Sign in to use this feature.

Years

Between: -

Subjects

remove_circle_outline
remove_circle_outline
remove_circle_outline
remove_circle_outline
remove_circle_outline
remove_circle_outline
remove_circle_outline
remove_circle_outline
remove_circle_outline

Journals

remove_circle_outline
remove_circle_outline
remove_circle_outline
remove_circle_outline
remove_circle_outline
remove_circle_outline
remove_circle_outline
remove_circle_outline

Article Types

Countries / Regions

remove_circle_outline
remove_circle_outline

Search Results (404)

Search Parameters:
Keywords = Legionella

Order results
Result details
Results per page
Select all
Export citation of selected articles as:
16 pages, 1024 KB  
Article
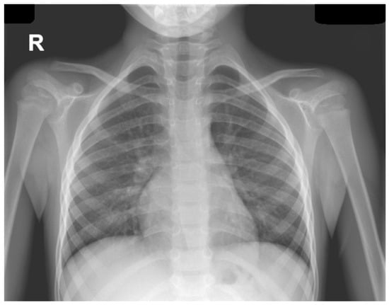
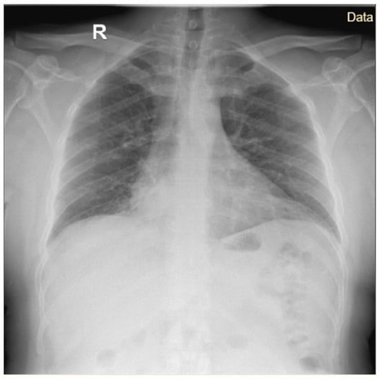
Characteristics of Legionnaires’ Disease Cases Hospitalized at a Specialized Infectious Disease Hospital, 2023–2024, with a Focus on Clusters Associated with Travel to a Spa Resort
by Constanța-Angelica Vișan, Gina Filip, Carmen-Cristina Vasile, Anca Cristina Drăgănescu, Gheorghiță Jugulete, Anca Streinu-Cercel, Andreea Tudor, Laurențiu Mihăiță Stratan, Daniela Pițigoi and Ana Maria Tudor
Microorganisms 2026, 14(4), 935; https://doi.org/10.3390/microorganisms14040935 - 21 Apr 2026
Abstract
Legionnaires’ disease is a rare cause of atypical pneumonia associated with a high mortality rate among untreated patients. In Romania, the disease has historically been underreported due to insufficient surveillance and limited diagnostic capacity. The aim of this study was to describe the [...] Read more.
Legionnaires’ disease is a rare cause of atypical pneumonia associated with a high mortality rate among untreated patients. In Romania, the disease has historically been underreported due to insufficient surveillance and limited diagnostic capacity. The aim of this study was to describe the characteristics of Legionnaires’ disease cases admitted to a specialized infectious disease hospital between 2023 and 2024, with a particular focus on a cluster associated with travel to a spa resort. Most cases included in our study (31/36) were confirmed by urinary antigen testing, while one case was confirmed by a significant increase in the level of specific antibodies against Legionella pneumophila serogroup 1 in paired serum samples. The most frequently reported symptom was fever (28/32), followed by chills (24/32). Among the 32 confirmed cases, 3 patients died. Two cases were identified as part of a family cluster involving a father and son who had undergone physiotherapy at a balneary resort. Both patients presented with fever and gastrointestinal symptoms, and radiological investigations confirmed mixed pneumonia associated with an intense inflammatory syndrome. In the father’s case, hepatic involvement and interstitial nephritis were also identified. Early diagnosis based on epidemiological data, clinical predictive scores, and laboratory investigations would allow timely administration of targeted antibiotic therapy and may contribute to reduced mortality. Full article
(This article belongs to the Special Issue Infectious Disease Surveillance in Romania: Second Edition)
Show Figures

