Sign in to use this feature.

Years

Between: -

Subjects

remove_circle_outline
remove_circle_outline
remove_circle_outline
remove_circle_outline
remove_circle_outline
remove_circle_outline
remove_circle_outline
remove_circle_outline
remove_circle_outline

Journals

remove_circle_outline
remove_circle_outline
remove_circle_outline
remove_circle_outline
remove_circle_outline
remove_circle_outline
remove_circle_outline
remove_circle_outline
remove_circle_outline
remove_circle_outline
remove_circle_outline
remove_circle_outline

Article Types

Countries / Regions

remove_circle_outline
remove_circle_outline
remove_circle_outline
remove_circle_outline
remove_circle_outline

Search Results (1,387)

Search Parameters:
Keywords = apolipoprotein-E

Order results
Result details
Results per page
Select all
Export citation of selected articles as:
16 pages, 539 KB  
Article
Population Admixture and APOB Variant Landscape in Ecuadorian Mestizo Patients with Cardiac Diseases: Potential Implications for Familial Hypercholesterolemia Genetics
by Santiago Cadena-Ullauri, Patricia Guevara-Ramírez, Viviana A. Ruiz-Pozo, Rafael Tamayo-Trujillo, Elius Paz-Cruz, Manuel Becerra-Fernández, Nieves Doménech, José Luis Laso-Bayas, Rita Ibarra-Castillo, Alejandro Cabrera-Andrade and Ana Karina Zambrano
J. Cardiovasc. Dev. Dis. 2026, 13(1), 36; https://doi.org/10.3390/jcdd13010036 - 8 Jan 2026
Viewed by 64
Abstract
Apolipoprotein B (APOB) is a key structural component of atherogenic lipoproteins and one of the principal genes implicated in familial hypercholesterolemia (FH). However, APOB genetic variation remains poorly characterized in Latin American and admixed populations. In this study, we performed a descriptive analysis [...] Read more.
Apolipoprotein B (APOB) is a key structural component of atherogenic lipoproteins and one of the principal genes implicated in familial hypercholesterolemia (FH). However, APOB genetic variation remains poorly characterized in Latin American and admixed populations. In this study, we performed a descriptive analysis of APOB variants in 60 Ecuadorian mestizo patients with inherited cardiac conditions using next-generation sequencing (NGS) and genetic ancestry inference. A total of 227 APOB variants were identified, the majority of which were classified as benign (n = 220) or likely benign (n = 3) according to ACMG criteria, while three variants were classified as variants of uncertain significance (VUS). The most frequently observed variants included rs1042034, rs679899, rs676210, and rs1367117. Comparative allele-frequency analyses using ALFA and PAGE Latin American reference datasets demonstrated that the APOB variant frequencies observed in the cohort were comparable to those reported in other Latin American populations, reflecting the admixed genetic background of Ecuadorian mestizos, predominantly of Native American and European ancestry. No pathogenic APOB variants were detected. Although lipid measurements were not available and genotype–phenotype associations could not be assessed, this study provides the first comprehensive overview of APOB variation in Ecuadorian mestizo individuals. These findings expand population-specific genomic data for an underrepresented group and underscore the importance of regional reference datasets for accurate variant interpretation in admixed populations. Full article
(This article belongs to the Special Issue Cardiovascular Disease in Patients with Familial Hypercholesterolemia)
10 pages, 772 KB  
Article
Lipoprotein Lipase Genetic Variants rs258 and rs326 Differentially Affect Lipid Profiles and Leptin Levels in Prepubertal Spanish Caucasian Children
by Olga Pomares, Iris Pérez-Nadador, Francisco J. Mejorado-Molano, Alejandro Parra-Rodríguez, Leandro Soriano-Guillén and Carmen Garcés
J. Clin. Med. 2026, 15(2), 493; https://doi.org/10.3390/jcm15020493 - 8 Jan 2026
Viewed by 62
Abstract
Background/Objectives: Variants in the lipoprotein lipase (LPL) gene have been associated with lipid level variability and obesity; however, their role in energy homeostasis remains unclear. The aim of this study was to investigate the association of LPL single-nucleotide variants (SNVs) with [...] Read more.
Background/Objectives: Variants in the lipoprotein lipase (LPL) gene have been associated with lipid level variability and obesity; however, their role in energy homeostasis remains unclear. The aim of this study was to investigate the association of LPL single-nucleotide variants (SNVs) with lipid parameters and leptin concentrations in a cohort of prepubertal children. The sample population comprised 635 boys and 631 girls, with available information on lipid profiles and leptin levels. Methods: Five LPL SNVs (rs258, rs316, rs326, rs320, and rs328) were genotyped by Real-Time PCR using predesigned TaqMan™ Genotyping Assays. Results: An association of the LPL SNV rs258 was found with non-esterified fatty acid (NEFA) levels in males and with leptin concentrations in both sexes. On the other hand, an association of the LPL SNV rs326 was observed with low-density lipoprotein cholesterol (LDL-C) and apolipoprotein B (Apo-B) levels, displaying opposite trends in males and females. No significant associations with any of the parameters under study were observed for the remaining LPL SNVs. Conclusions: These results suggest that functional differences among LPL SNVs may either be related to an enhancement of catalytic activity or modulation of lipoprotein binding affinity, influencing the efficiency of remnant lipoprotein clearance. Full article
(This article belongs to the Section Clinical Pediatrics)
Show Figures

