Very-Low-Density Lipoproteins Quantity but Not Composition Is Altered in Normotriglyceridemic Subjects with Elevated Lipoprotein (a) Level
Abstract
1. Introduction
2. Results
2.1. Lipid and Apolipoprotein Concentrations in Serum
2.2. Lipid and Apolipoprotein Composition of VLDL
3. Discussion
4. Materials and Methods
4.1. Research Groups
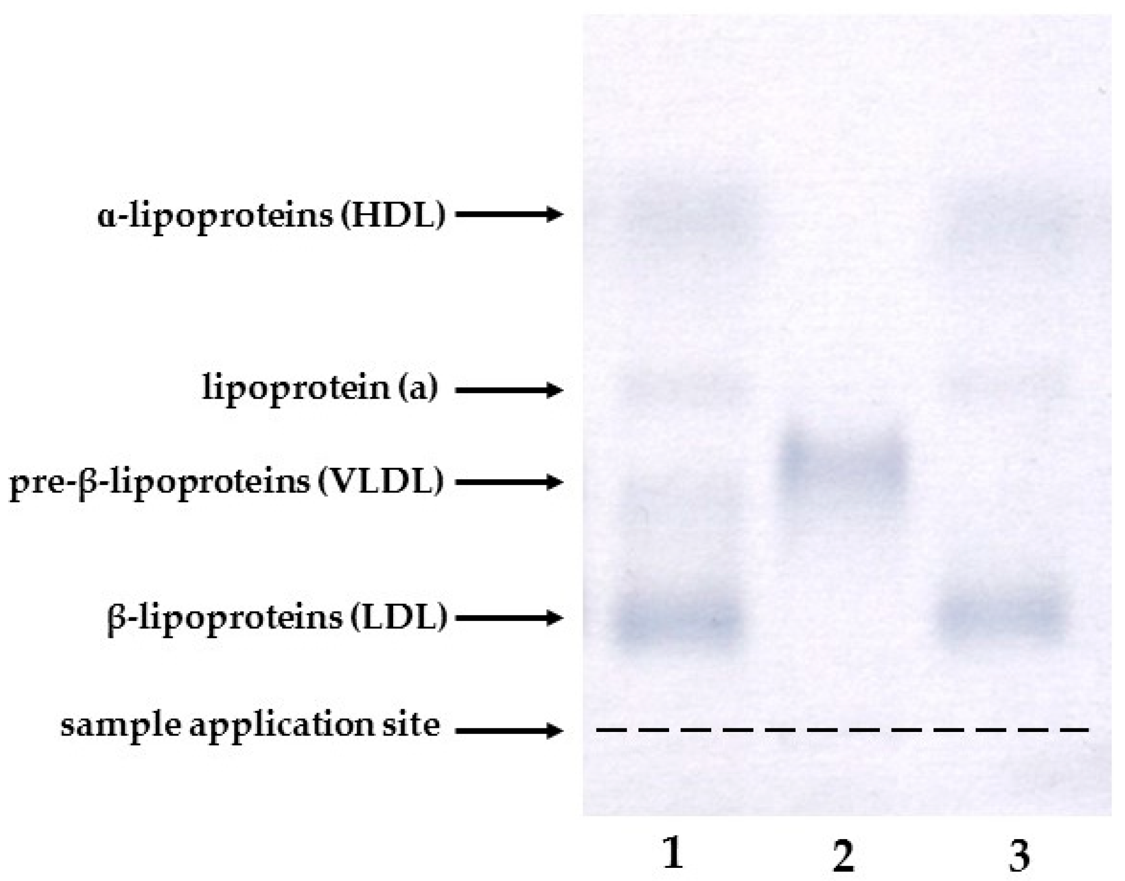
4.2. Isolation of Serum and VLDL
4.3. Biochemical Analyses and Calculations
4.4. Statistical Analysis
5. Conclusions
Author Contributions
Funding
Institutional Review Board Statement
Informed Consent Statement
Data Availability Statement
Acknowledgments
Conflicts of Interest
References
- Kosmas, C.E.; Martinez, I.; Sourlas, A.; Bouza, K.V.; Campos, F.N.; Torres, V.; Montan, P.D.; Guzman, E. High-density lipoprotein (HDL) functionality and its relevance to atherosclerotic cardiovascular disease. Drugs Context 2018, 7, 212525. [Google Scholar] [CrossRef] [PubMed]
- Timmis, A.; Vardas, P.; Townsend, N.; Torbica, A.; Katus, H.; De Smedt, D.; Gale, C.P.; Maggioni, A.P.; Petersen, S.E.; Huculeci, R.; et al. European society of cardiology: Cardiovascular disease statistics 2021. Eur. Heart J. 2022, 43, 716–799, Erratum in Eur. Heart J. 2020, 41, 4507.. [Google Scholar] [CrossRef] [PubMed]
- Ginsberg, H.N.; Packard, C.J.; Chapman, M.J.; Borén, J.; Aguilar-Salinas, C.A.; Averna, M.; A Ference, B.; Gaudet, D.; A Hegele, R.; Kersten, S.; et al. Triglyceride-rich lipoproteins and their remnants: Metabolic insights, role in atherosclerotic cardiovascular disease, and emerging therapeutic strategies—A consensus statement from the European Atherosclerosis Society. Eur. Heart J. 2021, 42, 4791–4806. [Google Scholar] [CrossRef] [PubMed]
- Laufs, U.; Parhofer, K.G.; Ginsberg, H.N.; Hegele, R.A. Clinical review on triglycerides. Eur. Heart J. 2020, 41, 99–109. [Google Scholar] [CrossRef]
- Langsted, A.; Kamstrup, P.R.; Nordestgaard, B.G. High lipoprotein(a) and high risk of mortality. Eur. Heart J. 2019, 40, 2760–2770. [Google Scholar] [CrossRef]
- Durlach, V.; Bonnefont-Rousselot, D.; Boccara, F.; Varret, M.; Di-Filippo Charcosset, M.; Cariou, B.; Valero, R.; Charriere, S.; Farnier, M.; Morange, P.E.; et al. Lipoprotein(a): Pathophysiology, measurement, indication and treatment in cardiovascular disease. A consensus statement from the Nouvelle Société Francophone d’Athérosclérose (NSFA). Arch. Cardiovasc. Dis. 2021, 114, 828–847. [Google Scholar] [CrossRef]
