Sign in to use this feature.

Years

Between: -

Subjects

remove_circle_outline
remove_circle_outline
remove_circle_outline
remove_circle_outline
remove_circle_outline
remove_circle_outline
remove_circle_outline

Journals

Article Types

Countries / Regions

Search Results (59)

Search Parameters:
Keywords = anatomical joint alignment

Order results
Result details
Results per page
Select all
Export citation of selected articles as:
31 pages, 6317 KB  
Article
A Method for Human Pose Estimation and Joint Angle Computation Through Deep Learning
by Ludovica Ciardiello, Patrizia Agnello, Marta Petyx, Fabio Martinelli, Mario Cesarelli, Antonella Santone and Francesco Mercaldo
J. Imaging 2026, 12(4), 157; https://doi.org/10.3390/jimaging12040157 - 6 Apr 2026
Viewed by 595
Abstract
Human pose estimation is a crucial task in computer vision with widespread applications in healthcare, rehabilitation, sports, and remote monitoring. In this paper, we propose a deep learning-based method for automatic human pose estimation and joint angle computation, tailored specifically for physiotherapy and [...] Read more.
Human pose estimation is a crucial task in computer vision with widespread applications in healthcare, rehabilitation, sports, and remote monitoring. In this paper, we propose a deep learning-based method for automatic human pose estimation and joint angle computation, tailored specifically for physiotherapy and telemedicine scenarios. Beyond pose estimation, the proposed method is able to compute angles between joints, enabling analysis of body alignment and posture. The proposed approach is built upon a customized skeleton with 25 anatomical keypoints and a dataset composed of over 150,000 annotated and augmented images derived from multiple open-source datasets. Experimental results demonstrate the effectiveness of the proposed method, achieving a mAP@50 of 0.58 for keypoint localization and 0.98 for object detection. Moreover, we demonstrate several real-world practical use cases in evaluating exercise correctness and identifying postural deviations by exploiting the proposed method, confirming that the proposed method can represent a promising approach for automated motion analysis, with potential impact on digital health, rehabilitation support, and remote patient care. Full article
(This article belongs to the Section AI in Imaging)
Show Figures

Figure 1

14 pages, 1936 KB  
Technical Note
ROSA™ Imageless Robotic-Assisted Conversion from Unicompartmental to Total Knee Arthroplasty: A Novel Surgical Technique and Case Report
by Elisabetta Giani, Ilaria Morelli, Susanna Gadda Sanzo, Andrea F. Fusaro, Alessandro Ivone, Giacomo Galanzino and Roberto E. Vanelli
Surg. Tech. Dev. 2026, 15(1), 13; https://doi.org/10.3390/std15010013 - 17 Mar 2026
Viewed by 318
Abstract
Background: Unicompartmental knee arthroplasty (UKA) is an effective treatment for isolated compartment knee osteoarthritis, but it is associated with a higher risk of revisions. UKA-to-TKA conversions remain surgically challenging. In particular, the restoration of correct femoral rotation is difficult, mainly because of bone [...] Read more.
Background: Unicompartmental knee arthroplasty (UKA) is an effective treatment for isolated compartment knee osteoarthritis, but it is associated with a higher risk of revisions. UKA-to-TKA conversions remain surgically challenging. In particular, the restoration of correct femoral rotation is difficult, mainly because of bone loss and altered anatomical landmarks. We describe a novel imageless robotic-assisted technique for UKA-to-TKA conversion using the ROSA™ robotic system and report a representative clinical case. Methods: After a standard medial parapatellar approach and joint exposure, the landmarks are registered with the UKA in situ, followed by the standard workflow for a robotic-assisted primary TKA according to the “inverse functional alignment” philosophy (virtual planning, tibial cut, planning adjustment, distal femoral cut and planning adjustment). At last, the femoral component rotation is defined using the FuZion® tensioner, with the UKA femoral component being left in situ to compensate for the lateral posterior condyle bone loss. Results: A 72-year-old female patient underwent robotic-assisted lateral UKA-to-TKA conversion due to aseptic loosening of the tibial component. Accurate bone resection, restoration of alignment, and soft tissue balancing were achieved, avoiding the use of augments. Postoperative recovery was uneventful, with satisfactory clinical and functional outcomes at 3-month follow-up. Conclusions: Imageless robotic-assisted UKA-to-TKA conversion using the ROSA™ system seems a valuable aid in these complex scenarios. To our knowledge, this is the second report describing this procedure using the ROSA™ robot and the first presenting a distinct surgical technique. Further studies on larger cohorts are needed to confirm this technique efficacy and possible limitations. Full article
Show Figures

