Sign in to use this feature.

Years

Between: -

Subjects

remove_circle_outline
remove_circle_outline
remove_circle_outline
remove_circle_outline
remove_circle_outline
remove_circle_outline
remove_circle_outline
remove_circle_outline
remove_circle_outline

Journals

remove_circle_outline
remove_circle_outline
remove_circle_outline
remove_circle_outline
remove_circle_outline
remove_circle_outline
remove_circle_outline
remove_circle_outline
remove_circle_outline
remove_circle_outline
remove_circle_outline
remove_circle_outline
remove_circle_outline
remove_circle_outline
remove_circle_outline
remove_circle_outline

Article Types

Countries / Regions

remove_circle_outline
remove_circle_outline
remove_circle_outline
remove_circle_outline
remove_circle_outline
remove_circle_outline
remove_circle_outline
remove_circle_outline
remove_circle_outline

Search Results (3,100)

Search Parameters:
Keywords = fat profiling

Order results
Result details
Results per page
Select all
Export citation of selected articles as:
24 pages, 6712 KB  
Article
Biomarkers Characterizing the Onset of Dietary-Induced Hepatocellular Injury and Visceral Obesity in a Rat Experimental Model: Possible Anti-Inflammatory Effects of Steviol Glycosides
by Krastina Trifonova, Penka Yonkova and Petko Dzhelebov
Metabolites 2025, 15(10), 656; https://doi.org/10.3390/metabo15100656 (registering DOI) - 4 Oct 2025
Abstract
Background: The aim of the present study is to compare the potential of a high-fat diet, a high-carbohydrate diet, and a high-fat, high-carbohydrate diet to induce liver injury and visceral obesity within a period of five weeks, identify the pattern and degree of [...] Read more.
Background: The aim of the present study is to compare the potential of a high-fat diet, a high-carbohydrate diet, and a high-fat, high-carbohydrate diet to induce liver injury and visceral obesity within a period of five weeks, identify the pattern and degree of hepatic changes at the tissue level, identify the earliest metabolic markers of specific liver changes induced by each type of diet, and to test the possible beneficial effects of steviol glycosides in a rat experimental model. Methods: Wistar rats (n = 56) were divided into seven groups as follows: group BD (before diet), group SD (standard diet), group HFD (high-fat diet), group HCHD (high-carbohydrate diet), group HFHCHD (high-fat high-carbohydrate diet), group SDS (standard diet supplemented with Stevia extract), and group HFDS (high-fat diet supplemented with Stevia extract). Results: Total cholesterol concentrations (2.02 ± 0.22 mmol/L) increased in the HFD group (2.56 ± 0.82 mmol/L) and in the HFDS group (2.89 ± 0.48 mmol/L). The VLDL values before diets were 0.27 ± 0.11 mmol/L and increased most significantly in the HFHCHD group—1.14 ± 0.62 mmol/L. The baseline ALT values (88.4 ± 10.6 U/L) increased in the HFD group (128.13 ± 19.5 U/L) and the HFDS group (127.00 ± 17.74 U/L). Similar increases were registered in the AST/ALT ratio and ALP. Total bilirubin (7.10 ± 1.39 μmol/L) increased in HFD group (27.86 ± 17.01 μmol/L). Serum NO had the lowest values in groups fed diets supplemented with steviol glycosides. All high-calorie diets induced hepatocellular injury. The mass of the perirenal fat depot and cross-sectional area of adipocytes were highest in HFD, HFHCHD, and HFDS groups. Conclusion: High-calorie diets have the potential to induce visceral obesity and hepatocellular injury within a very short period of time, which produces characteristic histological changes and specific biochemical profile. Steviol glycosides may alleviate some aspects of the inflammatory response, but findings about lipid profile parameters and liver enzymes are controversial. Full article
(This article belongs to the Special Issue Metabolic Changes in Diet-Mediated Inflammatory Diseases)
Show Figures

