error_outline You can access the new MDPI.com website here. Explore and share your feedback with us.
 
 
Sign in to use this feature.

Years

Between: -

Subjects

remove_circle_outline
remove_circle_outline
remove_circle_outline
remove_circle_outline
remove_circle_outline
remove_circle_outline
remove_circle_outline
remove_circle_outline
remove_circle_outline

Journals

Article Types

Countries / Regions

remove_circle_outline
remove_circle_outline
remove_circle_outline
remove_circle_outline

Search Results (490)

Search Parameters:
Keywords = Neuroprotective food

Order results
Result details
Results per page
Select all
Export citation of selected articles as:
26 pages, 1063 KB  
Review
Microbial Cell Factories for Phenylethanoid Glycosides: A Review on Engineering Strategies and Perspectives
by Qian Yang, Yu Wang and Xin Zhao
Fermentation 2026, 12(1), 32; https://doi.org/10.3390/fermentation12010032 - 6 Jan 2026
Viewed by 43
Abstract
Due to the neuroprotective and antioxidant properties, phenylethanoid glycosides (PhGs) are valuable plant-derived compounds. Traditional extraction methods are constrained by low yields and limited resources, prompting the integration of synthetic biology and enzyme engineering technologies for sustainable production. This review summarizes the advances [...] Read more.
Due to the neuroprotective and antioxidant properties, phenylethanoid glycosides (PhGs) are valuable plant-derived compounds. Traditional extraction methods are constrained by low yields and limited resources, prompting the integration of synthetic biology and enzyme engineering technologies for sustainable production. This review summarizes the advances in the microbial synthesis of PhGs, emphasizing the elucidation of biosynthetic pathways, enzyme engineering modifications of glycosyltransferases and acyltransferases, and strategies for optimizing microbial cell factories in Escherichia coli and Saccharomyces cerevisiae. Significant advancements encompass the efficient synthesis of verbascoside and echinacoside in S. cerevisiae, as well as the comprehensive elucidation of the echinacoside biosynthetic pathway in Cistanche spp., including the identification of key steps catalyzed by a rhamnosyltransferase, a CYP450 hydroxylase, and a terminal glucosyltransferase that enable pathway reconstruction in S. cerevisiae. We conduct a systematic analysis of methods to address the biosynthetic bottlenecks via protein engineering, including rational design and directed evolution, as well as the metabolic engineering strategies such as precursor enhancement and cofactor recycling. Additionally, we investigate the synthesis of non-natural PhG analogues and the prospective integration with AI-assisted design, emphasizing the significant potential of microbial systems in overcoming the supply challenges for medicine-food homologous ingredients. Full article
(This article belongs to the Section Microbial Metabolism, Physiology & Genetics)
Show Figures

Figure 1

17 pages, 3886 KB  
Article
Propyl Gallate Attenuates Methylglyoxal-Induced Alzheimer-like Cognitive Deficits and Neuroinflammation in Mice
by Hui-Yun Tsai, Jing Qiu, Han-Wei Liao, Chi-I Chang, Yu-Hsiang Chen, Chi-Tang Ho and Yu-Kuo Chen
Int. J. Mol. Sci. 2026, 27(1), 511; https://doi.org/10.3390/ijms27010511 - 4 Jan 2026
Viewed by 196
Abstract
Methylglyoxal (MG), a reactive dicarbonyl metabolite associated with diabetes and metabolic disorders, contributes to carbonyl stress, neuroinflammation, and Alzheimer-like neurodegeneration. This study investigated the neuroprotective effects of propyl gallate (PG), a phenolic antioxidant widely used as a food additive, against MG-induced cognitive impairment [...] Read more.
Methylglyoxal (MG), a reactive dicarbonyl metabolite associated with diabetes and metabolic disorders, contributes to carbonyl stress, neuroinflammation, and Alzheimer-like neurodegeneration. This study investigated the neuroprotective effects of propyl gallate (PG), a phenolic antioxidant widely used as a food additive, against MG-induced cognitive impairment in mice. Male C57BL/6J mice were exposed to 1% MG in drinking water for eight weeks and orally administered PG (20, 40, or 100 mg/kg/d). Behavioral tests demonstrated that PG significantly improved spatial learning and recognition memory and alleviated anxiety-like behavior induced by MG. Histological and biochemical analyses revealed that PG reduced hippocampal neuronal damage, suppressed tau hyperphosphorylation and amyloid-β (Aβ) accumulation, and attenuated the overexpression of pro-inflammatory cytokines TNF-α and IL-6. Furthermore, PG increased PI3K expression and Akt phosphorylation while reducing activation of GSK-3β, counteracting the MG-induced suppression of this pathway and aligning with reduced tau hyperphosphorylation. These findings indicate that PG protects against MG-related cognitive dysfunction through modulation of neuroinflammatory responses and survival-related signaling pathways, highlighting its potential as a neuroprotective dietary antioxidant for metabolic stress-associated neurodegenerative disorders. Full article
Show Figures

