Journal Description
Journal of Respiration
Journal of Respiration
is an international, peer-reviewed, open access journal on all aspects of respiratory science in humans published quarterly online by MDPI.
- Open Access— free for readers, with article processing charges (APC) paid by authors or their institutions.
- Rapid Publication: manuscripts are peer-reviewed and a first decision is provided to authors approximately 52.3 days after submission; acceptance to publication is undertaken in 4.9 days (median values for papers published in this journal in the second half of 2025).
- Recognition of Reviewers: APC discount vouchers, optional signed peer review, and reviewer names published annually in the journal.
Latest Articles
Experimental and Computational Analyses of Accessory Ostia Effects on Maxillary Sinus Ventilation
J. Respir. 2026, 6(1), 6; https://doi.org/10.3390/jor6010006 - 6 Mar 2026
Abstract
►
Show Figures
Background: Accessory ostia (AOs) can notably alter maxillary sinus ventilation, yet configuration-specific effects remain unclear. This study quantified how AO location and orientation regulate sinus ventilation using in vitro measurements and numerical analyses. Methods: One patient-specific sinonasal geometry (control) was used to reconstruct
[...] Read more.
Background: Accessory ostia (AOs) can notably alter maxillary sinus ventilation, yet configuration-specific effects remain unclear. This study quantified how AO location and orientation regulate sinus ventilation using in vitro measurements and numerical analyses. Methods: One patient-specific sinonasal geometry (control) was used to reconstruct five models with varying AO numbers, locations, and orientations (AO-F, AO-FC, AO-F30, AO-B, AO-FB). E-vapor was used as a visual tracer for sinus clearance under breath-hold and quiet breathing conditions. Complementary simulations characterized flow dynamics and sinus ventilation rates. Results: Both inhalation and AO presence accelerate e-vapor clearance for all conditions considered. The e-vapor clearance time in AO-FB decreases from 51 s under breath-hold to 29 s under quiet breathing (1 m/s). Configuration-wise, posterior AO ventilates the sinus faster than anterior AO, with dual anterior–posterior ostia (AO-FB) consistently performing the best. Among the three anterior AO, an uptilt AO ventilates the sinus faster than a parallel one, which is in turn faster than an AO located closer to the natural ostium (NO), i.e., AO-F30 > AO-F > AO-FC. CFD predictions provide a mechanistic understanding of the configuration-specific differences observed in vitro. Flow patterns in the ostium–sinus region, as well as the ventilation rate and driving pressure, show high sensitivities to AO location and orientation. At 1 m/s, the predicted AO-NO pressure drop ranges 2–18 mPa, with the lowest in AO-FC and highest in AO-B. Conclusions: The high sensitivity of sinus ventilation to AO configurations underscores the clinical importance of examining NO-adjacent openings in surgical planning and physiological interpretation.
Full article
Open AccessSystematic Review
The Effect of Home-Based Inspiratory Muscle Training in Post-COVID Population—Systematic Review
by
Stiliani Andreadou, Georgia Tziouvara, Georgios Mitsiou, Aphrodite Evangelodimou, Stavros Dimopoulos and Irini Patsaki
J. Respir. 2026, 6(1), 5; https://doi.org/10.3390/jor6010005 - 5 Mar 2026
Abstract
►▼
Show Figures
Background/Objective: Post-COVID survivors present significant respiratory deficiency that has been associated with ongoing shortness of breath and impaired lung function. Inspiratory muscle training (IMT) is increasingly used in survivors of COVID-19 rehabilitational programs as a means to facilitate recovery of the respiratory system.
[...] Read more.
Background/Objective: Post-COVID survivors present significant respiratory deficiency that has been associated with ongoing shortness of breath and impaired lung function. Inspiratory muscle training (IMT) is increasingly used in survivors of COVID-19 rehabilitational programs as a means to facilitate recovery of the respiratory system. Yet, its home-based effectiveness across clinically relevant outcomes remains unclear. This systematic review aimed to present current evidence on home- or tele-delivered IMT in the post-COVID-19 population. Methods: PubMed, Scopus, Cochrane library and Science Direct were systematically searched for studies evaluating home-based (or telerehabilitation) IMT, alone or as part of a respiratory muscle training program, in adults with post-COVID-19 symptoms. The primary outcome was inspiratory muscle strength. Secondary outcomes included dyspnea, pulmonary function, exercise capacity and health-related quality of life. The methodological quality of the included studies was assessed via the PEDro scale. Owing to clinical and methodological heterogeneity, we performed only a qualitative synthesis. Results: Eight studies met the inclusion criteria. Two included both inspiratory and expiratory muscles training and three included physical training as well. The methodological quality was found to be good. IMT consistently increased inspiratory muscle strength across trials. Respiratory muscle training (RMT) programs that combined inspiratory and expiratory training also improved maximal expiratory pressure. IMT reduced dyspnea versus control/sham or baseline and several studies reported improvements in exercise capacity and physical function. Spirometry/DLCO changes were small or null in most cohorts. HRQoL gains were domain-specific in anxiety and depression. Adherence was generally good. No serious adverse events attributable to IMT were reported. Conclusions: Home-based IMT for adults with post-COVID-19 conditions is safe and seems to improve inspiratory muscle strength and dyspnea, with signs of benefit for exercise capacity, physical function, and selected HRQoL domains. Effects on ventilatory efficiency and conventional lung function appear limited. Future multicenter, sham-controlled RCTs should further explore the characteristics of IMT, employ core outcome sets, include longer follow-up, and predefine phenotype-based subgroups.
Full article

