Sign in to use this feature.

Years

Between: -

Subjects

remove_circle_outline
remove_circle_outline
remove_circle_outline
remove_circle_outline
remove_circle_outline
remove_circle_outline
remove_circle_outline

Journals

Article Types

Countries / Regions

Search Results (314)

Search Parameters:
Keywords = chromatin repression

Order results
Result details
Results per page
Select all
Export citation of selected articles as:
22 pages, 4207 KB  
Article
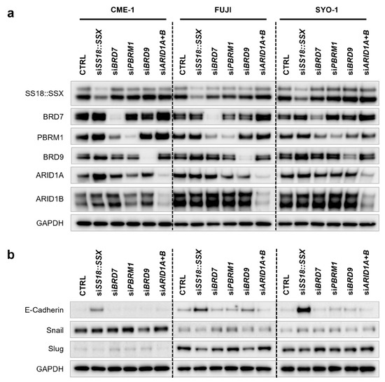
SS18::SSX and BRD9 Modulate Synovial Sarcoma Differentiation
by Anna Kuntze, Victor Banerjee, Marcel Trautmann, Charlotte Pünt, Ruth Berthold, Pascal Hauser, Lucas Scholl, Eva Wardelmann, Kornelius Kerl, Wolfgang Hartmann and Ilka Isfort
Cells 2025, 14(24), 2022; https://doi.org/10.3390/cells14242022 - 18 Dec 2025
Viewed by 113
Abstract
Synovial sarcoma (SySa) is a malignant soft tissue tumor that is characterized by an SS18::SSX fusion protein, which integrates into BAF chromatin remodeling complexes and alters global gene transcription. Despite its uniform genetic driver, SySa displays striking histomorphological and phenotypic heterogeneity, including spindle [...] Read more.
Synovial sarcoma (SySa) is a malignant soft tissue tumor that is characterized by an SS18::SSX fusion protein, which integrates into BAF chromatin remodeling complexes and alters global gene transcription. Despite its uniform genetic driver, SySa displays striking histomorphological and phenotypic heterogeneity, including spindle cell, glandular and poorly differentiated patterns. Prognosis is variable, with around 50% of patients developing metastases. Limited response to chemotherapy highlights the need for a better understanding of the underlying molecular mechanisms to guide alternative therapeutic strategies. Given the pivotal function of BAF complexes in SySa and their recently described impact on cellular differentiation processes, this study aims to investigate the role of SS18::SSX and specific BAF subunits in SySa differentiation. Nanostring analysis revealed that silencing of SS18::SSX and the GBAF subunit BRD9 modulates the cellular differentiation pathways. SS18::SSX and BRD9 were found to regulate epithelial–mesenchymal-transition (EMT)-associated factors of Snail and Slug on different levels, with SS18::SSX repressing E-Cadherin expression. Published single-cell RNA sequencing data were analyzed to validate our finding that BRD9 contributes to SySa EMT regulation. Our study provides novel insights into the multilayered regulation of key EMT players by SS18::SSX and BRD9 in SySa, thereby defining tumor phenotype and (potentially) prognosis. Full article
Show Figures

