Sign in to use this feature.

Years

Between: -

Subjects

remove_circle_outline
remove_circle_outline
remove_circle_outline
remove_circle_outline
remove_circle_outline
remove_circle_outline
remove_circle_outline
remove_circle_outline
remove_circle_outline

Journals

remove_circle_outline
remove_circle_outline
remove_circle_outline
remove_circle_outline
remove_circle_outline
remove_circle_outline

Article Types

Countries / Regions

remove_circle_outline
remove_circle_outline
remove_circle_outline
remove_circle_outline
remove_circle_outline

Search Results (460)

Search Parameters:
Keywords = FK866

Order results
Result details
Results per page
Select all
Export citation of selected articles as:
24 pages, 7600 KB  
Article
Integrated Study of Morphology and Viscoelastic Properties in the MG-63 Cancer Cell Line
by Guadalupe Vázquez-Cisneros, Daniel F. Zambrano-Gutierrez, Grecia C. Duque-Gimenez, Alejandro Flores-Mayorga, Diana G. Zárate-Triviño, Cristina Rodríguez-Padilla, Marco A. Bedolla, Jorge Luis Menchaca, Juan Gabriel Avina-Cervantes and Maricela Rodríguez-Nieto
Technologies 2026, 14(1), 60; https://doi.org/10.3390/technologies14010060 - 14 Jan 2026
Viewed by 187
Abstract
Cell morphology and its mechanical properties are crucial factors in cancer development, affecting migration, invasiveness, and the potential risk of metastasis. However, most studies address these aspects separately, limiting the understanding of how morphological complexity relates to cellular mechanics. This work presents an [...] Read more.
Cell morphology and its mechanical properties are crucial factors in cancer development, affecting migration, invasiveness, and the potential risk of metastasis. However, most studies address these aspects separately, limiting the understanding of how morphological complexity relates to cellular mechanics. This work presents an integrated approach that simultaneously quantifies morphology and viscoelasticity in the human osteosarcoma cell line MG-63. Stress–relaxation experiments and optical imaging of the same cells were performed using a custom-built system that couples Atomic Force Microscopy (AFM) with an inverted optical microscope. Morphometric parameters were extracted from cell contours, while viscoelastic properties were obtained by fitting AFM data to the Fractional Kelvin (FK) and Fractional Zener (FZ) models. Among the morphological descriptors, the Shape Complexity (SC) was proposed. It is derived from the Lobe Contribution Elliptical Fourier Analysis (LOCO-EFA), which captures fine-scale contour features overlooked by conventional metrics. Experimental results show that, in MG-63 cells, higher SC values are associated with greater stiffness, indicating a correlation between cell shape complexity and cell stiffness. Furthermore, loading-rate analysis shows that the FZ model captures strain-rate-dependent stiffening more effectively than the FK model. This methodology provides a first approach to jointly analyzing quantitative morphological parameters and mechanical properties, underlining the importance of combined studies to achieve a comprehensive understanding of cell behavior. Full article
Show Figures

Figure 1

21 pages, 2923 KB  
Article
Enhancing the Signature Rose Aroma of Kluyveromyces marxianus-Fermented Milk Beer via Adaptive Laboratory Evolution
by Chen Xing, Youming Tan, Xinchi Jiang, Wenlu Li, Qihao Wang, Zihao Liu, Hong Zeng and Yanbo Wang
Foods 2026, 15(2), 229; https://doi.org/10.3390/foods15020229 - 8 Jan 2026
Viewed by 190
Abstract
Milk beer, a modern Chinese dairy beverage, is usually fermented by the co-culture of lactic acid bacteria (LAB) and Kluyveromyces marxianus (K. marxianus), with the latter known for its ability to produce aroma compounds. However, the accumulation of lactic acid produced [...] Read more.
Milk beer, a modern Chinese dairy beverage, is usually fermented by the co-culture of lactic acid bacteria (LAB) and Kluyveromyces marxianus (K. marxianus), with the latter known for its ability to produce aroma compounds. However, the accumulation of lactic acid produced by LAB can inhibit the growth of K. marxianus, which inevitably hinders the diversity and intensity of flavor compounds in milk beer. In this study, adaptive laboratory evolution (ALE) was applied to the parental strain Kluyveromyces marxianus CICC1953 (Km-P) under different concentrations of lactic acid to obtain an evolved strain Km-ALE-X20 with enhanced acid tolerance and increased titer of phenylethyl alcohol, which has a floral, rose-like aroma. Km-ALE-X20 demonstrated a 16-fold increase in OD600 and a 28-fold increase in phenylethyl alcohol production compared with Km-P in chemically defined medium (CDM) containing 20 g/L lactic acid. Comparative genomics analysis suggested that mutated genes CTA1, TSL1, ERG2 were related to enhanced acid tolerance, while ARO8, ARO9, FKS2 were related to increased production of aroma compounds. Furthermore, Km-ALE-X20-fermented milk beer showed 33.87% and 32.43% higher production in alcohol and ester compounds than that of Km-P-fermented milk beer. Interestingly, sensory analysis showed that while Km-ALE-X20-fermented milk beer had higher sensory scores for rose and fruity aroma attributes, Km-P-fermented milk beer possessed a more balanced aroma profile. This paper highlights the first application of ALE to enhance the signature rose aroma of K. marxianus-fermented milk beer and provides an efficient framework for ALE-based breeding of aroma-producing food microorganisms. Full article
(This article belongs to the Section Food Microbiology)
Show Figures

