11.55 (s, 1H, NH), 7.91 (s, 1H, CH=N), 7.64–6.74 (m, 8H, arom), 4.05 (q, J = 7.1 Hz, 2H, OCH2), 3.76 (d, J = 6.6 Hz, 3H, OCH3), 3.61 (s, 2H, COCH2CO), 1.11 (t, J = 7.1 Hz, 3H, CH2CH3). 13C NMR (101 MHz, CDCl3) δ 168.45, 157.77, 151.88, 145.95, 143.01, 131.82, 130.37, 123.21, 121.57, 121.06, 117.19, 111.03, 60.97, 56.20, 41.84, 14.57.
Ethyl 3-(2-(4-(benzyloxy)-3-methoxybenzylidene)hydrazineyl)-3-oxopropanoate (C2).
White solid. M.p.: 139–41 °C. Yield: 94%. Molecular formula: C20H22N2O5. M.W.: 370.41 g/mol. Elemental analysis calcd for C20H22N2O5: C% 64.85, H% 5.99, N% 7.56; found C% 64.62, H% 5.95, N% 7.34. 1H NMR (400 MHz, CDCl3) δ 9.97 (s, 1H. NH), 7.72 (s, 1H, CH=N), 7.46–7.24 (m, 6H, Ar), 7.01 (dt, J = 8.3, 2.5 Hz, 1H, Ar), 6.85 (dd, J = 8.3, 3.2 Hz, 1H, Ar), 5.17 (s, 2H, CH2Ar), 4.18 (q, J = 7.1 Hz, 2H, OCH2), 3.92 (s, 3H, OCH3), 3.74 (s, 2H, CH2), 1.22 (t, J = 7.1 Hz, 3H, CH2CH3). 13C NMR (101 MHz, CDCl3) δ 169.07, 167.59, 150.39, 150.05, 144.50, 136.66, 128.73, 128.72, 128.12, 128.10, 127.33, 126.96, 121.89, 113.23, 108.85, 70.96, 61.40, 56.11, 41.59, 14.26.
Ethyl 3-(2-(4-((4-fluorobenzyl)oxy)-3-methoxybenzylidene)hydrazineyl)-3-oxopropanoate (C3).
White solid. M.p.: 148–149 °C. Yield: 96%. Molecular formula: C20H21FN2O5. M.W.: 388.40 g/mol. Elemental analysis calcd for C20H21FN2O5: C% 61.85, H% 5.45, N% 7.21; found C% 61.63, H% 5.48, N% 7.01. 1H NMR (400 MHz, CDCl3) δ 9.95 (s, 1H, NH), 7.72 (s, 1H, CH=N), 7.48–7.39 (m, 2H), 7.28 (d, J = 1.9 Hz, 1H), 7.11–6.99 (m, 3H), 6.84 (dd, J = 8.3, 3.0 Hz, 1H), 5.12 (s, 2H, CH2Ar), 4.19 (q, J = 7.1 Hz, 2H, OCH2), 3.92 (s, 3H, OCH3), 3.74 (s, 2H, CH2), 1.22 (t, J = 7.1 Hz, 3H, CH2CH3). 13C NMR (101 MHz, CDCl3) δ 169.06, 167.57, 150.18, 150.10, 144.39, 132.41, 132.38, 129.33, 129.25, 127.16, 121.82, 115.74, 115.55, 113.32, 108.88, 70.36, 61.40, 56.09, 41.59, 14.26.
Ethyl 3-(2-(4-methoxy-3-phenoxybenzylidene)hydrazineyl)-3-oxopropanoate(C4).
White solid. M.p.: 129–131 °C. Yield: 68%. Molecular formula: C19H20N2O5. M.W.: 356.38 g/mol. Elemental analysis calcd for C19H20N2O5: C% 64.04, H% 5.66, N% 7.86; found C% 64.22, H% 5.69, N% 7.65. 1H NMR (400 MHz, DMSO-d6) δ 11.42 (s, 1H, NH), 7.84 (s, 1H, CH=N), 7.44–6.76 (m, 8H), 3.93 (q, J = 7.1 Hz, 2H, OCH2), 3.74 (s, 3H, OCH3), 3.52 (s, 2H, COCH2CO), 1.03 (t, J = 7.1 Hz, 3H, CH2CH3). 13C NMR (101 MHz, CDCl3) δ 168.25, 158.25, 144.16, 142.83, 130.41, 130.27, 128.02, 126.04, 122.75, 119.46, 117.11, 116.34, 113.90, 60.88, 56.41, 41.70, 14.44.
Ethyl 3-(2-(3-(benzyloxy)-4-methoxybenzylidene)hydrazineyl)-3-oxopropanoate (C5).
White solid. M.p.: 110–112 °C. Yield: 94%. Molecular formula: C20H22N2O5. M.W.: 370.41 g/mol. Elemental analysis calcd for C20H22N2O5: C% 64.85, H% 5.99, N% 7.56; found C% 65.08, H% 6.02, N% 7.79. 1H NMR (400 MHz, CDCl3) δ 9.98 (s, 1H, NH), 7.69 (s, 1H, CH=N), 7.50–7.44 (m, 2H, Ar), 7.41–7.25 (m, 4H, Ar), 7.08 (dd, J = 8.3, 1.9 Hz, 1H, Ar), 6.86 (d, J = 8.3 Hz, 1H, Ar), 5.18 (s, 2H, CH2Ar), 4.18 (q, J = 7.2 Hz, 2H, OCH2), 3.90 (s, 3H, OCH3), 3.72 (s, 2H, CH2), 1.22 (t, J = 7.1 Hz, 3H, CH2CH3).13C NMR (101 MHz, CDCl3) δ 169.07, 167.58, 151.87, 148.57, 144.45, 136.88, 128.67, 128.64, 128.08, 127.67, 127.57, 126.51, 122.39, 111.28, 110.95, 71.02, 61.41, 56.11, 41.39, 14.28.
Ethyl 3-(2-(3-((4-fluorobenzyl)oxy)-4-methoxybenzylidene)hydrazineyl)-3 oxopropanoate (C6).
White solid. M.p.: 110–111 °C. Yield: 76%. Molecular formula: C20H21FN2O5. M.W.: 388.40 g/mol. Elemental analysis calcd for C20H21FN2O5: C% 61.85, H% 5.45 N% 7.21; found C% 62.09, H% 5.42, N% 7.38. 1H NMR (400 MHz, CDCl3) δ 9.98 (s, 1H, NH), 7.69 (t, J = 2.0 Hz, 1H, CH=N), 7.51–7.38 (m, 2H, Ar), 7.30 (d, J = 1.9 Hz, 1H, Ar), 7.18–6.92 (m, 3H), 6.86 (d, J = 8.3 Hz, 1H, Ar), 5.13 (s, 2H, CH2Ar), 4.18 (q, J = 7.1 Hz, 2H, OCH2), 3.89 (s, 3H, OCH3), 3.72 (s, 2H, CH2), 1.22 (t, J = 7.1 Hz, 3H, CH2CH3). 13C NMR (101 MHz, CDCl3) δ 167.55, 163.86, 161.41, 151.90, 148.40, 132.60, 129.53, 129.45, 126.49, 122.63, 115.69, 115.64, 115.47, 111.28, 110.90, 70.37, 61.42, 56.10, 41.47, 14.26.
Ethyl 3-(2-(3,4-dihydroxybenzylidene)hydrazineyl)-3-oxopropanoate(C7).
White solid. M.p.: 156–157 °C. Yield: 55%. Molecular formula: C12H14N2O5. M.W.: 266.26 g/mol. Elemental analysis calcd for C12H14N2O5: C% 54.13, H% 5.30, N% 10.52; found C% 54.27, H% 5.69, N% 10.68. 1H NMR (400 MHz, DMSO-d6) δ 11.25 (s, 1H, NH), 9.38 (s, 1H, OH), 9.06 (s, 1H, OH), 7.74 (s, 1H, CH=N), 7.04–6.68 (m, 3H, arom), 4.04 (q, J = 7.1 Hz, 2H, OCH2), 3.56 (s, 2H, CH2), 1.13 (t, J = 7.1 Hz, 3H, CH2CH3). 13C NMR (101 MHz, DMSO-d6) δ 168.25, 148.27, 146.23, 146.16, 144.39, 120.42, 116.03, 113.39, 60.96, 41.41, 14.57.
2.2.5. General Procedure for the Synthesis of Final Hydrazones 1–17
To a solution of proper intermediate C1–7 (0.8 mmol) and of the appropriate 2-hydroxybenzaldehyde (0.8 mmol) in abs. EtOH (8 mL), piperidine (0.3 mL, 3 mmol) was added. The reaction mixture was stirred for 5 h under reflux. Then, the reaction mixture was concentrated under vacuum and crystallized at –20 °C. The precipitate was filtered and washed with an. Et2O to obtain the desired compounds as yellow solids.
For compounds 13–17 (OH at position 8 of the coumarin ring) the amount of piperidine was reduced (0.1 mL, 1 mmol) and the purification required and additional step. In detail, the reaction mixture was allowed to cool down and then a mixture of iced water and hydrochloridric acid (10 mL + 5 mL of 1N HCl) was added to afford the complete precipitation of the compounds. After filtration and washes with water, the compounds are purified by crystallization from ethanol.
As will be discussed in detail later (Chemistry subsection of Result and Discussion, Section 3.1), compounds 1–17 exist in solution as an equilibrium of two possible rotamers. In the 1H NMR spectra, signals for which the corresponding resonance of the alternative rotamer is detectable are annotated as “and.” Conversely, in the aromatic region, where resonances of the minor rotamer cannot always be clearly resolved, they are reported as follows (e.g.,): m, 12H, Ar and Ar_rotamer (Supplementary Materials).
(E)-N’-(3-methoxy-4-phenoxybenzylidene)-2-oxo-2H-chromene-3-carbohydrazide(1).
Yellow solid. M.p.: 256–261 °C. Yield: 85%. Molecular formula: C24H18N2O5. M.W.: 414.42 g/mol. Elemental analysis calcd for C24H18N2O5: C% 69.56, H% 4.38, N% 6.76; found C% 67.12, H% 4.41, N% 6.34. 1H NMR (400 MHz, DMSO-d6) δ 12.03 and 11.74 (s, 1H, NH), 8.89 and 8.29 (s, 1H, Ar and Ar_rotamer), 8.43 and 7.97 (s, 1H, CH=N), 8.07–6.71 (m, 12H, Ar and Ar_rotamer), 3.80 and 3.57 (s, 3H, OCH3). 13C NMR (101 MHz, DMSO-d6) δ 160.48, 157.59, 154.45, 149.57, 148.36, 134.89, 131.45, 130.86, 130.44, 125.83, 123.40, 122.10, 121.37, 119.89, 118.98, 117.47, 116.81, 111.15, 56.27.
(E)-N’-(4-(benzyloxy)-3-methoxybenzylidene)-2-oxo-2H-chromene-3-carbohydrazide(2).