Graphical abstract
Open AccessSystematic Review
Post-COVID-19 Cardiovascular Complications: An Updated Systematic Review
by
Alexandru Stoichita, Beatrice Mahler, Silviu Vlasceanu, Oana Parliteanu, Justina Antonela Dragomir, Mara Balteanu, Alexandru Daniel Radu, Cristina Teleaga, Dragos Baiceanu, Traian Constantin Panciu, Mosteanu Madalina, Elmira Ibraim, Madalina Mariuca Ciupan and Adriana Iliesiu Mihaela
J. Respir. 2026, 6(1), 4; https://doi.org/10.3390/jor6010004 - 25 Feb 2026
Abstract
►▼
Show Figures
Background: Severe Acute Respiratory Syndrome Coronavirus 2 (SARS-CoV-2) can cause persistent, multisystem complications collectively termed long COVID. Cardiovascular sequelae are among the most clinically significant yet remain incompletely characterized. This review aimed to synthesize current evidence on objective cardiovascular outcomes in long COVID
[...] Read more.
Background: Severe Acute Respiratory Syndrome Coronavirus 2 (SARS-CoV-2) can cause persistent, multisystem complications collectively termed long COVID. Cardiovascular sequelae are among the most clinically significant yet remain incompletely characterized. This review aimed to synthesize current evidence on objective cardiovascular outcomes in long COVID and explore underlying mechanisms. Methods: A systematic review was conducted using PubMed, Scopus, and Web of Science for studies published between January 2020 and March 2024. Search terms included “COVID-19,” “long COVID,” “post-acute sequelae,” “cardiovascular,” “echocardiography,” “biomarkers,” and “imaging.” Only studies reporting at least one cardiovascular outcome, defined as either objectively measured parameters (e.g., echocardiography, cardiac biomarkers, ECG findings, or vascular function indices) or clinically relevant cardiovascular symptoms during follow-up, were included. From 412 identified records, ten recent, high-quality studies with a primary cardiovascular focus were selected. This systematic review was conducted in accordance with the PRISMA 2020 guidelines. Results: Long COVID is associated with subclinical myocardial dysfunction, arrhythmias, endothelial injury, vascular stiffness, and a prothrombotic state. Reported findings included reduced left ventricular ejection fraction, impaired global longitudinal strain, increased arterial stiffness, elevated cardiac biomarkers, new-onset hypertension, and persistent ECG changes, even in non-hospitalized patients without prior cardiovascular disease. Proposed mechanisms include myocardial inflammation, endothelial dysfunction, renin–angiotensin–aldosterone system dysregulation, autonomic imbalance, and chronic inflammation. Secondary bacterial and fungal infections were noted in critically ill survivors but did not fully explain the breadth or persistence of symptoms. Conclusions: Long COVID is a heterogeneous entity with substantial cardiovascular implications across all levels of acute disease severity. Early detection through longitudinal monitoring, standardized definitions, and multidisciplinary care is essential to reduce long-term cardiovascular risk.
Full article

Figure 1
Open AccessCase Report
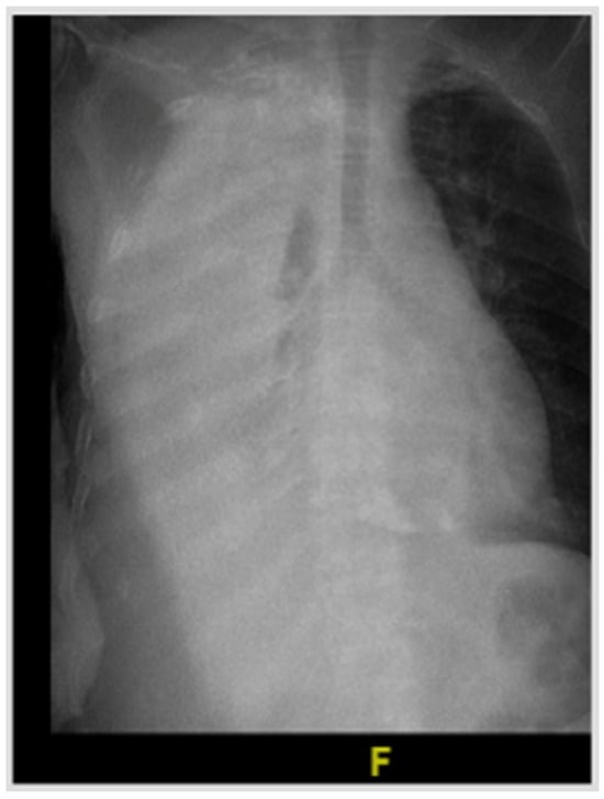
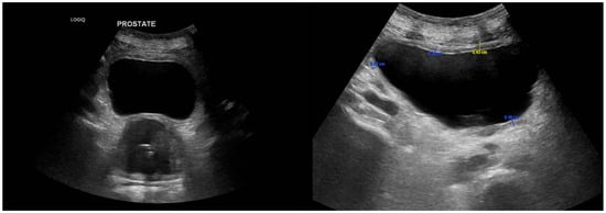
Beyond the Ordinary: Diagnosing a Case with Urinothorax
by
Tarneem M. Alghamdi, Mohammed M. Mergani, Habib Abdulnabi, Abdulaziz K. AlNaimi, Mohammed D. Al Shubbar, Hisham Y. Alouhali and Mahmoud I. Mahmoud
J. Respir. 2026, 6(1), 3; https://doi.org/10.3390/jor6010003 - 3 Feb 2026
Abstract
►▼
Show Figures
Urinothorax, the presence of urine in the pleural space, is an exceptionally rare cause of pleural effusion, with fewer than 100 cases described in the literature. It most often follows trauma or urological procedures, though obstructive uropathy is also a recognized mechanism. We
[...] Read more.
Urinothorax, the presence of urine in the pleural space, is an exceptionally rare cause of pleural effusion, with fewer than 100 cases described in the literature. It most often follows trauma or urological procedures, though obstructive uropathy is also a recognized mechanism. We report an 83-year-old man with chronic kidney disease and benign prostatic hyperplasia who presented with acute dyspnea and a massive right-sided pleural effusion. Thoracentesis yielded clear yellow fluid with an ammonia-like odor, while imaging revealed chronic bladder outlet obstruction with bilateral hydroureteronephrosis. Despite inconclusive scintigraphy, the effusion resolved completely after urinary decompression with Foley catheterization, confirming the diagnosis. This case underscores the diagnostic challenges of urinothorax, which may be overlooked due to its rarity and variable biochemical profile, and highlights the importance of correlating clinical, radiologic, and pleural fluid findings. Early recognition is crucial, as timely relief of urinary obstruction provides both definitive diagnosis and curative treatment.
Full article

