Dynamic K-Line Status and Surgical Outcomes in Multilevel Cervical OPLL: A Multicenter Comparative Study
Abstract
1. Introduction
2. Materials and Methods
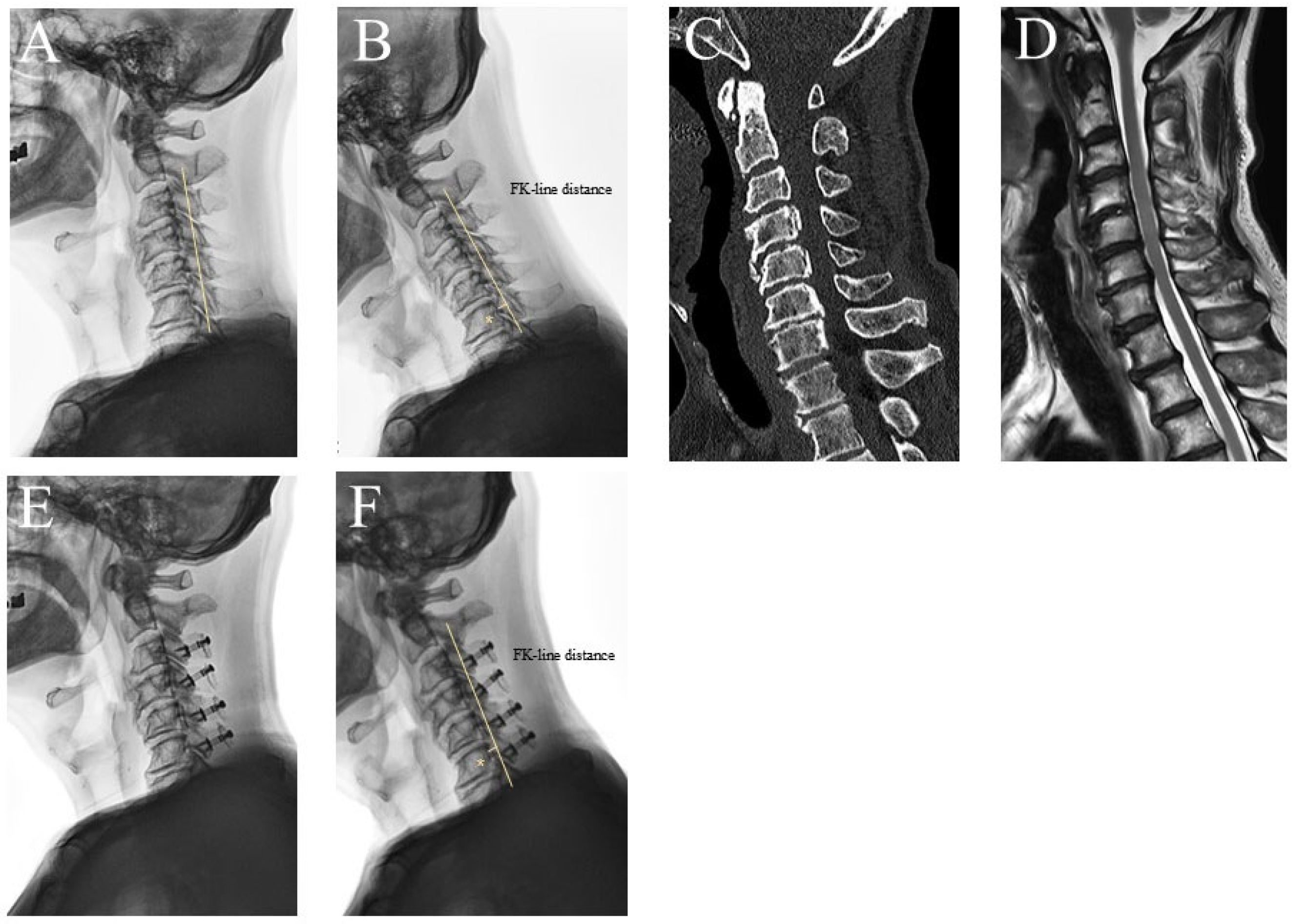
2.1. Radiologic Evaluation
2.2. Assessment of Clinical Outcomes
2.3. Surgical Procedures
2.4. Statistical Analysis
3. Results
3.1. Baseline Clinical and Radiological Characteristics According to Dynamic K-Line Status
3.2. Clinical and Radiological Outcomes by Surgical Procedure in Patients with Neutral K-Line (+) and Flexion K-Line (+)
3.3. Clinical and Radiological Outcomes by Surgical Procedure in Patients with Neutral K-Line (+) and Flexion K-Line (−)
3.4. Clinical and Radiological Outcomes by Surgical Procedure in Patients with Neutral and Flexion K-Line (−)
3.5. Predictors of Neurological Recovery Based on K-Line Status
3.6. Interobserver Reliability
3.7. IPTW-Weighted Clinical and Radiological Outcomes According to Surgical Technique
4. Discussion
5. Conclusions
Supplementary Materials
Author Contributions
Funding
Institutional Review Board Statement
Informed Consent Statement
Data Availability Statement
Conflicts of Interest
Abbreviations
| ACDF | anterior cervical discectomy and fusion |
| COR | canal-occupying ratio |
| FKD | FK-line distance |
| LF | laminectomy with fusion |
| LP | laminoplasty |
| OPLL | ossification of the posterior longitudinal ligament |
References
- Sun, N.; Jiang, C.; Liu, Y. Surgical options for ossification of the posterior longitudinal ligament of the cervical spine: A narrative review. J. Orthop. Surg. Res. 2024, 19, 707. [Google Scholar] [CrossRef]
- Kim, S.; Park, S.; Hwang, C.J.; Cho, J.H.; Lee, D.H. Evaluating the predictive value of K-line conversion in surgical outcomes for K-line negative cervical ossification of the posterior longitudinal ligament (OPLL): Laminectomy with fusion versus laminoplasty. Spine J. 2025, 25, 2620–2631. [Google Scholar] [CrossRef] [PubMed]
- Kwok, S.S.S.; Cheung, J.P.Y. Surgical decision-making for ossification of the posterior longitudinal ligament versus other types of degenerative cervical myelopathy: Anterior versus posterior approaches. BMC Musculoskelet. Disord. 2020, 21, 823. [Google Scholar] [CrossRef] [PubMed]
- Fujiyoshi, T.; Yamazaki, M.; Kawabe, J.; Endo, T.; Furuya, T.; Koda, M.; Okawa, A.; Takahashi, K.; Konishi, H. A new concept for making decisions regarding the surgical approach for cervical ossification of the posterior longitudinal ligament: The K-line. Spine 2008, 33, E990–E993. [Google Scholar] [CrossRef] [PubMed]