Yellow solid. M.p.: 213–214 °C. Yield: 86%. Molecular formula: C25H20N2O5. M.W.: 428.44 g/mol. Elemental analysis calcd for C25H20N2O5: C% 70.09; H%, 4.71; N% 6.54; found C% 69.85, H% 4.69, N% 6.33. 1H NMR (400 MHz, DMSO-d6) δ 11.91 and 11.64 (s, 1H, NH), 8.87 and 8.26 (s, 1H, Ar and Ar_rotamer), 8.34 and 7.88 (s, 1H, CH=N), 8.05–6.92 (m, 12H, Ar and Ar_rotamer), 5.11 and 5.03 (s, 2H, CH2Ph), 3.80 and 3.55 (s, 3H, OCH3). 13C NMR (101 MHz, DMSO-d6) δ 160.50, 158.38, 154.41, 150.55, 150.07, 149.84, 148.20, 137.27, 134.83, 130.82, 129.01, 128.53, 128.49, 127.40, 125.81, 122.72, 119.92, 118.98, 116.78, 113.53, 109.28, 70.38, 56.06, 55.52.
(E)-N’-(4-((4-fluorobenzyl)oxy)-3-methoxybenzylidene)-2-oxo-2H-chromene-3-carbohydrazide(3).
Yellow solid. M.p.: 235–256 °C. Yield: 91%. Molecular formula: C25H19FN2O5. M.W.: 428,44 g/mol. Elemental analysis calcd for C25H19FN2O5: C% 67.26, H% 4.29, N% 6.28; found C% 67.11, H% 4.32, N% 6.24. 1H NMR (400 MHz, DMSO-d6): δ 11.89 and 11.63 (s, 1H, NH), 8.87 and 8.25 (s, 1H, CH=N), 8.34 and 7.89 (s, 1H, Ar and Ar_rotamer), 8.04–6.95 (m, 11 H, Ar and Ar_rotamer), 5.10 and 5.02 (s, 2H, CH2Ph), 3.80 and 3.55 (s, 3H, OCH3). 13C NMR (101 MHz, DMSO-d6) δ: 160.48, 158.39, 154.42, 150.45, 150.06, 149.89, 148.18, 134.82, 133.55, 130.81, 130.75, 130.67, 127.54, 125.81, 122.65, 119.95, 118.99, 116.78, 115.93, 115.72, 113.70, 109.43, 69.70, 56.10.
(E)-N’-(4-methoxy-3-phenoxybenzylidene)-2-oxo-2H-chromene-3-carbohydrazide(4).
Yellow solid. M.p.: 243–244 °C. Yield: 92%. Molecular formula: C24H18N2O5. M.W.: 414.42 g/mol. Elemental analysis calcd for C24H18N2O5: C% 69.56, H% 4.38, N% 6.76; found C% 69.72, H% 4.15, N% 6.58. 1H NMR (400 MHz, DMSO-d6) δ 11.87 and 11.64 (s, 1H, NH), 8.85 and 8.19 (s, 1H, Ar), 8.34 and 7.89 (s, 1H, CH=N), 8.03–6.70 (m, 12H, Ar and Ar_rotamer), 3.78 and 3.71 (s, 3H, OCH3). 13C NMR (101 MHz, DMSO-d6) δ 160.46, 158.43, 157.88, 154.42, 153.67, 149.22, 148.29, 144.81, 134.85, 130.82, 130.45, 130.19, 127.69, 126.14, 125.81, 123.21, 119.82, 119.29, 118.97, 117.56, 117.17, 116.78, 113.95, 56.45.
(E)-N’-(3-(benzyloxy)-4-methoxybenzylidene)-2-oxo-2H-chromene-3-carbohydrazide(5).
Yellow solid. M.p.: 214–215 °C. Yield: 92%. Molecular formula: C25H20N2O5. M.W.: 428,44 g/mol. Elemental analysis calcd for C25H20N2O5: C% 70.09; H% 4.71; N% 6.54; found C% 70.27, H% 4.68, N% 6.70. 1H NMR (400 MHz, DMSO-d6) δ 11.87 and 11.63 (s, 1H, NH), 8.88 and 8.27 (s, 1H, Ar and Ar_rotamer), 8.33 and 7.86 (s, 1H, CH=N), 8.07–6.87 (m, 12H, Ar and Ar_rotamer), 5.10 and 4.86 (s, 2H, CH2Ph), 3.79 and 3.72 (s, 3H, OCH3). 13C NMR (101 MHz, DMSO-d6) δ 160.49, 158.36, 154.41, 151.87, 150.08, 148.61, 148.20, 137.37, 134.83, 130.81, 128.96, 128.89, 128.51, 128.02, 127.09, 125.81, 123.03, 119.92, 118.98, 116.79, 112.35, 110.97, 70.45, 56.21.
(E)-N’-(3-((4-fluorobenzyl)oxy)-4-methoxybenzylidene)-2-oxo-2H-chromene-3-carbohydrazide(6).
Yellow solid. M.p.: 235–236 °C. Yield: 93%. Molecular formula: C25H19FN2O5. M.W.: 446.43 g/mol. Elemental analysis calcd for C25H19FN2O5: C% 67.26; H% 4.29; N% 6.28; found C%, 67.19, H%, 4.32, N% 6.24. 1H NMR (400 MHz, DMSO-d6) δ: 11.86 and 11.62 (s, 1H, NH), 8.87 and 8.24 (s, 1H, Ar and Ar_rotamer), 8.34 and 7.87 (s, 1H, CH=N), 8.02–6.91 (m, 11H, Ar and Ar_rotamer), 5.09 and 4.84 (s, 2H, CH2Ph), 3.79 and 3.72 (s, 3H, OCH3). 13C NMR (101 MHz, DMSO-d6) δ: 161.18, 160.48, 158.37, 154.42, 151.91, 150.05, 148.54, 148.18, 134.82, 133.67, 130.81, 130.74, 130.66, 127.13, 125.81, 123.12, 119.95, 118.99, 116.78, 115.88, 115.67, 112.43, 111.18, 69.81, 56.24.
(E)-8-methoxy-N’-(3-methoxy-4-phenoxybenzylidene)-2-oxo-2H-chromene-3-carbohydrazide(7).
Yellow solid. M.p.: 239–240 °C. Yield: 75%. Molecular formula: C25H20N2O6. M.W.: 444.44 g/mol. Elemental analysis calcd for C25H20N2O6: C% 67.56, H% 4.54, N% 6.30; found C% 67.32, H% 4.59, N% 6.44. 1H NMR (400 MHz, DMSO-d6) δ 12.03 and 11.73 (s, 1H, NH), 8.86 and 8.26 (s, 1H, Ar and Ar_rotamer), 8.43 and 7.96 (s, 1H, CH=N), 7.59–6.76 (m, 11H, Ar and Ar_rotamer), 3.92 and 3.88 (s, 3H, OCH3), 3.79 and 3.57 (s, 3H, OCH3). 13C NMR (101 MHz, DMSO-d6) δ 160.21, 158.53, 157.59, 151.81, 149.61, 148.59, 146.86, 146.65, 143.73, 131.45, 130.43, 130.33, 125.77, 123.39, 122.09, 121.73, 121.37, 119.96, 119.53, 117.47, 117.03, 116.80, 111.15, 56.77, 56.27.
(E)-N’-(4-(benzyloxy)-3-methoxybenzylidene)-8-methoxy-2-oxo-2H-chromene-3-carbohydrazide(8).
Yellow solid. M.p.: 233–234 °C. Yield: 91%. Molecular formula: C26H22N2O6. M.W.: 458,47 g/mol. Elemental analysis calcd for C26H22N2O6: C% 68.11; H% 4.84; N% 6.11; found C% 68.32, H% 4.80, N% 6.29. 1H NMR (400 MHz, DMSO-d6) δ 11.91 and 11.64 (s, 1H, NH), 8.84 and 8.23 (s, 1H, Ar and Ar_rotamer), 8.34 and 7.87 (s, 1H, CH=N), 7.60–6.86 (m, 11H, Ar and Ar_rotamer), 5.11 and 5.03 (s, 2H, CH2Ph), 3.91 and 3.90 (s, 3H, OCH3), 3.80 and 3.56 (s, 3H, OCH3). 13C NMR (101 MHz, DMSO-d6) δ 160.23, 158.34, 150.56, 150.12, 149.85, 148.43, 146.85, 143.70, 137.27, 129.01, 128.53, 128.49, 127.40, 125.76, 122.73, 121.70, 120.02, 119.55, 116.76, 113.55, 109.30, 70.38, 56.77, 56.07.
(E)-N’-(4-((4-fluorobenzyl)oxy)-3-methoxybenzylidene)-8-methoxy-2-oxo-2H-chromene-3-carbohydrazide(19).
Yellow solid. M.p.: 254–255 °C. Yield: 92%. Molecular formula: C26H21FN2O6. M.W.: 476.46 g/mol. Elemental analysis calcd for C26H21FN2O6: C% 65.54, H% 4.44, N% 5.88; found C% 65.12, H% 4.49, N% 5.92. 1H NMR (400 MHz, DMSO-d6): 1H NMR (400 MHz, DMSO-D6) δ 11.89 and 11.63 (s, 1H, NH), 8.84 and 8.22 (s, 1H, CH=N), 8.34 and 7.88 (s, 1H, ArHand Ar_rotamer), 7.89–6.95 (m, 10 H, Ar and Ar_rotamer) 5.09 and 5.02 (s, 2H, CH2Ph), 3.92 and 3.90 (s, 3H, OCH3), 3.80 and 3.56 (s, 3H, OCH3). 13C NMR (101 MHz, DMSO-d6) δ 159.79, 158.39, 150.19, 148.32, 147.03, 146.57, 142.60, 133.66, 130.46, 128.01, 127.43, 125.73, 122.50, 121.79, 120.16, 119.65, 117.11, 115.85, 115.63, 114.40, 110.35, 70.05, 56.96, 56.38.
(E)-8-methoxy-N’-(4-methoxy-3-phenoxybenzylidene)-2-oxo-2H-chromene-3-carbohydrazide(10).
Yellow solid. M.p.: 228–229 °C. Yield: 74%. Molecular formula: C25H20N2O6. M.W.: 444.44 g/mol. Elemental analysis calcd for C25H20N2O6: C% 67.56, H% 4.54, N% 6.30; found C% 67.72, H% 4.38, N% 6.12. 1H NMR (400 MHz, DMSO-d6) δ 11.87 and 11.64 (s, 1H, NH), 8.82 and 8.17 (s, 1H, Ar and Ar_rotamer), 8.35 and 7.89 (s, 1H, CH=N), 7.59–6.67 (m, 11H, Ar and Ar_rotamer), 3.91 and 3.92 (s, 3H, OCH3), 3.78 and 3.71 (s, 3H, OCH3). 13C NMR (101 MHz, DMSO-d6) δ 160.19, 158.37, 157.88, 153.67, 149.26, 148.54, 146.84, 144.79, 143.69, 130.44, 130.11, 127.68, 126.15, 125.75, 123.21, 121.70, 119.88, 119.52, 119.29, 117.47, 117.16, 116.77, 113.93, 56.75, 56.44.
(E)-N’-(3-(benzyloxy)-4-methoxybenzylidene)-8-methoxy-2-oxo-2H-chromene-3-carbohydrazide(11).