Figure 1

19 pages, 1332 KB  
Article
Association of Hyperbilirubinemia with Lipid Profile and Lipid-Related Diseases: A Large Community-Based Cohort Study
by Borong Yu, Yuhe Liu, Wenqian Wu, Yong Zhou, Dan Han and Yuanwen Chen
J. Clin. Med. 2026, 15(2), 455; https://doi.org/10.3390/jcm15020455 - 7 Jan 2026
Viewed by 101
Abstract
Objectives: Emerging evidence suggests that bilirubin, beyond being a metabolic byproduct, may exert protective effects against metabolic and cardiovascular diseases due to its antioxidant properties. However, its relationship with hyperlipidemia remains unclear. This study investigated the relationship between hyperbilirubinemia and hyperlipidemia in a [...] Read more.
Objectives: Emerging evidence suggests that bilirubin, beyond being a metabolic byproduct, may exert protective effects against metabolic and cardiovascular diseases due to its antioxidant properties. However, its relationship with hyperlipidemia remains unclear. This study investigated the relationship between hyperbilirubinemia and hyperlipidemia in a large, community-based cohort. Methods: Data from 8464 participants in the Jidong Community Cohort were analyzed using a cross-sectional design. Hyperbilirubinemia was defined as serum total bilirubin (STB) ≥ 17.1 μmol/L, whereas hyperlipidemia was determined based on a prior diagnosis or elevated lipid profile. Results: Of all participants, 31.6% had hyperbilirubinemia and 51.8% had hyperlipidemia. Multivariable logistic regression revealed a significant inverse association between hyperbilirubinemia and hyperlipidemia [odds ratio (OR) = 0.764, 95% confidence interval (CI) = 0.686–0.851]. This association was significant in participants aged <65 years (OR = 0.762, p < 0.0001) but not in those aged ≥65 years. Stratified analysis by smoking status further revealed a 29% reduced risk of hyperlipidemia among never-smokers (OR = 0.708, p < 0.001), but not among current (OR = 0.831, p = 0.087) or former smokers (OR = 0.685, p = 0.175). Hyperbilirubinemia was also negatively associated with TC (p < 0.0001), TGs (p < 0.0001), LDL-C (p = 0.0061), very LDL-C (VLDL-C; p = 0.0043), and apolipoprotein B (ApoB; p < 0.0001) levels, as well as the ApoB/apolipoprotein A1 (ApoA1) ratio (p = 0.0003). Restricted cubic spline analysis revealed an inverse relationship of high STB levels with the TC, TG, LDL-C, VLDL-C, and ApoB levels, as well as the ApoB/ApoA1 ratio. Moreover, elevated STB levels were inversely linked to obesity (OR = 0.747, p < 0.0001), arterial stenosis (OR = 0.806, p = 0.0462), and metabolic syndrome (OR = 0.784, p = 0.0008). Conclusions: hyperbilirubinemia may be an independent factor protective against hyperlipidemia and related lipid abnormalities; these results provide insights for the prevention and management of lipid-related diseases. Full article
(This article belongs to the Section Cardiovascular Medicine)
Show Figures

Figure 1

13 pages, 528 KB  
Article
Very-Low-Density Lipoproteins Quantity but Not Composition Is Altered in Normotriglyceridemic Subjects with Elevated Lipoprotein (a) Level
by Ewa Wieczorek-Breitzke, Martyna Feliksiak, Agnieszka Kuchta, Maciej Jankowski and Agnieszka Ćwiklińska
Int. J. Mol. Sci. 2026, 27(2), 556; https://doi.org/10.3390/ijms27020556 - 6 Jan 2026
Viewed by 141
Abstract
Cardiovascular disease (CVD) is influenced by disturbances in lipoprotein composition and metabolism, including triglyceride-rich lipoproteins (TRLs) and elevated lipoprotein (a) (Lp(a)). While interactions between Lp(a) and very-low-density lipoproteins (VLDL) have been studied in hypertriglyceridemic and CVD populations, data in normotriglyceridemic individuals without CV [...] Read more.
Cardiovascular disease (CVD) is influenced by disturbances in lipoprotein composition and metabolism, including triglyceride-rich lipoproteins (TRLs) and elevated lipoprotein (a) (Lp(a)). While interactions between Lp(a) and very-low-density lipoproteins (VLDL) have been studied in hypertriglyceridemic and CVD populations, data in normotriglyceridemic individuals without CV events are limited. Seventy normotriglyceridemic adults with triglycerides < 150 mg/dL and no CV events were enrolled and divided into two groups based on Lp(a) concentration: <30 mg/dL and ≥30 mg/dL. VLDL was isolated by ultracentrifugation, and concentrations of Lp(a), lipids (triglycerides, cholesterol), and apolipoproteins (apo B, apo C-II, apo C-III, apo E) were measured in serum and VLDL. Serum lipid and apolipoprotein concentrations did not differ between the groups. Individuals with Lp(a) ≥ 30 mg/dL had significantly higher VLDL concentrations of triglycerides (+71%), cholesterol (+54%), apo B (+28%), apo C-II (+36%), and apo C-III (+33%). Ratios of lipids and apolipoproteins to apo B indicated unchanged VLDL particle composition, suggesting that differences reflected increased particle number rather than altered composition. In normotriglyceridemic subjects with Lp(a) ≥ 30 mg/dL, VLDL particles are more abundant but compositionally unchanged. Redistribution of lipids and apolipoproteins toward VLDL may contribute to VLDL residual cardiovascular risk, underscoring the need for further studies on VLDL-Lp(a) interactions. Full article
(This article belongs to the Special Issue Lipid Metabolism in Human Health and Diseases)
Show Figures