Figure 1

16 pages, 1086 KB  
Article
Prognostic Value of Intraoperative Distal Radioulnar Joint Instability Grading in Distal Radius and Galeazzi Fractures: A Prospective Multicenter Cohort Study
by Awad Dmour, Yousef Khair, Almuthanna Alyamani, Paul-Dan Sirbu, Bianca-Ana Dmour, Ahmad Al-Zoubi, Yousef Al-Saraireh, Teodor-Stefan Gheorghevici, Stefan-Dragos Tirnovanu, Dragos-Cristian Popescu, Mihaela Pertea, Alexandra Burlui, Hussein Dmour and Bogdan Puha
Life 2026, 16(3), 437; https://doi.org/10.3390/life16030437 - 9 Mar 2026
Viewed by 493
Abstract
Despite anatomically successful fixation of distal radius and Galeazzi fractures, a subset of patients develops persistent pain and functional limitation, suggesting that factors beyond osseous alignment influence recovery. Distal radioulnar joint instability has been implicated in unfavorable outcomes, yet intraoperative assessment remains inconsistently [...] Read more.
Despite anatomically successful fixation of distal radius and Galeazzi fractures, a subset of patients develops persistent pain and functional limitation, suggesting that factors beyond osseous alignment influence recovery. Distal radioulnar joint instability has been implicated in unfavorable outcomes, yet intraoperative assessment remains inconsistently standardized and has rarely been validated as a prognostic variable. This prospective multicenter observational cohort study included 120 consecutive patients with distal radius or Galeazzi fractures treated with plate fixation in two tertiary centers. After fracture reduction and stabilization, intraoperative distal radioulnar joint stability was systematically assessed using a previously published classification system comprising Grades I to III, with patients demonstrating no instability serving as the reference group. The primary outcome was the QuickDASH score at 12 months, while secondary outcomes included pain intensity, grip strength, radiographic distal radioulnar joint gap, and postoperative complications. Multivariable linear regression was used to evaluate the association between intraoperative instability grade and outcomes, adjusting for age, sex, fracture type, and treatment center. Increasing instability grade was independently associated with worse functional outcome, higher pain levels, reduced grip strength, and greater postoperative distal radioulnar joint widening at 12 months, with an adjusted increase of approximately 5 to 6 QuickDASH points per grade. Intraoperative distal radioulnar joint instability grading provides clinically relevant prognostic information and supports postoperative risk stratification following distal radius and Galeazzi fractures. Full article
(This article belongs to the Special Issue Advances in Personalized Management in Orthopedics and Traumatology)
Show Figures