Yellow solid. M.p.: 228–229 °C. Yield: 93%. Molecular formula: C26H22N2O6. M.W.: 458.47 g/mol. Elemental analysis calcd for C26H22N2O6: C% 68.11; H% 4.84; N% 6.11; O% 20.94; found C% 68.11, H% 4.84, N% 6.11. 1H NMR (400 MHz, DMSO-d6) δ: 11.88 and 11.63 (s, 1H, NH), 8.84 and 8.24 (s, 1H, Ar and Ar_rotamer), 8.34 and 7.86 (s, 1H, CH=N), 7.60–6.86 (m, 11H, Ar and Ar_rotamer), 5.10 and 4.83 (s, 2H, CH2Ph), 3.91 and 3.75 (s, 3H, OCH3), 3.79and 3.72 (s, 3H, OCH3). 13C NMR (101 MHz, DMSO-d6) δ: 160.22, 158.31, 151.87, 150.12, 148.61, 148.43, 146.85, 143.69, 137.37, 128.96, 128.88, 128.51, 128.17, 127.08, 125.75, 123.03, 121.69, 120.01, 119.55, 116.74, 115.38, 112.35, 110.97, 70.45, 56.76, 56.21.
(E)-N’-(3-((4-fluorobenzyl)oxy)-4-methoxybenzylidene)-8-methoxy-2-oxo-2H-chromene-3-carbohydrazide(12).
Yellow solid. M.p.: 219–220 °C. Yield: 93%. Molecular formula: C26H21FN2O6. M.W.: 476.46 g/mol. Elemental analysis calcd for C26H21FN2O6: C% 65.54, H% 4.44, N% 5.88; found C% 65.18, H% 4.42, N% 5.84. 1H NMR (400 MHz, DMSO-d6) δ: 11.86 and 11.62 (s, 1H, NH), 8.84 and 8.23 (s, 1H, CH=N), 8.34 and 7.86 (s, 1H, Ar and Ar_rotamer), 7.90–6.88 (m, 10H, Ar and Ar_rotamer), 5.09 and 4.82 (s, 2H, CH2Ph), 3.92 and 3.76 (s, 3H, OCH3), 3.79 and 3.71 (s, 3H, OCH3). 13C NMR (101 MHz, DMSO-d6) δ: 160.21, 158.33, 151.92, 150.10, 148.53, 148.42, 146.87, 143.72, 130.75, 130.66, 127.12, 125.76, 123.13, 121.71, 120.04, 119.56, 116.79, 115.88, 115.66, 112.42, 111.18, 69.81, 56.79, 56.24.
(E)-8-hydroxy-N’-(3-methoxy-4-phenoxybenzylidene)-2-oxo-2H-chromene-3-carbohydrazide(13).
Yellow solid. M.p.: 243–246 °C. Yield: 93%. Molecular formula: C24H18N2O6. M.W.: 430.42 g/mol. Elemental analysis calcd for C24H18N2O6: C% 66.97, H% 4.22, N% 6.51; found C% 66.78, H% 4.18, N% 6.33. 1H NMR (400 MHz, DMSO-d6) δ 12.01 and 11.75 (s, 1H, NH), 10.47 and 10.30 (s, 1H, OH), 8.83 and 8.21 (s, 1H, Ar and Ar_rotamer), 8.43 and 7.96 (s, 1H, CH=N), 7.56–6.76 (m, 11H, Ar and Ar_rotamer), 3.80 and 3.58 (s, 3H, OCH3). 13C NMR (101 MHz, DMSO-d6) δ 160.42, 158.65, 157.59, 151.81, 149.52, 148.83, 146.63, 145.07, 143.08, 131.47, 130.43, 130.33, 125.81, 123.38, 122.07, 121.37, 120.90, 120.66, 119.93, 119.59, 117.46, 117.03, 111.16, 56.27.
(E)-8-hydroxy-N’-(4-methoxy-3-phenoxybenzylidene)-2-oxo-2H-chromene-3-carbohydrazide(14).
Yellow solid. M.p.: 270–271 °C. Yield: 62%. Molecular formula: C24H18N2O6. M.W.: 430.42 g/mol. Elemental analysis calcd for C24H18N2O6: C% 66.97, H% 4.22, N% 6.51; found C% 66.85, H% 4.19, N% 6.30. 1H NMR (400 MHz, DMSO-d6) δ 11.85 and 11.66 (s, 1H, NH), 10.46 and 10.34 (s, 1H, OH), 8.78 and 8.12 (s, 1H, Ar and Ar_rotamer), 8.35 and 7.89 (s, 1H, CH=N), 7.60–6.73 (m, 11H, Ar and Ar_rotamer), 3.78 and 3.71 (s, 3H, CH3). 13C NMR (101 MHz, DMSO-d6) δ 160.40, 158.51, 157.87, 153.65, 149.16, 148.76, 145.05, 144.80, 143.04, 130.45, 127.70, 126.13, 125.78, 123.21, 120.87, 120.63, 119.92, 119.55, 119.27, 117.17, 113.94, 56.45.
(E)-N’-(3-(benzyloxy)-4-methoxybenzylidene)-8-hydroxy-2-oxo-2H-chromene-3-carbohydrazide(15).
Yellow solid. M.p.: 258–260 °C. Yield: 75%. Molecular formula: C25H20N2O6. M.W.: 444.44 g/mol. Elemental analysis calcd for C25H20N2O6: C% 67.56, H% 4.54, N% 6.30; found C% 67.34, H% 4.57, N% 6.12. 1H NMR (400 MHz, DMSO-d6) δ: 11.85 and 11.65 (s, 1H, NH), 10.46 and 10.35 (s, 1H, OH), 8.80 and 8.19 (s, 1H, Ar and Ar_rotamer), 8.33 and 7.86 (s, 1H, CH=N), 7.51–6.88 (m, 11H, Ar and Ar_rotamer), 5.10 and 4.88 (s, 2H, CH2Ph), 3.79 and 3.73 (s, 3H, OCH3). 13C NMR (101 MHz, DMSO-d6) δ: 160.43, 158.44, 151.86, 150.03, 148.66, 148.61, 145.06, 143.05, 137.38, 128.96, 128.87, 128.51, 127.89, 127.11, 125.79, 123.01, 120.85, 120.62, 119.94, 119.66, 112.36, 110.98, 70.45, 56.21.
(E)-N’-(3-((4-fluorobenzyl)oxy)-4-methoxybenzylidene)-8-hydroxy-2-oxo-2H-chromene-3-carbohydrazide(16).
Yellow solid. M.p.: 282–284 °C. Yield: 74%. Molecular formula: C25H19FN2O6. M.W.: 462.43 g/mol. Elemental analysis calcd for C25H19FN2O6: C% 64.93, H% 4.14, N% 6.06; found C% 65.12, H% 4.17, N% 6.28. 1H NMR (400 MHz, DMSO-d6) δ 11.84 and 11.64 (s, 1H, NH); 10.44 (s, 1H, OH), 8.80 and 8.19 (s, 1H, Ar and Ar_rotamer), 8.34 and 7.87 (s, 1H, CH=N), 7.64–6.84 (m, 9H, Ar and Ar_rotamer), 5.09 and 4.86 (s, 3H, OCH3), 3.79 and 3.72 (s, 3H, OCH3). 13C NMR (101 MHz, DMSO-d6) δ NMR (101 MHz, DMSO-d6) δ 160.42, 158.45, 151.90, 150.00, 148.66, 148.53, 145.02, 143.05, 133.66, 130.75, 130.67, 127.14, 125.79, 123.11, 120.83, 120.65, 119.94, 119.64, 115.88, 115.67, 112.42, 111.17, 69.80, 56.23.
(E)-N’-(3,4-dihydroxybenzylidene)-8-hydroxy-2-oxo-2H-chromene-3-carbohydrazide(17).
Yellow solid. M.p.: >280 °C. Yield: 57%. C17H12N2O6. M.W.: 340.29 g/mol. Elemental analysis calcd for C17H12N2O6: C% 60.00, H% 3.55, N% 8.23; found C% 60.00, H% 3.55, N% 8.23. 1H NMR (400 MHz, DMSO-d6) δ 11.66 and 11.54 (s, 1H, NH), 10.44 and 10.31 (s, 1H, OH), 9.40 and 9.30 (s, 1H, OH), 9.26 and 9.10 (s, 1H, OH), 8.80 and 8.16 (s, 1H, Ar and Ar_rotamer), 8.21 and 7.81 (s, 1H, CH=N), 7.38 (dd, J = 6.8, 2.5 Hz, 1H, Ar and Ar_rotamer), 7.26–7.10 (m, 3H, Ar and Ar_rotamer), 6.95 (dd, J = 8.2, 2.0 Hz, 1H, Ar), 6.75 (d, J = 8.1 Hz, 1H, Ar). 13C NMR (101 MHz, DMSO-d6) δ 160.43, 158.31, 150.30, 148.88, 148.60, 146.25, 145.05, 143.04, 125.92, 125.77, 121.55, 120.81, 120.61, 119.96, 119.66, 116.12, 113.51.
2.3. Chemical Radical Scavenging Activity
The antioxidant activity of compounds 1–17 was measured using DPPH assay (Sigma-Aldrich, Milan, Italy) [31,32]. A total of 0.1 mL of was mixed with 3.9 mL of 2,2-diphenyl-1-picrylhydrazyl (DPPH) methanol solution (65 μM). Absorbance was measured at 517 nm after reacting for 30 min in the dark. The linear calibration curve was obtained using Trolox standards (ranging between 20 and 200 mg/L, R2 = 0.9955). The results were calculated as Trolox equivalent in mg/L, and the percentage of antioxidant activity (AA%) was calculated from the ratio of decreasing absorbance of sample solution (A0–As) to absorbance of blank DPPH solution (A), as expressed in Equation (1) [33].
All analyses were performed in triplicate (n = 3), and values are given ± standard deviation (SD).
2.4. Biological Methods
Etoposide was purchased from Calbiochem (Merk KGaA, Darmstadt, Germany), Ferrostatin-1, Liprostatin-1, RSL3 and erastin were from Sigma-Aldrich (St. Louis, MO, USA). Stock solutions of these compounds were prepared using sterile water or dimethyl sulfoxide (DMSO, Sigma-Aldrich, St. Louis, MO, USA) as solvent.
2.4.1. Cell Cultures
All experiments were performed using malignant NB cells IMR32 and HTLA-230 with MYCN amplification were obtained from G. Gaslini Institute, Genoa, Italy, the etoposide-resistant cell line (ER) was selected and characterized as previously described [21,22], SK-N-AS without MYCN amplification were obtained from Biologic Bank and Cell Factory, IRCCS Policlinico San Martino, Genoa, Italy. HaCat, a human keratinocytes cell line (kindly provided by Dr. Marco Ponassi, Biologic Bank and Cell Factory, IRCCS Policlinico San Martino, Genoa, Italy) and 3T3, mouse embryonic fibroblast (Sigma-Aldrich) were used as non-malignant cells. Cells were periodically tested for mycoplasma contamination (Mycoplasma Reagent Set, Aurogene s.p.a, Pavia, Italy). Cells were cultured in RPMI 1640 (Euroclone SpA, Pavia, Italy) and supplemented with 10% fetal bovine serum (FBS; Euroclone SpA, Pavia, Italy), 2 mM glutamine (Euroclone SpA, Pavia, Italy), 1% penicillin/streptomycin (Euroclone SpA, Pavia, Italy), 1% sodium pyruvate (Sigma-Aldrich, Saint Louis, MO, USA) and 1% amino acid solution (Sigma-Aldrich, Saint Louis, MO, USA).
