Gastrointestinal Surgery: Diagnosis and Management in 2025
A special issue of Diagnostics (ISSN 2075-4418). This special issue belongs to the section "Pathology and Molecular Diagnostics".
Deadline for manuscript submissions: 31 January 2026 | Viewed by 2297
Special Issue Editor
Interests: general surgery; emergency surgery; translational research; surgical education
Special Issues, Collections and Topics in MDPI journals
Special Issue Information
Dear Colleagues,
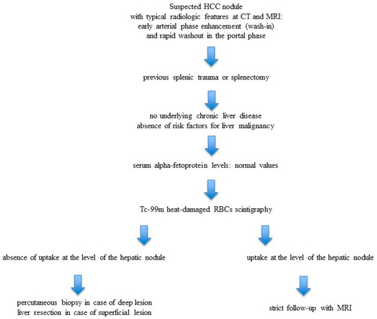
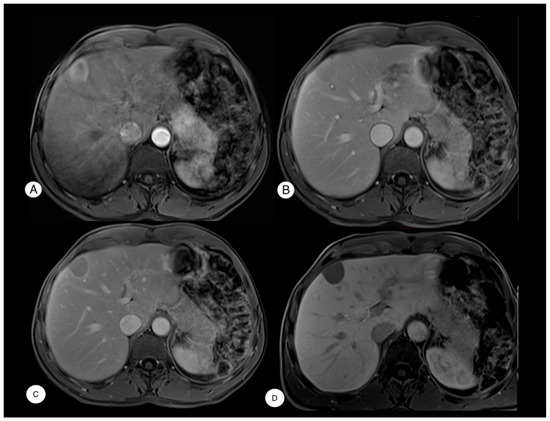
Gastrointestinal surgery is an evolving field of interest for clinicians and researchers, especially in emergency and oncology settings. In emergency gastrointestinal surgery, the importance of correct and rapid diagnosis is highly dependent on clinical experience and the volume of cases treated. Improved treatment protocols for patients with locally advanced or metastatic cancer are currently the subject of multidisciplinary research. The predictive approach aimed at identifying the precise tumor staging and indication for personalized therapy is a constantly evolving field of interest. The selection of the most appropriate diagnostic program and treatment regimen must be carefully established based on multidisciplinary expertise that takes into account the patient's specific risk, length of stay, and functional recovery. For many gastrointestinal diseases, new digital technologies can be applied for both diagnostic and therapeutic-surgical purposes. For this Special Issue, we invite clinical and experimental research focused on diagnosis and treatment adjuvant to gastrointestinal surgery. Studies that can help to clarify the following topics are welcome: diagnosis of abdominal trauma, diagnosis of oligometastatic disease, diagnosis of mesorectal metastases, and diagnosis of lymph node metastases in upper gastrointestinal cancer. In addition, studies on minimally invasive surgical procedures for the treatment of metastatic gastrointestinal diseases are strongly encouraged.
Dr. Federico Selvaggi
Guest Editor
Manuscript Submission Information
Manuscripts should be submitted online at www.mdpi.com by registering and logging in to this website. Once you are registered, click here to go to the submission form. Manuscripts can be submitted until the deadline. All submissions that pass pre-check are peer-reviewed. Accepted papers will be published continuously in the journal (as soon as accepted) and will be listed together on the special issue website. Research articles, review articles as well as short communications are invited. For planned papers, a title and short abstract (about 100 words) can be sent to the Editorial Office for announcement on this website.
Submitted manuscripts should not have been published previously, nor be under consideration for publication elsewhere (except conference proceedings papers). All manuscripts are thoroughly refereed through a single-blind peer-review process. A guide for authors and other relevant information for submission of manuscripts is available on the Instructions for Authors page. Diagnostics is an international peer-reviewed open access semimonthly journal published by MDPI.
Please visit the Instructions for Authors page before submitting a manuscript. The Article Processing Charge (APC) for publication in this open access journal is 2600 CHF (Swiss Francs). Submitted papers should be well formatted and use good English. Authors may use MDPI's English editing service prior to publication or during author revisions.
Keywords
- gastrointestinal trauma
- oligometastatic disease
- mesorectal metastasis
- lymphnode metastasis
- minimally invasive surgical therapy
- endoscopic diagnosis
Benefits of Publishing in a Special Issue
- Ease of navigation: Grouping papers by topic helps scholars navigate broad scope journals more efficiently.
- Greater discoverability: Special Issues support the reach and impact of scientific research. Articles in Special Issues are more discoverable and cited more frequently.
- Expansion of research network: Special Issues facilitate connections among authors, fostering scientific collaborations.
- External promotion: Articles in Special Issues are often promoted through the journal's social media, increasing their visibility.
- Reprint: MDPI Books provides the opportunity to republish successful Special Issues in book format, both online and in print.
Further information on MDPI's Special Issue policies can be found here.