Figure 1

25 pages, 684 KB  
Review
The Pathogenesis of the Neurofibroma-to-Sarcoma Transition in Neurofibromatosis Type I: From Molecular Profiles to Diagnostic Applications
by Sabrina Busciglio, Ilenia Rita Cannizzaro, Anita Luberto, Antonietta Taiani, Barbara Moschella, Enrico Ambrosini, Sofia Cesarini, Mirko Treccani, Cinzia Azzoni, Lorena Bottarelli, Domenico Corradi, Vera Uliana, Davide Martorana, Valeria Barili and Antonio Percesepe
Cancers 2025, 17(24), 3955; https://doi.org/10.3390/cancers17243955 - 11 Dec 2025
Viewed by 288
Abstract
Neurofibromatosis type 1 (NF1) predisposes to a spectrum of peripheral nerve sheath tumors, ranging from benign plexiform neurofibromas (PN) to atypical neurofibromatous neoplasms of uncertain biological potential (ANNUBP) and malignant peripheral nerve sheath tumors (MPNST). Tumorigenesis follows a multistep molecular cascade initiated by [...] Read more.
Neurofibromatosis type 1 (NF1) predisposes to a spectrum of peripheral nerve sheath tumors, ranging from benign plexiform neurofibromas (PN) to atypical neurofibromatous neoplasms of uncertain biological potential (ANNUBP) and malignant peripheral nerve sheath tumors (MPNST). Tumorigenesis follows a multistep molecular cascade initiated by biallelic NF1 inactivation, followed by CDKN2A loss and disruption of the Polycomb Repressive Complex 2 (PRC2). These events guide chromatin remodeling, widespread epigenetic dysregulation, and activation of oncogenic pathways such as RAS/MAPK and PI3K/AKT. Here, we integrate genomic, transcriptomic, and epigenomic studies to delineate the molecular trajectories underlying tumor progression and to define promising biomarkers for the early detection of malignant transformation. Emerging liquid biopsy approaches, based on circulating tumor DNA (ctDNA) analyses, reveal distinctive copy number variations (CNVs) and methylation patterns that mirror tissue-derived profiles, enabling the detection of malignant transformation. Together, these findings support a model in which cumulative genetic and epigenetic alterations drive the PN–ANNUBP–MPNST continuum. They also underscore the value of multi-omics and liquid biopsy-based strategies to improve early diagnosis, patient risk stratification, and personalized management of NF1-associated tumors, thereby advancing precision medicine in this complex disease spectrum. Full article
(This article belongs to the Special Issue Neurofibromatosis)
Show Figures

Figure 1

25 pages, 4018 KB  
Article
Promoter Motif Profiling and Binding Site Distribution Analysis of Transcription Factors Predict Auto- and Cross-Regulatory Mechanisms in Arabidopsis Flowering Genes
by Eszter Virág, Beáta B. Tóth, Barbara Kutasy, Ágnes Nagy, Klaudia Pákozdi, József Péter Pallos, Gábor Kardos and Géza Hegedűs
Int. J. Mol. Sci. 2025, 26(22), 11152; https://doi.org/10.3390/ijms262211152 - 18 Nov 2025
Cited by 1 | Viewed by 608
Abstract
The transition to flowering in Arabidopsis thaliana is governed by complex transcriptional regulatory networks, in which promoter-associated cis-regulatory elements integrate both developmental and environmental cues. To investigate these regulatory interactions, we analyzed promoter motifs of 18 flowering-related genes using curated motif resources, [...] Read more.
The transition to flowering in Arabidopsis thaliana is governed by complex transcriptional regulatory networks, in which promoter-associated cis-regulatory elements integrate both developmental and environmental cues. To investigate these regulatory interactions, we analyzed promoter motifs of 18 flowering-related genes using curated motif resources, including the Eukaryotic Promoter Database (EPD) and JASPAR, applying stringent statistical thresholds. Transcription factors (TFs), which were predicted to bind across all examined promoters, were designated as putative master regulators, resulting in the identification of 36 candidates, predominantly belonging to the MADS-box, DOF, and IDD families. Positional analyses revealed both proximal and distal binding sites, including a notable motif at −1024 in PISTILLATA and at +466 in SEPALLATA3, potentially indicative of autoregulatory control. Comparative analysis further identified 96 gene-specific associations, reflecting a balance between shared and specialized regulatory mechanisms. Treatment with β-aminobutyric acid (BABA), which has a flowering delaying effect, repressed SQUAMOSA and increased DOF-type TFs, indicating a chromatin-associated reprogramming process, which may coordinate the transcriptional suppression of flowering activators. These findings refine current models of floral regulatory networks and provide testable hypotheses regarding autoregulatory and cross-regulatory circuits in the control of flower development. Full article
Show Figures