2.4.2. Cell Treatments
HTLA-230, ER and HaCat were treated for 72 h with 20 µM 1–17. Moreover, in another series of experiments, HTLA-230 and ER cells were treated with ferrostatin and liprostatin, as ferroptosis inhibitors, and RSL3 and erastin, as ferroptosis inducers, respectively at doses of 2.5 µM, 1 µM, 50 nM and 2.5 µM for 72 h, alone or in combination with 20 µM 5, 9, 12 and 17. Furthermore, the analysis was extended by treating all malignant and non- malignant cell lines with increasing concentrations of compounds 5, 9 and 12 for 72 h. In order to exclude the interference of DMSO, employed to solubilize these compounds, cells were exposed to the highest concentration used and the pilot studies were carried out in parallel with all performed analyses.
2.4.3. Cell Viability Assay (MTS)
In order to assess cell viability/proliferation, the 3-(4,5-dimethylthiazol-2-yl)-5-(3-carboxymethoxyphenyl)-2-(4-sulfophenyl)-2H-tetrazolium (MTS) CellTiter 96® AQueous One Solution cell proliferation assay (Promega, Madison, WI, USA) was used according to the manufacturer’s instructions. Briefly, cells (10,000 cells/well) were seeded and treated for 72 h in 96-well plates (Corning Incorporated, Corning, New York, NY, USA) as above reported. Next, cells were incubated for 1h with 20 µL of CellTiter in standard conditions (37 °C in humidified incubator with 5% CO2). Absorbance was recorded at 490 nm using a microplate reader (EL-808, BIO-TEK Instruments Inc., Winooski, VT, USA).
2.4.4. Total Protein Extraction and Quantification
Cells were detached in lysis buffer (50 mM Tris HCl, 150 mM NaCl, 46 2 mM EDTA, 1 mM EGTA, 50 mM EGF, 1 mM PMSF) containing a mixture of 7× protease inhibitors (complete Mini Protease, Roche) and 1% Triton X-100 (Sigma). The suspension was further lysed by passing it 10 times through a 25 Gauge needle equipped syringe and centrifuged at 15.000 g for 10 min. at 8 °C (Heraeus Centrifuge Biofuge 28RS). The supernatant was collected and its protein concentration was determined by PierceTM BCA Protein Assay Kit (ThermoFisher Scientific, Waltham, MA, USA). Total protein amounts of the samples were calculated in respect to a calibration line obtained by using bovine serum albumin (BSA) at standard concentrations (mg/mL).
2.4.5. Western Blot Analysis
Immunoblots were carried out according to standard methods [34] using rabbit antibody anti-PARP (Cell Signaling Technology Inc., Danvers, MA, USA, Upstate, Lake Placid, NY, USA) and mouse monoclonal antibody anti-β-actin (Sigma-Aldrich). Anti-rabbit (Cell signaling Technologies) and Anti-mouse (Invitrogen, ThermoFisher, Waltham, MA, USA) secondary antibodies coupled with horseradish peroxidase were utilized. The signal was detected using ECL chemiluminescence system detection kit (Pierce™ ECL Western Blotting Substrate, ThermoFisher).
2.4.6. ROS Production
ROS production was evaluated by adding 2′-7′ dichlorofluorescein-diacetate (DCFH-DA; Sigma-Aldrich) at the end of the treatments, as previously reported [21,35]. HTLA-230, ER and HaCat cells (10,000/well) were seeded and treated for 72 h in 96-well plates (Corning) as above described. After treatments, cells were stained with DCFH-DA for 30 min at 37 °C. Then, cells were incubated with 90% DMSO for 10 min in the dark. The generated fluorescence intensity was monitored with Perkin Elmer fluorometer (Perkin Elmer Life and Analytical Sciences, Shelton, CT, USA) at 485/530 nm excitation/emission and was proportional to the ROS amount. Values were normalized to the protein content.
2.4.7. Lipid Peroxidation Assay
Lipid peroxidation was measured using the Image-iT™ Lipid Peroxidation Kit (Thermo Fisher), which allows for detection of lipid peroxidation in live cells by oxidation of BODIPY™ 581/591 C11 reagent. HTLA-230, ER and HaCat cells (10,000/well) were seeded and treated for 72 h in 96-well plates (Corning) as above described. Afterwards, BODIPY reagent was added and incubated for 30 min at 37 °C. Fluorescence was monitored with Perkin Elmer fluorometer (Perkin Elmer Life and Analytical Sciences, Shelton, CT, USA) first at 580/590 nm excitation/emission and then at 485/520 nm, and the ratio was used for data analysis.
2.4.8. Senescent Cell Evaluation
Senescent cells were detected using CellEvent Senescence Green Detection Kit (Invitrogen, ThermoFisher) following the manufacturer’s instructions. Briefly, HTLA and ER cells (10,000/well) were seeded and treated for 72 h in 96-well plates (Corning) as above reported. Then, cells were incubated with fixation solution for 10 min at room temperature and protected from light. After washing with 1% BSA in PBS, the working solution was added and incubated for 2 h at 37 °C without CO2 and protected from light. After incubation, the working solution was removed, and fluorescence was monitored with Perkin Elmer fluorometer (Perkin Elmer Life and Analytical Sciences, Shelton, CT, USA) at 485/530 nm excitation/emission.
2.4.9. Clonogenic Assay
HTLA-230 and ER cells (150/well) were seeded and treated for 72 h in six-well plates (Corning). Subsequently, the medium was changed and the cells were maintained in drug-free medium for 20 days. Cells were then fixed with methanol and stained with crystal violet (0.5% in water with 50% methanol). Colonies containing more than 50 cells were visualized by a Leica DMIRB microscope (Leica, Wetzlar, Germany) and the images were acquired with a Nikon Coolpix L22 camera (Nikon Corporation, Tokyo, Japan).
2.4.10. Statistical Analysis
The results were expressed as mean ± SEM of at least four independent experiments. The statistical significance of the parametric differences between the experimental data sets was assessed by one-way ANOVA and Dunnett’s test for multiple comparisons. p < 0.05 was considered statistically significant.
3. Results and Discussion
3.1. Chemistry
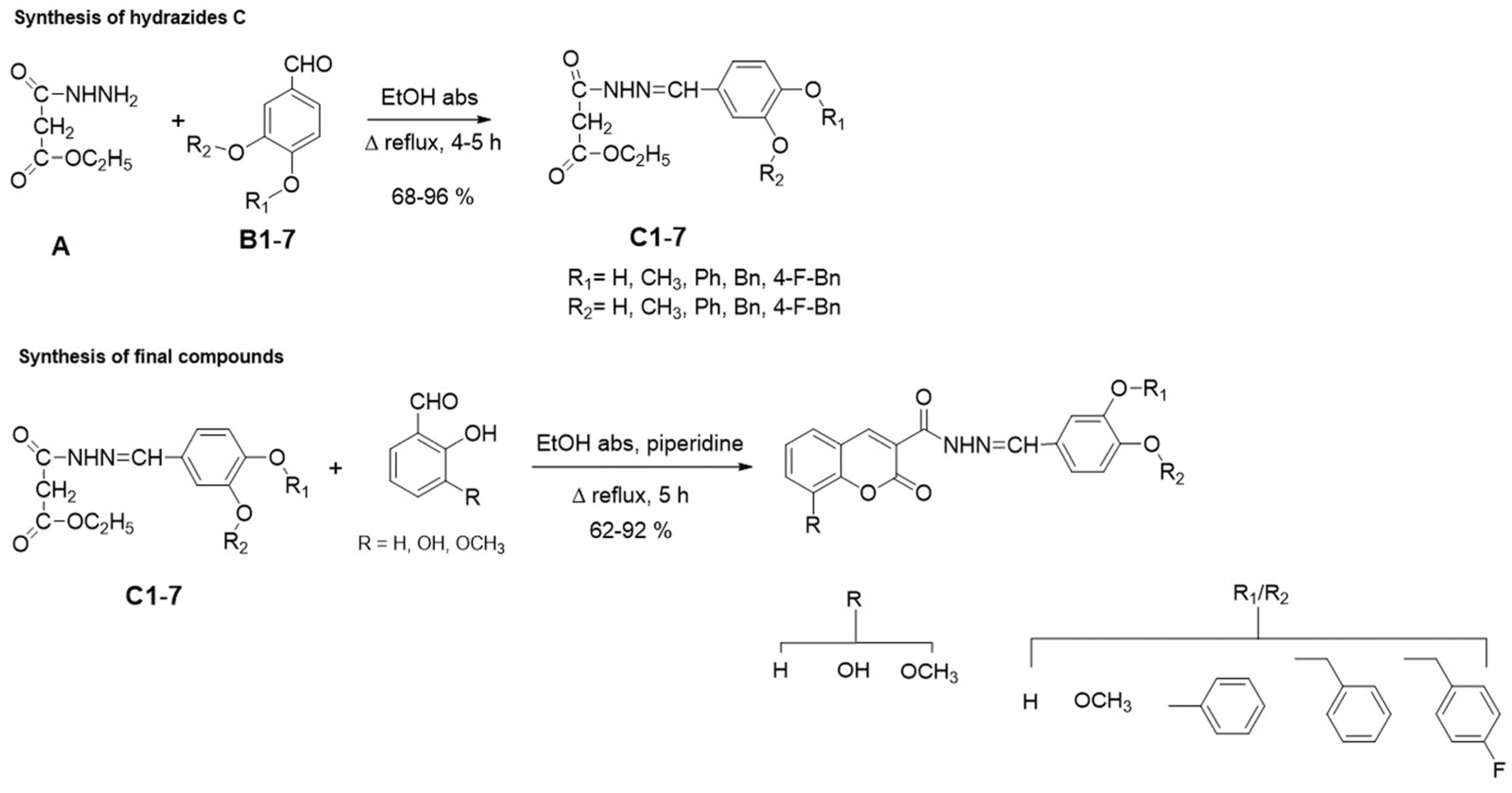
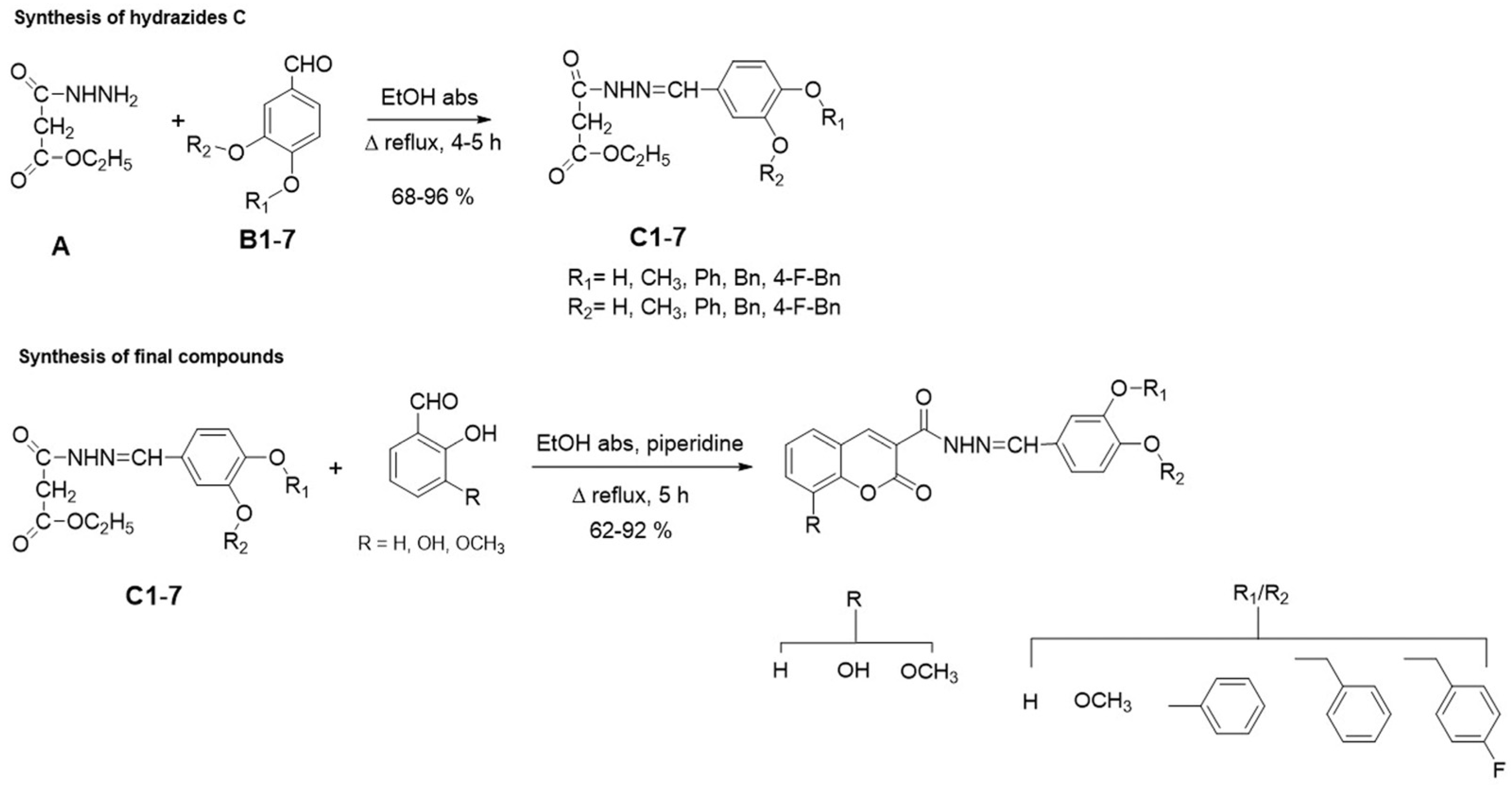
For the synthesis of the new compounds, it was first necessary to prepare compounds A (hydrazonic fragment) and B (fragment derived from vanillin or isovanillin), which served as starting reagents for the synthesis of hydrazide intermediates C. The synthetic procedures for obtaining intermediates A and B are reported in Scheme 1. The malonic ester was reacted with hydrazine monohydrate in ethanol, leading to the formation of both malonohydrazide and malonomonohydrazide, as described by Abdel-Aziz et al. [24] and separated through fractional crystallization. Malonohydrazide was discarded, while malonomonohydrazide was subsequently reacted with aldehydes B.