- Shin, J.J.; Yoo, S.J.; Kim, D.K.; Jang, H.J.; Moon, B.J.; Kim, K.H.; Park, J.Y.; Kuh, S.U.; Chin, D.K.; Kim, K.S.; et al. The Role of K-Line and Canal-Occupying Ratio in Surgical Outcomes for Multilevel Cervical Ossification of the Posterior Longitudinal Ligament: A Retrospective Multicenter Study. Neurospine 2025, 22, 337–348. [Google Scholar] [CrossRef]
- Nori, S.; Nagoshi, N.; Suzuki, S.; Tsuji, O.; Okada, E.; Yagi, M.; Nakamura, M.; Matsumoto, M.; Watanabe, K. K-line (-) in the neck-flexed position negatively affects surgical outcome of expansive open-door laminoplasty for cervical spondylotic myelopathy. J. Orthop. Sci. 2022, 27, 551–557. [Google Scholar] [CrossRef]
- Takeuchi, K.; Yokoyama, T.; Numasawa, T.; Yamasaki, Y.; Kudo, H.; Itabashi, T.; Chin, S.; Wada, K.I. K-line (-) in the Neck-Flexed Position in Patients with Ossification of the Posterior Longitudinal Ligament Is a Risk Factor for Poor Clinical Outcome After Cervical Laminoplasty. Spine 2016, 41, 1891–1895. [Google Scholar] [CrossRef]
- Shin, J.J.; Yoo, S.J.; Kim, T.W.; So, J.Y.; Jeong, W.J.; Lee, M.H.; Shin, J.; Ha, Y. Radiological and Clinical Significance of Cervical Dynamic Magnetic Resonance Imaging for Cervical Spondylotic Myelopathy. Neurospine 2024, 21, 443–454. [Google Scholar] [CrossRef]
- Ren, H.L.; Shen, X.; Ding, R.T.; Cai, H.B.; Zhang, G.L. Preoperative Range of Motion in Extension May Influence Postoperative Cervical Kyphosis After Laminoplasty. Spine 2023, 48, 1308–1316. [Google Scholar] [CrossRef]
- Mun, H.W.; Lee, J.J.; Shin, H.C.; Kim, T.H.; Kim, S.W.; Oh, J.K. Comparative Analysis of Outcomes and Kyphotic Risk Factors After Cervical Laminoplasty in 2 Different Ossification of the Posterior Longitudinal Ligament Groups and Cervical Spondylotic Myelopathy. Neurosurgery 2024, 97, 320–331. [Google Scholar] [CrossRef]
- Landis, J.R.; Koch, G.G. The measurement of observer agreement for categorical data. Biometrics 1977, 33, 159–174. [Google Scholar] [CrossRef]
- Wang, Y.; Chen, X.; Luo, Y.; Chen, C.; Cui, R. Effect of K-line (-) or (+) on surgical outcomes in cervical ossification of the posterior longitudinal ligament: A systematic and meta-analysis. Medicine 2024, 103, e40675. [Google Scholar] [CrossRef] [PubMed]
- Li, J.; Zhang, Y.; Zhang, N.; Xv, Z.K.; Li, H.; Chen, G.; Li, F.C.; Chen, Q.X. Clinical outcome of laminoplasty for cervical ossification of the posterior longitudinal ligament with K-line (-) in the neck neutral position but K-line (+) in the neck extension position: A retrospective observational study. Medicine 2017, 96, e6964. [Google Scholar] [CrossRef] [PubMed]
- Breig, A.; Turnbull, I.; Hassler, O. Effects of mechanical stresses on the spinal cord in cervical spondylosis. A study on fresh cadaver material. J. Neurosurg. 1966, 25, 45–56. [Google Scholar] [CrossRef] [PubMed]