Figure 1

18 pages, 6310 KB  
Article
The Chromatin Remodeler Chd8 Regulates Hematopoietic Stem and Progenitor Cell Survival and Differentiation During Zebrafish Embryogenesis
by Abrar Ahmed, Xiaona Wei, Dan Zhong, Rahat Ullah, Wei Li and Lili Jing
Int. J. Mol. Sci. 2025, 26(21), 10805; https://doi.org/10.3390/ijms262110805 - 6 Nov 2025
Viewed by 571
Abstract
Chromodomain helicase DNA-binding protein 8 (CHD8), a frequently mutated gene in autism spectrum disorder (ASD), is an ATP-dependent chromatin remodeler with emerging roles in hematopoiesis. While CHD8 is known to maintain hematopoietic stem and progenitor cells (HSPCs) in the bone marrow, its function [...] Read more.
Chromodomain helicase DNA-binding protein 8 (CHD8), a frequently mutated gene in autism spectrum disorder (ASD), is an ATP-dependent chromatin remodeler with emerging roles in hematopoiesis. While CHD8 is known to maintain hematopoietic stem and progenitor cells (HSPCs) in the bone marrow, its function during developmental hematopoiesis remains undefined. Here, using a zebrafish model, we demonstrate that chd8 loss severely depletes the HSPC pool in the caudal hematopoietic tissue through a p53-dependent apoptotic mechanism. Furthermore, chd8−/− embryos exhibit a p53-independent expansion of myelopoiesis. chd8 deficiency upregulates brd4, which promotes systemic inflammatory cytokine expression. Inhibiting brd4 alleviates cytokine expression, suppresses excessive myelopoiesis, and restores HSPC development. Our findings reveal a dual regulatory mechanism in which chd8 governs HSPC development by repressing p53-mediated apoptosis and constraining brd4-driven immune cell differentiation. Full article
(This article belongs to the Special Issue Zebrafish as a Model for Biomedical Studies—2nd Edition)
Show Figures

Figure 1

19 pages, 1601 KB  
Review
Long Non-Coding RNAs in the Cold-Stress Response of Horticultural Plants: Molecular Mechanisms and Potential Applications
by Magdalena Wielogórska, Anna Rucińska, Yuliya Kloc and Maja Boczkowska
Int. J. Mol. Sci. 2025, 26(21), 10464; https://doi.org/10.3390/ijms262110464 - 28 Oct 2025
Cited by 1 | Viewed by 607
Abstract
Cold stress reduces horticultural crop yield and postharvest quality by disrupting membrane fluidity, redox equilibrium, and the cell wall structure. This results in chilling injury, tissue softening, and loss of color. Long noncoding RNAs (lncRNAs) have emerged as key integrators of plant cold [...] Read more.
Cold stress reduces horticultural crop yield and postharvest quality by disrupting membrane fluidity, redox equilibrium, and the cell wall structure. This results in chilling injury, tissue softening, and loss of color. Long noncoding RNAs (lncRNAs) have emerged as key integrators of plant cold signaling pathways. LncRNAs mediate the interaction between calcium signaling systems and transcriptional cascades while coordinating hormone signaling networks, including those involving abscisic acid, jasmonic acid, ethylene, salicylic acid, and brassinosteroids. LncRNAs influence gene regulation through chromatin-based guidance, sequestration of repressive complexes, natural antisense transcriptional interference, microRNA-centered competing endogenous RNA networks, and control of RNA splicing, stability, localization, and translation. Studies in horticultural species revealed that cold-responsive lncRNAs regulate processes essential for fruit firmness, antioxidant levels, and shelf-life, including lipid modification, reactive oxygen species balance, and cell wall or cuticle remodeling. This review aims to summarize tissue- and developmental stage-specific expression patterns and highlight experimental approaches to validate RNA function, including gene editing, transcript recovery, advanced sequencing, and analysis of protein-RNA interactions. Integrating these results will facilitate the development of precise molecular markers and nodes of regulatory networks that increase cold tolerance, and improve the quality of horticultural crops. Full article
Show Figures