Figure 1

16 pages, 818 KB  
Article
One Sample, Many Insights: The Epidemiological and Public Health Value of Multiplex PCR Respiratory Panels Following the End of the COVID-19 Pandemic
by Vanja Kaliterna, Nora Josipa Savičević, Vinko Zoranić, Marta Righi, Duje Rakić and Anamarija Jurčev Savičević
Microorganisms 2026, 14(4), 887; https://doi.org/10.3390/microorganisms14040887 - 16 Apr 2026
Viewed by 224
Abstract
Background: Molecular diagnostics may detect several respiratory pathogens simultaneously with rapid turnaround times. The aim of this study was to determine the frequency and distribution of respiratory pathogens among symptomatic outpatients. Methods: All outpatients presented for testing due to suspected acute respiratory infection [...] Read more.
Background: Molecular diagnostics may detect several respiratory pathogens simultaneously with rapid turnaround times. The aim of this study was to determine the frequency and distribution of respiratory pathogens among symptomatic outpatients. Methods: All outpatients presented for testing due to suspected acute respiratory infection between 1 January and 31 December 2024 to the Teaching Institute for Public Health of Split-Dalmatia County, Croatia, and multiplex real-time PCRs for 13 respiratory pathogens were included. Results: Out of 15,437 analyzed panels, 8878 (57.5%) were positive. Single-pathogen infections dominated (82.6%), while co-infections were recorded in 17.4% of panels; therefore, a total of 10,546 individual pathogens were detected, which were mostly viruses (87.0%). The following distribution of pathogens was observed: rhinovirus/enterovirus in 38.9% of positive results, influenza A virus in 14.5%, SARS-CoV-2 in 9.5%, parainfluenza virus in 7.9%, respiratory syncytial virus in 7.3%, Mycoplasma pneumoniae in 4.9%, Bordetella pertussis in 4.6%, human metapneumovirus in 4.2%, adenovirus in 3.4%, Chlamydia pneumoniae in 3.4%, influenza B virus in 1.3%, Bordetella parapertussis in 0.1% and Legionella pneumophila had one positive result. The first trimester of the year had the highest number of positive test panels (47.0%). Conclusions: Our study demonstrates a predominance of viral pathogens across all age groups and seasons, further supporting guideline-based practice and highlighting the importance of confirming bacterial infection before initiating antibiotic therapy. This insight into the post-pandemic circulation of respiratory pathogens may help inform public health strategies, including improved surveillance, anticipation of seasonal outbreaks, and targeted interventions, thereby supporting future pandemic preparedness and mitigation efforts. Full article
Show Figures

Figure 1

26 pages, 1097 KB  
Review
Public Health Risks of Pathogenic Bacteria in Freshwater Bodies: A Review of Quantitative Microbial Risk Assessment Approaches and Applications
by Manu Priya, Shvetambri Jasrotia and Akebe Luther King Abia
Limnol. Rev. 2026, 26(1), 10; https://doi.org/10.3390/limnolrev26010010 - 14 Mar 2026
Viewed by 694
Abstract
Freshwater ecosystems play an important role in human survival, ecosystem functioning, and biodiversity conservation, yet industrialisation and urbanisation dump over 80% of untreated sewage into them. This inadequate wastewater management leads to enteric pathogens like Escherichia coli, Salmonella, Shigella, Campylobacter [...] Read more.
Freshwater ecosystems play an important role in human survival, ecosystem functioning, and biodiversity conservation, yet industrialisation and urbanisation dump over 80% of untreated sewage into them. This inadequate wastewater management leads to enteric pathogens like Escherichia coli, Salmonella, Shigella, Campylobacter, Vibrio cholerae, Pseudomonas aeruginosa, and Legionella pneumophila that are responsible for a wide range of waterborne human diseases globally with extensive morbidity and mortality. The World Health Organization (WHO) estimates that at least 2 billion individuals drink water contaminated with pathogens, resulting in illnesses like cholera, dysentery, and diarrhoea, and approximately 50,000 diarrheal deaths annually. Classical epidemiology approaches are the basis for determining disease burden in public health, but they are limited in their capacity to predict future health risks. Quantitative microbial risk assessment (QMRA) addresses this by estimating the potential health risks of any exposure to microbial pathogens in any environment using four key elements, which include the identification of the microbial hazards, human exposure to the hazard through diverse activities, dose–response relationships, and the estimated risk of the infection. This review summarises information on freshwater pathogens, their occurrence, sources and health implications. The methodological approaches of QMRA in freshwater systems are reviewed with examples drawn from recreational activities, drinking water, and wastewater-impacted environments. Global QMRA studies indicate a wide range of infection risk estimates, reflecting differences in water sources, pathogens, and exposure conditions. Thus, QMRA is known to be a valuable public health tool for freshwater ecosystems, linking microbial contamination dynamics to health risk estimates that support proactive management and policy-relevant decision-making. Full article
(This article belongs to the Special Issue Freshwater Microbiology and Public Health)
Show Figures