Figure 1

18 pages, 898 KB  
Article
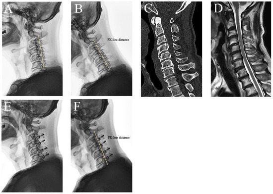
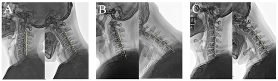
Dynamic K-Line Status and Surgical Outcomes in Multilevel Cervical OPLL: A Multicenter Comparative Study
by Jun Jae Shin, Sun Joon Yoo, Se Jun Park, Dong Kyu Kim, Hyun Jun Jang, Bong Ju Moon, Kyung Hyun Kim, Jeong Yoon Park, Sung Uk Kuh, Dong Kyu Chin, Keun Su Kim, Chang Kyu Lee, Keung Nyun Kim, Tae Woo Kim and Yoon Ha
J. Clin. Med. 2026, 15(2), 520; https://doi.org/10.3390/jcm15020520 - 8 Jan 2026
Viewed by 194
Abstract
Background/Objectives: To evaluate the clinical and radiological outcomes of surgical interventions stratified by dynamic K-line status and to identify predictors of neurological recovery in multilevel cervical ossification of the posterior longitudinal ligament (OPLL). Methods: This study analyzed 535 patients with multilevel [...] Read more.
Background/Objectives: To evaluate the clinical and radiological outcomes of surgical interventions stratified by dynamic K-line status and to identify predictors of neurological recovery in multilevel cervical ossification of the posterior longitudinal ligament (OPLL). Methods: This study analyzed 535 patients with multilevel cervical OPLL who underwent anterior cervical discectomy and fusion (ACDF), laminoplasty (LP), or laminectomy with fusion (LF), with a minimum 24 months of follow-up. Patients were classified based on dynamic K-line status—neutral (NK-line) and flexion (FK-line)—into three groups: Group 1 (NK-line [+]/FK-line [+]), Group 2 (NK-line [+]/FK-line [−]), and Group 3 (NK-line [−]/FK-line [−]). Radiographic parameters, JOA scores, and VAS were compared, and multivariate regression identified predictors of recovery. A multinomial inverse probability of treatment weighting (IPTW) analysis was conducted to reduce treatment selection bias. Results: Progressive dynamic K-line negativity was associated with greater cervical kyphosis, a higher canal-occupying ratio, reduced FK-line distance, and poorer neurological recovery. After IPTW analysis, ACDF showed higher adjusted recovery across subgroups. In Group 1, younger age and fewer operative levels predicted better recovery. In Groups 2 and 3, LF demonstrated significantly greater neurological recovery than LP. A larger preoperative FK-line distance and a greater postoperative FK-line distance increase were independent predictors of favorable outcomes. Conclusions: Dynamic K-line stratification has good prognostic value in multilevel cervical OPLL. ACDF remains the most effective procedure across dynamic K-line status groups, and LF is preferred over LP in patients with latent or fixed FK-line (−). Incorporating dynamic K-line metrics into surgical planning could improve procedure selection and enhance neurological recovery. Full article
(This article belongs to the Section Clinical Neurology)
Show Figures