Figure 1

19 pages, 788 KB  
Review
The Other Side of the Same Coin: Beyond the Coding Region in Amyotrophic Lateral Sclerosis
by Paola Ruffo, Benedetta Perrone, Francesco Perrone, Francesca De Amicis, Rodolfo Iuliano, Cecilia Bucci, Angela Messina and Francesca Luisa Conforti
Pharmaceuticals 2025, 18(10), 1573; https://doi.org/10.3390/ph18101573 - 18 Oct 2025
Viewed by 847
Abstract
Transposable elements (TEs), once regarded as genomic “junk,” are now recognized as powerful regulators of gene expression, genome stability, and innate immunity. In the context of neurodegeneration, particularly Amyotrophic Lateral Sclerosis (ALS), accumulating evidence implicates TEs as active contributors to disease pathogenesis. ALS [...] Read more.
Transposable elements (TEs), once regarded as genomic “junk,” are now recognized as powerful regulators of gene expression, genome stability, and innate immunity. In the context of neurodegeneration, particularly Amyotrophic Lateral Sclerosis (ALS), accumulating evidence implicates TEs as active contributors to disease pathogenesis. ALS is a fatal motor neuron disease with both sporadic and familial forms, linked to genetic, epigenetic, and environmental factors. While coding mutations explain a subset of cases, advances in long-read sequencing and epigenomic profiling have unveiled the profound influence of non-coding regions—especially retrotransposons such as LINE-1, Alu, and SVA—on ALS onset and progression. TEs may act through multiple mechanisms: generating somatic mutations, disrupting chromatin architecture, modulating transcriptional networks, and triggering sterile inflammation via innate immune pathways like cGAS-STING. Their activity is normally repressed by epigenetic regulators, including DNA methylation, histone modifications, and RNA interference pathways; however, these controls are compromised in ALS. Taken together, these insights underscore the translational potential of targeting transposable elements in ALS, both as a source of novel biomarkers for patient stratification and disease monitoring, and as therapeutic targets whose modulation may slow neurodegeneration and inflammation. This review synthesizes the current knowledge of TE biology in ALS; integrates findings across molecular, cellular, and systems levels; and explores the therapeutic potential of targeting TEs as modulators of neurodegeneration. Full article
Show Figures

Graphical abstract

18 pages, 1844 KB  
Article
The Tumor Suppressor p53 Downregulates p107 (RBL1) Through p21–RB/E2F Signaling and Tandem E2F Sites
by Khaled Azzahrani and Faleh Alqahtani
Int. J. Mol. Sci. 2025, 26(20), 9903; https://doi.org/10.3390/ijms26209903 - 11 Oct 2025
Cited by 1 | Viewed by 886
Abstract
RBL1 (p107) is a member of the retinoblastoma (RB) family of pocket proteins involved in cell cycle regulation and E2F transcriptional repression. While its promoter contains conserved E2F motifs, the integrated regulation of RBL1 by upstream tumor suppressor pathways remains incompletely understood. Here, [...] Read more.
RBL1 (p107) is a member of the retinoblastoma (RB) family of pocket proteins involved in cell cycle regulation and E2F transcriptional repression. While its promoter contains conserved E2F motifs, the integrated regulation of RBL1 by upstream tumor suppressor pathways remains incompletely understood. Here, we investigate the p53-dependent transcriptional regulation of RBL1 and dissect the contribution of its tandem E2F binding sites to this mechanism. Luciferase assays in synchronized cells demonstrated that these two conserved E2F sites are required for cell cycle-dependent activation of the RBL1 promoter. Overexpression of p53 showed that p53 represses RBL1 promoter activity in an E2F site-dependent manner. Using HCT116 p21 knockout cells, we revealed that this p53-dependent repression is mediated by p21. Chromatin immunoprecipitation confirmed dynamic in vivo binding of E2F1–3 and E2F4, while DNA pull-down assays revealed specific in vitro recruitment of RB, p107, and E2F1-4 to the two E2F sites, along with weak binding of MuvB components. Additional experiments in RB–/– and LIN37–/– knockouts showed that RB/E2F repressing complex plays the main role in repressing the RBL1 promoter, while E2F4, p107, and p130 can support this effect to a lesser extent. Overall, our findings demonstrate that p53 controls RBL1 expression indirectly through the p21–RB–E2F pathway by utilizing two E2F binding sites within the RBL1 promoter. Full article
Show Figures