Figure 1

18 pages, 652 KB  
Article
Morphometric Evaluation of Anterior Cruciate Ligament Orientation and Tibial Footprint Location Using Magnetic Resonance Imaging
by Esra Babaoğlu, Belgin Bamaç and Kaya Memişoğlu
Diagnostics 2026, 16(5), 748; https://doi.org/10.3390/diagnostics16050748 - 2 Mar 2026
Viewed by 488
Abstract
Background/Objectives: The anterior cruciate ligament (ACL) plays a key role in knee stability, biomechanics, and proprioception, and is one of the most frequently injured and reconstructed ligaments in both athletes and the general population. The anatomical placement of femoral and tibial tunnels [...] Read more.
Background/Objectives: The anterior cruciate ligament (ACL) plays a key role in knee stability, biomechanics, and proprioception, and is one of the most frequently injured and reconstructed ligaments in both athletes and the general population. The anatomical placement of femoral and tibial tunnels close to the native ACL insertion sites is critical for long-term clinical outcomes and graft survival. This study aimed to define sagittal and coronal ACL alignment and tibial footprint morphology on magnetic resonance imaging (MRI) in healthy knees, to explore sex- and side-related differences, and to provide population-specific reference values. Methods: In this retrospective cross-sectional study, knee MRIs acquired between 2018 and 2021 were screened, and knees with an intact ACL and without deformity or joint pathology that could alter alignment were included. After applying inclusion and exclusion criteria, 636 knees (320 right, 316 left) from 545 individuals (338 women, 298 men; 15–80 years, mean age 34.87 ± 11.65 years) were analyzed. On sagittal images, the sagittal ACL angle (S-ANGLE) was measured on the slice where the ligament appeared maximally visualized. The midpoints of the ACL were identified on two adjacent sagittal slices, and a line drawn through these midpoints was used to represent the central axis of the ligament; the angle between this line and the tibial plateau was recorded as the S-ANGLE. For anteroposterior localization of the tibial footprint, an anteroposterior reference distance (S-long) was defined as the length measured parallel to the tibial plateau, extending from the midpoint of the tibial tuberosity (corresponding to the insertion site of the patellar ligament and used as a topographic anterior landmark) toward the posterior aspect of the proximal tibia. A perpendicular line was drawn from the anterior end of S-long to establish the anterior reference boundary. The distance from this anterior reference line to the midpoint of the ACL tibial footprint along the same anteroposterior axis was defined as S-short. The sagittal footprint percentage (S-PERCENTAGE) was calculated as (S-short/S-long) × 100, representing the size-normalized sagittal anteroposterior position of the ACL tibial footprint midpoint. On coronal images, the ACL–tibial plateau angle (C-ANGLE), mediolateral tibial length (C-LONG), and distance from the medial edge to the ACL insertion (C-short) were obtained; C-PERCENTAGE was calculated analogously. Medial mechanical proximal tibial angle (mMPTA) was used to confirm physiological coronal alignment. Non-parametric tests were applied, with p < 0.05 considered statistically significant. Results: Women had significantly greater sagittal ACL angles than men, whereas anteroposterior distances measured from the midpoint of the tibial tuberosity (used as an anterior topographic landmark) and oriented parallel to the tibial plateau (S-LONG) and mediolateral tibial lengths (C-LONG) and absolute distances to the ACL tibial footprint were larger in men. In contrast, normalized sagittal and coronal footprint percentages (S-PERCENTAGE, C-PERCENTAGE) did not differ meaningfully between sexes, indicating the preservation of the relative ACL tibial insertion site despite size differences. Small but statistically significant side-to-side differences were observed in some coronal parameters; however, absolute differences were small and did not substantially modify the overall alignment pattern. Conclusions: This study provides large-sample, population-specific reference values for ACL orientation and tibial footprint location in both sagittal and coronal planes in healthy knees. The combination of higher sagittal ACL angles and shorter anteroposterior distances reference measured from the midpoint of the tibial tuberosity and oriented parallel to the tibial plateau (S-LONG) in women may represent a structural substrate contributing to the higher ACL injury rates reported in females. The morphometric data presented here may assist in individualized ACL reconstruction planning, MRI-based assessment of tibial tunnel position, and the design of knee-related biomedical implants and devices. Full article
Show Figures

Figure 1

14 pages, 1692 KB  
Article
Unrestricted Kinematic Alignment Is a Feasible Strategy for Lateral Compartment Osteoarthritis: Short-Term Outcomes of a Contralateral Knee-Referenced Approach
by Yong Deok Kim, Sueen Sohn, Se Heon Lee, Nicole Cho and In Jun Koh
J. Clin. Med. 2026, 15(4), 1606; https://doi.org/10.3390/jcm15041606 - 19 Feb 2026
Viewed by 434
Abstract
Background/Objectives: Although unrestricted kinematic alignment (uKA) has gained increasing acceptance in total knee arthroplasty (TKA), its application in knees with lateral compartment osteoarthritis (OA) remains a subject of debate due to concerns over postoperative gap imbalance and alignment outliers. The purpose of [...] Read more.
Background/Objectives: Although unrestricted kinematic alignment (uKA) has gained increasing acceptance in total knee arthroplasty (TKA), its application in knees with lateral compartment osteoarthritis (OA) remains a subject of debate due to concerns over postoperative gap imbalance and alignment outliers. The purpose of this study was to evaluate the surgical, radiographic, and clinical outcomes of contralateral non-OA knee–referenced, caliper-verified uKA in lateral compartment OA. Methods: This retrospective study included 40 patients with isolated lateral compartment OA who underwent primary TKA using contralateral non-OA knee–referenced, caliper-verified uKA. Surgical outcomes were assessed by measuring bone resection thicknesses of the distal femur, posterior femur, and proximal tibia, as well as extension and 90° flexion gaps. Radiographic outcomes included mechanical hip–knee–ankle angle, medial proximal tibial angle, lateral distal femoral angle, and Coronal Plane Alignment of the Knee (CPAK) classification. Patient-reported outcomes (PROs), including Pain VAS, EQ-5D, satisfaction, and Forgotten Joint Score, were assessed at a minimum follow-up of 2 years. Results: The resected osteochondral thickness was consistently greater on the medial side than on the lateral side, and all gap balances were well maintained, with a gap difference ≤ 2 mm observed in 95% of knees in full extension. Postoperatively, restoration to the same CPAK category was achieved in approximately 90% of cases. All PROs improved and reached levels comparable to those of the contralateral knee. Conclusions: In patients with lateral compartment OA, caliper-verified uKA may be appropriately applied when guided by a reliable anatomic reference, such as the contralateral non-OA knee. This strategy achieves stable soft-tissue balance, reliable coronal alignment restoration, and favorable clinical outcomes in carefully selected valgus knees undergoing TKA. Full article
(This article belongs to the Section Orthopedics)
Show Figures