- Wu, B.; Liu, B.; Sang, D.; Cui, W.; Wang, D. The association between cervical focal kyphosis and myelopathy severity in patients with cervical spondylotic myelopathy before surgery. Eur. Spine J. 2021, 30, 1501–1508. [Google Scholar] [CrossRef]
- Fujishiro, T.; Obo, T.; Yamamoto, Y.; Usami, Y.; Hayama, S.; Nakaya, Y.; Nakano, A.; Neo, M. Greater cervical kyphosis during flexion increases the risk of kyphotic deformity after laminoplasty in patients with cervical spondylotic myelopathy. J. Clin. Neurosci. 2024, 125, 24–31. [Google Scholar] [CrossRef]
- Han, L.H.; Sun, K.Q.; Yan, C.; Sun, J.C.; Shi, J.G. The effect of K-line classification in different cervical dynamic position on surgical outcomes in patients with ossification of the posterior longitudinal ligament after anterior controllable antedisplacement and fusion. Front. Surg. 2022, 9, 987622. [Google Scholar] [CrossRef]
- Inoue, T.; Maki, S.; Yoshii, T.; Furuya, T.; Egawa, S.; Sakai, K.; Kusano, K.; Nakagawa, Y.; Hirai, T.; Wada, K.; et al. Is anterior decompression and fusion more beneficial than laminoplasty for K-line (+) cervical ossification of the posterior longitudinal ligament? An analysis using propensity score matching. J. Neurosurg. Spine 2022, 37, 13–20. [Google Scholar] [CrossRef]
- Liu, J.; Wang, J.; Ding, Z.; Hai, Y.; Zhang, Y.; Kang, N.; Wang, Q. Effect of K-line on posterior cervical surgery versus anterior cervical surgery in patients with multi-level ossification of posterior longitudinal ligament. Eur. Spine J. 2023, 32, 2396–2401. [Google Scholar] [CrossRef]
- Onuma, H.; Sakai, K.; Arai, Y.; Torigoe, I.; Tomori, M.; Sakaki, K.; Hirai, T.; Egawa, S.; Kobayashi, Y.; Okawa, A.; et al. Augmented Reality Support for Anterior Decompression and Fusion Using Floating Method for Cervical Ossification of the Posterior Longitudinal Ligament. J. Clin. Med. 2023, 12, 2898. [Google Scholar] [CrossRef]
- Yoshii, T.; Morishita, S.; Egawa, S.; Sakai, K.; Kusano, K.; Tsutsui, S.; Hirai, T.; Matsukura, Y.; Wada, K.; Katsumi, K.; et al. Prospective Investigation of Surgical Outcomes after Anterior Decompression with Fusion and Laminoplasty for the Cervical Ossification of the Posterior Longitudinal Ligament: A Propensity Score Matching Analysis. J. Clin. Med. 2022, 11, 7012. [Google Scholar] [CrossRef] [PubMed]
- Nori, S.; Aoyama, R.; Ninomiya, K.; Suzuki, S.; Anazawa, U.; Shiraishi, T. K-line (-) in the neck-flexed position affects surgical outcomes in patients with ossification of the posterior longitudinal ligament after muscle-preserving selective laminectomy. J. Orthop. Sci. 2020, 25, 770–775. [Google Scholar] [CrossRef] [PubMed]