Figure 1

15 pages, 822 KB  
Article
Distribution of ApoE Gene Polymorphism and Its Association with the Lipid Profile Among Type 2 Diabetes Mellitus Black South Africans
by Siphesihle Mkhwanazi, Tumelo Jessica Mapheto, Honey Bridget Mkhondo, Olebogeng Harold Majane, Sechene Stanley Gololo and Mashudu Nemukula
Diabetology 2026, 7(1), 8; https://doi.org/10.3390/diabetology7010008 - 4 Jan 2026
Viewed by 179
Abstract
Background: ApoE is a major regulator of lipid metabolism and glycaemic control. The aim of the current study is to investigate the ApoE gene polymorphisms among Black South Africans with and without type 2 diabetes mellitus (T2DM) and associate them with their [...] Read more.
Background: ApoE is a major regulator of lipid metabolism and glycaemic control. The aim of the current study is to investigate the ApoE gene polymorphisms among Black South Africans with and without type 2 diabetes mellitus (T2DM) and associate them with their lipid profile. Methods: A cross-sectional case–control study was conducted among 107 participants, divided into two groups: patients with T2DM (n = 65) and non-diabetic controls (n = 42). Blood samples were collected for analysis of glycated haemoglobin, lipid profile, nitric oxide, high-sensitivity C-reactive protein and DNA genotyping using the MALDI-TOF. Continuous variables were analysed using Student’s t-test or one-way analysis of variance (ANOVA). Genotype and allele frequencies were compared using Fisher’s exact tests. Results: The ApoE3 allele was the most prevalent among both groups, observed in 55.47% in T2DM patients and 52.38% in the non-diabetic group, followed by E4 and E2. HWE analysis revealed a deviation from equilibrium [χ2 (3) = 9.137, p = 0.0275]. TG levels differed significantly across ApoE alleles (F = 3.68, p = 0.03), with higher TG concentrations observed among E3 allele carriers and E4 allele carriers. Poor glycaemic control (HbA1c ≥ 7.0%) predominated across all ApoE alleles. Among E3 allele carriers, 75.0% of participants exhibited poor glycaemic control, whereas only 25.0% achieved good glycaemic control (p = 0.002). Conclusions: ApoE polymorphisms are associated with allele-specific heterogeneity in lipid metabolism and glycaemic control among individuals with T2DM, underscoring the complex, context-dependent role of genetic variation in metabolic dysregulation within African populations. Full article
Show Figures

