Sign in to use this feature.

Years

Between: -

Subjects

remove_circle_outline
remove_circle_outline
remove_circle_outline
remove_circle_outline
remove_circle_outline
remove_circle_outline
remove_circle_outline
remove_circle_outline
remove_circle_outline

Journals

remove_circle_outline
remove_circle_outline
remove_circle_outline
remove_circle_outline
remove_circle_outline
remove_circle_outline

Article Types

Countries / Regions

remove_circle_outline
remove_circle_outline
remove_circle_outline
remove_circle_outline
remove_circle_outline

Search Results (307)

Search Parameters:
Keywords = TBM

Order results
Result details
Results per page
Select all
Export citation of selected articles as:
15 pages, 1611 KB  
Review
Indications and Utility of Posterior Tracheopexy in the Pediatric Population: An Overview of Its Expanding Role in Tracheobronchial Disease
by Nicholas Jose Iglesias, Ali A. Mokdad, Nelson Vicente Guevara, Andres Mauricio Corona, Eduardo Alfonso Perez and Carlos Theodore Huerta
Children 2026, 13(2), 199; https://doi.org/10.3390/children13020199 - 31 Jan 2026
Viewed by 142
Abstract
Background: Tracheobronchial disease, including tracheomalacia (TM) and tracheobronchomalacia (TBM), is a spectrum of congenital and acquired airway disorders characterized by the collapse of the tracheal or mainstem bronchial walls during expiration, particularly when there are increased intrathoracic pressures. Traditional surgical approaches to treat [...] Read more.
Background: Tracheobronchial disease, including tracheomalacia (TM) and tracheobronchomalacia (TBM), is a spectrum of congenital and acquired airway disorders characterized by the collapse of the tracheal or mainstem bronchial walls during expiration, particularly when there are increased intrathoracic pressures. Traditional surgical approaches to treat severe medically refractory TM include anterior approaches, such as aortopexy or anterior tracheopexy. Recently, posterior tracheopexy has emerged to address the widened and mobile posterior tracheal membrane which can cause transient airway obstruction. Method: The National Institute of Health, National Library of Medicine, PubMed, and MEDLINE databases were queried for manuscripts related to posterior tracheopexy in the pediatric population. Preoperative diagnostics, anesthetic considerations, operative technique, clinical outcomes, and operative complications were analyzed in each manuscript. Results: Patients with severe medically refractory cases of TM who are being considered for posterior tracheopexy should undergo thorough preoperative workup by a multidisciplinary team. Cross-sectional, dynamic thoracic imaging and a “quadruple endoscopy”, incorporating laryngoscopy, dynamic bronchoscopy, distal bronchoscopy, and esophagogastroduodenoscopy (EGD) should be obtained as part of a standardized preoperative assessment. Posterior tracheopexy for pre-existing TM significantly improves respiratory symptoms, respiratory infection rates, brief resolved unexplained events, and ventilatory dependence. Recently, posterior tracheopexy during TEF/EA repair has been described and aims to reduce the risk of patients developing TM, the risk of TEF recurrence, and respiratory morbidity following TEF/EA repair. An ongoing randomized controlled trial may help to elucidate the efficacy of primary posterior tracheopexy in select neonates with TEF/EA. Conclusions: Posterior tracheopexy is a valuable surgical technique for the treatment of TM or the reduction in respiratory morbidity following TEF/EA repair in select neonates. Full article
(This article belongs to the Special Issue Challenges and Innovations in Pediatric General Surgery)
Show Figures