Figure 1

4 pages, 161 KB  
Editorial
Legionella: A Key Organism in Water Management
by Romano Spica Vincenzo
Water 2026, 18(5), 579; https://doi.org/10.3390/w18050579 - 28 Feb 2026
Viewed by 283
Abstract
Legionella is a critical organism in the fields of water management, environmental microbiology, and public health [...] Full article
(This article belongs to the Special Issue Legionella: A Key Organism in Water Management)
19 pages, 1225 KB  
Article
Risk Communication and Infodemic Misframing in Legionella spp. Environmental Surveillance: An Infodemiology Case Study
by Antonios Papadakis, Eleftherios Koufakis, Nikolaos Raptakis, George Pitsoulis, Apostolos Kamekis, Dimosthenis Chochlakis, Anna Psaroulaki and Areti Lagiou
Microorganisms 2026, 14(3), 536; https://doi.org/10.3390/microorganisms14030536 - 26 Feb 2026
Viewed by 471
Abstract
Travel-associated Legionnaires’ disease (TALD) events can generate public concern when environmental surveillance findings are communicated without an adequate explanation of the results. This study examined how surveillance data on Legionella spp. were framed and amplified during a TALD-related investigation in Crete, Greece, from [...] Read more.
Travel-associated Legionnaires’ disease (TALD) events can generate public concern when environmental surveillance findings are communicated without an adequate explanation of the results. This study examined how surveillance data on Legionella spp. were framed and amplified during a TALD-related investigation in Crete, Greece, from June to July 2025. A mixed infodemiology and environmental surveillance approach was applied, including the analysis of 95 online media items across nine languages, Google Trends search-interest data, and hotel water-system surveillance data from epidemiologically linked facilities. Sampling conducted in a limited number of hotels associated with TALD cases indicated that approximately 50% of the water samples exceeded the laboratory reporting limit of ≥50 CFU/L for Legionella spp., a numerically correct but context-specific finding. Numerical misframing occurred in 83.7%, 41.7%, and 18.2% of Greek, German, and English language items, respectively, with significant differences across language markets (χ2 (8) = 43.75, p < 0.0001; Cramér’s V = 0.679). Public search-interest signals were transient and geographically limited. Environmental surveillance showed no increase in Legionella pneumophila risk, with similar proportions of samples ≥50 CFU/L in the pre-/peri-infodemic (January–July 2025) and post-infodemic (August–November 2025) periods (23.11% [95% CI: 18.21–28.87] vs. 24.45% [19.34–30.41]) and similar exceedance of ≥1000 CFU/L (13.45% [9.69–18.36] vs. 14.41% [10.45–19.55]). Overall, the loss of contextual interpretation of surveillance results and conflation of laboratory reporting limits with regulatory thresholds were associated with inconsistent public risk perception, without evidence of increased environmental hazard. Full article
(This article belongs to the Section Public Health Microbiology)
Show Figures

Figure 1

14 pages, 3529 KB  
Article
Typing of Legionella Species Using FT-IR Spectroscopy
by Marceli Zuk, Jochen Kurz, Sarah Uhle, Laurine Wehmeier, Markus Petzold and Stefan Zimmermann
Water 2026, 18(4), 515; https://doi.org/10.3390/w18040515 - 20 Feb 2026
Viewed by 634
Abstract
Legionella species are ubiquitous bacteria found worldwide in water, moist environments, soils, and compost. Infection occurs through the inhalation of aerosols, leading to either Pontiac fever or Legionnaires’ disease (LD). Current routine diagnostics typically combine culture-based isolation with Matrix-Assisted Laser Desorption Ionization Time-of-Flight [...] Read more.
Legionella species are ubiquitous bacteria found worldwide in water, moist environments, soils, and compost. Infection occurs through the inhalation of aerosols, leading to either Pontiac fever or Legionnaires’ disease (LD). Current routine diagnostics typically combine culture-based isolation with Matrix-Assisted Laser Desorption Ionization Time-of-Flight Mass Spectrometry (MALDI-TOF MS) for species identification and the Latex Agglutination Test (LAT) for serotyping. However, this workflow is fragmented: MALDI-TOF MS lacks serogroup-specific resolution, while LAT relies on subjective visual interpretation. Therefore, this study evaluated Fourier-transform infrared spectroscopy (FT-IR) as a rapid, high-resolution typing method for Legionella isolates to assess its potential as a single-step diagnostic tool. A total of 200 clinical and environmental Legionella isolates were analyzed using FT-IR, including L. pneumophila serogroups (SG) 1–15 and various non-pneumophila species. Spectral data were analyzed using Principal Component Analysis (PCA) and Linear Discriminant Analysis (LDA). While MALDI-TOF MS provided accurate species identification, FT-IR spectroscopy demonstrated superior typing capabilities by successfully distinguishing L. pneumophila SG 1 distinct from the SG 2–15 complex and allowing for clear discrimination of most non-pneumophila species. Additionally, FT-IR resolved isolates that showed ambiguous or non-reactive results in LAT. These findings demonstrate that FT-IR overcomes the serotyping limitations of MALDI-TOF MS and offers a more objective, cost-efficient extension to the current multi-step routine, potentially closing the diagnostic gap between simple species identification and deep strain characterization. Full article
(This article belongs to the Special Issue Advances in Swimming Pool Hygiene Safety and Spa Research)
Show Figures