Figure 1

21 pages, 3189 KB  
Article
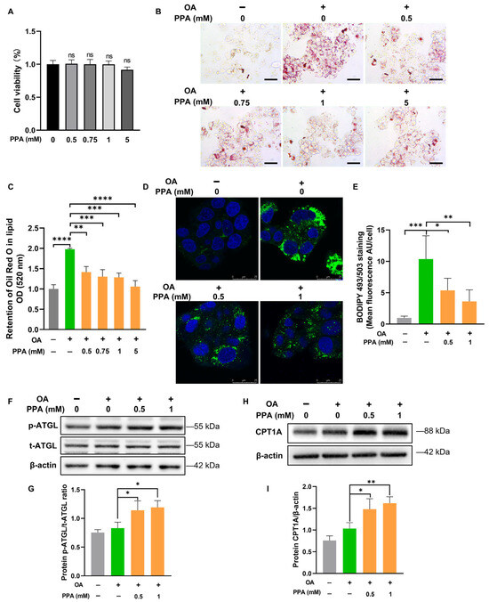
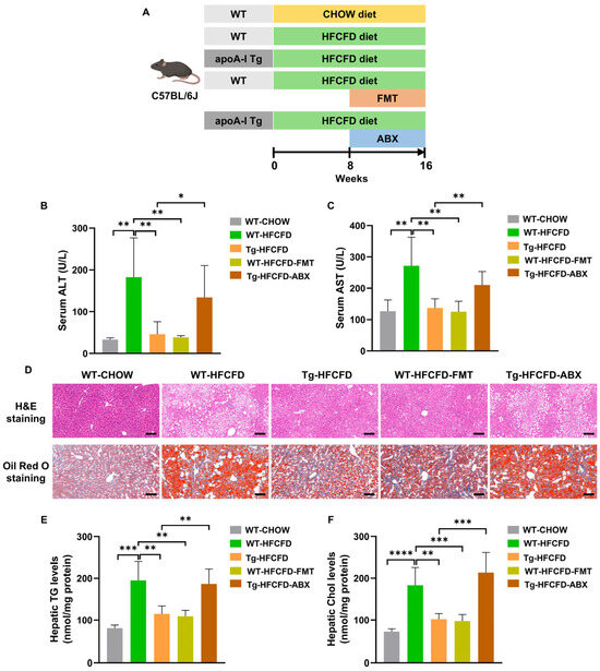
Gut Microbiota-Derived Propionic Acid Mediates ApoA-I-Induced Amelioration of MASLD via Activation of GPR43–Ca2+–CAMKII–ATGL Hepatic Lipolysis
by Mengyuan Liu, Yutong Wang and Haixia Huang
Int. J. Mol. Sci. 2026, 27(1), 468; https://doi.org/10.3390/ijms27010468 - 1 Jan 2026
Viewed by 243
Abstract
Metabolic dysfunction-associated steatotic liver disease (MASLD) is a widespread hepatic condition characterised by hepatic lipid accumulation and inflammation. Emerging research highlights the contribution of the intestinal microbiota and its metabolic byproducts to the pathogenesis of MASLD through the gut–liver axis. Apolipoprotein A-I (apoA-I), [...] Read more.
Metabolic dysfunction-associated steatotic liver disease (MASLD) is a widespread hepatic condition characterised by hepatic lipid accumulation and inflammation. Emerging research highlights the contribution of the intestinal microbiota and its metabolic byproducts to the pathogenesis of MASLD through the gut–liver axis. Apolipoprotein A-I (apoA-I), the principal structural component of high-density lipoprotein (HDL), is linked to various metabolic disorders; however, its function in MASLD has not yet been clearly elucidated. This study sought to examine whether apoA-I protects against MASLD, with a focus on the possible role of the gut microbiota and propionic acid (PPA). The contribution of the gut microbiota was evaluated using faecal microbiota transplantation (FMT) and antibiotic cocktail (ABX)-mediated depletion. Microbial composition was assessed via 16S rRNA sequencing, and concentrations of short-chain fatty acids (SCFAs) were quantified. The effects of PPA on MASLD were examined using in vivo and in vitro models. The results showed that apoA-I overexpression alleviated MASLD in a gut microbiota-dependent manner, restored microbial homeostasis, and elevated PPA levels. PPA supplementation improved MASLD phenotypes. Mechanistically, PPA treatment was associated with the activation of the GPR43–Ca2+–CAMKII–ATGL pathway, suggesting that PPA plays a role in stimulating hepatic lipolysis and enhancing mitochondrial β-oxidation. These findings reveal a novel pathway through which apoA-I ameliorates MASLD by modulating the gut microbiota and increasing PPA levels, which activate a hepatic lipolysis cascade. The apoA-I–microbiota–PPA axis represents a promising therapeutic target for MASLD intervention. Full article
(This article belongs to the Special Issue Gut Microbiome Stability in Health and Disease)
Show Figures

Figure 1

19 pages, 3288 KB  
Article
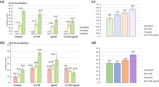
Recombinant G-CSF-ApoAI Fusion Protein Is a Pleiotropic Factor
by Svetlana Miroshnichenko, Mariya Pykhtina, Kirill Mosalev and Anatoly Beklemishev
Molecules 2026, 31(1), 119; https://doi.org/10.3390/molecules31010119 - 29 Dec 2025
Viewed by 132
Abstract
In this study, we report the development of a recombinant human G-CSF fused with apolipoprotein A-I. The chimeric protein was expressed in Pichia pastoris. Using human bone marrow cells, the fusion protein was shown to retain the granulocyte activity of authentic G-CSF, [...] Read more.
In this study, we report the development of a recombinant human G-CSF fused with apolipoprotein A-I. The chimeric protein was expressed in Pichia pastoris. Using human bone marrow cells, the fusion protein was shown to retain the granulocyte activity of authentic G-CSF, more effectively inducing the differentiation and maturation of segmented neutrophils and maintaining the viability of progenitor cells. Using human mononuclear cells and THP cells, the resulting protein demonstrated monocytic activity, manifested by an increase in both total and CD14+ cell counts. By maintaining cell viability, the chimeric protein reduced the number of cells expressing caspase 3/7. G-CSF-ApoAI demonstrated accelerated cytokine regulation, promoting a more rapid transition of inflammation phases, accompanied by increased phagocytosis of latex particles, compared with G-CSF, increasing phagocytosis by 1.4-fold in the LPS-induced inflammation model. This suggests that this new pleotropic factor may be useful for pathogen clearance in infected wounds. Full article
Show Figures