- Vinci, P.; Di Girolamo, F.G.; Panizon, E.; Tosoni, L.M.; Cerrato, C.; Pellicori, F.; Altamura, N.; Pirulli, A.; Zaccari, M.; Biasinutto, C.; et al. Lipoprotein(a) as a Risk Factor for Cardiovascular Diseases: Pathophysiology and Treatment Perspectives. Int. J. Environ. Res. Public Health 2023, 20, 6721. [Google Scholar] [CrossRef]
- Kronenberg, F.; Mora, S.; Stroes, E.S.G.; Ference, B.A.; Arsenault, B.J.; Berglund, L.; Dweck, M.R.; Koschinsky, M.; Lambert, G.; Mach, F.; et al. Lipoprotein(a) in atherosclerotic cardiovascular disease and aortic stenosis: A European Atherosclerosis Society consensus statement. Eur. Heart J. 2022, 43, 3925–3946. [Google Scholar] [CrossRef]
- Marco-Benedí, V.; Cenarro, A.; Laclaustra, M.; Calmarza, P.; Bea, A.M.; Vila, À.; Morillas-Ariño, C.; Puzo, J.; Garcia, J.D.M.; Alamán, A.I.F.; et al. Influence of triglyceride concentration in lipoprotein(a) as a function of dyslipidemia. Clínica Investig. Arterioscler. 2024, 36, 71–77. [Google Scholar] [CrossRef]
- Ramos-Cáceres, M.; Lamiquiz-Moneo, I.; Cenarro, A.; Calmarza, P.; Marco-Benedí, V.; Bea, A.M.; Mateo-Gallego, R.; Puzo, J.; Ordovas, J.M.; Civeira, F.; et al. Triglyceride Metabolism Modifies Lipoprotein(a) Plasma Concentration. J. Clin. Endocrinol. Metab. 2022, 107, 3594–3602. [Google Scholar] [CrossRef]
- Zhang, B.-H.; Yin, F.; Qiao, Y.-N.; Guo, S.-D. Triglyceride and Triglyceride-Rich Lipoproteins in Atherosclerosis. Front. Mol. Biosci. 2022, 9, 909151. [Google Scholar] [CrossRef] [PubMed]
- Werba, J.P.; Safa, O.; Gianfranceschi, G.; Michelagnoli, S.; Sirtori, C.R.; Franceschini, G. Plasma triglycerides and lipoprotein(a): Inverse relationship in a hyperlipidemic Italian population. Atherosclerosis 1993, 101, 203–211. [Google Scholar] [CrossRef] [PubMed]
- Hoppichler, F.; Kraft, H.G.; Sandholzer, C.; Lechleitner, M.; Patsch, J.R.; Utermann, G. Lipoprotein(a) is increased in triglyceride-rich lipoproteins in men with coronary heart disease, but does not change acutely following oral fat ingestion. Atherosclerosis 1996, 122, 127–134. [Google Scholar] [CrossRef] [PubMed]
- Croyal, M.; Blanchard, V.; Ouguerram, K.; Chétiveaux, M.; Cabioch, L.; Moyon, T.; Billon-Crossouard, S.; Aguesse, A.; Bernardeau, K.; Le May, C.; et al. VLDL (Very-Low-Density Lipoprotein)-Apo E (Apolipoprotein E) May Influence Lp(a) (Lipoprotein [a]) Synthesis or Assembly. Arterioscler. Thromb. Vasc. Biol. 2020, 40, 819–829. [Google Scholar] [CrossRef]