Figure 1

16 pages, 2264 KB  
Article
Ezh2 Loss-of-Function Alters Zebrafish Cerebellum Development
by Mariette Hanot, Pamela Völkel, Xuefen Le Bourhis, Chann Lagadec and Pierre-Olivier Angrand
Int. J. Mol. Sci. 2025, 26(19), 9736; https://doi.org/10.3390/ijms26199736 - 7 Oct 2025
Viewed by 884
Abstract
EZH2, the catalytic subunit of polycomb repressive complex 2 (PRC2), plays a critical role in neural development by regulating gene expression through the trimethylation of lysine 27 on histone H3 (H3K27me3), which promotes chromatin remodeling and transcriptional repression. Although PRC2 is known to [...] Read more.
EZH2, the catalytic subunit of polycomb repressive complex 2 (PRC2), plays a critical role in neural development by regulating gene expression through the trimethylation of lysine 27 on histone H3 (H3K27me3), which promotes chromatin remodeling and transcriptional repression. Although PRC2 is known to regulate cell fate specification and gliogenesis, its in vivo functions during vertebrate neurodevelopment, particularly at the level of neuronal subtype differentiation, remain incompletely understood. Here, we investigated the consequences of ezh2 loss-of-function during zebrafish brain development, focusing on oligodendrocyte differentiation, cerebellar neurogenesis, and the formation of neurotransmitter-specific neuronal populations. Using whole-mount in situ hybridization, we found that ezh2 inactivation does not alter the expression of oligodendrocyte lineage markers, indicating that early oligodendrocyte precursor cell specification and myelination are preserved. However, a significant reduction in cerebellar proliferation was observed in ezh2-deficient larvae, as evidenced by the downregulation of pcna and cyclin A2, while other brain regions remained unaffected. Notably, the expression of atoh1c, a key marker of glutamatergic cerebellar progenitors, was strongly reduced at 5 days post fertilization, suggesting a selective role for ezh2 in maintaining cerebellar progenitor identity. This was associated with impaired differentiation of both glutamatergic granule cells and GABAergic Purkinje cells in specific cerebellar subregions. In contrast, the expression of markers for other major neurotransmitter systems remained unaffected, indicating a region-specific requirement for ezh2 in neuronal development. Finally, behavioral analysis revealed a hyperlocomotor phenotype in ezh2−/− larvae, consistent with cerebellar dysfunction. Together, these findings identify ezh2 as a key regulator of progenitor maintenance and neuronal differentiation in the cerebellum, highlighting its crucial role in establishing functional cerebellar circuits. Full article
(This article belongs to the Special Issue Zebrafish as a Model for Biomedical Studies—2nd Edition)
Show Figures

Figure 1

43 pages, 1601 KB  
Review
EZH2 Dysregulation and Its Oncogenic Role in Human Cancers
by Shiv Verma, Nikita Goyal, Suhani Goyal, Parminder Kaur and Sanjay Gupta
Cancers 2025, 17(19), 3111; https://doi.org/10.3390/cancers17193111 - 24 Sep 2025
Cited by 1 | Viewed by 2201
Abstract
Enhancer of Zeste Homolog 2 (EZH2) is a key epigenetic regulator known for its role in global gene silencing and is involved in a variety of cellular processes, including cell survival, proliferation, invasion, and self-renewal. As a core component of the Polycomb Repressive [...] Read more.
Enhancer of Zeste Homolog 2 (EZH2) is a key epigenetic regulator known for its role in global gene silencing and is involved in a variety of cellular processes, including cell survival, proliferation, invasion, and self-renewal. As a core component of the Polycomb Repressive Complex 2 (PRC2), EZH2 catalyzes the trimethylation of histone H3 at lysine 27 (H3K27me3), leading to chromatin compaction and transcriptional repression. Dysregulated EZH2 expression is observed in a wide range of solid tumors and hematological malignancies and is frequently associated with increased metastatic potential and poor clinical outcomes. While EZH2 primarily mediates gene silencing through its canonical PRC2-dependent activity, it also exerts oncogenic effects via non-canonical mechanisms. In its non-canonical role, EZH2 acts independently of PRC2, interacting with other signaling molecules as a transcriptional activator or co-activator, thereby promoting the activation of oncogenic pathways. Through both canonical and non-canonical mechanisms, EZH2 significantly contributes to tumor initiation and its subsequent progression. Given its critical role in oncogenesis and cancer progression, EZH2 is under investigation as a potential biomarker for cancer diagnosis and prognosis. This review provides a comprehensive overview of EZH2’s function and oncogenic roles across human cancers. Enhanced insight into EZH2’s complex regulatory network may facilitate the development of more effective strategies to manage EZH2-driven malignancies. Full article
(This article belongs to the Special Issue Cancer Epigenetic Biomarkers: 2nd Edition)
Show Figures