Figure 1

26 pages, 4464 KB  
Article
A TCN–BiLSTM–Logarithmic Attention Hybrid Model for Predicting TBM Cutterhead Torque in Excavation
by Jinliang Li, Sulong Liu, Bin Liu, Xing Huang and Bin Song
Appl. Sci. 2026, 16(3), 1425; https://doi.org/10.3390/app16031425 - 30 Jan 2026
Cited by 1 | Viewed by 67
Abstract
To enhance intelligent decision-making for tunneling operations in complex geological conditions, this study proposes a high-precision prediction method for TBM cutterhead torque using engineering data from the west return-air roadway of the Shoushan No. 1 Mine in Pingdingshan, Henan (China). A multisource dataset [...] Read more.
To enhance intelligent decision-making for tunneling operations in complex geological conditions, this study proposes a high-precision prediction method for TBM cutterhead torque using engineering data from the west return-air roadway of the Shoushan No. 1 Mine in Pingdingshan, Henan (China). A multisource dataset integrating geological exploration data, TBM electro-hydraulic parameters, and surrounding rock–TBM interaction indicators was constructed and preprocessed through outlier removal, interpolation restoration, and Savitzky–Golay filtering to extract high-quality steady-state features. To capture the mechanical properties of composite strata, the equivalent strength parameter of composite strata and an integrity-classification index were introduced as key predictors. Based on these inputs, a hybrid TCN–BiLSTM–Logarithmic Attention model was developed to jointly extract local temporal patterns, model global dependencies, and emphasize critical operating responses. Testing results show that the proposed model consistently outperforms TCN, BiLSTM, and TCN-BiLSTM baselines under intact, transitional, and fractured rock conditions. It achieves an RMSE (19.85) and MAPE (3.72%) in intact strata, while in fractured strata RMSE (29.55) and MAPE (10.82%) are reduced by 23.5% and 22.7% relative to TCN. Performance in transitional strata is likewise superior. Overall, the TCN–BiLSTM–Logarithmic Attention model demonstrates the highest prediction accuracy across intact, transitional, and fractured strata; effectively captures the mechanical characteristics of composite formations; and achieves robust and high-precision prediction of TBM cutterhead torque in complex geological environments. Full article
(This article belongs to the Special Issue Tunnel Construction and Underground Engineering)
29 pages, 3654 KB  
Article
Input Variable Effects on TBM Penetration Rate: Parametric and Machine Learning Models
by Halil Karahan and Devrim Alkaya
Appl. Sci. 2026, 16(3), 1301; https://doi.org/10.3390/app16031301 - 27 Jan 2026
Viewed by 259
Abstract
In this study, linear and nonlinear parametric models (M1–M6) were jointly evaluated alongside machine learning (ML)-based approaches to achieve reliable and interpretable prediction of the penetration rate (ROP) of tunnel boring machines (TBMs). The analyses incorporate key geomechanical and structural variables, including the [...] Read more.
In this study, linear and nonlinear parametric models (M1–M6) were jointly evaluated alongside machine learning (ML)-based approaches to achieve reliable and interpretable prediction of the penetration rate (ROP) of tunnel boring machines (TBMs). The analyses incorporate key geomechanical and structural variables, including the brittleness index (BI), uniaxial compressive strength (UCS), mean spacing of weakness planes (DPW), the angle between the tunnel axis and weakness planes (α), and Brazilian tensile strength (BTS). The coefficients of the parametric models were optimized using the Differential Evolution (DE) algorithm. Variable effects were systematically examined through Jacobian-based elasticity analysis under both original and standardized data scenarios. The results indicate that the M6 model, which explicitly incorporates interaction terms, delivers superior predictive accuracy and a more balanced, physically meaningful representation of variable contributions compared to widely used parametric formulations reported in the literature. While the dominant influence of BI and UCS on ROP is consistently preserved across all models, the indirect contributions of variables such as DPW and BTS are more clearly revealed in M6 owing to its interaction-based structure. Model performance improves systematically with increasing complexity, with the coefficient of determination (R2) rising from 0.62 for M1 to 0.69 for M6. Relative to the linear model, M6 achieves a 9.07% reduction in RMSE and a 10.48% increase in R2, while providing additional improvements of 2.47% in RMSE and 2.37% in R2 compared with the closest competing model. ML-based variable importance analyses are largely consistent with the parametric findings, highlighting BI and α in tree-based models, and UCS and α in SVM and GAM frameworks. Notably, the GAM exhibits the highest predictive performance under both data scenarios. Overall, the integrated use of parametric and ML approaches establishes a robust hybrid modeling framework that enables highly accurate and engineering-interpretable prediction of TBM penetration rate. Full article
(This article belongs to the Special Issue Rock Mechanics in Geotechnical and Tunnel Engineering)
Show Figures