Figure 1

17 pages, 1727 KB  
Article
An Integrated Approach in Assessing the Food-Related Properties of Microparticulated and Fermented Whey
by Sara Khazzar, Stefania Balzan, Arzu Peker, Laura Da Dalt, Federico Fontana, Elisabetta Garbin, Federica Tonolo, Graziano Rilievo, Enrico Novelli and Severino Segato
Foods 2025, 14(19), 3421; https://doi.org/10.3390/foods14193421 (registering DOI) - 4 Oct 2025
Abstract
As native bovine whey (WHEY) poses environmental concerns as a high-water-content by-product, this trial aimed at assessing the effectiveness of a thermal–mechanical microparticulation coupled with a fermentative process to concentrate it into a high-protein soft dairy cream. Compared to native whey, in microparticulated [...] Read more.
As native bovine whey (WHEY) poses environmental concerns as a high-water-content by-product, this trial aimed at assessing the effectiveness of a thermal–mechanical microparticulation coupled with a fermentative process to concentrate it into a high-protein soft dairy cream. Compared to native whey, in microparticulated (MPW) and fermented (FMPW) matrices, there was a significant increase in proteins (from 0.7 to 8.8%) and lipids (from 0.3 to 1.3%), and a more brilliant yellowness colour. A factorial discriminant analysis (FDA) showed that FMPW had a higher content of saturated fatty acid (SFA) and some specific polyunsaturated fatty acid (PUFA) n-6, and also identified C14:0, C18:1, C18:1 t-11, C18:2 n-6, and C18:3 n-6 as informative biomarkers of microparticulation and fermentative treatments. The SDS-PAGE indicated no effects on the protein profile but indicated its rearrangement into high molecular weight aggregates. Z-sizer and transmission electron microscopy analyses confirmed a different supramolecular structure corresponding to a higher variability and greater incidence of very large molecular aggregates, suggesting that MPW could be accounted as a colloidal matrix that may have similar ball-bearing lubrication properties. Microparticulation of whey could facilitate its circularity into the dairy supply chain through its re-generation from a waste into a high-value fat replacer for dairy-based food production. Full article
Show Figures

Figure 1

15 pages, 2523 KB  
Article
Impact of Chromium Picolinate on Breast Muscle Metabolomics and Glucose and Lipid Metabolism-Related Genes in Broilers Under Heat Stress
by Guangju Wang, Xiumei Li, Miao Yu, Zhenwu Huang, Jinghai Feng and Minhong Zhang
Animals 2025, 15(19), 2897; https://doi.org/10.3390/ani15192897 - 3 Oct 2025
Abstract
The aim of the present study is to evaluate the impact of chromium (Cr) supplementation on glucose and lipid metabolism in breast muscle in broilers under heat stress. A total of 220 day-old broiler chicks were reared in cages. At 29 days old, [...] Read more.
The aim of the present study is to evaluate the impact of chromium (Cr) supplementation on glucose and lipid metabolism in breast muscle in broilers under heat stress. A total of 220 day-old broiler chicks were reared in cages. At 29 days old, 180 birds were randomly assigned to three treatments (0, 400, and 800 µg Cr/kg, as chromium picolinate) and transferred to climate chambers (31 ± 1 °C, 60 ± 7% humidity) for 14 days. Growth performance, carcass traits, serum biochemical indices, fasting glucose and insulin, homeostasis model assessment of insulin resistance (HOMA-IR), as well as muscle metabolomic profiles and gene expression related to energy and lipid metabolism were analyzed. The results showed that, compared with the heat stress group, the groups supplemented with 400 and 800 µg Cr/kg showed higher dry matter intake and average daily gain, breast muscle ratio, and lower feed conversion ratio and abdominal fat ratio; chickens supplemented with 400 and 800 µg Cr/kg showed significantly lower serum corticosterone (CORT), free fatty acids, and cholesterol levels compared with the heat stress (HS) group (p < 0.05). Fasting blood glucose and HOMA-IR were also significantly reduced, while fasting insulin was significantly increased in the Cr-supplemented groups (p < 0.05). Metabolomic analysis revealed that Cr supplementation regulated lipid and amino acid metabolism by altering key metabolites such as citric acid, L-glutamine, and L-proline, and modulating pathways including alanine, aspartate, and glutamate metabolism, and glycerophospholipid metabolism. Furthermore, Cr supplementation significantly upregulated the expression of Peroxisome Proliferator-Activated Receptor Gamma Coactivator 1 α (PGC-1α), ATP Binding Cassette Subfamily A Member 1 (ABCA1), Peroxisome Proliferator-Activated Receptor α (PPARα), and ATP Binding Cassette Subfamily G Member 1 (ABCG1) in both the hepatic and muscle tissue. This paper suggested that chromium supplementation may enhance energy metabolism and lipid transport like the findings of our study suggested. Full article
Show Figures