Graphical abstract

15 pages, 3121 KB  
Article
Genome-Wide Identification of the FKBP Gene Family in Rice and Its Potential Roles in Blast Resistance
by Jiazong Liu, Xin Wang, Wendi Li, Qiyue Xu, Xinhua Ding and Ziyi Yin
Agronomy 2026, 16(2), 149; https://doi.org/10.3390/agronomy16020149 - 7 Jan 2026
Viewed by 237
Abstract
Rice (Oryza sativa L.) is a major global staple crop, yet its productivity is severely constrained by rice blast disease caused by Magnaporthe oryzae. FK506-binding proteins (FKBPs) are peptidyl-prolyl cis-trans isomerases involved in protein folding, stress response, and signaling regulation, but [...] Read more.
Rice (Oryza sativa L.) is a major global staple crop, yet its productivity is severely constrained by rice blast disease caused by Magnaporthe oryzae. FK506-binding proteins (FKBPs) are peptidyl-prolyl cis-trans isomerases involved in protein folding, stress response, and signaling regulation, but their roles in rice blast resistance remain unclear. In this study, we performed a comprehensive identification and characterization of FKBP gene family members in two rice cultivars, Nipponbare (NIP) and Zhonghua 11 (ZH11), based on the latest T2T (telomere-to-telomere) genome assembly of ZH11 and the reference genome of NIP. A total of 24 and 29 FKBP genes were detected in NIP and ZH11, respectively, indicating a slight expansion in ZH11. Phylogenetic and collinearity analyses revealed strong conservation of FKBP family members between the two cultivars, while several ZH11-specific genes likely resulted from recent duplication events. Promoter analysis showed that FKBP genes are enriched in stress and hormone responsive cis-elements, particularly those related to ABA, MeJA, and SA signaling. Transcriptomic and RT-qPCR analyses demonstrated that multiple FKBP genes were significantly regulated during M. oryzae infection, suggesting their potential involvement in defense signaling pathways. This study provides a comprehensive overview of FKBP gene family evolution and expression in rice, identifies candidate genes potentially associated with blast resistance, and offers valuable insights for molecular breeding aimed at improving disease resistance in rice. Full article
Show Figures

Figure 1

17 pages, 8700 KB  
Article
Non-Line-of-Sight Imaging via Sparse Bayesian Learning Deconvolution
by Yuyuan Tian, Weihao Xu, Dingjie Wang, Ning Zhang, Songmao Chen, Peng Gao, Xiuqin Su and Wei Hao
Photonics 2026, 13(1), 53; https://doi.org/10.3390/photonics13010053 - 6 Jan 2026
Viewed by 188
Abstract
By enhancing transient fidelity before geometric inversion, this work revisits the classical LCT-based non line-of-sight (NLOS)imaging paradigm and establishes a unified Bayesian sparse-enhancement framework for reconstructing hidden objects under photon-starved and hardware-limited conditions. We introduce sparse Bayesian learning (SBL) as a dedicated front-end [...] Read more.
By enhancing transient fidelity before geometric inversion, this work revisits the classical LCT-based non line-of-sight (NLOS)imaging paradigm and establishes a unified Bayesian sparse-enhancement framework for reconstructing hidden objects under photon-starved and hardware-limited conditions. We introduce sparse Bayesian learning (SBL) as a dedicated front-end transient restoration module, leveraging adaptive sparsity modeling to suppress background fluctuations while preserving physically consistent multipath returns. This lightweight and geometry-agnostic design enables seamless integration into existing LCT processing pipelines, granting the framework strong compatibility with diverse acquisition configurations. Comprehensive simulations and experiments on complex reflective targets demonstrate significant improvements in spatial resolution, boundary sharpness, and robustness to IRF-induced temporal blurring compared with traditional LCT and f-k migration methods. The results validate that transient quality remains a critical bottleneck in practical NLOS deployment, and addressing it via probabilistic sparsity inference offers a scalable and computationally affordable pathway toward stable, high-fidelity NLOS reconstruction. This study provides an effective signal-domain enhancement solution that strengthens the practicality of NLOS imaging in real-world environments, paving the way for future extensions toward dynamic scenes, multi-view fusion, and high-throughput computational sensing. Full article
Show Figures