Figure 1

17 pages, 3984 KB  
Article
PARP1 and PARG Are the Draft Horses for Polycomb-Trithorax Chromatin Regulator Machinery
by Guillaume Bordet and Alexei V. Tulin
Biomolecules 2025, 15(9), 1314; https://doi.org/10.3390/biom15091314 - 12 Sep 2025
Viewed by 909
Abstract
During tissue differentiation, gene expression patterns are committed to the epigenetic cellular memory machinery, including Polycomb and Trithorax groups (PcG and TrxG), which label chromatin with repressive or active histone marks. Histone marks recruit effector proteins that then execute local chromatin repression or [...] Read more.
During tissue differentiation, gene expression patterns are committed to the epigenetic cellular memory machinery, including Polycomb and Trithorax groups (PcG and TrxG), which label chromatin with repressive or active histone marks. Histone marks recruit effector proteins that then execute local chromatin repression or activation. The effectors of TrxG have remained largely unknown. Here we report that the Poly (ADP-ribose) Polymerase 1 (PARP1) and Poly (ADP-ribose) Glycohydrolase (PARG) function as critical effectors of TrxG and PcG, respectively. We found that PARP1 binds TrxG-generated histone marks with high affinity in vitro, completely colocalizing with them genome-wide, and controls the expression of loci modified by TrxG. Conversely, PARG preferentially associates with PcG-occupied loci. We propose a model in which TrxG complexes prime chromatin for PARP1 recruitment, leading to poly (ADP-ribose) generation to maintain an open chromatin state essential for transcription. Full article
(This article belongs to the Section Biological Factors)
Show Figures

Graphical abstract

20 pages, 5539 KB  
Article
Genome-Wide Analysis of the Rice PcG Gene Family and Its Involvement in Salt Response and Development
by Ziang Shi, Jun Cao, Chuheng Li, Jun Liu, Xinlei Yang and Xiliu Cheng
Plants 2025, 14(17), 2805; https://doi.org/10.3390/plants14172805 - 8 Sep 2025
Viewed by 904
Abstract
Polycomb group (PcG) proteins are pivotal in maintaining gene silencing through epigenetic mechanisms, particularly by catalyzing Histone H3 lysine 27 trimethylation (H3K27me3) via the Polycomb Repressive Complex 2 (PRC2) complex. These modifications are crucial for regulating developmental pathways and environmental stress responses in [...] Read more.
Polycomb group (PcG) proteins are pivotal in maintaining gene silencing through epigenetic mechanisms, particularly by catalyzing Histone H3 lysine 27 trimethylation (H3K27me3) via the Polycomb Repressive Complex 2 (PRC2) complex. These modifications are crucial for regulating developmental pathways and environmental stress responses in plants. Despite their importance, the PcG gene family has not been systematically explored in rice (Oryza sativa). In this study, 15 OsPcG genes were identified in the Nipponbare genome, spanning 12 chromosomes and classified into distinct phylogenetic groups. Structural and conserved motif analyses revealed high sequence conservation, while collinearity and Ka/Ks analyses indicated gene family expansion through segmental duplication under purifying selection. Promoter element prediction suggested that many OsPcG genes are responsive to plant hormones and abiotic stress cues. Transcriptome analysis under salt treatment highlighted OsPcG5 as a key salt-responsive gene, with qRT-PCR confirming its dynamic expression. Subcellular localization showed OsPcG5 residing in both the nucleus and plasma membrane, suggesting multifunctional roles. Additionally, overexpression of OsFIE2—a PRC2 component—resulted in elevated H3K27me3 levels and abnormal plant height, linking it to chromatin modification and development. These findings contribute to our understanding of PcG gene functions in rice and offer potential genetic resources for enhancing salt tolerance through epigenetic approaches. Full article
(This article belongs to the Special Issue Cell Physiology and Stress Adaptation of Crops)
Show Figures