Figure 1

32 pages, 921 KB  
Review
An Overview of the Microbiological, Nutritional, Sensory and Potential Health Aspects of Tree Nut-Based Beverages
by Tiziana Di Renzo, Antonela G. Garzón, Stefania Nazzaro, Pasquale Marena, Angela Daniela Carboni, Maria Cecilia Puppo, Silvina Rosa Drago and Anna Reale
Beverages 2025, 11(5), 144; https://doi.org/10.3390/beverages11050144 - 1 Oct 2025
Abstract
In recent years, the rise in food allergies and intolerances, combined with the increasing consumer preference for healthier, plant-based alternatives to traditional dairy products, has driven the development of a diverse range of plant-based beverages. Among these, tree nut-based beverages, “ready-to-drink” products made [...] Read more.
In recent years, the rise in food allergies and intolerances, combined with the increasing consumer preference for healthier, plant-based alternatives to traditional dairy products, has driven the development of a diverse range of plant-based beverages. Among these, tree nut-based beverages, “ready-to-drink” products made from nuts such as almonds, hazelnuts, pistachios, walnuts, brazil nut, macadamia, cashew nut, coconut, pine nut, have gained significant popularity. This review offers a comprehensive analysis of the microbiological, nutritional, and sensory properties of tree nut-based beverages, highlighting their ability to deliver essential nutrients such as healthy fats, proteins, fiber, vitamins, and minerals. Additionally, these beverages provide a rich source of bioactive compounds (e.g., antioxidants, polyphenols) that can contribute to health benefits such as reducing oxidative stress, supporting cardiovascular health, and promoting overall well-being. The review also highlights the ability of different species of lactic acid bacteria to enhance flavour profiles and increase the bioavailability of certain bioactive compounds. Nevertheless, further research is essential to optimize the production methods, improve sensory characteristics, and address challenges related to cost, scalability, and consumer acceptance. Continued innovation in this area may position tree nut beverages as a key component of plant-based food models, contributing to the promotion of healthier eating patterns. Full article
(This article belongs to the Special Issue Recent Research in Plant-Based Drinks)
Show Figures

Figure 1

14 pages, 2109 KB  
Article
Impact of Artemisia selengensis Turcz. Leaf Extract on Beer Brewing: Fermentation Dynamics, Flavor Compounds and Hypolipidemic/Antihyperuricemic Effects
by Zeyu Li, Jiazhi Zhou, Chaoqun Ye, Jian Yang and Changli Zeng
Molecules 2025, 30(19), 3936; https://doi.org/10.3390/molecules30193936 - 1 Oct 2025
Abstract
Artemisia selengensis Turcz. (AST), an edible-medicinal herb, contains multifunctional bioactives. This study investigated the application of AST leaf extract (ASTLE) in beer brewing, focusing on the addition stage and its impacts on fermentation dynamics, flavor profile, and functional properties. Fermentation parameters, bioactive compounds [...] Read more.
Artemisia selengensis Turcz. (AST), an edible-medicinal herb, contains multifunctional bioactives. This study investigated the application of AST leaf extract (ASTLE) in beer brewing, focusing on the addition stage and its impacts on fermentation dynamics, flavor profile, and functional properties. Fermentation parameters, bioactive compounds (phenolic; flavonoid), and volatiles (using HS-SPME-GC-MS) were analyzed. In vivo efficacy was assessed in high-fat diet-fed mice supplemented for 8 weeks with beer containing 10% ASTLE (post-primary fermentation), evaluating body weight change, serum lipids, and uric acid levels. It was found that adding ASTLE before primary fermentation promoted yeast activity but increased the risk of excessive diacetyl production. Adding ASTLE after primary fermentation significantly increased total phenolic and flavonoid contents. GC-MS analysis revealed that ASTLE contributed 28 additional volatile compounds, including chrysanthenone and eucalyptol, thereby enriching the beer’s flavor profile and complexity. In mice, beer with 10% ASTLE (post-primary fermentation) reduced body-weight gain, and regulated abnormal blood lipids and serum uric acid levels. Adding ASTLE after primary fermentation optimized fermentation stability, bioactive retention, flavor enhancement, and conferred benefits including body-weight regulation, lipid metabolism improvement, and uric acid control, providing a reference for developing functional beers targeting health-conscious consumers. Full article
(This article belongs to the Collection Advances in Food Chemistry)
Show Figures