Figure 1

16 pages, 2892 KB  
Article
Edible Yellow Mealworm-Derived Antidiabetic Peptides: Dual Modulation of α-Glucosidase and Dipeptidyl-Peptidase IV Inhibition Revealed by Integrated Proteomics, Bioassays, and Molecular Docking Analysis
by Yuying Zhu, Enning Zhou, Yingran Tang, Qiangqiang Li and Liming Wu
Foods 2026, 15(1), 96; https://doi.org/10.3390/foods15010096 - 29 Dec 2025
Viewed by 385
Abstract
Type 2 diabetes mellitus (T2DM) poses a critical global health burden, necessitating safer multi-target therapies. We pioneer the exploration of novel bioactive peptides from Tenebrio molitor larvae—an underexplored, sustainable, and edible insect protein—through proteomics-guided screening and bioassays. Six unique peptides (DK-7, WK-6, GR-7, [...] Read more.
Type 2 diabetes mellitus (T2DM) poses a critical global health burden, necessitating safer multi-target therapies. We pioneer the exploration of novel bioactive peptides from Tenebrio molitor larvae—an underexplored, sustainable, and edible insect protein—through proteomics-guided screening and bioassays. Six unique peptides (DK-7, WK-6, GR-7, FK-8, SK-6, and DK-8) demonstrated significant α-glucosidase and dipeptidyl-peptidase IV (DPP-IV) inhibitory effects, and significant glucose consumption enhancement in insulin-resistant HepG2 cells. Molecular docking revealed a binding topology where peptides interacted with α-glucosidase at its active sites (Glu271, Arg643, Arg647, Arg653, Tyr733, Lys765, and Glu767) and with DPP-IV at active residues (Phe357, Tyr547, Trp629, Asp729, and Gln731) through dual hydrogen-bond networks and hydrophobic interactions, establishing a novel inhibition mechanism. We wish to propose that insect-derived biopeptides have potential value as next-generation therapeutics, simultaneously advancing sustainable drug discovery and approximating functional food bioresources to biomedicine. Full article
(This article belongs to the Section Nutraceuticals, Functional Foods, and Novel Foods)
Show Figures

Figure 1

23 pages, 18387 KB  
Article
Experimental and Numerical Study of the Seismic Behavior of Single-Plane Trussed CFSST Composite Column Frames
by Zongmin Zhang, Peng Yuan and Lanhua Chen
Buildings 2026, 16(1), 114; https://doi.org/10.3390/buildings16010114 - 26 Dec 2025
Viewed by 132
Abstract
A trussed concrete-filled square steel tubular (CFSST) composite column frame is proposed for multi-story residential buildings. The frame provides high lateral resistance and can be integrated within wall systems. To evaluate its seismic performance, three full-scale specimens were subjected to quasi-static cyclic loading. [...] Read more.
A trussed concrete-filled square steel tubular (CFSST) composite column frame is proposed for multi-story residential buildings. The frame provides high lateral resistance and can be integrated within wall systems. To evaluate its seismic performance, three full-scale specimens were subjected to quasi-static cyclic loading. The failure modes, load-carrying capacity, stiffness degradation, and energy dissipation characteristics were examined and compared. The results show that, compared to the H-shaped steel column frame (HK) with equivalent steel consumption, the trussed CFSST composite column frame exhibits an 88.3% increase in yield load and an 87.1% increase in peak load, together with significant improvements in stiffness and energy dissipation. Compared with an ordinary CFSST column frame (FK), the proposed system required 41% more steel but attained a 56% increase in load-carrying capacity, along with corresponding enhancements in stiffness and energy dissipation. Finite element (FE) models were developed based on the experimental results, and parametric analyses were performed to investigate the effects of corner-end column spacing, number of truss diagonal bars, truss joint type, axial compression ratio, and steel strength. Design recommendations are provided accordingly. Full article
(This article belongs to the Section Building Structures)
Show Figures

Figure 1

23 pages, 6286 KB  
Article
Partially Averaged Navier–Stokes k-ω Modeling of Thermal Mixing in T-Junctions
by Ashhar Bilal, Puzhen Gao, Muhammad Irfan Khalid, Abid Hussain and Ali Mansoor
J. Nucl. Eng. 2026, 7(1), 2; https://doi.org/10.3390/jne7010002 - 24 Dec 2025
Viewed by 276
Abstract
The temperature fluctuations due to the mixing of two streams in a T-junction induce thermal stresses in the piping material, resulting in a pipe failure in Nuclear Power Plants. The numerical modeling of the thermal mixing in T-junctions is a challenging task in [...] Read more.
The temperature fluctuations due to the mixing of two streams in a T-junction induce thermal stresses in the piping material, resulting in a pipe failure in Nuclear Power Plants. The numerical modeling of the thermal mixing in T-junctions is a challenging task in computational fluid dynamics (CFD) as it requires advanced turbulence modeling with scale-resolving capabilities for accurate prediction of the temperature fluctuations near the wall. One approach to address this challenge is using Partially Averaged Navier–Stokes modeling (PANS), which can capture the unresolved turbulent scales more accurately than traditional Reynolds-Averaged Navier–Stokes models. PANS modeling with k-ε closure gives encouraging results in the case of the Vattenfall T-junction benchmark case. In this study, PANS k-ω closure modeling is implemented for the WATLON T-junction Benchmark case. The momentum ratio (MR) for two inlet streams is 8.14, which is a wall jet case. The time-averaged and root mean square velocity and temperature profiles are compared with the PANS k-ε and LES results and with experimental data. The velocity and temperature field results for PANS k-ω are close to the experimental data as compared to the PANS k-ε for a given filter control parameter fk. Full article
Show Figures