Figure 1

18 pages, 3204 KB  
Article
Rhodotorula mucilaginosa JAASSRY Alleviated Oxidative Damage in D-Galactose-Induced Aging Mice by Modulating the Gut Microbiota
by Fenghao An, Yanchun Feng, Da Li, Mei Hua, Xiuquan Wang, Xifei Xu, Yuguang He, Xinyu Miao, Mubai Sun, Honghong Niu, Hongyan Xu and Jinghui Wang
Fermentation 2026, 12(1), 24; https://doi.org/10.3390/fermentation12010024 - 3 Jan 2026
Viewed by 245
Abstract
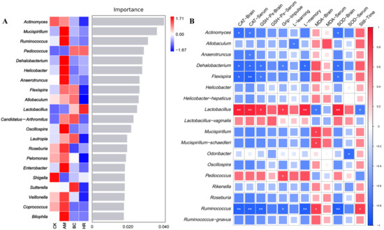
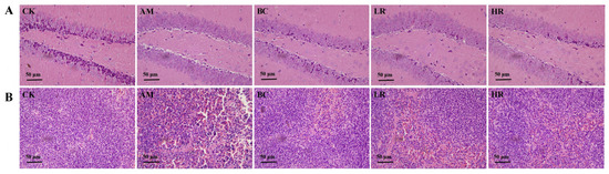
As one of the few carotenoid-producing microorganisms, Rhodotorula mucilaginosa remains underexplored for its antioxidant activity. This study investigated the effects of R. mucilaginosa JAASSRY on D-galactose-induced aging mice. The high-dose JAASSRY (HR) significantly increased body weight by 9.89% compared to the model group [...] Read more.
As one of the few carotenoid-producing microorganisms, Rhodotorula mucilaginosa remains underexplored for its antioxidant activity. This study investigated the effects of R. mucilaginosa JAASSRY on D-galactose-induced aging mice. The high-dose JAASSRY (HR) significantly increased body weight by 9.89% compared to the model group (AM), while reducing organ indices of the spleen, liver, kidneys, and brain (p < 0.01). Compared with the AM group, the HR group exhibited increased serum activities of SOD (20.26%), GSH-Px (9.03%), and CAT (133.01%), with a 24.87% decrease in MDA level. In brain tissue, SOD, GSH-Px, and CAT activities increased by 79.49%, 8.45%, and 60.23%, respectively, while MDA decreased by 8.29%. R. mucilaginosa JAASSRY also dose-dependently alleviated structural damage in the hippocampus and spleen and improved motor strength and learning-memory capacity. Furthermore, R. mucilaginosa JAASSRY increased the abundance of Lactobacillus and reduced Proteobacteria, Helicobacter, and Oscillospira, while enhancing antioxidant capacity by modulating nucleotide, lipid, and carbohydrate metabolism. Lactobacillus and Pediococcus were positively correlated with memory latency and CAT/SOD activities (p < 0.05), whereas Actinormyces and Dehalobacterium showed negative correlations. Notably, HR performed comparably or superiorly to β-carotene in improving cerebral oxidative stress and beneficial microbiota, suggesting its potential in neuroprotection and gut–brain axis regulation. In conclusion, R. mucilaginosa JAASSRY mitigates aging-related oxidative damage and behavioral deficits by modulating gut microbiota structure and function, demonstrating its promise as a β-carotene alternative in animal husbandry and functional foods. Full article
Show Figures