Figure 1

11 pages, 787 KB  
Article
Role of Next-Generation Sequencing in Excluding the Nosocomial Origin of a Case of Legionnaires’ Disease Integrating Environmental Surveillance and Clinical Diagnosis
by Francesco Paglione, Cataldo Maria Mannavola, Marilena La Sorda, Maria Luisa Ricci, Maria Scaturro, Silvia Laura Bosello, Roberta Masnata, Francesca Romana Monzo, Sara Vincenti, Patrizia Laurenti, Maurizio Sanguinetti and Flavio De Maio
Microorganisms 2026, 14(2), 486; https://doi.org/10.3390/microorganisms14020486 - 17 Feb 2026
Viewed by 697
Abstract
Legionella pneumophila (Lp) remains one of the major causes of community- and hospital-acquired pneumonia, yet its diagnosis and source attribution continue to pose significant challenges. Here, we describe the case of an immunocompromised patient who developed Legionnaires’ disease during hospitalization. Following [...] Read more.
Legionella pneumophila (Lp) remains one of the major causes of community- and hospital-acquired pneumonia, yet its diagnosis and source attribution continue to pose significant challenges. Here, we describe the case of an immunocompromised patient who developed Legionnaires’ disease during hospitalization. Following activation of the hospital’s internal surveillance system, Lp and Legionella anisa (L. anisa) were recovered from multiple water distribution points using a simplified culture-based protocol. Whole-genome sequencing (WGS) demonstrated that all environmental isolates belonged to a single clonal strain, whereas the clinical isolate was genetically unrelated, thereby excluding the hospital water system as the source of infection. Although not implicated in the patient’s disease, the detection of both Lp and L. anisa within the plumbing system highlighted underlying structural contamination and the potential masking effect of non-L. pneumophila species during culture-based surveillance. These findings support the integration of conventional microbiological methods with high-resolution genomic tools to enhance surveillance accuracy, support outbreak investigations, and strengthen public health responses. Overall, this case underscores the value of WGS as a decisive tool for source attribution, including the robust exclusion of a suspected nosocomial source, in complex clinical and environmental scenarios. Full article
Show Figures

Figure 1

13 pages, 2136 KB  
Article
Sickened by the Weather: Exploring the Climatic Impact on West Nile Virus (WNV) and Legionella pneumophila in Piedmont—A Retrospective Observational Study (2021–2024)
by Paolo Valesella, Antonio Curtoni, Alessio Leone, Marco Iannaccone, Fabrizia Pittaluga, Elisa Zanotto, Alessandro Bondi, Rocco Francesco Rinaldo, Nour Shbaklo, Silvia Corcione, Simone Baldovino, Irene Cecchi, Elisa Menegatti, Paolo Solidoro and Cristina Costa
Infect. Dis. Rep. 2026, 18(1), 18; https://doi.org/10.3390/idr18010018 - 12 Feb 2026
Viewed by 463
Abstract
Background: Climate change represents a major global health challenge, with rising temperatures and altered precipitation patterns influencing the spread of infectious diseases. This study investigated the association between climatic factors (average temperature and precipitation) and the monthly proportion of laboratory-confirmed Legionella pneumophila serogroup [...] Read more.
Background: Climate change represents a major global health challenge, with rising temperatures and altered precipitation patterns influencing the spread of infectious diseases. This study investigated the association between climatic factors (average temperature and precipitation) and the monthly proportion of laboratory-confirmed Legionella pneumophila serogroup 1 and West Nile Virus infections among clinically suspected patients in a large teaching hospital in Northern Italy. Methods: We retrospectively analyzed data from 2021 to 2024. The primary outcome was the monthly proportion of positive tests (standardized per 1000 clinically suspected patients) for Legionella pneumophila serogroup 1 (urinary antigen) and West Nile Virus (serology). Associations with climatic variables were assessed using linear and multivariate regression models, as well as Generalized Additive Models (GAMs). Seasonal effects were evaluated through ANOVA. Results: For Legionella pneumophila, precipitation was not significantly associated with the proportion of positive tests (p = 0.1438; R2 = 0.049). In contrast, average temperature was a significant predictor: each 1 °C increase was associated with +0.52 positive cases per 1000 tested patients (p = 0.000283; R2 = 0.267). Multivariate models confirmed temperature as the dominant factor. For West Nile Virus, precipitation showed no meaningful effect (p = 0.914). However, average temperature demonstrated a significant positive association with the proportion of positive cases (p = 0.00293; coefficient = 9.33), with seasonal analysis highlighting a marked summer peak (mean = 399.68 positive cases per 1000 tested; p = 0.00653). Conclusions: Our findings underline the predominant role of temperature over precipitation in driving the burden of both Legionella pneumophila and West Nile Virus infections among hospitalized patients. These results strengthen the evidence that the life cycles of these pathogens are tightly climate-dependent. Developing effective adaptation strategies is essential to mitigate climate-related health risks. Full article
Show Figures