Figure 1

14 pages, 1467 KB  
Article
In Vitro Antifungal Effect of Selected Essential Oils Against Clinical Isolates Causing Fungal Keratitis: A Preliminary Pharmacological Evaluation
by Elijah Akegbe, Nuno Mesquita, Célia Cabral, Emília Pereira, Luís Fernandes, Anália do Carmo, Rui Tomé, Dolores Pinheiro, João Pinheiro-Costa, Andreia M. Rosa and Elisa J. Campos
Future Pharmacol. 2025, 5(4), 73; https://doi.org/10.3390/futurepharmacol5040073 - 12 Dec 2025
Viewed by 421
Abstract
Background/Objectives: Fungal keratitis (FK) is a current challenge in ophthalmology due to its association with severe visual impairment and the limitations of current antifungal therapies. We aim to evaluate the antifungal activity of essential oils (EOs) from the aromatic and medicinal plants Cymbopogon [...] Read more.
Background/Objectives: Fungal keratitis (FK) is a current challenge in ophthalmology due to its association with severe visual impairment and the limitations of current antifungal therapies. We aim to evaluate the antifungal activity of essential oils (EOs) from the aromatic and medicinal plants Cymbopogon citratus and Lavandula pedunculata against selected FK pathogens collected from FK patients in two Portuguese hospitals. Methods: The antifungal activity of the EOs was tested at concentrations of 25%, 50%, 75%, and 100% for up to 7 days using the solid-phase disk diffusion in vitro assay. Results: Candida albicans was the most prevalent pathogen (28.6%), followed by Candida parapsilosis (21.4%) and Dicyma olivacea (14.2%). The other identified species were Aspergillus fumigatus and Scedosporium boydii (7.1%). Clinical diagnostic methodologies showed agreement with the molecular identification. Cymbopogon citratus EO showed higher antifungal activity than Lavandula pedunculata EO. The highest antifungal activity was observed against Aspergillus fumigatus and Scedosporium boydii (inhibition zone diameter, IZD = 90.0 mm) after 7 (Cymbopogon citratus EO) or 3 days of incubation (Lavandula pedunculata EO). While the antifungal activity of Cymbopogon citratus EO was maintained during the study (for Aspergillus fumigatus, Candida albicans, and Scedosporium boydii), the antifungal activity of Lavandula pedunculata EO decreased with time. Conclusions: Cymbopogon citratus EO and Lavandula pedunculata EO showed optimal antifungal activity against molds (Aspergillus fumigatus and Scedosporium boydii) after 3 days of incubation. Against yeasts (Candida albicans and Candida parapsilosis), the EOs showed lower activity. Our study sheds light on the development of new pharmacological strategies for FK based on EOs extracted from aromatic and medicinal plants. Full article
Show Figures