Figure 1
Open AccessArticle
Effect of Medical Comorbidities on Procedural Success in Bronchoscopic Lung Volume Reduction
by
Christopher N. Nemeh, William F. Parker, Douglas K. Hogarth and Ajay A. Wagh
J. Respir. 2026, 6(1), 2; https://doi.org/10.3390/jor6010002 - 14 Jan 2026
Abstract
Background: Chronic obstructive pulmonary disease (COPD) is a major cause of morbidity, mortality, and healthcare utilization. Lung volume reduction surgery improves outcomes in a select cohort but portends high morbidity. Bronchoscopic lung volume reduction (BLVR) is a less invasive, reversible manner of lung
[...] Read more.
Background: Chronic obstructive pulmonary disease (COPD) is a major cause of morbidity, mortality, and healthcare utilization. Lung volume reduction surgery improves outcomes in a select cohort but portends high morbidity. Bronchoscopic lung volume reduction (BLVR) is a less invasive, reversible manner of lung volume reduction, using one-way valves to improve lung function, quality of life, and exercise capacity. Nevertheless, knowledge gaps persist regarding factors that predict procedural success. Methods: We retrospectively reviewed 142 patients who underwent BLVR at the University of Chicago between December 2018 and July 2024 to assess the relationship between comorbidities and procedural outcomes. Using logistic and multinomial regression, we determined odds ratios (ORs) for a binary outcome of success and failure and relative risk ratios (RRRs) for failure sub-categories relative to procedural success. Results: We observed a procedural success rate of 48.1% and pneumothorax prevalence of 21.8%. After adjusting for age, sex, race, and body mass index (BMI), comorbidities associated with procedural failure included chronic kidney disease (CKD), congestive heart failure (CHF), anemia, and a BMI, Obstruction, Dyspnea and Exercise (BODE) Index of 5 or greater. Obstructive sleep apnea (OSA) was associated with procedural success. Conclusions: Comorbidities associated with dyspnea appear to have a significant effect on procedural success in BLVR.
Full article
(This article belongs to the Special Issue Interventional Pulmonology: An Exciting New Subspecialty Within Pulmonary Medicine)
►▼
Show Figures

Figure 1
Open AccessArticle
Feasibility and Effectiveness of the Passio™ Digital Drainage System in Reducing Chest Pain During Indwelling Pleural Catheter Drainage
by
Thisarana Wijayaratne, Akash Mavilakandy, Faye Hinchcliffe, Sarah Johnstone, Rajini C. Sudhir and Rakesh K. Panchal
J. Respir. 2026, 6(1), 1; https://doi.org/10.3390/jor6010001 - 5 Jan 2026
Abstract
►▼
Show Figures
(1) Background: Indwelling pleural catheters (IPCs) with vacuum-based drainage can cause pain, especially in patients with a non-expandable lung (NEL). This evaluation assessed whether the Passio™ digital drainage system offers a viable alternative for patients experiencing pain during IPC drainage. (2) Methods
[...] Read more.
(1) Background: Indwelling pleural catheters (IPCs) with vacuum-based drainage can cause pain, especially in patients with a non-expandable lung (NEL). This evaluation assessed whether the Passio™ digital drainage system offers a viable alternative for patients experiencing pain during IPC drainage. (2) Methods: All IPC patients between November 2023 and April 2024 completed questionnaires assessing pain severity on a 10-point visual analogue scale (VAS) at four points during drainage. Patients reporting drainage-related pain at the 2-week post-IPC appointment had their existing valve replaced with a Passio™ valve (n = 5). (3) Results: Twenty-seven patients (59% male) were included in this analysis. The mean VAS scores for pain with a standard vacuum bottle were not statistically different at mid-drainage and the end of drainage compared with pre-drainage. Patients who experienced pain with the vacuum bottle (n = 5) had higher mean VAS scores at mid-drainage (51.68 mm ± 16.29; p = 0.13), end of drainage (46.68 mm ± 19.45; p = 0.19), and 10 min post-drainage (61.38 mm ± 9.81; p = 0.06) compared with pre-drainage (9.16 mm ± 4.01). Post-Passio™ valve replacement (n = 5), patients had a lower VAS pain score mid-drainage (20.15 mm ± 9.34; p = 0.25), end of drainage (27.28 mm ± 12.69; p = 0.84), and 10 min post-drainage (14.81 mm ± 3.33; p = 0.0079) when compared with vacuum bottle drainage. There were no complications with the Passio™ drainage system. (4) Conclusions: Controlled pleural drainage using a digital drainage device such as Passio™ may have a role in IPC patients who experience pain with vacuum bottle drainage, especially in those with an NEL.
Full article

Figure 1
Open AccessReview
Asthma, Infections and Immunodeficiency
by
Alberto García de la Fuente, Ebymar Arismendi, Mariona Pascal and César Picado
J. Respir. 2025, 5(4), 20; https://doi.org/10.3390/jor5040020 - 8 Dec 2025
Abstract
The relationship between asthma, infections, and immunodeficiencies is complex and affects disease progression. Immune deficiencies can occur independently or because of the inflammatory processes associated with asthma. Early viral infections like respiratory sinticial virus and rhinovirus trigger asthma attacks, while bacteria such as
[...] Read more.
The relationship between asthma, infections, and immunodeficiencies is complex and affects disease progression. Immune deficiencies can occur independently or because of the inflammatory processes associated with asthma. Early viral infections like respiratory sinticial virus and rhinovirus trigger asthma attacks, while bacteria such as Haemophilus influenzae, Streptococcus pneumoniae, Mycoplasma pneumoniae, and Chlamydia pneumoniae worsen airway inflammation. People with asthma often have defects in innate (mucociliary clearance, interferons, defensins, NK cell, and eosinophils) and adaptive immunity such as immunoglobulin (Ig) deficiencies, making them more vulnerable to lung infections. Combined and selective deficiencies of IgA, IgG, IgM, and IgE are linked to higher asthma rates and reduced effectiveness of treatments, but immunoglobulin therapy can help control symptoms. Biologic therapies also decrease asthma exacerbations during periods of high viral activity by boosting immune responses and airway defenses. However, the link between asthma and higher infection risk is not well studied or understood, so guidelines do not recommend routinely checking for immunodeficiencies in cases of poor treatment response. Further investigation is required to elucidate these relationships and enhance management approaches.
Full article
(This article belongs to the Collection Feature Papers in Journal of Respiration)
►▼
Show Figures