Figure 1

23 pages, 1061 KB  
Review
More than Dysbiosis: Imbalance in Humoral and Neuronal Bidirectional Crosstalk Between Gut and Brain in Alzheimer’s Disease
by Gauhar Tassibekova, Manzura Zholdassova, Nataliia Novosolova, Tarja Malm, Rashid Giniatullin and Almira Kustubayeva
Int. J. Mol. Sci. 2026, 27(1), 369; https://doi.org/10.3390/ijms27010369 - 29 Dec 2025
Viewed by 172
Abstract
The intestinal microbiota, a diverse community of microorganisms residing in the human gut, recently attracted considerable attention as a contributing factor to various neurological disorders, including Alzheimer’s Disease (AD). Within the established framework of the gut–brain axis (GBA) concept, it is commonly suggested [...] Read more.
The intestinal microbiota, a diverse community of microorganisms residing in the human gut, recently attracted considerable attention as a contributing factor to various neurological disorders, including Alzheimer’s Disease (AD). Within the established framework of the gut–brain axis (GBA) concept, it is commonly suggested that dysbiosis, through microbial metabolites entering the brain, affect the cognitive functions in patients with AD. However, evidence for such a role of dysbiosis remains largely associative, and the complexity of the communication channels between the gut and the brain is not fully understood. Moreover, the new players of the GBA are emerging and the AD concept is constantly evolving. The objective of this narrative review is to synthesize the current evidence on the humoral, endocrine, immune, and neural communication mechanisms linking the gut and brain in AD and highlight newly discovered GBA messengers such as microRNAs, extracellular vesicles, T-cells, and the intestinal hormones, including emerging neuroprotective role for glucagon-like peptide-1 (GLP-1). Based on this knowledge, we aimed to develop a conceptual understanding of the GBA function in health and AD. We specify that, in AD, the GBA goes beyond a disrupted microbiome, but operates in conjunction with impaired intestinal secretion, motility, barrier permeability, and neuroinflammatory signaling. These factors are associated with the dysfunction of the hypothalamic–pituitary axis, altered somatic and autonomic neuronal gut regulation, and abnormal, due to memory problems, behavioral aspects of food intake. Identifying the individual profile of key molecular and cellular players contributing to an unbalanced GBA should optimize existing approaches or propose new approaches for the complex therapy of AD. Full article
(This article belongs to the Section Molecular Neurobiology)
Show Figures

Figure 1

24 pages, 2618 KB  
Article
Metal-Associated Particulate Matter (PM2.5) Induces Cognitive Dysfunction: Polygonum multiflorum Improves Neuroinflammation and Synaptic Function
by Hye Ji Choi, Hyo Lim Lee and Ho Jin Heo
Int. J. Mol. Sci. 2026, 27(1), 230; https://doi.org/10.3390/ijms27010230 - 25 Dec 2025
Viewed by 186
Abstract
Fine particulate matter (PM2.5), which contains heavy metals such as Al, Fe, Mg, and Mn, among others, induces cognitive dysfunction through oxidative stress, neuroinflammation, and impaired mitochondria. This study evaluated the neuroprotective effects of a 40% ethanol extract of Polygonum multiflorum [...] Read more.
Fine particulate matter (PM2.5), which contains heavy metals such as Al, Fe, Mg, and Mn, among others, induces cognitive dysfunction through oxidative stress, neuroinflammation, and impaired mitochondria. This study evaluated the neuroprotective effects of a 40% ethanol extract of Polygonum multiflorum (EPM) on PM2.5-induced cognitive dysfunction in a mouse model. Behavioral assessments demonstrated attenuated learning and memory impairment following EPM treatment. Redox homeostasis was restored through increased expression of superoxide dismutase (SOD) and glutathione (GSH) and decreased levels of malondialdehyde (MDA) and mitochondrial reactive oxygen species (mtROS) in the EPM group. Mitochondrial function was attenuated, as indicated by recovery of mitochondrial membrane potential and ATP levels. EPM inhibited neuroinflammation by downregulating the TLR4-MyD88-NF-κB pathway and maintaining blood–brain barrier integrity through the upregulation of tight junction proteins. It modulated neuronal apoptosis through the JNK pathway, reducing the accumulation of amyloid-beta and phosphorylated tau. Synaptic plasticity was preserved through upregulation of BDNF/TrkB signaling and cholinergic neurotransmission via regulation of acetylcholine (ACh), acetylcholinesterase (AChE), and choline acetyltransferase (ChAT). To standardize EPM, high-performance liquid chromatography (HPLC) confirmed the presence of the bioactive compound, tetrahydroxystilbene glucoside (TSG). These findings suggest that EPM may be a promising functional food candidate for mitigating PM2.5-related cognitive impairments. Full article
(This article belongs to the Special Issue Metals and Metal Ions in Human Health, Diseases, and Environment)
Show Figures