Scheme 1.
General synthetic pathway for the synthesis intermediates A and B.
Phenoxy, benzyloxy, and 4-fluoro-benzyloxy aldehydes (B) were prepared from vanillin or isovanillin following the procedures outlined in Scheme 1 and as previously described in the literature [25,28].
Intermediate A was then reacted with aldehydes B in absolute ethanol in the presence of piperidine to obtain the linear acylhydrazones C1–7 (Scheme 2), which crystallized directly from the reaction mixture. The final compounds 1–17 were synthesized by reacting intermediates C1–7 with the appropriate 2-hydroxybenzaldehyde (Scheme 2) in ethanol with the addition of piperidine. The products crystallized directly from the reaction mixture and were obtained as yellow crystals in good yields (>70%). Compounds 13–17 (R = OH) were also obtained as yellow crystals, but under modified conditions: a lower amount of piperidine was used, followed by acidic treatment. This additional step explains the reduced yields (30–50%). The intermediates C1–7 and all final compounds 1–17 were characterized by TLC, melting point, elemental analysis and NMR spectra (1H and 13C).
Scheme 2.
General synthetic pathway for the synthesis of final compound 1–17.
Compound 17 differs from the others since it lacks phenyl, benzyl, or 4-fluorobenzyl substituents and is instead characterized by the presence of three hydroxyl groups (R = R1 = R2 = OH). This compound was synthesized as a reference to highlight the importance of an additional aromatic ring. Moreover, since free radical scavenging activity (as assessed by the DPPH assay) is strongly influenced by the presence of free hydroxyl groups—and this compound bears such groups in all positions—it serves as a structural analogue reference with marked antioxidant activity.
In the 1H-NMR spectra of all target compounds (1–17), the N-H bond signal was described at a chemical shift that ranges from d 11.75–11.62, characteristic of the E isomer. The absence of a signal above δ 14.00 demonstrates that the Z isomer is not formed. The N=CH signal was also described at a range of chemical shift of 8.43–8.22, confirming that the E isomer is the only single product formed by the reaction.
Moreover, it is interesting to underline the presence of duplicate signals caused by the possible geometric stereoisomerism in the N-acylhydrazone linker. For example, next to the signals of the prevalent rotamer (15 ap, Figure 2b) for N-H bond (11.75-11.62), N=CH (8.43-8.22), aromatic H-4 of coumarin nucleus (8.89-8.77), corresponding signals are present at chemical shift values (δ) 12.03-11.64 (N-H), 7.96-7.81 (C=CH), 8.29-8.11 (H-4). The total of the integrals of each pair of signals corresponds to one hydrogen. This chemical behavior has already been studied by several authors and described in the literature [36,37,38]. To confirm that compounds 1–17 exist as a mixture of rotamers at room temperature, sequential 1H NMR spectra of compound 15, a compound taken as an example, were obtained at different increasing temperatures (25, 35, 50, 60, and 70 °C). As Figure 2a shows, the signals tend to become closer and coalesce as the temperature increases, as expected in the presence of the equilibrium between rotamers.
Figure 2.
(a) 1H NMR spectrum of (E)-N’-(3-(benzyloxy)-4-methoxybenzylidene)-8-hydroxy-2-oxo-2H-chromene-3-carbohydrazide (15) at different temperatures (400 MHz, DMSO-d6); (b) chemical structures of its anti-periplanar (ap.) and syn-periplanar (sp.) conformers.
3.2. Radical Scavenging Activity
Table 1 reports the radical scavenging activity values obtained for the three most active compounds in the biological assays evaluated trough DPPH assay. Vanillin and 3-cumarinic acid are reported as references. All analyses were performed in triplicate. The results were reproducible although no statistically significant differences were observed among the compounds tested (ANOVA, p > 0.05).
Table 1.
Radical scavenging activity using DPPH assay.
Compounds 5, 9, and 12 retain some direct radical scavenging activity, while compound 17 alone, owing to its catechol group, appears to possess superior radical scavenging activity. This activity is directly linked to the compounds’ chemical structure and may not be related to their activity within the cellular environment, where the redox state is regulated by complex biochemical pathways.
3.3. Biological Results
3.3.1. Compounds 5, 9 and 12 Are Able to Reduce the Growth of Cancer Cells but Not That of Healthy Keratinocytes (HaCat)
Both NB cell lines (HTLA-230 and ER) and healthy keratinocytes (HaCat) were exposed to all tested compounds (20 µM) for 72 h. As shown in Figure 3, nine compounds demonstrated a reduction in cancer cell growth, and in particular were more effective on ER cells rather than on HTLA-230. In fact, among the compounds tested, 16 was the most effective in reducing the growth of ER and HTLA cells by 30% and 20%, respectively, and that of HaCat cells by 20%. A similar effect was observed in cells treated with 1, while 15 was cytotoxic for ER and HaCat cells (Figure 3). Compounds 7 and 2 were ineffective on HaCat and exerted a limited effect on both NB cell lines. Interestingly, 5, 9 and 12 were able to reduce the growth of HTLA and ER cells by 10–15% and 20–25%, respectively, without affecting the viability of HaCat cells. Furthermore, 17 was found on one hand to reduce the growth of ER cells by 18% and on the other, to stimulate the cell proliferation of HTLA and HaCat (Figure 3).
Figure 3.
Compounds 5, 9 and 12 reduce the growth of HTLA-230 and ER cells. Cell viability was evaluated using MTS assay in HTLA-230 (blue lines) and in HTLA-ER cells (orange lines) treated with 20 µM of all tested compounds for 72 h. Results are expressed as percentage variations in cell viability of treated cells with respect to that of untreated ones (100%). Histograms summarize quantitative data of means ± SEM of at least four independent experiments. * p < 0.05 vs. Ctr; *** p < 0.001 vs. Ctr; **** p < 0.0001 vs. Ctr; § p < 0.05 vs. HTLA; §§ p < 0.01 vs. HTLA; §§§ p < 0.001 vs. HTLA; §§§§ p < 0.0001 vs. HTLA; °°° p < 0.001 vs. ER; °°°° p < 0.0001 vs. ER.
3.3.2. Compounds 5, 9 and 12 Stimulate ROS Overproduction in NB Cells but Not in Healthy Cells
Since the resistance to etoposide and other chemotherapeutics of ER cells was found to be dependent on the increase in their antioxidant response to the prooxidant effect of the drugs [21], the evaluation of the redox state was considered useful to investigate the mechanisms of action of 1–17 compounds. As shown in Figure 4, compound 12 was the most efficient in stimulating ROS production in all three tested cell lines and in particular in ER cells in which it induced a 50% increase in ROS levels in respect to untreated cells. Compound 2 stimulated ROS production only in HaCat cells with a 30% increase in respect to untreated cells, while 1 and 7 only partially increased ROS in both NB cells and 9 only in HTLA (Figure 4). Instead, 5, 9, and 12 were able to induce ROS over-production in HTLA and ER cells without changes in HaCat cells. In particular, especially 9 and 12 were observed to stimulate ROS production by 30% in HTLA and by 35–40% in ER cells. Furthermore, 17 was not able to increase ROS production in NB cells, leading to a reduction in HaCat (Figure 4).
Figure 4.
Compounds 5, 9, and 12 enhance ROS production in HTLA-230 and ER cells. ROS production was analyzed in HTLA-230 (blue) and in HTLA-ER cells (orange) treated with 20 µM of all tested compounds for 72 h. Results are expressed as percentage variations in DCFH-positive cells, under treatment conditions in comparison with untreated ones (100%). Histograms summarize quantitative data of means ± SEM of four independent experiments. * p < 0.05 vs. Ctr; ** p < 0.01 vs. Ctr; *** p < 0.001 vs. Ctr; **** p < 0.0001 vs. Ctr; § p < 0.05 vs. HTLA; §§ p < 0.01 vs. HTLA; §§§ p < 0.001 vs. HTLA; §§§§ p < 0.0001 vs. HTLA; ° p < 0.05 vs. ER; °° p < 0.01 vs. ER; °°°° p < 0.0001 vs. ER.
Based on the results obtained, further analyses were performed on both NB cell lines exposed to 5, 9, 12 and 17.