Figure 1

24 pages, 47010 KB  
Article
Real-Time Multi-Step Prediction Method of TBM Cutterhead Torque Based on Fusion Signal Decomposition Mechanism and Physical Constraints
by Junnan Feng, Yuzhe Hou, Youqian Liu, Shijia Chen and Ying You
Appl. Sci. 2026, 16(3), 1285; https://doi.org/10.3390/app16031285 - 27 Jan 2026
Viewed by 108
Abstract
The cutterhead torque of a full-face tunnel boring machine (TBM) is a pivotal parameter that characterises the rock-machine interaction. Its dynamic prediction is of considerable significance to achieve intelligent regulation of the boring parameters and enhance the construction efficiency and safety. In order [...] Read more.
The cutterhead torque of a full-face tunnel boring machine (TBM) is a pivotal parameter that characterises the rock-machine interaction. Its dynamic prediction is of considerable significance to achieve intelligent regulation of the boring parameters and enhance the construction efficiency and safety. In order to achieve high-precision time series prediction of cutterhead torque under complex geological conditions, this study proposes an intelligent prediction method (VBGAP) that integrates signal decomposition mechanism and physical constraints. At the data preprocessing level, a multi-step data cleaning process is designed. This process comprises the following steps: the processing of invalid values, the detection of outliers, and normalisation. The non-smooth torque time-series signal is decomposed by variational mode decomposition (VMD) into narrow-band sub-signals that serve as a data-driven, frequency-specific input for subsequent modelling, and a hybrid deep learning model based on Bi-GRU and self-attention mechanism is built for each sub-signal. Finally, the prediction results of each component are linearly superimposed to achieve signal reconstruction. Concurrently, a novel modal energy conservation loss function is proposed, with the objective of effectively constraining the information entropy decay in the decomposition-reconstruction process. The validity of the proposed method is supported by empirical evidence from a real tunnel project dataset in Northeast China, which demonstrates an average accuracy of over 90% in a multi-step prediction task with a time step of 30 s. This suggests that the proposed method exhibits superior adaptability and prediction accuracy in comparison to existing mainstream deep learning models. The findings of the research provide novel concepts and methodologies for the intelligent regulation of TBM boring parameters. Full article
Show Figures

Figure 1

22 pages, 4516 KB  
Article
Adaptive Compensation Algorithm for Slow Response of TBM Hydraulic Cylinders Using a Parallel Auxiliary Pump
by Shaochen Yang, Dong Han, Lijie Jiang, Lianhui Jia, Zhe Zheng, Xianzhong Tan, Huayong Yang and Dongming Hu
Actuators 2026, 15(1), 63; https://doi.org/10.3390/act15010063 - 17 Jan 2026
Viewed by 211
Abstract
Hydraulic thrust cylinders in hard-rock tunnel boring machines (TBMs) often exhibit slow response and sluggish acceleration during start-up, which degrades early-stage tracking performance and limits overall operational accuracy. Most existing studies primarily enhance start-up behavior through advanced control algorithms, yet the achievable improvement [...] Read more.
Hydraulic thrust cylinders in hard-rock tunnel boring machines (TBMs) often exhibit slow response and sluggish acceleration during start-up, which degrades early-stage tracking performance and limits overall operational accuracy. Most existing studies primarily enhance start-up behavior through advanced control algorithms, yet the achievable improvement is ultimately constrained by the system’s flow–pressure capacity. Meanwhile, reported system-level optimization approaches are either difficult to implement under practical TBM operating conditions or fail to consistently deliver high-accuracy tracking. To address these limitations, this paper proposes a “dual-pump–single-cylinder” control framework for the TBM thrust system, where a large-displacement pump serves as the main supply and a parallel small-displacement pump provides auxiliary flow compensation to mitigate the start-up flow deficit. Building on this architecture, an adaptive compensation algorithm is developed for the auxiliary pump, with its output updated online according to the system’s dynamic states, including displacement error and velocity-related error components. Comparative simulations and test-bench experiments show that, compared with a single-pump scheme, the proposed method notably accelerates cylinder start-up while effectively suppressing overshoot and oscillations, thereby improving both transient smoothness and tracking accuracy. This study provides a feasible and engineering-oriented solution for achieving “rapid and smooth start-up” of TBM hydraulic cylinders. Full article
(This article belongs to the Section Control Systems)
Show Figures