Figure 1

18 pages, 2396 KB  
Article
Microbiological and Physicochemical Parameters Related to Legionella spp. Colonisation in Hot Water Distribution Systems in Madrid: Case Study in Sports Centres
by María Concepción Almonacid Garrido, Alejandra García-Alonso, María José Villanueva-Suárez and María Dolores Tenorio-Sanz
Appl. Sci. 2026, 16(3), 1628; https://doi.org/10.3390/app16031628 - 5 Feb 2026
Viewed by 419
Abstract
Domestic hot water systems are one of the most important reservoirs of Legionella. It is thought that physicochemical and microbiological water quality influences bacterial development. Accordingly, the objective of this study was to evaluate this relationship in domestic hot water in public [...] Read more.
Domestic hot water systems are one of the most important reservoirs of Legionella. It is thought that physicochemical and microbiological water quality influences bacterial development. Accordingly, the objective of this study was to evaluate this relationship in domestic hot water in public buildings in Madrid for potential health risks and to assess the parameters that could be associated with Legionella contamination, which would assist in developing control strategies to prevent legionellosis. A total of 1695 DHW samples were evaluated over a 14-year period (2007–2020). Legionella was analysed using culture plates and qPCR. The influencing parameters (pH, electrical conductivity, colour, turbidity, Fe nitrites, and coliforms) were analysed following official methods. Furthermore, sport centre risk assessment was carried out. Legionella was isolated in 64 samples. Non-compliance levels for turbidity, colour, iron, nitrites and coliforms were found primarily in samples containing Legionella. Nitrites > 0.5 mg/L, turbidity > 1 NFU, colour ≥ 1 Pt/Co, and building type were good parameters to test Legionella colonisation. The selected influencing factors may be a useful tool for ensuring water supply quality. Full article
(This article belongs to the Special Issue New Approaches to Water Treatment: Challenges and Trends, 2nd Edition)
Show Figures

Figure 1

22 pages, 1409 KB  
Review
Targeting the MR1-MAIT Cell Axis for Vaccination Against Infectious Disease
by Mattie S. M. Timmer, Lisa M. Connor and Bridget L. Stocker
Vaccines 2026, 14(2), 117; https://doi.org/10.3390/vaccines14020117 - 26 Jan 2026
Viewed by 940
Abstract
Mucosal-associated invariant T (MAIT) cells exist in high numbers in the body and have a unique and highly conserved T cell receptor (TCR). They can be activated in a TCR-dependent manner by ligands presented on the monomorphic protein MHC class I-related protein 1 [...] Read more.
Mucosal-associated invariant T (MAIT) cells exist in high numbers in the body and have a unique and highly conserved T cell receptor (TCR). They can be activated in a TCR-dependent manner by ligands presented on the monomorphic protein MHC class I-related protein 1 (MR1) which is found on many cell types, including professional antigen presenting cells (APCs) and epithelial cells. This has sparked interest in the potential to exploit the MR1-MAIT cell axis for the development of vaccines against infectious disease. Within this context an MR1 ligand, typically 5-(2-oxopropylideneamino)-d-ribitylaminouracil (5-OP-RU), is administered with or without a Toll-like receptor (TLR) ligand or cytokine in a pan vaccination approach that would prime the immune response to provide protection against a variety of bacterial and viral pathogens. This strategy has led to enhanced protection in murine models of Legionella longbeachae, Francisella tularensis, Klebsiella pneumoniae, Streptococcus pneumoniae and influenza infection. However, studies against Mycobacterium tuberculosis infection have proven less successful. The second vaccination approach involves pairing the MR1 ligand with more conventional antigens that could activate CD4+ and/or CD8+ T cells. This approach has been successful in murine models of cholera, influenza, and SARS-CoV-2, including in the context of subunit vaccines. However, there are several challenges when using MR1-MAIT cell-mediated vaccine adjuvants. These include the inherent instability of 5-OP-RU and the need for more advanced studies to better understand how the use of MR1 ligands would translate to applications in humans. This review will discuss these aspects and highlight the mechanistic studies that have been undertaken to understand how MAIT cells might elicit their effects within the context of MAIT cell-mediated vaccines for infectious disease. Full article
(This article belongs to the Special Issue Next-Generation Platforms for Vaccine Design and Immune Evaluation)
Show Figures