Figure 1

25 pages, 7503 KB  
Article
Naringin Mitigates PEDV-Induced Intestinal Damage in Suckling Piglets by Modulating Inflammatory, Antiviral, and Metabolic and Transport Pathways
by Yanyan Zhang, Muzi Li, Zongyun Li, Zhonghua Li, Lei Wang, Di Zhao, Tao Wu, Dan Yi and Yongqing Hou
Biomolecules 2026, 16(1), 48; https://doi.org/10.3390/biom16010048 - 28 Dec 2025
Viewed by 303
Abstract
This study evaluated the protective effects of naringin (NG) against intestinal injury in 7-day-old piglets infected with porcine epidemic diarrhea virus (PEDV). Eighteen piglets (Duroc × Landrace × Large, body weight = 2.58 ± 0.05 kg) were divided into three treatment groups based [...] Read more.
This study evaluated the protective effects of naringin (NG) against intestinal injury in 7-day-old piglets infected with porcine epidemic diarrhea virus (PEDV). Eighteen piglets (Duroc × Landrace × Large, body weight = 2.58 ± 0.05 kg) were divided into three treatment groups based on similar body weights and equal numbers of males and females: the blank control group (CON group), the PEDV infection group (PEDV group), and the NG intervention + PEDV infection group (NG + PEDV group) (n = 6 per group). The experiment lasted for 11 days, comprising a pre-feeding period from days 0 to 3 and a formal experimental period from days 4 to 10. On days 4–10 of the experiment, piglets in the NG + PEDV group were orally administered NG (10 mg/kg). On Day 8 of the experiment, piglets in the PEDV and NG + PEDV groups were inoculated with PEDV (3 mL, 106 50% tissue culture infective dose (TCID50) per milliliter). On day 11 of the experiment, piglets were euthanized for sample collection. PEDV infection caused significant intestinal damage, including a decreased (p < 0.05) villus height in the duodenum and ileum and an increased (p < 0.05) crypt depth in all intestinal segments. This intestinal damage was accompanied by an impaired absorptive function, as indicated by reduced (p < 0.05) serum D-xylose. Further results showed that PEDV compromised the intestinal antioxidant capacity by decreasing (p < 0.05) glutathione peroxidase and catalase activities, and it stimulated the intestinal inflammatory response by upregulating (p < 0.05) the expression of key inflammatory genes, including regenerating family member 3 gamma (REG3G; duodenum, jejunum, colon), S100 calcium binding protein A9 (S100A9; ileum, colon), interleukin 1 beta (IL-1β; ileum, colon), and S100 calcium binding protein A8 (S100A8; colon). PEDV also suppressed the intestinal lipid metabolism pathway by downregulating (p < 0.05) the ileal expression of Solute Carrier Family 27 Member 4 (SLC27A4), Microsomal Triglyceride Transfer Protein (MTTP), Apolipoprotein A4 (APOA4), Apolipoprotein C3 (APOC3), Diacylglycerol O-Acyltransferase 1 (DGAT1), and Cytochrome P450 Family 2 Subfamily J Member 34 (CYP2J34). Moreover, PEDV suppressed the intestinal antiviral ability by downregulating (p < 0.05) interferon (IFN) signaling pathway genes, including MX dynamin like GTPase 1 (MX1) and ISG15 ubiquitin like modifier (ISG15) in the duodenum; weakened intestinal water and ion transport by downregulating (p < 0.05) aquaporin 10 (AQP10) and potassium inwardly rectifying channel subfamily J member 13 (KCNJ13) in the duodenum, aquaporin 7 (AQP7) and transient receptor potential cation channel subfamily V member 6 (TRPV6) in the ileum, and TRPV6 and transient receptor potential cation channel subfamily M member 6 (TRPM6) in the colon; and inhibited intestinal digestive and absorptive function by downregulating (p < 0.05) phosphoenolpyruvate carboxykinase 1 (PCK1) in the duodenum and sucrase-isomaltase (SI) in the ileum. Notably, NG effectively counteracted these detrimental effects. Moreover, NG activated the IFN signaling pathway in the jejunum and suppressed PEDV replication in the colon. In conclusion, NG alleviates PEDV-induced intestinal injury by enhancing the antioxidant capacity, suppressing inflammation, normalizing the expression of metabolic and transport genes, and improving the antiviral ability. Full article
(This article belongs to the Section Natural and Bio-derived Molecules)
Show Figures

Figure 1

17 pages, 895 KB  
Article
Alterations of Apolipoprotein A1, E, and J Genes in the Frontal Cortex in an Ischemic Model of Alzheimer’s Disease with 2-Year Survival
by Ryszard Pluta, Marzena Ułamek-Kozioł, Janusz Kocki, Anna Bogucka-Kocka, Jacek Bogucki and Stanisław J. Czuczwar
Int. J. Mol. Sci. 2026, 27(1), 326; https://doi.org/10.3390/ijms27010326 - 28 Dec 2025
Viewed by 184
Abstract
In this article, we present genetic studies of apolipoproteins associated with Alzheimer’s disease in the frontal cortex after ischemia and discuss their involvement in the development of neurodegeneration. Gene expression was assessed using an RT-PCR protocol at 2, 7, and 30 days and [...] Read more.
In this article, we present genetic studies of apolipoproteins associated with Alzheimer’s disease in the frontal cortex after ischemia and discuss their involvement in the development of neurodegeneration. Gene expression was assessed using an RT-PCR protocol at 2, 7, and 30 days and at 6, 12, 18, and 24 months after an episode of 10 min total cerebral ischemia. ApoA1 expression (encoding apolipoprotein A1) in the ischemic frontal cortex was lower than control values after 2 days, 6 and 12 months, while its overexpression was observed after 7 and 30 days and 18 and 24 months. In the case of ApoE (encoding apolipoprotein E) expression, it was lower than control values after 2 and 30 days and after 6 months; in the remaining periods after ischemia, the expression was above control values. A similar expression pattern after ischemia was revealed for ApoJ (encoding apolipoprotein J). The data indicate that the observed changes in gene expression may reflect the activation and inhibition of various pathological processes involved in the development of post-ischemia neurodegeneration. Thus, overexpression of ApoA1 may be associated with the induction of neuroprotective mechanisms, whereas increased expression of ApoE may have harmful effects. Regarding the overexpression of ApoJ, the data indicate a dual behavior: in the early stages after ischemia, it has a protective effect, whereas in the later stages, it participates in the progression of neurodegenerative processes. Full article
(This article belongs to the Special Issue Brain Ischemia: From Molecular Mechanisms to Innovative Therapies)
Show Figures