- Ko, Y.I.; Kim, Y.H.; Barraza, J.; Ko, M.S.; Bang, C.; Hwang, B.J.; Kim, S.I.; Park, H.Y. Cervical Open-Door Laminoplasty for Myelopathy Caused by Ossification of the Posterior Longitudinal Ligament: Correlation Between Spinal Canal Expansion and Clinical Outcomes. J. Clin. Med. 2024, 13, 6904. [Google Scholar] [CrossRef] [PubMed]
- Kimura, A.; Shiraishi, Y.; Sugawara, R.; Inoue, H.; Endo, T.; Takeshita, K. Impact of K-Line (-) in the Neck-Flexion Position on Patient-reported Outcomes After Cervical Laminoplasty For Patients with Ossification of the Posterior Longitudinal Ligament. Clin. Spine Surg. 2019, 32, 382–386. [Google Scholar] [CrossRef]
- Sakai, K.; Yoshii, T.; Arai, Y.; Hirai, T.; Torigoe, I.; Inose, H.; Tomori, M.; Sakaki, K.; Yuasa, M.; Yamada, T.; et al. K-Line Tilt is a Predictor of Postoperative Kyphotic Deformity After Laminoplasty for Cervical Myelopathy Caused by Ossification of the Posterior Longitudinal Ligament. Glob. Spine J. 2023, 13, 1005–1010. [Google Scholar] [CrossRef]
- Koda, M.; Furuya, T.; Saito, J.; Ijima, Y.; Kitamura, M.; Ohtori, S.; Orita, S.; Inage, K.; Abe, T.; Noguchi, H.; et al. Postoperative K-line conversion from negative to positive is independently associated with a better surgical outcome after posterior decompression with instrumented fusion for K-line negative cervical ossification of the posterior ligament. Eur. Spine J. 2018, 27, 1393–1400. [Google Scholar] [CrossRef]
- Takeuchi, K.; Hosotani, K.; Shinohara, K.; Yamane, K.; Takao, S.; Nakahara, S.; Seki, A. Quantitative Investigation of the “K-Line Edge”, a Clustered K-Line (+/-) Group Derived from K-Line Assessment in Patients with Ossification of the Posterior Longitudinal Ligament. J. Clin. Med. 2025, 14, 7339. [Google Scholar] [CrossRef]
- Ma, L.; Liu, F.Y.; Huo, L.S.; Zhao, Z.Q.; Sun, X.Z.; Li, F.; Ding, W.Y. Comparison of laminoplasty versus laminectomy and fusion in the treatment of multilevel cervical ossification of the posterior longitudinal ligament: A systematic review and meta-analysis. Medicine 2018, 97, e11542. [Google Scholar] [CrossRef]
- Li, C.; Mei, Y.; Li, L.; Li, Z.; Huang, S. Posterior Decompression and Fusion with Vertical Pressure Procedure in the Treatment of Multilevel Cervical OPLL with Kyphotic Deformity. Orthop. Surg. 2022, 14, 2361–2368. [Google Scholar] [CrossRef]
- Basu, S.; Gohil, K. Comparing Spinal Cord Drift, Clinical Outcomes and C5 Palsy in Degenerative Cervical Myelopathy: A Study of Cervical Laminoplasty Versus Laminectomy/Fusion. Glob. Spine J. 2025, 15, 1277–1287. [Google Scholar] [CrossRef]