Figure 1

22 pages, 4205 KB  
Article
A Two-Phase Switching Adaptive Sliding Mode Control Achieving Smooth Start-Up and Precise Tracking for TBM Hydraulic Cylinders
by Shaochen Yang, Dong Han, Lijie Jiang, Lianhui Jia, Zhe Zheng, Xianzhong Tan, Huayong Yang and Dongming Hu
Actuators 2026, 15(1), 57; https://doi.org/10.3390/act15010057 - 16 Jan 2026
Viewed by 197
Abstract
Tunnel boring machine (TBM) hydraulic cylinders operate under pronounced start–stop shocks and load uncertainties, making it difficult to simultaneously achieve smooth start-up and high-precision tracking. This paper proposes a two-phase switching adaptive sliding mode control (ASMC) strategy for TBM hydraulic actuation. Phase I [...] Read more.
Tunnel boring machine (TBM) hydraulic cylinders operate under pronounced start–stop shocks and load uncertainties, making it difficult to simultaneously achieve smooth start-up and high-precision tracking. This paper proposes a two-phase switching adaptive sliding mode control (ASMC) strategy for TBM hydraulic actuation. Phase I targets a soft start by introducing smooth gating and a ramped start-up mechanism into the sliding surface and equivalent control, thereby suppressing pressure spikes and displacement overshoot induced by oil compressibility and load transients. Phase II targets precise tracking, combining adaptive laws with a forgetting factor design to maintain robustness while reducing chattering and steady-state error. We construct a state-space model that incorporates oil compressibility, internal/external leakage, and pump/valve dynamics, and provide a Lyapunov-based stability analysis proving bounded stability and error convergence under external disturbances. Comparative simulations under representative TBM conditions show that, relative to conventional PID Controller and single ASMC Controller, the proposed method markedly reduces start-up pressure/velocity peaks, overshoot, and settling time, while preserving tracking accuracy and robustness over wide load variations. The results indicate that the strategy can achieve the unity of smooth start and high-precision trajectory of TBM hydraulic cylinder without additional sensing configuration, offering a practical path for high-performance control of TBM hydraulic actuators in complex operating environments. Full article
(This article belongs to the Section Control Systems)
Show Figures

Figure 1

18 pages, 4443 KB  
Article
Quantitative ASL Perfusion and Vessel Wall MRI in Tuberculous Meningitis: A Pre- and Post-Treatment Study
by Yilin Wang, Zexuan Xu, Dong Xu and Dailun Hou
J. Clin. Med. 2026, 15(2), 424; https://doi.org/10.3390/jcm15020424 - 6 Jan 2026
Viewed by 189
Abstract
Background: Tuberculous meningitis (TBM) is a severe central nervous system infection that can lead to cerebral vasculitis and infarction. This study aimed to evaluate changes in cerebral perfusion and vasculitis on magnetic resonance imaging (MRI) before and after anti-tuberculosis treatment, focusing on both [...] Read more.
Background: Tuberculous meningitis (TBM) is a severe central nervous system infection that can lead to cerebral vasculitis and infarction. This study aimed to evaluate changes in cerebral perfusion and vasculitis on magnetic resonance imaging (MRI) before and after anti-tuberculosis treatment, focusing on both infarcted and non-infarcted brain regions and comparing them with age-matched controls. Methods: Quantitative arterial spin labeling (ASL) perfusion and black-blood vessel wall MRI were performed at diagnosis and after 3–6 months of treatment in TBM patients and healthy controls. Regions of interest included infarcted areas, the contralateral normal brain, and TBM-affected regions without infarction. Cerebral blood flow (CBF), perfusion grading, and vasculitis were assessed and correlated with clinical stage and disease severity. Results: In total, 73 TBM patients and 26 controls were included. Among the patients, 26 (35.6%) had acute infarctions, mainly in the basal ganglia and corona radiata, and 65 (89.0%) exhibited vasculitis predominantly involving anterior circulation. Pretreatment MRI showed significantly reduced CBF in infarcted regions compared with contralateral brain and controls (p < 0.05), and both contralateral and non-infarcted TBM regions also showed lower CBF than controls (p < 0.05). After treatment, CBF increased significantly in non-infarcted regions (p < 0.05), and post-treatment perfusion grade correlated with TBM stage and vasculitis severity. Conclusions: TBM-related infarcts demonstrated marked hypoperfusion, while non-infarcted regions exhibited reversible ischemic changes. ASL and vessel wall imaging can quantitatively monitor treatment response and vascular inflammation, as well as predict late infarction in TBM patients. Full article
(This article belongs to the Section Infectious Diseases)
Show Figures