Figure 1

18 pages, 3566 KB  
Review
Flavonoids in Plants and Human Health: From Biosynthesis to Neurodevelopmental and Neurodegenerative Disorders
by Joanna Lemanowicz, Kinga Gawlińska, Iwona Jaskulska, Dariusz Jaskulski and Mateusz Sar
Molecules 2026, 31(1), 66; https://doi.org/10.3390/molecules31010066 - 24 Dec 2025
Viewed by 417
Abstract
Flavonoids are a class of natural plant compounds that are categorised within the polyphenolic group. It is widely acknowledged that their structural diversity results in a wide distribution within food sources, thus leading to a concomitant wide spectrum of biological activity. This review [...] Read more.
Flavonoids are a class of natural plant compounds that are categorised within the polyphenolic group. It is widely acknowledged that their structural diversity results in a wide distribution within food sources, thus leading to a concomitant wide spectrum of biological activity. This review provides an updated overview of the main flavonoid subclasses, including flavonols, flavones, flavanones, flavanols, anthocyanins, and isoflavones, and includes an examination of their chemical properties and biosynthetic pathways. The present study will discuss the influence of biotic and abiotic factors on flavonoid function in plants, including their role in ultraviolet protection, stress tolerance, and defence signalling. The regular consumption of foods rich in flavonoids has been demonstrated to be associated with a reduced risk of chronic diseases, including cardiovascular, metabolic diseases, neurodegenerative and neurodevelopmental disorders. This observation underscores the significance of flavonoids in a balanced diet. Medicinal plants play an important role in this task. The mechanisms of action of this substance include antioxidant and anti-inflammatory effects, modulation of signalling pathways, and neuroprotective functions. The present findings underscore the significance of flavonoids as multifunctional bioactive molecules, which hold considerable potential for preventive and therapeutic applications. However, further well-designed human studies are necessary to determine effective dosage, long-term safety, and clinical relevance. Full article
Show Figures

Graphical abstract

14 pages, 1705 KB  
Article
Bioproduction of Gastrodin from Lignin-Based p-Hydroxybenzaldehyde Through the Biocatalysis by Coupling Glycosyltransferase UGTBL1-Δ60 and Carbonyl Reductase KPADH
by Bao Fan, Jiale Xiong, Cuiluan Ma and Yu-Cai He
Processes 2026, 14(1), 55; https://doi.org/10.3390/pr14010055 - 23 Dec 2025
Viewed by 335
Abstract
Gastrodin is a bioactive component of traditional Chinese medicine, exhibiting anti-cancer, anti-inflammatory, antioxidant and neuroprotective properties. It has broad application prospects in health foods, pharmaceuticals and cosmetics. In recent years, the conversion of biomass-derived aldehydes into high-value-added chemicals has garnered widespread attention. In [...] Read more.
Gastrodin is a bioactive component of traditional Chinese medicine, exhibiting anti-cancer, anti-inflammatory, antioxidant and neuroprotective properties. It has broad application prospects in health foods, pharmaceuticals and cosmetics. In recent years, the conversion of biomass-derived aldehydes into high-value-added chemicals has garnered widespread attention. In this study, gastrodin was biosynthesized via a dual-enzyme coupling system consisting of UGTBL1-Δ60 and KpADH. Specifically, lignin-derived p-hydroxybenzaldehyde was used as the substrate. First, the glycosylation of p-hydroxybenzaldehyde by UGTBL1-Δ60 yielded p-hydroxybenzaldehyde β-glucoside, generating the glycosylation reaction solution. Subsequently, bioreduction of the glycosylation product by KpADH produced gastrodin. Under the optimal reaction conditions (0.05 g/mL KpADH whole cells, 50 mM glucose, pH 7.5 and 30 °C) a gastrodin yield of 82.8% was achieved within 12 h. Moreover, both UGTBL1-Δ60 and KpADH retained high catalytic activity after multiple reaction cycles. This study establishes a green and efficient biocatalytic approach for gastrodin synthesis, and also provides new insights into the high-value utilization of lignin. Full article
(This article belongs to the Special Issue (Chemo)biocatalytic Upgrading of Biobased Chemicals and Materials)
Show Figures

Figure 1

17 pages, 668 KB  
Review
Modulating Energy and Redox Homeostasis: A Review of Creatine, L-Carnitine, Melatonin, and Resveratrol in Neurodegenerative Diseases and Organic Acidemias
by Ellen C. S. B. Lima, Artur S. S. Maia, Priscila L. Silva, Enrico Tancredi, Marcela S. Teruel and César A. J. Ribeiro
Nutraceuticals 2026, 6(1), 1; https://doi.org/10.3390/nutraceuticals6010001 - 20 Dec 2025
Viewed by 780
Abstract
Neurological and neurodegenerative diseases encompass a wide range of conditions affecting the central nervous system, leading to progressive dysfunction and damage. These diseases, such as Alzheimer’s, Parkinson’s, and some cerebral organic acidurias, often result in debilitating symptoms impacting motor control, cognitive function, and [...] Read more.
Neurological and neurodegenerative diseases encompass a wide range of conditions affecting the central nervous system, leading to progressive dysfunction and damage. These diseases, such as Alzheimer’s, Parkinson’s, and some cerebral organic acidurias, often result in debilitating symptoms impacting motor control, cognitive function, and sensory processing. Research into their complex etiologies, including the role of energy and redox homeostasis, is crucial for developing effective diagnostics and therapeutic interventions. Despite the current lack of effective treatments for many neurological and neurodegenerative disorders, nutraceuticals are garnering significant interest. These food-derived compounds offer benefits beyond basic nutrition, primarily due to their ability to modulate intracellular processes that are known to be disrupted in these diseases. This study reviews the neuroprotective potential of several nutraceuticals, specifically creatine, acetyl-L-carnitine, melatonin, and resveratrol, as promising adjuvants to therapeutic interventions in neurological and neurodegenerative diseases. Full article
Show Figures