3.3.3. Compounds 5, 9, 12 and 17 Do Not Induce Apoptotic Death
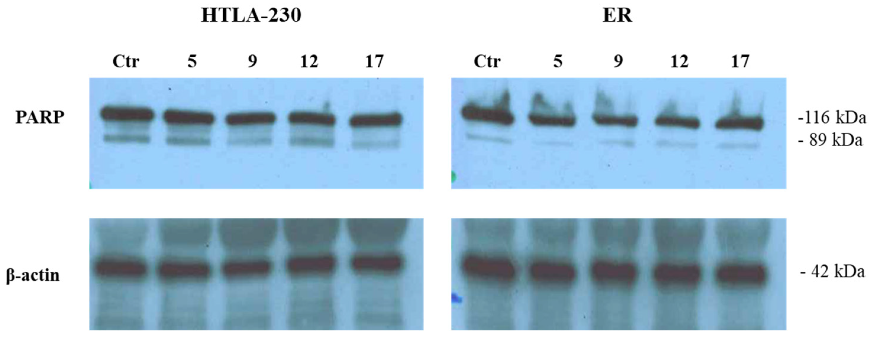
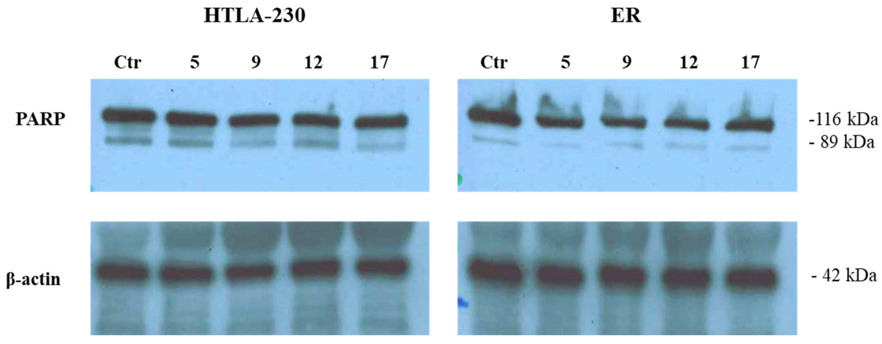
To shed light on the mechanisms underlying the effect of 5, 9, 12 and 17 on the survival of cancer cells, the levels of full length (116 kDa) and cleaved (89 kDa) PARP, a known marker of apoptosis [39], were evaluated. As shown in Figure 5, all compounds did not induce PARP cleavage in either HTLA or ER cells.
Figure 5.
Compounds 5, 9, 12 and 17 do not induce apoptotic death of NB cells. The expression levels of full length (116 kDa) and cleaved (89 kDa) PARP were evaluated in HTLA (left panels) and ER (right panels) cells exposed to 20 µM of all tested compounds for 72 h. Immunoblots shown are representative of three independent experiments. β-actin is the internal loading control.
3.3.4. Compounds 5, 9, 12 and 17 Do Not Induce Lipoperoxidation and Compound 17 Slightly Stimulates It Only in ER Cells
To better characterize cell damage, the involvement of membrane lipid oxidative degradation was evaluated by analyzing lipid peroxidation (LPO) [40]. As shown in Figure 6, only 17 was able to increase LPO (+10%) in ER cells, while 5, 9, 12 and 17 reduced LPO by 15–20% in HTLA cells, in respect to untreated cells (Ctr).
Figure 6.
Compound 17 induces lipoperoxidation in ER cells. Lipid peroxidation (BODIPY-positive cells was analysed in HTLA-230 and HTLA-ER cells untreated or treated with 20 µM of all tested compounds for 72 h. Results are expressed as percentage variations in BODIPY-positive cells under treatment conditions in comparison with untreated ones (100%). Histograms summarize quantitative data of means ± SEM of four independent experiments. **** p < 0.0001 vs. Ctr.
3.3.5. Compounds 5, 9, 12 and 17 Do Not Induce Ferroptotic Death
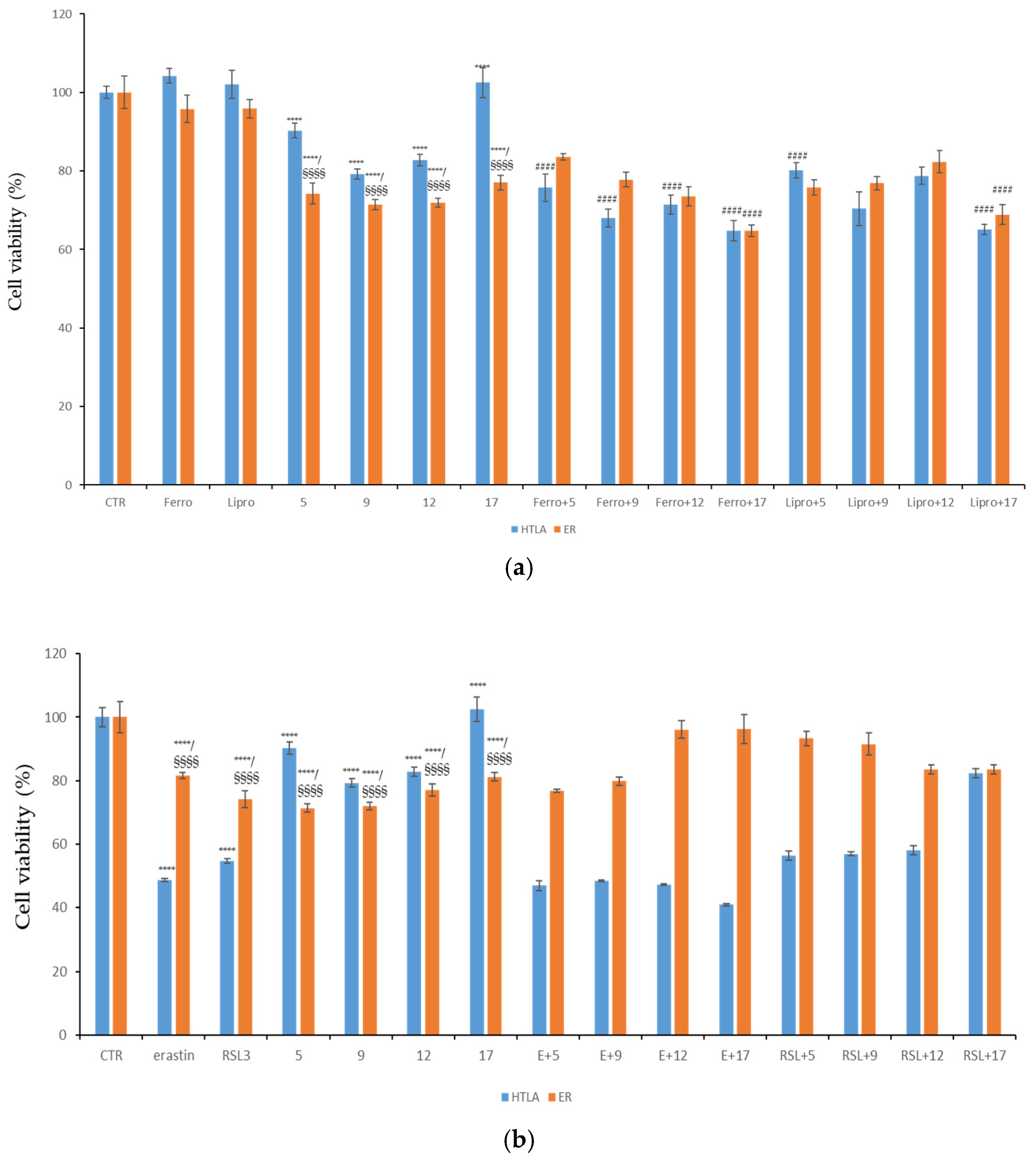
Based on the evidence that 5, 9 and 12 induced ROS overproduction and non-apoptotic death, the involvement of ferroptosis, a newly described type of programmed cell death, has been considered. For this purpose, both cell populations were exposed to ferroptosis-inhibitory agents (ferrostatin or liprostatin) and to ferroptosis-inducing compounds (RSL3 or erastin) for 72 h, either given alone or co-administered with 5, 9, 12 and 17. As reported in Figure 7a, ferrostatin or liprostatin, given alone, did not alter the viability of both cell populations, and the co-administration with 5, 9, 12 or 17 was not able to prevent the cytotoxic effects of the compounds.
Figure 7.
Compounds 5, 9, 12 and 17 do not induce ferroptosis in HTLA and in ER cells. Cell viability was evaluated using MTS assay in HTLA and ER cells treated for 72 h with 20 µM of all tested compounds and ferroptosis-inhibitory drugs ((a) 5 µM of ferrostatin and 1 µM of liprostatin) or ferroptosis-inducing compounds; (b) 250 nM of RSL3 and 2.5 µM of erastin), given alone or in combination. Results are expressed as percentage variations in the viability of treated cells with respect to that of untreated ones (100%). Histograms summarize quantitative data of means ± SEM of four independent experiments. **** p < 0.0001 vs. Ctr; §§§§ p < 0.0001 vs. HTLA; #### p < 0.0001 vs. relative treatment without inhibitors (a) or activators (b).
On the other hand, erastin and RSL3, given alone reduced the viability of HTLA cells by 52% and 45%, respectively and of ER cells by 20% and 25%, respectively (Figure 7b), and the co-treatment with the compounds did not further increase the cytotoxic action of compounds 5, 9, 12 and 17. In fact, although a reduction in viability was observed in co-treated HTLA cells, the effect is due to the presence of erastin or RSL3, which directly reduced cell viability, and not to a synergistic action with the tested compounds.
Taken together, these results demonstrate that 5, 9, 12 and 17 limited NB growth without inducing ferroptotic death.
3.3.6. Compound 5, 9, and 12 Decrease NB Cell Growth by Inducing Senescence
Mounting evidence suggests that cellular senescence can act as a tumor suppressor mechanism able to prevent the growth of NB cells [41,42,43,44,45]. For this reason, the presence of senescent cells was evaluated in HTLA and ER cells treated with 5, 9, 12 and 17 for 72 h. As shown in Figure 8, compound 5, 9, and 12 induced a 50% increase in the senescent positive cells in HTLA, a 40% (5 and 9) and 25% (12) increase in ER cells, while exposure to compound 17 did not induce the appearance of senescence in both NB cell populations.
Figure 8.
Compounds 5, 9 and 12 induce senescence in HTLA and in ER cells. Cell senescence was evaluated using CellEvent Senescence Green detection kit in HTLA and ER cells treated for 72 h with 20 µM of all tested compounds. Results are expressed as percentage variations in CellEvent-positive cells under treatment conditions in comparison with untreated ones (100%). Histograms summarize quantitative data of means ± SEM of four independent experiments. **** p < 0.0001 vs. Ctr.
3.3.7. Compound 5 Decreases Cell Growth by Reducing the Cellular Clonogenic Potential
To further investigate the cytotoxic effects of the most active compounds tested, the reproductive activity of both treated cell populations was assessed by clonogenic assay. As shown in Figure 9, only compound 5 was able to markedly reduce colonies formation in both cell populations, while compound 17 exerted a similar effect only in HTLA parental cells. Noteworthy, the other compounds were totally unable to counteract the clonogenic potential of HTLA and ER cells.
Figure 9.