Figure 1

18 pages, 2974 KB  
Article
Dynamic Variations in Endogenous Peptides in Chinese Human Milk Across Lactation and Geographical Regions
by Baorong Chen, Kaifeng Li, Xiaodan Wang, Wenyuan Zhang, Sun Han, Yumeng Zhang, Yunna Wang, Xiaoyang Pang, Qinggang Xie, Jing Lu, Shilong Jiang, Shuwen Zhang and Jiaping Lv
Nutrients 2025, 17(19), 3131; https://doi.org/10.3390/nu17193131 - 30 Sep 2025
Abstract
Background/Objectives: This study characterized the endogenous peptide profile of human milk from a Chinese multicenter cohort (n = 200 mothers) using the Orbitrap Fusion Lumos LC-MS/MS. Methods: Samples were collected across different lactation stages (2 and 6 months postpartum) and seven geographic [...] Read more.
Background/Objectives: This study characterized the endogenous peptide profile of human milk from a Chinese multicenter cohort (n = 200 mothers) using the Orbitrap Fusion Lumos LC-MS/MS. Methods: Samples were collected across different lactation stages (2 and 6 months postpartum) and seven geographic regions (Beijing, Chengdu, Guangzhou, Jinhua, Lanzhou, Weihai, and Zhengzhou). Results: In total, 6960 peptides derived from 621 proteins were identified. Peptides from the polymeric immunoglobulin receptor (PIGR) were more abundant in the 2nd month than the 6th month, providing a high antimicrobial activity and immune functions for the infants. Moreover, region-specific variations were observed, with milk from Lanzhou exhibiting significantly higher levels of β-casein (CASB) and butyrophilin subfamily 1 member A1 (BTN1A1) peptides compared to other cities. Conclusions: Furthermore, maternal dietary intake of oils and total fat correlated positively with the intensity of specific antimicrobial peptides, including CASB_199–216, CASB_200–226, and CASB_201–226. Infant growth parameters were inversely correlated with several antimicrobial peptides, although CASB_200–225 demonstrated positive associations. These findings offer novel insights into the dynamics of endogenous peptides in human milk and may guide breastfeeding recommendations and infant formula design. Full article
21 pages, 1169 KB  
Article
Impact of Nutritional Status on Clinical Outcomes of Patients Undergoing PRGF Treatment for Knee Osteoarthritis—A Prospective Observational Study
by Paola De Luca, Giulio Grieco, Simona Landoni, Eugenio Caradonna, Valerio Pascale, Enrico Ragni and Laura de Girolamo
Nutrients 2025, 17(19), 3134; https://doi.org/10.3390/nu17193134 - 30 Sep 2025
Abstract
Background: Osteoarthritis (OA) is a major global health issue, increasing with aging and obesity. Current therapies mainly address symptoms without modifying disease progression. Platelet-rich growth factor (PRGF) therapy has potential regenerative effects through high cytokines and growth factors, but the outcomes of these [...] Read more.
Background: Osteoarthritis (OA) is a major global health issue, increasing with aging and obesity. Current therapies mainly address symptoms without modifying disease progression. Platelet-rich growth factor (PRGF) therapy has potential regenerative effects through high cytokines and growth factors, but the outcomes of these therapies remain heterogeneous. This study explores the relationship between patient nutritional status, PRGF characteristics, and clinical outcomes in knee OA treatment. Methods: Baseline anthropometric, metabolic, and nutritional assessments of 41 patients with knee OA who underwent PRGF treatment were conducted. Blood samples were analyzed for metabolic and inflammatory markers. PRGF composition was assessed by protein content and extracellular vesicle (EV) markers. KOOS and VAS pain scores were collected at 2, 6, and 12 months. Responders improved KOOS by ≥10 points. An elastic-net regularized logistic model allowed the identification of the predictors of treatment response. Results: KOOS and VAS scores improved significantly at all follow-ups. At 2 months, the PRGF of responder patients showed higher PRGF G-CSF levels; at 12 months, increased CD49e and HLA-ABC expression. Higher BMI correlated with increased IL-6, IL-1ra, and resistin in PRGF samples. Hypercholesterolemic patients displayed altered EV profiles, with elevated levels of CD8 but reduced CD49e, HLA-ABC, CD42a, and CD31. Multivariate analysis identified BMI, biceps fold, fat percentage, red blood cell, platelet, and neutrophil counts as predictors of early response. Conclusions: Metabolic and immunological factors influence PRGF composition and clinical efficacy in knee OA. Baseline body composition and hematological parameters as key predictors of response, highlighting the potential of personalized PRGF therapy. Full article
20 pages, 5668 KB  
Article
Dietary Bile Acid Influences the Physiological, Morphological, Lipid Metabolism-Related Responses, and Transcriptomic Profile of Hepatopancreas in High-Fat Diet-Fed Juvenile Gibel Carp (Carassius auratus gibelio)
by Xiaoyang Huang, Zikui Yang, Xiangning Chen, Jingjing Zhang, Yanru Wu, Huiqing Li, Haiming Yuan, Rui Feng, Chaoqing Wei, Zhujin Ding, Jianhe Xu and Hanliang Cheng
Animals 2025, 15(19), 2853; https://doi.org/10.3390/ani15192853 - 30 Sep 2025
Abstract
To assess the influence of dietary bile acid (BA) on the phenotype associated with hepatic lipid metabolism and its regulation of lipid homeostasis in gibel carp (Carassius auratus gibelio) under high-fat diet (HFD) conditions, five HFDs were designed using soybean oil [...] Read more.
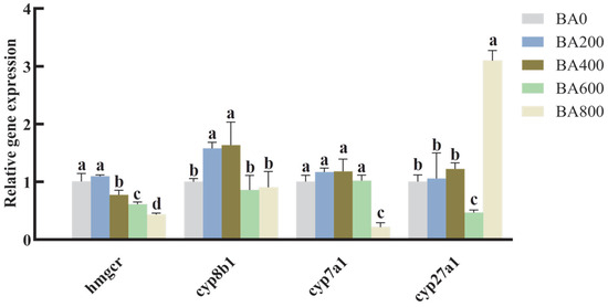
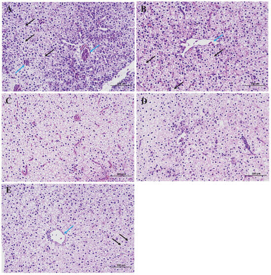
To assess the influence of dietary bile acid (BA) on the phenotype associated with hepatic lipid metabolism and its regulation of lipid homeostasis in gibel carp (Carassius auratus gibelio) under high-fat diet (HFD) conditions, five HFDs were designed using soybean oil (SO) as the single lipid source and supplemented with 0, 200, 400, 600, and 800 mg/kg BA (designated as BA0, BA200, BA400, BA600, and BA800, respectively). Juvenile fish (32.37 ± 0.13 g) were fed five BA-added HFDs (12% SO) for 8 weeks. Considerably lower levels of aspartate transaminase, alanine aminotransferase, low-density lipoprotein, triglyceride, and total cholesterol in the serum were observed in gibel carp fed with HFDs with 400–600 mg/kg BA (p < 0.05). The hepatocytes of the BA400 and BA600 groups were intact without abnormal architecture or histopathological changes, compared to other groups. The presence of most genes related to fatty acid biosynthesis decreased significantly with the addition of 400–600 mg/kg BA (p < 0.05), while the gene expressions of hormone-sensitive lipase, adiponectin receptor 2, and peroxisome proliferator-activated receptor α were variably up-regulated, along with the elevation of dietary BA (p < 0.05). Critical genes involved in bile acid and cholesterol synthesis were obviously down-regulated in gibel carp receiving 600–800 mg/kg dietary BA (p < 0.05), despite the sterol 27-hydroxylase (cyp27a1) gene in the BA800 group (p < 0.05). Moreover, hepatopancreas from the BA0 and BA600 groups were isolated for transcriptome sequencing, identifying 7040 differentially expressed genes (DEGs). The enriched KEGG pathways of DEGs mainly included steroid biosynthesis, protein digestion and absorption, etc. Seven randomly selected DEGs were validated using qRT-PCR and were in agreement with the RNA-seq results. Consequently, the appropriate supplementation of dietary BA for juvenile gibel carp is recommended at doses of 400–600 mg/kg in SO-based HFDs, which could contribute to the amelioration of HFD-induced excessive fat deposition in the hepatopancreas of gibel carp by both inhibiting fatty acid intake, biosynthesis, and steroid production and enhancing lipid decomposition. The findings may elucidate the physiological role of exogenous BA in fish and its underlying mechanism, providing references for the reasonable application of BA in aquafeeds and the prevention of HFD-induced metabolic dysfunction in fish. Full article
(This article belongs to the Special Issue Novel Insights into Lipid Metabolism in Aquatic Animals)
Show Figures