Figure 1

23 pages, 2272 KB  
Article
Neuroinflammation-Modulating Properties Combining Glutathione, N-Acetylcysteine, and Uridine Monophosphate in a Formulation Supplement: An In Vitro Study
by Simone Mulè, Francesca Parini, Rebecca Galla and Francesca Uberti
Brain Sci. 2025, 15(12), 1340; https://doi.org/10.3390/brainsci15121340 - 16 Dec 2025
Viewed by 621
Abstract
Background: Neuropathic pain is a complex condition often resistant to current therapies due to limited efficacy and adverse effects. Nutraceuticals offer promising alternatives, combining antioxidant and anti-inflammatory properties with good tolerability. This study aimed to compare the effects of a commercial nutraceutical [...] Read more.
Background: Neuropathic pain is a complex condition often resistant to current therapies due to limited efficacy and adverse effects. Nutraceuticals offer promising alternatives, combining antioxidant and anti-inflammatory properties with good tolerability. This study aimed to compare the effects of a commercial nutraceutical formulation, SUPERALA CARNITINE® (Pharma Suisse Laboratories SpA, Milan, Italy), containing Alpha-Lipoic Acid (ALA), with a novel formulation, called SUPERALA CARNITINE® Forte, where ALA and vitamin B6 were replaced by N-acetylcysteine (NAC), Glutathione (GSH), and Uridine monophosphate (UMP). Methods: An indirect gut–peripheral nerve axis was employed to simulate oral absorption, metabolism, and effect on nervous tissues using 3D in vitro models. Both formulations and their individual components were assessed for cytotoxicity and permeability in the gut model (Caco-2 cells in Transwell®) and, after gut metabolism, for antioxidant capacity, anti-inflammatory activity, and neuroprotective potential in the peripheral nerve model. Results: SUPERALA CARNITINE® Forte improved cell viability and favoured the maintenance of intestinal integrity, showing enhanced permeability, and significantly reduced oxidative stress (OS) and pro-inflammatory cytokines (TNF-α, IL-2) at the peripheral nervous system. In addition, it increased levels of neuronal markers (p75, MPZ, NRG1, ERβ) and decreased NaV1.7 and NaV1.8 activity, indicating greater neuroprotection and analgesic modulation than the ALA-based formula. Conclusions: The replacement of ALA and vitamin B6 with NAC, GSH, and UMP produced favorable responses in vitro on neuronal cells, supporting a hypothetical potential interest in this nutraceutical combination and justifying further future in vivo investigations. Full article
(This article belongs to the Special Issue Cellular and Molecular Mechanisms of Neuropathic Pain)
Show Figures

Figure 1

37 pages, 3637 KB  
Article
Lemon Juice-Assisted Green Extraction of Strawberry Enhances Neuroprotective Phytochemicals: Insights into Alzheimer’s-Related Pathways
by Youssef Mohamed Sharaf, Jilan A. Nazeam, Karema Abu-Elfotuh, Ayah M. H. Gowifel, Ahmed M. Atwa, Ehsan Khedre Mohamed, Ahmed M. E. Hamdan, Reema Almotairi, Amira M. Hamdan, Samir M. Osman and Hala M. El Hefnawy
Pharmaceuticals 2025, 18(12), 1892; https://doi.org/10.3390/ph18121892 - 15 Dec 2025
Viewed by 946
Abstract
Background/Objective: Alzheimer’s disease (AD) is a neurodegenerative condition characterized by oxidative stress, neuroinflammation, amyloidogenesis, and tau-related pathology. This study investigated the macronutrient and phytochemical composition of strawberry (S), lemon (L), and lemon juice-assisted strawberry (S/L) extracts and evaluated their neuroprotective efficacy relative [...] Read more.
Background/Objective: Alzheimer’s disease (AD) is a neurodegenerative condition characterized by oxidative stress, neuroinflammation, amyloidogenesis, and tau-related pathology. This study investigated the macronutrient and phytochemical composition of strawberry (S), lemon (L), and lemon juice-assisted strawberry (S/L) extracts and evaluated their neuroprotective efficacy relative to selenium (Se) in an aluminum chloride (AlCl3)-induced rat model of AD. Methods: Macronutrients and phenolics were quantified in S, L, and S/L, and the extracts were profiled using high-performance liquid chromatography and electrospray ionization tandem mass-spectrometry. Male Sprague–Dawley rats received AlCl3 with or without S, L, S/L, or Se, and their cognitive performance was assessed using the Morris water maze, Y-maze, and conditioned avoidance tests. Markers of oxidative status, inflammation, cholinergic function, apoptotic signaling, and Wnt3/β-catenin pathway activity were quantified in the brain tissue, and cortico-hippocampal morphology was examined. Results: The S/L extract showed the highest carbohydrate, protein, and lipid content. The total phenolic content was highest in S/L (60.46 mg gallic acid equivalents/g), followed by L (55.08) and S (44.75), with S/L also being the richest in gallic, ellagic, and chlorogenic acids. S/L attenuated AlCl3-induced cognitive deficits, restored antioxidant status, suppressed neuroinflammation, improved cholinergic indices, modulated apoptotic signaling, and downregulated amyloidogenic and NLRP3 inflammasome markers, consistent with histological evidence of neuronal preservation. Conclusions: Lemon juice-assisted extraction enhanced the macronutrient and phenolic richness and multitarget neuroprotection of strawberries. S/L co-extracts represent promising functional food–derived adjuvants for AD management and support integrative compositional–mechanistic profiling to optimize natural product–based interventions. Full article
Show Figures