Figure 1

21 pages, 2522 KB  
Article
Integrating SVR Optimization and Machine Learning-Based Feature Importance for TBM Penetration Rate Prediction
by Halil Karahan and Devrim Alkaya
Appl. Sci. 2026, 16(1), 355; https://doi.org/10.3390/app16010355 - 29 Dec 2025
Cited by 1 | Viewed by 521
Abstract
In this study, a Support Vector Regression (SVR) model was developed to predict the rate of penetration (ROP) during tunnel excavation, and its hyperparameters were optimized using Grid Search (GS), Random Search (RS), and Bayesian Optimization (BO). The results indicate that BO reached [...] Read more.
In this study, a Support Vector Regression (SVR) model was developed to predict the rate of penetration (ROP) during tunnel excavation, and its hyperparameters were optimized using Grid Search (GS), Random Search (RS), and Bayesian Optimization (BO). The results indicate that BO reached the optimal parameter set with only 30–50 evaluations, whereas GS and RS required approximately 1000 evaluations. In addition, BO achieved the highest predictive accuracy (R2 = 0.9625) while reducing the computational time from 25.83 s (GS) to 17.31 s. Compared with the baseline SVM model, the optimized SVR demonstrated high accuracy (R2 = 0.9610–0.9625), strong stability (NSE = 0.9194–0.9231), and low error levels (MAE = 0.0927–0.1099), clearly highlighting the critical role of hyperparameter optimization in improving model performance. To enhance interpretability, a feature importance analysis was conducted using four machine learning methods: Random Forest (RF), Bagged Trees (BT), Support Vector Machines (SVM), and the Generalized Additive Model (GAM). The relative contributions of BI, UCS, ALPHA, and DPW to ROP were evaluated, providing clearer insight into the model’s decision-making process and enabling more reliable engineering interpretation. Overall, integrating hyperparameter optimization with feature importance analysis significantly improves both predictive performance and model explainability. The proposed approach offers a robust, generalizable, and scientifically sound framework for TBM operations and geotechnical modeling applications. Full article
Show Figures

Figure 1

25 pages, 7378 KB  
Article
Model Performance Improvement by Accumulated Application of Machine Data in Machine Learning Model for TBM Advance Rate Prediction
by Soon-Wook Choi, Tae-Ho Kang and Soo-Ho Chang
Appl. Sci. 2026, 16(1), 295; https://doi.org/10.3390/app16010295 - 27 Dec 2025
Viewed by 337
Abstract
This study quantitatively verified the impact of applying accumulated data on the model’s prediction accuracy, overfitting, and adaptive learning ability by using a method that accumulates and retrains machine data of a TBM generated whenever excavation progresses at regular intervals. To achieve this, [...] Read more.
This study quantitatively verified the impact of applying accumulated data on the model’s prediction accuracy, overfitting, and adaptive learning ability by using a method that accumulates and retrains machine data of a TBM generated whenever excavation progresses at regular intervals. To achieve this, the performance of five machine learning algorithms was evaluated on two field datasets. The best-performing gradient boosting model was selected as the preliminary model. The performance results of the preliminary model and the cumulative model were then compared using another field dataset. The field data for the performance comparison were divided into 14 steps based on ground information, and the performance of the two models was compared sequentially at each step. The results showed that the preliminary and cumulative models exhibited similar predictive performance in the initial intervals. However, the cumulative model more closely matched actual measurements as new data was added than the preliminary model. Consequently, the preliminary model, based on past data, has clear limitations in adapting to the diverse variables encountered in real-world situations. On the other hand, cumulative models are essential for improving real-time prediction performance of processes with constantly changing environments, such as TBM, by continuously increasing relevant field data. Full article
Show Figures