Figure 1

25 pages, 2161 KB  
Article
Long-Term Physical Activity Modulates Lipid Metabolism and Gene Expression in Muscle and Fat Tissues of Alentejano Pigs
by José Manuel Martins, André Albuquerque, David Silva, José A. Neves, Rui Charneca and Amadeu Freitas
Agriculture 2025, 15(19), 2047; https://doi.org/10.3390/agriculture15192047 - 29 Sep 2025
Abstract
This study examined the effect of long-term physical activity during the finishing period on meat and fat quality, and metabolic gene expression in obese Alentejano (AL) pigs. From 87.3 to 161.6 kg BW and for 130 days, eighteen pigs were assigned to either [...] Read more.
This study examined the effect of long-term physical activity during the finishing period on meat and fat quality, and metabolic gene expression in obese Alentejano (AL) pigs. From 87.3 to 161.6 kg BW and for 130 days, eighteen pigs were assigned to either individual pens without an exercise area (NE, n = 9) or an outdoor park with an exercise area (WE, n = 9). Both groups received identical commercial diets at 85% ad libitum intake. Loin (Longissimus lumborum—LL), tenderloin (Psoas major—PM), and dorsal subcutaneous fat samples were obtained at slaughter, and analyzed for fatty acid composition and gene expression. Physical activity modulated the fatty acid profile and key metabolic genes in muscle and fat tissues. WE pigs showed higher palmitoleic (p = 0.031) and linolenic (p = 0.022) acids in LL, while Fatty acid synthase and Leptin in LL were downregulated (p = 0.071 and p = 0.018, respectively); Fatty acid binding protein 4 was downregulated (p = 0.003) and Stearoyl-CoA desaturase upregulated (p = 0.020) in the PM of WE pigs, indicating changes in lipid metabolism. Also, Myosin heavy chain 7 was upregulated (p = 0.016) in LL, suggesting oxidative muscle remodeling. These findings suggest that moderate, long-term physical activity during finishing induces modest but favorable metabolic adaptations in muscle and fat tissues without compromising meat quality in AL pigs, supporting its use in traditional rearing systems aimed at balancing animal welfare and product quality in local breeds. Full article
(This article belongs to the Section Farm Animal Production)
Show Figures