Figure 1

15 pages, 3600 KB  
Article
Ago2-Mediated Recruitment of HP1a on Transposable Elements in Drosophila Brain
by Oxana M. Olenkina, Ruslan A. Simonov, Anna Y. Ivannikova, Yuri A. Abramov, Anastasiia L. Sivkina, Sergey V. Ulianov and Yuri Y. Shevelyov
Cells 2025, 14(17), 1361; https://doi.org/10.3390/cells14171361 - 1 Sep 2025
Viewed by 1035
Abstract
In Drosophila gonads, transposable elements (TEs) are repressed by the Piwi-interacting RNA (piRNA) pathway operating both co-transcriptionally and post-transcriptionally. In the non-gonadal tissues, TEs are mainly repressed by the short interfering RNA (siRNA) pathway with Argonaute 2 (Ago2) functioning as an effector protein. [...] Read more.
In Drosophila gonads, transposable elements (TEs) are repressed by the Piwi-interacting RNA (piRNA) pathway operating both co-transcriptionally and post-transcriptionally. In the non-gonadal tissues, TEs are mainly repressed by the short interfering RNA (siRNA) pathway with Argonaute 2 (Ago2) functioning as an effector protein. It is generally assumed that this pathway acts at the post-transcriptional level. However, recent data point to its possible involvement in co-transcriptional silencing as well. Here, using DamID, we found a drastic decrease in HP1a on TEs (especially on the LTR-containing retrotransposons) and other heterochromatin regions in Ago2-mutant Drosophila brain. HP1a reduction is accompanied by the increased chromatin accessibility of TEs, indicating their derepression. Accordingly, several LTR-containing retrotransposons were up-regulated in the larval brain of Ago2 mutants. Moreover, upon the knock-down of lamin Dm0 in neurons, HP1a was increased predominantly on the same set of TEs that had reduced HP1a binding in Ago2 mutants. We hypothesize that, since Ago2 was localized to the common complex with lamin Dm0, the depletion of the latter may release Ago2 in the nucleoplasm, thus enhancing the recruitment of HP1a on TEs. Our findings support the hypothesis that TEs in the Drosophila brain are silenced, in part, through Ago2-mediated recruitment of HP1a. Full article
Show Figures

Figure 1

25 pages, 1496 KB  
Review
Unraveling the Epigenetic Landscape of Mature B Cell Neoplasia: Mechanisms, Biomarkers, and Therapeutic Opportunities
by Nawar Maher, Francesca Maiellaro, Joseph Ghanej, Silvia Rasi, Riccardo Moia and Gianluca Gaidano
Int. J. Mol. Sci. 2025, 26(17), 8132; https://doi.org/10.3390/ijms26178132 - 22 Aug 2025
Cited by 3 | Viewed by 1600
Abstract
Epigenetic regulation is critical to B cell development, guiding gene expression via DNA methylation, histone modifications, chromatin remodeling, and noncoding RNAs. In mature B cell neoplasms, particularly diffuse large B cell lymphoma (DLBCL), follicular lymphoma (FL), and chronic lymphocytic leukemia (CLL), these mechanisms [...] Read more.
Epigenetic regulation is critical to B cell development, guiding gene expression via DNA methylation, histone modifications, chromatin remodeling, and noncoding RNAs. In mature B cell neoplasms, particularly diffuse large B cell lymphoma (DLBCL), follicular lymphoma (FL), and chronic lymphocytic leukemia (CLL), these mechanisms are frequently disrupted. Recurrent mutations in key epigenetic regulators such as EZH2, KMT2D, CREBBP, and TET2 lead to altered chromatin states, repression of tumor suppressor genes, and enhanced oncogenic signaling. Dysregulation of specific microRNAs (e.g., miR-155, miR-21) further contributes to pathogenesis and therapeutic resistance. In DLBCL, hypermethylation of SMAD1 and CREBBP mutations are associated with immune evasion and chemoresistance. In FL, EZH2 gain-of-function and KMT2D loss-of-function mutations alter germinal center B cell programming, while in CLL, DNA hypomethylation patterns reflect the cell of origin and correlate with clinical outcome. Targeted therapies such as the EZH2 inhibitor tazemetostat have demonstrated efficacy in EZH2-mutant FL, while HDAC and BET inhibitors show variable responses across B cell malignancies. The limitations of current epigenetic therapies reflect the complexity of targeting epigenetic dysregulation rather than therapeutic futility. These challenges nonetheless highlight the relevance of epigenetic alterations as biomarkers and therapeutic targets, with potential to improve the management of mature B cell neoplasms. Full article
(This article belongs to the Special Issue Leukemia and Lymphoma: A Focus on Molecular Genetics Research)
Show Figures