Compound 5 reduces the clonogenic potential of HTLA and ER cells. HTLA-230 and ER cells were seeded in six-well plates and then incubated for 72 h with 20 µM of all tested compounds. Subsequently, cells were incubated in fresh medium without drugs for additional 20 days before staining. The images are representative of three independent experiments
3.3.8. Compounds 5, 9, and 12 Have Substantial Selectivity for NB Cells Versus Non-Malignant Cells
To further characterize compounds 5, 9, and 12, the viability analysis was carried out also in SK-N-AS, a NB cell line without MYCN amplification, and in IMR32, NB cell line with MYCN amplification. In parallel, similar experiments were conducted on HaCat, a human keratinocyte cell line, and on 3T3, an embryonic fibroblast cell line. All cell lines tested, including HTLA and ER, were treated for 72 h with increasing doses of the three compounds. Subsequently, the IC50 value of each compound was calculated for each cell line (Table 2), and these values were then used to evaluate the selectivity index (SI) of the compounds (Table 3).
Table 2.
IC50 value. All cell lines were exposed for 72 h to increasing concentrations of the compounds 5, 9 and 12. Cell viability assay was carried out and the IC50 was calculated.
Table 3.
Selectivity index (SI). Based on the results of IC50, the SI was calculated (IC50 non-malignant cells/IC50 malignant cells) for each malignant cell line vs. each non-malignant cell line.
Compounds 5, 9, and 12 demonstrated substantial selectivity for NB cells vs. non-malignant cells. In detail, compound 9 showed the highest selectivity, with SI values reaching ~8–13 in ER and 25–39 in IMR-32 cells, while compound 12 showed pronounced selectivity in ER, SK-N-AS, and IMR-32 cells (SI ≈ 13–14). Compound 5 showed a moderate but consistent selectivity towards all NB cell lines.
3.4. ADME Properties Prediction
Predictions of pharmacokinetic properties were made using SwissADME software (www.swissadme.ch accessed on 22 December 2025), and the values are reported in Table 4.
Table 4.
In silico ADME properties prediction of compounds 1–17.
All the compounds do not violate Lipinski’s rules as they have a molecular weight lower than 500, LogP below 4.15, N or O number less than 10, and NH or OH number less than 5. From the point of view of physicochemical properties, all compounds have a number of hydrogen bond acceptors between 6 and 8, and a number of hydrogen bond donors equal to 1 or 2, except for compound 17, where it is equal to 4 (R = OH the ex-aldehyde nucleus is catechol, not substituted with Ph-Bn or 4-FBn). In addition, the topological polar surface area (TPSA) is lower than 140 Å2 in all compounds.
All compounds have a predicted high gastrointestinal absorption and would not be substrates of P-glycoprotein. None of the compounds simultaneously inhibit all the cytochromes considered in the pharmacokinetic parameters and compound 17 does not inhibit any of the considered cytochrome. The bioavailability score is 0.55 for all compounds, which combined with 0 Lipinski rule violations, indicates a good probability of oral bioavailability.
4. Conclusions
This work reports the fragment-based design, synthesis, and biological evaluation of seventeen novel coumarin–vanillin/isovanillin hybrids acylhydrazones. By combining two natural scaffolds with intrinsic antioxidant and anticancer properties, our goal was to obtain multifunctional molecules able to modulate oxidative stress and inhibit the growth of aggressive NB cells, including multidrug-resistant sublines.
Antioxidant assays revealed that most compounds did not exhibit strong radical-scavenging activity, largely due to hydroxyl functionalization on the vanillin or isovanillin moiety. This interpretation is supported by the behavior of compound 17, which retains an unmodified catechol group and showed higher activity. In contrast, the hydroxyl substituent at position 8 of the coumarin ring appeared to have little effect on radical-scavenging capacity.
Cell-based studies highlighted that several of the newly synthesized hybrids exerted significant and selective antiproliferative activity toward MYCN-amplified HTLA-230 NB cells and their multidrug-resistant counterpart (ER cells) while not affecting non-malignant keratinocytes (HaCat). In particular, compounds 5, 9, and 12 emerged as the most active derivatives, inducing a 10–25% reduction in NB cell viability and concomitantly triggering a robust increase in intracellular ROS levels, especially in multidrug-resistant cells. Interestingly, these effects were not mediated by apoptotic pathways, lipid peroxidation, or ferroptosis, as demonstrated by the insensitivity of treated cells to ferroptosis modulators. Instead, mechanistic analyses indicated that the antiproliferative effects were associated with the induction of a senescent phenotype and with a marked reduction in clonogenic activity in HTLA and ER cells exposed to compound 5. Furthermore, the high SI values found in the MDR NB cell line represent a key strength of our study. Indeed, the SI values demonstrate a substantial discrimination between malignant and non-malignant cells, suggesting that these compounds possess an intrinsically favorable safety profile. Therefore, based on these considerations, these compounds may be promising for further therapeutic development aimed at offering new therapeutic options for patients refractory to current therapies. From a structure–activity relationship perspective, the comparative analysis between the active compounds and compound 17, which lacks the second aromatic ring in the ex-aldehyde portion, underscored the critical contribution of this structural fragment to the antitumor efficacy. These findings provide useful insights into the design of future analogs and highlight the potential of hydrazone linkers to preserve or enhance the bioactivity of parent scaffolds while providing chemical versatility for further optimization. Overall, this data would seem to indicate that these compounds have the potential to lead to the development of compounds characterized by adequate physicochemical properties and good drug-likeness.
In conclusion, this study demonstrates that molecular hybridization proves to be an effective strategy for generating new molecules capable of modulating oxidative stress and targeting additional antitumor pathways. The ability of our new hybrid molecules to selectively impair NB and multi-drug-resistant NB cell growth through senescence while preserving healthy cells makes them attractive for further in-depth biological studies and structural optimization aimed at preclinical development.
Supplementary Materials
The following supporting information can be downloaded at: https://www.mdpi.com/article/10.3390/antiox15010031/s1. Figures S1–S34: 1H and 13C NMR spectra of final compounds 1–17.
Author Contributions
Conceptualization, B.T.; methodology, C.G., E.R., C.D., B.M., G.E.V., S.T.; validation, C.D., B.M., G.E.V., B.T., C.G., E.R.; formal analysis, C.D., B.M., G.E.V.; investigation, C.G., E.R., C.D., B.M., G.E.V., S.T.; data curation, B.T., C.G., E.R., C.D., B.M., G.E.V.; writing—original draft preparation, C.G.; writing—review and editing, B.T., E.R., C.D., B.M., G.E.V.; supervision, B.T. All authors have read and agreed to the published version of the manuscript.
Funding
This research received no external funding.
Data Availability Statement
The data presented in this study and different from those reported in the Supplementary Materials are available on request from the corresponding author.
Conflicts of Interest
The authors declare no conflicts of interest.
References
- Nong, J.; Su, C.; Li, C.; Wang, C.; Li, W.; Li, Y.; Chen, P.; Li, Y.; Li, Z.; She, X.; et al. Global, Regional, and National Epidemiology of Childhood Neuroblastoma (1990–2021): A Statistical Analysis of Incidence, Mortality, and DALYs. EClinicalMedicine 2025, 79, 102964, Erratum in EClinicalMedicine 2025, 88, 103466. [Google Scholar] [CrossRef]
- Lundberg, K.I.; Treis, D.; Johnsen, J.I. Neuroblastoma Heterogeneity, Plasticity, and Emerging Therapies. Curr. Oncol. Rep. 2022, 24, 1053–1062. [Google Scholar] [CrossRef] [PubMed]
- Monclair, T.; Brodeur, G.M.; Ambros, P.F.; Brisse, H.J.; Cecchetto, G.; Holmes, K.; Kaneko, M.; London, W.B.; Matthay, K.K.; Nuchtern, J.G.; et al. The International Neuroblastoma Risk Group (INRG) Staging System: An INRG Task Force Report. J. Clin. Oncol. 2009, 27, 298–303. [Google Scholar] [CrossRef] [PubMed]
- Ambros, P.F.; Ambros, I.M.; Brodeur, G.M.; Haber, M.; Khan, J.; Nakagawara, A.; Schleiermacher, G.; Speleman, F.; Spitz, R.; London, W.B.; et al. International Consensus for Neuroblastoma Molecular Diagnostics: Report from the International Neuroblastoma Risk Group (INRG) Biology Committee. Br. J. Cancer 2009, 100, 1471–1482. [Google Scholar] [CrossRef]
- Neuroblastoma Treatment (PDQ®)—NCI. Available online: https://www.cancer.gov/types/neuroblastoma/hp/neuroblastoma-treatment-pdq (accessed on 10 September 2025).