Graphical abstract

14 pages, 2021 KB  
Article
Metabolic and Neuroenergetic Effects of Intranasal Vitamin C Application in the Human Brain
by Lena-Christin Ingwersen, Alina Kistenmacher, Uwe H. Melchert and Kerstin M. Oltmanns
Nutrients 2025, 17(24), 3875; https://doi.org/10.3390/nu17243875 - 11 Dec 2025
Viewed by 449
Abstract
Background: Compared with normal weight, obese individuals display a variety of deviant measures in neuroenergetic status, food intake behavior, glucose metabolism, and circulating vitamin C levels. A chronically lowered neuroenergetic content is associated with increased food intake and disturbed glucose metabolism in [...] Read more.
Background: Compared with normal weight, obese individuals display a variety of deviant measures in neuroenergetic status, food intake behavior, glucose metabolism, and circulating vitamin C levels. A chronically lowered neuroenergetic content is associated with increased food intake and disturbed glucose metabolism in obesity. In turn, a vitamin C deficiency found in obesity may be connected to these disturbances. Therefore, we investigated the effects of vitamin C application in the human brain. Methods: We intranasally applied vitamin C (80 mg ascorbic acid/day) vs. placebo for 8 consecutive days in 15 normal weight (BMI 20–25 kg/m2) and 15 obese (BMI > 30 kg/m2) men. The neuroenergetic content of adenosine triphosphate (ATP) and phosphocreatine (PCr) was assessed by 31phosphorous magnetic resonance spectroscopy, a non-invasive real-time technique to measure high-energy phosphate compounds in living tissues. Peripheral vitamin C, glucose, and insulin concentrations were measured, and spontaneous food intake was quantified by the standardized buffet test. Results: In the obese group, vitamin C application acutely suppressed the physiological insulin response on the first experimental day (p = 0.003). The following eight days of intranasal vitamin C led to higher serum vitamin C concentrations as compared to placebo (p = 0.011), compensated for the missing food intake-induced serum vitamin C rise (p ≤ 0.002), and attenuated a PCr decline (p = 0.008) in this group. Correlation analyses revealed a general link between serum vitamin C concentrations and the neuroenergetic state in both groups (p ≤ 0.033). Food intake was not influenced. Conclusions: Intranasal vitamin C application acutely improves insulin sensitivity, compensates for a vitamin C deficiency, and may act in a neuroprotective way in obese men. It could therefore be a future candidate as an adjuvant therapeutic option in obesity treatment. Full article
(This article belongs to the Special Issue Dietary Factors and Interventions for Cognitive Neuroscience)
Show Figures