Graphical abstract
Open AccessReview
Immunology and Biologics in the Treatment of Allergic Bronchopulmonary Aspergillosis in Cystic Fibrosis
by
Esther S. Kim and Janice Wang
J. Respir. 2025, 5(4), 19; https://doi.org/10.3390/jor5040019 - 14 Nov 2025
Abstract
►▼
Show Figures
Allergic bronchopulmonary aspergillosis (ABPA) is mediated by hypersensitivity reactions to Aspergillus fumigatus, which is ubiquitous in the environment. People with Cystic Fibrosis (PwCF) are at an increased risk for developing ABPA, which can lead to frequent pulmonary exacerbations and progressive decline in
[...] Read more.
Allergic bronchopulmonary aspergillosis (ABPA) is mediated by hypersensitivity reactions to Aspergillus fumigatus, which is ubiquitous in the environment. People with Cystic Fibrosis (PwCF) are at an increased risk for developing ABPA, which can lead to frequent pulmonary exacerbations and progressive decline in lung function. In the age of highly effective modulator therapies (HEMT), PwCF have improved clinical outcomes and overall life expectancy, but they continue to suffer from comorbidities such as ABPA, which may be difficult to diagnose and treat. Establishing the diagnosis of ABPA in PwCF requires high clinical suspicion due to similarities in symptoms with the underlying disease. First-line treatment involves corticosteroids and anti-fungals, which have multiple side effects and drug interactions, especially with HEMT. Given this challenge, biologics have gained attention as potential agents directly targeting the Th-2 inflammatory pathway of ABPA with good tolerability and without significant drug interactions with HEMT. In this review, we discuss the diagnostic process and management of ABPA in PwCF, including a brief overview of the current literature on biologic agents.
Full article

Figure 1
Open AccessArticle
TUS-EPIC: Thoracic Ultrasonography for Exclusion of Iatrogenic Pneumothorax in Post Transbronchial Lung Cryobiopsy—A Safe Alternative to Chest X-Ray
by
Ismael Matus, Sameer Akhtar and Vamsi Matta
J. Respir. 2025, 5(4), 18; https://doi.org/10.3390/jor5040018 - 5 Nov 2025
Abstract
►▼
Show Figures
Background: The incidence of iatrogenic pneumothorax (IPTX) following transbronchial lung cryobiopsy (TBLCB) ranges from 1.4% to 20.2%. While chest X-ray (CXR) is the standard imaging modality to exclude IPTX, thoracic ultrasound (TUS) has demonstrated superior accuracy in detecting pneumothorax across various contexts. This
[...] Read more.
Background: The incidence of iatrogenic pneumothorax (IPTX) following transbronchial lung cryobiopsy (TBLCB) ranges from 1.4% to 20.2%. While chest X-ray (CXR) is the standard imaging modality to exclude IPTX, thoracic ultrasound (TUS) has demonstrated superior accuracy in detecting pneumothorax across various contexts. This study evaluates TUS as a reliable alternative to routine CXR for ruling out IPTX after TBLCB. Methods: A retrospective observational study included 51 patients undergoing ambulatory TBLCB. Pre- and post-TBLCB TUS were performed. CXR was reserved for cases where TUS findings were inconclusive (absence of sliding lung [SL] and seashore sign [SS] in any lung zones) or if patients exhibited symptoms or signs of IPTX. Results: TUS findings were concordant in 44 (86.1%) patients, of whom 42 (95.5%) did not require CXR. Two patients (4.5%) with symptomatic IPTX were identified and managed. Among the seven patients (13.7%) requiring CXR due to inconclusive TUS or symptoms, five (71.4%) were negative for IPTX, and two (28.6%) had asymptomatic IPTX. Conclusion: Our TUS protocol effectively ruled out clinically significant IPTX, eliminating routine CXR in 95.5% of patients. TUS is a safe alternative to CXR post-TBLCB, with CXR reserved for inconclusive TUS findings or symptomatic cases.
Full article

Figure 1
Open AccessArticle
LAMAs in Real-Life Asthma Management—The 2023 EU-LAMA Survey Results
by
Michał Panek, Robab Breyer-Kohansal, Paschalis Steiropoulos, Peter Kopač, Maciej Wojakiewicz, Tomasz Dębowski, Christer Janson and Maciej Kupczyk
J. Respir. 2025, 5(4), 17; https://doi.org/10.3390/jor5040017 - 31 Oct 2025
Abstract
►▼
Show Figures
Background: Triple therapy (long-acting muscarinic antagonists (LAMAs), long-acting beta agonists (LABAs) and inhaled corticosteroids (ICSs)) is a recommended treatment for moderate-to-severe asthma at GINA Steps 4 and 5. However, little is known about the acceptance and use of triple therapy in everyday practice.
[...] Read more.
Background: Triple therapy (long-acting muscarinic antagonists (LAMAs), long-acting beta agonists (LABAs) and inhaled corticosteroids (ICSs)) is a recommended treatment for moderate-to-severe asthma at GINA Steps 4 and 5. However, little is known about the acceptance and use of triple therapy in everyday practice. The EU-LAMA Survey assessed specialists’ knowledge and views on triple therapy in daily practice. Methods: A 19-question survey was administered to 630 pulmonologists, allergologists, general practitioners, and internal medicine specialists in Poland (58%), Greece (27%), Sweden (6.3%), Slovenia (5.4%), and Austria (3.7%) using a dedicated online platform and computer-assisted web interviews. Results: The majority of the physicians were pulmonologists (59%), followed by allergologists (15.7%). For uncontrolled asthma at GINA Step 4, 81% of the respondents preferred increasing the ICS dose to the maximum level, whereas 76% opted to add LAMAs to medium-dose ICSs. At GINA Step 5, 79% of the respondents chose LAMAs first, followed by biological therapy (51%). Oral corticosteroids were favored over increasing the ICS dose and adding LAMAs. Triple therapy was mostly administered in one inhaler (70% and 82% at GINA Steps 4 and 5, respectively). Barriers to the use of LAMAs included a lack of reimbursement (31%), unclear guidelines (24%), lack of experience (18%), insufficient evidence (13%), fear of step-up regimens (10%), and the ease of increasing ICS doses (9%). Conclusion: Many physicians continue to rely on oral corticosteroids at GINA Steps 4 and 5 and infrequently refer patients to triple therapy or biological treatments at GINA Step 5.
Full article