Figure 1

21 pages, 1398 KB  
Article
Interplay Between 3D Chromatin Architecture and Gene Regulation at the APOE Locus Contributes to Alzheimer’s Disease Risk
by Eun-Gyung Lee, Lesley Leong, Sunny Chen, Jessica Tulloch and Chang-En Yu
Int. J. Mol. Sci. 2026, 27(1), 302; https://doi.org/10.3390/ijms27010302 - 27 Dec 2025
Viewed by 219
Abstract
The ε4 allele of the apolipoprotein E (APOE) gene strongly increases Alzheimer’s disease (AD) risk, though its molecular mechanisms remain unclear. AD-associated genetic signals also extend to neighboring genes TOMM40 and APOC1, suggesting a complex cis-regulatory landscape. To investigate chromatin [...] Read more.
The ε4 allele of the apolipoprotein E (APOE) gene strongly increases Alzheimer’s disease (AD) risk, though its molecular mechanisms remain unclear. AD-associated genetic signals also extend to neighboring genes TOMM40 and APOC1, suggesting a complex cis-regulatory landscape. To investigate chromatin architecture and its impact on gene regulation across this region, we performed chromosome conformation capture in human cell lines and postmortem brain tissues, consistently identifying TOMM40APOE and APOEAPOC1 interactions. We further developed a digital PCR assay to quantify APOEAPOC1 interaction strength and measured APOC1 mRNA via RT-qPCR. Enhanced chromatin interaction correlated with elevated APOC1 transcription in AD specimens. Genotypic analysis showed that ε3/ε4 carriers had strong chromatin interaction and transcriptional activation, whereas ε4/ε4 homozygotes exhibited minimal chromatin remodeling despite similar APOC1 expression, suggesting a decoupling of chromatin architecture and transcriptional output. These findings underscore the interplay of AD status, APOE genotype, and locus-specific chromatin dynamics in disease susceptibility. Integration of 3D genome topology with transcriptomic profiling offers a framework to study APOE-related disorders and supports broader application across neurodegenerative loci for genotype-guided therapy development. Full article
(This article belongs to the Special Issue Latest Research in Alzheimer’s Disease)
Show Figures

Graphical abstract

11 pages, 240 KB  
Review
Lp(a) in the Horizon of Diagnostics and Therapy
by Pietro Formisano, Elena Vianello, Elena Dozio, Lorenza Tacchini, Luigina Romani, Luigi Frati, Francesco Curcio, Marina Maria Bellet and Massimiliano Marco Corsi-Romanelli
Int. J. Mol. Sci. 2026, 27(1), 290; https://doi.org/10.3390/ijms27010290 - 27 Dec 2025
Viewed by 348
Abstract
Low-density lipoprotein cholesterol (LDL-C) has traditionally been the primary biomarker used to assess cardiovascular risk. However, a substantial proportion of cardiovascular events occur in individuals with LDL-C levels within the normal range, highlighting the need for additional risk markers. Lipoprotein(a) [Lp(a)] has emerged [...] Read more.
Low-density lipoprotein cholesterol (LDL-C) has traditionally been the primary biomarker used to assess cardiovascular risk. However, a substantial proportion of cardiovascular events occur in individuals with LDL-C levels within the normal range, highlighting the need for additional risk markers. Lipoprotein(a) [Lp(a)] has emerged as an independent and genetically determined cardiovascular risk factor that is not adequately captured by conventional lipid profiling. Elevated Lp(a) levels are associated with an increased risk of atherosclerotic cardiovascular disease, including coronary artery disease, ischemic stroke, and calcific aortic valve stenosis, and appear to be particularly relevant in the context of premature cardiovascular events. The pathogenicity of Lp(a) is driven by distinct mechanisms that extend beyond cholesterol transport. These include pro-atherogenic, pro-inflammatory, and pro-thrombotic effects mediated largely by oxidized phospholipids carried by the particle and by the structural properties of apolipoprotein(a), which interfere with fibrinolysis. Despite its strong and stable genetic determination, Lp(a) remains underrecognized and inconsistently measured in clinical practice, partly due to historical limitations in assay standardization and reporting. This minireview summarizes current knowledge on the pathophysiological mechanisms underlying elevated Lp(a), discusses its clinical implications for cardiovascular risk assessment, and highlights the importance of standardized Lp(a) measurement in routine practice, particularly in light of emerging Lp(a)-targeted therapies. Full article
19 pages, 1118 KB  
Review
Serum Amyloid A (SAA) and Its Interaction with High-Density Lipoprotein Cholesterol (HDL-C): A Comprehensive Review
by Angela P. Moissl-Blanke, Graciela E. Delgado, Bernhard K. Krämer, Rüdiger Siekmeier, Daniel Duerschmied, Winfried März and Marcus E. Kleber
Int. J. Mol. Sci. 2026, 27(1), 241; https://doi.org/10.3390/ijms27010241 - 25 Dec 2025
Viewed by 269
Abstract
Serum Amyloid A (SAA) is an acute-phase apolipoprotein that acts as both a sensitive biomarker of systemic inflammation and an active modulator of lipid metabolism and vascular homeostasis. This review summarises current insights into the interaction between SAA and high-density lipoproteins (HDL), with [...] Read more.
Serum Amyloid A (SAA) is an acute-phase apolipoprotein that acts as both a sensitive biomarker of systemic inflammation and an active modulator of lipid metabolism and vascular homeostasis. This review summarises current insights into the interaction between SAA and high-density lipoproteins (HDL), with particular emphasis on its role in inflammation-driven cardiovascular disease (CVD). The incorporation of SAA into HDL markedly alters its composition and function. The displacement of apolipoprotein A-I impairs cholesterol efflux capacity, reduces antioxidative activity, and promotes a pro-inflammatory phenotype, transforming protective HDL into a dysfunctional particle. These changes contribute to endothelial dysfunction, foam cell formation, and atherogenesis. Elevated SAA levels are also associated with adverse cardiovascular and metabolic outcomes, including coronary artery disease, type 2 diabetes, and chronic kidney disease. Isoform-specific variations in SAA–HDL interactions are emerging as key modulators of these effects. This review also discusses emerging therapeutic and nutritional strategies to modulate the SAA–HDL axis, including anti-inflammatory therapies, HDL mimetics, and diet-based interventions. Future research should prioritise the standardisation of SAA measurement, characterisation of isoform-specific functions, and translational studies integrating SAA into cardiovascular risk stratification and therapy. Full article
Show Figures