Figure 1

26 pages, 6085 KB  
Article
Development and Genomic Evaluation of a Novel Functional Fermented Milk Formulated with Lactobacillus delbrueckii Strains and Jujuba Kernel Powder for Potential Neuroprotective Effects
by Amel A. Ibrahim, Nancy M. El Halfawy, Yuqi Zhang, Ya Liu, Xirui Zhang, Shuxin Zhou, Jianquan Kan and Muying Du
Foods 2025, 14(24), 4264; https://doi.org/10.3390/foods14244264 - 11 Dec 2025
Cited by 1 | Viewed by 178
Abstract
This study aimed to isolate and screen lactic acid bacteria (LAB) with neuroprotective potential for food applications. Fifteen strains were screened for probiotic potential properties, γ-aminobutyric acid (GABA) production, and acetylcholinesterase (AChE) inhibitory activity. Lactobacillus delbrueckii AY8 and AY15 demonstrated the strongest probiotic [...] Read more.
This study aimed to isolate and screen lactic acid bacteria (LAB) with neuroprotective potential for food applications. Fifteen strains were screened for probiotic potential properties, γ-aminobutyric acid (GABA) production, and acetylcholinesterase (AChE) inhibitory activity. Lactobacillus delbrueckii AY8 and AY15 demonstrated the strongest probiotic potential, AChE inhibitory activity, and GABA production. Whole-genome sequencing confirmed genes linked to these probiotic and neuroprotective traits. To assess their functionality in a food matrix, the strains were used as adjunct cultures in fermented milk with and without jujube kernel powder (JP). Fermentation with the AY8 strain in JP-fortified milk significantly increased bioactive compounds, resulting in higher total phenolic content (235.75 mg GAE/g), flavonoids (114.07 mg RE/g), and superior antioxidant activity (110.24 mg Ascorbic equivalent/100 g). This biotransformation led to a remarkable increase in AChE inhibition, with the AY8-fermented sample achieving 30.66% inhibition, significantly higher than the JP control (18.27%) and the plain control (12.30%). The combination also improved the product’s viscosity and sensory profile. This study highlights the successful discovery of novel L. delbrueckii strains, whose application in a food model, when combined with a plant-based supplement, creates a functional food with enhanced neuroprotective potential, underscoring the role of microbial metabolism in food functionality. Full article
(This article belongs to the Section Food Microbiology)
Show Figures

Graphical abstract

34 pages, 1728 KB  
Review
Advances in GABA-Enriched Yogurt and Frozen Yogurt: Microbial Biosynthesis, Functional Properties, and Health Perspectives—A Comprehensive Review
by Muhammad Ameer Ushidee-Radzi, Chong Shin Yee, Raja Balqis Raja-Razali, Nur Asyiqin Zahia-Azizan, Tiziana Di Renzo, Anna Reale, Stefania Nazzaro, Pasquale Marena, Zul Ilham, Nur ‘Aliaa Abd Rahman and Wan Abd Al Qadr Imad Wan-Mohtar
Foods 2025, 14(24), 4254; https://doi.org/10.3390/foods14244254 - 10 Dec 2025
Viewed by 800
Abstract
Gamma-aminobutyric acid (GABA) is a bioactive, non-protein amino acid recognized for its role as an inhibitory neurotransmitter in the human central nervous system. Increasing interest in functional foods has increased attention on GABA due to its potential health benefits, including antihypertensive, anxiolytic, antidepressant, [...] Read more.
Gamma-aminobutyric acid (GABA) is a bioactive, non-protein amino acid recognized for its role as an inhibitory neurotransmitter in the human central nervous system. Increasing interest in functional foods has increased attention on GABA due to its potential health benefits, including antihypertensive, anxiolytic, antidepressant, and neuroprotective effects. This review summarizes the natural dietary sources of GABA and explores advanced strategies for enriching dairy products, particularly yogurt and frozen yogurt (froyo), with GABA. Key microbial species capable of GABA biosynthesis via the glutamate decarboxylase (GAD) pathway are discussed, alongside enzymatic production techniques that support controlled GABA synthesis. A major focus of this review is the evaluation of various methods for incorporating GABA into dairy matrices, including direct GABA fortification and in situ fermentation using GABA-producing strains, with comparisons of yield, sensory attributes, and product stability. Physicochemical analyses and sensory evaluations are presented as essential tools for assessing product performance. Furthermore, the review outlines the therapeutic effects of GABA-fortified foods and their potential roles in managing hypertension, stress, and neurodegenerative disorders. Key challenges, including strain-dependent variability in GABA-production, storage stability, and regulatory compliance are addressed, along with market and legislative considerations for GABA-fortified foods. Future perspectives include the development of novel high GABA-producing strains, process optimization to improve product stability and sensory acceptance, and expanded applications within the functional food sector. Overall, this review provides an integrated, up-to-date overview of technological, functional and regulatory aspects, offering a clear scientific foundation for the development and commercialization of GABA-fortified dairy products. Full article
(This article belongs to the Special Issue Feature Reviews on Food Microbiology)
Show Figures