- Lee, D.H.; Park, S.; Lee, W.S.; Byun, C.W.; Seok, S.Y.; Cho, J.H.; Hwang, C.J.; Lee, C.S.; Lee, H.R. Vertebral Body Sliding Osteotomy for Cervical Myelopathy with Rigid Kyphosis. Neurospine 2020, 17, 640–647. [Google Scholar] [CrossRef]
- Koda, M.; Mochizuki, M.; Konishi, H.; Aiba, A.; Kadota, R.; Inada, T.; Kamiya, K.; Ota, M.; Maki, S.; Takahashi, K.; et al. Comparison of clinical outcomes between laminoplasty, posterior decompression with instrumented fusion, and anterior decompression with fusion for K-line (-) cervical ossification of the posterior longitudinal ligament. Eur. Spine J. 2016, 25, 2294–2301. [Google Scholar] [CrossRef]
- Miyazaki, M.; Ishihara, T.; Kanezaki, S.; Hirakawa, M.; Iwasaki, T.; Abe, T.; Tsumura, H. Relationship between K-line distance and surgical outcome in cases of laminoplasty for cervical ossification of the posterior longitudinal ligament. Medicine 2022, 101, e31605. [Google Scholar] [CrossRef]
- Katsumi, K.; Yamazaki, A.; Watanabe, K.; Ohashi, M.; Shoji, H. Can prophylactic bilateral C4/C5 foraminotomy prevent postoperative C5 palsy after open-door laminoplasty?: A prospective study. Spine 2012, 37, 748–754. [Google Scholar] [CrossRef]
- Houten, J.K.; Buksbaum, J.R.; Collins, M.J. Patterns of neurological deficits and recovery of postoperative C5 nerve palsy. J. Neurosurg. Spine 2020, 33, 742–750. [Google Scholar] [CrossRef]
- Radcliff, K.E.; Limthongkul, W.; Kepler, C.K.; Sidhu, G.D.; Anderson, D.G.; Rihn, J.A.; Hilibrand, A.S.; Vaccaro, A.R.; Albert, T.J. Cervical laminectomy width and spinal cord drift are risk factors for postoperative C5 palsy. J. Spinal Disord. Tech. 2014, 27, 86–92. [Google Scholar] [CrossRef]
- Pennington, Z.; Lubelski, D.; Westbroek, E.M.; Cottrill, E.; Ehresman, J.; Goodwin, M.L.; Lo, S.F.; Witham, T.F.; Theodore, N.; Bydon, A.; et al. Spinal cord float back is not an independent predictor of postoperative C5 palsy in patients undergoing posterior cervical decompression. Spine J. 2020, 20, 266–275. [Google Scholar] [CrossRef] [PubMed]





| A. Clinical Outcomes by Surgical Procedure | ||||
|---|---|---|---|---|
| Variable | ACDF (n = 65) | LP (n = 93) | LF (n = 28) | p Value |
| JOA score | ||||
| Preop | 11.89 ± 2.59 | 12.51 ± 3.16 | 13.11 ± 1.73 | 0.023 * |
| Final | 15.82 ± 1.42 | 14.68 ± 3.27 | 15.46 ± 1.11 | 0.068 |
| Change | 3.92 ± 2.29 | 2.17 ± 2.44 | 2.36 ± 1.37 | <0.001 * |
| Recovery ratio (%) | 77.21 ± 25.14 | 57.92 ± 39.52 | 60.77 ± 27.11 | 0.002 * |
| Neck VAS | ||||
| Preop | 4.75 ± 2.33 | 3.11 ± 2.59 | 4.18 ± 2.64 | 0.002 * |
| Final | 1.63 ± 1.23 | 2.45 ± 2.27 | 2.96 ± 1.71 | 0.004 * |