Graphical abstract

14 pages, 1342 KB  
Article
First Isolation and Genomic Characterization of Escherichia ruysiae in Togo from a Five-Year-Old Patient with Gastroenteritis and Bloody Diarrhea
by Kossi Kabo, Niokhor Dione, Kodjovi D. Mlaga and Tchadjobo Tchacondo
Microorganisms 2025, 13(12), 2694; https://doi.org/10.3390/microorganisms13122694 - 26 Nov 2025
Viewed by 518
Abstract
Escherichia ruysiae is a recently characterized species within the Escherichia genus, often misclassified as E. coli due to limitations in existing operating procedures and diagnostic databases. In this study, we report the first isolation and genomic characterization of E. ruysiae in Togo, from [...] Read more.
Escherichia ruysiae is a recently characterized species within the Escherichia genus, often misclassified as E. coli due to limitations in existing operating procedures and diagnostic databases. In this study, we report the first isolation and genomic characterization of E. ruysiae in Togo, from a five-year-old female patient who was hospitalized with gastroenteritis and bloody diarrhea and subsequently died after eight days. Biochemical tests and MALDI-TOF initially identified the microorganism as E. coli, but phylogenomic and Average Nucleotide Identity (ANI) analysis confirmed it to be E. ruysiae, Clade IV with enteroaggregative associated genes. Whole genome sequencing of the strain FK53-34 enables the identification of resistance genes, including blaEC-15, eptA, and pmrF. The virulence profile of the strain included, but was not limited to aap, aatABC, and senB genes, which may support its pathogenicity and virulence. Multilocus sequence typing (MLST) did not match any known sequence type, which is obvious for a newly characterized microorganism. This study highlights the critical need for enhanced diagnostic tools and surveillance systems to identify emerging pathogens, including Escherichia ruysiae. Full article
Show Figures

Figure 1

18 pages, 3044 KB  
Article
Geographical Differentiation of the Daurian Ground Squirrel (Spermophilus dauricus) Population Based on Morphological Traits
by Xi Chen, Zhenshan Liu, Zixuan Wang, Xiaohan Liu, Ming Yang and Yu Zhou
Animals 2025, 15(23), 3403; https://doi.org/10.3390/ani15233403 - 25 Nov 2025
Viewed by 331
Abstract
The Daurian ground squirrel (Spermophilus dauricus) is an important animal model that is frequently used by researchers studying the physiological ecology of hibernation in China. There has been considerable controversy regarding the classification of its subspecies, and there is a lack [...] Read more.
The Daurian ground squirrel (Spermophilus dauricus) is an important animal model that is frequently used by researchers studying the physiological ecology of hibernation in China. There has been considerable controversy regarding the classification of its subspecies, and there is a lack of relevant comparisons of morphometric data. To clarify this issue, this study aims to systematically compare five external morphological traits and 20 cranial traits of S. dauricus collected from 10 locations within China to assess the phenotypic differentiation of S. dauricus within China. Through morphological cluster analysis (MCA), discriminant function analysis (DFA), and principal component analysis (PCA), the samples from 10 locations (FK, n = 5; JZ, n = 11; DQ, n = 7; KP, n = 6; HEB, n = 4; EE, n = 10; CF, n = 3; ZB, n = 6; CD, n = 8; WL, n = 7) can be divided into three geographical populations: the Northeast population (NE); the Inner Mongolia population (IM); and the Hebei population (HB). There is significant morphological variation in four external traits and 19 cranial traits among populations within the species. Specifically, the NE population presented greater body length, tail length, and cranial dimensions. The IM population has the shortest tail, whereas the HB population has the smallest overall body size—its tail length, however, falls between those of the NE and IM populations. These morphological differences may be related to differences in habitat. This study revealed a significant correlation between environmental factors and the morphological traits of S. dauricus. Redundancy analysis (RDA) further revealed that the mean annual temperature (MAT) and mean annual precipitation (MAP) significantly affected the morphological traits of S. dauricus. This study challenges the current subspecies classification, clarifies the geographical morphological variation pattern of S. dauricus, reveals the influence of the environment on the differentiation of its morphological traits, and provides new morphological evidence for resolving the controversy over its subspecies classification. Full article
(This article belongs to the Section Wildlife)
Show Figures