- Bersot, T.P.; Innerarity, T.L.; Pitas, R.E.; Rall, S.C.; Weisgraber, K.H.; Mahley, R.W. Fat feeding in humans induces lipoproteins of density less than 1.006 that are enriched in apolipoprotein [a] and that cause lipid accumulation in macrophages. J. Clin. Investig. 1986, 77, 622–630. [Google Scholar] [CrossRef]
- Chemello, K.; Chan, D.C.; Lambert, G.; Watts, G.F. Recent advances in demystifying the metabolism of lipoprotein(a). Atherosclerosis 2022, 349, 82–91. [Google Scholar] [CrossRef]
- März, W.; Beckmann, A.; Scharnagl, H.; Siekmeier, R.; Mondorf, U.; Held, I.; Schneider, W.; Preissner, K.T.; Curtiss, L.K.; Groß, W.; et al. Heterogeneous lipoprotein (a) size isoforms differ by their interaction with the low density lipoprotein receptor and the low density lipoprotein receptor-related protein/α2-macroglobulin receptor. FEBS Lett. 1993, 325, 271–275. [Google Scholar] [CrossRef]
- Niemeier, A.; Willnow, T.; Dieplinger, H.; Jacobsen, C.; Meyer, N.; Hilpert, J.; Beisiegel, U. Identification of megalin/gp330 as a receptor for lipoprotein(a) in vitro. Arterioscler. Thromb. Vasc. Biol. 1999, 19, 552–561. [Google Scholar] [CrossRef]
- Sandesara, P.B.; Virani, S.S.; Fazio, S.; Shapiro, M.D. The forgotten lipids: Triglycerides, remnant cholesterol, and atherosclerotic cardiovascular disease risk. Endocr. Rev. 2019, 40, 537–557. [Google Scholar] [CrossRef]
- Langlois, M.R.; Nordestgaard, B.G.; Langsted, A.; Chapman, M.J.; Aakre, K.M.; Baum, H.; Borén, J.; Bruckert, E.; Catapano, A.; Cobbaert, C.; et al. Quantifying atherogenic lipoproteins for lipid-lowering strategies: Consensus-based recommendations from EAS and EFLM. Clin. Chem. Lab. Med. 2020, 58, 496–517. [Google Scholar] [CrossRef]
- Alagarsamy, J.; Jaeschke, A.; Hui, Y.D. Apolipoprotein E in Cardiometabolic and Neurological Health and Diseases. Int. J. Mol. Sci. 2022, 23, 9892. [Google Scholar] [CrossRef]
- Huang, Y.; Liu, X.Q.; Rall, S.C., Jr.; Taylor, J.M.; von Eckardstein, A.; Assmann, G.; Mahley, R.W. Overexpression and Accumulation of Apolipoprotein E as a Cause of Hypertriglyceridemia. J. Biol. Chem. 1998, 273, 26388–26393. [Google Scholar] [CrossRef]
- Moriarty, P.M.; Varvel, S.A.; Gordts, P.L.S.M.; McConnell, J.P.; Tsimikas, S. Lipoprotein(a) Mass Levels Increase Significantly According to APOE Genotype: An Analysis of 431 239 Patients. Arterioscler. Thromb. Vasc. Biol. 2017, 37, 580–588. [Google Scholar] [CrossRef] [PubMed]
- Sniderman, A.D.; Thanassoulis, G.; Glavinovic, T.; Navar, A.M.; Pencina, M.; Catapano, A.; Ference, B.A. Apolipoprotein B Particles and Cardiovascular Disease: A Narrative Review. JAMA Cardiol. 2019, 4, 1287–1295. [Google Scholar] [CrossRef] [PubMed]