Graphical abstract

50 pages, 7514 KB  
Review
Traditional Uses, Phytochemistry, Pharmacology, and Toxicology of Belamcanda chinensis: A Review
by Tieqiang Zong, Mingxia Li, Zhengyu Hu, Long Jin, Yanan Liu, Yuanqi Duan, Jinfeng Sun, Wei Zhou and Gao Li
Plants 2025, 14(23), 3688; https://doi.org/10.3390/plants14233688 - 3 Dec 2025
Cited by 1 | Viewed by 1005
Abstract
The Belamcanda chinensis (L.) Redouté is a perennial herb belong to the genus Belamcanda, primarily found in China, but with additional distribution in North Korea, South Korea, Japan, and India. The rhizomes of B. chinensis have a long history of use as [...] Read more.
The Belamcanda chinensis (L.) Redouté is a perennial herb belong to the genus Belamcanda, primarily found in China, but with additional distribution in North Korea, South Korea, Japan, and India. The rhizomes of B. chinensis have a long history of use as a traditional herbal medicine in China, one that is recognized for its effects in clearing heat, in detoxifying and eliminating phlegm, and in soothing the throat. In this review, we conducted a comprehensive search across several databases, both Chinese and international, using the primary keyword Belamcanda chinensis paired with a relevant research area (e.g., chemical composition, pharmacology). The databases included Sci-Finder, ScienceDirect, PubMed, China National Knowledge Infrastructure, Wiley, Springer Baidu Scholar and Research Gate, as well as domestic materia medica. We illustrated the chemical structures using ChemBioDraw Ultra 22.0 software. There are more than 10 proprietary Chinese medicines already on the market that consist of or originate from B. chinensis. More than 200 natural products have been isolated and identified from B. chinensis, including iridal-type triterpenoids, flavonoids, phenolics, quinones, sesquiterpenes, and polysaccharides. Modern pharmacological studies indicate that both crude extracts and monomeric compounds exhibit anti-inflammatory, anti-tumor, antioxidant, neuroprotective and anti-diabetic activities, with potential regulatory pathways. Additionally, B. chinensis demonstrates toxicity to fish, mollusks and arthropods. Clinical studies have shown that formulas containing B. chinensis as the main ingredient have a good therapeutic effect on respiratory diseases. In summary, B. chinensis presents promising prospects for application in medicine, functional food, cosmetics and agriculture. Therefore, we have reviewed the chemical composition, pharmacological activities (both in vivo and in vitro), structure–activity relationships, toxicity and clinical application of B. chinensis over the past 40 years, aiming to provide a theoretical basis for the subsequent comprehensive utilization of the plants. Full article
Show Figures

Figure 1

23 pages, 2824 KB  
Article
Functional and Nutritional Properties of Lion’s Mane Mushrooms in Oat-Based Desserts for Dysphagia and Healthy Ageing
by Samiddhi Gunathilake, Supuni Aluthge, Asgar Farahnaky, Tien Huynh, Geoffrey Ssepuuya and Mahsa Majzoobi
Foods 2025, 14(23), 4153; https://doi.org/10.3390/foods14234153 - 3 Dec 2025
Viewed by 998
Abstract
Hericium erinaceus (Lion’s Mane mushroom) is a medicinal species recognised for its neuroprotective and antioxidant properties. This study investigated its potential as a functional ingredient in oat milk-based desserts formulated for individuals with dysphagia. Freeze-dried Lion’s Mane powder (LMP), containing high-quality protein (~16%, [...] Read more.
Hericium erinaceus (Lion’s Mane mushroom) is a medicinal species recognised for its neuroprotective and antioxidant properties. This study investigated its potential as a functional ingredient in oat milk-based desserts formulated for individuals with dysphagia. Freeze-dried Lion’s Mane powder (LMP), containing high-quality protein (~16%, amino acid score 88%), dietary fibre (~31%), and phenolic compounds (72.15 mg GAE/g), was incorporated at varying levels using gelatin or iota-carrageenan (IC) as gelling agents. Incorporation of up to 5% LMP significantly improved the nutritional composition and maintained favourable texture and sensory characteristics while meeting the International Dysphagia Diet Standardisation Initiative (IDDSI) Level 6 criteria. Both manual and instrumental fork pressure tests confirmed that all samples were soft and easy to compress without stickiness or deformation recovery, ensuring safe swallowing. Higher inclusion levels of LMP or hydrocolloids increased hardness and firmness but adversely affected colour and mouthfeel. Carrageenan-based formulations further supported the development of vegan-friendly options with stable structure and desirable rheology. Overall, the study demonstrates that Lion’s Mane-enriched soft foods can deliver enhanced nutrition and texture suitable for dysphagic diets, offering a novel, plant–fungal approach to supporting healthy ageing with potential neuroprotective properties. Full article
(This article belongs to the Special Issue Edible Mushroom: Nutritional Properties and Its Utilization in Foods)
Show Figures

Graphical abstract

Back to TopTop