Figure 1
Open AccessSystematic Review
Health Effects and Preventive Strategies for Radon Exposure: A Systematic Review of the Literature
by
Luigi Cofone, Marise Sabato, Chiara Colombo, Stefania Scalingi, Antonio Montesi, Lorenzo Paglione and Federica Patania
J. Respir. 2025, 5(4), 16; https://doi.org/10.3390/jor5040016 - 10 Oct 2025
Cited by 2
Abstract
►▼
Show Figures
Introduction: Radon is a radioactive noble gas formed from uranium decay in the Earth’s crust. The most significant isotope, 222Rn, emits alpha particles capable of damaging lung tissue and inducing cancer. Radon exposure is affected by geophysical and building characteristics and is
[...] Read more.
Introduction: Radon is a radioactive noble gas formed from uranium decay in the Earth’s crust. The most significant isotope, 222Rn, emits alpha particles capable of damaging lung tissue and inducing cancer. Radon exposure is affected by geophysical and building characteristics and is recognized as a Group 1 carcinogen by the IARC. Despite regulatory thresholds (e.g., EURATOM standards), health risks remain. Various mitigation methods aim to reduce indoor radon exposure and its impact. Materials and Methods: This systematic review followed PRISMA guidelines. PubMed, Scopus, and Web of Science were searched up to 28 February 2025, using a defined string. Studies with original data on radon exposure and lung cancer risk or mitigation efficacy were included. Independent screening and quality assessment (Newcastle–Ottawa Scale) were conducted by multiple reviewers. Results: Of the 457 studies identified, 14 met the inclusion criteria. Eleven of these investigated the link between indoor radon and lung cancer risk, and three evaluated mitigation strategies. Radon levels were commonly measured using passive alpha track detectors. Levels varied depending on geographical location, season, building design and ventilation, these were higher in rural homes and during the colder months. Case–control studies consistently found an increased lung cancer risk with elevated radon exposure, especially among smokers. Effective mitigation methods included sub-slab depressurisation and balanced ventilation systems, which significantly reduced indoor radon concentrations. Adenocarcinoma was the most common lung cancer subtype in non-smokers, whereas squamous and small cell carcinomas were more prevalent in smokers exposed to radon. Discussion and Conclusions: This review confirms the robust association between indoor radon exposure and lung cancer. Risks persist even below regulatory limits and are amplified by smoking. While mitigation techniques are effective, their application remains uneven across regions. Stronger public education, building codes, and targeted interventions are needed, particularly in high-risk areas. To inform future prevention and policy, further research should seek to clarify radon’s molecular role in lung carcinogenesis, especially among non-smokers.
Full article

Figure 1
Open AccessArticle
Emergency Department Management of Asthma Patients in a Regional Hospital: A Cohort Study
by
Pranav Kumar, Matthew Hiskens, Yi Tat Lo, Muhammad Jawwad Nazmi, Sarah Wright and Lauren McGrath
J. Respir. 2025, 5(3), 15; https://doi.org/10.3390/jor5030015 - 8 Sep 2025
Abstract
►▼
Show Figures
Background/Objectives: Asthma remains a prevalent cause of emergency department (ED) visits worldwide, necessitating prompt and effective intervention to prevent severe morbidity and mortality. This study evaluates the management of asthma patients presenting to the ED, focusing on clinical assessment, treatment strategies, diagnostic evaluations,
[...] Read more.
Background/Objectives: Asthma remains a prevalent cause of emergency department (ED) visits worldwide, necessitating prompt and effective intervention to prevent severe morbidity and mortality. This study evaluates the management of asthma patients presenting to the ED, focusing on clinical assessment, treatment strategies, diagnostic evaluations, and discharge practices. Methods: This retrospective audit was conducted in a regional hospital in Queensland, Australia. All ED patients between July 2023 and June 2024 with a diagnosis of asthma were included. Findings were benchmarked against international asthma guidelines to assess adherence to best practice. Results: A total of 199 patients were included. This study found that bronchodilator therapy was administered in 92.5% of cases and systemic steroids were given to 73.4% of patients, aligning with guidelines. However, significant deficiencies were noted in using objective lung function assessments, with only 1% of patients undergoing peak expiratory flow measurement and none undergoing spirometry, despite guideline recommendations advocating for their routine use. Additionally, inhaled corticosteroid prescriptions upon discharge were recorded in 19.6% of cases, compared to the recommended target of over 80%. There was a 6% relapse rate within a month of ED discharge. Conclusions: These gaps indicate potential areas for improvement, particularly in structured airflow assessment and post-discharge asthma management.
Full article