Figure 1

22 pages, 3713 KB  
Article
Exploratory Analysis of Autophagy–Lysosomal Pathway Proteins in Dermal Fibroblasts as Potential Peripheral Biomarkers for Alzheimer’s Disease: A Pilot Study
by Myung Shin Lee, Sang Joon Son, Juyeong Kim, Seungbeom Go, Chang Hyung Hong, Hyun Woong Roh and Jaerak Chang
Biomedicines 2026, 14(1), 34; https://doi.org/10.3390/biomedicines14010034 - 23 Dec 2025
Viewed by 364
Abstract
Background/Objectives: Alzheimer’s disease (AD) is characterized by accumulation of abnormal intracellular substances and autophagy–lysosomal pathway (ALP) dysfunction. While current diagnostic methods rely on cerebrospinal fluid biomarkers and neuroimaging, minimally invasive peripheral biomarkers are needed. Dermal fibroblasts could serve as accessible reporters of AD-related [...] Read more.
Background/Objectives: Alzheimer’s disease (AD) is characterized by accumulation of abnormal intracellular substances and autophagy–lysosomal pathway (ALP) dysfunction. While current diagnostic methods rely on cerebrospinal fluid biomarkers and neuroimaging, minimally invasive peripheral biomarkers are needed. Dermal fibroblasts could serve as accessible reporters of AD-related molecular changes. This exploratory pilot study investigated whether ALP-associated proteins in patient-derived fibroblasts could serve as potential peripheral biomarkers for AD diagnosis. Methods: We analyzed dermal fibroblasts from 9 AD patients (amyloid Positron emission tomography (PET)-positive) and 9 age-matched controls (amyloid PET-negative). Comprehensive immunoblot analysis assessed expression profiles of 16 AD- and ALP-associated proteins. Autophagic flux and lysosomal function were evaluated using bafilomycin A1 treatment and LysoTracker staining. Diagnostic performance was assessed through receiver operating characteristic (ROC) curve analysis and multivariable logistic regression. Results: AD fibroblasts showed significantly reduced Beta-site APP cleaving enzyme 1 (BACE1) (p = 0.022) and elevated Tax1-binding protein 1 (TAX1BP1) (p = 0.035) expression. BCL2-associated athanogene proteins 2 (BAG2) and OPTN demonstrated consistent directional changes across patients. Preliminary ROC analysis showed promising performance for protein combinations, with BAG2 + OPTN achieving Area under the curve (AUC) = 0.963 (sensitivity 77.8%, specificity 88.9%). Integration with Apolipoprotein E4 (APOE4) status further enhanced diagnostic accuracy (APOE4 + BACE1: AUC = 0.914). Notably, baseline autophagic flux and lysosomal acidification were preserved, suggesting pathway-specific rather than systemic ALP dysfunction. Conclusions: This exploratory study provides preliminary evidence that dermal fibroblast-derived ALP proteins show disease-associated alterations in AD and may represent potential peripheral biomarkers. However, given the small sample size (n = 18) and lack of independent validation, these findings require confirmation in larger multi-center cohorts before clinical translation. Full article
(This article belongs to the Special Issue Pathological Biomarkers in Precision Medicine)
Show Figures