Figure 1

15 pages, 1411 KB  
Article
Utilizing MALDI-TOF MS for Legionella pneumophila Subspecies Typing and Classification
by Lana Madagi, Shimon Edelstein, Hila Ben-Amram and Yehonatan Sharaby
Water 2026, 18(2), 269; https://doi.org/10.3390/w18020269 - 21 Jan 2026
Viewed by 468
Abstract
Legionella pneumophila (L. pneumophila), the primary causative agent of Legionnaires’ disease, is a waterborne bacterial pathogen that poses significant public health concern. This opportunistic pathogen commonly inhabits both natural and man-made water systems, particularly drinking water distribution systems (DWDSs), where it [...] Read more.
Legionella pneumophila (L. pneumophila), the primary causative agent of Legionnaires’ disease, is a waterborne bacterial pathogen that poses significant public health concern. This opportunistic pathogen commonly inhabits both natural and man-made water systems, particularly drinking water distribution systems (DWDSs), where it can proliferate and pose a risk to human health. In this study, we evaluated the potential of Matrix-Assisted Laser Desorption Ionization Time-of-Flight Mass Spectrometry (MALDI-TOF MS) for rapid and accurate subtyping of L. pneumophila. Our analysis included 70 L. pneumophila strains collected from the Middle East, representing one of the largest and most comprehensive MALDI-TOF MS-based subtyping of strains from this geographically underrepresented region. These strains, representing three Multi-Locus Variable Number Tandem Repeat Analysis (MLVA-8) genotypic groups (GT4, GT6, and GT15), have been extensively characterized in previous studies for their virulence traits, cytotoxicity patterns, and antimicrobial susceptibility profiles. Our findings revealed distinct genotype-associated spectral signatures with 30 discriminatory m/z peaks (p ≤ 0.005). These markers enabled accurate genotype-level classification, achieving over 85% classification accuracy with a Random Forest model and over 71% accuracy using a Decision Tree algorithm. Importantly, the m/z peak at 5358 was uniquely present in the GT15 strains, whereas m/z 5353 was consistently detected in both GT4 and GT6 isolates, demonstrating the potential of specific mass peaks to serve as reliable genotype markers. Furthermore, GT15 strains consistently formed a separate cluster in both Principal Component Analysis (PCA) and hierarchical analyses, whereas GT4 and GT6 exhibited partial overlap, reflecting their exceptionally high genomic similarity. Full article
(This article belongs to the Section Water and One Health)
Show Figures

Graphical abstract

12 pages, 726 KB  
Article
Microbial Diversity in Vehicle Windshield Washer Reservoirs: Findings from Legionella Screening
by Jaqueline T. Bento, Ana Machado, Adriano A. Bordalo, Eliane Silva and João Rodrigo Mesquita
Microorganisms 2026, 14(1), 105; https://doi.org/10.3390/microorganisms14010105 - 4 Jan 2026
Viewed by 549
Abstract
Legionnaires’ disease remains a relevant public health concern, with transmission linked to droplets from diverse aquatic environments, and its burden across Europe, including in Portugal, has been trending up. Vehicle windshield washer reservoirs have been proposed as potential, yet underexplored, habitats for Legionella [...] Read more.
Legionnaires’ disease remains a relevant public health concern, with transmission linked to droplets from diverse aquatic environments, and its burden across Europe, including in Portugal, has been trending up. Vehicle windshield washer reservoirs have been proposed as potential, yet underexplored, habitats for Legionella spp. In this study, we investigated 62 windshield washer fluid samples collected in central Portugal. Cultivation on selective BCYE agar supplemented with GVPC and subsequent molecular identification revealed no evidence of Legionella spp. However, 23 morphologically distinct bacterial isolates were recovered, and sequencing confirmed diverse taxa from the genera Brevundimonas, Sphingomonas, Ralstonia, and Xanthobacter. These findings indicate that washer reservoirs can sustain microbial communities characterized by environmental resilience and biofilm-forming potential, traits that overlap with ecological niches exploited by Legionella. Although no Legionella was detected, this work represents the first systematic survey of windshield washer reservoirs in Portugal, emphasizing their potential role as overlooked microbial ecosystems and highlighting the importance of continued surveillance. Broader characterization of microbial communities in such artificial aquatic systems may yield insights into microbial interactions that shape pathogen persistence and suppression. Full article
(This article belongs to the Section Environmental Microbiology)
Show Figures