- Tomiyasu, K.; Walsh, B.W.; Ikewaki, K.; Judge, H.; Sacks, F.M. Differential Metabolism of Human VLDL According to Content of ApoE and ApoC-III. Arterioscler. Thromb. Vasc. Biol. 2001, 21, 1494–1500. [Google Scholar] [CrossRef] [PubMed]
- Boerwinkle, E.; Leffert, C.C.; Lin, J.; Lackner, C.; Chiesa, G.; Hobbst, H.H. Apolipoprotein (a) Gene Accounts for Greater Than 90% of the Variation in Plasma Lipoprotein (a) Concentrations. J. Clin. Investig. 1992, 90, 52–60. [Google Scholar] [CrossRef]
- Mach, F.; Koskinas, K.C.; Roeters van Lennep, J.E.; Tokgözoğlu, L.; Badimon, L.; Baigent, C.; Benn, M.; Binder, C.J.; Catapano, A.L.; De Backer, G.G.; et al. 2025 Focused Update of the 2019 ESC/EAS Guidelines for the management of dyslipidaemias. Eur. Heart J. 2025, 46, 4359–4378. [Google Scholar] [CrossRef]
- Wieczorek, E.; Ćwiklińska, A.; Kuchta, A.; Kortas-Stempak, B.; Gliwińska, A.; Jankowski, M. Decreased efficiency of very-low-density lipoprotein lipolysis is linked to both hypertriglyceridemia and hypercholesterolemia, but it can be counteracted by high-density lipoprotein. Nutrients 2021, 13, 1224. [Google Scholar] [CrossRef]
- McCracken, C.E.; Looney, S.W. Confidence Interval Estimation of the Correlation in the Presence of Non-Detects. Open J. Stat. 2021, 11, 463–475. [Google Scholar] [CrossRef]
- Nordestgaard, B.G.; Langsted, A.; Mora, S.; Kolovou, G.; Baum, H.; Bruckert, E.; Watts, G.F.; Sypniewska, G.; Wiklund, O.; Borén, J.; et al. Fasting is not routinely required for determination of a lipid profile: Clinical and Laboratory implications including flagging at desirable concentration cutpoints—A joint consensus statement from the European Atherosclerosis Society and European Federation of Clinical Chemistry and Laboratory Medicine. Eur. Heart J. 2016, 37, 1944–1958. [Google Scholar] [CrossRef]
- Sampson, M.; Wolska, A.; Warnick, R.; Lucero, D.; Remaley, A.T. A New Equation Based on the Standard Lipid Panel for Calculating Small Dense Low-Density Lipoprotein-Cholesterol and Its Use as a Risk-Enhancer Test. Clin. Chem. 2021, 67, 987–997. [Google Scholar] [CrossRef]


| Parameter | Control Group: Lp(a) < 30 mg/dL | Study Group: Lp(a) ≥ 30 mg/dL | p-Value |
|---|---|---|---|
| Lipoprotein (a) [mg/dL] | 10 (3.4–19) | 59 (40–75) | <0.001 & |
| Triglycerides [mg/dL] | 80 (56–109) | 99 (83–115) | 0.090 & |
| Total cholesterol [mg/dL] | 185 ± 36 | 189 ± 41 | 0.704 * |
| LDL-C Friedewald [mg/dL] | 113 ± 33 | 119 ± 32 | 0.455 * |