Figure 1

16 pages, 3259 KB  
Article
Spinal Epidural Fat as an Imaging Biomarker of Visceral Obesity: An MRI-Based Quantitative Analysis
by Nicola Marrone, Gabriele Bilancia, Domenico Romeo, Valerio D’Agostino, Federico Ponti, Francesca Salamanna, Amandine Crombé and Paolo Spinnato
Diagnostics 2025, 15(19), 2490; https://doi.org/10.3390/diagnostics15192490 - 29 Sep 2025
Abstract
Background/Objectives: Spinal epidural lipomatosis (SEL) is increasingly recognized as a possible radiological indicator of Metabolic Syndrome (MS) and visceral adiposity. However, the precise relationship between visceral adiposity and the accumulation of epidural fat (EF) remains unclear. This study aimed to investigate the [...] Read more.
Background/Objectives: Spinal epidural lipomatosis (SEL) is increasingly recognized as a possible radiological indicator of Metabolic Syndrome (MS) and visceral adiposity. However, the precise relationship between visceral adiposity and the accumulation of epidural fat (EF) remains unclear. This study aimed to investigate the association between visceral adipose tissue (VAT) and EF thickness using quantitative MRI analyses. Methods: We retrospectively reviewed all MRI scans performed at our institution over a 7-month period, from May to November 2024. Two radiologists measured and recorded the VAT maximum antero-posterior diameter at the L3 level, EF maximum diameter at the L5-S1 level, spinal canal antero-posterior diameter at the L5-S1 level, and subcutaneous fat (SF) when included in the MRI images (at the L3 level) in all the MRI scans. Results: A cohort of 516 patients was collected (320 women and 196 men; mean age 57.31 ± 18.45 years old). In 508 patients (98.4%) SF and VAT were both measurable, while in 8 patients VAT only was assessable on MRI scans. Pearson correlation identified significant associations between EF and VAT thickness (correlation coefficient > 20%; p < 0.05). A linear regression model confirmed a significant, albeit modest, positive relationship between VAT and EF (R2 = 5.4%). A multivariate regression model incorporating age, sex, spinal canal size, VAT, and SF improved the explanatory power (adjusted R2 = 16.7%), with VAT, spinal canal diameter, and age emerging as significant predictors of EF (p < 0.001). Conclusions: Our study revealed in a large cohort of patients that EF and VAT are directly associated. On the other hand, SF resulted in not being associated with EF. These findings support the emerging concept that SEL can be a radiological phenotype of visceral obesity and, by extension, of MS. Integrating EF measurement into standard MRI interpretation may facilitate the early detection of SEL and offer additional insights into patients’ underlying metabolic profile. Full article
Show Figures

Figure 1

18 pages, 1303 KB  
Article
Bifidobacterium animalis subsp. lactis TISTR 2591 Improves Glycemic Control and Immune Response in Adults with Type 2 Diabetes Mellitus: A Randomized, Double-Blind, Placebo-Controlled Crossover Clinical Trial
by Wiritphon Khiaolaongam, Kongsak Boonyapranai, Jaruwan Sitdhipol, Punnathorn Thaveethaptaikul, Jurairat Khongrum, Pennapa Chonpathompikunlert and Sakaewan Ounjaijean
Nutrients 2025, 17(19), 3097; https://doi.org/10.3390/nu17193097 - 29 Sep 2025
Abstract
Background/Objectives: Type 2 diabetes mellitus (T2DM) is a chronic metabolic disorder marked by insulin resistance, hyperglycemia, systemic inflammation, and immune imbalance. This randomized, double-blind, placebo-controlled, crossover trial investigated the effects of Bifidobacterium animalis subsp. lactis TISTR 2591 (BA-2591), a probiotic strain isolated [...] Read more.
Background/Objectives: Type 2 diabetes mellitus (T2DM) is a chronic metabolic disorder marked by insulin resistance, hyperglycemia, systemic inflammation, and immune imbalance. This randomized, double-blind, placebo-controlled, crossover trial investigated the effects of Bifidobacterium animalis subsp. lactis TISTR 2591 (BA-2591), a probiotic strain isolated in Thailand, on metabolic, immunologic, and safety parameters. Methods: A total of 44 Thai adults (aged 35–65) with T2DM receiving metformin monotherapy were administered BA-2591 (1 × 109 CFU/g/day) or placebo for 6 weeks, followed by a 4-week washout and crossover. Results: Compared to placebo, BA-2591 significantly attenuated fasting blood glucose elevation (Δ = +1.143 mg/dL vs. +12.570 mg/dL; p < 0.001), minimized the increase in insulin resistance (HOMA-IR: Δ = +0.567 vs. +0.980; p = 0.006), and enhanced β-cell function (HOMA-β: Δ = +6.791% vs. −8.313%; p < 0.001). It also elevated immunoglobulin levels (IgM: +150.300 mg/dL; IgG: +261.500 mg/dL; p < 0.001), reduced LDL-C (p = 0.009), and decreased cathepsin D activity (p = 0.005), with no significant changes in IL-6, adiponectin, MDA, hs-CRP, or body composition. No severe adverse effects were reported. Conclusions: BA-2591 was safe and demonstrated modest, adjunctive benefits for fasting glycemia and immunologic profiles over 6 weeks, without changes in body weight or fat mass. These findings support BA-2591 as a potential adjunct to standard care in early T2DM; larger and longer-duration trials are needed to define its effects on longer-term outcomes. Full article
(This article belongs to the Section Nutrition and Diabetes)
Show Figures