| Change | 3.12 ± 2.07 | 0.66 ± 2.88 | 1.21 ± 2.01 | <0.001 * |
| No. of operative levels | 2.28 ± 0.48 | 3.46 ± 0.94 | 3.79 ± 0.96 | <0.001 * |
| B. Radiological outcomes by surgical procedure | ||||
| Variable | ACDF (n = 65) | LP (n = 93) | LF (n = 28) | p Value |
| COR (%) | 44.35 ± 11.08 | 44.98 ± 14.39 | 45.83 ± 13.18 | 0.879 |
| FKD (mm) | ||||
| Preop | 1.41 ± 2.25 | 1.06 ± 1.64 | 3.03 ± 1.10 | 0.001 * |
| Final | 2.51 ± 3.90 | 1.54 ± 2.72 | 5.35 ± 2.25 | <0.001 * |
| Change | 1.09 ± 2.12 | 0.48 ± 1.72 | 2.31 ± 1.47 | <0.001 * |
| C2–7 CA (°) | ||||
| Preop | 14.25 ± 9.18 | 12.01 ± 9.26 | 14.36 ± 5.98 | 0.218 |
| Final | 14.99 ± 8.92 | 7.69 ± 10.15 | 7.64 ± 8.66 | <0.001 * |
| Change | −0.43 ± 8.39 | −4.64 ± 7.43 | −6.72 ± 10.49 | 0.001 * |
| C2–7 flex CA (°) | ||||
| Preop | −12.19 ± 10.60 | −12.30 ± 10.39 | −8.13 ± 8.51 | 0.067 |
| Final | −2.07 ± 10.16 | −6.72 ± 11.34 | −3.79 ± 7.99 | <0.040 * |
| Change | 9.97 ± 9.31 | 6.39 ± 10.72 | 4.35 ± 8.72 | 0.006 * |
| ROM (°) | ||||
| Preop | 37.81 ± 12.77 | 34.02 ± 12.29 | 31.84 ± 12.33 | 0.059 |
| Final | 24.36 ± 9.78 | 21.50 ± 12.22 | 15.13 ± 8.53 | 0.002 * |
| Change | −15.19 ± 14.81 | −15.31 ± 15.82 | −16.70 ± 10.49 | 0.900 |
| A. Clinical outcomes by surgical procedure | ||||
| Variable | ACDF (n = 73) | LP (n = 63) | LF (n = 45) | p Value |
| JOA score | ||||
| Preop | 13.31 ± 1.78 | 12.78 ± 1.94 | 11.91 ± 2.47 | 0.002 * |
| Final | 15.79 ± 1.58 | 14.68 ± 1.93 | 15.02 ± 1.53 | <0.001 * |
| Change | 2.49 ± 1.86 | 1.90 ± 1.71 | 3.11 ± 1.87 | 0.004 * |
| Recovery ratio (%) | 65.39 ± 46.28 | 46.43 ± 40.65 | 62.32 ± 24.85 | <0.001 * |
| Neck VAS | ||||
| Preop | 5.72 ± 2.52 | 3.48 ± 2.55 | 4.73 ± 2.67 | <0.001 * |
| Final | 2.65 ± 1.35 | 2.30 ± 1.96 | 2.55 ± 1.68 | 0.152 |
| Change | 3.07 ± 2.43 | 1.18 ± 2.64 | 2.18 ± 2.55 | <0.001 * |
| No. of operative levels | 2.08 ± 0.46 | 3.62 ± 0.92 | 3.98 ± 0.93 | <0.001 * |
| B. Radiological outcomes by surgical procedure | ||||
| Variable | ACDF (n = 73) | LP (n = 63) | LF (n = 45) | p Value |
| COR (%) | 47.04 ± 13.44 | 46.14 ± 14.33 | 45.03 ± 11.33 | 0.730 |
| FKD (mm) | ||||
| Preop | 1.19 ± 2.53 | 0.29 ± 1.56 | 0.51 ± 2.91 | 0.131 |
| Final | 7.15 ± 3.09 | 2.31 ± 3.39 | 6.21 ± 2.64 | <0.001 * |
| Change | 5.96 ± 3.41 | 1.84 ± 3.31 | 5.69 ± 2.16 | <0.001 * |
| C2–7 CA (°) | ||||
| Preop | 6.14 ± 9.38 | 8.08 ± 8.43 | 12.88 ± 7.40 | <0.001 * |
| Final | 9.87 ± 6.65 | 4.99 ± 8.61 | 7.02 ± 7.01 | <0.001 * |
| Change | 0.13 ± 10.79 | −3.08 ± 6.93 | −5.86 ± 6.79 | <0.001 * |
| C2–7 flex CA (°) | ||||
| Preop | −21.43 ± 10.03 | −18.38 ± 10.65 | −12.51 ± 8.83 | <0.001 * |