- Basta, N.O.; Halliday, G.C.; Makin, G.; Birch, J.; Feltbower, R.; Bown, N.; Elliott, M.; Moreno, L.; Barone, G.; Pearson, A.D.; et al. Factors Associated with Recurrence and Survival Length Following Relapse in Patients with Neuroblastoma. Br. J. Cancer 2016, 115, 1048–1057. [Google Scholar] [CrossRef]
- Seeger, R.C.; Reynolds, C.P. Treatment of High-Risk Solid Tumors of Childhood with Intensive Therapy and Autologous Bone Marrow Transplantation. Pediatr. Clin. N. Am. 1991, 38, 393–424. [Google Scholar] [CrossRef] [PubMed]
- Salemi, F.; Alam, W.; Hassani, M.S.; Hashemi, S.Z.; Jafari, A.A.; Mirmoeeni, S.M.S.; Arbab, M.; Mortazavizadeh, S.M.R.; Khan, H. Neuroblastoma: Essential Genetic Pathways and Current Therapeutic Options. Eur. J. Pharmacol. 2022, 926, 175030. [Google Scholar] [CrossRef]
- Pinheiro, P.S.M.; Franco, L.S.; Montagnoli, T.L.; Fraga, C.A.M. Molecular Hybridization: A Powerful Tool for Multitarget Drug Discovery. Expert Opin. Drug Discov. 2024, 19, 451–470. [Google Scholar] [CrossRef]
- Thomas, V.; Giles, D.; Basavarajaswamy, G.P.M.; Das, A.K.; Patel, A. Coumarin Derivatives as Anti-Inflammatory and Anticancer Agents. Anticancer Agents Med. Chem. 2017, 17, 415–423. [Google Scholar] [CrossRef]
- Grover, J.; Jachak, S.M. Coumarins as Privileged Scaffold for Anti-Inflammatory Drug Development. RSC Adv. 2015, 5, 38892–38905. [Google Scholar] [CrossRef]
- Fylaktakidou, K.C.; Hadjipavlou-Litina, D.J.; Litinas, K.E.; Nicolaides, D.N. Natural and Synthetic Coumarin Derivatives with Anti-Inflammatory/Antioxidant Activities. Curr. Pharm. Des. 2004, 10, 3813–3833. [Google Scholar] [CrossRef]
- Ji, H.; Tan, Y.; Gan, N.; Zhang, J.; Li, S.; Zheng, X.; Wang, Z.; Yi, W. Synthesis and Anticancer Activity of New Coumarin-3-Carboxylic Acid Derivatives as Potential Lactatetransportinhibitors. Bioorg. Med. Chem. 2021, 29, 115870. [Google Scholar] [CrossRef]
- Arya, S.S.; Rookes, J.E.; Cahill, D.M.; Lenka, S.K. Vanillin: A Review on the Therapeutic Prospects of a Popular Flavouring Molecule. Adv. Tradit. Med. 2021, 21, 1–17. [Google Scholar] [CrossRef]
- Bezerra, D.P.; Soares, A.K.N.; de Sousa, D.P. Overview of the Role of Vanillin on Redox Status and Cancer Development. Oxid. Med. Cell. Longev. 2016, 2016, 9734816. [Google Scholar] [CrossRef] [PubMed]
- Brullo, C.; Rapetti, F.; Alfei, S.; Maric, I.; Rizzelli, F.; Mapelli, M.; Rosano, C.; Viale, M.; Bruno, O. Discovery of New Antiproliferative Imidazopyrazole Acylhydrazones Able To Interact with Microtubule Systems. ChemMedChem 2020, 15, 961–969. [Google Scholar] [CrossRef] [PubMed]
- Kassab, A.E.; Hassan, R.A. Novel Benzotriazole N-Acylarylhydrazone Hybrids: Design, Synthesis, Anticancer Activity, Effects on Cell Cycle Profile, Caspase-3 Mediated Apoptosis and FAK Inhibition. Bioorg. Chem. 2018, 80, 531–544. [Google Scholar] [CrossRef] [PubMed]
- Hackh, I.W.D.; Grant, C.; Grant, R. Grant & Hackh’s Chemical Dictionary, 5th ed.; McGraw-Hill: New York, NY, USA, 1987. [Google Scholar]
- Nasr, T.; Bondock, S.; Youns, M. Anticancer Activity of New Coumarin Substituted Hydrazide–Hydrazone Derivatives. Eur. J. Med. Chem. 2014, 76, 539–548. [Google Scholar] [CrossRef]
- Wiley, R.H.; Clevenger, R.L. Aldehyde Hydrazone Derivatives in Cancer Chemotherapy. J. Med. Pharm. Chem. 1962, 5, 1367–1371. [Google Scholar] [CrossRef]
- Colla, R.; Izzotti, A.; De Ciucis, C.; Fenoglio, D.; Ravera, S.; Speciale, A.; Ricciarelli, R.; Furfaro, A.L.; Pulliero, A.; Passalacqua, M.; et al. Glutathione-Mediated Antioxidant Response and Aerobic Metabolism: Two Crucial Factors Involved in Determining the Multi-Drug Resistance of High-Risk Neuroblastoma. Oncotarget 2016, 7, 70715–70737. [Google Scholar] [CrossRef] [PubMed]
- Marengo, B.; Monti, P.; Miele, M.; Menichini, P.; Ottaggio, L.; Foggetti, G.; Pulliero, A.; Izzotti, A.; Speciale, A.; Garbarino, O.; et al. Etoposide-Resistance in a Neuroblastoma Model Cell Line Is Associated with 13q14.3 Mono-Allelic Deletion and miRNA-15a/16-1 down-Regulation. Sci. Rep. 2018, 8, 13762. [Google Scholar] [CrossRef]
- Valenti, G.E.; Roveri, A.; Venerando, R.; Menichini, P.; Monti, P.; Tasso, B.; Traverso, N.; Domenicotti, C.; Marengo, B. PTC596-Induced BMI-1 Inhibition Fights Neuroblastoma Multidrug Resistance by Inducing Ferroptosis. Antioxidants 2024, 13, 3. [Google Scholar] [CrossRef]
- Abdel-Aziz, H.; Elsaman, T.; Attia, M.; Alanazi, A. The Reaction of Ethyl 2-Oxo-2H-Chromene-3-Carboxylate with Hydrazine Hydrate. Molecules 2013, 18, 2084–2095. [Google Scholar] [CrossRef]
- Crowder, J.R.; Gloverm, E.E.; Grundon, M.F.; Kaempfen, H.X. Bisbenzylisoquinolines. Part 1V. The Preparation of Diaryl Ethers from Diaryliodonium Salts. J. Chem. Soc. 1963, 1, 4568–4585. [Google Scholar]
- Verma, R.; Boshoff, H.I.M.; Arora, K.; Bairy, I.; Tiwari, M.; Bhat, V.G.; Shenoy, G.G. Synthesis, Antitubercular Evaluation, Molecular Docking and Molecular Dynamics Studies of 4,6-Disubstituted-2-Oxo-Dihydropyridine-3-Carbonitriles. J. Mol. Struct. 2019, 1197, 117–133. [Google Scholar] [CrossRef]
- Tomita, M.; Fujitani, K.; Yoshiaki, A. Cupric Oxide as an Efficient Catalyst in Ullmann Condensation Reaction. Chem. Pharm. Bull. 1965, 13, 1341–1345. [Google Scholar] [CrossRef] [PubMed]
- Ashton, M.J.; Cook, D.C.; Fenton, G.; Karlsson, J.-A.; Palfreyman, M.N.; Raeburn, D.; Ratcliffe, A.J.; Souness, J.E.; Thurairatnam, S.; Vicker, N. Selective Type IV Phosphodiesterase Inhibitors as Antiasthmatic Agents. The Syntheses and Biological Activities of 3-(Cyclopentyloxy)-4-Methoxybenzamides and Analogs. J. Med. Chem. 1994, 37, 1696–1703. [Google Scholar] [CrossRef]
- Zhang, J.; Zhao, L.; Zhu, C.; Wu, Z.; Zhang, G.; Gan, X.; Liu, D.; Pan, J.; Hu, D.; Song, B. Facile Synthesis of Novel Vanillin Derivatives Incorporating a Bis(2-Hydroxyethyl)Dithhioacetal Moiety as Antiviral Agents. J. Agric. Food Chem. 2017, 65, 4582–4588. [Google Scholar] [CrossRef]
- Cardinal, S.; Paquet-Côté, P.-A.; Azelmat, J.; Bouchard, C.; Grenier, D.; Voyer, N. Synthesis and Anti-Inflammatory Activity of Isoquebecol. Bioorg. Med. Chem. 2017, 25, 2043–2056. [Google Scholar] [CrossRef] [PubMed]
- Brand-Williams, W.; Cuvelier, M.E.; Berset, C. Use of a Free Radical Method to Evaluate Antioxidant Activity. LWT-Food Sci. Technol. 1995, 28, 25–30. [Google Scholar] [CrossRef]
- Russo, E.; Spallarossa, A.; Comite, A.; Pagliero, M.; Guida, P.; Belotti, V.; Caviglia, D.; Schito, A.M. Valorization and Potential Antimicrobial Use of Olive Mill Wastewater (OMW) from Italian Olive Oil Production. Antioxidants 2022, 11, 903. [Google Scholar] [CrossRef]
- Aree, T.; Jongrungruangchok, S. Structure–Antioxidant Activity Relationship of β-Cyclodextrin Inclusion Complexes with Olive Tyrosol, Hydroxytyrosol and Oleuropein: Deep Insights from X-Ray Analysis, DFT Calculation and DPPH Assay. Carbohydr. Polym. 2018, 199, 661–669. [Google Scholar] [CrossRef]
- Marengo, B.; De Ciucis, C.G.; Ricciarelli, R.; Furfaro, A.L.; Colla, R.; Canepa, E.; Traverso, N.; Marinari, U.M.; Pronzato, M.A.; Domenicotti, C. p38MAPK Inhibition: A New Combined Approach to Reduce Neuroblastoma Resistance under Etoposide Treatment. Cell Death Dis. 2013, 4, e589. [Google Scholar] [CrossRef]
- Alfei, S.; Marengo, B.; Valenti, G.; Domenicotti, C. Synthesis of Polystyrene-Based Cationic Nanomaterials with Pro-Oxidant Cytotoxic Activity on Etoposide-Resistant Neuroblastoma Cells. Nanomaterials 2021, 11, 977. [Google Scholar] [CrossRef] [PubMed]
- De Freitas Silva, M.; Juliet Cristancho Ortiz, C.; Ferreira Coelho, L.; Pruccoli, L.; Pagliarani, B.; Pisani, L.; Catto, M.; Poli, G.; Tuccinardi, T.; Cardoso Vilela, F.; et al. Synthesis and Pharmacological Evaluation of Novel N-Aryl-Cinnamoyl-Hydrazone Hybrids Designed as Neuroprotective Agents for the Treatment of Parkinson’s Disease. Bioorganic Chem. 2024, 150, 107587. [Google Scholar] [CrossRef]
- Palla, G.; Predieri, G.; Domiano, P. Conformational Behaviour and E/Z Isomerization of N-Acyl and N-Aroylhydrazones. Tethraedron 1986, 42, 3649–3654. [Google Scholar] [CrossRef]
- Landge, S.M.; Tkatchouk, E.; Benítez, D.; Lanfranchi, D.A.; Elhabiri, M.; Goddard, W.A.; Aprahamian, I. Isomerization Mechanism in Hydrazone-Based Rotary Switches: Lateral Shift, Rotation, or Tautomerization? J. Am. Chem. Soc. 2011, 133, 9812–9823. [Google Scholar] [CrossRef]
- Boulares, A.H.; Yakovlev, A.G.; Ivanova, V.; Stoica, B.A.; Wang, G.; Iyer, S.; Smulson, M. Role of Poly (ADP-Ribose) Polymerase (PARP) Cleavage in Apoptosis. J. Biol. Chem. 1999, 274, 22932–22940. [Google Scholar] [CrossRef]
- Gaschler, M.M.; Stockwell, B.R. Lipid Peroxidation in Cell Death. Biochem. Biophys. Res. Commun. 2017, 482, 419–425. [Google Scholar] [CrossRef]
- Zanotti, S.; Decaesteker, B.; Vanhauwaert, S.; De Wilde, B.; De Vos, W.H.; Speleman, F. Cellular Senescence in Neuroblastoma. Br. J. Cancer 2022, 126, 1529–1538. [Google Scholar] [CrossRef]
- Campisi, J. Cellular Senescence as a Tumor-Suppressor Mechanism. Trends Cell. Biol. 2001, 11, S27–S31. [Google Scholar] [CrossRef] [PubMed]
- Liu, B.; Peng, Z.; Zhang, H.; Zhang, N.; Liu, Z.; Xia, Z.; Huang, S.; Luo, P.; Cheng, Q. Regulation of Cellular Senescence in Tumor Progression and Therapeutic Targeting: Mechanisms and Pathways. Mol. Cancer 2025, 24, 106. [Google Scholar] [CrossRef] [PubMed]
- Yamauchi, S.; Takahashi, A. Cellular Senescence: Mechanisms and Relevance to Cancer and Aging. J. Biochem. 2025, 177, 163–169. [Google Scholar] [CrossRef] [PubMed]
- Yang, J.; Liu, M.; Hong, D.; Zeng, M.; Zhang, X. The Paradoxical Role of Cellular Senescence in Cancer. Front. Cell Dev. Biol. 2021, 9, 722205, Erratum in Front. Cell Dev. Biol. 2021, 9, 759761. [Google Scholar] [CrossRef] [PubMed]
Disclaimer/Publisher’s Note: The statements, opinions and data contained in all publications are solely those of the individual author(s) and contributor(s) and not of MDPI and/or the editor(s). MDPI and/or the editor(s) disclaim responsibility for any injury to people or property resulting from any ideas, methods, instructions or products referred to in the content. |
© 2025 by the authors. Licensee MDPI, Basel, Switzerland. This article is an open access article distributed under the terms and conditions of the Creative Commons Attribution (CC BY) license.