Figure 1

46 pages, 2542 KB  
Review
Advances in Tuberculous Meningitis: Research, Challenges, and Future Perspectives
by Laura Marinela Ailioaie, Constantin Ailioaie and Gerhard Litscher
Appl. Sci. 2026, 16(1), 232; https://doi.org/10.3390/app16010232 - 25 Dec 2025
Viewed by 768
Abstract
Tuberculous meningitis (TBM) is the most lethal form of tuberculosis (TB), with reported short-term mortality of 20–69% for patients on treatment and five-year deaths exceeding 58%. The World Health Organization has reported a new record of approximately 8.3 million new cases of TB [...] Read more.
Tuberculous meningitis (TBM) is the most lethal form of tuberculosis (TB), with reported short-term mortality of 20–69% for patients on treatment and five-year deaths exceeding 58%. The World Health Organization has reported a new record of approximately 8.3 million new cases of TB diagnosed worldwide, with TBM accounting for 1–5% of these cases in 2024. Heterogeneous clinical manifestations, as well as difficulties in identifying TBM at onset, will delay timely therapy. Drug-resistant TB (DRTB) represents a real threat to public health and is evolving rapidly. Although new drugs have emerged to overcome DRTB, their role in TBM is limited. Our first objective was to update knowledge about the pathogenic mechanisms, clinical manifestations, diagnosis, therapy, and prevention of TBM. Another goal was to highlight advances in nanomedicine and medical imaging in terms of timely diagnosis of TBM and rapid initiation of targeted treatment, including overcoming DRTBM. The last aim was to bring to the attention of infectious disease specialists, neurologists, pediatricians, healthcare professionals, and information technology (IT) specialists the results of clinical trials on TBM published in the last two years. Technological innovation has integrated next-generation sequencing, and IT and artificial intelligence (AI) will develop new applications for precision medicine in TBM and vaccine optimization. Full article
(This article belongs to the Special Issue Tuberculosis—a Millennial Disease in the Age of New Technologies)
Show Figures

Graphical abstract

27 pages, 2484 KB  
Article
Incorporating Life Cycle Assessment into Tunneling Technologies: Environmental Performance of TBM and ADECO–RS Methods
by Daniel Wałach, Justyna Jaskowska-Lemańska and Aleksandra Mach
Sustainability 2025, 17(24), 11368; https://doi.org/10.3390/su172411368 - 18 Dec 2025
Viewed by 341
Abstract
The article presents a quantitative analysis of the influence of selected material and structural parameters on the results of the life cycle assessment of a tunnel lining. The aim of the study was to evaluate the potential for reducing environmental impacts by decreasing [...] Read more.
The article presents a quantitative analysis of the influence of selected material and structural parameters on the results of the life cycle assessment of a tunnel lining. The aim of the study was to evaluate the potential for reducing environmental impacts by decreasing the amount of concrete and reinforcing steel or by modifying the concrete mix composition. The analysis was conducted for two tunneling technologies: TBM and ADECO–RS (14 variants in total). The results indicate that concrete is the dominant factor shaping the environmental impact of the reinforced concrete lining, while reinforcing steel plays a supplementary role, depending on the adopted material variant (4–19%). Despite structural differences, both technologies show a similar level of environmental impacts, which confirms the need for full life cycle analyses and highlights a significant optimization potential within each technology. In the ADECO–RS method, increasing the concrete class did not contribute to reducing environmental impacts, whereas in the TBM method, the use of higher-strength concrete compensated for its higher unit impact by reducing the volume of structural materials. Differences in rankings between indicators confirm the relevance of a comprehensive, multi-criteria analysis in environmental impact assessment. Full article
(This article belongs to the Special Issue Sustainable Development and Analysis of Tunnels and Underground Works)
Show Figures