Figure 1

13 pages, 4554 KB  
Case Report
Allograft Deltoid Ligament Reconstruction and Z-Lengthening Fibular Osteotomy for Residual Valgus Instability After Ankle Fracture Fixation: A Case Report
by Sreenivasulu Metikala, Madana Mohana R. Vallem and Khalid Hasan
Healthcare 2026, 14(4), 522; https://doi.org/10.3390/healthcare14040522 - 18 Feb 2026
Cited by 1 | Viewed by 460
Abstract
Residual valgus instability following ankle fracture fixation presents a reconstructive challenge, especially when medial soft tissue compromise precludes early deltoid ligament repair. Restoring medial stability, together with fibular length and syndesmotic alignment, is crucial for re-establishing joint congruity and preventing progressive deformity or [...] Read more.
Residual valgus instability following ankle fracture fixation presents a reconstructive challenge, especially when medial soft tissue compromise precludes early deltoid ligament repair. Restoring medial stability, together with fibular length and syndesmotic alignment, is crucial for re-establishing joint congruity and preventing progressive deformity or degenerative complications. In this single-patient case report, we describe a novel technique combining the use of an allograft deltoid ligament reconstruction with a Z-lengthening distal fibular osteotomy in a young adult male who developed residual valgus instability after the lateral-only fixation of a Weber C ankle fracture–dislocation. The Z-lengthening osteotomy enabled the controlled, fluoroscopy-guided restoration of fibular length and the correction of syndesmotic malreduction. Concurrently, medial stabilization was achieved with a suspensory-and-aperture fixation allograft construct, providing a tensionable anatomic reconstruction of the deltoid complex. This integrated approach restored the alignment of the medial clear space and syndesmosis, resulting in a pain-free, stable ankle mortise. At the three-year follow-up, the patient maintained a stable reduction with no radiographic signs of post-traumatic arthritis. The technique offers a reproducible, joint-preserving solution that merges mechanical correction with biological reconstruction to restore circumferential ankle stability and facilitate functional rehabilitation after complex ankle fracture fixation. Full article
(This article belongs to the Section Clinical Care)
Show Figures

Figure 1

15 pages, 5971 KB  
Article
A Resource-Efficient Method for Real-Time Flexion–Extension Angle Estimation with an Under-Sensorized Finger Exoskeleton
by Alessia Di Natale, Matilde Gelli, Gherardo Liverani, Alessandro Ridolfi, Benedetto Allotta and Nicola Secciani
Appl. Sci. 2026, 16(3), 1575; https://doi.org/10.3390/app16031575 - 4 Feb 2026
Viewed by 436
Abstract
Hand exoskeletons are used in rehabilitation together with serious games to enhance patient experience and, possibly, therapy outcomes. To achieve good engagement, a realistic virtual representation of hand motion is needed; however, the relationship between exoskeleton joint motion and anatomical finger kinematics is [...] Read more.
Hand exoskeletons are used in rehabilitation together with serious games to enhance patient experience and, possibly, therapy outcomes. To achieve good engagement, a realistic virtual representation of hand motion is needed; however, the relationship between exoskeleton joint motion and anatomical finger kinematics is rarely obtained using low-cost procedures. This work introduces a mechanical redesign and modeling pipeline that utilizes temporary sensors to identify the exoskeleton–finger mapping, enabling qualitatively realistic virtual hand motion driven solely by the existing on-board sensor. A recently developed hand exoskeleton prototype was redesigned to host two temporary rotary encoders aligned with the MetaCarpoPhalangeal (MCP) and Proximal InterPhalangeal (PIP) joints, in addition to the actuation encoder. Healthy subjects wore the modified device and performed full flexion–extension cycles. Encoder trajectories were processed; then each cycle was approximated by a third-order polynomial in the normalized actuation angle, and a group-level model was obtained by averaging coefficients across valid cycles. Finally, the encoder-based reconstructions of MCP and PIP motion were evaluated against measurements from a gold-standard optical motion capture system. Results indicate that the proposed polynomial model enables joint-angle estimation with sufficient accuracy for interactive rehabilitation scenarios, supporting its use to drive smooth virtual hand motion from the on-board exoskeleton encoder alone. Full article
(This article belongs to the Special Issue Latest Advances and Prospects of Human-Robot Interaction (HRI))
Show Figures