Figure 1

34 pages, 1544 KB  
Review
Epigenetic Regulation in Ischemic Neuroprotection: The Dual Role of HDACs and HATs in Neuroinflammation and Recovery
by Malwina Lisek, Natalia Bochenska, Julia Tomczak, Julia Duraj and Tomasz Boczek
Antioxidants 2025, 14(8), 1015; https://doi.org/10.3390/antiox14081015 - 19 Aug 2025
Cited by 2 | Viewed by 2561
Abstract
Ischemic brain and retinal injuries trigger complex molecular cascades involving neuroinflammation, oxidative stress, and neuronal death. Among these mechanisms, epigenetic regulation has emerged as a critical modulator of the injury response. Histone deacetylases (HDACs) and histone acetyltransferases (HATs) dynamically control gene expression by [...] Read more.
Ischemic brain and retinal injuries trigger complex molecular cascades involving neuroinflammation, oxidative stress, and neuronal death. Among these mechanisms, epigenetic regulation has emerged as a critical modulator of the injury response. Histone deacetylases (HDACs) and histone acetyltransferases (HATs) dynamically control gene expression by altering chromatin structure. HDACs often promote neuroinflammation and neuronal apoptosis through repression of neuroprotective and anti-inflammatory genes, while HATs generally enhance the transcription of genes involved in cell survival and repair. In ischemia, specific HDAC isoforms (e.g., HDAC1, HDAC2, HDAC3, and HDAC6) have been implicated in microglial activation, glial reactivity, and disruption of immune balance. Conversely, HATs such as CBP/p300 and Tip60 contribute to neuronal resilience and immune regulation. Understanding the dual and context-dependent roles of these epigenetic enzymes offers promising therapeutic avenues. Selective HDAC inhibitors or HAT activators may represent novel strategies to mitigate ischemic damage, support neuroprotection, and facilitate functional recovery. Full article
(This article belongs to the Special Issue Oxidative Stress in Brain Function—2nd Edition)
Show Figures

Figure 1

15 pages, 5043 KB  
Article
Drosophila COMPASS Complex Subunits Set1 and Ash2 Are Required for Oocyte Determination and Maintenance of the Synaptonemal Complex
by Brigite Cabrita, Mary Enyioko and Rui Gonçalo Martinho
J. Dev. Biol. 2025, 13(3), 30; https://doi.org/10.3390/jdb13030030 - 19 Aug 2025
Viewed by 1256
Abstract
Female gametogenesis is orchestrated by dynamic epigenetic modifications. In mammals, SETDB1, a histone H3K9 methyltransferase, is required for proper meiotic progression and early embryonic development. In Drosophila, the ortholog of SETDB1 plays a critical role in germ cell differentiation, transposon silencing, and [...] Read more.
Female gametogenesis is orchestrated by dynamic epigenetic modifications. In mammals, SETDB1, a histone H3K9 methyltransferase, is required for proper meiotic progression and early embryonic development. In Drosophila, the ortholog of SETDB1 plays a critical role in germ cell differentiation, transposon silencing, and the transcriptional repression of specific germline genes during oocyte fate determination. Moreover, Polycomb group (PcG) proteins in both mammals and Drosophila are essential for primary oocyte viability and meiosis, functioning through the silencing of early prophase I genes during later stages of prophase. While the repressive roles of epigenetic regulators in both Drosophila and mammalian oogenesis are well characterized, the functions of epigenetic activators remain less defined. Gene expression is controlled by the opposing activities of PcG and Trithorax group (TrxG) proteins, with the latter constituting a diverse family of chromatin remodelling factors that include H3K4 methyltransferases. In Drosophila, SET domain containing 1 (Set1)—the ortholog of mammalian SETD1A/B—acts as the primary regulator of global H3K4me2/3 levels. Set1 is critical for germline stem cell (GSC) self-renewal, functioning through both cell-autonomous and non-cell-autonomous mechanisms, with its depletion in the germline resulting in a progressive loss of GSC. More recently, Set1 has been implicated in germline cyst differentiation, although the mechanisms underlying this role remain poorly understood due to the complexity of the observed phenotypes. To investigate this, we analyzed ovaries from recently eclosed females in which Set1 and its highly conserved COMPASS partner, absent, small, or homeotic discs 2 (Ash2), were depleted—thus minimizing the confounding effects from GSC loss. We observed striking defects in both oocyte determination and Synaptonemal Complex (SC) integrity in one- to two-day-old females, within otherwise normal egg chambers. Interestingly, while defects in oocyte fate and oocyte–chromatin architecture were partially recovered in older egg chambers, SC integrity remained compromised. These findings suggest a critical window for SC assembly during germline cyst differentiation, after which this assembly cannot occur. Full article
(This article belongs to the Special Issue Feature Papers in Journal of Developmental Biology 2025)
Show Figures

Figure 1

Back to TopTop