Graphical abstract

20 pages, 8412 KB  
Article
Lipidomics-Based Analysis of the Regulatory Effects of Phytosterol Esters on Lactation Performance and Lipid Metabolism in Tarim Bactrian camels
by Penglan Dou, Yusong Shen, Weihua Zheng, Lin Zhu, Yong Chen and Fengming Li
Animals 2025, 15(19), 2827; https://doi.org/10.3390/ani15192827 - 28 Sep 2025
Abstract
Plantsterol esters (PSEs) exert beneficial effects on animal product quality, indicating their potential as a nutritional intervention strategy. This study investigated the effects of dietary PSE supplementation on lactation performance and lipid metabolism in Tarim Bactrian camels (Camelus bactrianus) to establish [...] Read more.
Plantsterol esters (PSEs) exert beneficial effects on animal product quality, indicating their potential as a nutritional intervention strategy. This study investigated the effects of dietary PSE supplementation on lactation performance and lipid metabolism in Tarim Bactrian camels (Camelus bactrianus) to establish a scientific basis for its application in their husbandry. Thirty-two mid-lactation female camels were randomly allocated to four groups (n = 8): CON (basal diet), L (200 mg/kg PSE), M (400 mg/kg PSE), and H (800 mg/kg PSE). Since lactation performance is closely linked to metabolic status, biochemical and lipidomic analyses were conducted on serum and milk samples. Analysis revealed that the H group showed significantly increased milk yield, lactose yield, and milk fat yield compared to other groups. Serum cholesterol levels decreased progressively with higher PSE supplementation, while serum urea levels rose dose-dependently. Blood Glu was lower in the L group but higher in the H group relative to CON. Lipidomic profiling identified 644 and 257 differential metabolites in milk and serum, respectively. Milk metabolites were enriched in the EGFR inhibitor resistance, MAPK, and ErbB signaling pathways; serum metabolites were linked to glycerophospholipid, arachidonic acid, and linoleic acid metabolism. These findings indicate that PSE-modulated metabolites in serum and milk significantly influence lactation performance and glucolipid metabolism in Tarim Bactrian camels, supporting further investigation into precision nutrition strategies. Full article
(This article belongs to the Section Animal Nutrition)
Show Figures

Figure 1

25 pages, 1282 KB  
Article
Comprehensive Characterization of Armoracia rusticana Roots and Leaves: Physicochemical Properties, Functional Potential, and Nutritional Composition
by Bianca Șuian, Sonia Amariei and Ancuța Petraru
Int. J. Mol. Sci. 2025, 26(19), 9462; https://doi.org/10.3390/ijms26199462 - 27 Sep 2025
Abstract
The present study aimed to comprehensively characterize the physicochemical, nutritional, and functional properties of Armoracia rusticana leaves and roots, with a focus on their potential as sources of bioactive compounds. Quality parameters (color, moisture, titratable acidity, pH), macronutrient (proteins, fats, carbohydrates, fibers) and [...] Read more.
The present study aimed to comprehensively characterize the physicochemical, nutritional, and functional properties of Armoracia rusticana leaves and roots, with a focus on their potential as sources of bioactive compounds. Quality parameters (color, moisture, titratable acidity, pH), macronutrient (proteins, fats, carbohydrates, fibers) and micronutrient (minerals, vitamins) content were determined. Polyphenolic profiles were evaluated using HPLC-DAD in two types of extracts: methanol–water (1:1, v/v) and deionized water. Flavonols (quercetin, kaempferol, myricetin), hydroxybenzoic acids (p-hydroxybenzoic, vanillic, caffeic), and hydroxycinnamic acids (chlorogenic, p-coumaric, rosmarinic) were identified. Freeze-drying proved effective in preserving thermolabile compounds, such as vitamin C (299.78 mg/100 g) and polyphenols (107.14 mg/100 g). Antioxidant capacity of the leaf extracts ranged between 74.52% and 76.90%, while pigment quantification revealed high levels of chlorophyll a (360.7 mg/100 g), chlorophyll b (110.03 mg/100 g), and total carotenoids (72.35 mg/100 g). FTIR spectroscopy was employed to assess molecular structures and functional group composition. Overall, the results support the valorization of A. rusticana leaves—an underutilized plant part—alongside roots, for applications in functional foods and nutraceutical development. Full article
(This article belongs to the Collection Feature Papers in Bioactives and Nutraceuticals)
Show Figures