Figure 1

22 pages, 13983 KB  
Article
Numerical Studies for the Application of the Methodology for Volume Loss of Cohesionless (Loose) Soils (VL,LSR) and the Additional Settlement (Smax) During Shield Tunneling
by Armen Z. Ter-Martirosyan, Ilnaz I. Mustakhimov and Ivan A. Tikhoniuk
Buildings 2025, 15(24), 4555; https://doi.org/10.3390/buildings15244555 - 17 Dec 2025
Viewed by 360
Abstract
This paper presents results of numerical modeling of tunneling using mechanized tunnel boring machines (TBMs) based on a methodology for determining the volume loss cohesionless (loose) soils, denoted as VL,LSR, for shallow tunnels in dispersive soils to estimate surface [...] Read more.
This paper presents results of numerical modeling of tunneling using mechanized tunnel boring machines (TBMs) based on a methodology for determining the volume loss cohesionless (loose) soils, denoted as VL,LSR, for shallow tunnels in dispersive soils to estimate surface and foundation on settlement natural ground. Existing methods for estimating ground surface and structural settlements have significant drawbacks, caused by several factors, including the complexity of determining volume loss using the proposed methodologies, a limited number of empirical parameters describing the technological features of TBM operations, the absence of methods in Russian regulatory documentation for determining volume loss in tunnels with diameters of 6 m or more, among other issues. The study aims to validate a previously developed method for estimating VL,LSR and an empirical equation for predicting surface settlements, Smax, to assess additional settlements induced by tunneling. The proposed volume loss methodology and the modified Smax expression from Peck R.B. (1969), derived from monitoring data, are used in empirical calculations and numerical modeling of surface and building settlements during TBM tunneling. Validation results include back-analysis of geotechnical “tunnel–ground–structure” interaction models, comparisons of additional settlements from design calculations and field monitoring data, as well as comparisons with existing empirical relationships and relevant regulatory documents, followed by recommendations for their integrated application. The validated methods demonstrate good agreement with observed monitoring data, while providing sufficient engineering safety margins, confirming the applicability of the VL,LSR and the modified Smax expression by Peck R.B. (1969) for predicting settlements of tunneling and identifying directions for further research. Full article
Show Figures

Figure 1

24 pages, 3463 KB  
Article
Bridging the Information Gap in Smart Construction: An LLM-Based Assistant for Autonomous TBM Tunneling
by Min Hu, Hongzheng Gao, Qing Mi, Bingjian Wu, Jing Lu and Yongchang Liu
Smart Cities 2025, 8(6), 212; https://doi.org/10.3390/smartcities8060212 - 17 Dec 2025
Viewed by 718
Abstract
The development of autonomous tunneling is crucial for building the intelligent underground infrastructure that smart cities require. However, in complex urban environments, the need for frequent manual intervention during Tunnel Boring Machine (TBM) operation remains a challenge, hindering overall efficiency and safety. To [...] Read more.
The development of autonomous tunneling is crucial for building the intelligent underground infrastructure that smart cities require. However, in complex urban environments, the need for frequent manual intervention during Tunnel Boring Machine (TBM) operation remains a challenge, hindering overall efficiency and safety. To address the human–machine collaboration gap, this study analyzes practical experiences from six tunnel projects that use autonomous driving systems. Building on this foundation, we develop an intelligent assistant powered by a large language model (LLM). The assistant constructs a complete service architecture and intervention mechanism, proposes a phased intention recognition framework, and uses conversational interaction to achieve efficient human–machine communication. Experimental results demonstrate the strong classification performance of our intention recognition model. Furthermore, engineering case studies validate the assistant’s effectiveness in enhancing operational transparency, increasing user trust, bridging the human–machine information gap, and ultimately ensuring safer and more reliable tunneling. This research provides a feasible and innovative technological path for human–machine collaboration in the construction of critical urban infrastructure. Full article
Show Figures