Figure 1
Open AccessPerspective
Evolving Concepts in Progressive Pulmonary Fibrosis: A Clinical Update
by
María Belén Noboa-Sevilla, Fernanda Hernández-González, Sandra Cuerpo-Cardeñosa, Xavier Alsina-Restoy, Nancy Pérez-Rodas, Alejandro Frino-García, Miguel Alonso-Villares, Elvis Matheus-Ramírez and Jacobo Sellarés
J. Respir. 2025, 5(3), 14; https://doi.org/10.3390/jor5030014 - 1 Sep 2025
Abstract
Progressive pulmonary fibrosis (PPF) is a clinical syndrome associated with worsening quality of life and increased mortality among patients with various interstitial lung diseases. This review aims to update the concepts and criteria that adequately define PPF, aiming to facilitate earlier recognition and
[...] Read more.
Progressive pulmonary fibrosis (PPF) is a clinical syndrome associated with worsening quality of life and increased mortality among patients with various interstitial lung diseases. This review aims to update the concepts and criteria that adequately define PPF, aiming to facilitate earlier recognition and optimize clinical management. Fibrosing interstitial lung disease (ILD-f) can progress over time despite optimal management of the underlying conditions. Current criteria for defining PPF include worsening respiratory symptoms, decline in pulmonary function tests (particularly forced vital capacity and diffusing capacity), and radiographic progression over a 1-year follow-up period. However, implementation of these criteria in clinical practice poses challenges. This review discusses the limitations of current evaluation methods and proposes future directions, including the need for validated symptom assessment tools, standardization of pulmonary function testing, and improvements in quantitative radiological evaluation methods.
Full article
(This article belongs to the Special Issue Advances in Interstitial Lung Diseases: From Diagnosis to Treatment)
►▼
Show Figures

Figure 1
Open AccessArticle
Independent Predictors of Mycoplasma pneumoniae Infection: A Retrospective Cohort Study Among Hospitalized Adults in an East Texas Health Facility
by
Menkeoma Laura Okoli, Ibuchim Chinemerem Okoli, Abuoma Chisom Okoli, Ikechukwu Umezurike and Celestine Ishiekwene
J. Respir. 2025, 5(3), 13; https://doi.org/10.3390/jor5030013 - 8 Aug 2025
Abstract
Background: Community-acquired pneumonia in the United States accounts for over five million cases annually, with an estimated one million hospitalizations. About two million of these annual cases and over 100,000 annual hospitalizations are caused by mycoplasma pneumonia. Although mycoplasma can sometimes present as
[...] Read more.
Background: Community-acquired pneumonia in the United States accounts for over five million cases annually, with an estimated one million hospitalizations. About two million of these annual cases and over 100,000 annual hospitalizations are caused by mycoplasma pneumonia. Although mycoplasma can sometimes present as a benign disease, it can cause severe complications, which are referred to as pulmonary and extrapulmonary complications. This study aims to identify independent predictors of Mycoplasma pneumoniae infection among adult patients in our facility in East Texas. Methods: This retrospective cohort study used data from the electronic health record (EPIC Systems). Multivariate analyses were conducted to determine variables independently associated with mycoplasma pneumonia. The main outcome variable was the presence of mycoplasma pneumonia as indicated by serology testing. Results: Among 1714 adult patients in our study population who underwent antibody testing, 297 (17.3%) tested positive for mycoplasma pneumonia. Mycoplasma pneumonia was significantly associated with age, sex, race, season, and tobacco use after controlling for other variables. Adults who do not use tobacco had lower odds of having mycoplasma pneumonia compared to adults who are currently using tobacco (OR = 0.64, C.I. = 0.48–0.75). Also, these adults are more likely to have MP during non-respiratory season as compared to respiratory season (OR = 1.25, C.I. = 1.10–1.61). Conclusions: Tobacco use, season, age, race, and sex were all significant predictors of mycoplasma pneumonia. These findings highlight target areas for health care professionals and organizations to tackle to help improve patient health outcomes.
Full article
(This article belongs to the Collection Feature Papers in Journal of Respiration)
►▼
Show Figures

Figure 1
Open AccessReview
Connecting the Dots: Beetroot and Asthma
by
Madiha Ajaz, Indu Singh, Lada Vugic, Rati Jani, Shashya Diyapaththugama and Natalie Shilton
J. Respir. 2025, 5(3), 12; https://doi.org/10.3390/jor5030012 - 5 Aug 2025
Abstract
►▼
Show Figures
Asthma is a persistent ailment that impacts the respiratory system and stands as a formidable public health challenge globally. Inhaled corticosteroids and bronchodilators, while effective in asthma management, are accompanied by side effects and high costs. Recently, nutraceuticals have gained significant attention as
[...] Read more.
Asthma is a persistent ailment that impacts the respiratory system and stands as a formidable public health challenge globally. Inhaled corticosteroids and bronchodilators, while effective in asthma management, are accompanied by side effects and high costs. Recently, nutraceuticals have gained significant attention as adjuvant therapy due to their promising outcomes. Given the antioxidant properties, nutrient richness, and an array of health benefits, beetroot and its bioactive compounds have been tested as an adjuvant therapy for asthma management. Although its main bioactive compound, betalains (betanin), has demonstrated promising results in mouse studies, beetroot juice has been found to worsen asthma. This review investigated the full spectrum of active compounds associated with beetroots to understand the underlying factors contributing to the conflicting findings. The finding suggests that individual bioactive compounds, such as phenolic compounds, flavonoids, nitrates, betalains, saponins, vitamins, fiber, and carotenoids, possess asthma-managing properties. However, the consumption of juice may exacerbate the condition. This discrepancy may be attributed to the presence of sugars and oxalates in the juice, which could counteract the beneficial effects of the bioactive compounds.
Full article