| Final | −11.78 ± 8.52 | −11.69 ± 12.17 | −5.03 ± 5.77 | <0.006 * |
| Change | 14.01 ± 9.09 | 7.66 ± 10.83 | 7.42 ± 8.78 | 0.002 * |
| ROM (°) | ||||
| Preop | 42.68 ± 11.99 | 35.90 ± 14.04 | 36.29 ± 11.52 | 0.006 * |
| Final | 32.91 ± 11.57 | 23.24 ± 12.29 | 17.71 ± 10.30 | <0.001 * |
| Change | −21.94 ± 16.73 | −15.01 ± 14.75 | −18.16 ± 11.75 | 0.049 * |
| A. Clinical outcomes by surgical procedure | ||||
| Variable | ACDF (n = 45) | LP (n = 82) | LF (n = 41) | p Value |
| JOA score | ||||
| Preop | 12.62 ± 2.31 | 13.15 ± 1.82 | 11.31 ± 2.56 | 0.002 * |
| Final | 15.84 ± 1.19 | 14.89 ± 1.62 | 14.36 ± 2.46 | <0.001 * |
| Change | 3.22 ± 2.11 | 1.77 ± 1.51 | 3.05 ± 1.99 | <0.001 * |
| Recovery ratio (%) | 71.66 ± 28.51 | 43.41 ± 35.63 | 56.42 ± 33.36 | <0.001 * |
| Neck VAS | ||||
| Preop | 5.02 ± 2.41 | 4.16 ± 2.73 | 4.28 ± 2.98 | 0.204 |
| Final | 2.47 ± 1.56 | 2.39 ± 1.69 | 2.46 ± 1.76 | 0.971 |
| Change | 2.55 ± 1.87 | 1.77 ± 2.45 | 1.82 ± 2.65 | 0.102 |
| No. of operative levels | 2.38 ± 0.57 | 3.35 ± 0.78 | 4.59 ± 1.21 | <0.001 * |
| B. Radiological outcomes by surgical procedure | ||||
| Variable | ACDF (n = 45) | LP (n = 82) | LF (n = 41) | p Value |
| COR (%) | 55.18 ± 13.64 | 49.59 ± 14.22 | 49.24 ± 14.00 | 0.136 |
| FKD (mm) | ||||
| Preop | 0.25 ± 3.95 | 0.22 ± 1.42 | 0.20 ± 3.84 | 0.103 |
| Final | 4.65 ± 4.50 | 1.15 ± 2.61 | 5.35 ± 3.35 | <0.001 * |
| Change | 4.60 ± 5.38 | 0.81 ± 1.93 | 5.15 ± 2.74 | <0.001 * |
| C2–7 CA (°) | ||||
| Preop | 3.74 ± 9.41 | 8.47 ± 11.29 | 6.03 ± 8.89 | 0.022 * |
| Final | 6.93 ± 5.83 | 6.11 ± 11.24 | 3.10 ± 8.27 | 0.117 |
| Change | 1.28 ± 8.02 | −2.30 ± 8.64 | −2.93 ± 8.55 | 0.034 * |
| C2–7 flex CA (°) | ||||
| Preop | −21.02 ± 10.65 | −16.89 ± 12.10 | −13.53 ± 10.44 | 0.012 * |
| Final | −8.37 ± 6.91 | −10.42 ± 12.77 | −7.90 ± 8.12 | 0.269 |
| Change | 14.82 ± 12.26 | 6.99 ± 11.01 | 5.63 ± 10.13 | <0.001 * |
| ROM (°) | ||||
| Preop | 36.83 ± 13.69 | 35.89 ± 13.36 | 27.86 ± 11.68 | 0.004 * |
| Final | 22.58 ± 10.49 | 22.59 ± 13.48 | 14.59 ± 8.75 | 0.001 * |
| Change | −21.10 ± 16.61 | −14.48 ± 16.11 | −13.27 ± 12.44 | 0.038 * |
| Group 1: NK-line (+)/FK-line (+) Model: (R2 = 0.327, p = 0.004) | ||||||
| Variables | β-coefficient | SE | t-value | p value | 95% CI | VIF |
| Age (years) | −0.760 | 0.369 | −2.057 | 0.042 | (−1.494~−0.025) | 1.246 |
| No. of operative levels | −19.129 | 5.142 | −3.720 | 0.004 | (−29.355~−8.904) | 1.901 |
| Group 2: NK-line (+)/FK-line (−) Model: (R2 = 0.532, p = 0.001) | ||||||
| Variables | β-coefficient | SE | t-value | p value | 95% CI | VIF |
| C2–7 flex CA pre | −1.753 | 0.622 | −2.819 | 0.006 | (−2.999~−0.507) | 3.336 |