Figure 1

15 pages, 1649 KB  
Review
Subacute and Chronic Low-Back Pain: From MRI Phenotype to Imaging-Guided Interventions
by Giulia Pacella, Raffaele Natella, Federico Bruno, Michele Fischetti, Michela Bruno, Maria Chiara Brunese, Mario Brunese, Alfonso Forte, Francesco Forte, Biagio Apollonio, Daniele Giuseppe Romano and Marcello Zappia
Diagnostics 2026, 16(2), 240; https://doi.org/10.3390/diagnostics16020240 - 12 Jan 2026
Viewed by 932
Abstract
Low-back pain (LBP) is a leading cause of disability worldwide. When symptoms persist beyond 4–6 weeks, when red flags are suspected, or when precise patient selection for procedures is needed, imaging—primarily MRI (Magnetic Resonance Imaging)—becomes pivotal. The purpose is to provide a pragmatic, [...] Read more.
Low-back pain (LBP) is a leading cause of disability worldwide. When symptoms persist beyond 4–6 weeks, when red flags are suspected, or when precise patient selection for procedures is needed, imaging—primarily MRI (Magnetic Resonance Imaging)—becomes pivotal. The purpose is to provide a pragmatic, radiology-first roadmap that aligns an imaging phenotype with anatomical targets and appropriate image-guided interventions, integrating MRI-based phenotyping with image-guided interventions for subacute and chronic LBP. In this narrative review, we define operational MRI criteria to distinguish radicular from non-radicular phenotypes and to contextualize endplate/Modic and facet/sacroiliac degenerative changes. We then summarize selection and technique for major procedures: epidural and periradicular injections (including selective nerve root blocks), facet interventions with medial branch radiofrequency ablation (RFA), sacroiliac joint injections and lateral branch RFA, basivertebral nerve ablation (BVNA) for vertebrogenic pain, percutaneous disc decompression, minimally invasive lumbar decompression (MILD), and vertebral augmentation for painful fractures. For each target, we outline preferred and alternative guidance modalities (fluoroscopy, CT, or ultrasound), key safety checks, and realistic effect sizes and durability, emphasizing when to avoid low-value or poorly indicated procedures. This review proposes a phenotype-driven reporting template and a care-pathway table linking MRI patterns to diagnostic blocks and definitive image-guided treatments, with the aim of reducing cascade testing and therapeutic ambiguity. A standardized phenotype → target → tool approach can make MRI reports more actionable and help clinicians choose the right image-guided intervention for the right patient, improving outcomes while prioritizing safety and value. Full article
(This article belongs to the Section Medical Imaging and Theranostics)
Show Figures

Figure 1

17 pages, 3342 KB  
Article
Mechatronic Device for Accurate Characterization of Knee Flexion Based on Pivot Point
by Fernando Valencia, Brizeida Gámez, David Ojeda and Hugo Salazar
Biomechanics 2026, 6(1), 8; https://doi.org/10.3390/biomechanics6010008 - 7 Jan 2026
Cited by 1 | Viewed by 910
Abstract
Objective: The purpose of this study is to develop a mechatronic device capable of characterizing the kinematics of the knee joint, based on the acquisition and analysis of data focused on the knee joint point. Methods: A mechatronic device was designed using dimensional [...] Read more.
Objective: The purpose of this study is to develop a mechatronic device capable of characterizing the kinematics of the knee joint, based on the acquisition and analysis of data focused on the knee joint point. Methods: A mechatronic device was designed using dimensional data from a participant’s lower limb (1.59 m, 57 kg), obtained through 3D scanning. The device, based on a proportional mechanism aligned with anatomical reference points, allows the evolution of the knee joint pivot point (PPKJ) to be recorded. Ten healthy subjects (aged 22–26 years, height 1.50–1.63 m, body mass 48–59 kg) were selected for testing. The device was placed on each knee to record joint trajectories during squats. The trajectories were classified into two groups: extension to flexion and flexion to extension. For each group, the average trajectory was calculated. Results: Forty PPKJ trajectories were obtained, divided into two sets: extension to flexion with a range of 8° to 51.3° and flexion to extension with a range of 6.7° to 56.83°, which allowed the mean trajectory and cubic polynomial regression to be calculated as the best approximation for characterizing the trajectory of the instantaneous center of rotation of the knee joint. Conclusions: The developed mechatronic device offers an accessible and non-invasive solution for recording the trajectory of the knee joint pivot point in individuals with characteristics like those in the study. This alternative approach could improve the representation of knee kinematics in the design of customized prostheses, exoskeletons, and rehabilitation devices for lower limbs. Full article
Show Figures