Figure 1

18 pages, 2017 KB  
Article
Optimizing Sow and Litter Performance via a Comprehensive Service-to-Weaning Feeding Regimen
by Julia Cantin, Carlos Cantin, Olga Mitjana, Maria Teresa Tejedor, Carlos Gil-Rubio, Ana Maria Garrido and Maria Victoria Falceto
Animals 2025, 15(19), 2821; https://doi.org/10.3390/ani15192821 - 27 Sep 2025
Abstract
Hyperprolific genetic lines achieve large litters but are at increased risk of metabolic stress, impaired sow condition, and reduced piglet viability. This study aimed to evaluate whether a phase-specific feeding program from service to weaning improves sow metabolic status and body condition, and [...] Read more.
Hyperprolific genetic lines achieve large litters but are at increased risk of metabolic stress, impaired sow condition, and reduced piglet viability. This study aimed to evaluate whether a phase-specific feeding program from service to weaning improves sow metabolic status and body condition, and enhances offspring performance, compared with a standard program. Sixty gilts and 268 multiparous sows were randomly allocated to a control group (standard commercial diets; C) or a treatment group (phase-specific diet; T) covering early and late gestation, peripartum, and lactation. Compared to a commercial feeding strategy, four custom-made, phase-specific diets were fed as follows: for early gestation (greater amount of essential aa and fat content), late gestation (higher amount of CP and essential aa), peripartum (improved nutrient profile at lower fat and fiber content), and lactation (higher essential aa and calorie content). On gestation day 113, T gilts had greater backfat thickness (BFT) and lower blood β-hydroxybutyrate (BHBA) than C. T multiparous sows showed greater BFT and longissimus muscle depth (LMD) and lower BHBA on day 113, fewer stillborn piglets, lower incidences of neonatal diarrhea, and fewer negative lactation curves and postpartum hypophagia. On day 28 of lactation, T litters had heavier piglets, and LMD remained higher in T sows. The phase-specific feeding program improved the metabolic state, body condition, and reproductive outcomes in hyperprolific sows and enhanced offspring growth through weaning. Full article
(This article belongs to the Special Issue Best Management Practices for Breeding Sows and Boars)
Show Figures

Figure 1

17 pages, 1339 KB  
Article
Bioconversion of Deoxynivalenol by Mealworm (Tenebrio molitor) Larvae: Implications for Feed Safety and Nutritional Value
by Marcin Wróbel, Michał Dąbrowski, Michał Łuczyński, Krzysztof Waśkiewicz, Tadeusz Bakuła, Łukasz Nowicki and Łukasz Zielonka
Toxins 2025, 17(10), 478; https://doi.org/10.3390/toxins17100478 - 25 Sep 2025
Abstract
Deoxynivalenol (DON) is one of the most common trichothecene mycotoxins found in cereals, posing a significant hazard to food and feed safety. Insects, especially the yellow mealworm (Tenebrio molitor), offer promising alternative protein sources; however, their capacity to metabolise mycotoxins and [...] Read more.
Deoxynivalenol (DON) is one of the most common trichothecene mycotoxins found in cereals, posing a significant hazard to food and feed safety. Insects, especially the yellow mealworm (Tenebrio molitor), offer promising alternative protein sources; however, their capacity to metabolise mycotoxins and the nutritional implications are still not fully understood. In this study, T. molitor larvae were reared for two weeks on diets containing DON at 663 or 913 µg/kg, and their biomass was analysed using Liquid Chromatography–Quadrupole Time-of-Flight Mass Spectrometry (LC-QTOF) for DON metabolites and free amino acids, as well as Gas Chromatography–Flame Ionization Detector (GC-FID) for fatty acid profiles. Larvae metabolised DON via multiple pathways, including sulfonation, glucuronidation, sulfation, glucosylation, and de-epoxidation, with a time- and dose-dependent shift towards glucosylation and de-epoxidation. DON exposure significantly reduced the levels of essential amino acids such as methionine, lysine, phenylalanine, and isoleucine, and lowered metabolic intermediates like aspartic and glutamic acid. Conversely, prolonged DON exposure increased linoleic acid levels in larval fat, indicating altered lipid metabolism. These findings demonstrate that T. molitor larvae detoxify DON but incur measurable metabolic costs, leading to changes in amino acid and fatty acid profiles. The dual effect—reduction of toxin levels and nutritional shifts—highlights both the potential and the challenges of using insects for sustainable feed production. Full article
(This article belongs to the Section Mycotoxins)
Show Figures

Figure 1

Back to TopTop