Figure 1

8 pages, 1275 KB  
Case Report
Mixed Infectious–Immune Pneumonitis Associated with PD-L1 Blockade: A Case of Durvalumab-Induced Lung Injury Complicated by Human Metapneumovirus Infection
by Luca Pipitò, Chiara Vincenza Mazzola, Ilenia Giacchino, Riccardo De Rosa, Carola Maria Gagliardo, Alessio Giuseppe Lipari, Paola Monte, Federica Furia, Erika Mannino, Rosaria Pecoraro, Nicola Scichilone and Antonio Cascio
J. Clin. Med. 2026, 15(1), 251; https://doi.org/10.3390/jcm15010251 - 29 Dec 2025
Cited by 1 | Viewed by 900
Abstract
Background: Durvalumab, a PD-L1 inhibitor used as consolidation therapy after chemoradiation in unresectable stage III non–small cell lung cancer (NSCLC), can induce immune-related adverse events, among which immune-mediated pneumonitis represents one of the most severe. Differentiating checkpoint inhibitor pneumonitis (CIP) from infectious pneumonia [...] Read more.
Background: Durvalumab, a PD-L1 inhibitor used as consolidation therapy after chemoradiation in unresectable stage III non–small cell lung cancer (NSCLC), can induce immune-related adverse events, among which immune-mediated pneumonitis represents one of the most severe. Differentiating checkpoint inhibitor pneumonitis (CIP) from infectious pneumonia is challenging due to overlapping clinical and radiologic findings. Case presentation: We describe a 67-year-old woman with stage III lung adenocarcinoma treated with chemotherapy, radiotherapy, and durvalumab, who presented with progressive dyspnea and extensive bilateral ground-glass opacities on CT imaging. Laboratory tests revealed leukopenia and elevated inflammatory markers. Despite broad-spectrum antibiotic and antiviral therapy, her condition worsened, requiring high-flow nasal cannula oxygen therapy. Multiplex molecular testing on sputum identified human metapneumovirus (HMPV), while blood cultures and urinary antigens for Streptococcus pneumoniae and Legionella pneumophila were negative. A pulmonology consultation raised suspicion for severe durvalumab-induced pneumonitis exacerbated by viral infection. High-dose methylprednisolone (2 mg/kg/day) followed by a four-week taper led to gradual clinical and radiologic resolution. Durvalumab was permanently discontinued. Discussion: To our knowledge, this is the first reported case of HMPV-associated pneumonitis in a patient receiving durvalumab. This case highlights the potential synergistic interplay between viral infection and immune checkpoint blockade, resulting in severe lung injury. Comprehensive microbiologic evaluation, including molecular diagnostics, is essential to guide therapy and distinguish infectious from immune-mediated causes. Conclusions: Early recognition of mixed infectious and immune-mediated pneumonitis, and timely corticosteroid therapy are critical to achieving favorable outcomes and preventing irreversible pulmonary damage. Full article
(This article belongs to the Section Infectious Diseases)
Show Figures