Figure 1

23 pages, 1870 KB  
Article
Picture-Fuzzy Decision-Making Tool for Enhanced Risk Prioritization in Construction and Demolition Waste Management: A Hybrid FMEA–Fine–Kinney–SWARA–TOPSIS Approach
by Ertugrul Ayyildiz, Tolga Kudret Karaca, Betul Kara, Bahar Yalcin Kavus and Nezir Aydin
Buildings 2025, 15(22), 4143; https://doi.org/10.3390/buildings15224143 - 17 Nov 2025
Viewed by 585
Abstract
Effectively managing Construction and Demolition Waste (CDW) requires prioritizing multi-dimensional risks, a task complicated by the inherent uncertainty and subjectivity of expert judgments. While classical methods like Failure Modes and Effects Analysis (FMEA) and Fine–Kinney (FK) provide a diagnostic structure, they struggle to [...] Read more.
Effectively managing Construction and Demolition Waste (CDW) requires prioritizing multi-dimensional risks, a task complicated by the inherent uncertainty and subjectivity of expert judgments. While classical methods like Failure Modes and Effects Analysis (FMEA) and Fine–Kinney (FK) provide a diagnostic structure, they struggle to capture the vagueness in subjective assessments. This study addresses this gap by developing an integrated framework that couples the classical FMEA/FK criteria (Severity, Exposure, Probability, Detectability, Frequency) with Picture-Fuzzy (PiF) multi-criteria decision making. The methodology first elicits criterion importances from 15 experts using PiF Stepwise Weight Assessment Ratio Analysis (PiF-SWARA), which retains approval, indeterminacy, rejection, and refusal degrees to reduce information loss. Subsequently, it ranks 40 risk factors using the PiF Technique for Order Preference by Similarity to Ideal Solution (PiF-TOPSIS). Results show severity is the most influential criterion, followed by exposure and probability. The framework identifies the highest-priority risks as cumulative pollution with rising complaints, groundwater leakage, and insufficient investment/operating budgets. A sensitivity analysis confirms that environmental and financial risks remain consistently prominent across various weighting scenarios. This harmonized FMEA/FK–PiF-SWARA–TOPSIS approach yields a transparent and defensible prioritization, offering a practical tool for managers to allocate resources effectively, focusing on critical environmental controls and addressing core financial deficiencies in CDW systems. Full article
Show Figures

Figure 1

15 pages, 696 KB  
Article
Community-Onset Fungemias: Epidemiology and Genomic Characterization at a Tertiary-Care Hospital in Barcelona, Spain
by Celso Soares Pereira Batista, Alba Rivera, Maria Teresa Alvarez Albarran, Marc Rubio, Iris Belen-Figas, Cristina Lopez-Querol, Elisenda Miró, Ferran Navarro and Ferran Sanchez-Reus
J. Fungi 2025, 11(11), 808; https://doi.org/10.3390/jof11110808 - 14 Nov 2025
Viewed by 682
Abstract
Background: Community-onset fungemia is a clinically significant syndrome frequently linked to recent healthcare exposure and significant morbidity and mortality. Methods: We performed a 21-year, single-centre retrospective cohort of consecutive yeast bloodstream infections diagnosed at the Emergency Department (2004–2024). Clinical/epidemiological data, species identification [...] Read more.
Background: Community-onset fungemia is a clinically significant syndrome frequently linked to recent healthcare exposure and significant morbidity and mortality. Methods: We performed a 21-year, single-centre retrospective cohort of consecutive yeast bloodstream infections diagnosed at the Emergency Department (2004–2024). Clinical/epidemiological data, species identification (MALDI-TOF MS), antifungal susceptibility (CLSI M27; Sensititre YO10), and whole-genome sequencing (WGS) were analyzed. Results: Forty-eight episodes (51 isolates) were included; 56.3% were male, median age 74 years (IQR 63–82). Acquisition was healthcare-associated in 38/48 (79.2%). Sources were unknown (36.7%), abdominal (22.4%), urological (22.4%), catheter-related (14.3%), and 2.1% was attributed to a cardiovascular and a joint focus; 18.8% were polymicrobial. Crude mortality was 20.8% at 7 days (10/48) and 29.2% at 30 days (14/48). Species distribution: Candida albicans 41.2%, Nakaseomyces glabratus 27.5%, Candida parapsilosis 11.8%, Candida tropicalis 11.8%, Pichia kudriavzevii 3.9%, Clavispora lusitaniae 1.9%, and Candida orthopsilosis 1.9%. No isolate was resistant to anidulafungin, micafungin, or amphotericin B; one N. glabratus showed reduced susceptibility to caspofungin. Azole resistance was observed in one C. albicans and one N. glabratus isolate. WGS (44 isolates) confirmed MALDI-TOF identifications and characterized resistance markers. All 12 sequenced N. glabratus carried ERG2 I207V, PDR15/PDH1 E839D, and PDR1 V91I/L98S. Notable cases included one N. glabratus caspofungin-intermediate with FKS2 F659C, N. glabratus fluconazole-resistant with multiple PDR1 substitutions including a unique novel G857V, and C. albicans fluconazole-resistant harbouring alterations in MRR1/MRR2, CDR1, and ERG11. Conclusions: In this 21-year cohort, community-onset fungemia was predominantly healthcare-associated, with C. albicans as the predominant species, followed by N. glabratus. Crude mortality reached 29.2% at 30 days. Echinocandin resistance was not observed; azole resistance was uncommon. WGS provided precise speciation and actionable insight into resistance mechanisms, including a putatively novel PDR1 G857V in N. glabratus. Full article
Show Figures