Graphical abstract
Open AccessArticle
Nomogram Based on the Most Relevant Clinical, CT, and Radiomic Features, and a Machine Learning Model to Predict EGFR Mutation Status in Non-Small Cell Lung Cancer
by
Anass Benfares, Abdelali yahya Mourabiti, Badreddine Alami, Sara Boukansa, Ikram Benomar, Nizar El Bouardi, Moulay Youssef Alaoui Lamrani, Hind El Fatimi, Bouchra Amara, Mounia Serraj, Mohammed Smahi, Abdeljabbar Cherkaoui, Mamoun Qjidaa, Ahmed Lakhssassi, Mohammed Ouazzani Jamil, Mustapha Maaroufi and Hassan Qjidaa
J. Respir. 2025, 5(3), 11; https://doi.org/10.3390/jor5030011 - 23 Jul 2025
Cited by 2
Abstract
►▼
Show Figures
Background: This study aimed to develop a nomogram based on the most relevant clinical, CT, and radiomic features comprising 11 key signatures (2 clinical, 2 CT-based, and 7 radiomic) for the non-invasive prediction of the EGFR mutation status and to support the timely
[...] Read more.
Background: This study aimed to develop a nomogram based on the most relevant clinical, CT, and radiomic features comprising 11 key signatures (2 clinical, 2 CT-based, and 7 radiomic) for the non-invasive prediction of the EGFR mutation status and to support the timely initiation of tyrosine kinase inhibitor (TKI) therapy in patients with non-small cell lung cancer (NSCLC) adenocarcinoma. Methods: Retrospective real-world data were collected from 521 patients with histologically confirmed NSCLC adenocarcinoma who underwent CT imaging and either surgical resection or pathological biopsy for EGFR mutation testing. Five Random Forest classification models were developed and trained on various datasets constructed by combining clinical, CT, and radiomic features extracted from CT image regions of interest (ROIs), with and without feature preselection. Results: The model trained exclusively on the most relevant clinical, CT, and radiomic features demonstrated superior predictive performance compared to the other models, with strong discrimination between EGFR-mutant and wild-type cases (AUC = 0.88; macro-average = 0.90; micro-average = 0.89; precision = 0.90; recall = 0.94; F1-score = 0.91; and accuracy = 0.87). Conclusions: A nomogram constructed using a Random Forest model trained solely on the most informative clinical, CT, and radiomic features outperformed alternative approaches in the non-invasive prediction of the EGFR mutation status, offering a promising decision-support tool for precision treatment planning in NSCLC.
Full article

Figure 1
Open AccessArticle
Development of a New Treatment for Lung Diseases, Mainly Interstitial Pneumonia, Using Platinum-Palladium: A Pilot Study
by
Satoshi Kawakami, Taro Shirakawa, Shoichi Wajima, Yusuke Segawa, Yoshitaka Fukuzawa and Kou Sakabe
J. Respir. 2025, 5(3), 10; https://doi.org/10.3390/jor5030010 - 8 Jul 2025
Cited by 1
Abstract
►▼
Show Figures
Interstitial pneumonia is a general term for diseases in which inflammation occurs mainly in the interstitium of the lung. It is also pointed out that interstitial pneumonia reduces alveolar function and makes it difficult to take in oxygen through inspiration, causing symptoms such
[...] Read more.
Interstitial pneumonia is a general term for diseases in which inflammation occurs mainly in the interstitium of the lung. It is also pointed out that interstitial pneumonia reduces alveolar function and makes it difficult to take in oxygen through inspiration, causing symptoms such as dyspnea and coughing, which may eventually lead to respiratory failure. At present, there is no effective treatment, and only conservative treatment exists. This time, we report that the therapeutic effect was confirmed in patients with interstitial pneumonia who took platinum palladium. In this case, improvement tendencies were observed in patients with Idiopathic pulmonary fibrosis (IPF), but improvement tendencies were also observed in many other lung diseases. In order to explore the mechanism, AMPK was measured at the in vitro level, and blood KL-6 and hydrogen peroxide levels in the patient were measured at the in vivo level. AMPK values were significantly elevated by more than 800%, and KL-6 and hydrogen peroxide levels were also significantly decreased by drinking platinum palladium. Platinum palladium exhibits a strong antioxidant effect and is the only substance in the world that can approach all four types of active oxygen. In addition, when it was actually administered to patients, there were cases of dramatic improvement, and it was confirmed that KL-6, a parameter of lung function, decreased in 16 out of 32 patients, and furthermore, oxygen inhalation was completed. Patients were also seen. It was suggested that increasing the number of cases in the future may help improve interstitial pneumonia.
Full article

Figure 1
Open AccessArticle
CT Guided Biopsy—A Review of a Pleural Interventional Service with Regard to Pneumothorax Rates
by
Jebelle Sutanto, Grace Mussell, Daniel Mitchell, Wei Hann Ong and Avinash Aujayeb
J. Respir. 2025, 5(3), 9; https://doi.org/10.3390/jor5030009 - 30 Jun 2025
Abstract
►▼
Show Figures
Introduction: Computed tomography-guided biopsies (CTGB) are essential in diagnosing various conditions, particularly in respiratory medicine, with lung cancer being a primary focus. A significant complication associated with CTGB is pneumothorax, which can occur in up to 26% of cases. At Northumbria Healthcare NHS
[...] Read more.
Introduction: Computed tomography-guided biopsies (CTGB) are essential in diagnosing various conditions, particularly in respiratory medicine, with lung cancer being a primary focus. A significant complication associated with CTGB is pneumothorax, which can occur in up to 26% of cases. At Northumbria Healthcare NHS Foundation Trust, a large interventional service collaborates closely with radiologists and respiratory physicians. This study aims to evaluate the incidence of pneumothorax following CTGB. Methods: A retrospective service review was conducted on all lung parenchymal CTGBs performed between April 2011 and July 2023, with approval from the local information governance. Demographic data and clinical outcomes were analyzed using descriptive statistics. Continuous variables are presented as medians with interquartile ranges (IQR), while categorical variables are reported as frequencies and percentages. Results: A total of 1492 CT-guided lung biopsies were analyzed. The median age of patients was 72 years (IQR 10.5), and 50.9% were male. Pneumothorax occurred in 23.8% (n = 355) of cases. Of these, 159 (44.8%) were detected on post-biopsy CT scans. The average number of pleural passes was 1.8 (range 1–4). Among those with pneumothorax, 53.6% had radiologically evident emphysema. The median forced expiratory volume in 1 s (FEV1) was 1.97 L (IQR 1.04). Sixty-seven percent (n = 234) of patients had no pleural contact, and the median lesion size was 26 mm (IQR 24). Seventy-two percent (n = 255) of lesions with pneumothoraces were less than 3 cm deep. Forty-four percent of biopsies were performed using 18 French gauge tru-cut needles. Of the 355 pneumothoraces, 89% (n = 315) were managed conservatively, with 42 requiring pleural intervention (41 small-bore 12 Fr intercostal chest drains and one pleural vent). Symptoms were initially present in 40 cases, and two cases developed symptoms up to 7 days post-procedure. Conclusions: The incidence of pneumothorax is consistent with expected rates, with more occurrences observed in biopsies of smaller lesions lacking pleural contact, lesions with surrounding emphysema, and cases requiring multiple pleural passes. FEV1 does not appear to influence the risk of pneumothorax. Conservative management is generally effective, without significant complications.
Full article