Figure 1

14 pages, 1434 KB  
Article
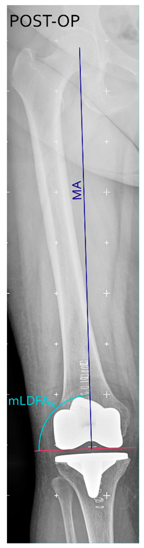
A Novel Surgical Technique for Total Knee Arthroplasty Using the Femoral Trochlear Bisector as a New Landmark: Technical Description and Early Clinical Results
by Maurilio Marcacci, Alberto Favaro, Gregorio Alberto, Luca Alberti, Simonetta Resta, Tommaso Bonanzinga and Francesco Iacono
J. Clin. Med. 2026, 15(2), 404; https://doi.org/10.3390/jcm15020404 - 6 Jan 2026
Viewed by 403
Abstract
Background/Objectives: This study introduces and evaluates a novel surgical technique for total knee arthroplasty (TKA) that uses the trochlear groove bisector (TGB) as an anatomical landmark to achieve kinematic alignment of the femoral component in the coronal plane. The aim of the [...] Read more.
Background/Objectives: This study introduces and evaluates a novel surgical technique for total knee arthroplasty (TKA) that uses the trochlear groove bisector (TGB) as an anatomical landmark to achieve kinematic alignment of the femoral component in the coronal plane. The aim of the present retrospective observational analysis was to assess the reproducibility and accuracy of this approach and to report preliminary clinical outcomes. Methods: Twenty-eight TKA procedures were performed using the TGB-guided alignment technique. Preoperative planning and postoperative assessments were conducted on long-leg weight-bearing radiographs to measure the agreement between planned and achieved alignment, analysed using Bland–Altman statistics. Functional outcomes were evaluated at 12 months with the Knee Society Score (KSS), Forgotten Joint Score (FJS), and patient satisfaction. Results: The mean difference between planned and post-operative mLDFA was −0.3° ± 0.65°, with a root mean square error (RMSE) of 0.7°, demonstrating high accuracy and reproducibility. Postoperative outcomes showed mean KSS (knee = 89.6, function = 91.4), FJS = 69.6 ± 12, mean flexion = 124.6°, and mean HKA = 178°. Ninety percent of patients reported being satisfied or very satisfied at 12 months. Conclusions: The TGB-based technique offers a reliable, easily applicable method for restoring native femoral alignment in TKA using standard instrumentation. It allows accurate prediction of postoperative alignment and achieves favourable early functional outcomes. While currently limited to moderate varus deformities, future developments integrating 3D or CT-based planning may extend its applicability to more complex cases. Full article
Show Figures

Figure 1

19 pages, 4271 KB  
Review
Femoral Malunion and Its Correction: A Review
by Rahul Vaidya, Matthew Mazur, Ihunanya Agomuoh, David Abdelnour, Magd Boutany and Robert Teitge
Medicina 2025, 61(11), 2050; https://doi.org/10.3390/medicina61112050 - 17 Nov 2025
Cited by 1 | Viewed by 1718
Abstract
Background and Objectives: Femoral malunion, defined as healing of a femoral fracture in an anatomically incorrect position, can lead to significant biomechanical and functional impairment despite modern fixation techniques achieving union rates near 99%. The lack of a universal definition and standardized [...] Read more.
Background and Objectives: Femoral malunion, defined as healing of a femoral fracture in an anatomically incorrect position, can lead to significant biomechanical and functional impairment despite modern fixation techniques achieving union rates near 99%. The lack of a universal definition and standardized management approach continues to hinder optimal outcomes. This review aims to synthesize the literature on the causes, clinical presentation, radiologic assessment, surgical indications, corrective procedures, and outcomes of femoral malunion to guide clinical decision-making and future research. Materials and Methods: A narrative review of peer-reviewed orthopedic literature was conducted, focusing on adult femoral malunions across anatomical regions. Articles detailing deformity thresholds, imaging modalities, corrective osteotomies, and fixation strategies were included. Particular emphasis was placed on region-specific deformities—femoral head, neck, intertrochanteric, diaphyseal, and distal femur—and their corresponding surgical correction methods, including valgus intertrochanteric osteotomy, clamshell osteotomy, and lengthening with external or magnetic intramedullary devices. Results: Malunion most commonly presents as angular, rotational, or length deformity, with thresholds of >5–10° angulation, >10° rotation, or >1–2 cm shortening being clinically significant. Patients may experience pain, limp, gait asymmetry, and early-onset arthritis. Corrective techniques tailored to the anatomical site yield favorable results: valgus intertrochanteric osteotomy restores leg length and alignment; diaphyseal malunions respond well to single- or multi-plane osteotomies with internal fixation or gradual correction; distal femoral malunions often require multiplanar osteotomy to reestablish the joint line. Most series report high union rates and functional improvement, though complications such as infection and hardware failure may occur. Conclusions: Femoral malunion remains a complex but treatable condition. Successful outcomes rely on accurate deformity characterization, patient-specific surgical planning, and restoration of mechanical alignment. Standardized deformity criteria and long-term functional outcome studies are needed to refine management algorithms and improve patient care. Full article
(This article belongs to the Section Orthopedics)
Show Figures