| C2–7 CA pre | 1.985 | 0.708 | 2.803 | 0.007 | (0.566~3.404) | 3.089 |
| FKD pre | 5.318 | 2.058 | 2.583 | 0.012 | (1.195~9.442) | 1.883 |
| ΔFKD | 3.678 | 1.465 | 2.509 | 0.015 | (0.742~6.614) | 1.726 |
| Group 3: NK-line (−)/FK-line (−) Model: (R2 = 0.385, p = 0.002) | ||||||
| Variables | β-coefficient | SE | t-value | p value | 95% CI | VIF |
| ΔC2–7 CA | −1.771 | 0.661 | −2.677 | 0.009 | (−3.088~−0.453) | 1.085 |
| COR | −1.019 | 0.333 | −3.055 | 0.003 | (−1.683~−0.354) | 1.243 |
| FKD pre | 7.262 | 2.122 | 3.421 | 0.001 | (3.033~11.490) | 1.268 |
| ΔFKD | 4.270 | 1.441 | 2.963 | 0.004 | (1.339~7.141) | 1.216 |
| Surgical procedure | −19.644 | 7.701 | −2.551 | 0.012 | (−34.989~−4.299) | 1.211 |
Disclaimer/Publisher’s Note: The statements, opinions and data contained in all publications are solely those of the individual author(s) and contributor(s) and not of MDPI and/or the editor(s). MDPI and/or the editor(s) disclaim responsibility for any injury to people or property resulting from any ideas, methods, instructions or products referred to in the content. |
© 2026 by the authors. Licensee MDPI, Basel, Switzerland. This article is an open access article distributed under the terms and conditions of the Creative Commons Attribution (CC BY) license.
Share and Cite
Shin, J.J.; Yoo, S.J.; Park, S.J.; Kim, D.K.; Jang, H.J.; Moon, B.J.; Kim, K.H.; Park, J.Y.; Kuh, S.U.; Chin, D.K.; et al. Dynamic K-Line Status and Surgical Outcomes in Multilevel Cervical OPLL: A Multicenter Comparative Study. J. Clin. Med. 2026, 15, 520. https://doi.org/10.3390/jcm15020520
Shin JJ, Yoo SJ, Park SJ, Kim DK, Jang HJ, Moon BJ, Kim KH, Park JY, Kuh SU, Chin DK, et al. Dynamic K-Line Status and Surgical Outcomes in Multilevel Cervical OPLL: A Multicenter Comparative Study. Journal of Clinical Medicine. 2026; 15(2):520. https://doi.org/10.3390/jcm15020520
Chicago/Turabian StyleShin, Jun Jae, Sun Joon Yoo, Se Jun Park, Dong Kyu Kim, Hyun Jun Jang, Bong Ju Moon, Kyung Hyun Kim, Jeong Yoon Park, Sung Uk Kuh, Dong Kyu Chin, and et al. 2026. "Dynamic K-Line Status and Surgical Outcomes in Multilevel Cervical OPLL: A Multicenter Comparative Study" Journal of Clinical Medicine 15, no. 2: 520. https://doi.org/10.3390/jcm15020520
APA StyleShin, J. J., Yoo, S. J., Park, S. J., Kim, D. K., Jang, H. J., Moon, B. J., Kim, K. H., Park, J. Y., Kuh, S. U., Chin, D. K., Kim, K. S., Lee, C. K., Kim, K. N., Kim, T. W., & Ha, Y. (2026). Dynamic K-Line Status and Surgical Outcomes in Multilevel Cervical OPLL: A Multicenter Comparative Study. Journal of Clinical Medicine, 15(2), 520. https://doi.org/10.3390/jcm15020520