| LDL-C Sampson-NIH [mg/dL] | 114 ± 33 | 120 ± 32 | 0.431 * |
| LDL-C Friedewald adjusted for Lp(a) [mg/dL] | 109 ± 32 | 99 ± 35 | 0.234 * |
| sdLDL-C calculated [mg/dL] | 29 ± 9 | 33 ± 8 | 0.061 * |
| non-HDL-C [mg/dL] | 129 ± 33 | 138 ± 31 | 0.285 * |
| HDL-C [mg/dL] | 54 (46–64) | 47 (43–58) | 0.170 & |
| Phospholipids [mg/dL] | 248 ± 33 | 235 ± 27 | 0.230 * |
| Apo A-I [mg/dL] | 197 (176–224) | 205 (176–226) | 0.945 & |
| Apo B [mg/dL] | 91 (83–108) | 100 (88–105) | 0.473 & |
| Apo C-II [mg/dL] | 4.21 ± 1.05 | 3.91 ± 1.26 | 0.298 * |
| Apo C-III [mg/dL] | 11.30 (8.58–13.52) | 11.26 (9.43–12.58) | 0.851 & |
| Apo E [mg/dL] | 3.85 ± 1.01 | 3.41 ± 0.78 | 0.064 * |
| Parameter | Control Group: Lp(a) < 30 mg/dL | Study Group: Lp(a) ≥ 30 mg/dL | p-Value | q (BH-FDR) | Effect Size |
|---|---|---|---|---|---|
| TGVLDL/Apo BVLDL | 9.87 (8.19–13.35) | 10.46 (9.06–12.01) | 0.596 & | 0.298 | r = 0.15 |
| CHVLDL/Apo BVLDL | 1.85 ± 0.52 | 1.83 ± 0.37 | 0.825 * | 0.825 | d = −0.04 |
| Apo C-IIVLDL/Apo BVLDL | 0.21 ± 0.07 | 0.22 ± 0.09 | 0.708 * | 0.356 | d = 0.20 |
| Apo C-IIIVLDL/Apo BVLDL | 0.61 ± 0.17 | 0.62 ± 0.14 | 0.709 * | 0.424 | d = 0.18 |
| Apo EVLDL/Apo BVLDL | 0.11 ± 0.04 | 0.10 ± 0.02 | 0.092 * | 0.298 | d = −0.43 |
| Parameter | Control Group: Lp(a) < 30 mg/dL | Study Group: Lp(a) ≥ 30 mg/dL | p-Value | q (BH-FDR) | Effect Size |
|---|---|---|---|---|---|
| TG VLDL [%] | 58 ± 14 | 65 ± 16 | 0.038 * | 0.076 | d = 0.53 |
| CH VLDL [%] | 4.6 (2.7–7.4) | 4.9 (3.7–7.7) | 0.106 & | 0.159 | r = 0.24 |
| Apo B VLDL [%] | 5.0 (3.2–6.0) | 6.7 (4.3–8.6) | 0.017 & | 0.035 | r = 0.29 |
| Apo C-II VLDL [%] | 24.2 (15.6–29.3) | 31.2 (26.1–37.0) | 0.006 & | 0.035 | r = 0.33 |
| Apo C-III VLDL [%] | 25.7 ± 10.1 | 32.2 ± 10.7 | 0.014 * | 0.035 | d = 0.63 |
| Apo E VLDL [%] | 14.0 (8.8–18.8) | 17.6 (12.8–21.9) | 0.077 & | 0.092 | r = 0.22 |
| Parameter | All Participants | Control Group: Lp(a) < 30 mg/dL | Study Group: Lp(a) ≥ 30 mg/dL | p-Value |
|---|---|---|---|---|
| Number | 70 | 45 | 25 | -- |
| Gender (female/male) | 38/32 (54%/46%) | 22/23 (49%/51%) | 16/9 (64%/36%) | 0.223 # |
| Age [years] | 41 ± 12 | 41 ± 12 | 43 ± 13 | 0.422 * |
| Body mass [kg] | 79 ± 14 | 79 ± 13 | 80 ± 15 | 0.769 * |
| Height [cm] | 172 ± 9 | 173 ± 10 | 172 ± 9 | 0.584 * |
| BMI [kg/m2] | 27 ± 4 | 26 ± 4 | 27 ± 5 | 0.438 * |
| Rosuvastatin/Atorvastatin | 10/3 (14%/4%) | 5/2 (11%/4%) | 5/1 (20%/4%) | 0.612 # |
| Smoking | 5 (7%) | 4 (9%) | 1 (4%) | 0.554 # |
| Creatinine [mg/dL] | 0.88 (0.73–1.03) | 0.97 (0.78–1.03) | 0.78 (0.72–0.93) | 0.126 & |