Figure 1

43 pages, 8058 KB  
Article
Biomechanical Design and Adaptive Sliding Mode Control of a Human Lower Extremity Exoskeleton for Rehabilitation Applications
by Sk K. Hasan and Nafizul Alam
Robotics 2025, 14(10), 146; https://doi.org/10.3390/robotics14100146 - 21 Oct 2025
Cited by 1 | Viewed by 2041
Abstract
The human lower extremity plays a vital role in locomotion, posture, and weight-bearing through coordinated motion at the hip, knee, and ankle joints. These joints facilitate essential functions including flexion, extension, and internal and external rotation. To address mobility impairments through personalized therapy, [...] Read more.
The human lower extremity plays a vital role in locomotion, posture, and weight-bearing through coordinated motion at the hip, knee, and ankle joints. These joints facilitate essential functions including flexion, extension, and internal and external rotation. To address mobility impairments through personalized therapy, this study presents the design, dynamic modeling, and control of a four-degree-of-freedom (4-DOF) lower limb exoskeleton robot. The system actuates hip flexion–extension and internal–external rotation, knee flexion–extension, and ankle dorsiflexion–plantarflexion. Anatomically aligned joint axes were incorporated to enhance biomechanical compatibility and reduce user discomfort. A detailed CAD model ensures ergonomic fit, modular adjustability, and the integration of actuators and sensors. The exoskeleton robot dynamic model, derived using Lagrangian mechanics, incorporates subject-specific anthropometric parameters to accurately reflect human biomechanics. A conventional sliding mode controller (SMC) was implemented to ensure robust trajectory tracking under model uncertainties. To overcome limitations of conventional SMC, an adaptive sliding mode controller with boundary layer-based chattering suppression was developed. Simulations in MATLAB/Simulink 2025 R2025a demonstrate that the adaptive controller achieves smoother torque profiles, minimizes high-frequency oscillations, and improves tracking accuracy. This work establishes a comprehensive framework for anatomically congruent exoskeleton design and robust control, supporting the future integration of physiological intent detection and clinical validation for neurorehabilitation applications. Full article
(This article belongs to the Section Neurorobotics)
Show Figures

Figure 1

15 pages, 5169 KB  
Article
Twisting Soft Sleeve Actuator: Design and Experimental Evaluation
by Mohammed Abboodi and Marc Doumit
Electronics 2025, 14(20), 4020; https://doi.org/10.3390/electronics14204020 - 14 Oct 2025
Cited by 1 | Viewed by 1413
Abstract
Soft wearable actuators must align with anatomical joints, conform to limb geometry, and operate at low pneumatic pressures. Yet most twisting mechanisms rely on bulky attachment interfaces and relatively high actuation pressures, limiting practicality in assistive applications. This study introduces the first Twisting [...] Read more.
Soft wearable actuators must align with anatomical joints, conform to limb geometry, and operate at low pneumatic pressures. Yet most twisting mechanisms rely on bulky attachment interfaces and relatively high actuation pressures, limiting practicality in assistive applications. This study introduces the first Twisting Soft Sleeve Actuator (TSSA), a self-contained, wearable actuator that produces controlled bidirectional torsion. The design integrates helically folded bellows with internal stabilization layers to suppress radial expansion and enhance torque transmission. The TSSA is fabricated from thermoplastic polyurethane using a Bowden-type fused filament fabrication (FFF) process optimized for airtightness and flexibility. Performance was characterized using a modular test platform that measured angular displacement and output force under positive pressure (up to 75 kPa) and vacuum (down to −85 kPa). A parametric study evaluated the effects of fold width, fold angle, wall thickness, and twist angle. Results demonstrate bidirectional, self-restoring torsion with clockwise rotation of approximately 30 degrees and a peak output force of about 40 N at 75 kPa, while reverse torsional motion occurred under vacuum actuation. The TSSA enables anatomically compatible, low-pressure torsion, supporting scalable, multi-degree-of-freedom sleeve systems for wearable robotics and rehabilitation. Full article
Show Figures