Graphical abstract

14 pages, 2209 KB  
Article
Association Between Lipid-Lowering Therapy and Differences in the Distribution of LDL-C, apoB and non-HDL-C
by Marcin Ziółkowski, Karolina Obońska, Jakub Ratajczak, Piotr Adamski, Maciej Banach, Krzysztof Chlebus, Klaudyna Grzelakowska, Piotr Jankowski, Magdalena Krintus, Jacek Kryś, Ewa Laskowska, Natalia Mrzywka, Piotr Niezgoda, Małgorzata Ostrowska, Przemysław Podhajski, Grzegorz Skonieczny, Bożena Sosnowska, Łukasz Szarpak, Małgorzata Topolska, Julia Umińska, Alicja Rzepka-Cholasińska, Eliano Pio Navarese and Jacek Kubicaadd Show full author list remove Hide full author list
J. Clin. Med. 2026, 15(1), 26; https://doi.org/10.3390/jcm15010026 - 20 Dec 2025
Viewed by 335
Abstract
Background: The diagnosis of hypercholesterolemia relies on the laboratory assessment of lipid parameters. This study aimed to evaluate differences in the distribution of low-density lipoprotein cholesterol (LDL-C), non-high-density lipoprotein cholesterol (non-HDL-C), and apolipoprotein B (apoB) concentrations according to the presence and type of [...] Read more.
Background: The diagnosis of hypercholesterolemia relies on the laboratory assessment of lipid parameters. This study aimed to evaluate differences in the distribution of low-density lipoprotein cholesterol (LDL-C), non-high-density lipoprotein cholesterol (non-HDL-C), and apolipoprotein B (apoB) concentrations according to the presence and type of lipid-lowering therapy (LLT). Methods: This retrospective analysis included consecutive patients who had at least one measurement of LDL-C, apoB, and non-HDL-C between March and November 2024 in a high-volume tertiary hospital. All lipid fractions were expressed as the percentages of measurements above or below cut-off values established by the recent ESC guidelines. Subgroup analysis based on LLT type was performed, with patients categorized as receiving either single or combined LLT. Results: A total of 5048 patients were included in the analysis. Among patients receiving LLT, most were on statin monotherapy (77.3%), predominantly atorvastatin. Combined therapy, primarily statin plus ezetimibe, was used in 22.7% of treated patients. Discordance between on-target apoB levels and elevated LDL-C concentrations occurred in 26.6% of untreated and 13.6% of all treated patients, and in 15.1% and 8.6% of single and combined-LLT patients, respectively. Similarly, discordance between on-target non-HDL-C and elevated LDL-C levels was observed in 13.5% of untreated and 7.5% of all treated patients, and in 8.4% and 4.8% of single and combined-LLT patients, respectively. Conclusions: Classification of hyperlipidemia based on LDL-C, non-HDL-C, and apoB concentrations reveals significant discrepancies between these markers, especially between LDL-C and apoB. LLT reduces these discrepancies with combined LLT being particularly effective. Full article
(This article belongs to the Section Cardiology)
Show Figures

Figure 1

23 pages, 1680 KB  
Article
Comprehensive Insights into Obesity and Type 2 Diabetes from Protein Network, Canonical Pathway, Phosphorylation and Antimicrobial Peptide Signatures of Human Serum
by Petra Magdolna Bertalan, Erdenetsetseg Nokhoijav, Ádám Pap, George C. Neagu, Miklós Káplár, Zsuzsanna Darula, Gergő Kalló, Laszlo Prokai and Éva Csősz
Proteomes 2025, 13(4), 67; https://doi.org/10.3390/proteomes13040067 - 17 Dec 2025
Viewed by 521
Abstract
Background: Obesity is a major risk factor for type 2 diabetes (T2D); however, the molecular links between these conditions are not fully understood. Methods: We performed an integrative serum proteomics study on samples from 134 individuals (healthy controls, patients with obesity and/or T2D) [...] Read more.
Background: Obesity is a major risk factor for type 2 diabetes (T2D); however, the molecular links between these conditions are not fully understood. Methods: We performed an integrative serum proteomics study on samples from 134 individuals (healthy controls, patients with obesity and/or T2D) using both data-independent (DIA) and data-dependent (DDA) liquid chromatography-mass spectrometry approaches, complemented by phosphopeptide enrichment, kinase activity prediction, network and pathway analyses to get more information on the different proteoforms involved in the pathophysiology of the diseases. Results: We identified 235 serum proteins, including 13 differentially abundant proteins (DAPs) between groups. Both obesity and T2D were characterized by activation of complement and coagulation cascades, as well as alterations in lipid metabolism. Ingenuity Pathway Analysis® (IPA) revealed shared canonical pathways, while phosphorylation-based regulation differentiated the two conditions. Elevated hemopexin (HPX), vitronectin (VTN), kininogen-1 (KNG1) and pigment epithelium-derived factor (SERPINF1), along with decreased adiponectin (ADIPOQ) and apolipoprotein D (APOD), indicated a pro-inflammatory, pro-coagulant serum profile. Network analyses of antimicrobial and immunomodulatory peptides (AMPs) revealed strong overlaps between immune regulation and lipid metabolism. Phosphoproteomics and kinase prediction highlighted altered CK2 and AGC kinase activities in obesity, suggesting signaling-level modulation. Conclusions: Our comprehensive proteomic and phosphoproteomic profiling reveals overlapping yet distinct molecular signatures in obesity and T2D, emphasizing inflammation, complement activation and phosphorylation-driven signaling as central mechanisms that potentially contribute to disease progression and therapeutic targeting. Full article
(This article belongs to the Special Issue Proteomics in Diabetes: From Mechanisms to Biomarkers)
Show Figures

Figure 1

Back to TopTop