Figure 1
Open AccessReview
Busting the Myths of DLco for Pulmonary Trainees: Isolated Reductions in DLco and the Relationship with VA
by
Ahmad Raza, Nayab Nadeem, Christian Cardillo, Lijo Illipparambil and Aamir Ajmeri
J. Respir. 2025, 5(3), 8; https://doi.org/10.3390/jor5030008 - 24 Jun 2025
Cited by 2
Abstract
►▼
Show Figures
Background: DLco remains one of the most commonly performed tests in the pulmonary lab. An isolated reduction in DLco is a unique abnormality with specific differentials when evaluating a patient with dyspnea. There remains a significant misunderstanding amongst young pulmonologists and pulmonary trainees
[...] Read more.
Background: DLco remains one of the most commonly performed tests in the pulmonary lab. An isolated reduction in DLco is a unique abnormality with specific differentials when evaluating a patient with dyspnea. There remains a significant misunderstanding amongst young pulmonologists and pulmonary trainees regarding DLco and its relationship with alveolar volume and kco. Objective: This review aims to provide a physiological basis for the DLco test and bust the myth of “DLco corrected for lung volume.” Method: A systematic review of the available literature regarding alveolar gas-exchange physiology, measurement methods of DLco, the interplay of different variables associated with it, and the causes of its reduction was performed. Focused physiological data were used to put together a comprehensive review of isolated reductions in DLco. The second part of this review addresses the critical and interdependent relationship between DLco and alveolar volume (VA). Results: DLco has a unique relationship with lung volume that needs to be considered while interpreting its value. Diffusion capacity per unit volume (kco) is an independent factor that, when combined with DLco and VA, helps accurately interpret the test and narrow down differentials. Conclusion: DLco is an extremely valuable test and an important prognostic tool in many patients with dyspnea. An isolated reduction in DLco is increasingly recognized these days as an early marker of detection for various pulmonary parenchymal and vascular diseases. A detailed physiopathological explanation, followed by the proposed algorithm, should help pulmonary physicians and trainees understand and implement DLco’s relationships in their daily patient care.
Full article

Figure 1
Open AccessSystematic Review
Effects of Structured Exercise Programs on Self-Reported Health-Related Quality of Life in Patients with Advanced Non-Small Cell Lung Cancer: A Systematic Review and Meta-Analysis of Randomized Controlled Trials
by
Carl Lawrence Arenos, Franessa Ysabel Dianne Chan Huan-Jacinto, Josephine Anne Lucero, Frederic Ivan Ting, Marvin Jonne Mendoza, Madelaine Amante, Danielle Benedict Sacdalan and John Paulo Vergara
J. Respir. 2025, 5(2), 7; https://doi.org/10.3390/jor5020007 - 13 May 2025
Abstract
►▼
Show Figures
Current treatments for metastatic non-small cell lung cancer (NSCLC) have improved survival but remain non-curative, primarily aiming to control disease and to extend life. Structured exercise has demonstrated clinical and quality-of-life benefits in early-stage NSCLC. This systematic review assesses the impact of adjunctive
[...] Read more.
Current treatments for metastatic non-small cell lung cancer (NSCLC) have improved survival but remain non-curative, primarily aiming to control disease and to extend life. Structured exercise has demonstrated clinical and quality-of-life benefits in early-stage NSCLC. This systematic review assesses the impact of adjunctive exercise programs on health-related quality of life (HRQoL) in advanced NSCLC patients, with safety as a secondary outcome. Of 1168 studies screened, 13 met the inclusion criteria. All eligible studies were included in the systematic review, and three underwent meta-analysis. Using Synthesis Without Meta-analysis (SWiM), the findings were heterogeneous: four studies showed positive outcomes, two had mixed results, and seven showed negative outcomes. Meta-analysis of studies utilizing the EORTC-C30 tool demonstrated a positive mean difference of 1.57 (95% CI: 0 to 3.14), indicating a trend toward HRQoL improvement. Safety analyses largely revealed no major adverse events related to exercise interventions. Future studies must therefore be designed to account for confounders intrinsic to the underlying disease of study participants to better determine both the efficacy and the safety of structured, adjunctive exercise programs in this patient population.
Full article

Figure 1
Highly Accessed Articles
Latest Books
E-Mail Alert
News
Topics
Special Issues
Special Issue in
JoR
Respiratory Manifestations of Immune Dysregulation: From Immunodeficiency to Autoimmunity
Guest Editors: Giuseppe Murdaca, Sebastiano GangemiDeadline: 31 July 2026
Special Issue in
JoR
Advances in Interstitial Lung Diseases: From Diagnosis to Treatment
Guest Editors: Jacobo Sellarés, Jaume Bordas-MartinezDeadline: 30 September 2026
Special Issue in
JoR
Emerging Bronchoscopic Treatments: Procedures, Risks, and Outcomes
Guest Editors: D. Kyle Hogarth, Ajay A. Wagh, Shreya PodderDeadline: 20 October 2026
Special Issue in
JoR
Pulmonary Hypertension: New Insights and Recent Advances
Guest Editors: Salim Surani, Mohamed Hasham Varwani, Munish SharmaDeadline: 20 November 2026