| Glucose [mg/dL] | 91 (80–99) | 92 (84–99) | 82 (77–98) | 0.130 & |
| AST [U/L] | 21 ± 6 | 22 ± 7 | 21 ± 6 | 0.614 * |
| ALT [U/L] | 17 (14–26) | 18 (13–28) | 17 (14–22) | 0.689 & |
| ALP [U/L] | 144 (111–171) | 148 (122–176) | 132 (94–161) | 0.103 & |
| Parameter | Intra-Assay CV | Inter-Assay CV |
|---|---|---|
| Total cholesterol | 1.8% | 2.7% |
| Triglycerides | 2.5% | 7.7% |
| Phospholipids | 1.7% | 3.1% |
| Apolipoprotein A-I | 3.1% | 4.5% |
| Apolipoprotein B | 3.8% | 4.3% |
| Apolipoprotein C-II | 6.4% | 7.5% |
| Apolipoprotein C-III | 7.5% | 13.0% |
| Apolipoprotein E | 4.1% | 6.4% |
Disclaimer/Publisher’s Note: The statements, opinions and data contained in all publications are solely those of the individual author(s) and contributor(s) and not of MDPI and/or the editor(s). MDPI and/or the editor(s) disclaim responsibility for any injury to people or property resulting from any ideas, methods, instructions or products referred to in the content. |
© 2026 by the authors. Licensee MDPI, Basel, Switzerland. This article is an open access article distributed under the terms and conditions of the Creative Commons Attribution (CC BY) license.
Share and Cite
Wieczorek-Breitzke, E.; Feliksiak, M.; Kuchta, A.; Jankowski, M.; Ćwiklińska, A. Very-Low-Density Lipoproteins Quantity but Not Composition Is Altered in Normotriglyceridemic Subjects with Elevated Lipoprotein (a) Level. Int. J. Mol. Sci. 2026, 27, 556. https://doi.org/10.3390/ijms27020556
Wieczorek-Breitzke E, Feliksiak M, Kuchta A, Jankowski M, Ćwiklińska A. Very-Low-Density Lipoproteins Quantity but Not Composition Is Altered in Normotriglyceridemic Subjects with Elevated Lipoprotein (a) Level. International Journal of Molecular Sciences. 2026; 27(2):556. https://doi.org/10.3390/ijms27020556
Chicago/Turabian StyleWieczorek-Breitzke, Ewa, Martyna Feliksiak, Agnieszka Kuchta, Maciej Jankowski, and Agnieszka Ćwiklińska. 2026. "Very-Low-Density Lipoproteins Quantity but Not Composition Is Altered in Normotriglyceridemic Subjects with Elevated Lipoprotein (a) Level" International Journal of Molecular Sciences 27, no. 2: 556. https://doi.org/10.3390/ijms27020556
APA StyleWieczorek-Breitzke, E., Feliksiak, M., Kuchta, A., Jankowski, M., & Ćwiklińska, A. (2026). Very-Low-Density Lipoproteins Quantity but Not Composition Is Altered in Normotriglyceridemic Subjects with Elevated Lipoprotein (a) Level. International Journal of Molecular Sciences, 27(2), 556. https://doi.org/10.3390/ijms27020556