Figure 1

14 pages, 303 KB  
Article
Community-Acquired Legionella pneumophila Pneumonia: A Case-Control Study in Adult Inpatients from 2019 to 2024
by Paola Di Carlo, Nicola Serra, Teresa Maria Assunta Fasciana, Francesca Fasciana, Luca Pipitò, Anna Giammanco, Angela Capuano, Caterina Carollo, Valentina Caputo, Tommaso Vincenzo Bartolotta, Consolato Maria Sergi and Antonio Cascio
Pathogens 2026, 15(1), 13; https://doi.org/10.3390/pathogens15010013 - 22 Dec 2025
Viewed by 956
Abstract
Background: Legionella pneumophila is frequently acquired in the community and generally linked to contaminated domestic hot water systems, hotels, or other environmental sources or of unknown origin. L. pneumophila is a leading cause of pneumonia, especially in high-risk patients such as those over [...] Read more.
Background: Legionella pneumophila is frequently acquired in the community and generally linked to contaminated domestic hot water systems, hotels, or other environmental sources or of unknown origin. L. pneumophila is a leading cause of pneumonia, especially in high-risk patients such as those over 50 who are immunocompromised or people with pre-existing illnesses. This study examines the factors linked to L. pneumophila acquired in the community in adult patients with hospitalization due to pneumonitis. Methods: This case-control study included 140 hospitalized adult patients admitted to the University Hospital Paolo Giaccone of Palermo between January 2019 and December 2024. Demographic, laboratory, clinical, and microbiological data were collected electronically. Urinary antigen testing and the BioFire FilmArray Pneumonia Panel were used to detect L. pneumophila and were performed within 48 h upon admission. Results: Of 140 pneumonia patients, 70 were positive (SG) and 70 were negative (CG) for L. pneumophila. Comorbidities were significantly associated with the presence of L. pneumophila (p = 0.0046). The most frequent comorbidity was only heart failure (p < 0.0015) and, similarly, for smoke (p = 0.0487). There was no difference in mortality between the two groups (SG). Levofloxacin was the most frequent therapy used in SG (p < 0.0001). Additionally, SG showed significantly lower blood sodium, phosphate, and platelet levels (all p < 0.0001) compared to the CG. In contrast, blood parameters such as LDH, CRP, AST, and ALT were significantly higher (all p < 0.0001). Conclusions: Our research highlights the critical need for early detection of L. pneumophila infections, especially in patients with high CRP levels, moderate hypophosphatemia, or heart failure. In these patients with L. pneumophila, early treatment with macrolide and fluoroquinolone is mandatory to reduce mortality. Full article
9 pages, 454 KB  
Article
Comparison of Typical and Atypical Community Acquired Pneumonia Cases in Hospitalized Patients in Two Tertiary Centers in Riyadh, Saudi Arabia
by Abdullah Almufleh, Abdulrahman Altuwayjiri, Abdulmalik Alshehri, Abdulaziz Alzouman, Abdulhadi Alotaibi and Abdulrahman Alsaedy
Adv. Respir. Med. 2025, 93(6), 58; https://doi.org/10.3390/arm93060058 - 13 Dec 2025
Viewed by 1165
Abstract
Background/Objectives: Community-acquired pneumonia (CAP) is classified into typical and atypical forms, with Mycoplasma pneumoniae, Chlamydia pneumoniae, and Legionella pneumophila being the most common atypical pathogens and Streptococcus pneumoniae and Haemophilus influenzae the most common typical organisms. This study aimed to compare [...] Read more.
Background/Objectives: Community-acquired pneumonia (CAP) is classified into typical and atypical forms, with Mycoplasma pneumoniae, Chlamydia pneumoniae, and Legionella pneumophila being the most common atypical pathogens and Streptococcus pneumoniae and Haemophilus influenzae the most common typical organisms. This study aimed to compare the prevalence, demographics, and clinical outcomes of hospitalized typical and atypical CAP patients. Methods: A cross-sectional study was conducted from January 2016 to June 2022 at two tertiary hospitals in Riyadh, Saudi Arabia. All inpatients diagnosed with CAP by imaging and clinical findings were included, excluding viral cases. Outcomes measured included pathogen testing and identification, hospitalization duration, ICU stay, and in-hospital mortality. Results: Among 1238 CAP hospitalizations, 65% underwent molecular testing, with atypical pathogens detected in 17 cases (2.09%). Mycoplasma pneumoniae was the most common organism. The cases had an almost equal male-to-female ratio. Mean hospitalization was 12 days overall versus 4 days for atypical pneumonia. Of 265 ICU admissions, none tested positive for atypical CAP. Overall mortality was 6.94%, with no deaths in atypical pneumonia positive patients. Conclusions: PCR molecular testing was performed in 65% of patients hospitalized with CAP, and atypical pneumonia organisms were uncommon in these patients, with Mycoplasma pneumoniae being the most common. Clinical outcomes were more favorable for these patients. Expanding molecular testing may improve pathogen detection and guide target management. Full article
Show Figures

Figure 1

Back to TopTop