Figure 1

4 pages, 1478 KB  
Interesting Images
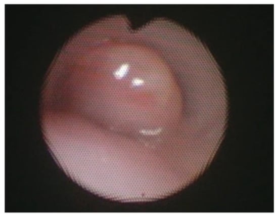
Vestibulocochlear Neuritis as a Paradoxical Reaction in an Immunocompetent Patient with Tuberculous Meningitis
by Sekai Tsujimoto, Koji Hayashi, Mamiko Sato, Yuka Nakaya, Toyoaki Miura and Yasutaka Kobayashi
Diagnostics 2025, 15(24), 3179; https://doi.org/10.3390/diagnostics15243179 - 12 Dec 2025
Viewed by 453
Abstract
A 30-year-old previously healthy man presented with fever and headache. HIV tests yielded negative results. Cerebrospinal fluid (CSF) analysis revealed pleocytosis (619/µL), elevated protein (210.3 mg/dL) and adenosine deaminase levels, and decreased glucose levels. A positive CSF culture for tuberculosis confirmed the patient [...] Read more.
A 30-year-old previously healthy man presented with fever and headache. HIV tests yielded negative results. Cerebrospinal fluid (CSF) analysis revealed pleocytosis (619/µL), elevated protein (210.3 mg/dL) and adenosine deaminase levels, and decreased glucose levels. A positive CSF culture for tuberculosis confirmed the patient had tuberculous meningitis (TBM). He was treated with methylprednisolone, isoniazid, rifampicin, pyrazinamide, and ethambutol (all highly sensitive). His compliance with medication was good. After six weeks of treatment, he was discharged in stable condition. Eight weeks after onset, he was readmitted with vertigo and right deafness. CSF examination showed worsened pleocytosis (819/µL) and protein levels (4296.1 mg/dL). Contrast-enhanced MRI revealed enhancement of meninges in the brainstem and spinal cord as well as the right vestibulocochlear nerve. No brain abscesses were observed. Based on these findings, a paradoxical reaction (PR) with vestibulocochlear neuritis following antituberculous therapy initiation was suspected. He received oral prednisolone, leading to rapid resolution of vestibulocochlear symptoms within two days. Although cranial nerve enhancement due to PR has been mentioned in the literature, specific imaging demonstrating it is scarce. This case highlights PR as a cause of cranial neuropathy in TBM and provides clear radiological evidence of direct inflammatory spread to the vestibulocochlear nerve, bridging a gap in the current literature. Full article
(This article belongs to the Special Issue Brain/Neuroimaging 2025–2026)
Show Figures

Figure 1

20 pages, 7839 KB  
Article
Model Test Study on the Mechanical Characteristics of Boltless Hexagonal Segments in TBM Tunnels
by Xinyu Wang, Xiaoguang Jin, Zhuang Li, Sanlang Zheng and Fan Yao
Buildings 2025, 15(24), 4482; https://doi.org/10.3390/buildings15244482 - 11 Dec 2025
Viewed by 256
Abstract
This study investigated the mechanical properties of a boltless hexagonal segment lining structure in TBM tunnels through a 1:10 scale similarity model test. The analysis considered the effects of burial depth and lateral pressure coefficient. A gypsum-diatomite composite simulated C50 concrete segments, and [...] Read more.
This study investigated the mechanical properties of a boltless hexagonal segment lining structure in TBM tunnels through a 1:10 scale similarity model test. The analysis considered the effects of burial depth and lateral pressure coefficient. A gypsum-diatomite composite simulated C50 concrete segments, and a custom loading system applied equivalent soil-water loads. The tests examined variations in bending moment, axial force and displacement. The results demonstrate that: (1) The tongue-and-groove joints behave like hinges, effectively reducing joint bending moments. (2) The unique staggered interlocking structure induces significantly higher axial forces at the joints than traditional rectangular segments, increasing susceptibility to stress concentration. (3) Increased burial depth has the most significant impact on the tunnel crown, where the bending moment, axial force, and displacement change most notably. (4) The lateral pressure coefficient (λ) alters the joint load transfer mechanism by modifying the structure’s triaxial stress state. An optimal λ of 0.6 maximizes axial force transfer efficiency, while excessively high values impair horizontal load-bearing capacity. (5) Structural failure was ductile, with a final ovality slightly exceeding 10‰. The findings of this study can provide a reference for the design and application of similar boltless hexagonal segment tunnels. Full article
(This article belongs to the Section Building Structures)
Show Figures

Figure 1

Back to TopTop