Figure 1

13 pages, 6991 KB  
Article
Predisposition of Hip Prosthesis Component Positioning on Dislocation Risk: Biomechanical Considerations Based on Finite Element Method Analysis
by Maciej Kostewicz, Marcin Zaczyk and Grzegorz Szczęsny
J. Clin. Med. 2025, 14(19), 7056; https://doi.org/10.3390/jcm14197056 - 6 Oct 2025
Cited by 2 | Viewed by 1275
Abstract
Background/Objectives: Total hip arthroplasty (THA) is a widely accepted and effective intervention for advanced degenerative hip disease. However, prosthetic dislocation remains one of the most common postoperative complications. This study aimed to evaluate the biomechanical consequences of implant positioning variations and their influence [...] Read more.
Background/Objectives: Total hip arthroplasty (THA) is a widely accepted and effective intervention for advanced degenerative hip disease. However, prosthetic dislocation remains one of the most common postoperative complications. This study aimed to evaluate the biomechanical consequences of implant positioning variations and their influence on prosthetic stability. Methods: A three-dimensional finite element model (FEM) of the pelvis and hip joint was developed using SolidWorks Professional 2025, based on CT imaging of an anatomically normal adult. Multiple implant configurations were simulated, varying acetabular cup inclination and anteversion angles, femoral stem depth, and femoral offset. Muscle force vectors replicating single-leg stance conditions were applied according to biomechanical reference data. The mechanical performance of each configuration was quantified using the safety factor (SF), defined as the ratio of allowable material stress to calculated stress in the model. Results: The configuration with 45° cup inclination, 15° anteversion, standard femoral offset, and optimal stem depth demonstrated the highest SF values (9–12), indicating a low risk of mechanical failure or dislocation. In contrast, malpositioned implants—particularly those with low or high anteversion, excessive offset, or shallow stem insertion—resulted in a marked decrease in SF values (2–5), especially in the anterosuperior and posterosuperior quadrants of the acetabular interface. Conclusions: The findings underscore the critical importance of precise implant alignment in THA. Even moderate deviations from optimal positioning can substantially compromise biomechanical stability and increase the risk of dislocation. These results support the need for individualized preoperative planning and the use of assistive technologies during surgery to enhance implant placement accuracy and improve clinical outcomes. Full article
(This article belongs to the Section Orthopedics)
Show Figures

Figure 1

15 pages, 20890 KB  
Article
Development of an XAI-Enhanced Deep-Learning Algorithm for Automated Decision-Making on Shoulder-Joint X-Ray Retaking
by Konatsu Sekiura, Takaaki Yoshimura and Hiroyuki Sugimori
Appl. Sci. 2025, 15(19), 10534; https://doi.org/10.3390/app151910534 - 29 Sep 2025
Viewed by 994
Abstract
Purpose: To develop and validate a two-stage system for automated quality assessment of shoulder true-AP radiographs by combining joint localization with quality classification. Materials and Methods: From the MURA “SHOULDER” subset, 2956 anteroposterior images were identified; 59 images with negative–positive inversion, excessive metallic [...] Read more.
Purpose: To develop and validate a two-stage system for automated quality assessment of shoulder true-AP radiographs by combining joint localization with quality classification. Materials and Methods: From the MURA “SHOULDER” subset, 2956 anteroposterior images were identified; 59 images with negative–positive inversion, excessive metallic implants, extreme exposure, or presumed fluoroscopy were excluded, yielding a class-balanced set of 2800 images (1400 OK/1400 NG). A YOLOX-based detector localized the glenohumeral joint, and classifiers operated on both whole images and detector-centered crops. To enhance interpretability, we integrated Grad-CAM into both whole-image and local classifiers and assessed attention patterns against radiographic criteria. Results: The detector achieved AP@0.5 = 1.00 and a mean Dice similarity coefficient of 0.967. The classifier attained AUC = 0.977 (F1 = 0.943) on a held-out test set. Heat map analyses indicated anatomically focused attention consistent with expert-defined regions, and coverage metrics favored local over whole-image models. Conclusions: The two-stage, XAI-integrated approach provides accurate and interpretable assessment of shoulder true-AP image quality, aligning model attention with radiographic criteria. Full article
(This article belongs to the Special Issue Advances in Medical Imaging: Techniques and Applications)
Show Figures

Figure 1

Back to TopTop