- 2.9Impact Factor
- 5.2CiteScore
- 18 daysTime to First Decision
Paradigms, Advances and Future Directions in Oral Medicine
Special Issue Information
Dear Colleagues,
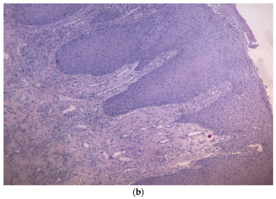
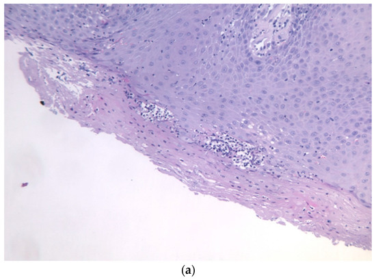
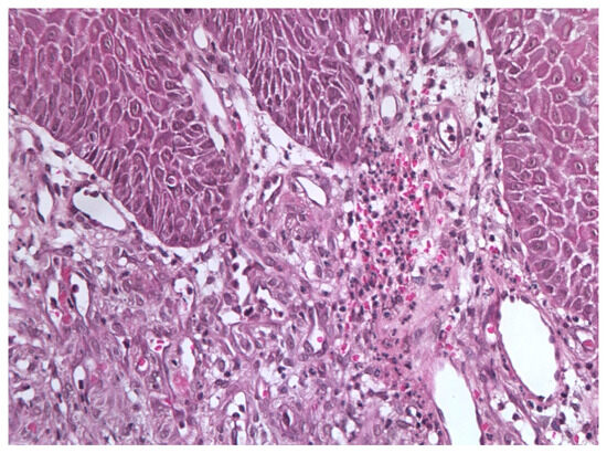
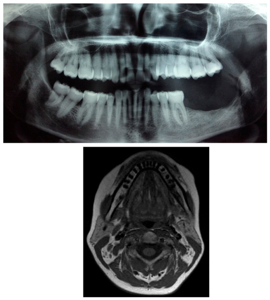
There have been remarkable advances in the field of oral medicine. However, research is still needed in many areas of oral medicine, such as potentially malignant disorders, dermatologic diseases of the oral cavity, and orofacial pain.
The development and advancement of diagnostic techniques and treatments, many of them minimally invasive, have led to improvements in diagnoses and quality of life.
In this Special Issue, we invite authors to present papers on clinical advances in oral medicine diagnostics and treatment.
Prof. Dr. Pia Lopez-Jornet
Guest Editor
Manuscript Submission Information
Manuscripts should be submitted online at www.mdpi.com by registering and logging in to this website. Once you are registered, click here to go to the submission form. Manuscripts can be submitted until the deadline. All submissions that pass pre-check are peer-reviewed. Accepted papers will be published continuously in the journal (as soon as accepted) and will be listed together on the special issue website. Research articles, review articles as well as short communications are invited. For planned papers, a title and short abstract (about 100 words) can be sent to the Editorial Office for announcement on this website.
Submitted manuscripts should not have been published previously, nor be under consideration for publication elsewhere (except conference proceedings papers). All manuscripts are thoroughly refereed through a single-blind peer-review process. A guide for authors and other relevant information for submission of manuscripts is available on the Instructions for Authors page. Journal of Clinical Medicine is an international peer-reviewed open access semimonthly journal published by MDPI.
Please visit the Instructions for Authors page before submitting a manuscript. The Article Processing Charge (APC) for publication in this open access journal is 2600 CHF (Swiss Francs). Submitted papers should be well formatted and use good English. Authors may use MDPI's English editing service prior to publication or during author revisions.
Keywords
- oral medicine
- oral potentially malignant disorders
- leukoplakia
- oral lichen planus
- orofacial pain
- biopsy and liquid biopsy
- biomarkers
Benefits of Publishing in a Special Issue
- Ease of navigation: Grouping papers by topic helps scholars navigate broad scope journals more efficiently.
- Greater discoverability: Special Issues support the reach and impact of scientific research. Articles in Special Issues are more discoverable and cited more frequently.
- Expansion of research network: Special Issues facilitate connections among authors, fostering scientific collaborations.
- External promotion: Articles in Special Issues are often promoted through the journal's social media, increasing their visibility.
- e-Book format: Special Issues with more than 10 articles can be published as dedicated e-books, ensuring wide and rapid dissemination.