Figure 1

13 pages, 757 KB  
Article
The Interaction Between CRHBP and FKBP5 Genes and Childhood Trauma Increases the Risk of Suicide Attempt in Patients with Schizophrenia and Bipolar Disorder
by Marco Antonio Sanabrais-Jiménez, Zeltzin Celic Elguea-Ortiz, Ingrid Pamela Morales-Cedillo, Joanna Jiménez-Pavón, Mauricio Rosel-Vales, Ricardo Arturo Saracco-Álvarez and Beatriz Camarena
Brain Sci. 2025, 15(11), 1224; https://doi.org/10.3390/brainsci15111224 - 14 Nov 2025
Viewed by 814
Abstract
Background/Objectives: Patients with psychotic disorders have a lifetime risk of suicide attempt (SA) of around 10 to 50%. Genetic variants in the corticotropin-releasing hormone-binding protein (CRHBP) and FK506-binding protein 5 (FKBP5) genes, which are implicated in the hypothalamic–pituitary–adrenal [...] Read more.
Background/Objectives: Patients with psychotic disorders have a lifetime risk of suicide attempt (SA) of around 10 to 50%. Genetic variants in the corticotropin-releasing hormone-binding protein (CRHBP) and FK506-binding protein 5 (FKBP5) genes, which are implicated in the hypothalamic–pituitary–adrenal axis and childhood trauma (CT), are considered risk factors for SA. This study aimed to examine the interaction between the CRHBP and FKBP5 genes and CT in the development of SA. Methods: We included 350 patients, 180 patients with schizophrenia and 170 with bipolar disorder. The patients were divided into two groups: 175 with a history of SA and 175 without, and a sample of 350 healthy controls was also included. The Multifactor Dimensionality Reduction program was used to identify G × E interactions between the CRHBP (rs7728378, rs10474485, and rs1875999) and FKBP5 (rs3800373 and rs9296158) and CT in SA. Results: The analysis showed that the interaction of CRHBP and FKBP5 with CT increases the risk of presenting at least one SA (OR 4.17; 95% CI [2.67–6.52]; p < 0.0001). Additionally, we observed interaction with childhood abuse (OR 4.09; 95% CI [2.61–6.39]; p < 0.0001), mainly with emotional (OR 3.67; 95% CI [2.34–5.77]; p < 0.0001) and sexual abuse (OR 3.32; 95% CI [2.11–5.23]; p < 0.0001). Conclusions: Our research indicates that genetic variations in CRHBP and FKBP5 genes and a history of CT increase the probability of presenting at least one SA in patients with schizophrenia and bipolar disorder. Full article
(This article belongs to the Section Behavioral Neuroscience)
Show Figures

Figure 1

8 pages, 1249 KB  
Case Report
A Rare Case of Alternaria citri Keratitis Successfully Treated with Voriconazole
by Maura Bertazzolo, Giorgia Boaretto, Elena Zani, Massimo Busin, Deborah Cruciani, Silvia Crotti, Chiara Poletti, Roberta Vatri, Alessandra Caracciolo and Cristina Lapucci
J. Fungi 2025, 11(11), 805; https://doi.org/10.3390/jof11110805 - 13 Nov 2025
Viewed by 748
Abstract
The genus Alternaria comprises several species of dematiaceous hyphomycetes known to cause opportunistic infections in humans. Over the past two decades, fungal infections have emerged as a significant cause of morbidity and mortality, particularly among immunocompromised individuals. Such infections often occur following disruption [...] Read more.
The genus Alternaria comprises several species of dematiaceous hyphomycetes known to cause opportunistic infections in humans. Over the past two decades, fungal infections have emerged as a significant cause of morbidity and mortality, particularly among immunocompromised individuals. Such infections often occur following disruption of the skin or corneal epithelial barrier, especially in patients with pre-existing ocular conditions or compromised immune status. This case report describes a rare instance of fungal keratitis (FK) caused by Alternaria citri in a 71-year-old male who presented with an acute onset of eye infection. The patient showed a favorable response to treatment with voriconazole. Full article
(This article belongs to the Section Fungal Pathogenesis and Disease Control)
Show Figures

Figure 1

Back to TopTop